Симптомы ангины Венсана (язвенно-пленчатой) и его лечение
Добавил пользователь Евгений Кузнецов Обновлено: 23.01.2026
Язвенно-пленчатая ангина (язвенно-некротическая ангина) – это атипичная форма воспаления небных миндалин, сопровождающаяся образованием язв и фибринозных мембран на их поверхности. Клинически проявляется дискомфортом в горле при глотании, который позднее сменяется болью, гнилостным запахом изо рта, повышенным слюноотделением. В процессе диагностики используются жалобы больного, анамнестические сведения, результаты фарингоскопии, общеклинических анализов, бактериологического исследования. Лечение заключается в назначении местных антисептиков, общеукрепляющих и симптоматических средств, антибиотиков.
МКБ-10

Общие сведения
Язвенно-пленчатая ангина или ангина Симановского-Плаута-Венсана встречается сравнительно редко, составляет порядка 5-6% от всех тонзиллитов. Впервые эта патология была описана в 1899 году отечественным отоларингологом Н. П. Симановским. В 1898 году французским бактериологом Ж. Венсаном и немецким врачом С. Плаутом были выявлены возбудители этого варианта тонзиллита.
Заболеваемость данной формой ангины преимущественно спорадическая, но возможны и эпидемические вспышки. Для ангины Симановского-Венсана характерна сезонность – наибольшее число случаев регистрируется в холодное время года: со средины октября по конец апреля. Чаще болеют лица в возрасте от 18 до 40 лет.
Причины
В основе этиологии лежит фузоспирохетозная инфекция. Развитие заболевания обусловлено проникновением в ткани миндалин и симбиозом условно патогенной веретенообразной палочки (B. Fuciformis) и представителя нормальной ротовой микрофлоры – спирохеты полости рта (Spirochaeta buccalis). Также в очаге инфекции может определяться патогенная кокковая флора: ß-гемолитический стрептококк группы В, золотистый стафилококк. Провоцирующими факторами являются:
- Иммунодефицит. Активации фузоспирохетозного симбиоза способствует снижение реактивности и резистентности организма на фоне ВИЧ-инфекции, болезней органов кроветворения, злокачественных опухолей, перенесенной лучевой терапии или химиотерапевтического лечения, алиментарной дистрофии и кахексии, гиповитаминозов С и группы В, острых или хронических инфекций, общего переохлаждения.
- Очаги хронической инфекции. Развитие патологии зачастую обуславливают кариозные зубы, хронические стоматиты, пародонтоз, фронтиты, гаймориты, этмоидиты, сфеноидиты, фарингиты и др. Отдельно выделяют аденоидиты на фоне разрастания аденоидных вегетаций, поскольку помимо постоянного раздражения миндалин гнойными массами они являются причиной ротового дыхания – одного из факторов риска возникновения ангины.
Патогенез
Паренхима миндалин становится очагом инфекции, первичные патологические изменения возникают в результате накопления продуктов жизнедеятельности микрофлоры. Формирующаяся воспалительная реакция сопровождается выделением гистамина, провоспалительных цитокинов, нарушением проницаемости сосудов микроциркуляторного русла, выходом лейкоцитов и белков за их пределы.
Гистологические изменения в небных миндалинах представлены гиперплазией лимфатических фолликулов, мелкоклеточной инфильтрацией, тромбозом региональных венул покрывного эпителия, из-за чего последний начинает отшелушиваться. Морфологически патология характеризуется образованием участка некроза на обращенной к зеву поверхности миндалины. На дне очага формируется фибринозная мембрана рыхлой консистенции, прикрывающая собой некротизированную лимфаденоидную ткань.
Симптомы
Заболевание развивается постепенно. Первым признаком становится ощущение дискомфорта или постороннего тела во время глотания, описываемое больными как «комок в горле». Постепенно эти ощущения трансформируются в боль, которая при дальнейшем развитии сохраняется и в состоянии покоя. В подавляющем большинстве случаев наблюдается одностороннее поражение. Возникает неприятный гнилостный запах изо рта и повышенное слюноотделение.
Характерной особенностью этой формы болезни является отсутствие лихорадки или интермиттирующий субфебрилитет. Лишь в некоторых случаях ангина Симановского-Венсана дебютирует резким повышением температуры тела до 38,5° С с ознобом. У пациентов наблюдается увеличение передних и задних шейных, затылочных, поднижнечелюстных заушных лимфатических узлов со стороны пораженной миндалины.
Осложнения
Осложнения при язвенно-некротической форме тонзиллита сопряжены с длительным течением болезни, распространением деструктивных процессов на прилегающие анатомические структуры и подлежащие ткани. Развиваются к концу 2-3 недели заболевания. Отсутствие своевременной терапии ведет к образованию участков некроза на поверхности небно-глоточных дужек, слизистой оболочки щеки, других участков зева. В этот период наблюдается присоединение гноеродной микрофлоры, сопровождающееся формированием синдрома системной интоксикации и трансформацией патологии в гнойный тонзиллит. Далее происходит разрушение твердого неба, образуются соустья с носовой полостью. У некоторых больных деструкция зубных лунок приводит к выпадению зубов.
Диагностика
Диагноз выставляется на основе жалоб, данных анамнеза, физикального исследования, лабораторных тестов и дифференциации с другими возможными заболеваниями. Дифференциальная диагностика проводится с лакунарной и некротической ангиной, дифтерией небных миндалин, сифилитической и туберкулезной язвами, злокачественными опухолями, острым лейкозом. Программа обследования состоит из:
- Сбора анамнеза и жалоб. При опросе пациента отоларинголог детализирует жалобы, выясняет наличие сопутствующих иммунодефицитных состояний, патологий ЛОР-органов и других факторов, которые могли способствовать активации условно-патогенной флоры.
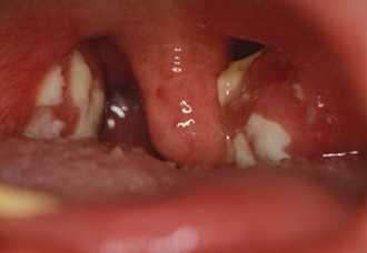
- Осмотра глотки. При фарингоскопии на верхней трети или всей поверхности одной из небных миндалин визуализируется серовато-желтый или зеленый налет по типу пятна от стеариновой свечи. Изредка он выявляется на передней небной дужке. После снятия мембраны пуговчатым зондом обнаруживается кровоточащая поверхность желтоватого цвета с четкими границами, покрытая язвами и участками некроза,
- Общеклинических лабораторных тестов. В общем анализе крови отмечается повышение уровня лейкоцитов, смещение лейкоцитарной формулы в сторону палочкоядерных и юных нейтрофилов, увеличение СОЭ. При необходимости дифференциальной диагностики может проводиться биопсия миндалины, реакция Вассермана.
- Бактериологического исследования. В мазке из пораженного участка определяется большое количество веретенообразных палочек и спирохет. Для подтверждения диагноза и подбора антибактериальных средств выявленные микроорганизмы могут культивироваться на питательных средах с последующим выполнением антибиотикограммы.
Лечение язвенно-пленчатой ангины
Лечение консервативное, при удовлетворительном состоянии пациента и отсутствии риска развития осложнений проводится в амбулаторных условиях. Основными целями медикаментозной терапии являются санация очага инфекции, укрепление неспецифического иммунитета, профилактика развития осложнений. Применяются следующие терапевтические средства:
- Местные препараты. Важнейшее значение имеет уход за полостью рта путем удаления некротических масс и полосканий антисептическими растворами. Для обработки пораженной миндалины используется перекись водорода, растворы марганца, йода, ляписа. Полоскания проводятся с фурацилином, раствором перманганата калия.
- Системные антибактериальные препараты. Антибиотики назначаются только при тяжелом течении патологии. Эффективными считаются медикаменты из группы ß-лактамов, а именно амоксициллин с клавулановой кислотой или ампициллин. При неэффективности лекарственные средства заменяются препаратами, подобранными по результатам антибиотикочувствительности.
- Симптоматические и общеукрепляющие средства. В зависимости от состояния больного дополнительно могут использоваться жаропонижающие средства, проводиться внутривенные инфузии с плазмозаменителями и др. Для укрепления защитных сил организма в программу лечения вводят поливитаминные комплексы, адаптогены, иммуномодуляторы.
Прогноз и профилактика
При отсутствии осложнений прогноз для жизни и здоровья пациента благоприятный. Образовавшиеся язвы на тканях миндалин и прилегающих структурах заживают без формирования больших соединительнотканных дефектов. Длительность заболевания в большинстве случаев составляет от 7 до 21 дня, редко – до нескольких месяцев. Осложнения развиваются не более чем в 3-7% случаев, но характеризуются тяжелым течением.
Специфическая профилактика язвенно-пленчатой ангины не разработана. Неспецифические превентивные мероприятия включают соблюдение принципов личной гигиены при уходе за ротовой полостью, предотвращение иммунодефицитных состояний и их своевременное устранение, раннее лечение патологий соседних ЛОР-органов.
2. Ангины: диагностика и лечение/ Кунельская Н.Л., Туровский А.Б., Кудрявцева Ю.С.// Лечебное дело. – 2010 - №3.
3. Дифференциальная диагностика тонзиллитов у детей: учебно-методическое пособие/ Астапов А.А., Кудин А.П., Галькевич Н.В. – 2017.
Язвенно-некротический стоматит Венсана ( "Окопный рот" , Язвенно-мембранозный стоматит )
Язвенно-некротический стоматит Венсана – это специфическое инфекционное поражение слизистой оболочки полости рта, вызываемое ассоциацией фузобактерий и спирохет. Пациенты указывают на появление во рту болезненных язв, ухудшение общего состояния, повышение температуры, головную боль, ломоту в мышцах. Постановка диагноза базируется на основе собранного анамнеза, результатов физикального осмотра, данных бактериоскопического и цитологического исследований соскобов с язвенных поверхностей. Основу лечения составляет местная этиотропная терапия. При тяжелом течении показано применение антибиотиков, антипротозойных препаратов в таблетированном виде.
Язвенно-некротический стоматит Венсана («окопный рот», язвенно-мембранозный стоматит) – это воспалительно-деструктивное поражение слизистой оболочки полости рта, возникающие вследствие сенсибилизации организма фузоспириллярной ассоциацией. Клинически проявляется участками изъязвлений, некрозом слизистой. В 1895 году инфекционную природу заболевания подтвердил французский эпидемиолог и бактериолог Венсан. Основную группу пациентов составляют мужчины молодого возраста (от 20 до 30 лет). Чаще всего заболевание диагностируют с октября по декабрь.
Язвенно-некротический стоматит Венсана является самостоятельной нозологической единицей. Но в стоматологии также встречаются и язвенно-некротические изменения слизистой вторичного, симптоматического характера при болезнях крови, иммунодефицитных состояниях.
Заболевание возникает при активизации ассоциации, состоящей из сапрофитных бактерий - веретенообразной палочки и боррелии Венсана. Эти микроорганизмы выявляют у здоровых людей в интерпроксимальных (межзубных) промежутках, в толще корневых каналов, в миндалинах. Развивается язвенно-некротический стоматит Венсана на фоне подавленного иммунитета. Перенесенные операции, стрессовые ситуации, частые инфекционные болезни – все эти факторы снижают резистентность организма, открывая ворота для перехода условно-патогенных микробов в патогенную форму. Местные факторы риска:
- Неудовлетворительный индекс гигиены способствует возникновению заболевания, так как зубные отложения являются благоприятной средой для размножения анаэробной микрофлоры.
- Травмирование слизистой острыми стенками разрушенных зубов, несостоятельными реставрациями, ребристыми элементами ортопедических или ортодонтических конструкций выступает пусковым механизмом в развитии язвенно-некротического стоматита Венсана.
- Прорезывание восьмого зуба также может спровоцировать начало воспалительного процесса.
На патогенетическом уровне язвенно-некротический стоматит Венсана протекает по типу феномена Артюса. Подавленный иммунитет, сниженная защитная функция слизистой способствуют активному размножению анаэробных микроорганизмов. Вследствие инвазии бактерий вглубь соединительной ткани проявляются признаки гингивита.
При длительном течении воспалительного процесса в патологическом очаге наряду с колониями микроорганизмов выявляют высокую концентрацию факторов иммунной защиты. Плазматические клетки продуцируют IgG и IgM, под воздействием которых происходит активизация системы комплемента. Образование комплекса антиген-антитело дает начало запуску иммуннокомплексной реакции 3 типа: развивается поверхностное повреждение стенок сосудов, снижается скорость кровотока, что создает благоприятные условия для тромбообразования. Блокировка кровяным сгустком просвета кровеносных сосудов приводит к ишемии тканей с последующим развитием некроза.
Язвенно-некротический стоматит Венсана разделяют по характеру течения на острый, подострый и хронический. Также выделяют легкую, средней тяжести и тяжелую формы заболевания. Течение язвенно-некротического стоматита Венсана включает начальный период, фазу разгара и стадию разрешения. Все начинается с легкого недомогания. Параллельно в полости рта появляются признаки гингивита: гиперемия, кровоточивость десен. Далее выраженность симптоматики нарастает. Больные жалуются на резкое снижение работоспособности, вялость, потерю аппетита, бессонницу. На слизистой оболочке рта возникают болезненные изъязвления, покрытые сверху наслоениями желтого цвета. В течение последующих 3-4 дней налет приобретает серо-зеленый оттенок.
Некротизированные ткани плотно спаяны с подлежащей поверхностью, при попытке их удаления обнажается кровоточащая рана. Наиболее часто язвенный стоматит выявляют в зоне нижней челюсти позади моляров, на щеках по линии смыкания зубов, на боковых участках языка. У пациентов отмечается гиперсаливация.
- Легкая форма язвенно-некротического стоматита Венсана характеризуется ограниченным участком поражения. Заболевание протекает без нарушения общего состояния.
- При средней тяжести снижается работоспособность, повышается температура тела. Местно язвенный стоматит прогрессирует, увеличивается как площадь, так и глубина поражения.
- Для тяжелой формы характерна выраженная клиника. Дно изъязвлений находится в толще мышечного слоя.
Хронический язвенно-некротический стоматит Венсана протекает вяло. Изъязвления покрыты незначительным налетом серого цвета. В пораженных участках наблюдается деструкция кости. На месте язв формируются рубцы.
При отсутствии лечения патологический очаг может распространиться и на костную ткань, инициируя появление остеомиелита альвеолярного отростка. При локализации язвенно-некротического стоматита Венсана в ретромолярной области возникает тризм. Вследствие вовлечения в воспалительный процесс жевательных мышц пациенты не могут открыть рот. При переходе зоны некроза на миндалины развивается ангина Симановского- Плаута-Венсана.
Постановка диагноза «язвенно-некротический стоматит Венсана» базируется на основе данных клинического осмотра и результатов лабораторной диагностики. Во время физикального обследования врач-стоматолог выявляет на слизистой оболочке ротовой полости одиночные или множественные язвенно-некротические поражения. Края изъязвлений неровные, рваные. Дно гиперемированное, отечное, покрыто толстым слоем серо-зеленого налета. При пальпаторном исследовании выявляют увеличенные, болезненные, уплотненные лимфатические узлы, подвижность которых сохранена.
Изменения в анализе крови характерны для воспалительного процесса: повышается число лейкоцитов, растет СОЭ, лейкоцитарная формула смещается влево. С помощью бактериоскопического исследования удается выявить в поверхностном слое слизистой, наряду с резидентными микроорганизмами, увеличенное количество боррелий Венсана, фузобактерий. Глубокий слой содержит только чистую культуру фузоспириллярного симбиоза. В период разрешения заболевания количество анаэробных микроорганизмов падает.
Цитологический анализ подтверждает наличие картины неспецифического воспаления. В начальном периоде язвенно-некротического стоматита Венсана в исследуемом материале выявляют увеличенное число нейтрофилов в фазе распада. Позже преобладают гистиоциты, фагоцитирующие нейтрофилы.
Для исключения симптоматического стоматита при проведении дифференциальной диагностики может возникнуть необходимость в консультации узких специалистов: гастроэнтеролога, гематолога, инфекциониста, дерматовенеролога. Язвенно-некротический стоматит Венсана дифференцируют с:
- медикаментозным стоматитом,
- распадающейся злокачественной опухолью,
- стоматитом аллергической природы,
- вторичными проявлениями в полости рта при сифилисе, заболеваниях крови, СПИДе, отравлении солями тяжелых металлов (висмутом, свинцом, ртутью), нарушении функционирования органов ЖКТ.
Лечение язвенно-некротического стоматита Венсана
Основу лечения составляет местная терапия. Во время фазы гидратации показано применение местных анестетиков (лидокаин, анестезин). Пролонгированный анальгезирующий эффект достигается и за счет использования аппликаций геля, содержащего холина салицилат и цеталкония хлорид. Для антисептической обработки при язвенно-некротическом стоматите Венсана назначают препараты, обладающие антипротозойным (метронидазол, диоксидин), противомикробным (гентамицин) и протеолитическим (террилитин) действиями.
Очищение язвенных участков проводится с помощью хирургического инструментария под постоянным орошением слизистой антисептическими и некролитическими средствами. Также при язвенно-некротическом стоматите Венсана широко применяют сорбенты. В фазе разрешения показаны кератопластики, действие которых направлено на ускорение восстановительных процессов (например, масло облепихи). На этапе эпителизации проводят санацию полости рта.
Общее этиотропное лечение язвенно-некротического стоматита Венсана включает применение антибиотиков (полусинтетические пенициллины, цефалоспорины), антипротозойных препаратов. В качестве патогенетической терапии используют нестероидные противовоспалительные средства (ибупрофен), антигистаминные препараты. Для симптоматического лечения назначают анальгетики, жаропонижающие и регидратационные медикаментозные средства.
При своевременном выявлении и комплексном лечении язвенно-некротического стоматита Венсана удается полностью купировать воспалительный процесс. Отсутствие квалифицированной терапии приводит к тяжелым последствиям: деструкции кости, ретракции десен, развитию остеомиелита. Профилактические меры направлены на своевременное проведение стоматологических мероприятий, нацеленных на минимизацию рисков развития инфекционного процесса (профессиональная гигиана полости рта, коррекция ортопедических и ортодонтических конструкций и пр.)
Ангина
Ангина - это инфекционно–аллергический процесс, локальные изменения при котором затрагивают глоточное лимфоидное кольцо, чаще всего небные миндалины. Течение ангины характеризуется повышением температуры тела, общеинтоксикационным синдромом, болью в горле при глотании, увеличением и болезненностью шейных лимфоузлов. При осмотре выявляется гиперемия и гипертрофия миндалин и небных дужек, иногда – гнойный налет. Ангина диагностируется отоларингологом на основании данных фарингоскопии и бактериологического посева из зева. При ангине показано местное лечение (полоскание горла, промывание лакун, обработка миндалин препаратами), антибиотикотерапия, физиотерапия.
Ангина – группа острых инфекционных заболеваний, которые сопровождаются воспалением одной или нескольких миндалин глоточного кольца. Как правило, поражаются нёбные миндалины. Реже воспаление развивается в носоглоточной, гортанной или язычной миндалинах. По распространенности ангина находится на втором месте после ОРВИ. Чаще развивается весной и осенью. Поражает преимущественно детей и взрослых в возрасте до 35 лет.
Причины ангины
Возбудители болезни проникают в ткань миндалин извне (экзогенное инфицирование) или изнутри (эндогенное инфицирование). От человека человеку ангина передается воздушно-капельным или алиментарным (пищевым) путем. При эндогенном инфицировании микробы попадают в миндалины из кариозных зубов, придаточных пазух (при синуситах) или носовой полости. При ослаблении иммунитета ангина может вызываться бактериями и вирусами, которые постоянно присутствуют на слизистой рта и глотки.
Около 85% всех первичных ангин вызвано ß-гемолитическим стрептококком группы А. В остальных случаях в качестве возбудителя выступает пневмококк, золотистый стафилококк или смешанная флора. Обычно передается воздушно-капельным путем. Вероятность возникновения ангины увеличивается при общем и местном переохлаждении, снижении иммунитета, гиповитаминозах, нарушениях носового дыхания, повышенной сухости воздуха, после перенесенного ОРВИ.
Общие симптомы ангины обусловлены проникновением в кровь продуктов жизнедеятельности микробов. Микробные токсины могут стать причиной токсического поражения сердечно-сосудистой и нервной системы, спровоцировать развитие гломерулонефрита и ревматизма. Риск возникновения осложнений увеличивается при частых рецидивах стрептококковой ангины.
Классификация
- Первичная ангина (другие названия – банальная, простая или обычная ангина). Острое воспалительное заболевание бактериальной природы. Характерны признаки общей инфекции и симптомы поражения лимфоидной ткани глоточного кольца.
- Вторичная ангина (симптоматическая ангина). Является одним из проявлений другого заболевания. Поражением миндалин могут сопровождаться некоторые острые инфекционные болезни (инфекционный мононуклеоз, дифтерия, скарлатина), заболевания системы крови (лейкоз, алиментарно-токсическая алейкия, агранулоцитоз).
- Специфическая ангина. Заболевание вызывается специфическим инфекционным агентом (грибки, спирохета и т. д.).
В зависимости от глубины и характера поражения лимфоидной ткани глоточного кольца выделяют катаральную, лакунарную, фолликулярную и некротическую первичную ангину, в зависимости от степени тяжести – легкую, средней степени тяжести и тяжелую форму ангины.
Симптомы ангины
Простая ангина
Продолжительность инкубационного периода колеблется от 12 часов до 3 суток. Характерно острое начало с гипертермией, ознобами, болями при глотании, увеличением лимфатических узлов.
При катаральной ангине наблюдается субфебрилитет, умеренная общая интоксикация, неярко выраженные признаки воспаления по анализам крови. При фарингоскопии выявляется разлитая яркая гиперемия задней стенки глотки, твердого и мягкого нёба. Катаральная ангина продолжается в течение 1-2 суток. Исходом может быть выздоровление или переход в другую форму ангины (фолликулярную или катаральную).
Для фолликулярной и лакунарной ангины характерна более выраженная интоксикация. Пациенты предъявляют жалобы на головную боль, общую слабость, боли в суставах, мышцах и области сердца. Отмечается гипертермия до 39-40С. Для некротической ангины характерна выраженная интоксикация. Наблюдается стойкая лихорадка, спутанность сознания, повторная рвота.
Кандидозная (грибковая) ангина
Вызывается дрожжеподобными грибами рода Candida albicans. В последние годы наблюдается рост числа случаев кандидозной ангины, обусловленный широким применением глюкокортикоидов и антибиотиков. Грибковая ангина, как правило, развивается на фоне другого заболевания после длительных курсов антибиотикотерапии.
Общая симптоматика не выражена или выражена слабо. При фарингоскопическом исследовании выявляются точечные белые или желтоватые наложения на миндалинах, иногда распространяющиеся на слизистую оболочку щек и языка. Налет легко снимается.
Ангина Симановского-Плаута-Венсана
Язвенно-пленчатая ангина развивается при хронических интоксикациях, истощении, гиповитаминозах, иммунодефицитах. Вызывается представителями сапрофитной флоры полости рта – находящимися в симбиозе спирохетой Венсана и палочкой Плаута-Венсана.
Общая симптоматика не выражена или выражена слабо. Обычно поражается одна миндалина. На ее поверхности образуются поверхностные язвы, покрытые серо-зеленым налетом с гнилостным запахом. При удалении налета миндалина кровоточит. После отторжения некротизированного участка образуется глубокая язва, которая в последующем заживает без образования дефекта.
Ранние осложнения ангины (отит, лимфаденит регионарных лимфатических узлов, синуситы, паратонзиллярный абсцесс, перитонзиллит) возникают во время болезни при распространении воспаления на близко расположенные органы и ткани. Поздние осложнения ангины инфекционно-аллергического генеза (гломерулонефрит, ревмокардит, суставной ревматизм) развиваются через 3-4 недели после начала заболевания.
Диагноз основывается на симптомах заболевания и данных фарингоскопии:
- При фарингоскопическом осмотре пациента с лакунарной ангиной выявляется выраженная гиперемия, расширение лакун, отек и инфильтрация миндалин. Гнойный налет распространяется за пределы лакун и образует рыхлый налет на поверхности миндалины. Налет имеет вид пленки или отдельных мелких очагов, не распространяется за пределы миндалины, легко удаляется. При удалении налета ткань миндалины не кровоточит.
- При фолликулярной ангине на фарингоскопии выявляется гипертрофия и выраженный отек миндалин, так называемая картина «звездного неба» (множественные бело-желтые нагноившиеся фолликулы). При самопроизвольном вскрытии фолликул образуется гнойный налет, который не распространяется за пределы миндалины.
- При некротической ангиневиден плотный серый или зеленовато-желтый налет с неровной, тусклой, изрытой поверхностью. При удалении налета ткань миндалины кровоточит. После отторжения участков некроза остаются дефекты ткани неправильной формы диаметром 1-2 см. Возможно распространение некроза за пределы миндалины на заднюю стенку глотки, язычок и дужки.
В общем анализе крови определяется лейкоцитоз со сдвигом влево, нейтрофилез, СОЭ увеличивается до 40-50 мм/ч. Для подтверждения природы инфекционного агента выполняется бактериологическое исследование слизи с миндалин и серологическое исследование крови. Диагноз грибковой ангины подтверждается результатами микологического исследования, язвенно-пленчатой ангины - микробиологического посева.
Лечение ангины
Лечение, как правило, амбулаторное. При тяжелой форме ангины показана госпитализация. Пациентам назначают щадящую диету, обильное питье, антибактериальные препараты (цефалоспорины, макролиды, сульфаниламиды). Курс лечения составляет 5-7 дней. Местно применяют орошение миндалин хлоргексидином, полоскания отварами трав и растворами антисептиков.
Лечение кандидозной ангины заключается в отмене антибиотиков, назначении антигрибковых препаратов, общеукрепляющей терапии, промывании миндалин. При ангине Симановского-Плаута-Венсана проводится общеукрепляющая терапия. Пораженные участки смазывают раствором борной кислоты или метиленового синего, назначают полоскания слабым раствором перманганата калия и перекиси водорода. При глубоких некрозах и длительном течении показана антибиотикотерапия.
2. Ангины: диагностика и лечение/ Н.Л. Кунельская, А.Б. Туровский, Ю.С. Кудрявцева// Лечебное дело. - 2010. - №3.
Язвенно-некротическая ангина

В наиболее запущенных случаях при некротической ангине мягкие ткани разрушаются вплоть до надкостницы, а инфекция распространяется на близлежащие участки – слизистую глотки, десны, евстахиеву трубу и т.д. Именно поэтому процесс отмирания тканей необходимо остановить как можно скорее.
Некроз может сопровождать ангину, вызванную различными возбудителями, но наиболее характерной является именно бактериальная инфекция. Поговорим о том, что представляет собой некротическая ангина – симптомы и лечение язвенного и гнойного тонзиллита, его причины и особенности течения.
Симптомы некротического воспаления
Некроз – это отмирание клеток организма, сопровождающееся воспалением. В отличие от апоптоза, некроз – патологический, неконтролируемый процесс. Именно поэтому в очаге, подверженному некротическому повреждению, концентрируются иммунные клетки – лейкоциты, поглощающие и переваривающие отмершие ткани и бактериальные клетки. Лейкоциты окрашивают гной в желтовато-белый цвет.
Присутствие зеленого оттенка – признак того, что в инфекционном процессе участвует анаэробные бактерии. Именно аэробные бактерии часто вызывают разложение тканей.
Гнойно-некротическая ангина сопровождается рядом симптомов, таких как:
- острая боль в горле;
- симптомы интоксикации – слабость, головная боль, тошнота;
- высокая температура тела;
- неприятный запах изо рта;
- увеличение и покраснение одной или обеих гланд;
- пятна грязно-желто-зеленоватого оттенка на миндалинах;
- очаги некротизации на слизистой (язвы, гнойники и т.п.).
Такие симптомы указывают на крайне тяжелое течение ангины. Больному требуется срочный осмотр врача. Возможно, потребуется госпитализация.
Некроз при банальных ангинах

Некроз может быть последствием неправильного лечения обыкновенной бактериальной ангины, вызванной стрептококком. В частности, отмиранию тканей способствует повреждение лимфаденоидной ткани. Например, механическое воздействие при попытке удалить с миндалин гнойный налет часто приводит к повреждению слизистой оболочки и распространению инфекции вглубь тканей. По той же причине не рекомендуется смазывать миндалины лекарственными препаратами с помощью ватных или бинтовых тампонов. Наиболее безопасно использовать лекарства в виде спреев и таблеток для рассасывания.
Отмиранию клеток способствует воздействие агрессивных химических веществ.
Те, кто советует лечить ангину керосином, концентрированным раствором марганцовки и т.д. должны подумать о последствиях таких рекомендаций.
Также довольно часто люди усугубляют течение ангины, используя для полоскания горла слишком горячие растворы. Гангренозный участок миндалин, образовавшийся в результате термического повреждения сосудов, со временем отмирает, что и вызывает развитие некротического воспаления. Помните – раствор должен быть теплым, комфортной температуры.
Абсцесс миндалины
Абсцесс миндалины – довольно редкое гнойное осложнение бактериальной ангины. Абсцессом называют скопление гноя, причиной которого является острый инфекционный процесс. Он может возникать при фолликулярной или лакунарной ангине. На третий-четвертый день болезни больной замечает значительное увеличение размеров одной гланды, усиление боли в горле. В течение нескольких дней абсцесс растет, а затем самопроизвольно вскрывается. После этого температура тела быстро опускается до нормального уровня, исчезает головная боль, тошнота и другие симптомы интоксикации. Антисептическая обработка горла ускоряет выздоровление.
В некоторых случаях абсцесс вызывает сильное увеличение миндалины, в результате чего больному становится тяжело разговаривать и даже дышать. В таком случае показано хирургическое вскрытие гнойника.
После удаления гноя больному показана антибактериальная терапия в течение 7-10 суток для предотвращения распространения инфекции и рецидивов.
Язвенно-пленчатый некротический тонзиллит
Ангина Симановского-Плаута-Венсана, известная также как язвенно некротическая ангина – особый тип воспаления миндалин, обусловленный инфицированием лимфаденоидной ткани спирохетой и веретенообразной палочкой. Данные микроорганизмы являются условно-патогенными, т.е. они способны нанести вред здоровью лишь в определенных условиях. Ключевым фактором в развитии язвенно-пленчатого тонзиллита является состояние иммунитета больного. Так, развитию инфекции способствуют следующие факторы:
- прием иммуносупрессоров (например, гормональных противовоспалительных средств, цитостатиков и т.п.);
- перенесение тяжелой инфекционной болезни – гриппа, дифтерии, стрептококковой ангины и др.;
- хронические инфекционные заболевания;
- наличие кариеса;
- голодание, скудное питание, дефицит витаминов;
- сильное переохлаждение;
- частый контакт с токсическими веществами;
- лучевая болезнь.
Развитие язвенно-пленчатого тонзиллита является сигналом о том, что иммунная система человека по тем или иным причинам сильно ослаблена.

Как же проявляется ангина Симановского-Плаута-Венсана? На самом деле ее симптомы настолько специфичны, что их сложно спутать с любым другим типом воспаления миндалин:
- чаще наблюдается одностороннее поражение миндалин;
- миндалина значительно увеличивается в размерах;
- налет на миндалине имеет желтовато-серый цвет, зачастую с зеленым оттенком;
- налет рыхлый, легко сдвигается, обнажая кровоточащие язвы с неровным краем;
- характерный гнилостный запах изо рта;
- умеренная боль при глотании;
- температура тела чаще всего субфебрильная (37-37,5 С).
Лечение гнойно-некротического тонзиллита
Ангина Венсана развивается у людей со сниженным иммунитетом, поэтому в первую очередь необходимо обратить внимание на условия проживания больного и его питание. Полноценный отдых, здоровый сон, поступление витаминов и питательных веществ повышает сопротивляемость организма к инфекциям. Не лишним будет употребление иммуномодуляторов, например, настойки эхинацеи.
Большая роль отводится местному лечению. Горло следует полоскать антисептическими средствами каждые 2-3 часа. Для полоскания горла активно используются раствор нитрита серебра 10%, водный раствор перекиси водорода (2 столовые ложки на стакан воды), 0,1% водный раствор марганцовки. После полоскания миндалину следует обработать лекарственным средством в виде спрея или мази, например, раствором Люголя, настойкой хлорфилипта, 10% глицериновым раствором новарсенола.
Антибиотики назначаются только в том случае, если местное лечение и диета не дают положительного эффекта. Возбудители болезни чувствительны к большинству распространенных антибиотиков. Препаратами первого выбора являются пенициллины – Амоксицилин, Оспен и другие.
Язвенно-пленочный тонзиллит отступает на 3-4 сутки приема антибиотиков. Для предотвращения рецидива прием следует продолжать в течение 3-5 дней после исчезновения симптомов болезни.
Язвенно-пленчатая ангина

Во-первых, у больного может не повышаться температура тела (в то время как при стрептококковой ангине это один из ключевых симптомов), а во вторых – обычно поражена одна миндалина. К тому же, внешне пораженная миндалина выглядит иначе, чем при привычном для многих людей простудном тонзиллите.
Столкнувшись с таким необычным видом ангины, не стоит паниковать – при своевременном вмешательстве она хорошо поддается лечению. Мы расскажем всё об этом заболевании – каковы его симптомы, в чем заключается опасность этого состояния, а главное – какие меры следует предпринять, чтобы побороть болезнь.
Симптомы язвенно-пленчатого тонзиллита
Какие симптомы указывают на то, что у человека развивается язвенно пленчатая ангина? Во-первых, данная болезнь может иметь 2 формы – язвенную и ложнопленчатую (что отражается в ее названии). При ложнопленчатой форме на поверхности миндалины появляется налет в виде пленки, напоминающий поражение горла при дифтерии. По этой причине пленчатый тонзиллит иногда также называют дифтероидным. При язвенной формепоражение миндалины имеет вид язвы, покрытой рыхлым грязно-белым налетом.
В остальном ангина Венсана обеих форм (язвенной и пленчатой), имеет аналогичные проявления:
- умеренная (реже – сильная) боль при глотании, жевании пищи;
- нормальная или повышенная до субфебрильных значений температура тела (от 36,6С до 37-37,5 С);
- отек одной из миндалин;
- язвы на поверхности пораженной миндалины округлые, с серым дном и ровным краем;
- язвы покрыты налетом грязно-белого или желтоватого цвета, рыхлой консистенции (при дифтероидной форме налет выглядит плотным, пленкообразным, но легко снимается при касании ватным тампоном);
- прикасание к поверхности язв малоболезненно;
- в запущенных случаях язвы и налет распространяются на небо, десна, паратонзиллярную область;
- увеличение и болезненность переднешейных лимфатических узлов со стороны пораженной миндалины;
- неприятный запах изо рта;
- повышенное слюноотделение;
- удовлетворительное общее состояние больного.
Характерные особенности язвенно-пленчатого тонзиллита – поражение одной миндалины, наличие малоболезненных язв на их поверхности, нормальная температура тела – имеют наибольшую диагностическую ценность.

Причины и возбудители болезни
Какие микроорганизмы вызывают развитие язвенно-пленчатой ангины? Известно, что образование язв вызвано взаимодействием двух бактерий – веретенообразной палочки Плаута-Венсана и спирохеты Венсана. Интересно, что оба эти микроорганизма могут обитать в микрофлоре полости рта здоровых людей в незначительных количествах. Но почему же у них не развивается болезнь?
Ангина Симановского-Венсана является редким заболеванием, так как в ее развитии в большей мере играют роль не внешние факторы, а внутренние – состояние иммунной системы, резистентность, состав микрофлоры верхних дыхательных путей и другие. Именно поэтому данное заболевание никогда не вызывает эпидемии и даже локальные вспышки инфекции.
Если в организм здорового человека попадут возбудители язвенно-пленчатого тонзиллита, иммунная система не допустит развития симптомов болезни.
Факторами риска развития ангины Венсана являются следующие состояния:
- стоматит;
- наличие кариозных зубов;
- хронические инфекции верхних дыхательных путей;
- восстановительный период после перенесения тяжелых заболеваний (гриппа, стрептококковой ангины, дифтерии и других);
- лучевая болезнь;
- снижение иммунитета, в т.ч. иммунодефицит;
- недостаток витаминов, скудное питание;
- прием иммуносупрессивных препаратов.
Развитие симптомов язвенно-пленочного тонзиллита является сигналом о нарушении работы иммунной системы организма. Необходимо проконсультироваться со специалистом.
Опасна ли ангина Венсана?
Несмотря на то, что язвенно-пленочный тонзиллит в целом не нарушает самочувствие и нормальную жизнедеятельность, он требует неотложного лечения. В запущенных случаях язвы распространяются на внутреннюю поверхность щек, язык, глотку. Некротический процесс может углубляться, в результате чего слизистая разрушается вплоть до надкостницы.
В большинстве случаев язвенно пленчатая ангина хорошо поддается лечению. Более того, при среднетяжелом течении для выздоровления достаточно местной терапии – полоскания горла, орошения пораженной миндалины лекарственными средствами и т.д.. Антибиотикотерапия показана в исключительных случаях.
Что касается контагиозности, язвенно-пленчатый тонзиллит считается малозаразным заболеванием.
При контакте с больным вероятность заразиться низкая, так как сам факт попадания веретенообразной палочки Плаута-Венсана и спирохеты Венсана в ротовую полость в большинстве случаев не провоцирует развитие болезни.
Тем не менее, рекомендуется выделить больному отдельную посуду, полотенце и т.п. Так как в развитии заболевания большую роль играет состояние иммунитета, люди с ослабленной иммунной системой должны ограничить контакт с человеком, страдающим от ангины Венсана, вплоть до полного исчезновения симптомов у больного.
Местное лечение

Лечение язвенно-пленчатого тонзиллита должен назначать врач отоларинголог. В терапии большое внимание уделяется именно местному лечению. Так, пациенту могут быть назначены:
- обработка миндалины 10% раствором нитрата серебра;
- полоскание 10% раствором медного купороса;
- смазывание 10% раствором новарсенола на глицерине;
- смазывание раствором Люголя;
- полоскание горла раствором перекиси водорода (2 столовые ложки на стакан воды);
- полоскание 0,1% р-ром калия перманганата.
Полоскания можно проводить несколько раз в день, обязательно после каждого приема пищи и перед сном. После полоскания обычно наносят антисептическое средство. Удобнее и безопаснее использовать антисептики в форме спрея. Если же лекарственное средство имеет форму мази, необходимо соблюдать меры предосторожности при их применении.
Наносить мазь на миндалину следует аккуратно, стараясь не повредить воспаленные ткани, чтобы не вызвать углубление инфекции.
При соблюдении рекомендаций врача язвенно пленчатая ангина проходит в течение 7-10 суток. Если симптомы болезни не исчезают, врач назначает антибиотик общего действия.
Нужны ли антибиотики?
Ангина симановского плаута венсана обычно хорошо поддается местному лечению, однако если инфекция имеет затяжной характер, назначение антибактериальных препаратов необходимо. Также курс антибиотикотерапии назначают в том случае, если язвы распространяются на соседние участки слизистой, или же некротизация затрагивает глубокие слои мягких тканей.

Возбудители болезни имеют высокую чувствительность к наиболее распространенным группам антибиотиков – пенициллинам, цефалоспоринам и макролидам. С группы пенициллинов часто применяется Амоксициллин, Оспен и др. При склонности к аллергии на пенициллины показано назначение макролидов (Кларитромицин и др.) или же цефалоспоринов (Цефазолин, Цефалексин и др.). Врач подберет наиболее подходящий антибиотик, рассчитает дозировку, кратность приема и длительность курса лечения. Необходимо точно соблюдать данные назначения – от этого зависит успех лечения и отсутствие осложнений в будущем.
Нарушение кратности приема, дозировки или длительности курса лечения может спровоцировать развитие устойчивости к антибиотику у бактерий.
Ангина симановского плаута венсана быстро купируется при приеме антибиотиков – уже на вторые-третьи сутки лечения больной замечает значительное улучшение. При этом для предотвращения рецидива болезни и развития устойчивости прием препарата следует продолжать в течение 3-5 дней после исчезновения симптомов болезни.
Роль укрепления иммунитета
Общее укрепление иммунитета играет ключевую роль как в профилактике язвенно-пленчатого тонзиллита, так и в его лечении.
Особого внимания заслуживает диета. Известно, что дефицит витаминов существенно увеличивает риск развития ангины симановского; в частности, большую роль играет нехватка витамина С. Это объясняется тем, что витамин С увеличивает устойчивость организма к инфекциям, ускоряет процессы заживления, уменьшает воспаление. Данный витамин содержится в большом количестве в разнообразных фруктах и зелени. Им богаты цитрусовые, смородина, малина, капуста (белокочанная, цветная, брокколи и др.), помидоры, яблоки и многие другие продукты растительного происхождения. Во время лечения следует отдать предпочтение мягким некислым плодам, чтобы не раздражать воспаленную слизистую.
Также важно постоянное поступление в организм растительных масел, белков животного и растительного происхождения (творог, бобы, мясо, рыба, яйца и т.д).
Большую роль играют также факторы среды – влажность и чистота воздуха, температура и т.д. Известно, что язвенно-пленчатая ангина чаще развивается у лиц, проживающих или работающих в неблагоприятных условиях.
Язвенно пленчатая ангина – местная патология, свидетельствующая об общих нарушениях работы иммунной системы. Она является сигналом о том, что организм ослаблен и требует общего оздоровления.
Читайте также:
