Рентгенограмма, КТ при язвенном колите
Добавил пользователь Евгений Кузнецов Обновлено: 17.12.2025
Информацию из данного раздела нельзя использовать для самодиагностики и самолечения. В случае боли или иного обострения заболевания диагностические исследования должен назначать только лечащий врач. Для постановки диагноза и правильного назначения лечения следует обращаться к Вашему лечащему врачу.
Синонимы: неспецифический язвенный колит, Ulcerative colitis, Сolitis ulcerosa
Язвенный колит: причины появления, симптомы, диагностика и способы лечения.
Язвенный колит – тяжелое хроническое, рецидивирующие заболевание, для которого характерны воспалительно-язвенные поражения слизистой оболочки толстой кишки. Болезнь развивается в результате сочетания нескольких факторов, включающих генетическую предрасположенность, дефекты врожденного и приобретенного иммунитета, патологическую кишечную микрофлору и неблагоприятную окружающую среду.
Распространенность язвенного колита в России на сегодняшний день достигла 19–30 случаев на 100 000 населения.
В Москве и области этот показатель составляет 58 на 100 000 населения. Первый пик заболеваемости отмечается между 20 и 40 годами жизни, а второй пик - в возрасте 60-70 лет. При возникновении язвенного колита в юношеском возрасте частота семейных случаев достигает 37% от общего числа заболеваний.

Причины появления язвенного колита
Ключевым механизмом развития язвенного колита является дисбаланс иммунной системы. Повреждающий агент (вирус, бактерия, токсин, паразиты и пр.) стимулирует иммунный ответ, сопровождающийся формированием аутоантител против собственного кишечного эпителия слизистой оболочки толстой кишки. Вследствие сложных иммунных механизмов с участием специальных белков (цитокинов) развивается воспалительный процесс, появляются участки поврежденной слизистой оболочки в виде эрозий и язв.
Инфицирование язв приводит к образованию гнойного экссудата. В результате повреждения кровеносных сосудов возникает кровотечение.
В толстой кишке различают 2 основных отдела — ободочную кишку (1,5-1,75 м) и прямую кишку (15-20 см). Язвенный колит обычно распространяется постепенно вверх по слизистой оболочке толстого кишечника, начиная с прямой кишки. Воспаление затрагивает слизистую оболочку и подслизистый слой и характеризуется четкой границей между здоровой и пораженной тканью. Мышечный слой поражается только при тяжелом течении заболевания.
Язвенный колит имеет различные варианты развития: от острого тяжелого дебюта с быстрым развитием угрожающих жизни осложнений до хронического и редко рецидивирующего «мягкого» течения, без прогрессирования заболевания и развития кишечных или системных осложнений в течение многих лет.
Основными этиологическими факторами возникновения язвенного колита считаются:
- генетическая предрасположенность – наличие у близких родственников болезни Крона или неспецифического язвенного колита;
- длительное применение нестероидных противовоспалительных препаратов;
- бактериальные и вирусные инфекции;
- дефекты врожденного и приобретенного иммунитета, аутоиммунные факторы;
- пищевая аллергия и стресс могут спровоцировать первую атаку заболевания или его обострение, однако не выступают в качестве самостоятельного фактора развития язвенного колита.
Любопытно, что аппендэктомия (удаление аппендикса) снижает риск развития заболевания при условии, что операция была выполнена в связи с острым аппендицитом в молодом возрасте.
Классификация заболевания
Язвенный колит принадлежит к группе неспецифических воспалений кишечника неизвестной этиологии. По Международной классификации болезней 10-го пересмотра язвенный колит имеет код К51. В зависимости от локализации воспаления различают несколько подклассов:
K51.0 – Язвенный (хронический) энтероколит.
K51.0 – Язвенный (хронический) илеоколит.
K51.0 – Язвенный (хронический) проктит.
K51.0 – Язвенный (хронический) ректосигмоидит.
K51.4 – Псевдополипоз ободочной кишки.
K51.5 – Мукозный проктоколит.
K51.8 – Другие язвенные колиты.
K51.9 – Язвенный колит неуточненный.
По характеру течения выделяют:
- острое течение (менее 6 месяцев от дебюта заболевания);
- хроническое непрерывное течение (отсутствие более чем 6-месячных периодов ремиссии на фоне адекватной терапии);
- хроническое рецидивирующее течение (наличие более чем 6-месячных периодов ремиссии).
Симптомы язвенного колита
Основными клиническими симптомами язвенного колита являются примесь крови и гноя в стуле, диарея, ложные позывы к дефекации, слабость, потеря аппетита и веса. У небольшой части пациентов развиваются поражения суставов, кожи, глаз, печени, желчных путей и почек.
Для язвенного колита характерно чередование обострений и периодов с умеренным проявлением симптомов или даже бессимптомных.
При ухудшении течения болезни к классическим симптома могут присоединяться дополнительные:
- поражение суставов (артриты);
- язвочки на слизистой оболочке полости рта;
- воспаление, болезненность, покраснение и отеки кожи;
- воспаление глаз.
Диагностика язвенного колита
Однозначных диагностических критериев язвенного колита не существует. Диагноз устанавливается на основании сочетания данных анамнеза, физикального осмотра, клинической картины и типичных эндоскопических и гистологических изменений. Кроме того, язвенный колит важно отличать от болезни Крона и других форм острого колита (в частности, инфекционного, а у пожилых людей – ишемического).
Обычно проводят следующие исследования:
- колоноскопию, осмотр слизистой оболочки кишечника, при необходимости берут небольшой образец ткани для исследования (биопсию);
К каким врачам обращаться
С первичными жалобами пациенты обращаются к врачу-терапевту или врачу общей практики (семейному врачу). Постановку диагноза и ведение пациентов с язвенным колитом осуществляют эндоскописты, гастроэнтерологи и колопроктологи. При выборе метода хирургического лечения требуется консультация хирурга и анестезиолога.
С целью подбора терапии при внекишечных проявлениях и сопутствующих состояниях может потребоваться консультация и других специалистов.
Лечение язвенного колита
Лечебные мероприятия при язвенном колите включают в себя назначение лекарственных препаратов, хирургическое лечение, психосоциальную поддержку и диетические рекомендации.
Главная задача медикаментозной терапии — смягчить симптомы, перевести заболевание в бессимптомную форму и постараться, чтобы ремиссия продлилась как можно дольше.
Медикаментозное лечение в острой фазе заболевания проводится гормональными противовоспалительными препаратами, а поддерживающая терапия – негормональными противовоспалительными препаратами и иммуносупрессорами (препаратами, подавляющими патологический иммунный ответ), в том числе так называемыми биологическими препаратами — моноклональными антителами.
Назначают следующие группы препаратов:
- противовоспалительные лекарственные средства, как правило, составляют основу лечения. На первом этапе — аминосалицилаты в виде таблеток или ректальных свечей. В тяжелых случаях или при отсутствии эффекта в схему лечения добавляют кортикостероиды;
- иммуносупрессоры — препараты, угнетающие иммунные реакции, назначают для облегчения симптомов и достижения ремиссии;
- антибиотики применяют в случае присоединения бактериальной инфекции;
- противодиарейные препараты;
- обезболивающие (противопоказан прием ульцерогенных препаратов - ибупрофена, диклофенака, напроксена);
- препараты железа – для лечения анемии.
Ранее хирургическое вмешательство заключалось в удалении всей толстой кишки (ободочной и прямой — колопроктэктомия) с формированием постоянной илеостомы. Такая методика позволяет полностью устранить болезнь и риск развития рака ободочной или прямой кишки, но она высоко травматична и сопровождается необходимостью пожизненного использования калоприемников (специальных мешков для сбора выделений из кишки).
Современная восстановительно-пластическая операция состоит в удалении толстой и прямой кишки до анального канала и формировании из тонкой кишки резервуара (J-pouch), который берет на себя функцию прямой кишки. В резервуаре накапливаются каловые массы, за счет чего дефекация становится контролируемой, а ее частота снижается до 4-6 раз в сутки. Хирургическое вмешательство освобождает пациента от длительного лечения лекарственными препаратами с выраженными побочными эффектами. Операция исключает дальнейшее развитие колита, а риск развития рака кишечника сводится к минимуму.

Осложнения
Язвенный колит является опасным заболеванием и при неблагоприятном течении в отсутствии надлежащего лечения может вызвать угрожающие жизни осложнения, для устранения которых требуется срочная операция.
- кишечное кровотечение, которое развивается при поражении сосудов, кровоснабжающих толстый кишечник;
- токсический мегаколон – расширение просвета толстой кишки (до 6 см в диаметре и более), что может привести к перфорации стенки кишечника;
- перитонит возникает при перфорации стенки кишечника;
- стриктура (сужение просвета) толстой кишки и кишечная непроходимость;
- рак толстой кишки (колоректальный рак) обычно развивается при длительном течении язвенного колита.
- сильное обезвоживание;
- остеопороз;
- дерматит;
- артрит;
- конъюнктивит;
- изъязвление ротовой полости;
- увеличение риска образования тромбов.
Своевременное выявление и правильно подобранное лечение язвенного колита предотвращает возможные осложнения и способствует профилактике рака.
Пациентам рекомендуется регулярно проходить колоноскопию, чтобы вовремя заметить онкологические изменения и приступить к лечению онкологического процесса на ранних стадиях.
Диетические рекомендации:
- ограничить потребление молочных продуктов;
- выбирать пищу с низким содержанием жира;
- уменьшить содержание грубой клетчатки в рационе (сырых фруктов и овощей, цельнозерновых круп), овощи и фрукты лучше готовить на пару, тушить или запекать;
- стараться не употреблять пищу с пониженным содержанием пищевых волокон и повышенным содержанием животного белка, рафинированные продукты, фаст-фуд;
- отказаться от алкоголя, острой пищи, а также напитков, содержащих кофеин.
- Клинические рекомендации «Язвенный колит» (утв. Минздравом России), 2020.
- Ивашкин В.Т., Шелыгин Ю.А., Белоусова Е.А. Проект клинических рекомендаций по диагностике и лечению язвенного колита. Колопроктология. Т. 18, № 4, 2019, С. 7-36.
- Воспалительные заболевания кишечника / Под ред. Г.И. Воробьева, И.Л. Халифа. — М.: Миклош, 2008. — 399 с.
Неспецифический язвенный колит
Язвенный колит, или неспецифический язвенный колит (НЯК) — это хроническое воспалительное заболевание слизистой кишечника, которое преимущественно поражает толстый кишечник, но так же имеет внекишечные проявления.
Эпидемиология
Обычно язвенный колит возникает в возрасте 15-40 лет, чаще у мужчин, второй пик заболеваемости отмечается в возрастной группе старше 50 лет. Считается, что в патогенезе играет роль сочетание геннетических факторов и воздействие окружающей среды, хотя заболевание относится к идиопатическим. Курение увеличивает риск возникновения болезни.
Клинические проявления
Клинические проявления включают частую (хроническую) диарею, иногда с прожилками крови; ложные позывы к дефекации; боль в животе и лихорадку (от 37 до 39 градусов в зависимости от тяжести заболевания).
Патофизиология
В отличии от болезни Крона, которая характеризуется трансмуральным сегментарным распространением воспалительного процесса, язвенный колит обычно ограничен подслизистой и слизистой оболочкой. Хроническое течение связанно с существенным увеличением риска озлокачествления, до 0,5-1% в год после 10 лет течения.
Диагноз часто устанавливается эндоскопически, биопсиией.
- первичный склерозирующий холангит
- феномен мойя-мойя
- колоректальный рак
- увеит и иридоциклит
- узловатая эритема и гангренозная пиодермия
- серонегативные спондилоартропатии
Диагностика
Поражение начинается как правило от прямой кишки - зубчатой линии и распространяется в проксимальном направлении. Если поражается только прямая кишка, то такое заболевание называется язвенным проктитом. При тяжелой форме толстая кишка атонична, с выраженной дилатацией, усиливающейся в результате развития синдрома избыточного бактериального роста, что приводит к одному из самых опасных осложнений язвенного колита - острой токсической дилатации толстой кишки (токсический мегаколон).
Обзорная рентгенография брюшной полости
Позволяет диагностировать токсический мегаколон (>5 см в поперечной ободочной кишке), который наблюдается у 3-5% больных с неспецифическим язвенным колитом.
Ирригоскопия
Ирригоскопию опасно выполнять у пациентов с токсическим мегаколоном в связи с риском перфорации.
Характерными рентгенологическими признаками неспецифического язвенного колита является: потеря гаустрации, уменьшение просвета толстой кишки, неравномерность рисунка слизистой оболочки обусловленная мелкими изъязвлениями("пушистый вид"). Впоследствии, при исследовании толстой кишки могут обнаруживаться псевдополипы. При длительном течении неспецифического язвенного колита, возникает сужение просвета толстой кишки и ее ригидность, симптом "шланга" или "водопроводной трубы".
Компьютерная томография
Компьютерная томография отражает те же изменения, что и ирригоскопия позволяя лучше визуализировать стенки толстой кишки, дистальные отделы подвздошной кишки и позволяя выявлять такие осложнения как перфорация или формирующиеся абсцессы. Однако важно отменить что КТ не чувствительна на ранних стадиях поражения слизистой.
Воспалительные псевдополипы могут быть видны при достаточно крупных размерах при хорошо растянутой толстой кишке. Так же могут быть видны эрозии слизистой и истончение стенок.
В поперечном сечении воспаленные и утолщенные стенки толстой кишки имеют трехслойный вид "мишени", в виде колец разной интенсивности, за счет "разделения" анатомических слоев стенки. Внутреннее кольцо - слизистая оболочка (усиливающаяся при введения контраста), за которой следует кольцо подслизистой оболочки, с низкой плотностью, обусловленное ее отеком и жировой инфильтрацией, затем внешний слой, представляющий собственную мышечную оболочку, так же усиливающуюся при введения контраста.
При хроническом течении в области прямой кишки могут определяется подслизистая пролиферация жировой ткани (признак жирового галло); экстрамуральная пролиферация жировой ткани, ведущая к утолщению параректальной клетчатки и расширению пресакрального пространства.
Стриктуры встречаются часто и не всегда являются признаком озлакочествления, в основном они указывают на утолщение мышечной пластинки слизистой оболочки и частично отвечают за формирование признака "водопроводной трубы".
Частичное утолщение стенки более 1,5 см и локальная потеря разделения слоев может указывать на колоректальный рак и является показанием к проведению эндоскопического исследования.
Магнитно-резонансная томография
Наиболее выраженные изменения включают утолщение стенки и повышение контрастного усиления. Средняя толщина стенки при язввенном колите варьирует от 4,7 до 9,8 мм. Стенка толщиной менее 3 мм расценивается как не измененная, от 3 до 4 мм как возможно измененная и более 4 мм как пораженная. Другие проявления включают потерю гаустрации и пролиферацию околокишечной жировой клетчатки.
Сложности диагностики
Приблизительно в 10-15% процентах случаев начальные проявления по типу язвенного колита могут в дальнейшем последующем прогрессировать в болезнь Крона.
Дифференциальный диагноз
основной дифференциальный диагноз проводится с болезнью Крона
Кроме того необходимо проводить дифференциальный диагноз с:
Рентгенограмма, КТ при язвенном колите
а) Терминология:
1. Аббревиатура:
• Язвенный колит (ЯК)
2. Определение:
• Хроническое, идиопатическое, диффузное воспалительное заболевание слизистой оболочки преимущественно ободочной и прямой кишки
б) Визуализация:
1. Общая характеристика:
• Лучший диагностический критерий:
о Панколит или дистальный колит с контрастным усилением слизистой оболочки на фоне умеренно выраженного подслизистого отека
• Локализация:
о Изолированное поражение прямой кишки (30%), прямой кишки и дистальных отделов ободочной кишки (40%), панколит (30%):
- Поражение терминальных отделов подвздошной кишки происходит у меньшей части пациентов
• Морфология:
о Умеренно выраженное утолщение стенки и сужение просвета в острой фазе
о Укорочение и агаустрация ободочной кишки в хронической фазе:
- Изменения ободочной кишки можно описать как «свинцовая труба» или «оконное стекло»
2. Рентгеноскопия при язвенном колите:
• Ирригоскопия:
о В острую фазу:
- Сужение просвета ободочной и прямой кишки, неполное заполнение (из-за спазма и раздражимости)
- Легкая «зернистость» слизистой оболочки (отек/гиперемия)
- Точечный «рисунок» слизистой оболочки: небольшие скопления бариевой взвеси и язвы, обусловленные эрозией слизистой оболочки и абсцессами крипт
- Язвы в виде «пуговиц на воротнике» колбовидной формы:
Язвы могут прогрессировать, приводя к отслойке слизистой оболочки на обширных участках
Остаточная или гиперпластическая слизистая может давать картину псевдополипа
- Утолщение поперечных складок из-за подслизистого отека
о В хроническую фазу:
- Укорочение ободочной кишки
- Изменение внешнего вида ободочной кишки: она становится похожей на «свинцовую трубу» или «оконное стекло»
- Сглаженность или полное отсутствие поперечных складок
- Сужение просвета и расширение пресакрального пространства больше 1,5 см
- Доброкачественные или злокачественные стриктуры

(Слева) На аксиальной КТ с контрастным усилением у женщины с язвенным колитом и первичным склерозирующим холангитом определяется распространенный фиброз ободочной кишки и отсутствие поперечных складок, из-за чего кишка приобрела вид «свинцовой трубы». Однородная структура утолщенной стенки ободочной кишки, имеющей низкую плотность, свидетельствует о длительно текущем заболевании.
(Справа) На аксиальной КТ с контрастным усилением у этой же пациентки определяется утолщение стенки дистальных отделов терминальной части подвздошной кишки, что расценивается как восходящий илеит. Язвенный колит имеет выражен ную взаимосвязь с первичным склерозирующим холангитом.
3. КТ при язвенном колите:
• КТ с контрастным усилением:
о Симптом «мишени» или «гало»:
- Внутреннее кольцо образовано слизистой оболочкой кишки, накапливающей контрастное вещество
- Среднее кольцо стенки кишки, не накапливающее контраст, представляет собой подслизистый слой
- Усиливающееся при контрастировании наружное кольцо стенки кишки соответствует мышечной пластинке и серозной оболочке
о Накапливающие контраст «островки» слизистой оболочки или воспалительные псевдополипы
о Толщина стенки в целом не превышает 10 мм
о Фиброзно-жировая пролиферация параректальной области и сужение просвета прямой кишки:
- Что приводит к расширению пресакрального (позадипрямокишечного) пространства
о Токсический мегаколон:
- Дилатация ободочной кишки, которая часто имеет размер больше 8 см, более очевидна на КТ, чем на рентгенограммах:
Дилатация (илеус) тонкой кишки
- Истончение или утолщение стенки ободочной кишки
- Отсутствие нормального рисунка поперечных складок и слизистой оболочки:
Могут отмечаться островки слизистой или псевдополипы
- Часто наблюдается асцит ± пневматоз, пневмоперитонеум
4. Рекомендации по визуализации:
• Лучший метод диагностики:
о КТ с контрастным усилением и мультипланарным реформатированием
о Ирригоскопия с двойным контрастированием-великолепный метод визуализации изменений, обусловленных заболеванием, со стороны слизистой оболочки:
- В эпоху КТ и колоноскопии исследование проводится редко

(Слева) На рентгенограмме, выполненной в положении лежа на спине у женщины 55 лет с длительной историей язвенного колита и болью в животе визуализируется относительно ровная ободочная кишка без гаустр с наличием «отпечатков пальцев».
(Справа) На аксиальной КТ у этой же пациентки определяется легкое диффузное утолщение стенки ободочной кишки без существенного накопления контраста слизистой оболочкой а также без явного подслизистого отека — типичных изменений при длительно существующем язвенном колите в сочетании с фиброзом. При колоноскопии было подтверждено, что у пациентки имеет место активный воспалительный процесс лишь в сигмовидной кишке.
в) Дифференциальная диагностика язвенного колита:
1. Гранулематозный колит (болезнь Крона):
• Гранулематозный колит характеризуется воспалением всех слоев стенки кишечника, в то время как воспалительный процесс при язвенном колите обычно ограничен слизистой оболочкой
• При болезни Крона чаще встречаются сохранные участки, чаще наблюдается вовлечение тонкой кишки
• Ирригоскопия:
о Афтозные язвы: плоские скопления бариевой взвеси в язвенных дефектах слизистой оболочки, отек окружающих тканей
о «Булыжная мостовая»: продольные и поперечные язвы, придающие слизистой характерный вид
о Сегментарное распределение поражений: толстая и тонкая кишка (60% случаев), изолированное поражение толстой кишки (20% случаев)
о Воспаление всех слоев стенки с наличием сохранных участков, фистулы, затеки, трещины
о В небольшом количестве случаев болезнь Крона невозможно отличить от язвенного колита, особенно в поздних стадиях
• КТ:
о Утолщение стенки кишечника (10-20 мм) выражено в большей степени, чем при язвенном колите
о Воспаление прилежащей брыжеечной жировой клетчатки проявляется фиброзно-жировой пролиферацией («ползучий» жир), особенно в нижнем правом квадранте
о Симптом гребня: повышение васкуляризации брыжейки означает активность заболевания
о Увеличение брыжеечных лимфоузлов
2. Инфекционный колит, в т.ч., вызываемый С. difficile:
• Обычно протекает как панколит
• Степень контрастного усиления слизистой оболочки и отека подслизистого слоя обычно выражена больше, чем при язвенном колите
• Симптом «аккордеона», обусловленный заполнением контрастом пространств между утолщенными складками ободочной кишки
• Часто инфекционный колит сопровождается асцитом, не столь характерным для язвенного колита (исключая тяжелые случаи: например, колит в сочетании с токсическим мегаколоном)
3. Ишемический колит:
• Чаще всего обусловлен понижением перфузии
о Обычно наблюдается в т. н. зонах «водораздела»: в области селезеночного изгиба, в сигмовидной кишке, нисходящей ободочной кишке
о Прямая кишка практически всегда остается интактной
о Чаще возникает у пожилых и пациентов с заболеваниями сердечно-сосудистой системы
• КТ с контрастным усилением:
о Нормальное или повышенное контрастное усиление слизистой оболочки (после первичного поражения)
о Возможен пневматоз, газ в воротной и брыжеечных венах
4. Изменения толстой кишки, обусловленные приемом слабительных:
• Длительное употребление слабительных средств
• Отсутствие гаустр ободочной кишки напоминает картину хронического язвенного колита
• Неравномерное преходящее сегментарное сужение просвета, в основном, восходящей и поперечной ободочной кишки
5. Нейтропенический колит:
• Возникает у пациентов с выраженной нейтропенией и снижением иммунитета
• Изменения обычно ограничиваются правой половиной ободочной кишки и слепой кишкой
• Характеризуется гиперемией слизистой оболочки и брыжейки в сочетании с выраженным подслизистым отеком
6. Дивертикулит:
• Чаще всего затрагивает сигмовидную кишку, при этом прямая кишка остается интактной
• Не приводит к гиперемии слизистой оболочки
• Характеризуется утолщением стенки кишки и фасций, помутнением жировой клетчатки, свободной жидкостью или газом
• Воспалительные изменения тканей около ободочной кишки: абсцессы, затеки, фистулы
• Редко возникает у пациентов с язвенным колитом

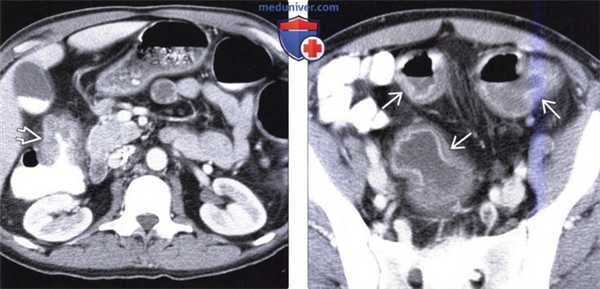
(Слева) На КТ у мужчины 49 лет, у которого снизился вес тела и развилась анемия, а также периодически возникала диарея слизистого характера, определяется циркулярное образование мягкотканной плотности, вызывающее сужение просвета восходящей ободочной кишки, верифицированное как первичный рак.
(Справа) На КТ у этого же пациента определяются признаки панколита: повышенное накопление контраста слизистой оболочкой и подслизистый отек. Длительно существующий язвенный колит является предрасполагающим фактором рака ободочной кишки.
г) Патология:
1. Общая характеристика:
• Этиология:
о Существует множество этиологических факторов:
- Генетические, наследственные, нейрогенные, гуморальные, а также факторы внешней среды
- Инфекционные, пищевые, иммунные, сосудистые
- Травматические, психологические, стрессовые
• Генные изменения:
о Заболеваемость выше у монозиготных близнецов
о Тем не менее, более чем у 75% пациентов с язвенным колитом не прослеживается семейный характер заболевания
о С язвенным колитом связаны изменения в генах HLA В5, BW52, DR2
• Ассоциированные патологические изменения:
о Первичный склерозирующий холангит, увеит
о Анкилозирующий спондилит, ревматоидный артрит
о Гангренозная пиодермия, сакроилеит
о При язвенном колите риск возникновения колоректального рака выше, чем при болезни Крона:
- Ежегодная заболеваемость составляет 10% после первых десяти лет жизни с язвенным колитом
- Язвенный панколит наблюдается у 75-80% пациентов, страдающих раком ободочной кишки
- Множественный рак: в 25% случаев язвенного колита
• Заболеваемость:
о В Северной Америке варьирует от 2 до 20 на 100 000 человек
2. Макроскопические и хирургические особенности:
• Непрерывное концентрическое симметричное поражение ободочной кишки, псевдополипы
3. Микроскопия:
• Воспалительный инфильтрат, микроабсцессы крипт
• Изменения ограничены слизистой оболочкой и подслизистым слоем
д) Клинические особенности:
1. Проявления язвенного колита:
• Наиболее частые признаки/симптомы:
о Повторная диарея слизистого характера с примесью крови
о Повышение температуры тела, снижение веса, боль в животе, схваткообразная боль в животе
• Другие признаки/симптомы:
о Данные лабораторных методов исследования: обнаружение крови и слизи в каловых массах
2. Демография:
• Возраст:
о Дебют заболевания приходится на возраст 15-40 лет с небольшим подъемом заболеваемости в возрасте 55-65 лет
• Пол:
о В целом М = Ж, однако у женщин заболевание развивается раньше, чем у мужчин
• Этническая принадлежность:
о Заболевание чаще встречается среди европеоидов
• Эпидемиология:
о Заболеваемость выше в 30-100 раз у лиц, состоящих в непосредственном родстве, чем в целом в популяции
о Однако лишь 10-25% пациентов с язвенным колитом имеют прямых родственников, страдающих этим заболеванием
3. Течение и прогноз:
• Вначале происходит поражение прямой кишки, затем болезнь распространяется на ободочную кишку
• Восходящий илеит: воспаление дистальных отделов подвздошной кишки у 10-40% пациентов, страдающих язвенным колитом в хронической форме
• Осложнения:
о Токсический мегаколон, колоректальный рак, стриктуры
о Увеличение заболеваемости раком ободочной кишки (вплоть до 50%) после 25 лет заболевания
• Диагноз устанавливается на основании биопсии и гистологического исследования слизистой оболочки
• Прогноз:
о Улучшается при правильной диагностике/ведении пациентов
4. Лечение язвенного колита:
• Медикаментозное:
о Сульфазалин, стероиды, азатиоприн
о Метотрексат, ингибиторы лейкотриенов В4
• Хирургическое: тотальная проктоколэктомия, илеостомия по Бруку или удерживающая илеостомия:
о Подвздошный резервуар с наложением подвздошно-анального анастомоза
е) Диагностическая памятка:
1. Следует учесть:
• Возможность язвенного колита у пациента со склерозирующим холангитом
• Следует исключить другие воспалительные заболевания толстой кишки
2. Советы по интерпретации изображений:
• Сужение ободочной и прямой кишки, язвы в виде «пуговиц на воротнике» и пунктирные (точечные)
• Непрерывное концентрическое, симметричное поражение
• Ободочная кишка в виде «свинцовой трубы» с отсутствием поперечных складок
Острый язвенный колит: типичные признаки на КТ и ИДК.
(а) На рентгенограмме сигмовидной кишки в положении пациента лежа на правом боку определяются большие точечные скопления бариевой взвеси (указатели) на фоне зернистости слизистой оболочки, обусловленной множественными мелкими точечными включениями бариевой взвеси с нечеткими краями, расположенными между рентгенонегативными «островками» слизистой оболочки и покрывающими ее целиком. Сигмовидная кишка утрачивает гаустральные складки вследствие острого отека и воспаления.
(б) На фотографии, выполненной во время колоноскопии у этого же пациента визуализируются поверхностные эрозии на фоне легкой гиперемии воспаленной слизистой оболочки. Адгезия бариевой взвеси к поверхностным эрозиям приводит к появлению пунктирного контура.
(в) на поперечном КТ-срезе у другого пациента определяется симптом «гало» (плотности воды) с наличием внутреннего (слизистая оболочка, черная стрелка) и наружного (мышечная оболочка, белая стрелка) колец высокой плотности, разделенных гиподенсным кольцом, представляющим собой отечную слизистую оболочку.
(г) На рентгенограмме селезеночного изгиба ободочной кишки у другого пациента визуализируются язвы в виде «пуговиц на воротнике» (стрелки). Такие язвы образуются, когда поверхностные изъязвления углубляются в подслизистую основу через слизистую оболочку, а затем распространяются в латеральном направлении в подслизистом жире, подрывая относительно резистентную слизистую оболочку. Острый язвенный колит в сочетании с воспалительным псевдополипозом при КТ-энтерографии и ИДК.
(а) На поперечном КТ-срезе (КТ-энтерография) после введения перорального и внутривенного контраста определяется стратификация слоев стенки и выраженная неравномерность оставшихся сохранными участков слизистой оболочки на фоне множественных язв (указатели) в поперечной ободочной кишке.
(б) На корональной КТ (реформатированное изображение, КТ-энтерография) определяется воспалительный псевдополипоз (стрелки) с распространением в просвет печеночного изгиба ободочной кишки.
(в) На рентгенограмме поперечной ободочной кишки у другого пациента определяются множественные рентгенонегативные «островки» в тонком слое бариевой взвеси, как бы «выштампованные» на белом фоне.
(г) На фотографии, выполненной во время колоноскопии у этого же пациента (на в) визуализируется воспалительный псевдополипоз. Хронический язвенный колит: типичные КТ и КТК признаки.
(а) На поперечном КТ-срезе определяется утолщение стенки с наличием симптома «жирового гало» (белая стрелка) и сужение просвета прямой кишки.
(б) Пресакральное пространство на сагиттальной реформатированной КТ расширено (черные стрелки) из-за пролиферации жировой ткани.
(в, г) На корональной КТ (реформатированное изображение, КТ-колонография, в) и трехмерной реконструкции с сохранением прозрачности (г) у другого пациента определяется укорочение и сужение сигмовидной кишки, распространяющееся до нисходящей ободочной кишки, с протяженным утолщением стенки и отсутствием гаустральных складок, принятием кишкой трубчатой формы (стрелки). Изменения, определяющиеся на изображениях (а-д), вероятно, обусловлены измененной сократительной способностью ободочной кишки, хроническим воспалением, разрушением слизистой оболочки наравне с патологическими изменениями стенки ободочной кишки (д).
Гипертрофия продольно ориентированной мышечной пластинки слизистой оболочки приводит к укорочению и сужению вовлеченного участка ободочной кишки. Расширение подслизистого слоя и околопрямокишечной области за счет жировой инфильтрации приводит к дальнейшему сужению просвета.
Язвенный колит является одним из наиболее значимых воспалительных заболеваний кишечника, при котором происходит поражение преимущественно слизистой оболочки. Вначале поражается прямая кишка, затем происходит распространение заболевания по всей ободочной кишке — различное по протяженности, циркулярное поражение, направленное в сторону проксимальных отделов кишки.
В острой стадии зернистость слизистой оболочки, которая обусловлена ее отеком, гиперемия и патологическая секреция муцина являются самыми ранними рентгенологическими признаками при ирригоскопии с двойным контрастированием (ИДК). При увеличении выраженности воспалительных изменений на КТ может обнаруживаться протяженное и симметричное утолщение стенки кишки с наличием симптома «гало» (с плотностью воды). Изъязвление слизистой оболочки и подслизистой основы с распространением латерально в подслизистом слое приводит к возникновению типичных язв в виде «пуговицы на воротнике» при ИДК.
На фоне выраженного изъязвления некоторые участки слизистой оболочки остаются нетронутыми, обусловливая изменения в виде воспалительного псевдополипоза, которые могут быть обнаружены как на КТ при хорошем растяжении ободочной кишки, так и при ирригоскопии с двойным контрастированием. В хронической стадии на КТ обычно определяется утолщение стенки кишки с наличием «гало» (помутнение окружающей жировой клетчатки), сужение просвета кишки и расширение пресакрального пространства из-за гипертрофии мышечной пластинки слизистой оболочки, отложения жира в подслизистой оболочке и околопрямокишечной области. При ирригоскопии с двойным контрастированием просвет пораженной ободочной кишки выглядит суженным, кишка лишена гаустр и укорочена; часто наблюдается также поствоспалительный псевдополипоз (патологическая пролиферация воспаленной слизистой оболочки (Gore et al., 1996; Lichtenstein, 1987).
Потенциально смертельным осложнением является токсический мегаколон, характеризующийся дилятацией ободочной кишки вне наличия обструкции как минимум до 6 см, а также признаками системной интоксикации (Sheth и LaMont, 1998). Изменениями, типичными для этого состояния, являются дилятация ободочной кишки, отсутствие гаустр, часто в сочетании с истончением стенки и нечетким узловым «рисунком» внутреннего края кишки при обзорной рентгенографии и КТ (Thoeni и Cello, 2006). Панколит и хронический язвенный колит ассоциированы с повышенным риском колоректального рака. Так, плоский или инфильтративный рак этой локализации трудно обнаружить на ранних стадиях при ирригоскопии с двойным контрастированием и даже при колоноскопии. КТ-признаками, позволяющими предположить наличие сопутствующей опухоли, являются выраженное асимметричное утолщение стенки и отсутствие дифференцировки ее слоев (Thoeni и Cello, 2006; Gore et al, 1996).
Диагностика неспецифического язвенного колита на снимках МРТ и КТ брюшной полости
Какой метод диагностики неспецифического язвенного колита выбрать: КТ, МРТ, эндоскопия, рентген
Методы выбора
- эндоскопическое исследование, УЗИ, МР-ирригография
Патогномоничные признаки НЯК
- Утолщение кишечной стенки более 3 мм при раздувании;
- Выраженное накопление контраста в кишке в острую фазу;
- Отсутствие гаустрации придает кишке вид трубы.
- токсическая дилатация толстого кишечника (диаметр превышает 5-6 см);
- прободение;
- рубцовые стриктуры
- рак ободочной кишки
- Сочетание с первичным склерозирующим холангитом в 3% случаев.
Для чего проводят эндоскопию кишечника при язвенном колите
- Глянцевая мелкозернистая поверхность слизистой оболочки;
- Хрупкая поверхность, кровоточащая при контакте с эндоскопом;
- Изъязвления слизистой оболочки;
- После заживления кишка имеет вид трубы с атрофичной слизистой оболочкой и воспалительными псевдополипами.
Проводят ли УЗИ брюшной полости при язвенном колите
- Ценный метод первичной диагностики;
- Утолщение кишечной стенки, в которой в фазу максимального воспаления наблюдается выраженное усиление кровотока (выявляется при цветной допплерографии и УЗИ с контрастированием);
- В участке утолщения снижена перистальтика;
- Стенозы визуализируются четко.
Проводят ли рентген брюшной полости при язвенном колите
- Полезна для визуализации токсической дилатации (диаметр превышает 5-6 см);
- Стенка кишки может выглядеть неравномерно утолщенной;
- В просвете кишки нет каловых масс.
Зачем проводят ирригоскопию при язвенном колите
- Мелкозернистый рисунок слизистой оболочки;
- Изъязвления обычно ограничены слизистой оболочкой, но иногда распространяются за ее пределы до мышечной оболочки (пуговичная язва);
- Позднее круглые или продольные псевдополипы создают дефекты наполнения;
- Этот вид диагностики все чаще заменяется эндоскопическим исследованием.

Поздняя фаза язвенного колита. Двойное контрастирование. Отсутствие гаустрации и множественные псевдополипы круглой или продолговатой формы в области селезеночного угла ободочной кишки.
Что покажут снимки КТ брюшной полости при неспецифическом язвенном колите
- Утолщение кишечной стенки;
- Выраженное контрастное усиление в фазе максимального воспаления;
- Стенозы (обычно распространяющиеся на большие сегменты кишки) обычно визуализируются четко;
- Показания: главным образом при наличии осложнений, особенно прободения.
Что покажут снимки МРТ брюшной полости при неспецифическом язвенном колите
- Только дополнительный метод исследования;
- Стенка кишки утолщена;
- На Т2-взвешенных изображениях в режиме подавления сигнала от жировой ткани острое воспаление (отек) визуализируется хорошо, выражаясь интенсивным сигналом от кишечной стенки и окружающих ее тканей;
- Хороший метод визуализации стенозов.

а, b Язвенный колит. МРТ.
a) Небольшое утолщение стенки в восходящем и поперечном отделах ободочной кишки и локальное псевдополипоидное утолщение стенки кишки; b) Стенка кишки и псевдополипоидные изменения накапливают контраст.
Читайте также:
- Повреждения связочного аппарата позвоночника. Переломы отростков позвонков
- Мышечная ткань. Нервная ткань. Нейроны.
- Предоперационная подготовка при ранениях: катетеризация магистральных вен и инфузионная терапия
- Легочный ствол. Боталлов проток. Легочные артерии. Легочные вены. Полые вены.
- Лечение свернувшегося гемоторакса - методы
