Рентгенограмма, КТ при периапикальной костной дисплазии
Добавил пользователь Владимир З. Обновлено: 28.01.2026
Триголос Н.Н. 1 Македонова Ю.А. 1 Фирсова И.В. 1 Старикова И.В. 1 Питерская Н.В. 1 Марымова Е.Б. 1 Поройская А.В. 1
1 ГБОУ ВПО «Волгоградский государственный медицинский университет» Министерства здравоохранения Российской Федерации
Цементно-костные дисплазии являются, вероятно, наиболее обычными фибро-костными поражениями, встречающимися в клинической практике. Патогенез данного заболевания остается неизвестным, хотя, возможно, это реактивный или диспластический процесс. Цементно-костная дисплазия представляет собой феномен, при котором нормальная костная ткань замещается тканью, состоящей из фибробластов, коллагена и содержит различные количества костных или цементоподобных кальцификатов. Из-за того что поражения располагаются над и вокруг апексов корней зубов, на рентгенограмме некоторые виды цементно-костных дисплазий часто путают с эндодонтическими поражениями. Врач стоматолог-терапевт должен представлять клинические проявления этих поражений и иметь достаточно знаний, чтобы установить надлежащий диагноз, избегая неправильной тактики ведения больных, которая может нанести вред здоровью пациента.
1. Eversole R., Su L., ElMofty S. Benign fibro-osseous lesions of the craniofacial complex – a review // Head and Neck Pathol. - 2008. – Р. 2. – S. 177-202.
2. Galgano C., Samson J., Kuffer R., Lombardi T. Focal cemento-osseous dysplasia involving a mandibular lateral incisor // Int Endod J. – 2003. – P. 36 (12). – S. 907-911.
4. Komabayashi T., Zhu Q. Cemento-osseous dysplasia in an elderly Asian male: a case report // J Oral Sci. – 2011. – P. 53 (1). – S. 117-120.
5. Neville B.W., Damm D.D., Allen C.M., Bouquot J.E. Oral & Maxillofacial Pathology (2th Ed). ). – Saunders, 2002. - P. 843.
Сведения о цементно-костной дисплазии в литературе разрозненны, немногочисленны, противоречивы, несмотря на то что данная патология встречается все чаще и чаще. Клиницисты в области стоматологии часто вместо цементно-костной дисплазии диагностируют одну из форм деструктивного периодонтита, начиная при этом эндодонтическое лечение зубов, корневые каналы которых вовлечены в патологический процесс.
Цементно-костная дисплазия относится к фиброзно-костным поражениям челюстей. Фиброзно-костные поражения челюстей представляют собой феномен, при котором нормальная костная ткань замещается тканью, состоящей из фибробластов и коллагена, которая содержит различные количества костных или цементоподобных кальцификатов. На рентгенограмме они выглядят в соответствии с размерами и относительного количества фиброзной и костной ткани. Так как на рентгенологических снимках фиброзно-костные поражения челюстей часто располагаются рядом и вокруг верхушек корней зубов, некоторые типы фиброостеозных поражений часто путают с эндодонтической патологией. Название «фиброостеозные поражения» не специфический диагноз, а только описание процесса. Фиброостеозные поражения челюстей включают эволюционные поражения, реактивные, диспластические процессы и неоплазмы. Наиболее часто встречаются следующие:
1) фиброзная дисплазия;
2) цементно-костная дисплазия:
3) оссифицирующая фиброма.
Цементно-костная дисплазия располагается в участках челюстей, где находятся зубы, и является наиболее частой формой фиброзно-костных поражений челюстей, встречающейся в клинической практике. Так как эти поражения находятся близко к периодонтальной связке и выявляют похожие гистопатологические структуры, некоторые исследователи считают, что эти поражения происходят из периодонтальной связки [4]. Другие авторы полагают, что цементно-фиброзная дисплазия – это дефект экстралигаментарной кости, ремоделирование которой могут спровоцировать локальные факторы и, возможно, гормональный дисбаланс [1]. Различают три вида цементно-костной дисплазии: фокальная, периапикальная и цветущая. Хотя фокальная дисплазия имеет отличия от двух других форм, возможно, она представляет вариант того же самого патологического процесса. Следует отметить, что цементно-костная дисплазия не относится к опухолям [2].
Фокальная (очаговая) цементно-костная дисплазия наблюдается как одиночное поражение. Концепция этого поражения была неясна до середины 90-х годов ХХ века. До этого времени во многих случаях ставился ошибочный диагноз «оссифицирующая фиброма». Оссифицирующая фиброма на рентгенограмме выглядит как очаговая цементно-костная дисплазия, но гистологически относится к истинным опухолям и обладает значительной способностью к прогрессирующему росту. Оссифицирующая фиброма относительно редкое заболевание.
Эпидемиология фокальной цементно-костной дисплазии отличается от двух других цементно-костных дисплазий. Около 90% всех случаев очаговой цементно-костной дисплазии наблюдается у женщин, средний возраст которых составляет 38 лет, преимущественно в 30-60 лет. Болеют в основном люди европеоидной расы в отличие от периапикальной и цветущей цементно-костной дисплазий [5].
Очаговая цементно-костная дисплазия может встречаться в любом участке челюстей, но чаще поражаются задние отделы нижней челюсти. Заболевание обычно протекает бессимптомно и выявляется только на рентгенограмме. Большинство поражений менее 1,5 см в диаметре.
Рентгенологически поражение варьирует от полностью рентгенопрозрачного (участок просветления) до плотного рентгеноконтрастного с тонким периферическим рентгенопрозрачным ободком (краем). Но наиболее часто выявляется смешение участков затемнения и просветления.
Поражение имеет тенденцию к отграничению, но границы могут быть неровные. Фокальная цементно-костная дисплазия наблюдается как в зонах с зубами, так и в беззубых участках, часто поражение возникает в участках с удаленными зубами. Иногда поражение может представлять раннюю стадию в переходе в множественное поражение, это чаще наблюдается у женщин негроидной расы [5].
Периапикальная цементно-костная дисплазия (костная дисплазия, цементная дисплазия, цементома). Перирадикулярная цементная дисплазия также обозначается как перирадикулярный остеофиброз, или более обычно цементома. Периапикальная цементно-костная дисплазия преимущественно поражает передние отделы нижней челюсти. Могут встречаться одиночные поражения, но чаще наблюдаются множественные очаги. Преимущественно этим заболеванием страдают женщины (в соотношении 10:1, 14:1), преимущественно негроидной расы. Первоначально диагноз ставится в возрасте 30-50 лет, почти никогда эта форма дисплазии не встречается до 20 лет. Зубы, ассоциируемые с поражениями, неизменно витальны и редко имеют реставрации. Частота поражения, по данным разных авторов, от 1 до 5,9% [3; 5].
Перирадикулярная цементная дисплазия имеет интересную эволюцию. Происходит прогрессирующая резорбция нормальной альвеолярной кости с замещением ее фиброзной тканью, и процесс заканчивается переходом в плотную атипичную реоссификацию. Начальная (остеолитическая) стадия гистологически характеризуется пролиферацией фибробластов и коллагеновых волокон в апикальной области периодонтальной связки. Возникающая в результате этого масса вызывает резорбцию мозгового вещества кости, окружающего апекс, и заканчивается образованием очагов деструкции костной ткани, очень похожих на периапикальный очаг пульпарного происхождения. В этой стадии часто возможны ошибки, и поэтому необходимо проводить ЭОД каждого зуба с «периапикальными очагами».
Периапикальная цементно-костная дисплазия является бессимптомным поражением и выявляется на рентгенограмме случайно. Ранние поражения - это округлой формы очаги просветления (деструкции) костной ткани, вовлеченные в апикальную зону зубов. В этой стадии поражения рентгенологически невозможно отличить от периапикальной гранулемы или радикулярной кисты (остеолитическая стадия).
В отличие от верхушечного периодонтита и радикулярной кисты, перирадикулярная цементная дисплазия носит не воспалительный характер. Очаги не препятствуют кровообращению и иннервации зуба. Со временем цементобласты дифференцируются в пределах мягких тканей и появляются центральные очаги кальцификации (промежуточная стадия).
Это отложение твердой ткани может продолжаться годы, до тех пор, пока почти вся фиброзная ткань не реоссифицируется. Когда это случится, эволюция достигает третьей финальной стадии (зрелой стадии). Со временем на серии рентгенограмм выявляется «созревание» поражений: смесь очагов просветления и радиоплотности.
В конечной зрелой стадии поражение выглядит как ограниченной плотности кальцификация, окруженная узким радиопрозрачным ободком. Однако периодонтальная связка интактна. Отдельные поражения не превышают 1.0 см в диаметре, не распространяются на кортикальную пластинку, прогрессивный рост бывает редко.
Проблема дифференциального диагноза возникает еще в начальной стадии перирадикулярной цементной дисплазии. Клинически поражение всегда асимптоматично, и зубы витальны. Если внимательно посмотреть: на рентгенограмме обычно видна сквозь очаги деструкции костной ткани интактная компактная пластика альвеолы вокруг апексов.
Хирургическое лечение не проводится, рекомендуют динамическое наблюдение. Прогноз - благоприятный.
Цветущая цементно-костная дисплазия проявляется множественными очагами, не ограниченными передними отделами нижней челюсти. Хотя во многих случаях множественные очаги обнаруживаются в задних отделах челюстей, у многих пациентов синхронно поражаются передние отделы нижней челюсти.
Подобно периапикальной цементно-костной дисплазии, эта форма преимущественно встречается у женщин среднего и пожилого возраста негроидной расы (более 90% случаев) [5].
Поражения имеют заметную тенденцию к билатеральности и довольно симметричные. Нередко встречаются обширные поражения во всех четырех задних квадратах обеих челюстей. Заболевание может быть бессимптомным и случайно обнаруживается только на рентгенограмме. В других случаях пациент может жаловаться на тупую боль, возможно наличие свища на альвеолярной кости, обнажение желтой, аваскулярной кости в полости рта (рис. 1).

Рис. 1. Цветущая цементно-костная дисплазия. Желтый бессосудистый цементоподобный материал начинает отторгаться слоями через слизистую оболочку полости рта
На рентгенограмме поражения выглядят типично как стадии созревания первых двух форм цементно-костной дисплазии. Первоначально поражение рентгенопрозрачное, затем смешанное, потом рентгеноплотное с тонким ободком просветления. Иногда поражения бывают тотально плотные без ободка просветления и сливаются с подлежащей нормальной костной тканью. Могут поражаться как беззубые участки челюсти, так и участки челюсти с зубами.
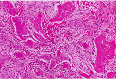
Патологическая анатомия цементно-костной дисплазии. Все три формы цементно-костной дисплазии выглядят одинаково при гистологическом исследовании и состоят из фрагментов мезенхимальной ткани, фибробластов и коллагеновых волокон с многочисленными небольшими кровеносными сосудами; типичны кровоизлияния, проходящие через всё поражение. Между соединительной тканью располагаются костные трабекулы и цементоподобные частицы (рис. 2).

Рис. 2. Гистология цементно-костной дисплазии, начальное увеличение х400
Пропорции каждого минерализованного материала варьируют от поражения к поражению, от зоны к зоне, по мере созревания делаются более склеротическими, соотношение соединительной ткани к минерализованному материалу уменьшается. В финальной радиоплотной стадии костные трабекулы сливаются в дольчатые массы, состоящие из полос или слившихся относительно бесклеточных глобул и дезорганизованного цементно-костного материала.
Лечение и прогноз цементно-костной дисплазии. Три формы цементно-костной дисплазии не проявляют опухолевого роста, поэтому не требуют удаления. Однако эти заболевания являются причиной значительных клинических проблем для пациентов. При наличии значительного склероза цементно-костная дисплазия из-за гиповаскуляризации имеет склонность к некрозу при малейшей провокации. При бессимптомном лечении наилучшая тактика состоит в наблюдении и повторных осмотрах для профилактики и улучшения качества гигиены полости рта, контроле периапикальных поражений и предотвращении потери зубов.
Так как возникновение симптомов обычно ассоциируется с обнажением склеротических масс в полость рта, биопсии или избирательного удаления зубов следует избегать. В других случаях симптом обнажения склерозированных масс в полость рта является результатом атрофии альвеолярного отростка под протезом. Пациента следует убедить сохранить эти зубы для предотвращения развития симптомов позже.
Тактика лечения больных с клиническими симптомами более трудна. В этой стадии присутствует воспалительный компонент заболевания, процесс является по существу хроническим остеомиелитом, в который вовлечены диспластические кость и цемент. Могут быть показаны антибиотики, но часто они неэффективны. Секвестрация склеротических цементоподобных масс происходит медленно и заканчивается выздоровлением. Формирование блюдцеобразного углубления омертвевшей кости может ускорить выздоровление. Хотя могут возникать из очаговой и цветущей цементно-фиброзной дисплазии отдельные случаи злокачественной фиброзной гистиоцитомы, такая неопластическая трансформация уникальна. Прогноз цементно-костной дисплазии хороший. Поскольку зубы витальны, эндодонтическое лечение не показано.
Заключение
Особенно следует подчеркнуть важность в понимании клиницистом данного процесса и его индивидуального течения. Для постановки окончательного диагноза необходимо учитывать клинические, рентгенологические данные в строгой совокупности с результатами гистологического исследования. В то же время целая патология должна быть качественно классифицирована и сегментирована для облегчения постановки диагноза и назначения подходящего, строго специфичного лечения.
Рецензенты:
Михальченко Д.В., д.м.н., доцент, заведующий кафедрой пропедевтики стоматологических заболеваний ГБОУ ВПО «Волгоградский государственный медицинский университет» Министерства здравоохранения Российской Федерации, г. Волгоград;
Михальченко В.Ф., д.м.н., профессор кафедры терапевтической стоматологии, ГБОУ ВПО «Волгоградский государственный медицинский университет» Министерства здравоохранения Российской Федерации, г. Волгоград.
Рентгенограмма, КТ при периапикальной костной дисплазии
а) Дифференциальная диагностика:
1. Типичные варианты:
• Периапикальный склерозирующий остеит
• Идиопатический остеосклероз
• Периапикальная костная дисплазия
• Гиперцементоз
• Одонтома
2. Менее типичные варианты:
• Цветущая костная дисплазия
• Цементобластома
• Цементооссифицирующая фиброма
3. Редкий, но важный вариант:
• Остеоид-остеома
б) Важная информация:
1. Дифференциальный диагноз:
• Проба на жизнеспособность для дифференциальной диагностики периапикального склерозирующего остеита и других рентгеноконтрастных очагов
(Слева) На периапикальной рентгенограмме определяется склерозирующий остеит в области корней первого моляра нижней челюсти слева. Определяется также рарефицирующий остеит в области корней зуба. Обратите внимание на остеосклероз, «смешивающийся» с окружающей нормальной костью.
(Справа) На периапикальной рентгенограмме определяется хорошо отграниченное однородное затемнение с неровными краями у вершины первого моляра нижней челюсти справа. Пространства периодонтальной связки и твердые пластинки не изменены. (Слева) На периапикальных рентгенограммах нижних передних зубов определяется прогрессирующая периапикальная костная дисплазия. На рентгенограмме справа, выполненной через семь лет после левой, определяется постепенное нарастание минерализации очагов.
(Справа) На периапикальной рентгенограмме определяется луковицеобразное расширение кор ня с сохранением твердой пластинки и пространств ПДС, сопоставимое с гиперцементозом.
2. Особенности типичных вариантов:
• Периапикальный склерозирующий остеит:
о Ключевая информация: продукция плотной кости в ответ на воспалительный процесс у вершины погибшего или погибающего зуба
о Визуализация: расширение пространства периодонтальной связки (ПДС) между корнями зубов и склероз
• Идиопатический остеосклероз:
о Ключевая информация: локальный рентгеноконтрастный участок неизвестной этиологии
о Визуализация: неэкспансивное однородное просветление с четкими контурами без рентгенонегативного «ободка»
• Периапикальная костная дисплазия:
о Ключевая информация: неопухолевое замещение нормальной костной ткани у вершины зуба диспластическим цементом и/или патологической костью
о Визуализация: полностью рентгенонегативный очаг вначале, со временем становящийся более рентгеноконтрастным с просветлением на периферии
• Гиперцементоз:
о Ключевая информация: избыточная продукция цемента, преимущественно вокруг вершины корня зуба
о Визуализация: неизмененное пространство ПДС вокруг цемента выглядит как тонкое периферическое просветление, корень напоминает луковицу или дубинку
• Одонтома:
о Ключевая информация: опухоль, продуцирующая зрелые костные структуры (эмаль, дентин, цемент, пульпу)
о Визуализация: составная одонтома выглядит как множественные мелкие структуры, напоминающие зубы, окруженные рентгенонегативным «ободком»:
- Сложная одонтома: аморфное образование из материала с плотностью зуба
(Слева) На панорамной реформатированной КЛКТ определяется очаг смешанной плотности, образованный мелкими структурами, напоминающими зубы окруженный рентгенонегативным «ободком» и кортикальной пластинкой. Это составная одонтома - самая частая одонтогенная опухоль.
(Справа) На кадрированной панорамной рентгенограмме определяется однородный рентгеноконтрастный очаг, окруженный рентгенонегативным «ободком», связанный с мезиальным корнем второго временного моляра нижней челюсти справа и приводящий к его резорбции. Эта цементобластома смещает второй премоляр. (Слева) На окклюзионной рентгенограмме определяется экспансивный рентгеноконтрастный очаг однородной структуры с рентгенонегативным «ободком». Корни клыка и первого премоляра нижней челюсти слева изогнуты в язычную сторону в результате воздействия этой цементооссифицирующей фибромы.
(Справа) На кадрированной панорамной рентгенограмме визуализируется хорошо отграниченный очаг смешанной плотности, который был ошибочно принят за цементобластому, несмотря на наличие выраженной болевой симптоматики и отсутствие фиксации к корню зуба.
3. Особенности менее типичных вариантов:
• Цветущая костная дисплазия:
о Ключевая информация: аналогична периапикальной костной дисплазии (ПКД); очаги имеют больший размер, возможно поражение всех квадрантов; зубы жизнеспособны
о Визуализация: рентгенонегативные очаги вначале возникают в области вершин корней, постепенно становясь более рентгеноконтрастными
• Цементобластома:
о Ключевая информация: крепится к поверхности корня, может приводить к его резорбции; обычно связана с первым моляром нижней челюсти
о Визуализация: затемнение у вершины корня, окруженное просветлением на периферии; резорбция или отсутствие визуализации вершины зуба
• Цементооссифицирующая фиброма:
о Ключевая информация: медленный экспансивный рост и смещение зуба
о Визуализация: четкие границы, периферическая кортикальная пластинка, рентгеноконтрастный компоненте равномерным распределением
4. Особенности редких вариантов:
• Остеоид-остеома:
о Ключевая информация: выраженная боль
о Визуализация: реактивный остеосклероз с просветлением в центре, не связанный с корнем зуба
в) Список использованной литературы:
1. Krishnan U et al: Cone beam CT as an aid to diagnosing mixed radiopaque radiolucent lesions in the mandibular incisor region. BMJ Case Rep. 2015, 2015
а) Терминология:
1. Аббревиатура:
• Периапикальная костная дисплазия (ПКД)
2. Синонимы:
• Периапикальная, цементная или цементо-костная дисплазия, фокальная цементо-костная дисплазия, цементома, фиброцементома, периапикальный остеофиброз, склерозирующая цементома, периапикальная фиброостеома, периапикальная фиброзная дисплазия
3. Определения:
• Неопухолевое местное замещение нормальной трабекулярной кости в области вершины корня зуба, обусловленное реактивным или диспластическим процессом
• Содержит фиброзную ткань и цементоподобный материал и/или патологическую костную ткань
б) Визуализация:
1. Общая характеристика:
• Лучший диагностический критерий:
о Хорошо отграниченное просветление со склеротическим ободком
о Может содержать различные количества отграниченного рентгеноконтрастного материала у вершины жизнеспособного зуба
о Рентгеновская картина зависит от стадии созревания ПКД
о Часто наблюдается множественное поражение зубов
• Локализация:
о Наиболее часто у вершины одного (или больше) резцов нижней челюсти (77%); может формироваться в любой области, несущей зубы
о Над вершиной пораженного зуба
о Другие зубы нижней челюсти поражаются реже
о Зубы верхней челюсти вовлекаются наиболее редко:
- При поражении зубов верхней челюсти обычно также вовлекаются и зубы нижней челюсти
о Может формироваться в альвеолярном отростке после удаления зуба:
- Очаг с округлыми или овальными контурами
- В структуре рентгеноконтрастной части часто обнаруживаются внутренние «завитки»
о Возможно одиночное или множественное поражение:
- Множественные поражения часто двухсторонние
• Размер:
о Большинство очагов - Соседние очаги могут сливаться, формируя большие конгломераты
• Морфология:
о Хорошо отграниченное поражение; иногда (достигая больших размеров) принимает экспансивный характер

(Слева) На периапикальной рентгенограмме определяется ПКД в области вершин корней первого и второго моляров нижней челюсти. Затемнения в виде жемчужин представляют собой объемные образования цемента (промежуточная стадия ПКД). Очаг в области вершины второго моляра полностью рентгенонегативен (ранняя стадия ПКД).
(Справа) На КЛКТ (профильный срез) в области вершины корня центрального резца визуализируется включение цемента неправильной формы, напоминающее полумесяц. Обратите внимание на тонкое линейное просветление В речной стороны и истончение щечной и язычной кортикальных пла стинок. Наличие просветления позволяет предположить простую костную кисту.
2. Рентгенография при периапикальной костной дисплазии:
• Радиографические признаки:
о Округлая, овальная или неправильная форма
о Хорошо отграниченное просветление на периферии с «полоской» остеосклероза различной ширины
о Внутреннее содержимое различной плотности в зависимости от стадии созревания о Утрата твердой пластинки
о Отсутствие или расширение пространства периодонтальной связки
о Резорбция корня (редко), отсутствие смещения зубов
о ± гиперцементоз пораженного зуба
о Маленькие очаги лежат в пределах кортикальных пластинок
о Большие могут приводить к вздутию челюсти:
- Кортикальные пластинки присутствуют, но истончены
о Ранняя стадия:
- Хорошо отграниченное просветление на вершине корня
- Пространство периодонтальной связки не изменено либо отсутствует; твердая пластинка обычно интактна
о Промежуточная стадия:
- Появление рентгеноконтрастных включений в центре с сохранением просветления на периферии:
Рентгеноконтрастные включения могут иметь округлую, овальную, неправильную форму; могу увеличиваться и сливаться
Могут быть четко отграниченными и напоминать жемчужины или полумесяц
- Иногда наблюдается зернистость, схожая с фиброзной дисплазией
о Поздняя стадия:
- Однородное затемнение внутренней части с ровными контурами
- Располагаясь выше корня, затемнение часто приобретает форму полумесяца, выпуклая часть которого направлена к вершине корня
- Пространство периодонтальной связки может отсутствовать или выглядеть расширенным
- Тонкое краевое просветление присутствует/отсутствует
- Наличие хорошо различимого просветления в пораженном участке означает формирование вторичной простой костной кисты
- Изредка обнаруживается легкое вздутие интактной, но истонченной кортикальной пластинки
о При множественном поражении зубов в различных зубах могут обнаруживаться поражения на разных стадиях формирования
3. КТ при периапикальной костной дисплазии:
• КТ в костном окне:
о Для оценки распространенности поражения
о Может обнаруживаться вздутие, неочевидное на рентгенограммах зубов
4. Рекомендации по визуализации:
• Лучший метод визуализации:
о Периапикальная интраоральная или панорамная рентгенография
о КТ рекомендуется при вторичной инфекции для оценки распространенности поражения

(Слева) На аксиальной КЛКТ у этого же пациента определяется истончение щечной и язычной кортикальных пластинок. Зона разрежения шире в дисталь -ных отделах, что позволяет заподозрить сопутствующую простую костную кисту.
(Справа) На трехмерной реконструкции (КЛКТ, вид спереди) у этою же пациента виден неровный контур патологическою очага, что позволяет оценить ею размеры. Интактная щечная пластинка истончена и не различима на КТ вследствие эффекта усреднения объема.
в) Дифференциальная диагностика периапикальной костной дисплазии:
1. Апикальный рарефицирующий остеит:
• Зуб нежизнеспособен
• Кариес или глубоко расположенные реставрационные материалы
• Просветление без рентгеноконтрастных включений нельзя отличить от ПКД на ранней стадии
2. Цветущая костная дисплазия:
• Напоминает ПКД, но очаги имеют больший размер
• Часто поражаются все четыре квадранта
• Вздутие челюстей выражено значительнее, чем при ПКД
• Чаще сочетается с простыми костными кистами
3. Центральная оссифицирующая фиброма:
• Хорошо ограничена
• Приводит к боле выраженному вздутию, чем ПКД
• Смещение зуба, расхождение корней
• Единичное поражение
• Рентгеноконтрастный компонент равномерно распределен внутри опухоли
4. Цементобластома:
• Крепится к поверхности корня
• Может приводить к резорбции корня
• Единичное поражение
• Болевая симптоматика
5. Одонтома:
• Составной тип содержит структуры, напоминающие зуб
• Рентгенонегативные включения с плотностью дентина и/или эмали
• Хорошо отграничена кортикальной пластинкой
• Имеет узкую мягкотканую рентгенонегативную капсулу равномерной ширины
• Единичное поражение
6. Идиопатический остеосклероз (плотный костный островок):
• Без просветления на периферии
• Края: неровные, изрезанные края, в виде «языков пламени»
• Часто переходит в щечную или язычную кортикальную пластинку
7. Хронический остеомиелит:
• Склеротические участки могут возникать возле вершины корня
• Остеомиелит не ограничен областями, несущими зубы
• Симптоматика: циклические эпизоды боли и отека

(Слева) На панорамной реформатированной КЛКТ определяется импактный третий моляр нижней челюсти слева с затемнением возле вершины корня в виде полумесяца (центральное образование цемента), окруженным линейным просветлением различной ширины (промежуточная стадия ПКД).
(Справа) На КЛКТ (профильный срез) у этого же пациента в области вершины корня моляра определяется типичный центральный рентгеноконтрастный участок в форме полумесяца, окруженный тонким линейным просветлением. Нижнечелюстной канал находится с щечной стороны от вершины корням.
г) Патология:
1. Общая характеристика:
• Сопутствующие нарушения:
о В крупных очагах могут формироваться простые костные кисты:
- Просветления с фестончатыми краями, в которых могут обнаруживаться рентгеноконтрастные зоны (ПКД)
- Часто приводит к вздутию челюсти
о Инфекция: после удаления связанного зуба или при обнажении цементного объемного образования в полость рта в результате травмы или резорбции альвеолярного гребня
2. Стадирование, классификация периапикальной костной дисплазии:
• Клинические проявления:
о Периапикальное поражение: передние отделы нижней челюсти, поражение небольшого количества зубов о фокальное поражение: напоминает периапикальное с ограниченным количеством очагов в задних квадрантах челюстей
3. Макроскопические и хирургические особенности:
• Легко крошащееся кровоточивое образование, по структуре напоминающее песок
• Не вылущивается; часто удаляется с трудом, фрагментами
4. Микроскопия:
• Сочетание кости и цементоподобного материала в фиброзной строме
д) Клинические особенности:
1. Проявления:
• Типичные признаки/симптомы:
о Обычно бессимптомная случайная находка
о Зуб жизнеспособен
• Другие признаки/симптомы:
о Редко-болезненность
о Возможно вздутие челюсти
2. Демография:
• Возраст:
о Преимущественно 30-50 лет; иногда заболевают люди младшего возраста
• Пол:
о Ж:М = 9:1
• Этническая принадлежность:
о Наиболее часто люди с черной кожей и азиаты
3. Течение и прогноз:
• По мере созревания очаги становятся все более плотными
• Увеличиваются со временем
• Возможно прогрессирование до цветущей костной дисплазии
• В пораженных участках (одном или больше) может сформироваться простая костная киста
• Иногда происходит инфицирование очагов при обнажении в полость рта:
о Очаг ПКД действует как секвестр - его необходимо удалять
4. Лечение:
• Обычно не показано
• Удаление патологического очага с целью предотвращения вторичной инфекции после удаления зуба или обнажении ПКД в полость рта в результате травмы или резорбции альвеолярного гребня
• Биопсия не рекомендуется из-за риска вторичной инфекции
• Диагноз обычно устанавливается на основании рентгеновской картины, демографических данных пациента, результатов пробы зуба на жизнеспособность
• Требуются периодические рентгеновские исследования для контроля формирования простой костной кисты:
о При возникновении простой костной кисты рекомендуется удаление очагов ПКД в зависимости от их размера, закрытие полости
е) Диагностическая памятка:
1. Следует учесть:
• С целью дифференциальной диагностики ПКД и воспалительного заболевания необходима проба на жизнеспособность зуба, особенно при ранних рентгенонегативных поражениях
• На дифференциальный диагноз влияет степень созревания поражения; вторичная инфекция простой костной кисты может затруднить дифференциальную диагностику
2. Советы по интерпретации изображений:
• Очагу вершины корня зуба; часто - множественное поражение зубов
• Рентгеноконтрастные включения цемента с четкими контурами: округлые, напоминающие жемчужины или полумесяц
• Ищите тонкое периферическое просветление с широким склеротическим тяжем
Цементома ( Перирадикулярный остеофиброз )
Цементома – это образование одонтогенного происхождения, развивающееся из соединительной ткани. Заболевание протекает бессимптомно. При достижении больших размеров цементома вызывает деформацию челюсти. Вследствие истончения кортикальной пластинки появляется нерезкая болезненность. Диагностика цементомы включает сбор жалоб, физикальное обследование, рентгенографию, ЭОД. Подтверждение диагноза удается получить после проведения гистологического исследования. Лечение истинной цементомы и цементирующей фибромы хирургическое. При периапикальной дисплазии и гигантоформной цементоме показано динамическое наблюдение.
МКБ-10
Общие сведения
Цементома (перирадикулярный остеофиброз) – одонтогенный порок развития соединительной ткани. Во взрослом возрасте цементомы чаще встречаются у женщин. Опухоль в большинстве случаев локализуется в участке тела и угла нижней челюсти. При этом в патологический процесс вовлекаются корни больших и малых коренных зубов. У детей цементомы не связаны с корнями и склонны к неограниченному росту. В детском возрасте чаще поражается верхнечелюстная кость. Зафиксированы случаи прорастания доброкачественного новообразования в полость гайморового синуса и основание черепа.
При достижении больших размеров цементома может привести к перелому челюсти. Одну из разновидностей цементомы – периапикальную цементную дисплазию выявляют преимущественно у женщин негроидной расы в возрасте от 30 до 50 лет. Зубы, ассоциируемые с поражениями, неизменно витальны и редко имеют реставрации. Распространенность составляет от 1 до 5,9%.
Причины цементомы
Гигантоформная цементома является генетически детерминированным заболеванием, при котором множественные очаги поражения выявляют у нескольких членов семьи. Достоверные причины других видов цементом не выявлены, однако в клинической стоматологии изучен ряд факторов и событий, которые могут предшествовать появлению образования. В анамнезе пациентов с цементомой нередко прослеживаются:
- травмы полости рта: повреждение слизистой краями разрушенных зубов, сколами пломб, плохо подогнанными ортопедическими конструкциями, ушибы челюсти;
- присутствие инородных тел: пломбировочного материала, инструментов, штифтов в корневых каналах;
- хронические воспалительные заболевания полости рта: периодонтит, остеомиелит челюстей, актиномикоз ЧЛО и др.
Патогенез
Патогенез цементом остается неизвестным. Ученые допускают, что имеет место реактивный или диспластический процесс. На патологоанатомическом уровне при цементоме происходит прогрессирующая резорбция нормальной альвеолярной кости с замещением ее фиброзной тканью, состоящей из фибробластов, коллагена и различного количества костных или цементоподобных кальцификатов.
Начальная стадия развития цементомы характеризуется пролиферацией фибробластов и коллагеновых волокон в апикальной области периодонтальной связки, в результате чего возникает резорбция мозгового вещества, окружающего апекс. На данном этапе на рентгенограмме видны зоны разрежения костной ткани, имеющие большое сходство с периапикальными очагами инфекционного трансдентального происхождения. В дальнейшем во время второй стадии развития цементомы происходит дифференцировка цементобластов. Это, в свою очередь, способствует появлению участков повышенной минерализации. При третьей стадии наблюдается оссификация фиброзной ткани. Поражение выглядит как кальцификация ограниченной плотности, окруженная узким радиопрозрачным ободком.
Классификация
В стоматологии выделяют 4 основных типа цементом:
- Истинная цементома. Опухоль развивается без выраженной клиники. Чаще новообразование диагностируют случайно во время проведения рентгенографии зуба, связанного с цементомой, или соседних зубов. При гистологическом исследовании цементомы выявляют грубоволокнистую соединительную ткань с разной степенью кальцификации. Опухоль окружена оболочкой, отграничивающей патологически измененные ткани от здоровой кости. Микроскопически новообразование имеет сходство с остеоид-остеомой, болезнью Педжета.
- Цементирующаяся фиброма. Заболевание протекает со стертой симптоматикой. При разрастании цементома истончает кортикальный слой кости, от давления на надкостницу возникает нерезкая болезненность. Гистологически цементирующая фиброма представляет собой доброкачественное новообразование, состоящее из переплетающихся между собой клеток и волокон соединительной ткани с выраженными зонами минерализации. Цементирующая фиброма, как и истинная цементома, имеет внешнюю капсулу.
- Периапикальная цементная дисплазия. Чаще локализуется во фронтальном отделе тела нижней челюсти. Характеризуется появлением множественных патологических очагов, которые не превышают 1 см в диаметре и не распространяются на кортикальную пластинку. В своем развитии опухоль проходит 3 стадии: остеолитическую, кальцифицирующую и зрелую. На рентгенограмме наряду с деструкцией костной ткани выявляют участки повышенной минерализации.
- Гигантоформная цементома. Характеризуется интенсивной трансформацией соединительной ткани в цементную. На рентгенограмме обнаруживают участок округлой или овальной формы, плотно спаянный с корнем зуба. Степень плотности гигантоформной цементомы имеет большое сходство со структурой твердых тканей зуба. Периодонтальная щель не прослеживается, клеточные элементы практически отсутствуют.
Симптомы цементомы
Для цементомы характерно бессимптомное течение. Открывание рта у пациентов свободное, осуществляется в полном объеме. Цвет кожных покровов не изменен. Слизистая в проекции цементомы бледно-розового оттенка, без видимых патологических изменений. При достижении больших размеров опухоли уменьшается толщина кортикальной пластинки, в результате чего цементома оказывает давление на надкостницу. Это вызывает появление нерезкой болезненности при разговоре, во время приема пищи.
В ходе пальпаторного исследования удается выявить локальное утолщение кости в зоне, соответствующей локализации цементомы. Опухоль может прорастать в слизистую, что приводит к образованию перфорационного отверстия, которое служит входными воротами для проникновения инфекции и развития воспалительного процесса. Если цементома локализуется на верхней челюсти, доброкачественное новообразование может врастать в полость гайморового синуса, вызывая характерную симптоматику гайморита.
Диагностика
Постановка диагноза цементома основывается на данных анамнеза заболевания, жалобах пациента, результатах клинического, рентгенологического и гистологического исследований. При значительных размерах опухоли в ходе внешнеротового физикального осмотра врач-стоматолог выявляет асимметрию лица. Кожные покровы в цвете не изменены, открывание рта свободное. Слизистая бледно-розовая. При пальпации наблюдается слабоболезненная деформация пораженного участка кости. В результате прорастания опухоли в слизистую оболочку при соответствующей локализации цементомы может возникнуть соустье. Если цементома небольших размеров, специфические клинические симптомы заболевания отсутствуют. Инструментальными способами диагностики выступают:
- Рентгенологическое исследование. Для цементомы характерны два типа изменений. В первом случае рентгенографически определяют правильной округлой формы плюс-ткань, по плотности напоминающую ткань зуба, тесно связанную с его корневой частью. По периферии цементомы локализуется тонкая полоска просветления, соответствующая зоне разрежения кости. Периодонтальная щель по окружности корня отсутствует. Во втором случае на рентгене диагностируют минус-ткань. При этом на фоне разрежения кости выявляют зоны повышенной минерализации.
- Электроодонтодиагностика. С целью проведения дифференциальной диагностики периапикальной цементной дисплазии с воспалительными периапикальными изменениями используют ЭОД. В отличие от периодонтита при цементоме жизнеспособность пульпы сохранена, что подтверждается данными ЭОД в диапазоне значений от 2 до 6 мкА.
- Морфология биоптата. Решающими при постановке диагноза цементома являются результаты гистологического исследования. Выявление цементоподобной ткани без признаков атипии подтверждает развитие цементомы.
Заболевание дифференцируют с хроническим периодонтитом, доброкачественными и злокачественными одонтогенными опухолями. Пациента обследует челюстно-лицевой хирург.
Лечение цементомы
При выявлении истинной цементомы и цементирующей фибромы проводят удаление опухоли полости рта с резекцией части пораженной кости. Зуб, вовлеченный в патологический процесс, также подлежит удалению. Лечение периапикальной цементной дисплазии имеет свои особенности. Поскольку тенденции к активному опухолевому росту не наблюдается, данный тип цементом не требует удаления. Также не применяют оперативный метод лечения при диагностировании гигантоформной цементомы. Пациенту назначают регулярные осмотры с целью наблюдения за характером изменений в динамике для своевременного выявления осложнений.
При периапикальной цементной дисплазии избегают удаления зубов. Отторжение склеротических цементоподобных масс происходит в течение длительного отрезка времени и приводит к выздоровлению. Формирование углубления блюдцеобразной формы в участке пораженной кости может ускорить восстановительные процессы. Так как жизнеспособность пульпы сохранена, эндолечение не проводят.
Прогноз
Прогноз цементно-костной дисплазии хороший. Позднее выявление истинной цементомы и цементирующей фибромы приводит к развитию осложнений: нарушению целостности кости, распространению опухоли на верхнечелюстной синус, появлению перфорационных отверстий на слизистой полости рта.
Дисплазия челюстей
Под термином «дисплазия костной ткани» подразумевается патологическое замещение кости фиброзной тканью с включением кальцификатов. Дефект носит преимущественно врожденный характер. Реже встречается развитие аномалии у взрослых или в постнатальный период.
Общая характеристика
Дисплазия челюсти – замещение кости челюсти соединительной тканью, содержащей элементы цементноподобных кальцификатов. Фиброзная масса состоит из клеток, отвечающих за синтез коллагена, эластина и иных компонентов.
Пораженные челюстные кости теряют нормальную структуру, прочность, изменяется состав и морфология. Патологический процесс приводит к возникновению факторов:
- Изменения формы кости.
- Асимметрии лица.
- Переломов.
- Деструкции окружающих областей.
- Появления воспалительного процесса, болезненности и других клинических признаков.
В большинстве случаев заболевание отличается бессимптомным течением.
Первый случай патологии был описан Реклингаузеном – патологоанатомом из Германии в 1891 году.
Среди врачей отсутствует единое мнение насчет классификации, стадий и видов указанной аномалии. В статье описаны общепризнанные формулировки и характеристики.
Локализация очагов и распространенность заболевания обусловлены его видом. Женщины более подвержены указанной аномалии в сравнении с мужчинами. Средняя частота заболеваемости – 1-6 %.
Ключевая причина возникновения - генные мутации ненаследственного характера, которые нарушают нормальный процесс формирования кости.
Врачи выделяют три вида дисплазии челюсти. Подробнее о каждом рассказывается ниже.
Фиброзная
Аномалия при которой происходит замена костной массы на соединительную, состоящую из фибробластов и коллагена. Допускается содержание костных и остеоидных элементов.
По объему поражения дисплазия бывает:
- монооссальная или однокостная (МФД);
- полиоссальная или многокостная (ПФД).
Происходит увеличение и деформация альвеолярного отростка. Появляется подвижность зубных элементов. Отсутствует увеличение лимфоузлов, изменение кожи или слизистых.
Верхняя челюсть более подвержена заболеванию. Деструктивный процесс охватывает гайморову пазуху. Возникает нарушение дыхания, сужение глазной щели.
Заболевание характерно для детей в возрасте от 3 до 15 лет. Выраженность клинических симптомов обусловлена распространенностью и локализацией пораженных участков. Из-за выбухания кости возникает деформация, не вызывающая боли. Пораженный участок отличается хрупкостью и склонностью к переломам.
Клинические проявления: болезненность, нарушение дыхательной функции.
Заболевание отличается доброкачественным течением. Менее чем в 1% случаев происходит малигнизация.
Цементно-костная
Распространенная форма болезни. Нормальная ткань замещается коллагеном, кальцификатами и фибробластами. Локализация: зубные сегменты челюстей.
- Фокальная (очаговая). Отличается одиночностью поражения. Очаг, размером до 1,5 см возникает в любой области челюстей. Бессимптомное течение.
- Периапикальная. Дефект располагается в переднем отделе НЧ. Возникают множественные или единичные очаги. Сохраняется кровообращение и иннервация единиц. Размер очагов – до 1 см.
- Цветущая. Отличается обнажением во рту желтой, аваскулярной кости. Множественные очаги симметричной формы. Расположение: нижняя челюсть. Происходит деструкция всех сегментов ряда. Возможно бессимптомное течение или появление болезненности. Характерно появление свищей на альвеолярных отростках.
Для всех форм ЦКД характерен идентичный результат гистологии.
Оссифицирующая фиброма
Нераспространенная аномалия. Относится к истинным опухолям. Внешний облик на рентгенограмме идентичен фиброзной патологии.

Клинические проявления
Симптомы болезни обусловлены ее формой, стадией, расположением.
ЦКД отличается бессимптомным течением. Дефект выявляется случайным образом при проведении рентген диагностики по другому поводу. Реже появляются симптомы:
- Болезненность в пораженной области.
- Хронический остеомиелит.
- Свищи на альвеолярном отростке, обнажение аваскулярной ткани.
- Отмирание патологических областей ткани.
При фиброзном типе дефекта клинические проявления ярко выражены:
- Деформация лица.
- Повреждение зубных элементов, глазного яблока.
- Нарушение носовых проходов.
- Головные боли.
- Повреждение косточек среднего уха, зрительного и черепно-мозгового нерва.
- Утрата слуха и зрения.
- Переломы патологически измененных челюстей.
Редко встречается малигнизация.
Диагностика
Выявить болезнь способен опытный и дантист. Применяются следующие виды диагностики:
- Клинический осмотр пациента. Оценка симметричности лица. Изучение анамнеза и жалоб.
- Рентгенография.
- КТ, МРТ.
- Пункция с гистологией.
Лабораторные исследования не информативны.
Лечебный процесс
Хирургическое лечение с иссечением патологических тканей проводится при наличии ярко-выраженных симптомов. При бессимптомном течении болезни выбирается выжидательная тактика с регулярными осмотрами врача. Требуется соблюдение гигиены полости рта, соблюдение мероприятий по предотвращению утраты зубов. Воспалительный процесс купируется антибиотикотерапией.
Прогноз
Лечение стоматологической болезни отличается благоприятным прогнозом. Результат лечебных мероприятий зависит от своевременности обращения к врачу, локализации очага, степени поражения и грамотной диагностики.
Читайте также:
