Рентгенограмма, МРТ при дедифференцированной хондросаркоме
Добавил пользователь Евгений Кузнецов Обновлено: 23.12.2025
Первичные опухоли костей редкая и разнородная группа новообразований человека. В структуре заболеваемости злокачественными новообразованиями они составляют менее 1 % у взрослых и до 10% — у детей. В последние два десятилетия достигнут большой прогресс в лечении этих заболеваний. Благодаря современной химиотерапии, совершенствованию методов визуализации опухолей костей и успехам онкологической ортопедии в настоящее время большинство пациентов могут быть излечены, при этом конечность удается сохранить более чем в 80% случаев.
Биология первичных злокачественных опухолей костей
Биологическая активность сарком костей (остеосарком) и вероятность их метастазирования во многом зависит от морфологических особенностей, в частности степени полиморфизма, атипии, количества митозов и зон спонтанного некроза. Учет этих критериев позволяет выделить остеосаркомы высокой, промежуточной и низкой степени злокачественности.
Саркомы костей формируют в рамках того или иного анатомического отдела опухолевые массы, которые по периферии отличаются наименьшей степенью дифференцировки. Они отделены от внескелетных тканей псевдокапсулой или реактивной зоной, состоящей из клеток опухоли, элементов фиброзной ткани и воспалительного компонента, коррелирующего со степенью злокачественности. В результате прогрессирующего роста остеосаркома выходит за рамки одного отдела и вовлекает анатомические структуры соседнего отдела.
У большинства пациентов в момент установления диагноза остеосаркома поражены два анатомических отдела. Близлежащие суставные поверхности вовлекаются в опухолевый процесс редко, чаще это наступает при патологических переломах.
Саркомы костей высокой степени злокачественности метастазируют преимущественно гематогенно. Чаще всего метастазами поражаются легкие (более 80%), причем уже на ранних стадиях развития заболевания, т.е. до начала лечения. Костные метастазы наблюдаются редко (до 10%), особенно при запущенных опухолях. Метастатические поражения регионарных лимфатических узлов встречается в 7—10% случаев.
Стадирование
Процесс стадирования, влияющего на выбор тактики лечения, вида операции и оценку прогноза, включает определение степени злокачественности остеосаркомы, степени местной распространенности и наличия отдаленных метастазов.
Стандартная рентгенография — наиболее распространенный и доступный метод визуализации сарком костей (рис. 1). В специализированных клиниках точность установления диагноза и стадии процесса превышает 80%.
Рис. 1. Стандартная рентгенограмма больного с остеосаркомой большеберцовой кости
Компьютерная томография позволяет более точно оценить степень деструкции кости и структурные особенности внутрикостного и внекостного компонентов опухоли (рис. 2). КТ органов грудной клетки дает представление о наличии метастазов в легких и лимфатических узлах средостения.

Рис. 2. КТ бедренной кости у больного с остеосаркомой
С помощью МРТ удается лучше оценить распространение опухоли внутри кости а также степень вовлечения внескелетных тканей (рис. 3).

Рис. 3. МРТ в диагностике и стадировании сарком костей.
При местно-распространенных опухолях, когда есть подозрения в отношении вовлечения магистральных сосудов, выполняется ангиография (рис. 4).
Рис. 4. Роль ангиографии в диагностике и стадировании сарком костей
Планарная сцинтиграфия дает возможность определить распространенность опухоли по длине кости, а также выявляет отдаленные метастазы остеосаркомы в скелете (рис. 5).

Рис. 5. Радиоизотопное исследование скелета при саркомах костей
При саркоме Юинга более точно наличие костных метастазов можно установить с помощью ПЭТили ПЭТ/КТ (рис. 6).

Рис. 6. ПЭТ/КТ в стадировании сарком скелета
Широкое распространение среди специалистов получила классификация, разработанная в начале 80-х годов прошлого века американским исследователем W. Enneking. Впоследствии она была одобрена американским и европейским обществами по изучению костно-мышечных опухолей в качестве рабочей классификации. При стадировании опухолей костей по Enneking учитываются следующие критерии: G — степень злокачественности (G1-2 — низкая степень; G3-4 — высокая). Т — местная распространенность (Т1 — в пределах кости; Т2 — выход за пределы кортикального слоя) М — отдаленные метастазы (М0 — без метастазов; М1 — отдаленные метастазы). В таблице 1. представлена система стадирования опухолей костей по W. Enneking.
| Таблица 1. Стадирование опухолей костей по Enneking | |||
|---|---|---|---|
| Стадия IА | G1, 2 | T1 | М0 |
| Стадия IВ | G1, 2 | T2 | М0 |
| Стадия IIА | G3, 4 | T1 | М0 |
| Стадия IIB | G3, 4 | T2 | М0 |
| Стадия IIIА | G3, 4 | T1 | М1 |
| Стадия IIIВ | G3, 4 | T2 | М1 |
Классическая остеосаркома, опухоли семейства саркомы Юинга, а также ЗФГ относятся по определению к G3-4, т. е. ко II-ой стадии.
Для стадирования и определения тактики лечения остеосаркомы используется также классификация по системе TNM (табл. 2).
T — Первичная опухоль
ТX — Недостаточно данных для оценки первичной опухоли
Т0 — Первичная опухоль не определяется
Т1 — Опухоль ограничена кортикальным слоем
Т2 — Опухоль распространяется за кортикальный слой
Как в классификации Enneking, так и в системе стадирования ВОЗ выделение критериев T3 и T4 признано нецелесообразным.
N — Регионарные лимфатические узлы
NX — Недостаточно данных для определения регионарных лимфатических узлов
N0 — Нет признаков метастатического поражения регионарных лимфатических узлов
N1 — Регионарные лимфатические узлы поражены метастазами
M — Отдаленные метастазы
МX — Недостаточно данных для определения отдаленных метастазов
М0 — Нет признаков отдаленных метастазов
М1 — Имеются отдаленные метастазы
Также учитывается степень дифференцировки опухоли (критерий G)
GX — Степень дифференцировки не может быть установлена
G1 — Высокая степень дифференцировки
G2 — Средняя степень дифференцировки
G3 — Низкая степень дифференцировки
G4 — Недифференцированные опухоли
| Таблица 2. Группировка опухолей костей по стадиям | ||||
|---|---|---|---|---|
| Стадия IА | G1, 2 | T1 | N0 | M0 |
| Стадия IВ | G1, 2 | T2 | N0 | M0 |
| Стадия IIА | G3, 4 | T1 | N0 | M0 |
| Стадия IIB | G3, 4 | T2 | N0 | M0 |
| Стадия III | Не определяется | |||
| Стадия IVА | любое G | любое Т | N1 | M0 |
| Стадия IVВ | любое G | любое Т | любое N | М1 |
Гистологическая классификация первичных злокачественных опухолей костей
Практически все злокачественные новообразования скелета в связи с их относительной редкостью создают в клинической практике значительные трудности, как в диагностическом, так и лечебном отношении. Врачи первичной лечебной сети в массе своей вообще плохо знакомы с этой областью онкопатологии, что нередко ведет на первых этапах обращения больных с нечеткими клиническими симптомами к постановке ошибочных диагнозов и назначению неадекватных лечебных мероприятий. Одной из главных проблем в этой области патологии является морфологическая верификация диагноза, которая абсолютно необходима для выбора режима ведения больных с саркомой костей, назначения лечебных мероприятий, осуществления контроля их эффективности и оценки прогноза заболевания.
В клинической онкологии особое значение приобрели вопросы классификации или уточненной нозологической систематики отдельных форм опухолевого поражения. В диагностическом и лечебном отношении эти классификационные схемы совершенно необходимы. Основным принципом классификаций опухолей является их гистологическое строение, которое в значительной мере отражает их гистогенез или тканевую принадлежность и в части случаев позволяет судить о степени их злокачественности. Классификации унифицируют признаки опухолей, что позволяет различным специалистам оценивать их с общих позиций и избегать разногласий в диагностической и лечебной трактовке.
Наиболее распространенной классификацией сарком костей в настоящее время считается классификация ВОЗ пересмотра 2002 года.
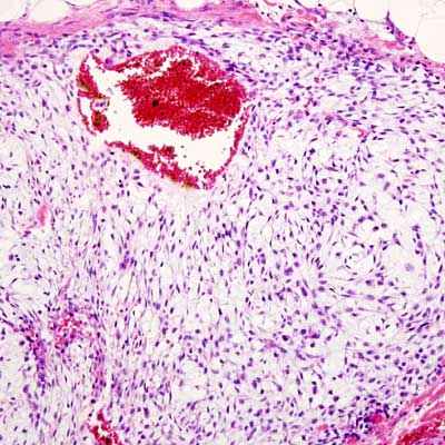
Следует особо подчеркнуть, что каждый патологоанатом, приступая к диагностике поражений скелета и, в первую очередь, костных опухолей, непременно должен лично ознакомиться с радиологическими данными (рентгенограммы, КТ и МРТ). До начала гистологического исследования патолог должен иметь представление о локализации поражения в пределах кости, его размерах, форме, степени разрушения костной структуры, наличии или отсутствии реактивных изменений в надкостнице и прилежащих мягких тканях. Полученная таким образом информация может в большинстве случаев оказаться весьма важной при диагностическом исследовании тканевого материала из очага поражения под микроскопом.
Хондросаркома

«Это распространенное новообразование чаще всего имеет низкий степень злокачественности и появляется более, чем у 15% людей, страдающих хроническими заболеваниями костей. Позитивный прогноз может ожидать тех пациентов, кто своевременно прошел диагностику и получил полный объем лечения. Лучевая терапия нередко используется именно при этом диагнозе и дает хорошие результаты в TomoClinic».
Что такое хондросаркома?
Хондросаркома — злокачественная опухоль скелета, формирующаяся из хрящевой ткани. Чаще всего развивается в плоской плечевой кости и тазобедренном суставе, но допустимы случаи образования хондросаркомы в области трубчатых костей.
Злокачественное новообразование представляет собой плотную опухоль, прилегающую к кортикальному слою кости, иногда наблюдается прорастание хондросаркомы в кость. Может иметь очаги оссификации и петрификаты. При диагностических исследованиях не всегда удается определить четкие границы новообразования.

Опухоль является одной из наиболее распространенных онкологических патологий в костях и суставах. Чаще всего саркома развивается у людей 45-80 лет, т.е. в преклонном возрасте. В одинаковом процентном соотношении поражает женщин и мужчин.
Более чем у 15% пациентов перед появлением хондросаркомы были хронические заболевания костей.
На ранних стадиях заболевание протекает бессимптомно, а от момента образования опухоли до появления первых метастаз может пройти более пяти лет. Первичными очагами развития метастаз являются печень, легкие и желудок. На поздних стадиях хондросаркома склонна полностью разрушить хрящевую ткань.
Степень злокачественности опухоли при заболевании относительно низкий, что позволяет при своевременной диагностике и лечении рассчитывать на благоприятный прогноз.
Типы хондросаркомы:
Первичная хондросаркома является распространенным видом заболевания, диагностируется в 85% случаев от общего числа пациентов.
Отличительной чертой вторичной хондросаркомы является возраст пациентов: как правило болезнь развивается преимущественно у пациентов пенсионного возраста. Эта особенность связана с заболеваниями, которые провоцируют развитие хондросаркомы — хондрома, дисхондроплазия. Также часто рак возникает вследствие хондроматоза, болезни Олье-Маффучи и хондробластомы.
Заболевание вторичного типа не является распространенным и встречается несколько реже, нежели первичная хондросаркома.
С учетом особенности строения различают виды хондросаркомы:
- Типичная.
- Анапластическая.
- Светлоклеточная.
- Недифференцированная.
Помимо видов онкологического заболевания классификация хондросарком предусматривает разделение на степени злокачественности. Зависит от строения опухоли и срока ее жизни. Определяется при гистологическом исследовании образцов.
Хондросаркома бывает:
- 1 степени злокачественности. При первой степени характеризуется наличием межклеточного вещества, состоящего из хондроидной ткани, признаки миоза отсутствуют.
- 2 степени. Наблюдается межклеточное вещество миксоидного типа, увеличенные ядра и одиночные фигуры миотоза, присутствуют одиночные участки некроза.
- 3 степени. При третьей степени злокачественности отмечается миксоидное межклеточное вещество, много клеток с увеличенными ядрами, присутствуют обширные некротические участки.
Причины
Точные причины возникновения хондросаркомы пока не известны. Но есть ряд факторов, которые могут влиять на развитие болезни, среди них:
- генетическая предрасположенность (особенно если в семейном анамнезе присутствуют множественные экзостозы, синдром Маффучи);
- неправильное, некорректное или неполноценное лечение хондромы кости;
- хронические воспалительные процессы костно-хрящевой системы;
- аномалии роста костей скелета, которые происходят при болезни Педжета;
- болезнь Вильямса.
Неприятная особенность хондросаркомы заключается в том, что в большинстве случаев болезнь протекает бессимптомно. Отсутствие симптомов негативно сказывается на своевременной диагностике и эффективном лечении.
Симптомы хондросаркомы
Основные признаки заболевания:
- дискомфорт в месте локализации опухоли, который со временем перерождается в сильную боль (болевые ощущения преимущественно возникают в ночной период);
- иррадиация боли в плечо, ягодицы, поясницу;
- истощение кости, что делает ее более подверженной к переломам;
- болезненное мочеиспускание, наличие сгустков крови в моче;
- постоянное чувство слабости, быстрая утомляемость;
- повышенная температура тела.
Из-за сдавления растущей опухолью нервных окончаний и сосудов в соседнем суставе развивается отечность. Это провоцирует ограниченность движения.
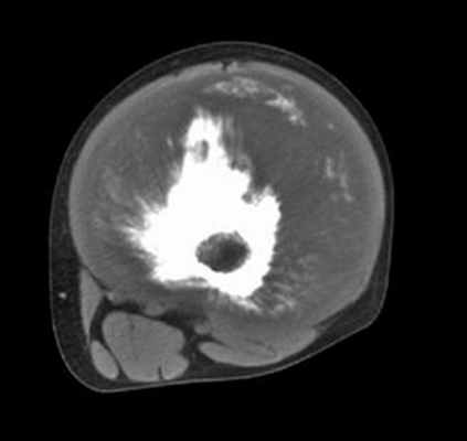
Рентгенограмма, МРТ при дедифференцированной хондросаркоме
Три «кита» диагностики в Центре онкологической ортопедии:
- морфологическая верификация диагноза
- иммуногистохимия
- молекулярно-генетические тесты
В выборе метода лечения мы выбираем персонифицированный и комплексный подход, при этом опираемся на современные российские и зарубежные стандарты. Главные методы лечения:
- мультидисциплинарные консилиумы
- хирургическое лечение
- программное комбинированное лечение
- предоперационная лекарственная терапия (химиотерапия, таргетная терапия)
- хирургические вмешательства при сложных анатомических локализациях
- протоколы лекарственного лечения Российского общества онкологов химиотерапевтов (RUSSCO)
Центр онкологической ортопедии оснащен современной диагностической аппаратурой, позволяющей решать широкий спектр клинических задач. Для диагностики и установления стадии заболевания используется как стандартная рентгенография, КТ, так и МРТ, включая режим сканирования всего тела по протоколу DWIBS, ангиография и др. технологии.
Обязательным этапом диагностического процесса является морфологическая верификация диагноза. В сложных случаях, а также в научно-исследовательских целях гистологическое исследование дополняется иммуногистохимией или молекулярно-генетическими тестами.
Лечение опухолей костей в Центре проводится в соответствии с современными отечественными и зарубежными стандартами. Тактика обсуждается на мультидисциплинарных консилиумах.
При доброкачественных опухолях и высокодифференцированных саркомах методом выбора считается хирургическое лечение. В ряде сложных для хирургического вмешательства локализаций, высоком риске функциональных потерь проводится предоперационная таргетная терапия, например, блокада RANK-RANKL взаимодействия при гигантоклеточных опухолях костей.
Саркомы высокой степени злокачественности (остеосаркомы, опухоли семейства саркомы Юинга, плеоморфные недифференцированные саркомы, низкодифференцированные хондросаркомы) требуют программного комбинированного лечения.
Предоперационная химиотерапия оказывает ранее влияние на клинически невидимые метастазы, способствует уменьшению размеров первичной опухоли и улучшает условия для органосохраняющего лечения.
Режимы и схемы лекарственного лечения соответствуют стандартам Минздрава России при злокачественных новообразованиях костей и рекомендациям Российского общества онкологов химиотерапевтов (RUSSCO).
В ряде случаев из-за поздней диагностики или особенностей биологического роста диагностируются местно-распространенные формы опухолей, требующие ампутации конечности. Персонифицированный подход в большом проценте случаев позволяет перевести опухоль в резектабельную форму и спасти конечность.
В настоящее время Центре выполняется широкий спектр органосохраняющих хирургических вмешательств. Выполняются радикальные операции на основе предоперационного планирования, КТ и МРТ навигации. Реконструктивный этап включает эндопротезирование крупных костей и суставов, костей таза, а также различные способы замещения дефектов искусственными или биологическими материалами.
Центром накоплен уникальный опыт успешных органо-сохраняющих вмешательств при опухолях и опухолеподобных поражениях скелета у пациентов детского и подросткового возраста
Центр взаимодействует и с другими подразделениями института такими, как 3-е травматолого-ортопедическое отделение (микрохирургии и травмы кисти), 14-ом травматолого-ортопедическом отделении (вертебрологии).
В Центре проводится комбинированное лечение сарком костей высокой степени злокачественности.
Саркома матки
Саркома матки лечение 1, 2, 3 стадии. Симптомы, признаки, метастазы, прогноз.
Что такое саркома матки?
Саркома матки - это злокачественная неэпителиальная опухоль, которая развивается из стромы слизистой оболочки, мышечной и соединительной ткани миометрия, незрелых клеточных элементов, мезенхимальных клеток, гетеротопических эмбриональных зачатков.
Саркомы матки составляют 2 – 6 % злокачественных новообразований матки и менее 1 % злокачественных опухолей гениталий.
В течение последних 30 лет заболеваемость саркомой матки не менялась. По статистике, в мире на 1 млн. женщин выявляется 8 случаев заболевания. В США – 17,1 на 1 млн. женского населения.
В структуре сарком женских половых органов преобладают гладкомышечные опухоли – лейомиосаркомы - 41,4%, на долю эндометриальных стромальных сарком приходится 15%.
Методов ранней диагностики сарком нет.
Существующие в настоящее время методы позволяют установить диагноз саркомы до операции лишь у трети больных.
Саркомы матки, так же как и рак эндометрия, чаще встречаются в климактерическом периоде. Средний возраст больных саркомами – 50 лет.
Эндометриальная стромальная саркома (далее ЭСС) составляет 0,2% злокачественных новообразований матки, 10-45% сарком матки. Этиология и патогенез не установлены.
Факторы риска возникновения ЭСС
- позднее наступление менструаций, первых родов;
- наличие в анамнезе спонтанных абортов и многочисленных искусственных абортов;
- поздняя менопауза,
- проведение ЛТ на область малого таза.
У больных ЭСС низкой степени злокачественности миома отмечалась в 58% случаев, нарушения углеводного и жирового обмена выявлены у 32% пациентов.
Пациентки с недифференцированной ЭСС не имеют обычных факторов риска рака эндометрия. 5 - летняя выживаемость при недифференцированной саркоме матки составляет 25-30%. При ЭСС с НЗ – 85,8%. Отдаленные метастазы недифференцированной саркомы матки наблюдаются у 20-30% больных. Метастазы в забрюшинных лимфатических узлах, яичниках, большом сальнике (20%, 19,6%, 22%).
Лейомиосаркома
Лейомиосаркома (далее ЛМС) составляет 1 – 1,3% злокачественных новообразований матки, 25 – 60% сарком матки. В среднем 5 – летняя общая выживаемость колеблется от 18,8 до 65% для всех стадий, от 52 до 85% - для I стадии.
Невысокая частота возникновения ЛМС матки затрудняет проведение рандомизированных исследований, поэтому многие вопросы прогноза и лечения до сих пор остаются открытыми. Методы лечения, направленные только на первичную опухоль не предупреждают гематогенное метастазирование. Прогрессирование наблюдается у 45 – 73 % больных ЛМС матки. Более 80% рецидивов и метастазов локализуются вне малого таза.
Чем саркома отличается от рака тела матки?
Рак тела матки – это злокачественная опухоль, развивающаяся из поверхностного цилиндрического эпителия желез эндометрия, саркома развивается из неэпителиальных элементов стромы, мышечных и соединительнотканных элементов матки.
Как классифицируется саркома?
Согласно морфологической классификации 2003 года саркомы матки подразделяются:
- Эндометриальные стромальные опухоли
1.1 Эндометриальная стромальная саркома – злокачественная опухоль, состоящая из неопластических клеток, напоминающих строму эндометрия в фазе пролиферации;
1.2 Стромальный узелок;
1.3 ЭСС низкой степени злокачественности;
1.4 Недифференцированная саркома матки. - Гладкомышечные опухоли с неопределенным злокачественным потенциалом;
- Лейомиосаркома;
- Смешанные: эндометриальная стромальная саркома и гладкомышечные опухоли;
- Недифференцированная эндометриальная саркома;
- Другие мягкотканые опухоли.
По степени дифференцировки делятся:
- низкодифференцированные (состоят из незрелых клеток, в строме большое количество сосудов). К ним относятся кругло-, веретено-, гиганто-, полиморфноклеточные саркомы и редко встречающиеся лимфосаркома, альвеолярная саркома, меланосаркома;
- умереннодифференцированные;
- высокодифференцированные (состоят из более зрелых клеток. К ним относятся мышечно-клеточные и фибропластические саркомы).
По классификации NCCN 2008 года саркомы тела матки подразделяются:
- эндометриальная стромальная саркома (ESS);
- недифференцированная саркома (HGUD) (включена high-grade эндометриальная стромальная саркома, и группа редких опухолей;
- фиброзная гистиоцитома, рабдомиосаркома, ангиосаркома, липосаркома, хондросаркома и т.д.);
- лейомиосаркома (LMS).
Классификацию сарком тела матки по стадиям 2009 года (FIGO) см. раздел "Алгоритмы диганостики и лечения злокачественных новообразований".
Какие симптомы должны насторожить женщину или когда необходимо внеочередное обращение к гинекологу?
Клинические проявления заболевания зависят от локализации и скорости роста опухоли.
При субмукозных узлах (опухоль растет в полость матки) появляются патологические, межменструальные кровянистые выделения, вплоть до кровотечения, боли внизу живота, бели.
При интрамуральном (внутристеночном) расположении опухоль может протекать бессимптомно, реже отмечаются боли внизу живота, ациклические кровотечения.
При субсерозном росте опухоли (в направлении брюшной полости) клинические проявления могут отмечаться со стороны соседних с маткой органов: при давлении на стенку мочевого пузыря – дизурические расстройства, вплоть до острой задержки мочи, при давлении на стенку прямой кишки – запоры, чувство неполного опорожнения при акте дефекации.
Развитие опухолевого процесса может сопровождаться общими симптомами:
- слабостью;
- потерей массы тела;
- анемией;
- длительным субфебрилитетом.
Могут ли вышеуказанные симптомы встречаться при доброкачественных заболеваниях матки?
Да. Большинство вышеперечисленных симптомов характерны так же для фибромиомы матки, занимающей среди новообразований женских половых органов первое место по частоте.
Лейомиома матки
Лейомиома матки – наиболее часто встречающаяся мезенхимальная доброкачественная опухоль у женщин.
Для большинства больных миомой характерна гиперэстрогения. Опухоль развивается из гладкомышечных клеток, характеризуется увеличением матки, ее деформацией миоматозными узлами, меноррагией и т.д.
Встречается у 25 – 30 % женщин старше 35 лет, у 30 – 35 % женщин, достигших пременопаузального возраста.
Миоматозные узлы могут располагаться субсерозно (под серозным покровом матки), интерстициально (в толще мышцы) и субмукозно (под слизистой оболочкой).
Лейомиома состоит из гладких мышечных волокон, при преобладании соединительной ткани, называется фибромиомой, при атрофии мышечных волокон называется фибромой.
Кровотечения, расстройства менструального цикла наблюдаются чаще при субмукозных и интрамуральных миоматозных узлах.
Обильные и длительные менструации приводят к вторичной анемии. Боли возникают при быстром росте узлов, некрозе, перекруте ножки узла. При "рождении" субмукозного узла боли могут быть схваткообразными. Миомы больших размеров так же могут оказывать давление на тазовые органы, вызывая учащение мочеиспускания и затруднение опорожнения прямой кишки.
Миомы могут протекать и бессимптомно, достигая больших размеров. Такие опухоли выявляются самостоятельно женщиной в виде опухоли внизу живота или врачом при профосмотре.
Диагностика миомы
Для первичной диагностики миомы используются:
- гинекологическое исследование;
- трансвагинальное и трансабдоминальное УЗИ;
- гистероскопия;
- раздельное диагностическое выскабливание;
- в последующем осуществляется диспансерное наблюдение в динамике.
Какие методы диагностики сарком используются?
Установить диагноз саркомы матки на основании анамнеза, клинических данных не представляется возможным. Заподозрить данную опухоль можно на основании cовокупности следующих симптомов:
- рост опухоли в менопаузе;
- кровотечения или кровянистые выделения в пре- и постменопаузе в сочетании с увеличением размеров матки;
- кахексия, анемия не связанная с маточным кровотечением, нарастающая слабость;
- быстрый рост опухоли матки в любом возрасте;
- развитие опухоли в культе шейки матки после надвлагалищной ампутации матки.
Сбор анамнеза и физикальное обследование, включающее осмотр наружных половых органов, исследование влагалища и шейки матки в зеркалах, бимануальное влагалищное исследование позволяют заподозрить злокачественную опухоль гениталий. Гинекологический осмотр позволяет определить наличие увеличенной бугристой матки, рождающихся фиброматозных узлов, метастатических образований во влагалище.
Ультразвуковое исследование при миоме
Наиболее распространенный метод диагностики и последующего наблюдения при миоме матки, который позволяет определить локализацию, величину узлов, деформацию полости матки, патологические изменения эндометрия.
Роль УЗИ в распознавании сарком ограничена, поскольку четких акустических признаков саркома не имеет. Однако увеличение размеров опухоли при контрольном исследовании (увеличение опухоли за год на величину, соответствующую 5-недельному сроку беременности, считается быстрым ростом опухоли), изменение структуры фиброматозного узла в сочетании с клиническими проявлениями в перименопаузе и в постменопаузе является показанием к хирургическому лечению. УЗИ исследование так же позволяет оценить состояние соседних органов и регионарных лимфоузлов.
Аспирационная биопсия с цитологическим исследованием отделяемого из полости матки, отторгнувшихся фрагментов опухоли.
Гистероскопия при миоме
В зависимости от локализации патологических изменений (в мышце или слизистой оболочке матки) выявляются различной величины и формы опухолевые образования с ровными или прерывистыми неправильными очертаниями. Возможно выполнение прицельной биопсии опухоли.
Гистологическое исследование при миоме
Установить диагноз саркомы на дооперационном этапе удается по данным раздельного диагностического выскабливания слизистой полости матки при субмукозном росте опухоли с прорастанием эндометрия, при стромальной эндометриальной саркоме. При субсерозном и интрамуральном расположении саркоматозных узлов каких-либо изменений эндометрия не выявляется.
Хирургическое лечение миом
При хирургическом лечении миом в репродуктивном возрасте, когда планируется органосохранный объем вмешательства, необходима тщательная ревизия удаленных опухолевых узлов. При выявлении макроскопически отека, некроза, кровоизлияний в узле целесообразно проводить срочное гистологическое исследование.
Это позволит выполнить операцию в адекватном объеме. В морфологической диагностике сарком используется так же иммуногистохимический анализ. Опухолевые клетки ЭСС позитивны к виментину (95,8 %) CD – 10, локально к актину. К маркерам мезенхимальной дифференцировки относят десмин, актин, виментин, коллаген IV типа, цитокератины.
Дополнительные методы исследования выполняются по показаниям с целью уточнения степени распространенности опухолевого процесса:
- общий анализ крови (может определяться ускорение СОЭ, низкое содержание гемоглобина);
- исследование мочевыводящих путей;
- ректосигмоскопия или колоноскопия;
- рентгенография органов грудной клетки;
- КТ органов брюшной полости и таза;
- МРТ таза и т.д.
Окончательный диагноз устанавливают после гистологического исследования удаленной опухоли.
Какие существуют методы лечения сарком?
Основным методом лечения сарком гениталий у женщин является хирургический.
Операция позволяет уточнить стадию заболевания и удалить основную массу опухоли (при распространенном опухолевом процессе). Оптимальным объемом хирургического вмешательства является расширенная экстирпация матки с придатками, при недифференцированной саркоме матки сопровождается оментэктомией, тазовой и забрюшинной ЛАЭ. Подробно лечение см. раздел "Алгоритмы диагностики и лечения злокачественных новообразований".
При ЭСС эффективна ЛТ. Проводится при остаточной опухоли в малом тазу или рецидиве опухоли. При недифференцированной саркоме матки проводится адьювантная ЛТ. При рецидивах и метастазах ЭСС применяют и хирургическое, и лучевое, и цитостатическое лечение. Выбор метода лечения индивидуален.
ЭСС с НЗ содержит большое число стероидных рецепторов и ряд исследователей считают ее гормонозависимой опухолью.
При рецидивах эффективна ЛТ и гормонотерапия прогестагенами.
Лечение больных с лейомиосаркомой и саркомой на фоне малигнизации миоматозного узла всегда начинается с операции. Экстирпация матки с придатками является операцией выбора.
На сегодняшний день наиболее значимым фактором прогноза жизни больных саркомами следует считать гистологическую структуру опухоли. Имеют так же значение локализация опухоли, размер и глубина инвазии в подлежащие ткани, степень злокачественности и дифференцировки опухоли, число митозов и наличие некрозов в опухоли.
Практически у половины больных саркомами в разные сроки после первичного лечения возникают местные рецидивы и отдаленные метастазы. Локализация метастазов сарком зависит от гистологической структуры.
ЛМС чаще метастазируют в легкие, на втором месте по частоте метастазирования лимфатические узлы таза и поясничной области, затем брыжейки тонкой и толстой кишки. Так же метастазы по париетальной и висцеральной брюшине. Реже наблюдается поражение большого сальника.
Для ЛМС и ЭСС характерно относительно медленное прогрессирование процесса.
Нередко сроки появления метастазов опухоли исчисляются годами. Наличие солитарных или единичных метастазов ЛМС без признаков диссеминации по брюшине является показанием к их хирургическому удалению.
Лекарственное лечение и ЛТ применяются при лечении метастазов и рецидивов ЭСС. Иногда комбинируют оба вида лечения.
Лечение хондросаркомы в Израиле – лучшие методы
Израильские специалисты прилагают колоссальные усилия, чтобы доказать тот факт, что онкологический диагноз не всегда является приговором, и благодаря использованию инновационных достижений современной медицины болезнь можно успешно излечить на любой стадии прогрессирования. Клиника Ассута предлагают пациентам пройти эффективные курсы терапии при любом виде рака костей, в том числе хондросаркоме, прогрессивными методами хирургии, химио- и таргетной терапии, стереотаксической радиохирургии. Особое внимание здесь уделяется и послеоперационной реабилитации: с каждым больным работает группа высококвалифицированных специалистов, которые помогают ему быстрее восстановить двигательную активность и вернуться к прежнему ритму жизни.

Поскольку успешность терапии онкопатологий напрямую зависит от оперативности и точности диагностики, в клиниках Израиля созданы все условия для проведения различных исследований, включая инновационное ПЭТ-КТ сканирование, остеосцинтиграфию и другие диагностические процедуры. Их результаты позволяют врачам максимально объективно оценивать клиническую картину, и в соответствии с установленным диагнозом определять наиболее эффективные терапевтические мероприятия индивидуально для каждого онкобольного. Благодаря такому подходу абсолютно все пациенты клиники достигают значительного улучшения состояния, и для многих из них лечение завершается достижением длительной ремиссии или полного выздоровления.
Что такое хондросаркома и как она проявляется
Хондросаркома – одна из разновидностей рака костей. Злокачественная опухоль развивается из хрящевой ткани и локализируется преимущественно в позвоночнике, ребрах, плечевом поясе, бедренных и тазовых костях. В большинстве случаев онкологическое поражение является первичным, реже – возникает вследствие малигнизации доброкачественных новообразований (хондробластомы, хондромы и других) или на фоне их неправильного лечения. Локализироваться новообразование может как внутри кости (центральная хондросаркома), так и на ее поверхности (периферическая форма).
В зависимости от клеточного строения опухоли, выделяют следующие виды хондросарком:
- анапластическая;
- светлоклеточная;
- мезенхимиальная;
- недифференцированная.
Симптоматика болезни непосредственно связана со степенью злокачественности опухоли: чем она выше, тем быстрее и агрессивнее проявляется хондросаркома. Основные признаки прогрессирования болезни включат:
- новообразование на поверхности кости становится визуально определяемым, отмечается его постепенный рост;
- болезненные ощущения в месте локализации опухоли (по мере увеличения новообразования боль усиливается, появляется не только при физической активности, но и в состоянии покоя, во время сна, и при этом не поддается устранению стандартными анальгетиками);
- расширение вен, отечность мягких тканей и нарушение подвижности суставов на пораженном участке;
- повышенная хрупкость костей, склонность к переломам.
Общие симптомы онкологического поражения проявляются в следующем: пациент испытывает постоянную слабость и быстро устает, его мучают головные боли, он теряет аппетит, в результате чего вес стремительно снижается.
Методы лечения хондросарком в Израиле
При разработке плана терапии врачи израильских клиник учитывают множество факторов: тип и локализация опухоли, стадия прогрессирования болезни, общее состояние здоровья онкобольного и другие. Такой подход позволяет определить наиболее эффективную стратегию борьбы со злокачественным новообразованием, при использовании которой пациент сможет не только победить болезнь, но и избежать ее повторного развития.
Лечение хондросаркомы в Израиле проводится такими методами:
Химиотерапия
Противоопухолевые препараты используются при лечении неоперабельных опухолей, а также с целью предотвращения развития метастазов на терминальной стадии прогрессирования болезни. Современные цитостатики, применяемые в клиниках Израиля, практически не обладают побочными действиями и эффективно блокируют деление раковых клеток, позволяя таким образом контролировать рост неоплазии.
Лучевая терапия
Используется преимущественно в качестве способа адъювантного лечения – после хирургического удаления опухоли сеансы облучения позволяют уничтожить возможно оставшиеся в прилегающих тканях раковые клетки и предотвратить рецидив болезни. В случае с неоперабельными формами неоплазий лучевая терапия проводится с целью облегчения симптоматики и замедления прогрессирования хондросаркомы.
Таргетная терапия
В отличие от классических противоопухолевых препаратов, лекарства на основе моноклональных тел высокоспецифичны к раковым клеткам и эффективно разрушают их без негативного воздействия на организм. Таргетная терапия проводится преимущественно с целью блокирования кровоснабжения опухоли и угнетения ее роста при распространенных стадиях онкопатологии, и является более щадящей альтернативой химиотерапии.
Стереотаксическая радиохирургия
Инновационная методика неинвазивного удаления опухолей, хирургический доступ к которым невозможен в силу труднодоступной локализации или другие причины. При воздействии на опухолевый очаг высокодозным радиационным излучением раковые клетки разрушаются, а ткани неоплазии – некротизируются. В зависимости от размеров опухоли, для ее полного удаления требуется от 1 до 5 сеансов радиохирургии.
Хирургическое лечение
Израильские специалисты обладают колоссальным опытом выполнения органосохраняющих операций, при которых удается избежать серьезной травматизации прилегающих тканей и ампутации пораженного органа. Объем хирургического вмешательства зависит от локализации и размера опухоли: в некоторых случаях удается ограничиться удалением части кости, при обширном поражении для спасения жизни пациента врачам приходится прибегать к более радикальным методам, после чего удаленный фрагмент заменяется эндопротезом или костным трансплантатом.
Как проводится диагностика хондросарком в Израиле
Преимущества лечения хондросаркомы в Израиле заключаются в том, что здесь на самом высоком уровне проводятся не только терапевтические процедуры, но и диагностика болезни. Учитывая тот факт, что больше всего шансов на полное излечение получают пациенты на начальных стадиях прогрессирования патологии, именно раннее выявление рака костей способствует планированию максимально эффективной стратегии терапии.
Комплексное обследование при подозрении на ходросаркому проводится в течение 3-4 дней.
Первый день
В первый день проводится консультация лечащего онколога. Врач осматривает пациента, изучает историю болезни, задает вопросы, проясняя детали самочувствия и принимает решение о необходимости проведения дополнительных тестов.
Второй день
Этот день посвящен проведению лабораторных и инструментальных исследований.
- Рентгенография.
- Магнитно-резонансная томография.
- Позитронно-эмиссионная томография с КТ.
- Компьютерная томография.
- Остеосцинтиграфия.
- Развернутые анализы крови.
- Биопсия и другие.
Третий день
По завершении исследований, пациент имеет возможность узнать экспертное мнение относительно лечения своей болезни от нескольких ведущих специалистов клиники (онколога, ортопеда, хирурга и других). На врачебном консилиуме определяется прогноз, оптимальный метод борьбы с хондросаркомой и составляется график терапевтических мероприятий.
- Рентгенография
- Магнитно-Резонансная Томография (МРТ)
- ПЭТ КТ (PET CT)
- Компьютерная томография (КТ)
- Биопсия
Сколько стоит лечение хондросаркомы в Израиле
Как и схема терапии, итоговая сумма для каждого пациента определяется индивидуально. Цена включает объем пройденных лечебно-диагностических процедур, медикаментозные препараты, пребывание в стационаре и другие услуги. Если сравнивать с ценами в клиниках США и Западной Европы, обращение в израильские медицинские центры является более выгодным: при аналогичном качестве обслуживания стоимость лечения здесь на 30-50% ниже.
Преимущества лечения в Израиле
- Специалисты высочайшего уровня, знания и навыки которых постоянно обновляются в соответствии с новейшими разработками в области онкологии.
- Оснащенность клиники суперсовременным лечебно-диагностическим оборудованием.
- Персональный подход к разработке медицинской программы, учитывающий индивидуальные особенности организма пациента.
- Наличие в структуре медицинского центра отдела, занимающегося помощью пациентам из других стран в организации поездки на лечение в Израиль и координирующего лечебный процесс.
- Положительные отзывы пациентов, уже прошедших лечение в клинике Ассута.
Более подробную информацию о вариантах лечения и стоимости можно узнать, оставив контактные данные в любой из форм заявок на нашем сайте. После обработки заявки с вами свяжется медицинский представитель больницы, который ответит на все интересующие вас вопросы.
Читайте также:
