Рекомендации по анализу рентгенограммы поясничных позвонков в ПЗ проекции
Добавил пользователь Евгений Кузнецов Обновлено: 23.12.2025
Адрес : Белгородская область, г. Бирюч, ул. Тургенева № 1, тел 3-31-89.
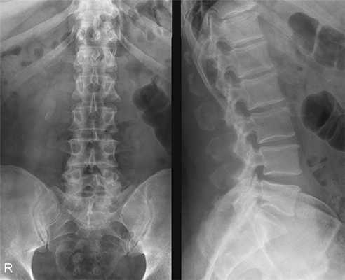
Протокол рентгенологического исследования поясничного отдела позвоночника (рентгенологическая экспертиза).
Время на исследование - мин. Сн-
Врач-рентгенолог Катенёв Валентин Львович
Сертификат А № 1335890
Доронина Татьяна Анатольевна
Сертификат А № 3078735
Рентгенологическое исследование поясничного отдела позвоночника проведено по стандартной методике, рентгенограммы произведены в типичных проекциях в положении стоя, удовлетворительного качества.
Величины времени, затраченного на проведение исследования согласно приказа МЗ № 132, приложение 22. Величины ЭЭД (в милизивертах) – согласно МУК 2. 6.1.1797-03. Patient Effective Dose Control in X – Ray Examinations . Приложение 2, утв. Главным государственным санитарным врачом РФ от 16.12.2003.
Общая рентгеноанатомическая ориентировка обычная.
Характер патологических изменений позвоночника подтвержден многоосевыми, нагрузочными и функциональными рентгенологическими исследованиями. Измерение угла сколиоза проводилось по методу Ferguson-Risser. Оценка углов сколиоза – согласно четырёхстепенной классификации В.Д Чаклина.
( Первая часть протокола – 1.Экспертиза степени фиксированной деформации поясничного отдела позвоночника – сколиоза по рентгенограмме, произведенной в прямой стандартной проекции).
1. Определяется нарушение статической функции поясничного отдела позвоночника в виде фиксированной деформации поясничного отдела позвоночника во фронтальной плоскости - сколиоза. Правосторонняя дуга – угол равен градусам, располагается на уровне L . Левостороняя дуга – угол равен градусам, располагается на уровне L , что согласно классификации В.Д. Чаклина соответствует первой степени сколиоза. Деформация тел позвонков на уровне вершины искривления определяется в области L .
1.0. Определяется ротация тел L позвонков, на что указывает «отклонение» визуальной тени остистых отростков от срединной линии в сторону вогнутой части сколиотической дуги, неодинаковая длина левого и правого поперечных отростков, асимметрия положения и формы ножек дужки позвонка, асимметричное положение межпозвоночных суставов.
1.1. Торсия тел L позвонков с некоторым снижением высоты тел позвонков справа. Угол торсии позвонков от до градусов.
1.2. Неравномерное сужение межпозвонковых щелей (свидетельствует о дистрофических измене-ниях в диске в фазе потери их тургора) в сегментах с умеренно выраженным субхондральным склерозом в указанных сегментах.
1.3. Неровность, нечёткость замыкательных пластинок определяется в телах L позвонков.
1.4. Остроконечные остеофиты по боковым поверхностям тел позвонков определяются в телах L позвонков.
Наличие остеофитов и субхондрального склероза должно расцениваться как показатель перегрузки костной ткани.
2. Другие изменения при анализе рентгенограммы, произведенной в прямой стандартной проекции не обнаружены.
( Вторая часть протокола – 1.Экспертиза степени фиксированной деформации поясничного отдела позвоночника по рентгенограмме, произведенной в боковой стандартной проекции в стандартном положении).
ОПРЕДЕЛЯЕТСЯ:
- фиксированная деформация поясничного отдела позвоночника в виде сглаженности поясничного лордоза (нарушение статической функции) на уровне L – L позвонков;
- неравномерное сужение межпозвонковых щелей в сегментах L – L в задних отделах;
- субхондральный склероз в телах L позвонков;
- остроконечные остеофиты фиксируются по передней поверхности тел L позвонков;
- умеренное смещение кпереди тел L позвонков;
- некоторое смещение кзади тел L позвонков;
- определяется умеренно выраженная деформация тел L позвонков;
- определяется неровность, нечеткость замыкательных пластинок тел L позвонков за счёт дегенеративно-атрофических изменений отражающих распад межпозвонкового диска с разрушением замыкающих пластинок тел позвонков и внедрением элементов распавшегося диска в тела позвонков в виде мелких узелков Поммера, что свидетельствует о функциональной неполноценности межпозвонковых дисков сегментов L – L ;
- дегенеративно - реактивные изменения: в виде остеофитов (как проявление компенсаторной приспособительной реакции в позвонках на нагрузку, которая падает на измененный диск) определятся в телах L позвонков; в виде субхондрального склероза определяются в телах L позвонков;
- признаки патологического остеопороза (остеомаляции) не определяются;
- скошенность углов тел позвонков, которая может быть обусловлена дегенеративным процессом в краевом канте (лимбус) тела позвонка определяется в телах L ;
- хрящевые узлы тел позвонков (грыжи Шморля) определяются в телах L и являются одним из проявлений дистрофических поражений в двигательных сегментах позвоночника и свидетельствуют о пролабировании фрагментов межпозвоночного диска в тело позвонка;
- признаки нестабильности (нарушение динамической функции поясничного отдела позвоноч-ника) в сегментах L – L , что свидетельствует о дистрофических изменениях в дисках L – L в фазе снижения их тургора.
( Третья часть протокола – рентгенография с функциональной нагрузкой) – 1.Экспертиза нарушения динамической функции – наличия нестабильности.
1. На рентгенограмме поясничного отдела позвоночника, произведенной в положении сгибания – функциональная рентгенография определяется:
- смещение кпереди тел L позвонков (нарушение динамической функции), что свидетельствует о нестабильности в сегментах L – L и указывает на дистрофические изменения в межпозвонковых дисках в фазе потери их тургора и о потери фиксационной способности диска, что является начальным проявлением остеохондроза;
- в условиях максимального сгибания определяется гипермобильность в сегментах L – L , которая выражается в большем сближении передних отделов смежных позвонков и уменьшение высоты переднего отдела диска более, чем на ¼, что является достоверным признаком остеохондроза.
2. На рентгенограмме поясничного отдела позвоночника, произведенной в положении разгибания – функциональная рентгенография определяется:
- смещение кзади тел L позвонков (нарушение динамической функции), что свидетельствует о нестабильности в сегментах L – L и указывает на дистрофические изменения в межпозвонковых дисках в фазе потери их тургора и о потери фиксационной способности диска, что является начальным проявлением остеохондроза;
- в условиях максимального разгибания определяется гипермобильность в сегментах L – L , которая выражается в большем сближении задних отделов смежных позвонков и уменьшение высоты заднего отдела диска более, чем на ¼, что является достоверным признаком остеохондроза.
4. Дугоотросчатые суставы . Определяется остеосклеротическая субхондральная перестройка структуры костной ткани в дугоотросчатых суставах сегментов L – L с неровностью суставных поверхностей.
Дифференцируются краевые костные разрастания, удлиняющие и деформирующие суставные отростки в сегментах L - L .
5. Межпозвонковые отверстия (на рентгенограммах, произведенных в косых проекциях). Определяется сужение и деформация межпозвонковых отверстий.
ВЫВОД: В результате проведенного рентгенологического исследования поясничного отдела позвоночника с применением стандартной методики и морфометрии выявлено:
- нарушение статической и динамической функций поясничного отдела позвоночника;
- фиксированная деформация поясничного отдела позвоночника во фронтальной плоскости в виде сколиоза с углом искривления равным градусам, что соответствует 1 (первой) степени по классификации В.Д. Чаклина;
- фиксированная деформация поясничного отдела позвоночника в сагиттальной плоскости в виде сглаженности поясничного лордоза;
- дегенеративно - атрофические изменения, отражающие распад межпозвонкового диска с разрушением замыкающих пластинок тел позвонков и внедрением элементов распавшегося диска в тела позвонков в виде мелких узелков Поммера, что свидетельствует о функциональной неполноценности межпозвонковых дисков сегментов L – L ;
- дегенеративно - реактивные изменения: в виде остеофитов (как проявление компенсаторной приспособительной реакции в позвонках на нагрузку, которая падает на измененный диск) в телах L позвонков; в виде субхондрального склероза определяются в телах L позвонков;
- хрящевые узлы тел позвонков (грыжи Шморля) в телах L и являются признаком анатомической и функциональной несостоятельности межпозвонковых дисков в сегментах L ;
- нестабильность в сегментах L – L .
Диагностическое заключение.
Фиксированная патологическая деформация поясничного отдела позвоночника в виде стороннего сколиоза 1 (первой) степени по классификации В.Д. Чаклина, с выраженной ротацией тел L позвонков, с торсией тел L позвонков. Фиксированная патологическая деформация поясничного отдела позвоночника в виде сглаженности поясничного лордоза.
Распространений ограниченный межпозвонковый остеохондроз (хондроз, дискоз) в сегментах L – L , (поражение 3 и более межпозвонковых дисков) – 1 (первая) стадия по классификации Шморль и Юнханс (Schmorl G., Junghans H.; 3 (третья) стадия по классификации Де Сез (De Seze).
Межпозвонковый остеохондроз в сегментах L – L – вторая стадия по классификации Шморль и Юнханс (Schmorl G., Junghans H.).
Признаки нестабильности, анатомическая и функциональная несостоятельность межпозвонковых дисков в сегментах L – L /
Признаки спондилоартроза в сегментах L – L . Вторичное сужение межпозвонковых отверстий в сегментах L – L .
Рекомендации по анализу рентгенограммы поясничных позвонков в ПЗ проекции
Рекомендации по анализу качества изображений (рис. 1):

РИСУНОК 1 Рентгенограмма поясничного отдела позвоночника в косой ПЗ проекции, демонстрирующая правильное его расположение.
• Верхние и нижние суставные отростки видны в профиль
• Видны суставные щели дугоотростчатых суставов
• Корни дуг позвонков визуализируются по середине между центром и латеральным краем тел позвонков (рис. 3, 4 и 5)
• Позвонок L3 находится в центре экспозиционного поля.
• В экспозиционное поле входят 12-й грудной, 1-5 поясничные позвонки, 1-й и 2-й сегменты крестца и крестцово-подвздошные суставы
РИСУНОК 2 Правильное положение пациента для рентгенографии поясничного отдела позвоночника в косой ПЗ проекции. РИСУНОК 3 Анатомические структуры поясничных позвонков, образующие «шотландского терьера». РИСУНОК 4 Рентгенограмма поясничного отдела позвоночника в косой ПЗ проекции при недостаточном повороте пациента. РИСУНОК 5 Рентгенограмма поясничного отдела позвоночника в косой ПЗ проекции при избыточном повороте пациента.
а) ПЗ И ЗП проекции. Это исследование может выполняться как в косой ПЗ, так и в косой ЗП проекции. В косой ПЗ проекции (ПЗК и левой задней косой [ЛЗК] проекции; см. рис. 2) исследуемые дугоотростчатые суставы располагаются ближе к ПИ. В косой заднепередней (ЗП) проекции (ППК и ЛПК проекции) исследуемые дугоотростчатые суставы располагаются дальше от ПИ, вследствие чего подвергаются проекционному увеличению.
б) Признак «шотландского терьера» при правильном повороте поясничного отдела позвоночника. О правильности рентгенографии в косой ПЗ проекции часто судят по визуализации пяти «шотландских терьеров», располагающихся друг над другом. На рисунке 3 показан увеличенный фрагмент рентгенограммы поясничного отдела позвоночника в косой проекции с правильной укладкой, на котором обозначены части «шотландских терьеров». Следует отметить, что «шотландские терьеры» могут визуализироваться даже в том случае, если угол поворота пациента не соответствует требуемым 45°.
Чтобы определить, были ли должным образом повернуты поясничные позвонки, следует обратить внимание на суставную щель каждого дутоотростчатого сустава.
в) Недостаточный поворот позвоночника. Если поясничный отдел позвоночника был повернут недостаточно, чтобы отобразить верхние и нижние суставные отростки (ухо и передняя лапа «шотландского терьера») в профиль, то суставная щель соответствующего дутоотростчатого сустава будет закрыта, корень дуги позвонка (глаз «шотландского терьера») будет визуализироваться ближе к латеральному краю тела позвонка, а пластинку дуги позвонка (тело «шотландского терьера») будет видно лучше (рис. 4).
г) Избыточный поворот позвоночника. Если поясничный отдел позвоночника был повернут избыточно, чтобы отобразить верхние и нижние суставные отростки в профиль, то суставная щель соответствующего дугоот-ростчатого сустава будет закрыта, корни дуги позвонка будут визуализироваться ближе к срединной линии тела позвонка, а пластинку дуги позвонка будет видно хуже (рис. 5).
Пример анализа рентгенограммы поясничных позвонков в косой ПЗ проекции

а) Анализ. Верхние и нижние суставные отростки не видны в профиль. Суставные щели соответствующих дутоотрост-чатых суставов закрыты. Корни дуг позвонков визуализируются ближе к срединной линии тел позвонков. Пациент был повернут более чем на 45°.
б) Коррекция. Уменьшите поворот пациента так, чтобы срединная коронарная плоскость располагалась под утлом 45° к ПИ.
Рекомендации по анализу качества рентгенограмм (рис. 1):

РИСУНОК 1 Рентгенограмма поясничного отдела позвоночника в ПЗ проекции, демонстрирующая правильное его расположение.
• Видны поясничные мышцы
• Остистые отростки располагаются по срединной линии тел позвонков на равном расстоянии от корней дуг позвонков
• Крестец и копчик визуализируются по центру входа в малый таз (рис. 3)
• Сколиоз: рис. 4 и 5
• Межпозвонковые щели открыты
• Отсутствует дисторсия тел позвонков (см. рис. 6, 7 и 8)
• Продольная ось поясничного отдела позвоночника совмещена с продольной осью экспозиционного поля
• Позвонок L3 находится в центре экспозиционного поля
• Экспозиционное поле 20x43 см: в поле входят 12-й грудной, 1-5 поясничные позвонки, крестцово-подвздошные суставы, крестец, копчик и поясничные мышцы
• Экспозиционное поле 20x35 см: в поле входят 12-й грудной, 1-5 поясничные позвонки, крестцово-подвздошные суставы и поясничные мышцы
РИСУНОК 2 Правильное положение пациента для рентгенографии поясничного отдела позвоночника в ПЗ проекции. РИСУНОК 3 Рентгенограмма поясничного отдела позвоночника в ПЗ проекции. Левая сторона располагалась к ПИ ближе, чем правая.
а) Отображение поясничной мышцы. Поясничные мышцы являются важными мягкотканными структурами, видимыми на рентгенограммах поясничного отдела позвоночника. Они располагаются латеральнее поясничных позвонков, отходя от первого поясничного позвонка с каждой стороны и прикрепляясь к малым вертелам соответствующей стороны. Они осуществляют боковое сгибание, вращение бедра и сгибание позвоночника.
При правильных укладке и выборе технических параметров исследования эти мышцы на рентгенограмме поясничного отдела позвоночника в ПЗ проекции визуализируются по обе стороны от тел позвонков в виде длинных треугольных мягкотканных теней.
б) Ротация. Верхние и нижние поясничные позвонки могут вращаться независимо друг от друга или вместе, что определяется тем, какая часть туловища была повернута. Если была повернута грудная клетка, а таз оставался в исходном положении, то на рентгенограмме ротированы будут верхние поясничные позвонки. Если был повернут таз, а грудная клетка оставалась в исходном положении, то ротированы будут нижние поясничные позвонки. Если грудная клетка была повернута вместе с тазом, то ротирован будет весь поясничный отдел позвоночника.
При ротации остистые отростки отодвигаются от средней линии ближе к корням дуг позвонков на соответствующей стороне, вследствие чего расстояние между остистыми отростками и корнями дут позвонков с каждой стороны становится разным (рис. 3). На стороне, в которую остистые отростки поворачиваются, расстояние между ними и корнями дут позвонков меньше, чем на стороне, расположенной дальше от приемника изображения (ПИ). Ротацию нижних поясничных позвонков также можно выявить, оценив положение крестца и копчика относительно входа в малый таз.
Если крестец и копчик визуализируются в центре входа в малый таз, то ротация отсутствовала. При ротации крестец и копчик будут визуализироваться ближе к той боковой поверхности входа в малый таз, которая находилась дальше от ПИ.
РИСУНОК 4 Рентгенограмма поясничного отдела позвоноч ника в ПЗ проекции при выраженном сколиозе. РИСУНОК 5 Рентгенограмма поясничного отдела позвоночника в ПЗ проекции при слабом сколиозе. РИСУНОК 6 Рентгенограммы поясничного отдела позвоночника пациента в боковой и ПЗ проекциях. Показано положение межпозвонковых щелей. РИСУНОК 7 Положение ЦЛ и поясничных позвонков при разогнутых нижних конечностях. РИСУНОК 8 Рентгенограмма поясничного отдела позвоночника в ПЗ проекции при разогнутых тазобедренных и коленных суставах. РИСУНОК 9 Положение ЦЛ и поясничных позвонков при согнутых нижних конечностях.
в) Сколиоз. Тела поясничных позвонков также могут казаться ротированными при сколиозе. Выраженный сколиоз (рис. 4) отличить от ротации достаточно легко в отличие от небольшого сколиоза (рис. 5). Несмотря на то, что как при сколиозе, так и при ротации расстояние между корнями дут позвонков и остистыми отростками будет разным, существуют определенные признаки, по которым оба состояния можно различить.
Так, при ротации продольная ось позвоночного столба остается прямой, а при сколиозе позвоночный столб отклоняется вбок. Если на рентгенограмме поясничные позвонки ротированы, это могло произойти вследствие ротации верха или низа туловища.
Средние поясничные позвонки (L3 и L4) могут быть ротированы только при ротации нижних грудных, верхних или нижних поясничных позвонков. Напротив, при сколиозе на рентгенограмме могут быть ротированы только средние поясничные позвонки.
Если выполнять рентгенографию поясничного отдела позвоночника в ПЗ проекции в таком положении пациента, то межпозвонковые щели верхних (L1 и L2) и нижних (L4 и L5) позвонков будут закрыты, тела этих позвонков будут деформированы, а крестец будет проекционно укорочен, поскольку располагается на большем расстоянии от лобкового симфиза (рис. 8).
Пример анализа рентгенограммы поясничных позвонков в ПЗ проекции

а) Анализ. Расстояние между корнями дуг позвонков и остистыми отростками справа больше, чем слева. Пациент был повернут вправо как для правой задней косой (ПЗК) проекции.
б) Коррекция. Поверните пациента влево так, чтобы срединная коронарная плоскость была параллельна ПИ.
Рентген пояснично-крестцового отдела позвоночника: что показывает
Рентген пояснично-крестцового отдела – это простой и доступный метод диагностики, позволяющий выявлять опухоли, переломы, деформации, воспалительные и дегенеративные заболевания позвоночника. Рентгенографию можно сделать в любом медицинском учреждении.

Рентгенологическое исследование визуализирует только костные структуры позвоночника. Связки, нервы, сосуды, мягкие ткани, межпозвонковые диски (МПД) и суставы на рентгенограммах не видны. Из-за этого исследование уступает по информативности магнитно-резонансной томографии (МРТ). Последнюю назначают, если традиционная рентгенография не позволяет получить нужную информацию о состоянии позвоночника.
Кому и зачем назначают рентгенографию
Исследование назначают людям с травмами спины. Основная цель рентгенографии– выявление травматической деформации позвоночного столба, вывихов, подвывихов и переломов позвонков. Лучевое обследование может назначать хирург или невропатолог.
Для диагностики травматических повреждений связочного аппарата врачи используют функциональную рентгенографию. Ее суть заключается в получении снимков в фазы максимального сгибания и разгибания. О нестабильности позвоночника говорит смещение позвонков более чем на 1-2 мм.
Рентгенографию обязательно делают пациентам с вертеброгенным болевым синдромом, который может быть проявлением остеохондроза, сколиоза, спондилолистеза, анкилозирующего спондилоартроза, туберкулезного спондилита, ревматоидного артрита, лигаментоза, межпозвонковых грыж, опухолей спинного мозга или других заболеваний.

На рентгенограммах не всегда удается хорошо рассмотреть патологические изменения в позвоночном столбе. Поэтому врачи дополнительно назначают пациентам КТ, МРТ, сцинтиграфию, миелографию или другие исследования.
Пару слов о других методах лучевой диагностики:
- На компьютерных томограммах хорошо видны переломы тел, дуг и отростков позвонков, стенки позвоночного канала. При введении в субарахноидальное пространство контрастного вещества (миелографии) с помощью КТ выявляют дислокацию спинного мозга, гематомы, абсцессы, опухоли и травматические грыжи межпозвонковых дисков.
- МРТ позволяет визуализировать любые повреждения спинного мозга и мягких тканей позвоночника. В отличие от КТ, это исследование малоинформативно в выявлении костных дефектов.
Подготовка и проведение обследования
При острой травме рентген пояснично-крестцового отдела делают без подготовки. Пациента ставят, сажают или укладывают в нужную позу, делают снимки. Для выявления травматических повреждений позвоночника обычно делают рентгенографию в двух проекциях.

Если рентген пояснично-крестцового отдела позвоночника выполняют в плановом порядке, человеку требуется специальная подготовка.
Ее основные шаги:
- За 2-3 дня до обследования пациента просят полностью исключить из рациона газообразующие продукты (дрожжевую выпечку, газированные напитки, бульоны, молокопродукты). Это необходимо, чтобы скопившиеся в кишечнике газы не помешали получить четкое изображение позвоночника.
- В это же время человеку нужно принимать активированный уголь. Рекомендованная доза – 2 таблетки по 3 раза в день.
- За несколько часов до обследования пациенту делают очистительную клизму. Это необходимо для удаления из кишечника газов и каловых масс, которые мешают нормальному прохождению рентгеновских лучей.
- Накануне исследования ужинать нужно не позже 19 часов. В день посещения рентгенологического кабинета завтракать нельзя. Рентгенография проводится натощак.
Приведенных выше советов достаточно, чтобы вы смогли правильно подготовиться к процедуре. Выясним, как делают рентген пояснично-крестцового отдела позвоночника.
Снимки могут делать в разных проекциях и положениях. Во время обследования пациент может сидеть, стоять или лежать. Выбор положения тела зависит от того, изображение каких структур позвоночника нужно получить. Проследив, чтобы исследуемый принял правильную позу, рентгенолог устанавливает рентгеновскую трубку, выходит из комнаты и делает снимок. Все это время пациент должен оставаться неподвижным.
Получив изображения, врач описывает и расшифровывает их. Затем он отдает рентгенограммы вместе с заключением на руки пациенту. Тот может показать снимки лечащему врачу или любому другому специалисту.
Нынешние технологии позволяют выполнять не только обычную, но и цифровую рентгенографию. Последняя позволяет сохранить полученный снимок на цифровом носителе. Такое изображение можно хранить на диске или флэшке.
Что показывает рентген пояснично-крестцового отдела позвоночника
Большинство рентгенологических признаков, которые выявляют при исследовании, являются неспецифическими. Это значит, что они не позволяют достоверно поставить точный диагноз. Чтобы подтвердить заболевание, врачи должны учитывать анамнестические данные, клинические симптомы и результаты других методов исследования.
Большинство болезней диагностируют по их косвенным признакам (например, разрыв связок – по смещению позвонков при функциональном исследовании, остеохондроз – по наличию остеофитов и уменьшению расстояния между позвонками). Трудностей в диагностике обычно не возникает при переломах, которые хорошо визуализируются на рентгенограммах.

Для многих заболеваний позвоночника характерна похожая рентгенологическая картина. Например, уменьшение межпозвонковых щелей и субхондральный склероз могут указывать на остеохондроз, болезнь Бехтерева, спондилоартрит, ревматоидный артрит, протрузии или грыжи межпозвоночных дисков.
Дефекты, которые выявляются при рентгенографии:
- остеофиты — костные разрастания по краям позвонков. Внешне выглядят, как крючки;
- изменение расстояния между дисками. Является следствием дегенеративных или травматических повреждений МПД. Выглядит, как сужение щели между отдельными позвонками;
- субхондральный склероз и остеосклероз. Характеризуются патологическим разрастанием и уплотнением костной ткани рядом с МПД и/или в области межпозвонковых суставов;
- оссификация передней продольной связки. Развивается из-за отложения солей кальция. Внешне выглядит, как уплотнение на передней поверхности позвонков. Обычно указывает на спондилез; . Проявляется снижением плотности костной ткани, которую легко заметить на снимках. Может говорить о системном остеопорозе или туберкулезном поражении позвоночного столба. Остеопения – один из косвенных признаков деформирующего остеоартроза.

Таблица 1. Рентгенологические признаки распространенных заболеваний и травм позвоночника
| Патология | Описание болезни | Проявления на рентгенограммах |
| Перелом | Представляет собой нарушение целостности тел, дуг или отростков позвонков | Выглядит, как четкая линия, которую легко заметить на снимке |
| Спондилолистез | Характеризуется смещением позвонка со своего места. Может быть следствием травм, пороков развития или дегенеративных изменений позвоночника | Проявляется смещением пораженного позвонка, его соскальзыванием вперед |
| Сколиоз | Для патологии характерно боковое искривление позвоночного столба | Деформацию позвоночного столба хорошо видно на рентгенограммах в боковой проекции |
| Остеохондроз | Постепенно разрушаются ядра МПД. В дальнейшем в патологию вовлекаются фиброзные кольца дисков и межпозвоночные суставы | К типичным признакам остеохондроза относится сужение межпозвоночных щелей, субхондральный склероз, появление краевых остеофитов и оссификация продольной связки. На начальных стадиях болезни рентгенологических изменений нет. Выявить патологию можно только с помощью МРТ |
| Грыжа межпозвонкового диска | Для патологии характерен разрыв фиброзного кольца со смещением ядра МПД | Проявляется уменьшением расстояния между позвонками |
| Анкилозирующий спондилит | Тяжелое заболевание, которое со временем приводит к полному обездвиживанию поясничного отдела позвоночника | Проявляется склерозом замыкательных пластинок, уменьшением щелей между позвонками, появлением краевых остеофитов и кальцификатов. На поздних стадиях болезни образуются анкилозы |
| Спондилез | Проявляется дегенеративными изменениями межпозвонковых суставов, ограничением подвижности. Нередко развивается на фоне остеохондроза | На рентгенограммах выглядит, как остеохондроз |
| Туберкулез позвоночника | Характеризуется специфическим воспалением костей позвоночника. Возникает из-за гематогенного занесения микобактерий | При костно-суставном туберкулезе на рентгенограммах можно увидеть участки подхрящевой эрозии и деструкцию замыкательных пластинок. Врачи выявляют повышенную прозрачность костной ткани, свидетельствующую об остеопении |
| Опухоли и их метастазы | Новообразования различной локализации, злокачественные или доброкачественные | Выглядят, как очаговые дефекты костной ткани. Опухоли позвоночника и субарахноидального пространства определяются на КТ с контрастом |
Не пытайтесь самостоятельно расшифровать рентген пояснично-крестцового отдела позвоночника. Не имея знаний, вы не сможете этого сделать. Если сомневаетесь в заключении врача – покажите снимок другим специалистам.
Рекомендации по анализу рентгенограммы поясничных позвонков в боковой проекции
Рекомендации по анализу качества рентгенограммы (рис. 1):

РИСУНОК 1 Рентгенограмма поясничного отдела позвоночника в боковой проекции, демонстрирующая правильное его расположение.
• Визуализируются межпозвонковые отверстия. Остистые отростки видны в профиль
• Корни дуг позвонков, задние края тел позвонков справа и слева накладываются друг на друга (рис. 3)
• Отсутствуют дисторсия тел позвонков (рис. 4 и 5)
• Поясничный отдел позвоночника находится в нейтральном положении между сгибанием и разгибанием
• Сгибание: рис. 8 и 9
• Разгибание: рис. 10 и 11
• Экспозиционное поле 20x35 см: позвонок L3 находится в центре экспозиционного поля
• Экспозиционное поле 20x43 см: позвонок L4 и гребень подвздошной кости находятся в центре экспозиционного поля
• Экспозиционное поле 20x35 см: в экспозиционное поле входят 12-й грудной, 1-5 поясничные позвонки и межпозвонковая щель L5-S1
• Экспозиционное поле 20x43 см: в экспозиционное поле входят 11 и 12 грудные, 1-5 поясничные позвонки и крестец
РИСУНОК 2 Правильное положение пациента для рентгенографии поясничного отдела позвоночника в боковой проекции. РИСУНОК 3 Рентгенограмма поясничного отдела позвоночника в боковой проекции. Правая сторона была повернута назад. РИСУНОК 4 Неправильное положение позвоночного столба и рентгеновского стола. РИСУНОК 5 Рентгенограмма поясничного отдела позвоночника в боковой проекции. Позвоночный столб был наклонен к ПИ. РИСУНОК 6 Положение ЦЛ и поясничного отдела позвоночника при сколиозе. РИСУНОК 7 Рентгенограммы поясничного отдела позвоночника в ПЗ и боковой проекциях при сколиозе. ЦЛ был направлен в сторону выпуклой стороны сколиотической дуги. РИСУНОК 8 Правильное положение пациента для рентгенографии поясничного отдела позвоночника в боковой проекции со сгибанием. РИСУНОК 9 Рентгенограмма поясничного отдела позвоночника в боковой проекции со сгибанием. РИСУНОК 10 Правильное положение пациента для рентгенографии поясничного отдела позвоночника в боковой проекции с разгибанием. РИСУНОК 11 Рентгенограмма поясничного отдела позвоночника в боковой проекции с разгибанием. РИСУНОК 12 Правильное положение ЦЛ и продольной оси светового поля. Звездочками отмечены задний край крыла подвздошной кости и передняя верхняя подвздошная ость. РИСУНОК 13 Экранирование гонад при рентгенографии позвоночника, крестца и копчика в боковой проекции. РИСУНОК 14 Правильное экранирование гонад при рентгенографии позвоночника, крестца и копчика в боковой проекции.
а) Ротация. Верхние и нижние поясничные позвонки могут вращаться независимо друг от друга или вместе, что определяется тем, какая часть туловища была повернута. Если была повернута грудная клетка, а таз оставался в исходном положении, то на рентгенограмме ротированы будут верхние поясничные позвонки. Если был повернут таз, а грудная клетка оставалась в исходном положении, то ротированы будут нижние поясничные позвонки.
Если грудная клетка была повернута вместе с тазом, ротирован будет весь поясничный отдел позвоночника. Выявить ротацию на рентгенограмме поясничного отдела позвоночника в боковой проекции можно, оценив степень наложения друг на друга заднего края правой и левой половин тел позвонков. При отсутствии ротации края будут совмещены. При ротации один задний край одной из половин будет смещен вперед относительно заднего края другой половины (рис. 3).
Поскольку обе половины позвонков, грудной клетки и таза являются зеркальным отображением друг друга, то при ротации определить по рентгенограмме в боковой проекции, какая сторона туловища была смещена вперед, а какая назад, весьма трудно. Эта задача упрощается, если на рентгенограмме видны задние отрезки двенадцатых ребер. Так, проекционно увеличен и визуализируется ниже тот задний отрезок, который располагается дальше от ПИ.
б) Визуализация межпозвонковых щелей. Если пациент лежит на боку, поясничный отдел позвоночника может центральной частью прогнуться в сторону ПИ (рис. 4), либо остаться прямым, но наклониться под утлом к ПИ. Чаще всего это происходит у пациентов с широкими плечами и узкими бедрами или широкими бедрами и узкой талией. Небольшое провисание является приемлемым и позволяет даже лучше выровнять рентгеновские лучи относительно межпозвонковых дисков.
Но если поясничный отдел позвоночника характеризуется избыточным прогибом или наклоном, расходящиеся рентгеновские лучи не будут проходить параллельно межпозвонковым щелям и перпендикулярно телам позвонков, вследствие чего на рентгенограмме межпозвонковые щели будут закрыты, а тела позвонков деформированы (рис. 5). При избыточном прогибе поясничного отдела позвоночника можно проложить между боковой поверхностью тела и рентгеновским столом над уровнем подвздошного гребня рентгенонегативную губчатую подкладку, позволяющую компенсировать прогиб.
Губчатая подкладка должна быть достаточно широкой, чтобы, приподняв поясничный отдел позвоночника, расположить его параллельно ПИ (см. рис. 2). При наклоне поясничного отдела позвоночника относительно ПИ правильно отобразить межпозвонковые щели и тела позвонков можно, наклонив ЦЛ так, чтобы он проходил перпендикулярно поясничному отделу позвоночника.
в) Сколиоз. При рентгенографии поясничного отдела позвоночника в боковой проекции неважно, на каком боку лежит пациент, но рентгенолаборантам бывает проще расположить пациента именно на левом боку. Одним из исключений из этого правила является сколиоз, при котором пациент должен лежать на рентгеновском столе так, чтобы ЦЛ был направлен в вогнутую сторону сколиотиче-ской дуги, чтобы лучше отобразить межпозвонковые щели (рис. 6).
Для этого следует осмотреть спину пациента, обратив внимание на изгиб позвоночника, и оценить рентгенограмму в ПЗ проекции. На рисунке 7 представлены рентгенограммы поясничного отдела позвоночника в ПЗ и боковой проекциях при правостороннем сколиозе. При рентгенографии в боковой проекции пациент лежал на левом боку, вследствие чего расхождение рентгеновских лучей не соответствовало изгибу позвоночника, и на полученной рентгенограмме межпозвонковые щели оказались закрыты.
г) Сгибание и разгибание поясничного отдела позвоночника. Если следует оценить подвижность поясничного отдела позвоночника, то его рентгенографию в боковой проекции следует выполнять в положении максимального сгибания и максимального разгибания. Сделать это можно как в вертикальном положении пациента, так и лежа на спине. Для максимального сгибания попросите пациента выдвинуть плечи, верх грудной клетки и колени вперед, словно сжавшись в плотный шар (рис. 8).
Полученная рентгенограмма должна соответствовать всем требованиям, предъявляемым к рентгенограмме в боковой проекции со стандартной укладкой, за исключением того, что поясничный отдел позвоночника будет выпрямлен (рис. 9). Для максимального разгибания попросите пациента разогнуть плечи, верх грудной клетки и нижние конечности как можно дальше назад (рис. 10). Полученная рентгенограмма должна соответствовать всем требованиям, предъявляемым к рентгенограмме в боковой проекции со стандартной укладкой, за исключением того, что поясничный отдел позвоночника будет характеризоваться избыточным лордозом (рис. 11).
д) Положение поясничных позвонков и ЦЛ. Если продольную ось поясничного отдела позвоночника совместить с продольной осью светового поля коллиматора, можно будет уменьшить размер экспозиционного поля, снизить лучевую нагрузку на пациента и уменьшить рассеивание излучения. Поясничные позвонки располагаются в задней половине туловища. Точнее определить их положение можно, пропальпировав переднюю верхнюю подвздошную ость (ПВПО) и задний край крыла подвздошной кости (на уровне крестцово-подвздошного сустава) со стороны, расположенной дальше от ПИ.
Продольная ось поясничного отдела позвоночника находится на коронарной плоскости, проходящей по середине между этими двумя структурами (рис. 12).
е) Дополнительная проекция поясничной области L5-S1. Если на рентгенограмме поясничного отдела позвоночника в боковой проекции ее контрастное разрешение в области L5-S1 недостаточно или межпозвонковая щель L5-S1 закрыта, то следует выполнить прицельную рентгенографию этой области. У пациентов с широкими бедрами бывает сложно задать параметры экспозиции так, чтобы адекватно отобразить и верхние, и нижние поясничные позвонки. В таких случаях задают такие параметры экспозиции, которые позволяют адекватно отобразить верхнюю поясничную область. Затем выполняют рентгенографию области L5-S1 в боковой проекции с малым размером коллимированного поля. Описание этой методики приводится далее в этой главе.
ж) Экранирование гонад. При рентгенографии в этой проекции можно осуществлять экранирование гонад, но так, чтобы необходимые анатомические структуры не были закрыты. Начните с пальпации копчика и ПВПО, отдаленной от ПИ. Затем мысленно соедините копчик с точкой, лежащей на 2,5 см позади ПВПО, и расположите край экрана или свинцового фартука спереди воображаемой линии (рис. 13). Такой способ экранирования может применяться также при рентгенографии крестца и копчика в боковой проекции, поскольку позволяет избежать экранирования интересующих областей (рис. 14).
Пример анализа рентгенограммы поясничных позвонков в боковой проекции

а) Анализ. Задние поверхности левой и правой половины тел позвонков не совмещены. Пациент был повернут правой стороной вперед.
б) Коррекция. Поверните пациента правой стороной назад так, чтобы срединная коронарная плоскость располагалась перпендикулярно ПИ.
Читайте также:
