Сагиттальная окклюзионная кривая. Трансверзальная окклюзионная кривая.
Добавил пользователь Владимир З. Обновлено: 06.11.2025
Publication number RU2218127C1 RU2218127C1 RU2002111539/14A RU2002111539A RU2218127C1 RU 2218127 C1 RU2218127 C1 RU 2218127C1 RU 2002111539/14 A RU2002111539/14 A RU 2002111539/14A RU 2002111539 A RU2002111539 A RU 2002111539A RU 2218127 C1 RU2218127 C1 RU 2218127C1 Authority RU Russia Prior art keywords sagittal protractor curves pin screw Prior art date 2002-04-29 Application number RU2002111539/14A Other languages English ( en ) Other versions RU2002111539A ( ru Inventor бов С.В. Р С.В. Рябов Original Assignee Нижегородская государственная медицинская академия Priority date (The priority date is an assumption and is not a legal conclusion. Google has not performed a legal analysis and makes no representation as to the accuracy of the date listed.) 2002-04-29 Filing date 2002-04-29 Publication date 2003-12-10 2002-04-29 Application filed by Нижегородская государственная медицинская академия filed Critical Нижегородская государственная медицинская академия 2002-04-29 Priority to RU2002111539/14A priority Critical patent/RU2218127C1/ru 2003-12-10 Application granted granted Critical 2003-12-10 Publication of RU2002111539A publication Critical patent/RU2002111539A/ru 2003-12-10 Publication of RU2218127C1 publication Critical patent/RU2218127C1/ru
Links
- Espacenet
- Global Dossier
- Discuss
- 231100001004 fissure Toxicity 0.000 claims abstract description 23
- 230000001815 facial Effects 0.000 claims abstract description 10
- 238000005259 measurement Methods 0.000 claims description 13
- 230000000399 orthopedic Effects 0.000 claims description 4
- 230000018109 developmental process Effects 0.000 claims description 3
- 210000000515 Tooth Anatomy 0.000 abstract description 11
- 239000003814 drug Substances 0.000 abstract description 4
- 238000004519 manufacturing process Methods 0.000 abstract description 2
- 235000015244 frankfurter Nutrition 0.000 abstract 2
- 230000000694 effects Effects 0.000 abstract 1
- 239000000126 substance Substances 0.000 abstract 1
- 208000008312 Tooth Loss Diseases 0.000 description 5
- 210000003128 Head Anatomy 0.000 description 3
- 238000004364 calculation method Methods 0.000 description 3
- 230000001055 chewing Effects 0.000 description 3
- 238000010586 diagram Methods 0.000 description 3
- 230000018984 mastication Effects 0.000 description 3
- 210000004513 Dentition Anatomy 0.000 description 2
- 101700028021 SIN3 Proteins 0.000 description 2
- 229940079593 drugs Drugs 0.000 description 2
- 210000004874 lower jaw Anatomy 0.000 description 2
- 230000036346 tooth eruption Effects 0.000 description 2
- 210000004873 upper jaw Anatomy 0.000 description 2
- 210000003467 Cheek Anatomy 0.000 description 1
- 210000004283 Incisor Anatomy 0.000 description 1
- 208000007839 Temporomandibular Joint Disorders Diseases 0.000 description 1
- 238000004590 computer program Methods 0.000 description 1
- 238000007689 inspection Methods 0.000 description 1
- 201000008838 periodontal disease Diseases 0.000 description 1
Images
Abstract
Изобретение относится к медицине, а именно к ортопедической стоматологии, и может применяться при планировании съемных и несъемных ортопедических конструкций, при изучении функциональной окклюзии с целью постановки диагноза, при проведении ортодонтического лечения. Способ определения выраженности сагиттальных и трансверзальных окклюзионных кривых при разработке ортопедических стоматологических конструкций и при планировании лечения включает измерение характеризующих эти кривые параметров по отношению к базисной системе отсчета. В качестве базисной системы отсчета выбрана франкфуртская горизонталь, которая фиксируется при помощи лицевой дуги, и последовательно для каждого зуба измеряется расстояние от точек центральной фиссуры и вершины бугорков до лицевой дуги и угол наклона по отношению к лицевой дуге, затем, используя данные этих измерений, проводят их математическую обработку с применением правил прямого треугольника и тригонометрических функций, определяют истинное расстояние от исследуемой точки до франкфуртской горизонтали и через совокупность этих показателей для всех исследуемых зубов характеризуется индивидуальная выраженность сагиттальных и трансверзальных окклюзионных кривых. Устройство для осуществления способа включает держатель и шарнирно закрепленный транспортир, лицевую дугу с установленным на ней с возможностью перемещения и фиксации посредством зажимного винта держателем, жестко соединенным под углом 90 o адаптером, в отверстии которого расположен с возможностью осевого перемещения, вращения и фиксации посредством зажимного винта вертикальный штырь. Транспортир закреплен на нижнем конце штыря с возможностью осевого вращения вокруг крепежного винта. Основание транспортира имеет удлинение в виде бруска, снабженного на конце съемным измерительным штифтом. Технический результат - повышение качества протезирования за счет учета индивидуальной выраженности окклюзионных кривых пациента. 2 с. и 1 з. п. ф-лы, 6 ил., 1 табл.
Description
Предлагаемое изобретение относится к медицине, а именно к ортопедической стоматологии, и может применяться при разработке ортопедических стоматологических конструкций и при планировании лечения для охарактеризования индивидуальной выраженности сагиттальных и трансверзальных окклюзионных кривых.
На характер окклюзионных контактов зубов при движениях нижней челюсти влияют различные "факторы окклюзии". К ним относятся: суставные пути, движение Беннета, окклюзионная плоскость, кривая Шпее (сагиттальная), кривая Уилсона (трансверзальная), морфология жевательной поверхности боковых зубов, резцовый путь и расстояние между суставными головками. Все эти факторы необходимо учитывать при планировании ортопедических конструкций, особенно у пациентов с частичной потерей зубов, заболеваниями ВНЧС, пародонта.
Наименее исследованными среди этих факторов являются выраженность кривизны сагиттальных (Шпее) и трансверзальных (Уилсона) окклюзионных кривых.
Кривая Шпее различна для каждого зубного ряда и не имеет четко обозначенного центра изгиба. Функциональное и антропологическое значение этой кривой остается неясным. Кривая Уилсона является функцией степени наклона жевательных зубов нижней челюсти в сторону языка и жевательных зубов верхней челюсти в сторону щеки. Исследования по изучению выраженности данных кривых относятся к первой четверти XX века и имеют чисто эмпирический характер. Monson экспериментально доказал, что средний радиус сферы окклюзионной поверхности равен 10,4 см и центр ее находится на вершине Crista galli. (Н.В. Калинина, В. А. Загорский. Протезирование при полной потере зубов. - М.: Медицина, 1990). Это получило название "Сферической теории артикуляции". Данные исследования были положены в основу разработки приспособления под названием "каллота", служащего для постановки искусственных зубов в артикуляторе при полной потере зубов. Данное устройство используется до настоящего времени (постановка по Ivoclar) (Н.В. Калинина, B.А. Загорский. Протезирование при полной потере зубов. - М.: Медицина, 1990).
Стандартным способом исследование выраженности сагиттальных и трансверзальных окклюзионных кривых и определение размеров радиусов этих сфер проводилось на посмертных срезах. При этом способе исследования центр полученной сферы получался "произвольно" в результате произведенных измерений.
Использование стандартной "каллоты" при изготовлении полных съемных протезов не дает точного представления о размерах и форме окклюзионных поверхностей, не учитывает индивидуальности строения для каждого пациента в отдельности, что снижает уровень потребительских свойств изготовленного протеза.
Из уровня техники известно устройство для определения сагиттальных и трансверзальных окклюзионных кривых, включающее держатель и шарнирно закрепленный транспортир (SU 185437 A, 07.10.1966).
Таким образом, к настоящему времени практически не существует способов определения выраженности окклюзионных кривых, позволяющих характеризовать индивидуальную их выраженность и особенности строения, что является причиной недостаточно высокого качества протезирования.
В задачу предлагаемого изобретения положено определение индивидуальной выраженности окклюзионных кривых, учет особенностей их строения у каждого пациента в целях повышения качества протезирования, а также создание устройства для измерения выраженности сагиттальных и трансверзальных окклюзионных кривых.
Поставленная задача в способе определения выраженности сагиттальных и трансверзальных окклюзионных кривых, включающем измерение характеризующих эти кривые параметров по отношению к базисной системе отсчета, достигается тем, что в качестве базисной системы отсчета выбирают франкфуртскую горизонталь, которую фиксируют при помощи лицевой дуги, и последовательно для каждого зуба измеряют расстояние от точек центральной фиссуры и вершины бугорков до лицевой дуги и угол наклона по отношению к лицевой дуге, затем, используя данные этих измерений, проводят их математическую обработку с применением правил прямого треугольника и тригонометрических функций, определяют истинное расстояние от исследуемой точки до франкфуртской горизонтали и через совокупность этих показателей для всех исследуемых зубов характеризуют индивидуальную выраженность сагиттальных и трансверзальных окклюзионных кривых.
Устройство в соответствии с изобретением содержит лицевую дугу с установленным на ней с возможностью перемещения и фиксации посредством зажимного винта держателем, жестко соединенным под углом 90 градусов с адаптером, в отверстии которого расположен с возможностью осевого перемещения, вращения и фиксации посредством зажимного винта вертикальный штырь, при этом транспортир закреплен на нижнем конце штыря с возможностью осевого вращения вокруг крепежного винта, а основание транспортира имеет удлинение в виде бруска, снабженного на конце съемным измерительным штифтом. По всей поверхности градуированного штыря нанесена разметка с ценой деления 1 мм.
На фиг.3 приведена фотография предлагаемого устройства, закрепленного на лицевой дуге, фиксированной на голове исследуемого пациента.
На фиг.5 приведена геометрическая схема расчета истинного расстояния от исследуемой точки до франкфуртской горизонтали (перпендикуляр, опущенный из исследуемой точки к плоскости) для случаев, когда угол, полученный при измерении, менее 90 градусов.
На фиг.6 приведена геометрическая схема расчета истинного расстояния от исследуемой точки до франкфуртской горизонтали (перпендикуляр, опущенный из исследуемой точки к плоскости) для случаев, когда угол, полученный при измерении, более 90 градусов.
Предлагаемое устройство показано на фиг. 1 (схема-чертеж аппарата в сборе)
На фиг.1 обозначено:
1. Градуированный штырь
2. Адаптер
3. Держатель
4. Зажимной винт адаптера
5. Зажимной винт держателя
6. Транспортир
7. Съемный измерительный штифт
8. Зажимной винт шарнира транспортира.
Предлагаемое устройство работает следующим образом. Устройство фиксируется на лицевой дуге при помощи держателя 3, имеющего зажимной винт 5, поэтому устройство может легко перемещаться по плоскости дужки лицевой дуги. Держатель 3 соединяется жестко под углом 90 градусов с адаптером, в который входит вертикальный штырь с нанесенными миллиметровыми делениями. Таким образом, вертикальный штырь 1 находится под прямым углом к лицевой дуге, а следовательно, и к франкфуртской горизонтали, он может совершать свободные перемещения в отверстии адаптера, а нужное положение штыря фиксируется при помощи зажимного винта адаптера 4. Нужное положение - такое расположение, при котором вершина измерительного штифта 7 установлена на исследуемой точке, зажимные винты 4, 5, 8 зафиксированы, а устройство остается "висячим" на лицевой дуге без смещения. При этом фиксируются два параметра: угол наклона бруска на транспортире 6 и расстояние от середины адаптера 2 до середины зажимного винта шарнира транспортира 8.
Предлагаемый способ с помощью предлагаемого устройства осуществляется следующим способом. На голове пациента фиксируется лицевая дуга (способ, общепринятый во всем мире и в описании не нуждающийся). Предлагаемое устройство устанавливают на лицевой дуге при помощи держателя 3, но не фиксируя его положения. Вершину съемного измерительного штифта 7 устанавливают в исследуемую точку, последовательно протягивают зажимные винты:
зажимной винт держателя 5;
зажимной винт транспортира 8;
зажимной винт адаптера 4;
требование при проведении измерений: вершина измерительного штифта должна находиться в контакте с исследуемой точкой при затягивании всех винтов, в свободном состоянии, т.е. при отсутствии рук исследуемого. Затем снимаются полученные параметры: угол, полученный на транспортире, и высота градуированного штыря от середины зажимного винта транспортира до середины адаптера. Данные записываются для последующей математической обработки.
Пример конкретного осуществления предлагаемого способа с использованием предлагаемого устройства приведен в виде выписки из индивидуальной карты осмотра.
Пациентка С. 23 лет, с абсолютно интактной зубочелюстной системой была отобрана для составления банка данных для последующего создания компьютерной программы лечения больных с частичной потерей зубов.
Зубная формула:
7654321I1234567
7654321I1234567
Для определения индивидуальной выраженности сагиттальных и трансверзальных окклюзионных кривых применен предлагаемый способ с предлагаемым устройством.
В результате измерений мы получили следующие данные:
1. Для исследования трансверзальных окклюзионных кривых:
14. Щечный бугорок - 57 гр., 89,3 мм, небный бугорок - 60,5 гр., 86,7 мм.
16. Мезиальный щечный бугорок - 63,2 гр., 82,9 мм, мезиальный небный бугорок - 54,5 гр., 94,5 мм, дистальный щечный бугорок - 49,5 гр., 96,5 мм, дистальный небный бугорок - 59,7 гр., 88,2 мм.
17. Мезиальный щечный бугорок - 44,5 гр., 106,2 мм, мезиальный небный бугорок - 62,5 гр., 84,0 мм, дистальный щечный бугорок - 49,0 гр. 95,9 мм, дистальный небный бугорок - 51,5 гр., 91,7 мм.
26. Мезиальный щечный бугорок - 69,7 гр., 78,7 мм, мезиальный небный бугорок - 76,5 гр., 69,1 мм, дистальный щечный бугорок - 70,6 гр. 79,5 мм, дистальный небный бугорок - 78,7 гр., 62,4 мм.
27. Мезиальный щечный бугорок - 79,0 гр., 66,0 мм, мезиальный небный бугорок - 91,0 гр., 46,1 мм, дистальный щечный бугорок - 93,0 гр., 41,1 мм, дистальный небный бугорок - 82,5 гр., 53,5 мм.
2. Для исследования сагиттальных окклюзионных кривых:
14. Мезиальная точка фиссуры - 57,2 гр., 85,5 мм, дистальная точка фиссуры - 56,8 гр., 87,7 мм.
16. Мезиальная точка фиссуры - 63,2 гр., 81,9 мм, медиальная точка фиссуры - 65,0 гр., 71,5 мм, дистальная точка фиссуры - 68,3 гр., 72,2 мм.
17. Мезиальная точка фиссуры - 59,8 гр., 82,0 мм, медиальная точка фиссуры - 60,0 гр., 84,3 мм, дистальная точка фиссуры - 64,5 гр., 72,6 мм.
26. Мезиальная точка фиссуры - 72,2 гр., 70,9 мм, медиальная точка фиссуры - 72,8 гр., 68,6 мм, дистальная точка фиссуры - 78,3 гр., 60,0 мм.
27. Мезиальная точка фиссуры - 64,0 гр., 77,4 мм, медиальная точка фиссуры - 64,3 гр., 74,9 мм, дистальная точка фиссуры - 75,5 гр., 58,4 мм.
Истинным расстоянием от исследуемой точки до франкфуртской горизонтали является отрезок перпендикуляра, опущенного из исследуемой точки к франкфуртской горизонтали EF (фиг.5)
1. Рассчитываем FD. Пользуемся правилом прямоугольного треугольника, в котором угол С - прямой, длина FC = 8 мм (высота съемного измерительного штифта (6), используемого в данных измерениях; расстояние ВС всегда равно 83 мм, т.к. это длина от шарнира транспортира до съемного измерительного штифта), угол D = углу В, а угол F = 90-В. Следовательно, FD = FC: cosF, a DC = FD•sinF
2. Рассчитываем BL. BD = ВС-DC. BL = BD•sin(90-B).
3. Рассчитываем EF. EF будет равняться АК, т.к. DL и FK - перпендикуляры к АВ. EF = АК = АВ-BL-LK(DF).
Пример расчета для вершины мезиального щечного бугорка 14 зуба. Данные измерений: угол - 57 градусов, высота 89,3 мм.
В случаях когда при измерениях угол больше 90 градусов, порядок вычислений меняется (фиг.6). Истинное расстояние от исследуемой точки до франкфуртской горизонтали равно FN = АК. Для его нахождения необходимо:
1. Угол FEC = 180-FEM (FEM = АВС).
3. FE = CF: cos CFE (CF равен 8 мм - длина съемного измерительного штифта, использованного в данных измерениях).
Пример расчета параметров для дистального щечного бугорка 27 зуба. Данные, полученные при измерении: угол 93 градуса, высота 41,1 мм.
Claims ( 3 )
1. Способ определения выраженности сагиттальных и трансверзальных окклюзионных кривых при разработке ортопедических стоматологических конструкций и при планировании лечения, включающий измерения характеризующих эти кривые параметров по отношению к базисной системе отсчета, отличающийся тем, что в качестве базисной системы отсчета выбирают франкфуртскую горизонталь, которую фиксируют при помощи лицевой дуги, и последовательно для каждого зуба измеряют расстояние от точек центральной фиссуры и вершины бугорков до лицевой дуги и угол наклона по отношению к лицевой дуге, затем, используя данные этих измерений, проводят их математическую обработку с применением правил прямого треугольника и тригонометрических функций, определяют истинное расстояние от исследуемой точки до франкфуртской горизонтали и через совокупность этих показателей для всех исследуемых зубов характеризуют индивидуальную выраженность сагиттальных и трансверзальных окклюзионных кривых.
2. Устройство для определения выраженности сагиттальных и трансверзальных окклюзионных кривых, включающее держатель и шарнирно закрепленный транспортир, отличающееся тем, что оно содержит лицевую дугу с установленным на ней с возможностью перемещения ее фиксации посредством зажимного винта держателем, жестко соединенным под углом 90° с адаптером, в отверстии которого расположен с возможностью осевого перемещения, вращения и фиксации посредством зажимного винта вертикальный штырь, при этом транспортир закреплен на нижнем конце штыря с возможностью осевого вращения вокруг крепежного винта, а основание транспортира имеет удлинение в виде бруска, снабженного на конце съемным измерительным штифтом.
3. Устройство по п.2, отличающееся тем, что по всей поверхности градуированного штыря нанесена разметка с ценой деления 1 мм.
RU2002111539/14A 2002-04-29 2002-04-29 Способ определения выраженности сагиттальных и трансверзальных окклюзионных кривых и устройство для его осуществления RU2218127C1 ( ru )
Сагиттальная окклюзионная кривая. Трансверзальная окклюзионная кривая.
Сагиттальная окклюзионная кривая. Трансверзальная окклюзионная кривая.
Для более детального выяснения вопроса о взаимоотношениях зубных рядов при различных движениях нижней челюсти необходимо остановиться подробно на сагиттальной и трансверзальной окклюзионных кривых. Ф. Шпее впервые описал сагиттальную окклюзионную кривую нижней челюсти в области жевательных зубов на зубной дуге. По Шпее, она морфологически выражается в том, что жевательные поверхности нижних зубов, начиная от премоляров и кончая последним моляром, образуют вогнутую сагиттальную кривую.
Самое глубокое место в этой кривой представляет собой жевательная поверхность первого нижнего моляра. Верхний зубной ряд в области коренных зубов тоже является сагиттальной кривой, но не вогнутой, а выпуклой, которая повторяет нижнюю вогнутую кривую.
Значение сагиттальной окклюзионной кривой.
Имеются также большие разногласия по вопросу о роли сагиттальной окклюзионной кривой. Одни называют ее компенсационной (Б. Н. Бынин, Б. Б. Брандсбург, Канторович, Винклер). А. Я. Катц, наоборот, отрицает ее компенсационные свойства. Сторонники компенсационной теории находят, что кривая Шпее имеет своим назначением компенсацию просвета, образующегося при выдвижении нижней челюсти вперед между верхними и нижними коренными зубами.

Они представляют себе механизм компенсации следующим образом: выдвижение вперед нижней челюсти, как указано выше, всегда сопровождается опусканием ее, которое влечет за собой разобщение зубных рядов в области коренных зубов. При выдвижении вперед, до встречи режущих краев фронтальных зубов, это зияние могло бы сохраниться. Таким образом, при передней окклюзии контакт зубов во время выполнения ими жевательной функции был только на передних зубах, что привело бы к образованию просвета в области жевательных зубов и передаче жевательного давления на фронтальные зубы и к их перегрузке.
При движении нижней челюсти вперед дистальные бугры нижних зубов перемещаются вперед, устанавливаются против мезиальных бугров верхних моляров, и зубы вследствие разницы в уровне встречающихся бугров верхней и нижней челюстей смыкаются, несмотря на опускание нижней челюсти.
Значение трансверзальной окклюзионнои кривой.
При изучении расположения жевательных зубов можно убедиться, что щечные бугры на обеих сторонах нижней челюсти расположены на более высоком уровне, чем язычные. Следовательно, поперечная линия, проведенная по жевательным поверхностям коренных зубов нижней челюсти, идущая справа налево или в обратном направлении, представляет собой вогнутую трансверзаль-ную кривую.
По мнению сторонников компенсационной теории, эти трансверзальные кривые являются также компенсационными.
При движении нижней челюсти в сторону щечные бугры нижних жевательных зубов на балансирующей стороне устанавливаются против небных бугров верхних зубов, и вследствие разницы уровней бугров зубы смыкаются между собой и компенсируется просвет между коренными зубами.
Информация на сайте подлежит консультации лечащим врачом и не заменяет очной консультации с ним.
См. подробнее в пользовательском соглашении.
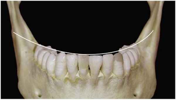
Сагиттальные окклюзионные кривые
При осмотре бугорков нижней зубной дуги со стороны преддверия полости рта можно заметить, что линия, соединяющая вершины бугорков, образует кривую, самая глубокая точка которой находится на первом моляре. Эта кривая называется сагиттальной окклюзионной кривой (кривая Шпее (Ferdinand Graf Spee)). Ее продолжение проходит через височно-нижнечелюстной сустав. На верхней челюсти сагиттальная окклюзионная кривая имеет выпуклую форму, а на нижней – вогнутую. В норме кривая Шпее на нижней челюсти не должна превышать 1,5 – 2 мм (рис. 8).
Рис. 8. Измерение кривой Шпее.
Благодаря наличию кривой Шпее при опускании и выдвигании нижней челюсти вперед между жевательными зубами сохраняется контакт (так называемый трехпунктный контакт Бонвиля). Поэтому данную кривую называют также компенсационной. Плоскость, проходящую через резцовую точку на нижней челюсти и касающуюся окклюзионных кривых справа и слева называют окклюзионной.
Кроме сагиттальной окклюзионной кривой, различают трансверзальную окклюзионную кривую.
Трансверзальная окклюзионная кривая
Трансверзальная окклюзионная кривая (кривая Уилсона) – линия, проходящая через окклюзионные поверхности жевательных зубов правой и левой сторон в поперечном направлении (рис. 9).
Она формируется за счет наклона верхних моляров в щечную сторону, а нижних – в язычную. На ее расположение влияет то, что язычные бугорки боковых зубов нижней челюсти расположены в полости рта ниже, чем щечные бугорки. Эта кривая на верхней челюсти выпуклая книзу.
Кривая Уилсона обеспечивает контакты зубных рядов при трансверзальных движениях нижней челюсти. В области первых премоляров трансверзальная окклюзионная кривая отсутствует.

Рис. 9. Трансверзальная кривая Уилсона.
Плоскость, проходящая между резцовой точкой (точка контакта режущих краев обеих нижних и верхних центральных резцов) и самым высоким щечным бугорком второго моляра с обеих сторон нижней челюсти образует окклюзионную (жевательную) плоскость.
Окклюзионная плоскость и окклюзионная кривая пересекаются в трех точках – резцовой и на наивысших щечных бугорках правого и левого моляров. Учитывая расположение окклюзионной плоскости, можно воспроизвести окклюзионную кривую.
По отношению к горизонтальной плоскости каждый зуб верхней челюсти расположен по-разному. Центральные резцы касаются этой плоскости всем режущим краем; боковые резцы отстают на 0,5мм; клыки касаются режущим бугорками; первый премоляр - щечным бугорком, а небным отстает на 1 мм; у второго премоляра как щечный, так и небный бугорки также касаются этой плоскости; у первого моляра небно-медиальнй бугорок находится на уровне плоскости, а остальные выше: щечно-мезиальный - на 0,5 мм, небно-дистальный – на 1мм. Вся коронка второго моляра расположена на 1 мм выше коронки первого с сохранением пространственного расположения бугорков: небно-медиальный отстоит от плоскости на 1мм, щечно-медиальный - на 1,5 мм; небно-дистальный – на 2,5 мм, а щечный – на 2,5 мм. Такое расположение коронок зубов и их окклюзионных поверхностей обуславливает кривизну зубной дуги в переднезаднем и боковом направлениях. Если провести линию по режущим краям зубов и щечным буграм (или фиссурам) жевательных зубов, то образуется сегмент окружности, обращенный выпуклостью книзу. Эта линия называется сагиттальной компенсационной кривой зубного ряда верхней челюсти. Начинается она от первого премоляра. Разный уровень расположения щечных и небных бугорков вследствие наклона зубов в щечную сторону обуславливает наличие трансверзальных окклюзионных кривых с различным радиусом кривизны у каждой симметричной пары зубов. Эта кривая отсутствует у первых премоляров.
На нижней челюсти образуются боковые окклюзионные кривые за счет наклона коронок зубов в язычную сторону и разной выраженности зубных бугорков.
Окклюзионные кривые
Окклюзионные кривые – это линии, проходящие в поперечном или продольном сечении через одноименные моляры правой и левой жевательной стороны челюсти. В стоматологии используются два вида окклюзионных плоскостей, которые имеют функциональное значение. В совокупности они анализируются во время диагностики пациента и имеют весомое значение при постановке диагноза. Также эти зоны позволяют определить необходимость лечения и подобрать подходящую технику коррекции.
На заметку!
Целесообразно определять положение окклюзионных параметров после 13 лет, когда завершается процесс прорезывания жевательных единиц. Однако уже в детском возрасте можно определить вероятность анатомических дефектов ряда для конкретного пациента.
Виды окклюзионных кривых
В стоматологии существует такое понятие, как правильный и неправильный прикус. Определить его можно по диагностическим параметрам, которыми также являются окклюзионные кривые. Они бывают двух видов и каждый используется в комплексе с другим.

Важно!
При выявлении анатомических дефектов пациенту требуется коррекция, поскольку со временем плоскости постепенно деформируются. В пожилом возрасте это может приводить не только к эстетическим проблемам, но и вызывать физиологические страдания.
Сагиттальная окклюзионная линия
Сагиттальной окклюзионной кривой называется зона, которая располагается на самых верхних точках бугорков первых моляров. Они располагаются глубже, чем остальные, поэтому используются для диагностики состояния прикуса. Линия также называется кривой Шпее в стоматологии.
В завершении 1980-хх годов Шпее сделал описание данной плоскости. Было изучено, что нижняя челюсть в области расположения премоляров и моляров имеет вогнутую линию. Одновременно верхняя имеет выпуклое расположение, чем создает ровный стык или правильную окклюзию. Это позволяет адекватно распределять нагрузку во время жевательных движений.

Во время жевания окклюзионная поверхность смещается. Нижняя челюсть выдвигается несколько вперед, что при неправильном прикусе приводит к неестественному распределению нагрузки. В этом случае задействованными оказываются резцы, клыки и премоляры, а между основными жевательными зубами образуется просвет. При правильном положении сагиттальной этот недостаток компенсируется. Верхние зубы, располагающиеся под небольшим наклоном, во время жевания встречаются с одноименными противоположными единицами нижней челюсти.
Трансверзальная окклюзионная линия
Трансверзальной окклюзионной кривой называется полость, которая делает поперечное сечение в челюсти. Его точки располагаются на верхушках бугорков нижней челюсти. В стоматологии данную линию также называют линией Уилсона.

Если рассмотреть детально расположение отдельных участков на нижней челюсти, то можно обнаружить некоторые особенности.
- На жевательных зубах имеются бугорки. Те, которые находятся со стороны щеки, располагаются выше.
- Язычная стороны зуба расположена ниже. За счет этой анатомической особенности компенсируется жевательная функция челюсти.
Трасверсальная кривая позволяет измерить соотношение между одноименными зубами нижней челюсти, исключить или обнаружить анатомические дефекты.
Стоматологи используют различные методы диагностики состояния полости рта пациента – от визуального осмотра до выполнения сложных замеров и расчетов. Одним из вспомогательных критериев являются окклюзионные кривые. По ним можно установить проблему и определить ее тяжесть. Результаты комплексной диагностики дают возможность выбрать подходящую методику ортодонтического или ортопедического лечения, а также оценить его эффективность.
Трансверзальная окклюзионная кривая
Трансверзальная окклюзионная кривая (кривая Уилсона) – линия, проходящая через окклюзионные поверхности жевательных зубов правой и левой сторон в поперечном направлении (рис. 9).
Она формируется за счет наклона верхних моляров в щечную сторону, а нижних – в язычную. На ее расположение влияет то, что язычные бугорки боковых зубов нижней челюсти расположены в полости рта ниже, чем щечные бугорки. Эта кривая на верхней челюсти выпуклая книзу.
Кривая Уилсона обеспечивает контакты зубных рядов при трансверзальных движениях нижней челюсти. В области первых премоляров трансверзальная окклюзионная кривая отсутствует.
Рис. 9. Трансверзальная кривая Уилсона.
Плоскость, проходящая между резцовой точкой (точка контакта режущих краев обеих нижних и верхних центральных резцов) и самым высоким щечным бугорком второго моляра с обеих сторон нижней челюсти образует окклюзионную (жевательную) плоскость.
Окклюзионная плоскость и окклюзионная кривая пересекаются в трех точках – резцовой и на наивысших щечных бугорках правого и левого моляров. Учитывая расположение окклюзионной плоскости, можно воспроизвести окклюзионную кривую.
По отношению к горизонтальной плоскости каждый зуб верхней челюсти расположен по-разному. Центральные резцы касаются этой плоскости всем режущим краем; боковые резцы отстают на 0,5мм; клыки касаются режущим бугорками; первый премоляр - щечным бугорком, а небным отстает на 1 мм; у второго премоляра как щечный, так и небный бугорки также касаются этой плоскости; у первого моляра небно-медиальнй бугорок находится на уровне плоскости, а остальные выше: щечно-мезиальный - на 0,5 мм, небно-дистальный – на 1мм. Вся коронка второго моляра расположена на 1 мм выше коронки первого с сохранением пространственного расположения бугорков: небно-медиальный отстоит от плоскости на 1мм, щечно-медиальный - на 1,5 мм; небно-дистальный – на 2,5 мм, а щечный – на 2,5 мм. Такое расположение коронок зубов и их окклюзионных поверхностей обуславливает кривизну зубной дуги в переднезаднем и боковом направлениях. Если провести линию по режущим краям зубов и щечным буграм (или фиссурам) жевательных зубов, то образуется сегмент окружности, обращенный выпуклостью книзу. Эта линия называется сагиттальной компенсационной кривой зубного ряда верхней челюсти. Начинается она от первого премоляра. Разный уровень расположения щечных и небных бугорков вследствие наклона зубов в щечную сторону обуславливает наличие трансверзальных окклюзионных кривых с различным радиусом кривизны у каждой симметричной пары зубов. Эта кривая отсутствует у первых премоляров.
На нижней челюсти образуются боковые окклюзионные кривые за счет наклона коронок зубов в язычную сторону и разной выраженности зубных бугорков.
ГЛАВА 4
ОККЛЮЗИЯ И ВИДЫ ОККЛЮЗИИ
Окклюзия(лат. occludere - запирать, закрывать) – это динамическое взаимодействие компонентов зубочелюстной системы, характеризующееся контактом зубов верхней и нижней челюстей.
Окклюзия – смыкание зубных рядов верхней и нижней челюстей (К.М. Леманн и Э. Хельвиг). В этом положении бугорки зубных рядов максимально соприкасаются, то есть наблюдается равномерный двусторонний контакт бугорков и бороздок.
Межокклюзионное пространство – это расстояние между высотой покоя и межбугорковым положением.
Окклюзионный компас - схематическое отображение окклюзионных движений бугорков зубов из межбугоркового контакта в сагиттальной и трансверзальных плоскостях (рис. 10).
Рис. 10. Окклюзионный компас
Окклюзия может быть динамичной и статичной.
Статистическая окклюзия – контакт челюстей в одной определенной позиции.
Динамическая окклюзия – контакт челюстей во время скользящих движений.
Дизокклюзия –отсутствие контакта между зубами-антагонистами.
Функциональная окклюзия –динамические контакты зубных рядов в центральной, боковых и передней окклюзиях – результат интегрированной функции всех звеньев зубочелюстной системы (жевательного аппарата).
Центральная окклюзия – множественные фиссурно-бугорковые контакты зубных рядов при центральном положении головок височно-нижнечелюстного сустава в суставных ямках.
Привычная окклюзия – конечное физиологическое смыкание зубов верхней и нижней челюстей.
Центральное соотношение– это соотношение нижней челюсти, при котором мыщелки занимают передневерхнее положение и контактируют с центральной частью суставного диска, расположенного напротив суставного бугорка.
Центральное соотношение челюстей – взаимное расположение челюстей в трех взаимно перпендикулярных плоскостях.
Центрическая окклюзия – термин, объединяющий центральную окклюзию, скольжение по центру и заднюю контактную позицию зубов в центральном соотношении челюстей.
Эксцентрическая окклюзия – окклюзионные контакты зубов во фронтальных и боковых окклюзиях при жевательных движениях нижней челюсти.
Ключом окклюзии по Энглю (Angle) является верхний первый постоянный моляр. Angle выделил три класса соотношения первых постоянных моляров.
а – I класс; б -II класс- I подкласс; в – II класс– II подкласс; г – III класс.
Рис. 11. Классификация Энгля.
При I классе имеется правильный фиссурно-бугорковый контакт боковых зубов, когда мезиально-щечный бугор верхнего первого постоянного моляра находится в передней межбугорковой бороздки нижнего первого постоянного моляра. Характеризуется нормальным смыканием моляров в сагиттальной плоскости. Все изменения происходят впереди первых моляров (рис. 11 а).
При II классе имеется задняя позиция нижнего первого постоянного моляра относительно верхнего. Мезиально-щечный бугор первого моляра верхней челюсти находится впереди межбугорковой бороздки первого моляра нижней челюсти.
Этот класс Энгль подразделяет на два подкласса. Для I подкласса типично протрузия верхних передних зубов, а для II подкласса – ретрузия. Характерно при дистальной окклюзии (рис. 11 б).
При III классе имеется передняя позиция нижнего первого постоянного моляра относительно верхнего. Мезиально-щечный бугор нижнего моляра устанавливается против бугров второго верхнего премоляра или даже мезиальнее. Характерно при мезиальной окклюзии (рис. 11 в).
Читайте также:
