Рентгенограмма, КТ при щечных и небных экзостозах челюсти
Добавил пользователь Владимир З. Обновлено: 28.11.2025
а) Терминология:
1. Синоним:
• Валик нижней челюсти
2. Определение:
• Экзофитная пролиферация кортикальной и трабекулярной кости язычной поверхности нижней челюсти, обычно в области премоляров
б) Визуализация:
1. Общая характеристика:
• Лучший диагностический критерий:
о Интраоральные рентгенограммы: двухсторонние хорошо отграниченные рентгеноконтрастные участки без рентгенонегативного гало
• Локализация:
о Язычная сторона нижней челюсти в области премоляров; сзади может доходить до моляров, спереди до клыков
о Надчелюстно-подъязычным гребнем
о В редких случаях с одной стороны
• Размер:
о Варьирует; крайне малый (о Может увеличиваться при длительном приеме фенитоина, стимулирующего остеогенез
• Морфология
о Округлая или нодулярная; четкие границы; возможны множественные поражения
2. Рекомендации по визуализации:
• Лучший метод визуализации:
о Периапикальные или окклюзионные рентгенограммы; КЛКТ

(Слева) На периапикальной рентгенограмме области средней трети корней премоляров слева определяется четко отграниченный рентгеноконтрастный участок. Такая локализация типична для нижнечелюстных валиков, хотя валики большого размера могут распространяться кзади к молярам и кпереди к резцам. Обратите внимание на отсутствие просветления на периферии. Четкие и ровные края помогают отличить валик от идиопатического остеосклероза.
(Справа) На периапикальной рентгенограмме центральных резцов нижней челюсти определяются типично выглядящие двухсторонние нижнечелюстные валики.
3. Рентгенография при нижнечелюстном валике:
• Интраоральные рентгенограммы:
о Двухсторонние хорошо отграниченные рентгеноконтрастные участки в области средней трети корней премоляров нижней челюсти
4. КТ при нижнечелюстном валике:
• КЛКТ:
о Двухсторонние экзофитные участки высокой плотности с язычной стороны в области премоляров нижней челюсти
в) Дифференциальная диагностика нижнечелюстного валика:
1. Идиопатический остеосклероз (эностоз):
• Рентгенография:
о Плотный склеротический очаг в кости с неровными краями
о Может возникать в другой области кроме премоляров нижней челюсти
• КЛКТ: гиперденсные участки в пределах щечной и альвеолярной кортикальных пластинок
2. Сиаолит в вартоновом протоке:
• Рентгенография: кальцинаты в вартоновом протоке могут напоминать валики
• КЛКТ: кальцинаты лежат с язычной стороны и отделены от нижней челюсти
3. Щечный экзостоз:
• Рентгенография: хорошо отграниченный рентгеноконтрастный участок на щечной поверхности альвеолярного отростка, лежащий ближе к шейке зуба, чем валик
• КЛКТ: экзофитные костные разрастания на щечной поверхности альвеолярных отростков
4. Остеома:
• Экзофитные узлы, чаще возникающие в области ветви и нижнего края нижней челюсти
• Могут быть множественными; предполагайте синдром Гарднера

(Слева) На аксиальной КЛКТ визуализируются большие фестончатые рентгеноконтрастные разрастания, представляющие собой нижнечелюстные валики.
(Справа) На корональной КЛКТ определяется сдавление языка огромными нижнечелюстными валиками. Валики покрыты тонкой слизистой оболочкой, которая может травмироваться. При хроническом воспалении или нарушении функции валики удаляются. Обратите внимание на верхне и нижнечелюстные щечные экзостозы, которые часто сочетаются с нижнечелюстными валиками.
г) Патология:
1. Общая характеристика:
• Этиология:
о Врожденное состояние, связанное с внешними влияниями: окклюзионной нагрузкой, парафункциональными привычками:
- Недавно доказана связь с «квадратной» нижней челюстью, способствующей патологическому распределению стрессовых нагрузок
• Генетика:
о Аутосомно-доминантный тип
• Сопутствующие нарушения:
о До 36%: связь с щечными или небными экзостозами; до 50%: связь с небным валиком
2. Микроскопия:
• Гиперплазия зрелой кортикальной или трабекулярной костей
д) Клинические особенности:
1. Проявления:
• Типичные признаки/симптомы:
о Бессимптомное течение в отсутствие травматизации
• Другие признаки/симптомы:
о Большие валики могут затруднять прием пищи и речь
2. Демография:
• Возраст:
о Редко до 10 лет; обычно 30-40 лет
• Пол:
о М>Ж
• Эпидемиология:
о Распространенность может быть выше в конкретных этнических группах: у монголов, эскимосов
3. Течение и прогноз:
• Возможен медленный рост
• Прогноз хороший; отсутствует злокачественный потенциал
4. Лечение:
• Удаление валиков при травматизации или нарушении функции, либо при изготовлении протеза
е) Диагностическая памятка. Следует учесть:
• Синдром Гарднера, если локализация разрастаний нетипична для валиков
Рентгенограмма, КТ при щечных и небных экзостозах челюсти
1. Синонимы:
• Слюнный камень/конкремент, муцинозная бляшка, сиалолитиаз
2. Определение:
• Обызвествленный конкремент, приводящий к обструкции протока поднижнечелюстной железы
1. Общая характеристика:
• Лучший диагностический критерий:
о Овоидное рентгенонегативное образование(я)
о Некоторые без выраженного обызвествления (муцинозные бляшки)
о При сиалографии могут обнаруживаться перемежающиеся расширенные участки/стриктуры протока проксимальнее зоны обструкции
• Локализация:
о Поднижнечелюстная железа - наиболее типичная локализация сиалолитов
о Сиалолит часто обнаруживается случайно под нижним краем нижней челюсти на панорамных рентгенограммах
• Морфология:
о Ровные края, овоидная (или вытянутая) форма; возможны концентрические обызвествления

(Слева) На кадрированной панорамной рентгенограмме определяется сиалолит правой поднижнечелюстной железы, находящийся возле ее нижнего края. Накладывала на нижнюю челюсть, поднижнечелюстные сиалолиты могут имитировать очаговый идиопатический остеосклероз.
(Справа) На окклюзионной рентгенограмме правой половины нижней челюсти определяется вытянутый сиалолит в вартоновом протоке поднижнечелюстной железы. Тридцать процентов поднижнечелюстных сиалолитов возникают в области ворот или в проксимальных отделах вартонова протока.
2. Рентгенография при поднижнечелюстном сиалолите:
• Интраоральная и панорамная рентгенография, сиалография:
о Округлый, овальный или вытянутый рентгеноконтрастный участок; ± слоистая структура
о Рентгенонегативный участок или дефект наполнения при традиционной сиалографии
о Традиционная сиалография: расширенные участки, перемежающиеся со стриктурами протока (вследствие инфекции)
3. КТ при поднижнечелюстном сиалолите:
• КТ с КУ:
о Плотный участок по ходу вартонова протока при значительном обызвествлении сиалолита
• КЛКТ:
о Визуализируется лишь сиалолит со значительным обызвествлением
4. МРТ при поднижнечелюстном сиалолите:
• Т2 ВИ:
о Гипоинтенсивные участки выпадения сигнала в вартоновом протоке/в воротах, окруженные гиперинтенсивной слюной
о При нарушении слюноотделения визуализация затруднена
5. УЗИ при поднижнечелюстном сиалолите:
• Плотные высокоминерализованные сиалолиты > 1,5 мм выявляются с точностью 99%
6. Рекомендации по визуализации:
• Лучший метод визуализации:
о Интраоральная (окклюзионная) и панорамная рентгенография, УЗИ
о Традиционная сиалография или МР-сиалография при минимально обызвествленных сиалолитах (муцинозных бляшках)
• Выбор протокола:
о Вначале - интраоральные (окклюзионные) и панорамные рентгенограммы
о Уменьшайте выдержку на 50% при окклюзионной рентгенографии для лучшей визуализации кальцинатов в мягких тканях
о При необходимости локализации сиалолитов в дальнейшем подходит КЛКТ или КТ с КУ; можно использовать УЗИ
о КТ или МРТ: если сиалолит не определяется на рентгенограммах, при недоступности традиционной сиалографии или при наличии противопоказаний

(Слева) На корональной КЛКТ определяется поднижнечелюстной сиалолит в левом вартоновом протоке. Обратите внимание, что сиалолит образован слоями с обызвествлением различной степени выраженности и имеет овоидную форму.
(Справа) На традиционной сиалограмме определяются рентгеноконтрастный и рентгенопрозрачный в сиалолиты. Наблюдается классическая картина («связка сосисок») вторичного сиалодохита с расширением протока и стриктурами. 20% поднижнечелюстных сиалолитов недостаточно обызвествлены и выглядят как дефекты наполнения (рентгенопрозрачные включения).
в) Дифференциальная диагностика поднижнечелюстного сиалолита:
1. Дистрофические кальцинаты лимфоузлов:
• Обычно мультифокальные или в виде цветной капусты
• Исключите скрофулез/хронический туберкулез, особенно у пациентов из развивающихся стран
2. Флеболит:
• Концентрические слоистые рентгеноконтрастные участки в мягких тканях, связанные с сосудистыми мальформациями
3. Идиопатический остеосклероз/эностоз:
• Хорошо отграниченный внутрикостный рентгеноконтрастный участок, вплетающийся в нормальный рисунок трабекул
• Сиалолит, накладывающийся на нижнюю челюсть, может имитировать эностоз
г) Патология. Общая характеристика:
• 30% поднижнечелюстных сиалолитов находятся в воротах или в проксимальной части вартонова протока
• Поднижнечелюстная железа — наиболее типичная локализация сиалолитов, что обусловлено высокой вязкостью слюны
• Средний размер: 7,3 мм; может достигать 7 см
1. Проявления:
• Типичные признаки/симптомы:
о Отек и дискомфорт, особенно при приеме пищи
• Другие признаки/симптомы:
о Возможно бессимптомное течение
о Возможен застой слюны, сиалодохит, и/или сиаладенит
2. Лечение:
• Препараты, стимулирующие слюноотделение, для облегчения оттока слюны
• Хирургическое удаление доступного сиалолита
• В крайнем случае тотальная эксцизия железы
е) Диагностическая памятка:
1. Следует учесть:
• Сиалолиты часто бывают множественными и сочетаются с сиаладенитом
• Часто обнаруживаются участки расширения протока, чередующиеся со стриктурами,-результат ретроградной инфекции (сиалоаденит)
• Минимально обызвествленные сиалолиты могут не визуализироваться, особенно на интраоральных и панорамных рентгенограммах
2. Советы по интерпретации изображений:
• 20% поднижнечелюстных сиалолитов недостаточно обызвествлены и могут выглядеть как муцинозные бляшки (дефекты наполнения при сиалографии)
Экзостозы челюсти ( Остеофиты челюсти )
Экзостозы челюсти – это костные образования на альвеолярном отростке или в области тела челюсти в виде выступов, бугров, шипов, остроконечных и тупоконечных гребней. Экзостозы челюсти не вызывают выраженного дискомфорта. Чаще костные наросты, деформирующие челюсть, обнаруживают случайно в ходе профилактического осмотра или на подготовительном этапе перед протезированием. Диагностика данной патологии включает сбор жалоб, клиническое обследование и рентгенографию. Лечение экзостозов челюсти направлено на удаление костных выступов, сглаживание поверхности, создание необходимых условий для фиксации ортопедических конструкций.
МКБ-10
Общие сведения
Экзостозы челюсти (остеофиты) – костные выступы, возникающие как на верхней, так и на нижней челюсти после удаления зубов, вследствие травмы или по причине возрастных изменений альвеолярного гребня. В большинстве случаев на верхней челюсти остеофиты располагаются со щечной поверхности альвеолярного отростка. На нижнечелюстной кости экзостозы чаще выявляются с язычной стороны в участке премоляров, реже в области моляров, клыков или резцов. Симметрично локализованные экзостозы челюсти в зоне нижних малых коренных зубов диагностируют у 5-10% пациентов с частичной или полной адентией. Эти костные выступы называют нижнечелюстными валиками. Небный торус (экзостоз в участке срединного небного шва) довольно часто обнаруживают у детей вскоре после рождения. По мере роста ребенка наблюдается тенденция к увеличению экзостоза челюсти в объеме.
Причины
Экзостоз - это приобретенная патология. Чаще всего костные разрастания имеют посттравматический характер.
- Экзостозы челюсти могут возникнуть после операции по удалению зуба. Отсутствие этапа сглаживания краев лунки при проведении травматической экстирпации приводит к образованию костных выступов-шипов.
- Причиной остеофитов могут быть травмы, неправильно сопоставленные поврежденные фрагменты челюсти, застарелые переломы.
- При периферической форме по краю челюсти возникают остеофиты остеогенного диспластического происхождения.
Симптомы экзостозов челюсти
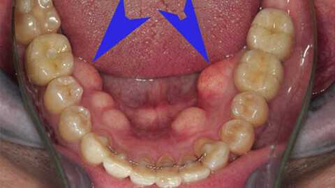
Как правило, остеофиты небольших размеров не вызывают никаких жалоб. Костные наросты могут быть выявлены во время определения степени атрофии кости, оценки уровня податливости слизистой оболочки на подготовительном этапе перед протезированием. Наиболее часто экзостозы челюсти локализуются в зоне срединного небного шва, а также с оральной стороны альвеолярного отростка в проекции нижних премоляров. Открывание рта у пациентов с экзостозом челюсти свободное, осуществляется в полном объеме. Слизистая над остеофитами бледно-розовая, без видимых патологических изменений, подвижная.
При увеличении костных выступов слизистая истончается, вследствие чего возрастают риски ее травматизации базисом протеза или острыми краями разрушенных стенок зубов. При пальпации экзостозы челюсти представляют собой плотные образования с бугристой или гладкой поверхностью, не спаянные с окружающими мягкими тканями. Располагаясь в области суставного отростка, экзостоз челюсти вызывает болевые ощущения. При этом наблюдается ограничение при открывании рта, смещение ментального отдела в здоровую сторону, нарушение окклюзии. Регионарные лимфоузлы не пальпируются. Общее состояние у пациентов с экзостозом челюсти не нарушено.
Диагностика
Постановка диагноза экзостоз челюсти базируется на основании жалоб пациента, данных анамнеза, результатов физикального обследования, рентгенографии. Дифференцируют экзостоз челюсти с доброкачественными и злокачественными опухолями костной ткани. Обследование проводит хирург-стоматолог.
- Стоматологический осмотр. При осмотре врач-стоматолог на альвеолярном отростке или в участке тела челюсти выявляет безболезненное образование плотной консистенции, не спаянное с окружающими мягкими тканями. Слизистая оболочка над экзостозом челюсти истонченная. Повреждение ее острыми краями разрушенных зубов или базисом протеза приводит к появлению участков изъязвлений.
- Рентгенография челюсти. При экзостозе челюсти на рентгенограмме определяют костный выступ с четкими границами. Деструктивные изменения в кости отсутствуют.
Лечение экзостозов челюсти
Лечение челюстных остеофитов хирургическое. При иссечении небного торуса производят срединный линейный разрез с послабляющими надрезами спереди и сзади, отслаивают слизисто-надкостничный лоскут, экзостоз челюсти удаляют единым блоком или распиливают, а затем извлекают по фрагментам. Иногда остеофиты в стоматологии срезают бором или фрезой. После удаления небного выступа производят ревизию костной раны, сглаживают края. Слизисто-надкостничный лоскут помещают на место. Оперативное вмешательство заканчивается наложением узловых швов. Для предотвращения развития гематомы на небо ставят йодоформную повязку, которую дополнительно фиксируют шелковыми швами.
При расположении экзостозов на альвеолярном отростке производят трапециевидный разрез. После мобилизации слизисто-надкостничного лоскута спиливают экзостоз челюсти, сглаживают поверхность, укладывают на место ранее отсепарированный лоскут. Края раны ушивают узловыми швами. При небольших экзостозах и имеющемся дефиците кости поднадкостнично формируют тоннель, куда вводят гидроксиапатит. За счет биоматериала восстанавливают нужную толщину альвеолярной части. Рану на слизистой оболочке зашивают, накладывают повязку.
Прогноз и профилактика
Прогноз при экзостозе челюсти благоприятный. После устранения этиологических факторов и хирургического удаления остеофитов создаются благоприятные условия для дальнейшего протезирования.Профилактика состоит в предупреждении травмирования челюстной ткани, атравматичном проведении стоматологических манипуляций.
1. Синонимы:
• Гиперостозы; небные экзостозы (или верхнечелюстные валики); щечная «губа»
2. Определение:
• Гиперпластические разрастания нормальной кортикальной или губчатой костей
1. Общая характеристика:
• Лучший диагностический критерий:
о Хорошо отграниченный рентгеноконтрастный участок без периферического просветления на интраоральных рентгенограммах
• Локализация:
о Щечная поверхность альвеолярных отростков верхней и нижней челюсти в области моляров и премоляров
о Чаще в области верхней челюсти: 10% со стороны неба в области первого моляра-бугристости
о Выбухающие участки со стороны щечной поверхности шейки (щечная «губа») чаще обнаруживаются на нижней челюсти
• Размер:
о Варьирует; маленькие краевые шеечные разрастания-большие экзофитные узлы
• Морфология:
о Округлая, узловая, плоская форма; на ножке
2. Рекомендации по визуализации:
• Лучший метод визуализации:
о Окклюзионная рентгенография для определения экзофитного характера
о КЛКТ
3. Рентгенография при щечных и небных экзостозах челюсти:
• Интраоральные рентгенограммы:
о Хорошо отграниченный, ровный рентгеноконтрастный участок в альвеолярном отростке без периферического просветления

(Слева) На периапикальной рентгенограмме определяются едва заметные рентгеноконтрастные участки возле шеечного края передних зубов. Эти выбухающие участки, чаще возникающие на нижней челюсти, носят название щечной «губы». Клинические они выглядят как маленькие бугорки под нормальной слизистой оболочкой.
(Справа) На аксиальной 3D КЛКТ визуализируются множественные экзостозы с щечной стороны верхней челюсти в области моляров и премоляров. Столь многочисленные экзостозы можно удалить, т.к. они способны привести к функциональным нарушениям. Видна также щечная «губа» в передних отделах верхней челюсти.
4. КТ при щечных и небных экзостозах челюсти:
• КЛКТ:
о Экзофитные участки внешне не измененной костной ткани возле альвеолярного гребня
в) Дифференциальная диагностика щечных и небных экзостозов челюсти:
1. Идиопатический остеосклероз:
• Рентгенография: возможны аналогичные изменения:
о Более неровные контуры
о Другие области (кроме альвеолярного отростка)
• КЛКТ: гиперденсные участки, ограниченные кортикальными пластинками альвеолярного отростка
2. Нижнечелюстной валик:
• КЛКТ: костные разрастания со стороны язычной поверхности нижней челюсти в области премоляров
3. Небный валик:
• КЛКТ: костные разрастания в центре твердого неба
4. Остеома:
• Экзофитный костный вырост, часто на ножке
• Чаще в области ветви и нижнего края нижней челюсти
• Множественные остеомы могут свидетельствовать о синдроме Гарднера

(Слева) На корональной КЛКТ определяются щечный и небный экзостозы в задних отделах верхней челюсти. Небный экзостоз иногда называют верхнечелюстным валиком. Обратите внимание на маленький небный валик, который часто появляется вместе с экзостозами.
(Справа) На аксиальной КЛКТ определяются множественные щечные экзостозы в области премоляров нижней челюсти Присутствуют также выбухающие нижнечелюстные валики. Частота экзостозов наивысшая при наличии нижнечелюстного и небных валиков одновременно.
1. Общая характеристика:
• Этиология:
о Последние исследования показывают доминантное генетическое влияние
о Наиболее вероятна полиэтиологичная природа с наложением внешних факторов: окклюзионной нагрузки, парафункциональных привычек, свободной десневой трансплантации
• Генетика:
о Возможен аутосомно-доминантный или Х-сцепленный тип
• Сопутствующие нарушения:
о Связь с нижнечелюстным валиком (НижВ) и небным валиком (НВ):
- Наибольшая частота (42%) при наличии НижВ и НВ одновременно
о Возможно сочетание с фибромами кожи
2. Микроскопия:
• Плотная кость с лакунами и нормальными остеоцитами
1. Проявления:
• Типичные признаки/симптомы:
о Бессимптомное течение в отсутствие травматизации
• Другие признаки/симптомы:
о Может быть очевидным стирание зубов, что поддерживает теорию стимуляции формирования экзостозов окклюзионной нагрузкой
2. Демография:
• Возраст:
о Частота увеличивается с возрастом
о Наиболее часто у пациентов >55 лет
• Пол:
о М>Ж
• Эпидемиология:
о Чаще у азиатов, темнокожих
3. Течение и прогноз:
• Прогноз хороший; злокачественный потенциал отсутствует
4. Лечение:
• Не требуется, за исключением случаев травматизации или нарушения функции, либо при изготовлении протеза
е) Диагностическая памятка. Следует учесть:
• Синдром Гарднера при нетипичной локализации экзостозов
Экзостозы челюсти

Экзостозы челюсти – это новообразования, состоящие из костной ткани и захватывающие альвеолярный отросток, реже – области челюстей. Внешне выглядят как выступы, бугры, шипы, остроконечные гребни и гребни с тупыми концами. Экзостоз челюсти как правило не вызывает сильного дискомфорта его могут обнаружить случайным образом во время планового осмотра или во время подготовки к установке протеза.
Как правило, зачастую на верхних челюстях остеофит локализуется на поверхности альвеолярных отростков со стороны, примыкающей к слизистой оболочке щеки. Что касается нижней челюсти, там экзостоз зачастую обнаруживают со стороны языка в премолярной области, реже – рядом с молярами, клыками или резцами.
Экзостоз челюсти бывает локализован симметрично – рядом с малыми коренными нижними зубами. Встречается у 5-10% пациентов, у которых диагностируется частичная или полная адентия. Такие костные наросты называются «нижнечелюстные валики».
Причины и симптомы заболевания
Экзостоз челюсти часто возникает в результате операции по удалению зубов. Если после удаления не произошло правильное сглаживание лунки, а экстирпация (полное удаление зуба) была травматичной и сложной, в результате могут образовываться костные выступы-шипы. В числе других причин образования наростов – травмы, неправильное сопоставление поврежденных фрагментов челюсти и старые, неправильно сросшиеся переломы.
Нарост костной ткани обычно выявляется перед протезированием, когда нужно оценить, насколько податлива слизистая оболочка и определить степень атрофии костной ткани.
Пациент с экзостозом свободно размыкает челюсть и не жалуется ни на какие неприятные ощущения. Слизистой оболочке над остеофитом свойственно иметь бледно-розовый окрас. Обычно патологические изменения отсутствуют, слизистая оболочка остаётся подвижной.
Диагностика и лечение экзостозов челюсти
В основе диагностики экзостоза челюсти лежит сбор анамнеза и жалоб пациента. Важно провести качественное физикальное обследование и рентгенографию. Во время осмотра специалист-стоматолог на альвеолярном отростке или на самой челюсти может выявить нарост-новообразование, плотное по консистенции, не присоединенное к мягким тканям вокруг. Слизистая оболочка десен над образовавшимся наростом истончается. Если окружающие зубы повреждены, она будет постоянно травмироваться, в результате часто образуются рубцы и язвы.
Лечение данного заболевания проводится специалистом-хирургом. Небный торус иссекают, после чего делают линейный длинный разрез. Отслаивается надкостничный лоскут.
Новообразование из костной ткани удаляется либо целиком, либо распиливается, чтобы после этого извлечь поврежденные фрагменты. В редких случаях остеофиты удаляют, применяя бор или фрезу. После хирургического иссечения выступа на нёбе производится ревизия кости, сглаживаются ее края.
Слизисто-надкостничный лоскут помещается туда же, где был до этого. После хирургического вмешательства, в конце операции накладываются швы. Чтобы предотвратить появление и развитие гематом, на нёбе устанавливается йодоформная повязка, которая вдобавок дополнительно фиксируется швами из шелка.
Если экзостоз челюсти локализуется на альвеолярном отростке, показано проведение трапециевидного разреза. После того, как происходит перемещение слизисто-надкостничного лоскута, спиливается экзостоз, сглаживается поверхность, а ранее отделенный лоскут устанавливается на прежнее место.
С помощью узловых швов края раны ушиваются. Если же экзостозы на челюсти были небольшими, при этом наличествует дефицит кости, формируется тоннель в который вводится гидроксиапатит. С помощью специальных биоматериалов восстанавливается необходимая плотность альвеолярного участка. Рана на слизистой оболочке десны зашивается, сверху накладывается повязка.
Как правило, пациенты с экзостозами челюсти могут рассчитывать на благоприятный прогноз. Если были устранены этиологические факторы, а новообразования – хирургически удалены, после заживления тканей можно устанавливать зубные протезы.
2019 © Хорошая стоматология — сеть стоматологических клиник.
Стоматологические услуги около м. Верхние Лихоборы, м. Митино, м. Тушинская, м. Речной вокзал, м. Отрадное, м. Щелковская
Данная страница носит информационно-справочный характер и не является публичной офертой.
Читайте также:
