Рентгенограмма, КТ при вывихе голеностопного сустава
Добавил пользователь Евгений Кузнецов Обновлено: 05.01.2026
Рентгенограмма, КТ, МРТ при вывихе таранной кости
а) Определение:
• Пантаранный вывих: вывих большеберцово-таранного, подтаранного и таранно-ладьевидного суставов
б) Визуализация:
1. Общая характеристика:
• Морфология:
о Вывих подтаранного сустава:
- В 75% случаев вывих является медиальным
- Передний и задний вывихи встречаются редко
- В большинстве случаев сочетается с переломами костей
о Вывих таранно-ладьевидного сустава:
- В некоторых случаях наблюдается повреждение всего сустава Шопара (таранно-ладьевидный + пяточно-кубовидный суставы)
о Полный (пантаранный) вывих:
- Вывих таранной кости относительно всех суставных поверхностей
о Подвывих подтаранного сустава:
- Может возникать у артистов балета вследствие длительной повышенной нагрузки
- При отсутствии травмы причиной его развития может служить ревматоидный артрит или нейрогенная артропатия
(Слева) При рентгенографии голеностопного сустава в передне-задней проекции определяется латеральный вывих подтаранного сустава. Латеральное смещение пяточной кости указывает либо на ее вывих, либо на ее перелом. Чтобы отличить вывих от перелома, необходимо выполнить рентгенографию еще и в боковой проекции.
(Справа) У этого же пациента при рентгенографии голеностопного сустава в боковой проекции подтверждается наличие вывиха подтаранного сустава. Задняя суставная поверхность пяточной кости не сочленяется с соответствующей суставной поверхностью таранной кости. Кроме того, выявляется перелом латерального отростка таранной кости. Суставные поверхности таранно-ладьевидного сустава конгруэнтны. (Слева) При рентгенографии голеностопного сустава в передне-задней проекции определяется медиальный вывих подтаранного сустава. Задняя суставная поверхность таранной кости не сочленяется с соответствующей суставной поверхностью пяточной кости.
(Справа) У этого же пациента при рентгенографии голеностопного сустава в боковой проекции визуализируется вывих заднего и среднего отделов подтаранного сустава. Кроме того, выявляются переломы «задней лодыжки» и задней части тела таранной кости. Шейка таранной кости не повреждена. Наблюдается вывих таранно-ладьевидного сустава. (Слева) При рентгенографии голеностопного сустава в передне-задней проекции определяется вывих таранной кости. Ее головка ротирована латерально. Также выявляется перелом медиальной лодыжки.
(Справа) У этого же пациента при рентгенографии голеностопного сустава в боковой проекции визуализируется вывих таранной кости относительно всех суставных поверхностей. Перелом таранной кости отсутствует. В некоторых случаях таранная кость вывихивается наружу, повреждая кожные покровы.
2. Рентгенография при вывихе таранной кости:
• Изолированный вывих подтаранного сустава при рентгенографии может быть заметен слабо:
о Отсутствие конгруэнтности
о Частичное перекрытие теней таранной и пяточной костей при рентгенографии в боковой проекции
о Ротация таранной кости относительно большеберцовой и пяточной костей
• Симптом «обнажения суставной поверхности»:
о Суставная поверхность таранной кости видна, однако не сочленяется с пяточной костью
• В редких случаях наблюдают вывих таранной кости относительно всех суставных поверхностей
3. КТ при вывихе таранной кости:
• Лучше всего переломы, не видимые при рентгенографии, выявляются при КТ
• Выполняется после проведения репозиции
• Позволяет обнаружить подвывих, который может сохраняться после выполнения репозиции
4. МРТ при вывихе таранной кости:
• Выполняется редко
• Может использоваться для выявления повреждений связочного аппарата
5. Рекомендации по визуализации:
• Лучший метод визуализации:
о Рентгенография
• Рекомендации по выбору протокола:
о Не следует ожидать, что при рентгенографии удастся полностью соблюсти укладку, поскольку этому может препятствовать наличие деформации
о Важнее выполнить репозицию в ранние сроки, чем получить рентгенограммы хорошего качества
о Следует повторять рентгенографию после выполнения репозиции:
- Оценка эффективности репозиции
- Обнаружение переломов, которые при выполнении рентгенографии перед репозицией часто не замечают
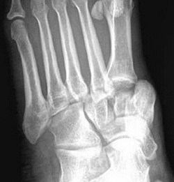
(Слева) При рентгенографии стопы в передне-задней проекции определяется смещение таранной кости кпереди и медиально. Ладьевидная и пяточная кости вместе с остальными костями стопы смещены латерально.
(Справа) У этого же пациента при рентгенографии голеностопного сустава, выполненной в проекции суставной щели, визуализируется латеральное смещение задней суставной поверхности пяточной кости и суставной поверхности ладьевидной кости. Латеральный вывих подтаранного сустава встречается реже, чем медиальный. (Слева) У этого же пациента при КТ в сагиттальной плоскости в коаном режиме, выполненной после неудачной попытки репозиции, определяется импрессионный перелом таранной кости, который возник вследствие ее сдавливания задней суаавной поверхноаью пяточной кости. Этот перелом послужил препятствием для выполнения репозиции.
(Справа) У этого же пациента при КТ на 3D-реконструкции со стороны подошвы хорошо видно расположение костей. Таранная кость смещена латерально относительно пяточной кости. При этом головка таранной кости находится на большом расао-янии от ладьевидной кости. (Слева) При МРТ в коронарной плоскости на Т2 ВИ в режиме FS, выполненной после репозиции вывиха подтаранного сустава, определяются разрыв межкостной таранно-пяточной связки и перелом опоры таранной кости.
(Справа) У этого же пациента при МРТ в коронарной плоскоаи на Т2 ВИ в режиме FS на срезе, проходящем через пазуху предплюсны, визуализируется разрыв цервикальной связки. Кроме того, наблюдается растяжение либо частичный разрыв подошвенной пяточно-ладьевидной связки.
в) Дифференциальная диагностика вывиха таранной кости:
1. Вывих голеностопного сустава:
• Повреждение большеберцово-таранного сустава
2. Перелом шейки таранной кости:
• При переломе I типа по Хокинсу повреждение суставов отсутствует
• При переломе II типа по Хокинсу наблюдается подвывих/вывих подтаранного сустава
• При переломе III типа по Хокинсу наблюдается повреждение подтаранного и голеностопного суставов
• При переломе IV типа по Хокинсу наблюдается пантаранный вывих
3. Вывих сустава Шопара:
• Вывих таранно-ладьевидного + пяточно-кубовидного суставов
г) Патология:
1. Общая характеристика:
• Этиология:
о Падение на стопу, находящуюся в положении внутренней или наружной ротации
• Сопутствующие патологические изменения:
о Повреждение большеберцового нерва, задних большеберцовых вен и артерии
о Часто встречаются переломы костей стопы и голени:
- Переломы импрессионные или отрывные
2. Краткие анатомические сведения:
• Таранная кость сочленяется с большеберцовой, малоберцовой, ладьевидной и пяточной костями
• В подтаранном суставе выделяют три отдела: задний, средний и передний:
о Задний отдел является наибольшим; несет 50% от всей нагрузки на подтаранный сустав
• Задний большеберцовый нервно-сосудистый пучок проходит позади медиальной лодыжки, а затем через канал предплюсны
д) Клинические особенности. Проявления:
• Типичные признаки/симптомы:
о Отек, болезненность стопы; невозможность передвигаться
е) Диагностическая памятка. Советы по отчетности:
• Лечащему врачу важно получить результат исследования как можно раньше:
о Для предотвращения повреждения сосудов и нервов крайне важно выполнить репозицию в ранние сроки
ж) Список использованной литературы:
1. Melenevsky Y et al: Talar fractures and dislocations: a radiologist's guide to timely diagnosis and classification. Radiographics. 35(3):765-79, 2015
2. Rammelt S et al: Subtalar dislocations. Foot Ankle Clin. 20(2):253-64, 2015
3. Van Opstal N et al: Traumatic talus extrusion: case reports and literature review. Acta Orthop Belg. 75(5):699-704, 2009
4. Wagner R et al: Talar dislocations. Injury. 35 Suppl 2:SB36-45, 2004
5. Bibbo C et al: Missed and associated injuries after subtalar dislocation: the role of CT. Foot Ankle Int. 22(4):324-8, 2001
6. KandaT etal: Anterior dislocation of the subtalar joint: a case report. Foot Ankle Int. 22(7):609-11, 2001
7. Mendtrey J et al: Subtalar subluxation in ballet dancers. Am J Sports Med. 27(2): 143-9, 1999
8. Tucker DJ et al: Lateral subtalar dislocation: review of the literature and case presentation. J Foot Ankle Surg. 37(3):239-47; discussion 262, 1998
9. DeLee JC et al: Subtalar dislocation of the foot. J Bone Joint Surg Am. 64(3):433-7, 1982
Рентгенограмма, КТ при вывихе голеностопного сустава
Признаки вывиха голеностопного сустава
а) Терминология:
• Переломовывих: данный термин широко используется для обозначения любого перелома лодыжки, сочетающегося с выраженным смещением суставных поверхностей голеностопного сустава:
о Вывих не обязательно должен быть полным
б) Визуализация:
• Отсутствие конгруэнтности между кортикальным слоем большеберцовой и таранной костей, наложение их теней друг на друга
• Нарушение блоковидного строения голеностопного сустава
• Перелом лодыжек со смещением
• Отломки могут смещаться в любом направлении:
о Чаще всего наблюдается латеральное смещение
• Предоставленные рентгенограммы могут отображать состояние после репозиции; ищите даже незначительное несоответствие суставных поверхностей друг другу, которое может свидетельствовать в пользу предшествующего вывиха
(Слева) На рисунке показан латеральный переломовывих голеностопного сустава: вывих сочетается с отрывным переломом медиальной лодыжки и переломом латеральной лодыжки. Вывих голеностопного сустава может возникать как без переломов, так и в сочетании с переломами лодыжек, дистального метаэпифиза большеберцовой кости, вывихом подтаранного сустава и переломами таранной кости. Стопа при вывихе может смещаться в любую сторону, но чаще - латерально.
(Справа) При рентгенографии голеностопного сустава в передне-задней проекции визуализируется латеральный переломовывих: косые переломы дистальных отделов большеберцовой и малоберцовой костей. (Слева) У этого же пациента при рентгенографии голеностопного сустава в боковой проекции определяется смещение таранной костив кпереди относительно нижней суставной поверхности большеберцовой кости. Выявляются переломовывих подтаранною сустава и смещение фрагмента пяточной кости вниз.
(Справа) При КТ, выполненной после репозиции, на 3D-peконструкции в передне-задней проекции визуализируется протяженный дефект нижней суставной поверхности большеберцовой кости. Проведение КТ после репозиции позволяет лучше оценить расположение костей при сложной травме. Тракционные спицы несколько ухудшают качество изображения, что, однако, не препятствует адекватной оценке.
в) Дифференциальная диагностика:
• Вывих подтаранного сустава
• Перелом дистального метаэпифиза большеберцовой кости
• Перелом лодыжек без смещения
• Нейрогенная артропатия
г) Патология:
• Сопутствующие травмы:
о Переломы лодыжек (выявляются почти во всех случаях)
о Повреждение коллатеральных и синдесмозных связок
о Импрессионный перелом купола таранной кости или нижней суставной поверхности большеберцовой кости
о Повреждение заднего большеберцового нервно-сосудистого пучка
о Повреждение сухожилий, в том числе их ущемление
о Отрывной перелом области прикрепления удерживателя сухожилий сгибателей или малоберцовых мышц
о Переломы костей стопы, приводящие к патологической подвижности голеностопного сустава («плавающая» лодыжка)
о Компартмент-синдром
д) Диагностическая памятка:
• Для оценки повреждений сухожилий, связок и удерживателей сухожилий выполняется КТ в мягкотканном режиме
• Кроме того, следует оценивать состояние костей стопы, чтобы исключить наличие травмы, которая может привести к патологической подвижности голеностопного сустава («плавающая» лодыжка)
а) Определения:
• Переломовывих: термин широко используется для обозначения любого перелома лодыжки, сочетающегося с выраженным смещением суставных поверхностей голеностопного сустава
о Вывих не обязательно должен быть полным
• Перелом Фолькмана (также известен как перелом Ирла): перелом заднелатерального угла большеберцовой кости
• Перелом Тилло-Шапута: перелом переднелатерального угла большеберцовой кости
1. Рентгенография при вывихе голеностопного сустава:
• Отсутствие конгруэнтности между кортикальным слоем большеберцовой и таранной костей, наложение их теней друг на друга
• Смещение таранной кости относительно большеберцовой:
о Латеральный край тела таранной кости должен соответствовать малоберцовой вырезке большеберцовой кости
о Купол таранной кости должен располагаться по центру позади большеберцовой кости
• Нарушение блоковидного строения голеностопного сустава:
о Расширение медиального свободного пространства
- Норма 6 мм
о Расширение межберцового синдесмоза:
- При рентгенографии в проекции суставной щели голеностопного сустава тени большеберцовой и малоберцовой костей должны перекрываться на 1 мм
о Смещение малоберцовой кости относительно большеберцовой при рентгенографии в боковой проекции:
- Задний край малоберцовой кости должен располагаться возле заднего края большеберцовой
- Если голень на рентгенограмме ротирована, то выявить смещение достаточно трудно
• Перелом лодыжек со смещением:
о Обычно возникает в лодыжках, нижней суставной поверхности большеберцовой кости или куполе таранной кости
о Тщательный поиск места возникновения перелома
• Предоставленные рентгенограммы могут отображать состояние: после репозиции; ищите даже незначительное несоответствие суставных поверхностей друг другу, которое может свидетельствовать в пользу предшествующего вывиха
(Слева) При рентгенографии голеностопного сустава в передне-задней проекции определяется латеральный переломовывих: перелом малоберцовой кости типа В по Веберу перелом Фолькмана (заднелатерального отдела большеберцовой кости) и отрывной перелом области прикрепления дельтовидной связки. Такая травма относится к пронационно-абдукционному типу.
(Справа) У этого же пациента при рентгенографии голеностопного сустава в боковой проекции визуализируется перелом суставной поверхности вследствие вдавления купола таранной кости в задний край большеберцовой кости. Кроме того, выявляются перелом малоберцовой кости и перелом «задней лодыжки». (Слева) При рентгенографии голеностопного сустава в передне-задней проекции тень таранной кости накладывается на тень большеберцовой, что указывает на наличие вывиха.
(Справа) У этого же пациента при рентгенографии голеностопного сустава в боковой проекции визуализируется задний вывих таранной кости относительно большеберцовой. Также выявляется перелом «задней лодыжки». Травму пациент получил при падении с лестницы. Спустя три года после травмы осталась лишь некоторая скованность по утрам. (Слева) При рентгенографии голеностопного сустава в передне-задней проекции определяется медиальный переломовывих, возникший вследствие супинационно-аддукционной травмы. Таранная кость смещена медиально. Линия перелома медиальной лодыжки достигает нижней суставной поверхности большеберцовой кости, которая, в свою очередь, характеризуется наличием импрессионного перелома. В латеральном свободном пространстве выявляется костно-хрящевой фрагмент латеральной чааи купола таранной кости. Малоберцовая кость не изменена.
(Справа) У этого же пациента при рентгенографии голеностопного сустава в боковой проекции визуализируется перелом «задней лодыжки». Кроме того, выявляется импрессионный перелом переднемедиального отдела нижней суставной поверхности большеберцовой кости.
2. КТ при вывихе голеностопного сустава:
• Для полной оценки перелома и повреждения мягких тканей
• Интерпозиция сухожилия может препятствовать репозиции
3. Рекомендации по визуализации:
• Лучший метод визуализации:
о Рентгенография в остром периоде
о КТ для планирования хирургического вмешательства
в) Дифференциальная диагностика вывиха голеностопного сустава:
1. Вывих подтаранного сустава:
• Различные виды деформации стопы нередко клинически сходны
2. Перелом лодыжек:
• Может сочетаться с вывихом голеностопного сустава
3. Перелом дистального метаэпифиза большеберцовой кости:
• Импрессионный перелом нижней суставной поверхности большеберцовой кости вследствие избыточной осевой нагрузки
4. Нейрогенная артропатия:
• Признаком нейрогенной артропатии является хронический вывих
• Дифференциальную диагностику облегчают данные анамнеза
• Избыточная костная мозоль
• Ремоделирование кости
• Множество мелких костных фрагментов
(Слева) При рентгенографии голеностопного сустава в передне-задней проекции определяется открытый медиальный вывих. Помимо небольших костных фрагментов, на рентгенограммах до и после репозиции переломов выявлено не было. Следует отметить, что стопа ротирована на 90°. Кроме того, расширена суставная щель подтаранного сустава.
(Справа) У этого же пациента при рентгенографии голеностопного сустава в боковой проекции видно, что репозиция оказалась эффективной. Спереди виден дренажно-аспирационный аппарат. (Слева) При КТ в сагиттальной плоскости после репозиции переднего вывиха голеностопного сустава определяются перелом переднего отдела дистального метаэпифиза большеберцовой кости и импрессионный перелом купола таранной кости. Кроме того, сохраняется некоторое смещение таранной кости кпереди.
(Справа) При КТ в сагиттальной плоскости после закрытой репозиции переднего вывиха визуализируется смещение таранной кости в сторону дефекта нижней суставной поверхности большеберцовой кости. Склерозирование и слабо выраженное вдавление купола таранной кости свидетельствуют о повреждении суставной поверхности в результате сдвига. (Слева) При рентгенографии голеностопного сустава в передне-задней проекции определяется передний переломовывих: перелом тела таранной кости и переднелатерального угла большеберцовой кости (перелом Тилло-Шапута).
(Справа) У этого же пациента при рентгенографии голеностопного сустава в боковой проекции визуализируется оскольчатый перелом тела таранной кости с ее вдавлением в передний край большеберцовой кости. Кроме того, выявляется крупный фрагмент переднего края нижней суставной поверхности большеберцовой кости.
1. Общая характеристика:
• Сопутствующие патологические изменения:
о Переломы: лодыжек, дистального метаэпифиза большеберцовой кости, таранной кости и других костей стопы
о Вывих подтаранного сустава
о Повреждение связок: дельтовидной, межберцового синдесмоза, латерального коллатерального комплекса
о Повреждение нервно-сосудистого пучка о Фрагментирование суставной поверхности таранной или большеберцовой кости
о Повреждение удерживателя сухожилий сгибателей
о Повреждение удерживателя сухожилий малоберцовых мышц
о Повреждение сухожилий, в том числе их ущемление между отломками
о Компартмент-синдром
о Повреждение голеностопного сустава и стопы противоположной конечности
2. Классификация вывиха голеностопного сустава:
• Задний вывих:
о Вследствие воздействия на стопу усилия, направленного кзади
• Передний вывих:
о Вследствие воздействия на большеберцовую кость усилия, направленного кзади, при фиксированной стопе
о ± перелом тела таранной кости, переднего края большеберцовой кости
• Латеральный вывих:
о Приземление на стопу в положении наружной ротации
о Линия перелома латеральной лодыжки ориентирована вертикально
о Горизонтальный перелом медиальной лодыжки или разрыв дельтовидной связки
• Медиальный вывих:
о Приземление на стопу в положении внутренней ротации
о Линия перелома медиальной лодыжки ориентирована вертикально
о Горизонтальный перелом латеральной лодыжки или разрыв латеральных связок
• Верхний вывих:
о Возникает при тяжелой травме дистального метаэпифиза большеберцовой кости
о Таранная кость смещается вверх в сторону поврежденной большеберцовой кости
• Переломовывих Босворта (редкий):
о Проксимальный край отломка малоберцовой кости смещается кзади относительно большеберцовой кости
о Как правило, выполнить закрытую репозицию не удается
д) Клинические особенности. Течение и прогноз:
• Высокая вероятность развития вторичного остеоартроза
е) Диагностическая памятка. Следует учесть:
• Для оценки повреждений сухожилий, связок и удерживателей сухожилий выполняется КТ в мягкотканном режиме
• Оценка сопутствующих травм стопы, которые могут привести к «плавающей» лодыжке (патологической подвижности)
Вывих голеностопного сустава
Вывих голеностопного сустава – это патологическое состояние, при котором наблюдается полное смещение суставных поверхностей костей, образующих голеностопный сустав. Полный вывих голеностопного сустава встречается редко и обычно наблюдается в сочетании с переломом лодыжек. В быту вывихом часто называют растяжения, надрывы и разрывы связок голеностопного сустава, при которых может наблюдаться подвывих – частичное смещение суставных поверхностей. Вывих и подвывих сопровождаются болью, отеком, нарушением движений и опоры. Диагноз устанавливается с учетом данных осмотра и рентгенографии. Иногда дополнительно назначается КТ или МРТ. Лечение подвывихов консервативное. При полном вывихе производится попытка закрытого вправления, при невозможности сопоставить суставные поверхности и отломки костей выполняется операция.
МКБ-10
Общие сведения
Вывих голеностопного сустава – смещение суставных поверхностей большеберцовой, таранной и малоберцовой костей относительно друг друга. Полные вывихи голеностопного сустава наблюдаются редко, являются тяжелой травмой, сочетаются с внутрисуставными и околосуставными переломами.
Причины
Неполные вывихи (подвывихи) голеностопного сустава могут возникать при повреждении связок (как изолированных, так с одновременными переломами лодыжек). Обычно причиной травмы становится подворачивание ноги. Реже вывих возникает при несчастных случаях на производстве, автодорожных катастрофах и падениях с высоты. При подворачивании обычно наблюдается изолированное повреждение, при других механизмах травмы возможно сочетание с переломами и вывихами костей скелета, открытыми ранами, повреждением грудной клетки, тупой травмой живота и ЧМТ. Лечение осуществляют травматологи-ортопеды.
Патанатомия
Голеностопный сустав – сложный блоковидный сустав, образованный тремя костями: таранной, малоберцовой и большеберцовой. Нижняя поверхность эпифиза большеберцовой кости прилежит к верхней части таранной кости. Наружная лодыжка, являющаяся продолжением малоберцовой кости, а также внутренняя лодыжка, образованная дистальной частью большеберцовой кости, охватывают таранную кость с боков, образуя подобие вилки, ограничивающей подвижность сустава в боковом направлении. Движения в суставе осуществляются, главным образом, во фронтальной оси (разгибание и сгибание стопы). Вместе с тем, несмотря на ограничивающую сустав вилку, существует и незначительная подвижность в сагиттальном направлении (отведение и приведение стопы).
Кости удерживаются суставной капсулой и связками, расположенными по боковым поверхностям г/стопного сустава. На наружной поверхности находится пяточно-малоберцовая, а также задняя и передняя таранно-малоберцовые связки. Повреждение этих связок возникает при подворачивании стопы кнутри. На внутренней поверхности г/стопного сустава располагается дельтовидная связка, которая может повреждаться при подворачивании стопы кнаружи. Механизм повреждения костей аналогичен механизму повреждения связок, однако, для возникновения переломов костей голени и переломовывихов требуется более интенсивное воздействие.
Классификация
Выделяют четыре вида вывихов и подвывихов голеностопного сустава:
- Наружный. Самый распространенный. Обычно сочетается с переломом наружной лодыжки.
- Внутренний. Как правило, наблюдается в сочетании с переломом внутренней лодыжки.
- Задний. Обычно сочетается с переломом заднего края большеберцовой кости.
- Передний. Наблюдается редко, может сочетаться с различными травмами сустава и переломом нижней трети большеберцовой кости.
Симптомы
Пациент с вывихом голеностопного сустава жалуется на резкую боль. В области сустава выявляется значительная отечность и синюшность мягких тканей. Возможны кровоподтеки. При подвывихах определяется умеренная деформация, при полных вывихах наблюдается грубое нарушение анатомических соотношений. Опора невозможна. Пальпация резко болезненна, при переломах может определяться крепитация и патологическая подвижность. При подвывихах движения резко ограничены из-за боли, при полных вывихах невозможны, при попытке пассивных движений выявляется пружинящее сопротивление.
Осложнения
При подвывихах и особенно при вывихах голеностопного сустава часто возникают тяжелые комбинированные повреждения: двух- и трехлодыжечные переломы, разрыв межберцового синдесмоза, множественные надрывы и разрывы связок, а также разрывы капсулы сустава. При неправильном или несвоевременном лечении такие травмы могут повлечь за собой тяжелые последствия в виде нарушения опоры, постоянных болей при ходьбе и развития артроза голеностопного сустава.
Диагностика
Диагностические мероприятия при подозрении на вывих голеностопного сустава осуществляет травматолог-ортопед. Предварительный диагноз устанавливается на основании данных анамнеза и внешнего осмотра. Для уточнения характера повреждения осуществляют рентгенографию голеностопного сустава. По показаниям назначают МРТ и КТ голеностопного сустава.
Лечение вывиха голеностопного сустава
При подозрении на данное повреждение категорически запрещается производить попытки самостоятельного вправления. Необходимо зафиксировать ногу с помощью шины, приложить к поврежденной области холод и немедленно доставить больного в специализированное мед. учреждение. В отделении травматологии и ортопедии производят закрытое вправление и накладывают гипс с обязательным последующим рентгенконтролем. Через пять дней рентгеновские снимки повторяют, чтобы убедиться в отсутствии вторичного смещения, гипс циркулируют. Срок иммобилизации определяется видом повреждения.
Две неудачных попытки закрытого вправления, а также невозможность удержать отломки в правильном положении являются показанием к хирургическому лечению. В зависимости от характера повреждений наряду с открытым вправлением может проводиться остеосинтез заднего края большеберцовой кости, восстановление дистального межберцового синдесмоза, остеосинтез наружной лодыжки пластиной, остеосинтез наружной и/или внутренней лодыжки винтами, а также трансартикулярная фиксация голеностопного сустава спицами. В послеоперационном периоде назначается ЛФК и тепловые процедуры.
Повреждения связок
Различают три степени повреждения связок:
- 1 степень – растяжение связок. На самом деле, связки являются неэластичным образованием и не могут растягиваться. При 1 степени происходят микроразрывы связки (повреждения отдельных волокон). Однако словосочетание «растяжение связок» настолько плотно прижилось в быту, что иногда используется не только пациентами, но и представителями официальной медицины. При такой травме появляется незначительная отечность и припухлость над поврежденной связкой. Опора сохранена, движения умеренно ограничены. Пальпация болезненна.
- 2 степень – надрыв связок. Проявляется выраженным отеком по наружной или внутренней поверхности сустава. Отек быстро нарастает, в течение нескольких часов или первых суток обычно возникает кровоподтек над поврежденной связкой. Боли сохраняются в состоянии покоя, усиливаются при движениях. Опора и движения затруднены, но возможны.
- 3 степень – разрыв связок. Отечность и кровоподтек распространяются по боковой поверхности голеностопного сустава, охватывают тыльную и подошвенную часть стопы. Отмечаются резкие боли в покое. Опора невозможна, движения резко ограничены.
При появлении подобных симптомов необходимо приложить к пораженной области холод, придать ноге возвышенное положение и немедленно доставить пациента в травмпункт, чтобы травматолог мог провести обследование, исключить более серьезные повреждения (переломы, переломовывихи) и назначить соответствующее лечение. Диагноз выставляется на основании внешних признаков и данных рентгенографии голеностопного сустава. Для уточнения степени повреждения связок больного иногда направляют на МРТ голеностопного сустава. Лечение 1 и 2 степени повреждения связок проводится амбулаторно, при 3 степени необходима госпитализация.
При растяжении связок больному рекомендуют ограничить нагрузку и применять тугое бинтование на время ходьбы. В покое повязку следует снимать. В первые двое суток к пораженной области нужно прикладывать холод, затем показано сухое тепло. Пациенту выдают больничный лист и направляют на УВЧ. При надрыве связок показано наложение гипсовой повязки, ходьба на костылях, а также УВЧ. Полный разрыв связок является показанием к хирургическому лечению в условиях стационара.
Вывих стопы
Вывих стопы - это патологическое состояние, при котором суставные поверхности костей стопы смещаются относительно друг друга в результате травмы. Сопровождается болью, отечностью и деформацией пораженной зоны, невозможностью опоры на ногу. Диагноз выставляют на основании анамнеза, жалоб, данных физикального обследования и результатов рентгенографии. Лечение включает вправление вывиха и наложение гипсовой лонгеты. После завершения иммобилизации назначают физиопроцедуры, массаж стопы и ЛФК. В отдельных случаях требуются операции.
Вывихи стопы составляют около 2% от общего числа вывихов, практически во всех случаях сопровождаются повреждением связок и нередко – переломами костей стопы.
Человеческая стопа состоит из 26 костей, образующих три отдела: предплюсна, плюсна и фаланги пальцев. В состав предплюсны входит 7 костей: таранная, пяточная, ладьевидная, кубовидная и три клиновидных (латеральная, промежуточная и медиальная).
В голеностопном суставе кости голени сочленяются с таранной костью, причем нижние концы костей голени (лодыжки) охватывают таранную кость с боков, образуя своеобразную вилку. Голеностопный сустав укреплен суставной капсулой и развитым связочным аппаратом. Дистально (дальше от центра) предплюсна соединяется с пятью трубчатыми костями плюсны. Предплюсно-плюсневые суставы малоподвижны. Плюсневые кости соединяются с фалангами пальцев.
В травматологии и ортопедии выделяют следующие виды вывихов стопы:
- вывихи стопы в голеностопном суставе;
- вывихи таранной кости;
- подтаранные вывихи стопы;
- вывихи костей предплюсны (вывихи стопы в суставе Шоппара);
- вывихи костей плюсны (вывихи стопы в суставе Лисфранка);
- вывихи пальцев.
Виды вывиха стопы
Вывих в голеностопном суставе

Полный вывих стопы – достаточно редкая травма. Такие вывихи голеностопного сустава всегда сопровождаются серьезными повреждениями его связочного аппарата и переломами лодыжек. Реже вывих стопы сочетается с другими внутрисуставными переломами.
Стопа может вывихиваться наружу, внутрь, назад, вперед или вверх. Наружный вывих стопы возникает при подворачивании стопы наружу и вбок, сопровождается переломом наружной лодыжки. Если пациент подворачивает стопу кнутри, возможен внутренний вывих стопы, сочетающийся с переломом внутренней лодыжки.
Причиной заднего вывиха стопы обычно становится резкое насильственное сгибание стопы в сторону подошвы или сильный удар по голени спереди. Передний вывих стопы может возникнуть при сильном ударе сзади по голени или при резком насильственном сгибании стопы в тыльную сторону. Вывих стопы кверху встречается крайне редко, обычно появляется в результате падения с высоты.
Пациента с вывихом стопы беспокоит резкая боль в голеностопном суставе. При внешнем осмотре выявляется выраженный отек, синюшность, кровоподтеки и деформация в области голеностопного сустава. Движения в суставе и опора на ногу невозможна.
Для уточнения диагноза и выявления сопутствующих повреждений костных структур выполняют рентгенографию в двух проекциях. Вывихи стопы, сопровождающиеся повреждением костного и связочного аппарата, относятся к числу тяжелых повреждений. Нормальная функция сустава возможна только при максимально точном восстановлении нормального взаиморасположения отломков.
Успех вправления при вывихе стопы определяется целым рядом условий: тщательным изучением особенностей вывиха и смещения отломков, адекватным обезболиванием, правильностью и последовательностью действий врача-травматолога при вправлении стопы. Выправление свежих вывихов стопы общим наркозом, местным обезболиванием или проводниковой анестезией. При необходимости используются мышечные релаксанты.
По окончании вправления сустав фиксируют гипсовой лонгетой и делают контрольную рентгенограмму. Повреждения голеностопного сустава сопровождаются выраженным отеком мягких тканей, поэтому сплошная (циркулярная) повязка сразу после вправления не накладывается. Гипс укрепляют после спадания отека (обычно – на пятые сутки после вправления).
Срок иммобилизации определяется тяжестью сопутствующих повреждений и составляет от 8 до 12 недель. После снятия повязки обязательно назначают лечебную гимнастику и физиопроцедуры: теплолечение, диадинамотерапию, лечебные ножные ванны и др.
Наступать на поврежденную ногу после вправления вывиха стопы нельзя ни в коем случае – даже самая жесткая гипсовая повязка не в состоянии удержать поврежденные кости стопы на своем месте при нагрузке, равной весу человеческого тела. Последствием ранней нагрузки может быть повторное смещение, а в отдаленном периоде – резкое ограничение подвижности в суставе, постоянные боли и развитие посттравматического артроза.
Подтаранный вывих
Встречается крайне редко. Появляется в результате резкого подворачивания стопы. Сопровождается разрывом связок, резкой болью, отеком, деформацией стопы. Для уточнения диагноза и исключения сопутствующих переломов выполняют рентгенографию.
Выправление подтаранного вывиха стопы выполняют под наркозом или проводниковой анестезией. Затем накладывают гипсовую лонгету сроком на 5-6 недель. В последующем пациенту назначают физиопроцедуры, лечебную физкультуру и рекомендуют в течение года после травмы носить ортопедическую обувь.
Вывих костей предплюсны
Встречается крайне редко. Возникает в результате резкого поворота стопы. Сопровождается болью, отеком, деформацией стопы. Возможно нарушение кровообращения в дистальных отделах стопы.
Вправление выполняют под наркозом или проводниковой анестезией. Затем накладывают гипсовую лонгету сроком на 8 недель. В последующем назначают физиопроцедуры, лечебную физкультуру, рекомендуют в течение года после травмы носить супинаторы или ортопедическую обувь.
Вывих костей плюсны

Встречается редко. Может быть полным (смещение всех костей плюсны) или неполным (смещение отдельных костей плюсны). Сопровождается резкой болью, отеком, укорочением и расширением стопы.
Вправление выполняют под местной или общей анестезией. Затем накладывают гипсовую лонгету сроком до 8 недель. В последующем показана лечебная гимнастика, физиотерапия, ношение супинатора или ортопедической обуви в течение года.
Вывихи фаланг пальцев
Встречаются нечасто. Обычно возникают в результате прямого удара по области плюсны или пальцев. Сопровождаются болью, отеком, деформацией. Палец вправляют под местной анестезией. Затем накладывают гипсовую лонгету на 2 недели. В последующем назначают физиопроцедуры и лечебную физкультуру.
Читайте также:
