Рентгенография, КТ при язве желудка
Добавил пользователь Валентин П. Обновлено: 10.01.2026
а) Терминология:
1. Аббревиатура:
• Язва желудка (ЯЖ)
2. Определения:
• Воспалительная эрозия слизистой оболочки желудка, которая может распространяться на подслизистую основу или глубже
б) Визуализация:
1. Общая характеристика:
• Лучший диагностический критерий:
о «Ниша» с четкими краями, заполненная бариевой взвесью, с наличием конвергенции складок к центру язвы при рентгеноскопии (-графин) желудка
• Локализация:
о Доброкачественная ЯЖ:
- Чаще всего возникает в области задней стенки желудка по малой кривизне в антральном отделе или теле желудка
- В 3-11% возникает по большой кривизне, в 1-7% на передней стенке
о Злокачественная ЯЖ:
- Возникает обычно со стороны большой кривизны
• Морфология:
о При рентгеноскопии (-графин) желудка, виртуальной КТ гастроскопии и фиброгастроскопии морфологические критерии язвы схожи
о Доброкачественная язва:
- Четко отграниченный дефект слизистой (язва); ровные гладкие складки, сходящиеся к краю язвенного дефекта
- Язва проецируется за пределами предположительного контура желудка при рентгеноскопии (-графии) и КТ
о Злокачественная язва:
- Имеет неправильную форму, неровные асимметричные края; для сходящихся к краю язвы складок характерна неравномерная ширина, прерывистость
- Не проецируются вне контура желудка

(Слева) На КТ с контрастным усилением, выполненной по поводу пенетрирующей язвы желудка, определяются выбухающие складки вдоль большой кривизны и воспалительные изменения в прилежащей брыжеечной клетчатке. Обратите внимание на отграниченное скопление жидкости, тесно прилежащее к желудку.
(Справа) На рентгенограмме в боковой проекции, выполненной во время рентгеноскопии желудка у этого же пациента, визуализируются утолщенные складки желудка и язва, проецирующаяся за пределами контура желудка по большой кривизне. Расположение язвы соотносится с локализацией жидкости и воспалительных изменений, обнаруженных на КТ.
2. Рентгенография при язве желудка:
• Рентгеноскопия верхних отделов ЖКТ:
о Доброкачественная язва, вид сбоку:
- «Ниша» округлой/овоидной формы, заполненная бариевой взвесью
- Линия Хемптона: тонкая, рентгенпрозрачная «полоска», отделяющая бариевую взвесь в просвете желудка от содержимого «ниши»
- Язвенный вал; полукруглое возвышение, проецирующееся в просвете желудка по обеим сторонам от язвы, наружный край которого пологий и образует со стенкой желудка тупой угол; наличие вала обусловлено отеком или воспалением
- Рентгенпрозрачный «ободок» вокруг язвы, обусловленный отеком слизистой оболочки
- Язва проецируется вне стенки желудка
- Конвергенция складок к краю ниши, складки ровные и симметричные
- Симптом «указующего перста»: ровное тонкое втяжение стенки на противоположной стороне от язвы в результате мышечного сокращения
- Язвы в дистальных отделах желудка по большой кривизне обусловлены приемом НПВС
о Злокачественная язва, вид сбоку:
- Симптом Carman: наличие «ниши» с рентгенпрозрачными приподнятыми краями
- Не проецируется вне предполагаемого контура желудка
- Отдельно лежащее объемное образование образует острые углы со стенкой желудка
о Злокачественная язва, вид спереди:
- «Ниша» неправильной формы, расположенная эксцентрично в объемном образовании
- Узловидно измененные, неравномерно утолщенные, сливающиеся или резко обрывающиеся складки
3. КТ при язве желудка:
• КТ с внутривенным контрастным усилением, с использованием воды или водорастворимого перорального контраста, а также пероральных средств, распадающихся с выделением газа с целью оптимального растяжения желудка:
о КТ позволяет непосредственно обнаружить язву в виде выпячивания стенки
о Косвенные признаки:
- Утолщение стенки, сужение просвета желудка
- Подслизистый отек
- Инфильтрация окружающих тканей или органов (печени, поджелудочной железы)
- Свободный газ или пероральный контраст в брюшной полости или сальниковой сумке:
Количество может варьировать
- Злокачественная ЯЖ:
Могут быть обнаружены лимфатические узлы возле язвы, метастазы по брюшине и в печени
о Виртуальная КТ-гастроскопия:
- Необходимо оптимальное растяжение просвета желудка газом, использование тонких аксиальных срезов
- Мультипланарное реформатирование и трехмерные реконструкции желудка
- Сообщается, что КТ-гастроскопия обладает сопоставимой точностью по сравнению с фиброгастросколией в диагностике доброкачественных и злокачественных язв
4. Рекомендации по визуализации:
• Лучший метод визуализации:
о Рентгеноскопия (-графия) верхних отделов ЖКТ для визуализации язвы
о КТ при осложнениях; язва также может быть обнаружена непосредственно
о Виртуальная КТ гастроскопия, выполненная опытным специалистом, может составить конкуренцию фиброгастроскопии
• Выбор протокола исследования:
о При рентгеноскопии (-графии): снимки дна и тела желудка с тугим заполнением и компрессией в положении пациента лежа на животе (с дополнительным приемом негустой бариевой взвеси)

(Слева) При нативной КТ, показанием к которой послужила перфорация язвы желудка, визуализируется утолщенная стенка желудка и большое количество свободного газа в полости брюшины. Внепросветный контраст и газ определяются также возле передней поверхности желудка, что отражает наличие перфоративной язвы.
(Справа) У этого же пациента имеются признаки выхода контрастного вещества за пределы желудка, а в результате смешивания контраста с асцитической жидкостью она становится гиперденсной. Обратите внимание, что язва желудка может открываться в малый брюшинный мешок либо в основную полость брюшины, как и произошло в этом случае.
в) Дифференциальная диагностика язвы желудка:
1. Гастрит:
• В значительной степени утолщенные складки желудка, плоские эрозии
• Ограничение растяжимости, обычно в антральном отделе
• Гастрит, вызванный Н. pylori:
о Утолщение складок в области тела/антральном отделе желудка
о Увеличение желудочных полей (3 мм и больше)
2. Стромальная опухоль желудка (ГИСО):
• Часто более очевидна на КТ, выглядит как экзофитное объемное образование
• При размере > 2 см возникает изъязвление с центральным дефектом в объемном образовании с ровными или слегка дольчатыми контурами (симптом «бычьего глаза» или «мишени»)
• Рентгеноскопия (-графия) желудка: объемное образование под слизистой оболочкой с ровной поверхностью, проявляющееся в виде дефекта наполнения; края образования находятся под прямым или минимально тупым углом к стенке желудка
3. Метастазы в стенке желудка и лимфома:
• Злокачественная меланома:
о Для меланомы характерно гематогенное метастазирование в желудок
о Из-за изъязвления слизистой над интрамуральными метастазами возникает симптом «бычьего глаза» или «мишени»
• Саркома Капоши:
о Поражение ЖКТ при саркоме Калоши происходит в 50% случаев, обычно в сочетании с кожными проявлениями
о Поражения являются «приподнятыми», имеют место подслизистые дефекты 0,5-3 см
о Часто язвы имеют вид «бычьего глаза» или «мишени»
• Лимфома желудка:
о Чаще возникает в желудке, чем в других отделах ЖКТ
о 50% случаев ограничены поражением желудка
о Утолщенная в виде узла (или циркулярно) стенка желудка имеет мягкотканную плотность
4. Артефакты:
• Осадок частиц бариевой взвеси:
о Частицы бария могут напоминать мелкие язвы; не проецируются вне пределов стенки, что является признаком, позволяющим отличить их от язв
о Отсутствует отек слизистой оболочки и конвергенция складок
• «Сталактиты»:
о Свисающие со стороны передней стенки желудка капельки бариевой взвеси
о Дифференцировать «сталактит» от язвы можно при рентгеновских исследованиях с двойным контрастированием; «сталактит» является преходящим явлением

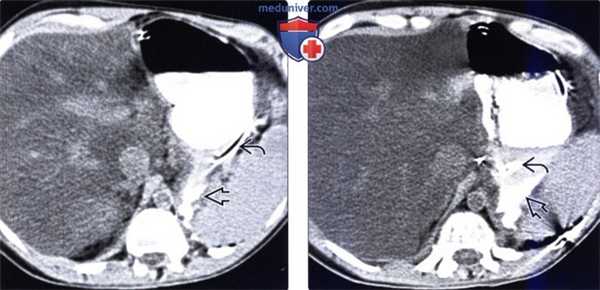
(Слева) На нативной КТ, выполненной мужчине, страдающему алкоголизмом, с жалобами на боль и снижением артериального давления, определяется диффузное уменьшение плотности печени, которое можно объяснить стеатозом либо массивным некрозом печени. Положение назогастрального зонда отмечает заднюю поверхность желудка. Контрастное вещество выходит в малый брюшинный мешок через перфорированную язву.
(Справа) На КТ у этого же пациента визуализируется назогастральный зонд , а также скопление контрастного вещества в малом брюшинном мешке. Во время операции подтвердилась язва, было осуществлено ее ушивание, однако пациент погиб из-за развития острой печеночной недостаточности.
г) Патология:
1. Общая характеристика язвы желудка:
• Этиология:
о Два важнейших фактора риска: Н. pylori (60-80%) и прием НПВС (20%)
о Другие факторы риска включают в себя прием стероидных гормонов; табакокурение; употребление алкоголя, кофе; заброс желчи в желудок; замедленное опорожнение желудка
о Менее частые причины
- Синдром Золлингера-Э:ллисона
- Гиперпаратиреоз
- Поражение головного мозга при ЧМТ (язва Кушинга)
- Ожоги (язва Керлинга)
о Патогенез:
- Кислотность желудка может быть нормальной/пониженной
- Нарушение слизистого барьера желудка геликобактерной инфекцией или НПВС приводит к поражению слизистой оболочки кислотой
• Генные нарушения:
о Синдромы:
- Множественная эндокринная неоплазия I типа (МЭН 1)
- Системный мастоцитоз
о Конкордантность выше у однояйцевых близнецов
о Частота возникновения язвы желудка выше у людей с первой группой крови
• Необходимость в дополнительных методах диагностики:
о При обнаружении признаков явной доброкачественной язвы при рентгеноскопии (-графии) с двойным контрастированием других исследований не требуется
о Если имеются сомнения в доброкачественности язвы:
- Эндоскопическая биопсия для исключения малигнизации
- Если при фиброгастроскопии и исследовании биоптата не выявлено признаков рака, необходимо динамическое наблюдение путем рентгеноскопии желудка
• Множественные язвы:
о В 80% случаев являются доброкачественными, наиболее частая причина их возникновения-прием НПВС
2. Макроскопические и хирургические особенности:
• Форма язвы - округлая или овальная; края-четкие, язва как-будто «выштампована» в стенке желудка, стенки ее ровные; прилежащая слизистая - уплощена
3. Микроскопия:
• Некротический дебрис, зоны активного воспаления, грануляционная и рубцовая ткань
д) Клинические особенности:
1. Проявления язвы желудка:
• Наиболее частые признаки/симптомы:
о Может протекать бессимптомно или проявляться анемией, желудочно-кишечным кровотечением
о Жгучая, ноющая боль в эпигастрии
о Выраженность симптоматики обычно не уменьшается после приема пищи и антацидных препаратов
о Внезапное пробуждение от сильной боли (33%)
о Отказ от приема пищи и снижение веса тела (50%)
• Диагноз устанавливается на основании фиброгастроскопии и биопсии
2. Демография:
• Возраст:
о Обычно старше 40 лет
• Пол:
о М = Ж
• Эпидемиология:
о Доброкачественные язвы (95%), злокачественные (5%)
о Часто язвы бывают множественными (20-30%)
3. Течение и прогноз:
• Осложнения:
о Кровотечение, перфорация, обструкция, формирование свищевого хода
• Прогноз:
о Благоприятный при консервативном/хирургическом лечении
4. Лечение язвы желудка:
• При язве, не ассоциированной с Н. pylori: блокаторы Н2-гистаминовых рецепторов (циметидин, ранитидин, фамотидин) или ингибиторы протонной помпы (омепразол, лансопразол)
• Антигеликобактерная терапия: метронидазол, препараты висмута в сочетании с кпаритромицином, амоксициллином или антибиотиками тетрациклинового ряда
• При язве, вызванной Н. pylori: антигеликобактерная терапия и одновременный прием блокаторов Н2-гистаминовых рецепторов или ингибиторов протонной помпы
• При язве, вызванной приемом НПВС: мизопростол и прекращение приема НПВС
• При других язвах: сукральфат
• Оперативное вмешательство необходимо при:
о Рецидивирующей или не поддающейся консервативному лечению язве
о Возникновении осложнений
о Сомнительных или подозрительных лучевых или эндоскопических изменениях
е) Диагностическая памятка. Советы по интерпретации изображений:
• Доброкачественная язва желудка: «ниша», линия Хемптона, вал или «воротник» вокруг язвы, гладкие складки с конвергенцией
• Злокачественная язва желудка: симптом Carman, узловидно измененные, утолщенные, «обрубленные» складки
Рентгенография, КТ при язве желудка
Лучевая диагностика язвы желудка
а) Визуализация язвы желудка:
• Доброкачественная язва желудка:
о Представляет собой четко очерченный дефект слизистой оболочки, с наличием ровных, гладких складок, сходящихся к центру язвы
о Проецируется за пределами предполагаемого контура желудка при рентгеноскопии (-графин) верхних отделов ЖКТ и на КТ
о Обычно возникает по малой кривизне в области задней стенки или в антральном отделе
о На КТ может обнаруживаться утечка газа или перорального контраста в малый брюшинный мешок или основную полость брюшины
• Злокачественная язва:
о Имеет неправильную форму, неровные, ассиметричные края; радиальные складки неравномерно утолщены, теряют свою непрерывность
о Не проецируется за пределами контура желудка
• Методы лучевой диагностики:
о Рентгеноскопия (-графия) верхних отделов ЖКТ с целью визуализации язвы
о КТ для выявления осложнений; в некоторых случаях на КТ можно также обнаружить язву непосредственно
о КТ-гастроскопия (виртуальная эндоскопия), выполненная опытным специалистом, может конкурировать с фиброгастроскопией
• Глубокие язвы, располагающиеся по большой кривизне в дистальных отделах (1/2), обусловлены приемом НПВС
• Симптом «указующего перста»: ровное, узкое втяжение стенки желудка на противоположной стороне от язвы, возникающее в результате стойкого мышечного сокращения
(Слева) Язва желудка с наличием гладких складок, сходящихся к краю язвенного дефекта. Обратите внимание на втяжение стенки желудка в направлении язвы -симптом «указующего перста».
(Справа) На рентгенограмме, полученной при рентгеноскопии верхних отделов ЖКТ, визуализируется язвенная «ниша» В в проекции антрального отдела желудка по малой кривизне. Обратите внимание на гладкие складки желудка, сходящиеся радиально к краю «ниши». (Слева) На КТ с контрастным усилением, выполненной пациенту с перфоративной язвой желудка, определяется утолщение стенки в антральном отделе желудка и подслизистый отек с наличием включений свободного газа в полости брюшины и асцита. Пациенту потребовалась операция, в ходе которой перфорированная язва в антральном отделе была закрыта путем подшивания сальника.
(Справа) На рентгенограмме желудка, выполненной после оперативного вмешательства этому же пациенту, визуализируется большая препилорическая язва в виде фиксированной «ниши», заполненной бариевой взвесью. Антральный и пилорический отделы желудка деформированы.
б) Дифференциальная диагностика:
• Гастрит
• ГИСО желудка
• Метастазы в стенке желудка и лимфома
• Артефакты
в) Патология:
• Два основных фактора риска: Н. pylori (60-80%) и прием НПВС (20%)
г) Клинические особенности:
• Доброкачественные язвы (95%), злокачественные (5%)
• Часто язвы желудка являются множественными (20-30%)
• Осложнения: кровотечение, перфорация, обструкция выходного отдела желудка, образование свищевого хода
Схема рентгенологических признаков доброкачественной язвы: линия Хемптона, воротник язвы и язвенный вал.
(а) Линия Хемптона: тонкая прямая рентгенопрозрачная линия в области шейки язвы, которая отражает небольшой обод сократившейся слизистой оболочки, окружающей устье язвенного кратера.
(б) Воротник язвы: ровная широкая толстая рентгенопрозрачная полоса, отражающая более выраженные отечные изменения слизистой оболочки, окружающей кратер.
(в) Язвенный вал: ровная двухдолевая полусферическая масса, выступающая в просвет по обе стороны от язвы и отражающая выраженный отек и воспаление вокруг нее. Схема, отражающая классические рентгенологические признаки доброкачественной и злокачественной язв.
(а) Доброкачественная язва желудка характеризуется круглым или овальным язвенным кратером с гладкими краями, а также ровными симметричными складками, расходящимися от краев язвы и возникшими вследствие ретракции стенки желудка, прилежащей к язве.
Доброкачественные язвы желудка обычно выступают за пределы ожидаемого контура стенки желудка (указатели). По большой кривизне визуализирована вырезка, появляющаяся из-за опосредованной язвой ретракции противоположной стенки (стрелка).
(б) При злокачественных язвах выявляют изъязвление неправильной формы и асимметрично утолщенные складки, которые не достигают краев язвы. Злокачественные язвы не выступают за пределы контура стенки желудка (указатели).
В случае крупной, но поверхностной злокачественной язвы определяют признак мениска Кармана — чечевицеобразное скопление бария с внутренним краем, направленным в сторону просвета.
(в) На схеме представлены различные формы складок желудка, возникающих при злокачественных язвах желудка: булавовидные, обрывающиеся, сливающиеся или резко суженные на конце с образованием перемычки. Доброкачественная язва желудка: данные рентгенографии.
При рентгенографии (а) с применением бария и (б) с двойным контрастированием выявлена крупная язва (стрелка), которая представлена округлым скоплением бария по малой кривизне в области антрального отдела.
Язва выступает за пределы контура прилежащей стенки желудка, что служит классическим признаком доброкачественной язвы желудка. Доброкачественная язва желудка: данные КТ.
(а) При КТ с контрастным усилением визуализированы доброкачественная язва в стадии обострения (стрелка), а также выраженный отек стенки тела и антрального отдела желудка.
(б) При эндоскопии выявлены глубокая язва, покрытая желтым экссудатом, расположенная выше угла желудка, и гиперемия прилежащей слизистой оболочки. Злокачественная язва. (а) При 3D КТ-исследовании с реконструкцией поверхности и (б) ВГ визуализированы сливающиеся и обрывающиеся сходящиеся складки (стрелка), которые служат характерным признаком злокачественной язвы желудка.
(в) При эндоскопии выявлены язва неправильной формы, покрытая экссудатом, гиперемия слизистой оболочки и утолщение измененных складок желудка.
(г) При исследовании резецированного участка был установлен местный рак желудка типа IIс+IIа (стрелка). Заживление язвы желудка с образованием рубца: данные рентгенографии.
(а) При рентгенографии выявлены множественные прерывающиеся утолщенные складки желудка, сходящиеся к центральной зоне (стрелки), такие проявления могут быть ошибочно расценены как злокачественная язва.
(б) При резекции обнаружен хронический гастрит с фиброзом подслизистого слоя, что, вероятно, является проявлением зажившей язвы. Язва ДПК: рубцевание луковицы ДПК. При рентгенографии выявлена деформация луковицы ДПК с образованием множественных псевдодивертикулов (стрелки), имеющих вид листка клевера. Осложнения язвы желудка: перфорация. На КТ-изображениях в (а) аксиальной и (б) коронарной проекциях, полученных в венозную фазу контрастирования, выявлены язва передней стенки средней части тела желудка, локальное нарушение целостности стенки желудка (стрелка), пневмоперитонеум и скопление жидкости (указатель). Осложнения язвы желудка: кровотечение.
(а) При КТ в артериальную фазу контрастирования выявлено прохождение внутривенного контрастного вещества, указывающее на активное кровотечение (стрелка) в области луковицы ДПК.
(б) На КТ-изображениях, полученных в венозную фазу, обнаружена гематома (стрелка) в области крупной язвы с воспалительной инфильтрацией (указатель). Осложнения язвы желудка: обструкция пилорического отдела желудка.
В коронарной проекции на томограмме, полученной в венозную фазу контрастирования, выявлена язва ДПК, которая вызывает обструкцию пилорического отдела вследствие рубцевания и фиброза. Осложнения язвы желудка: холецисто-дуоденальный свищ.
(а) При рентгенографии выявлена значительная деформация луковицы ДПК с формированием псевдодивертикула. Визуализирован заполненный барием свищевой ход (стрелка), связанный с пузырным протоком желчного пузыря (указатель).
(б) В сагиттальной проекции КТ-изображения, полученного в венозную фазу контрастирования, выявлен свищевой ход (стрелка), окруженный воспалительной инфильтрацией, который соединен с пузырным протоком желчного пузыря (указатель).
Основной этиологический фактор возникновения как язвы желудка, так и язвы двенадцатиперстной кишки (ДНК) — Н.pylori. По данным различных исследований, частота встречаемости гастритов, ассоциированных с Н. pylori, составляет 60-80% случаев у пациентов с язвой желудка и 95-100% у пациентов с язвой ДНК (Levine, 2008а). К другим возможным причинам относят применение НПВС и глюкокортикоидов, табакокурение, употребление алкоголя и кофе, стресс, дуоденогастральный рефлюкс желчи, замедленное опорожнение желудка. Синдром Золлингера-Эллисона также служит одной из причин возникновения язвы желудка. Выделяют несколько характерных признаков язвы желудка, выявляемых при рентгенографии с контрастированием (Levine, 2008а):
— круглое или овальное скопление бария по малой кривизне или на задней стенке антрального отдела или тела желудка, которое на снимках в боковой проекции может выступать за пределы контура прилежащей стенки желудка;
— желудочные поля, измененные и расширенные в области язвы из-за отека и воспаления прилежащей слизистой оболочки;
— ровные симметричные радиальные складки, сходящиеся к границам язвенного кратера вследствие ретракции стенки желудка, прилежащей к язве;
— тонкая, едва различимая рентгенопрозрачная линия (линия Хемптона), отражающая сокращение слизистой оболочки, окружающей устье язвенного кратера, которая отделяет барий в язвенном кратере от бария в просвете желудка;
— широкая рентгенопрозрачная полоса (воротник язвы), отражающая более выраженные отечные изменения слизистой оболочки вокруг язвы;
— язвенный вал, отражающий значительный отек и воспаление слизистой оболочки, окружающей язву, который выглядит в виде двухдолевого гемисферического образования с ровными контурами, выступающего в просвет с двух сторон от язвы. Иногда из-за связанной с язвой ретракции противоположной стенки появляется вырезка большой кривизны. Линейный кратер может отражать язву желудка в стадии заживления.
Несмотря на то что в прошлом все язвы большой кривизны относили к злокачественным, в дистальной части большой кривизны могут развиваться доброкачественные язвы при приеме НПВС (Levine, 2008а). Любые язвы проксимального отдела большой кривизны необходимо считать злокачественными до тех пор, пока не будет доказана их доброкачественная природа. По сравнению с язвами малой кривизны язвы большой кривизны имеют тенденцию к внутрипросветной локализации. Это связано с утолщением и неровностью складок, возникающих из-за выраженного отека и воспаления, а также с циркулярным мышечным спазмом и/или ретракцией прилежащей стенки желудка (Levine, 2008а). Множественные язвы, вероятно, вызваны приемом аспирина или других НПВС. Крупные язвы чаще локализуются в проксимальных отделах желудка (Levine, 2008а).
При гигантских язвах (более 3 см) высок риск осложнений, таких как кровотечение или перфорация (Levine, 2008а). Наиболее важно провести дифференциальную диагностику между изъязвленным раком желудка и доброкачественной язвой. При рентгенографии с использованием бария могут быть четко выявлены признаки злокачественности, например неравномерный масс-эффект, бугристость, ригидность, деструкция слизистой оболочки, булавовидные, сливающиеся или обрывающиеся радиальные складки. Злокачественные язвы в боковых проекциях не выступают за пределы стенки желудка (Levine, 2008а). Иногда рентгенологические проявления при изъязвленных подслизистых опухолях, например при гастроинтестинальной стромальной опухоли, напоминают таковые при доброкачественных язвах (Levine, 2008а). При выявлении множественных язв необходимо заподозрить синдром Золлингера-Эллисона, цитомегаловирусную инфекцию, прием едких веществ, лимфому и другие гранулематозные заболевания (болезнь Крона, туберкулез, саркоидоз, сифилис). В последнее время широкое распространение получил метод МСКТ, позволяющий получать мультипланарное изображение высокого разрешения, а также осуществлять ВГ для детальной оценки строения желудка (Chen et al., 2009). При КТ язву желудка визуализируют в виде неинтрамурального фокального утолщения стенки с гиперемией слизистой оболочки и центральным дефектом (Urban and Fishman, 2000).
Однако фокальное гиперденсивное утолщение слизистой оболочки до толщины 1 см и более позволяет предположить наличие злокачественного процесса (Insko et al., 2003). ВГ — новая неинвазивная техника, позволяющая получить высококачественное трехмерное изображение даже небольших изменений слизистой оболочки желудка. Для проведения ВГ необходимо выполнить МСКТ с использованием воздуха в качестве перорального контраста (Chen et al., 2009). Информативность ВГ и эндоскопии в дифференциальной диагностике злокачественных и доброкачественных язв желудка приблизительно одинакова (Chen et al., 2009). Однако при ВГ невозможно визуализировать цвета, что затрудняет выявление плоских поражений или небольших изменений основания язвы. Кроме того, при ВГ невозможно избежать радиационного облучения и выполнить биопсию для гистологической верификации диагноза. Для оценки осложнения язвы — пенетрации — МСКТ служит наиболее информативным и специфичным методом (Horton и Fishman, 2003; Urban и Fishman, 2000). К основным осложнениям язвы желудка относят желудочно-кишечные кровотечения, обструкцию и перфорацию. В случае активного кровотечения при КТ может быть выявлено проникновение внутривенного контрастного вещества через место кровотечения (Urban и Fishman, 2000). Отек, спазм, рубцевание или фиброз, возникающие при язвах дистальной части антрального отдела, пилорического канала или ДПК, могут приводить к обструкции. У пациентов с выраженной обструкцией выходного отверстия желудка при КТ можно выявить расширенный желудок, содержащий пищу.
Также КТ информативна в распознавании субклинической перфорации, хотя выявление конкретного места перфорации часто вызывает затруднения (Horton и Fishman, 2003; Urban и Fishman, 2000). Перфорация проявляется нарушением целостности гиперденсивной стенки желудка, а также воспалительными изменениями и появлением пузырьков воздуха вне просвета желудка в непосредственной близости от места перфорации (Horton и Fishman, 2003; Urban и Fishman, 2000). Перфорации пенетрирующихязв передней стенки желудка или ДПК могут происходить непосредственно в брюшинную полость, вызывая острый перитонит со свободным выходом желудочного или дуоденального содержимого. При КТ с использованием водорастворимого перорального контрастного вещества можно выявить проникновение контраста из желудка или ДПК в подпеченочное пространство или в другую область брюшной полости. Реже пенетрирующие язвы задней стенки желудка или ДПК приводят к развитию «отгороженной» (прикрытой), перфорации, возникающей вследствие воспалительной реакции и фиброзной адгезии. У большинства пациентов с прикрытой перфорацией в процесс вовлечена поджелудочная железа. К другим, реже вовлекаемым в патологический процесс образованиям, относят малый сальник, брыжейку поперечной ободочной кишки, печень, селезенку, желчные пути и ободочную кишку. При возникновении свища, ведущего в ободочную кишку или желчные пути, свищевой ход может быть визуализирован при рентгеноконтрастном исследовании (Levine, 2008a).
Рентгенография, КТ, МРТ, УЗИ при синдроме Золлингера-Эллисона
а) Терминология:
1. Аббревиатура:
• Синдром Золлингера-Эллисона (СЗЭ)
2. Определение:
• Тяжелая пептическая язвенная болезнь, возникающая в результате гиперпродукции кислого содержимого желудка из-за гастринпродуцирующей опухоли поджелудочной железы (гастриномы)
1. Общая характеристика:
• Лучший диагностический критерий:
о Гиперваскулярное объемное образование поджелудочной железы в сочетании с множественными пептическими язвами и утолщением складок
• Локализация гастриномы:
о В поджелудочной железе (75%), двенадцатиперстной кишке (15%), печени и яичниках (10%):
- Чаще возникает в «треугольнике гастрином», ограниченном:
Сверху: пузырный и общий желчный проток
Снизу: вторая и третья часть двенадцатиперстной кишки
С внутренней стороны: поджелудочная железа в области перехода головки в тело
о Язвы возникают в желудке и луковице 12-перстной кишки (75%), в постлуковичном отделе и в тощей кишке (25%)
2. Рентгенография при синдроме Золлингера-Эллисона:
• Исследование желудка, двенадцатиперстной и тощей кишки с бариевой взвесью:
о Большое количество жидкости разжижает бариевую взвесь и нарушает ее адгезию к слизистой оболочке
о Складки желудка в значительной степени утолщены
о Пептические язвы: округлые или вытянутые «ниши», окруженные ренгенопрозрачным «ободком», обусловленным отеком слизистой оболочки, с наличием конвергенции складок

(Слева) На рентгенограмме визуализируется большая язва тощей кишки, которая (из-за спазма и отека) явилась причиной дилатации двенадцатиперстной кишки. Складки желудка утолщены; в результате усиления секреции бариевая взвесь в просвете желудка разбавлена и недостаточно хорошо покрывает слизистую оболочку. Эти изменения при рентгеноскопии являются типичными для СЗЭ.
(Справа) При эндоскопической ультрасонографии у этого же пациента определяется объемное образование, также визуализируется игла, при помощи которой была произведена биопсия образования во время процедуры. Была подтверждена гастринома, наличием которой и была обусловлена симптоматика, имеющаяся у пациента.
3. КТ при синдроме Золлингера-Эллисона:
• Гастринома:
о Образование различных размеров, неоднородной плотности, возможно, с наличием кист и зон некроза, кальцинатов
о Типичны метастазы в печени
о Первичная опухоль и вторичные очаги являются гиперваскулярными; может обнаруживаться ограниченная инвазия или поражение сосудов в артериальную и портально-венозную фазу контрастирования
о Воспалительные изменения желудка, двенадцатиперстной кишки, проксимальных отделов тонкой кишки:
- Утолщение складок желудка, двенадцатиперстной и тощей кишки
о Признаки пенетрации язвы:
- Утолщение стенки, сужение просвета желудка и двенадцатиперстной кишки
о Признаки перфорации язвы:
- Свободный газ в брюшной полости при перфорации язвы антрального отдела желудка или двенадцатиперстной кишки, или в малом брюшинном мешке при перфорации язвы желудка
4. МРТ при синдроме Золлингера-Эллисона:
• Т1-ВИ:
о Гипоинтенсивный узел поджелудочной железы в режиме жироподавления (сатурации жировой ткани, fat-sat)
• Т2-ВИ:
о Гиперинтенсивный сигнал в последовательностях спин-эхо
- И от первичной опухоли, и от метастазов
• Т1-ВИ с контрастным усилением:
о Гиперваскулярное образование, дающее гиперинтенсивный сигнал на отсроченных спин-эхо последовательностях с жироподавлением (fat-sat)
5. УЗИ:
• Эндоскопическая ультрасонография:
о Лучше чем КТ и МРТ в выявлении гастрином малого размера
о Обычно выявляется объемное образование однородной эхогенности
• Интраоперационная ультрасонография:
о Позволяет обнаружить даже очень маленькие опухоли (чувствительность составляет 75-100%)
6. Рекомендации по визуализации:
• Лучший метод визуализации:
о Спиральная КТ и МРТ для выявления первичной опухоли и вероятных метастазов
о Эндоскопическая ультрасонография для обнаружения дополнительных очагов первичной опухоли, контролируемая биопсия

(Слева) На КТ с контрастным усилением у мужчины 66 лет с синдромом Золлингера-Эллисона визуализируется гастринома в виде маленького гиподенсного образования, не накапливающего контраст, с наличием солидного компонента по периферии и кистозного (или некротического) в центре.
(Справа) При эндоскопической ультрасонографии у этого же пациента определяется объемное образование (отмеченное линиями), в центре которого, очевидно, имеется кистозный или некротический участок, а по периферии — солидный тканевой «ободок». Была выполнена биопсия под контролем ЭУС, подтвердилась доброкачественная гастринома.
в) Дифференциальная диагностика синдрома Золлингера-Эллисона:
1. Гастрит:
• Связан с геликобактерной инфекцией, приемом НПВС и т.д.
• Чаще всего поражается антральный отдел желудка
• При двойном контрастировании обнаруживается:
о Утолщение складок желудка
о Увеличение желудочных полей (3 мм в диаметре и больше)
• КТ:
о Циркулярное утолщение стенки желудка в антральном отделе на фоне подслизистого отека
• Данные КТ и рентгеноскопии (-графин) с бариевой взвесью могут быть аналогичны таковым при СЗЭ
• Диагностика: на основании эндоскопической биопсии, культурального исследования, уреазного дыхательного теста
2. Рак желудка:
• Рентгеноскопия (-графия) с двойным контрастированием:
о Рак желудка на ранних стадиях:
- Поверхностные поражения:
Узловатость слизистой оболочки, изъязвление, бляшковидное утолщение складок желудка или их утолщение на ограниченном участке
Неотличимы от отдельных пептических язв при СЗЭ
• КТ:
о При раке желудка обычно наблюдается сужение просвета, утолщение стенки с наличием подслизистого компонента мягкотканной плотности (отличной от плотности воды)
о Рак желудка на ранних стадиях:
- Утолщение стенки желудка на ограниченном участке, неправильный контур слизистой оболочки
- Может проявляться так же, как и отдельные пептические язвы при СЗЭ
о Диагноз устанавливается на основании эндоскопической биопсии и патоморфологического исследования
3. Метастазы в стенке желудка и лимфома:
• Чаще всего в желудок метастазируют следующие опухоли:
о Злокачественная меланома, опухоли молочной железы, легкого, ободочной кишки, поджелудочной железы
• Лимфома желудка:
о Желудок является наиболее часто поражаемым лимфомой органом ЖКТ
о Большинство случаев представлены неходжкинской лимфомой (В-клеточной)
• Рентгеноскопия (-графия) с бариевой взвесью:
о Злокачественная меланома: симптом «бычьего глаза» или «мишени»:
- Объемное образование с наличием язвы по центру
о Метастазы рака молочной железы:
- Пластический линит, желудок в виде «кожаного мешка»:
Потеря желудком способности к растяжению в области антрального отдела и тела с наличием неравномерно утолщенных складок
- Узловатость слизистой оболочки, изъязвления и образование могут симулировать пептические язвы при СЗЭ
о Лимфома желудка:
- Диффузное неравномерное утолщение складок, дискретные язвы, изъязвленные подслизистые объемные образования
- Опухоль из лимфоидной ткани, ассоциированной со слизистыми оболочками (MALT-лимфома) низкой степени злокачественности: сливные узлы различного размера
• КТ:
о Выраженное утолщение стенки желудка и складок слизистой
о Поражения в виде «бычьего глаза», «мишени», гигантские опухоли с наличием включений газа
о Утолщенные складки желудка и язвы можно ошибочно интерпретировать как проявления синдрома Золлингера-Эллисона
4. Воспалительные заболевания других органов:
• Панкреатит
• Утолщение стенки желудка может быть ошибочно принято за проявление СЗЭ
5. Гастрит иной этиологии:
• Гастрит, обусловленный болезнью Крона; эозинофильный гастрит
• Ранее поражение желудка при болезни Крона: множественные афтозные язвы
• Для эозинофильного гастрита характерны узелковые уплотнения слизистой оболочки, утолщение складок

(Слева) На рентгенограмме, выполненной во время рентгеноскопии верхних отделов ЖКТ женщине 51 года с гастрэктомией по поводу пептической язвенной болезни в анамнезе, на данный момент предъявляющей жалобы на возобновление боли, определяется маргинальная язва В в области желудочно-тонкокишечного анастомоза. Обратите внимание на складки, сходящиеся радиально по направлению к язве.
(Справа) На рентгенограмме у этой же пациентки вновь визуализируется маргинальная язва и складки, сходящиеся радиально по направлению к ней.
1. Общая характеристика синдрома Золлингера-Эллисона:
• Этиология:
о Опухоли островковой ткани являются нейроэндокринными
о Гастринома является не-β-клеточной опухолью поджелудочной железы
о Возникает из АППД-кпеток (поглощения и декарбоксилирования амина) островков Лангерганса
о Патогенез
- Гастринома: ↑ уровня гастрина → усиление секреции кислоты в желудке — возникновение пептических язв
• Ассоциированные патологические изменения
о 20-60% случаев СЗЭ связаны с множественной нейроэндокринной неоплазией первого типа (МЭН 1):
- МЭН 1 характеризуется возникновением опухолей гипофиза, околощитовидных желез, коры надпочечников, поджелудочной железы
• Эмбриогенез:
о Островковоклеточные опухоли развиваются из зародышевой нейроэктодермы
2. Макроскопические и хирургические особенности:
• Плотная инкапсулированная опухоль; может иметь кистозный, некротический характер, содержать обызвествления
3. Микроскопия:
• Слои мелких округлых клеток с одинаковыми ядрами и цитоплазмой
• Язвы: некротический дебрис, участки грануляционной ткани
1. Проявления синдрома Золлингера-Эллисона:
• Наиболее частые признаки/симптомы:
о Боль, гиперпродукция кислоты, выраженный рефлюкс, диарея, язвы верхних отделов ЖКТ
• Лабораторные данные: проба с секретином (вводимым инъекционно):
о В 90% случаев наблюдается значительное увеличение уровня гастрина (по сравнению с нормальными значениями) в сыворотке крови более чем на 200 пг/мл
• Диагностика:
о Лучевая данные гастриномы и пептических язв
о Гипергастринемия-маркер СЗЭ:
- Уровень гастрина в сыворотке крови > 1000 пг/мл подтверждает СЗЭ
2. Демография:
• Возраст:
о Любая возрастная группа, но чаще в возрасте 40-50 лет
• Пол:
о Чаще у мужчин
• Эпидемиология:
о Гастринома встречается реже по сравнению с экзокринными опухолями поджелудочной железы
о Составляет 0,1-1% всех опухолей поджелудочной железы
о Гастринома находится на втором месте после инсулиномы среди всех функционирующих эндокринных опухолей поджелудочной железы
о Гастринома часто бывает множественной (60%), злокачественной (60%); может метастазировать (30-50%)
3. Течение и прогноз:
• Прогноз:
о Благоприятный при резекции первичной опухоли хирургическим путем
о Неблагопритяный, если происходит рецидив опухоли после операции, снова появляются язвы, а также метастазы в печени
• Осложнения:
о Высокий риск малигнизации и метастазирования гастриномы
о Перфорация пептической язвы
4. Лечение синдрома Золлингера-Эллисона:
• Консервативное: ингибиторы протонной помпы при лечении язв желудка
• Хирургическое: резекция гастриномы
• Метастазы в печени: химиотерапия и эмболизация печеночной артерии
е) Диагностическая памятка:
1. Следует учесть:
• Нужно исключить другие причины, которыми также могут быть обусловлены язвы и утолщение стенки желудка
• Синдром МЭН 1
2. Советы по интерпретации изображений:
• Гиперваскулярная опухоль поджелудочной железы, метастазы в печени в совокупности с множественными язвами и утолщением складок желудка, двенадцатиперстной и тощей кишки
Что показывает компьютерная томография желудка и кишечника

КТ желудка и кишечника – это высокоинформативный рентгенологический метод исследования желудочно-кишечного тракта, позволяющий быстро, неинвазивно и безболезненно для пациента выявлять многие заболевания и отклонения от нормы в органах пищеварения. В медицинских центрах СПб пройти обследования желудка и кишечника на мультиспиральном компьютерном томографе можно с применением нескольких программ:
Само обследование в зависимости от целей диагностики может осуществляться как нативно, так и с применением контрастного препарата.
Что такое КТ желудка и кишечника
Принцип действия компьютерной томографии основывается на прохождении через тело человека рентгеновских лучей, скорость прохождения которых фиксируется специальными датчиками. На основании этих данных компьютер установки строит в трехмерной проекции изображения органов исследуемой зоны. КТ желудка и кишечника включает в себя обследование нижнего отдела пищевода, желудка и тонкого кишечника. Благодаря высокоточным снимкам врачи могут детально оценить состояние всех слоев стенок желудка, двенадцатиперстной кишки, лимфатических узлов, выявить малейшие патологические изменения в них, их локализацию, размеры, определить характер поражения.
Большим преимуществом КТ является возможность визуализировать опухолевые заболевания на самых начальных этапах развития еще до появления клинической симптоматики. Шаг сканирования современных мультиспиральных томографов доходит до 1 мм, и на томограммах будут видны даже самые мелкие анатомические нарушения.
Показания
КТ кишечника и желудка обычно проводят по направлению врача. Основными жалобами, являющимися показанием для проведения данного вида диагностики, являются:
- боли в животе, эпигастрии;
- диспепсические расстройства – тошнота, рвота, отрыжка, неприятный запах изо рта;
- потеря аппетита;
- быстрая потеря веса;
- появление кровяных включений или сгустков в рвотных массах, в кале;
- метеоризм,
- нарушения стула;
- астенический синдром – вялость, слабость, быстрая утомляемость;
- при неточности или неинформативности результатов других видов исследования.
Так как компьютерная томография желудка и кишечника осуществляется достаточно быстро, она может применяться в качестве экстренной диагностики заболеваний органов пищеварения и при острых состояниях.
Что показывает КТ желудка и кишечника
Процедура компьютерной томографии ЖКТ с высокой точностью позволяет визуализировать все слои (серозный, мышечный, слизистый) стенок пищеварительного тракта, выявить изменения их толщины, складчатости, обнаружить очаговые уплотнения и дефекты, а при наличии патологического образования - определить расположение, размеры, степень его распространения и вовлеченность соседних органов в процесс. Также КТ дает детальную информацию о поражениях лимфатических узлов, которая является бесценной в онкологической области для определения стадии опухолевого заболевания и дальнейшей тактики ведения больного.
С помощью КТ сканирования желудка и кишечника можно диагностировать следующие заболевания:
- врожденные аномалии развития желудка и тонкого кишечника;
- воспалительные заболевания – гастрит, бульбит, колит;
- язвенные поражения стенок ЖКТ;
- доброкачественные и злокачественные новообразования;
- полипы;
- рубцовые деформации стенок;
- сужение просвета органа – стенозы, стриктуры;
- болезнь Крона;
- тромбоз сосудов брыжейки кишечника;
- инородные тела в желудке или кишечнике.



КТ желудка и кишечника с контрастированием
Еще более точную информацию о состоянии ЖКТ можно получить при проведении томографии с контрастным усилением йодосодержащими препаратами. Наиболее широко этот метод применяется для выявления новообразований и проведения дифференциальной диагностики заболеваний сосудистой системы в области брюшной полости.
Выделяют несколько видов КТ желудка и кишечника с контрастом:
- пневмосканирование (введение воздуха и внутривенное введение контраста);
- пероральное и внутривенное введение контраста.
Необходимость двойного усиления обусловлено тем, что органы пищеварительного тракта являются полыми. Заполнение их специальной жидкостью или воздухом перед введением внутривенного контрастирования делает их визуализацию более четкой за счет расправления анатомических складок и изгибов. Это позволяет увидеть даже самые труднодоступные участки кишки. А при внутривенном контрастировании йодосодержащие вещество поступает по кровеносным сосудам и значительно улучшает видимость опухолевых и воспалительных очагов и сосудистой системы на снимках.
Подготовка и проведение томографии
В отличие от томографии органов грудной клетки, качественная КТ желудка и кишечника проводится после определенной подготовки пациента. Она подразумевает собой соблюдение диеты, направленной на снижение моторики и перистальтики кишечника. Для этого за 2-3 дня до обследования необходимо исключить из рациона продукты, повышающие газообразование – бобовые, углеводы, газированные напитки, сырые фрукты и овощи. Вечером, накануне исследования, не позднее 21:00, допускается легкий ужин. После приема пищи необходимо принять две таблетки Эспумизана или активированного угля для снижения газообразования. В день обследования в медицинский центр нужно прийти натощак.
В диагностическом центре перед обследованием пациента попросят снять с себя все металлические предметы, аксессуары. Проводится процедура стандартно: пациента на подвижном столе перемещают в кольцо томографа, где он должен неподвижно лежать в течение всего времени сканирования. В некоторых моментах пациенту придется задержать дыхание, о чем сообщит ему врач по громкой связи.
Продолжительность КТ желудка и кишечника составляет от 4 до 7 минут.
Расшифровка полученных результатов исследования займет 30-40 минут. По ее итогам обследуемому выдадут письменное заключение врача рентгенолога и томограммы, записанные на пленку или CD.
От чего зависит стоимость КТ желудка и кишечника

Стоимость КТ желудка и кишечника в медицинских учреждениях СПб определяется рядом факторов, основным из которых является мощность применяемого томографа. Закономерность здесь простая - чем выше срезовая мощность аппарата, тем будет выше точность диагностики и цена обследования. Вторым фактором, влияющим на стоимость исследования, является применение контрастного усиления. При проведении контрастирования стоимость КТ будет возрастать за счет расхода контрастного препарата: чем больше вес пациента, тем выше будет цена контрастного усиления. На цену влияет и способ введения контраста. Также конечная стоимость услуги может зависеть от престижности медицинского центра, квалификации специалистов, времени проведения исследования (днем или ночью), наличия скидок или акций.
| Вид КТ исследования | Цена |
|---|---|
| МСКТ / КТ брюшной полости и забрюшинного пространства (КТ печени, селезенки, желчного пузыря, поджелудочной железы, желудка, почек, надпочечников) | от 2500 руб. |
| МСКТ / КТ урография (КТ мочевыделительной системы - почек и надпочечников, мочеточников и мочевого пузыря) | от 4400 руб. |
| КТ виртуальная колоноскопия (КТ толстого кишечника) | от 4200 руб. |
| КТ энтерография (КТ желудка, тонкого кишечника) | от 4200 руб. |
Противопоказания
Основными противопоказаниями для МСКТ кишечника и желудка являются:
- беременность;
- детский возраст до 3 лет;
- при нарушении функции почек;
- при аллергической реакции на препараты йода.
Чем отличается КТ желудка и кишечника от гастроскопии
Гастроскопия (ФГДС) - самый распространенный метод обследования пищевода, желудка и двенадцатиперстной кишки, однако, в отличие от компьютерной томографии, это - инвазивный вид диагностики. Она представляет собой исследование органов верхней части ЖКТ с помощью введенного эндоскопа, оснащенного камерой. Метод является достаточно точным, так как под прицелом камеры хорошо визуализируются все участки внутренней стенки органов. Кроме того, с помощью данного метода при необходимости существует возможность взятия материала на биопсию прямо во время процедуры. Однако в объеме исследуемого материала гастроскопия уступает томографии, так как дает информацию только о слизистом слое стенок желудка и кишечника, а также захватывает лишь небольшую часть тонкого кишечника – двенадцатиперстную кишку. Компьютерная томография позволяет врачам оценить состояние всех стенок кишечника (как с внешней, так и с внутренней стороны), соседних соединительных тканей, лимфатических узлов и органов брюшной полости.
Еще один из недостатков ФГДС – это то, что она является достаточно дискомфортной процедурой, а при нарушении техники проведения гастроскопии возможна травматизация слизистой пищевода или желудка. Основным минусом МСКТ является наличие лучевой нагрузки, которая в среднем составляет 3-5 мЗв за одно сканирование. Если пациент хочет избежать облучения организма, альтернативой КТ в некоторых случаях может выступить МРТ желудка и кишечника.
Чем отличается КТ желудка и кишечника от МРТ
МРТ желудка и кишечника – это современный неинвазивный вид диагностики органов брюшной полости, который по своей информативности стоит практически на одном уровне с КТ. Основным различием методов является способ получения изображения. При компьютерной томографии снимки получаются за счет рентгеновского излучения, а при МРТ – за счет воздействия на организм человека безвредного магнитного поля и радиочастотных импульсов. Таким образом, в отношении безопасности метода МРТ имеет преимущество.
Для исследования пищеварительного тракта в большинстве случаев все же более точной методикой является компьютерная томография, так как по сравнению с МРТ она лучше визуализирует полые органы, какими являются желудок и кишечник. Также процедура компьютерной томографии занимает значительно меньше времени, чем МРТ.

- Sussman, S.K, Gastric adenocarcinoma: CT versus surgical staging / S.K. Sussman, R.A. Halvonsen, F.F. Illescas, et al. И Radiology. 1988. - Vol. 167
- Портной Л.М., Нефедова В.О., Денисова и др. Компьютерная томография в диагностике рака желудка. //Вестн. рентгенол. радиол. 1994
- Laniado, M. MR imaging of the gastrointestinal tract: value of Gd -DOTA t M. Laniado, W. Kommesser, B. Hamm, el al. // AJR. 1988. -Vol, 150
- Mason, R,S. Computerized tomography scanning and staging of gastric carcinoma f R,S. Mason, S. Rankin, P R. Taylor, el a!. // Lancct. 1987. -Vol. 10
Где лучше сделать КТ желудка и кишечника
Сегодня многие государственные и частные клиники СПб предлагают пройти компьютерную томографию желудка и кишечника как на платной, так и на бесплатной основе. Однако к выбору медицинского учреждения следует отнестись очень серьезно. Большое значение имеет класс применяемого в клинике оборудования и квалификация врачей-рентгенологов, ведь от этого напрямую будет зависеть качество сканирования и точность поставленного диагноза. Нельзя не учитывать и ценовую политику медицинского центра. Все эти вопросы необходимо уточнять заранее.
Если вы сомневаетесь в своем выборе, или вам нужна помощь, вы можете обратиться в бесплатную Службу записи на КТ и МРТ. Наши специалисты быстро и качественно подберут вам проверенную клинику с необходимой мощностью томографа, с удобным для вас местоположением и с наиболее выгодными диагностическими предложениями. Звоните, мы знаем все о диагностике в СПб!
Читайте также:
