Симптомы гемангиомы слюнной железы и ее лечение
Добавил пользователь Владимир З. Обновлено: 10.01.2026
Информацию из данного раздела нельзя использовать для самодиагностики и самолечения. В случае боли или иного обострения заболевания диагностические исследования должен назначать только лечащий врач. Для постановки диагноза и правильного назначения лечения следует обращаться к Вашему лечащему врачу.
Гемангиома: причины появления, симптомы, диагностика и способы лечения.
Определение
Гемангиомой называют гиперплазию сосудов (разрастание клеток сосудистой стенки) – заболевание, которое классифицируется как доброкачественная опухоль (доброкачественное новообразование) и может быть как врожденным, так и появиться в течение нескольких месяцев после рождения ребенка.
Гемангиома кожи у взрослых встречается, но не часто, так как большинство опухолей самостоятельно рассасываются еще в детском возрасте. Если похожее новообразование появилось на коже взрослого человека, где до этого не было никаких поверхностных дефектов, то такая опухоль требует тщательной диагностики.
Если в детстве гемангиома выражена слабо (в виде ссадины или небольшого пятнышка), то во взрослом возрасте под действие определенных факторов она может расти и увеличиваться.
Гемангиомы формируются, как правило, на коже головы, лица, шеи и реже – на туловище и конечностях. Излюбленными локациями на внутренних органах являются печень, кости, легкие.
Гемангиомы кожи чаще представляют собой одиночные новообразования, но бывают исключения. Замечено: если гемангиом на видимых участках тела больше пяти, высока вероятность того, что есть и гемангиома внутренних органов.
Причины появления гемангиом
Причины появления гемангиом до конца не изучены. Согласно одной из теорий, разросшиеся клетки эндотелия могут быть остаточными эмбриональными клетками. Другое предположение заключается в том, что гемангиома начинает расти внутриутробно в условиях хронического недостатка кислорода. Возможно, формирование опухоли могут провоцировать острые инфекции, в том числе респираторно-вирусные, если таковые были у матери в первом триместре беременности. Это лишь теория, потому как гемангиомы возникают и у детей, родившихся от матерей с нормально протекавшей беременностью.
Угрозы выкидыша, предлежание плаценты (очень низкое расположение плаценты в матке, затрудняющее естественные роды), отслойка и воспаление плаценты, обвитие пуповины, преэклампсия (комплекс симптомов, включающий отеки, повышение артериального давления и выявление белка в анализе мочи), возраст матери (старше 38 лет) также являются факторами риска.
Классификация заболевания
Гемангиомы детского возраста подразделяют на врожденные и инфантильные (младенческие).
Нередко крупные гемангиомы можно увидеть во время ультразвукового скрининга. Новорожденный появляется с гемангиомой, которая впоследствии может самостоятельно в течение полутора лет уменьшиться в размере и исчезнуть (быстро инволюционирующая), уменьшиться, но не полностью исчезнуть (частично инволюционирующая) или не измениться совсем (не инволюционирующая). Если врожденная гемангиома растет, то только пропорционально росту ребенка. С равной частотой она встречается как у мальчиков, так и у девочек.

Инфантильная гемангиома
Предшествует такой гемангиоме участок измененной кожи или красное пятно. Рост гемангиомы может продолжаться до шести месяцев жизни ребенка. Затем наступает период остановки роста, он длится в среднем два месяца, а потом происходит фаза медленного уменьшения новообразования, которая может продолжаться до десяти лет.
Младенческая гемангиома встречается у девочек в пять раз чаще, чем у мальчиков.
Инфантильные гемангиомы могут располагаться на коже (простые капиллярные гемангиомы), под кожей (венозные и кавернозные гемангиомы) и быть комбинированными.

В зависимости от гистологического строения и от калибра сосудов гемангиомы подразделяют:
- на капиллярные,
- венозные,
- кавернозные,
- комбинированные.
Располагается на поверхности кожи и представляет собой густую сеть тесно переплетенных капилляров, выстланных клетками эндотелия. Эта форма встречается в 90-96% случаев, характерна интенсивным разрастанием новых сосудов и считается начальной стадией развития образования.
Образования представлены венами мелкого и среднего калибра. Таким гемангиомам свойственно разрастание вглубь кожи и над ее поверхностью.
Кавернозные, или пещеристые гемангиомы.
Кавернозное образование считается следующим этапом развития венозной формы гемангиомы. Оно состоит из полостей, ограниченных эндотелиальным слоем сосудов и разделенных перегородками. Такая гемангиома формируется в результате переполнения кровью неполноценных капилляров и разрыва их стенок с образованием полостей (каверн) и кровоизлияний (гематом). Кровь, находящаяся в этих полостях, из-за повышения коагуляционных свойств образует мелкие сгустки.
К этому виду гемангиом относят образования, имеющие признаки нескольких форм различной степени выраженности.
- Капиллярная, или поверхностная гемангиома кожи (винное пятно) склонна к разрастанию в окружающие ткани и представляет собой объемное эластичное образование от бледно-розового до насыщенного красного или бордового цвета, с неровными очертаниями, несколько возвышающееся над поверхностью кожи. При надавливании гемангиома бледнеет, но потом быстро принимает исходный вид. При локализации на затылке имеет название «укус аиста», при локализации на лбу - «поцелуй ангела».
Края гемангиомы говорят о стадии ее развития: ровный очерченный край наблюдается в фазе остановки роста и фазе уменьшения опухоли. Во время активного роста края размыты.
Небольшие гемангиомы внутренних органов зачастую никак себя не проявляют и случайно выявляются при проведении исследований, связанных с другими заболеваниями.
Для того чтобы гемангиома печени давала болевые ощущения, она должна достигать внушительных размеров – 5–10 см. Гемангиома позвоночника не вызывает никаких симптомов, если она находится внутри позвонка. Как только она затрагивает надкостницу (оболочку, покрывающую кость) или связки, появляется постоянная боль. Опухоль, сдавливающая корешки спинномозговых нервов, может привести к различным нарушениям чувствительности в конечностях.
Некоторые гемангиомы сразу вызывают симптомы, это объясняется особенностью расположения. Разрастаясь, они быстро нарушают функцию органа. К таким относят гемангиомы гортани, трахеи, опухоли глаз.
Диагностика гемангиомы
Диагностика гемангиомы начинается с опроса пациента и/или его представителей о течении заболевания, первых проявлениях, динамике событий. Затем проводят детальный осмотр сосудистого образования. В зависимости от симптомов и расположения гемангиомы может потребоваться углубленный осмотр узким специалистом (офтальмологом, оториноларингологом и т.д.).
Для уточнения размеров, глубины залегания, строения новообразования показано ультразвуковое исследование с изучением кровотока. Однако при некоторых гемангиомах оно может быть неинформативным.
Исследование мягких тканей для выявления патологических изменений и диагностики новообразований.
Доброкачественные опухоли полости рта
Доброкачественные опухоли полости рта — расположенные в полости рта новообразования, характеризующиеся отграниченным медленным ростом и не склонные к метастазированию. К доброкачественным опухолям полости рта относятся папилломы, миксомы, ретенционные кисты, железы Серра, фибромы, фиброматоз десен, миомы, гемангиомы, лимфангиомы. Диагностика опухолей полости рта осуществляется на основании данных осмотра, пальпации, рентгенологического исследования, ангиографии и гистологического исследования. Удаление опухолей полости рта возможно путем хирургического иссечения, электрокоагуляции, лазерной валоризации, криодеструкции, склерозирования сосудов или применения радиоволнового метода.
Общие сведения
Наиболее часто стоматология сталкивается с опухолями эпителиального происхождения, берущими свое начало из железистого, плоского или зубообразовательного эпителия. Возможно развитие опухоли полости рта из жировой ткани, мышечных волокон, соединительнотканных структур, нервных стволов и сосудов. В зависимости от расположения выделяют доброкачественные опухоли языка, внутренней поверхности щек, мягкого и твердого неба, подъязычной области, десен и губ.
Причины опухолей полости рта
Этиология и механизм развития опухолей полости рта пока не достаточно изучены. К факторам риска относятся употребление алкоголя, курение, острая травма (например, удаление зуба), хроническое травмирование слизистой рта краем сломанного зуба, плохо обработанной поверхностью пломбы, коронкой или зубным протезом. Наиболее высок риск возникновения опухоли полости рта при сочетании курения с приемом алкоголя. В развитии некоторых неопластических опухолей полости рта (папилломы, папилломатоз) ведущая роль отводится вирусной инфекции (вирус папилломы человека, вирус герпеса).
Опухоли полости рта, возникающие в детском возрасте, часто связаны с нарушениями дифференцировки тканей в период внутриутробного развития. К ним относятся дермоидные и ретенционные кисты, железы Серра, врожденные невусы. Как правило, эти новообразования выявляются в течение первого года жизни.
Эпителиальные опухоли полости рта
Папилломы. Опухоли полости рта, состоящие из клеток многослойного плоского эпителия. Локализуются чаще всего на губах, языке, мягком и твердом небе. Папилломы полости рта представляют собой округлый выступ над поверхностью слизистой. Могут иметь гладкую поверхность, но чаще покрыты сосочковыми разрастаниями по типу цветной капусты. Обычно наблюдаются единичные папилломы, реже — множественные. Со временем эти опухоли полости рта покрываются ороговевающим эпителием, за счет чего приобретают белесоватую окраску и шероховатую поверхность.
Невусы. В полости рта невусы наблюдаются в редких случаях. Они чаще бывают выпуклыми и имеют различную степень пигментации от бледно-розового цвета до коричневого. Среди опухолей ротовой полости встречаются голубой невус, папилломатозный невус, невус Ота и другие. Некоторые из них могут озлокачествляться с развитием меланомы.
Железы Серра. Обычно этот вид опухолей полости рта располагается в области альвеолярного отростка или твердого неба. Железы Серра представляют собой полушаровидные образования желтоватого цвета размером до 0,1 см и плотной консистенции. Могут иметь множественный характер. Обычно к концу первого года жизни ребенка отмечается самопроизвольное исчезновение этих образований.
Соединительнотканные опухоли полости рта
Фибромы. Наиболее часто фибромы полости рта встречаются в области нижней губы, языка и на небе. Имеют вид гладкого овального или округлого образования, в отдельных случаях расположенного на ножке. Цвет этих опухолей полости рта не отличается от окраски окружающей их слизистой.
Фиброматоз десен. Не все авторы относят фиброматоз десен к опухолям полости рта, некоторые считают, что в его основе лежат изменения воспалительного характера. Фиброматозные разрастания — безболезненные плотные образования. Они могут носить локальный характер в пределах нескольких зубов и диффузный, захватывая весь альвеолярный отросток как нижней, так и верхней челюсти. Опухолевые разрастания при фиброматозе локализуются в сосочках десен и могут быть настолько выражены, что полностью закрывают коронки зубов. Этот вид опухоли полости рта требуют дифференциации от гиперпластического гингивита.
Миомы. Развиваются из мышечной ткани. Рабдомиомы образуются из волокон поперечно-полосатой мускулатуры. Чаще всего наблюдаются в виде единичных узловых образований в толще языка. Лейомиомы развиваются из гладкомышечных волокон и обычно локализуются на небе. Миобластомы (опухоль Абрикосова) являются результатом дисэмбриогенеза и диагностируются у детей до года. Они представляют собой округлую опухоль полости рта размером до 1 см, покрытую эпителием и имеющую блестящую поверхность.
Миксомы. Эти опухоли полости рта могут иметь округлую, сосочковую или бугристую поверхность. Располагаются в области твердого неба или альвеолярного отростка.
Пиогенная гранулема. Развивается из слизистой или соединительнотканных элементов ротовой полости. Часто наблюдается после травмирования слизистой оболочки щек, губ или языка. Пиогенная гранулема имеет сходство с богато кровоснабжающейся грануляционной тканью. Отличается быстрым увеличением размеров до 2 см в диаметре, темно-красной окраской и кровоточивостью при прикосновении.
Эпулисы. Доброкачественные опухоли полости рта, расположенные на десне. Могут произрастать из глубоких слоев десны, надкостницы, тканей периодонта. Наиболее часто эпулис встречается в области передних зубов. Классифицируются на фиброзные, гигантоклеточные и ангиоматозные образования.
Невриномы. Образуются в результате разрастания клеток шванновской оболочки нервных волокон. Достигают в диаметре 1 см. Имеют капсулу. Невриномы являются практически единственными опухолями полости рта, при пальпации которых может отмечаться болезненность.
Сосудистые опухоли полости рта
Гемангиомы. Самые распространенные опухоли полости рта. В 90% случаев гемангиомы диагностируются сразу или в ближайшее время после рождения ребенка. Бывают простыми (капиллярными), кавернозными, капиллярно-кавернозными и смешанными. Отличительной особенностью этих опухолей полости рта является их побледнение или уменьшение в размерах при надавливании. Травмирование гемангиом часто приводит к кровоточивости.
Лимфангиомы. Возникают в результате нарушений эмбриогенеза лимфатической системы и выявляются обычно у новорожденных. Характеризуются образованием ограниченной или диффузной припухлости в полости рта. Среди опухолей полости рта различают кавернозные, кистозные, капиллярно-кавернозные и кистозно-кавернозные лимфангиомы. Эти опухоли полости рта склонны к воспалению, которое часто бывает связано с травмой слизистой рта или обострением какого-либо хронического воспалительного заболевания носоглотки: пульпита, периодотита, хронического тонзиллита, гайморита и пр. Отдельные авторы указывают также на связь рецидивирующего воспалительного процесса в лимфангиоме с обострениями хронического гастрита, дуоденита или колита.
Диагностика опухолей полости рта
Опухоли полости рта небольшого размера могут быть диагностированы стоматологом случайно при проведении профилактического осмотра, в ходе лечения кариеса и других стоматологических манипуляций. Точное определение вида опухоли возможно только после гистологического изучения ее структуры. Подобное исследование может проводится на материале, взятом в ходе биопсии опухоли или после ее удаления.
Для определения глубины прорастания опухоли полости рта применяется УЗИ образования, для оценки состояния костных структур — рентгенологическое исследование. При фиброматозе десен проводится ортопантомограмма, на которой часто выявляются участки деструкции альвеолярного отростка. В диагностике сосудистых опухолей нередко используют ангиографию.
Лечение опухолей полости рта
Затруднение речи и пережевывания пищи при наличии опухоли полости рта, постоянная травматизация новообразований этой локализации, а также вероятность их малигнизации — все это является поводом для активной хирургической тактики. В зависимости от вида опухоли полости рта возможно применение электрокоагуляции, удаления лазером, криодеструкции, радиоволнового метода, хирургического иссечения, склеротерапии.
Удаление опухолей полости рта диффузного характера проводится в несколько этапов. Иссечение фиброматозных разрастаний производят вместе с надкостницей. Участки разрушенной костной ткани подвергаются обработке фрезой и коагуляции. Сосудистые опухоли полости рта могут быть склерозированны путем введения склерозирующих веществ непосредственно в сосуды опухоли.
Опухоли слюнных желёз
Опухоли слюнных желез – различные по своему морфологическому строению новообразования малых и больших слюнных желез. Доброкачественные опухоли слюнных желез развиваются медленно и практически не дают клинических проявлений; злокачественные новообразования отличаются быстрым ростом и метастазированием, вызывают боли, изъязвление кожи над опухолью, паралич лицевой мускулатуры. Диагностика опухолей слюнных желез включает УЗИ, сиалографию, сиалосцинтиграфию, биопсию слюнных желез с цитологическим и морфологическим исследованием. Опухоли слюнных желез подлежат лечению хирургическим путем или комбинированному лечению.
Опухоли слюнных желез – доброкачественные, промежуточные и злокачественные новообразования, исходящие из малых или больших (околоушных, подчелюстных, подъязычных) слюнных желез или вторично поражающие их. Среди опухолевых процессов различных органов на долю опухолей слюнных желез приходится 0,5-1,5%. Опухоли слюнных желез могут развиваться в любом возрасте, однако наиболее часто возникают в возрасте 40-60 лет, в два раза чаще у женщин. Склонность опухолей слюнных желез к малигнизации, местному рецидивированию и метастазированию обусловливают интерес к ним не только со стороны хирургической стоматологии, но и онкологии.
Причины опухолей слюнных желез
Как и в случае с новообразованиями других локализаций, рассматривается этиологическая роль генных мутаций, гормональных факторов, неблагополучных воздействий внешней среды (чрезмерного ультрафиолетового облучения, частых рентгенологических исследований области головы и шеи, предшествующей терапии радиоактивным йодом по поводу гипертиреоза и пр.), курения. Высказывается мнение о возможных алиментарных факторах риска (высоком содержании холестерина в пище, недостатке витаминов, свежих овощей и фруктов в рационе и пр.).
Принято считать, что к группам профессионального риска по развитию злокачественных опухолей слюнных желез относятся работники деревообрабатывающей, металлургической, химической промышленности, парикмахерских и салонов красоты; производств, связанных с воздействием цементной пыли, керосина, компонентов никеля, свинца, хрома, кремния, асбеста и пр.
Классификация
На основании клинико-морфологических показателей все опухоли слюнных желез делятся на три группы: доброкачественные, местно-деструирующие и злокачественные. Группу доброкачественных опухолей слюнных желез составляют эпителиальные (аденолимфомы, аденомы, смешанные опухоли) и неэпителиальные (хондромы, гемангиомы, невриномы, фибромы, липомы) соединительнотканные новообразования.
Местнодеструирующие (промежуточные) опухоли слюнных желез представлены цилиндромами, ацинозноклеточными и мукоэпителиальными опухолями. К числу злокачественных опухолей слюнных желез относятся эпителиальные (карциномы), неэпителиальные (саркомы), малигнизированные и метастатические (вторичные).
Для стадирования рака больших слюнных желез используется следующая классификация по системе TNM.
- Т0 – опухоль слюнной железы не выявляется
- Т1 – опухоль диаметром до 2 см не распространяется за пределы слюнной железы
- Т2 - опухоль диаметром до 4 см не распространяется за пределы слюнной железы
- ТЗ - опухоль диаметром от 4 до 6 см не распространяется за пределы слюнной железы либо распространяется за пределы слюнной железы без поражения лицевого нерва
- Т4 - опухоль слюнной железы диаметром более 6 см либо меньшего размера, но с распространением на основание черепа, лицевой нерв.
- N0 – отсутствие метастазов в регионарные лимфоузлы
- N1 – метастатическое поражение одного лимфоузла диаметром до 3 см
- N2 – метастатическое поражение одного или нескольких лимфоузлов диаметром 3-6 см
- N3 – метастатическое поражение одного или нескольких лимфоузлов диаметром более 6 см
- М0 – отсутствие отдаленных метастазов
- M1 – наличие отдаленных метастазов.
Симптомы опухолей слюнных желез
Доброкачественные опухоли слюнных желез
Наиболее частым представителем этой группы является смешанная опухоль слюнной железы или полиморфная аденома. Ее типичной локализацией служат околоушная, реже - подъязычная или поднижнечелюстная железа, малые слюнные железы щечной области. Опухоль растет медленно (многие годы), при этом может достигать значительных размеров и вызывать асимметрию лица. Полиморфная аденома не причиняет болевых ощущений, не вызывает пареза лицевого нерва. После удаления смешанная опухоль слюнной железы может рецидивировать; в 6% случаев возможна малигнизация.
Мономорфная аденома – доброкачественная эпителиальная опухоль слюнной железы; чаще развивается в выводных протоках желез. Клиническое течение аналогично полиморфной аденоме; диагноз обычно устанавливается после гистологического исследования удаленного новообразования. Характерной особенностью аденолимфомы является преимущественное поражение околоушной слюнной железы с непременным развитием ее реактивного воспаления.
Доброкачественные соединительнотканные опухоли слюнных желез встречаются реже эпителиальных. В детском возрасте среди них преобладают ангиомы (лимфангиомы, гемангиомы); невриномы и липомы могут возникать в любом возрасте. Неврогенные опухоли чаще возникают в околоушной слюнной железе, исходя из ветвей лицевого нерва. По клинико-морфологическим признакам ничем не отличаются от аналогичных опухолей других локализаций. Опухоли, прилежащие к глоточному отростку околоушной слюнной железы, могут вызывать дисфагию, оталгию, тризм.
Промежуточные опухоли слюнных желез
Цилиндромы, мукоэпидермоидные (мукоэпителиальные) и ацинозноклеточные опухоли слюнных желез характеризуются инфильтративным, местно-деструирующим ростом, поэтому относятся к новообразованиям промежуточного типа. Цилиндромы поражают преимущественно малые слюнные железы; другие опухоли - околоушные железы.
Обычно развиваются медленно, однако при определенных условиях приобретают все черты злокачественных опухолей – быстрый инвазивный рост, склонность к рецидивам, метастазирование в легкие и кости.
Злокачественные опухоли слюнных желез
Могут возникать как первично, так и в результате малигнизации доброкачественных и промежуточных опухолей слюнных желез.
Карциномы и саркомы слюнных желез быстро увеличиваются в размерах, инфильтрируют окружающие мягкие ткани (кожу, слизистую оболочку, мышцы). Кожа над опухолью может быть гиперемирована и изъязвлена. Характерными признаками являются боли, парез лицевого нерва, контрактуры жевательных мышц, увеличение регионарных лимфоузлов, наличие отдаленных метастазов.
Диагностика
Основу диагностики опухолей слюнных желез составляет комплекс клинических и инструментальных данных. При первичном осмотре пациента стоматологом или онкологом производится анализ жалоб, осмотр лица и полости рта, пальпация слюнных желез и лимфатических узлов. При этом особое внимание обращается на локализацию, форму, консистенцию, размеры, контуры, болезненность опухоли слюнных желез, амплитуду открывания рта, заинтересованность лицевого нерва.
Для распознавания опухолевых и неопухолевых поражений слюнных желез проводится дополнительная инструментальная диагностика – рентгенография черепа, УЗИ слюнных желез, сиалография, сиалосцинтиграфия. Наиболее достоверным методом верификации доброкачественных, промежуточных и злокачественных опухолей слюнных желез является морфологическая диагностика – пункция и цитологическое исследование мазка, биопсия слюнных желез и гистологическое исследование материала.
С целью уточнения стадии злокачественного процесса могут потребоваться КТ слюнных желез, УЗИ лимфатических узлов, рентгенография органов грудной клетки и др. Дифференциальная диагностика опухолей слюнных желез проводится с лимфаденитом, кистами слюнных желез, сиалолитиазом.
Лечение опухолей слюнных желез
Доброкачественные опухоли слюнных желез подлежат обязательному удалению. Объем оперативного вмешательства определяется локализацией новообразования и может включать энуклеацию опухоли, субтотальную резекцию или экстирпацию железы вместе с опухолью. При этом обязательно проведение интраоперационного гистологического исследования для решения вопроса о характере образования и адекватности объема операции.
Удаление опухолей околоушных слюнных желез связано с опасностью повреждения лицевого нерва, поэтому требует тщательного визуального контроля. Послеоперационными осложнениями могут служить парез или паралич мимических мышц, образование послеоперационных слюнных свищей.
При раке слюнных желез в большинстве случаев показано комбинированное лечение – предоперационная лучевая терапия с последующим хирургическим лечением в объеме субтотальной резекции или экстирпации слюнных желез с лимфаденэктомией и фасциально-футлярным иссечением клетчатки шеи. Химиотерапия при злокачественных опухолях слюнных желез не находит широкого применения ввиду своей малой эффективности.
Прогноз
Хирургическое лечение доброкачественных опухолей слюнных желез дает хорошие отдаленные результаты. Частота рецидивов составляет от 1,5 до 35%. Течение злокачественных опухолей слюнных желез неблагоприятное. Полное излечение достигается в 20-25% случаев; рецидивы возникают у 45% пациентов; метастазы выявляются почти в половине случаев. Наиболее агрессивное течение отмечается при раке подчелюстных желез.
Ангиома
Ангиома – это собирательное название сосудистых опухолей, исходящих из кровеносных или лимфатических сосудов. Ангиомы могут иметь поверхностную локализацию (на коже и слизистых оболочках), располагаться в мышцах, внутренних органах (сердце, легких, матке, печени, селезенке и др.), сопровождаясь кровотечениями различной интенсивности. Диагностика ангиом основывается на данных осмотра, рентгенологического исследования (ангиографии, лимфангиографии), УЗИ. Поверхностные ангиомы могут быть удалены путем криотерапии, электрокоагуляции, склеротерапии, рентгенотерапии; в других случаях требуется хирургическое вмешательство.
МКБ-10
Термином «ангиома» в сосудистой хирургии объединяют различного рода аномалии кровеносных (гемангиомы) или лимфатических (лимфангиомы) сосудов. По мнению ряда исследователей, ангиома является промежуточным звеном между опухолью и пороком развития. Ангиомы могут локализоваться в различных тканях и органах, бывают одиночными и множественными (ангиоматоз).
Морфологическую основу ангиомы составляют расширенные кровеносные либо лимфатические сосуды. Размеры и форма ангиом варьируют в широких пределах; гемангиомы имеют красно-синий цвет, лимфангиомы бесцветные. Чаще ангиомы встречаются в детском возрасте, составляя до 70—80% всех врожденных новообразований у детей. Ангиомы склонны к прогрессированию, иногда чрезвычайно быстрому. От ангиомы следует отличать телеангиоэктазии – расширения кровеносных сосудов с наличием артерио-венозных аневризм. Ангиомы располагаются преимущественно на верхней половине туловища, включая голову и шею (до 80% случаев). Реже встречаются ангиомы глотки, легких, век и глазниц, печени, костей, наружных половых органов и пр.
Причины ангиом
В большинстве случаев ангиомы имеют врожденный характер. Считается, что источниками развития ангиом являются персистирующие фетальные анастомозы между артериями и венами. Увеличение ангиомы происходит за счет разрастания сосудов самой опухоли, которые прорастают и разрушают окружающие ткани, подобно росту злокачественных опухолей. Истинные причины возникновения врожденных ангиом не известны.
Иногда ангиомы возникают после травматических повреждений или сопровождают течение других заболеваний (например, цирроза печени или злокачественных новообразований внутренних органов).
Прежде всего, различают ангиомы кровеносных сосудов (гемангиомы) и ангиомы лимфатических сосудов (лимфангиомы). С гистологической точки зрения различают мономорфные и полиморфные ангиомы. Мономорфные ангиомы – истинные сосудистые образования, исходящие из того или иного элемента кровеносного сосуда (гемангиоэндотелиомы, гемангиоперицитомы, лейомиомы). Признаком полиморфной ангиомы служит сочетание различных элементов сосудистой стенки, возможен переход одного вида опухоли в другой.
Виды гемангиом
По типу строения различают простые, кавернозные, ветвистые, комбинированные и смешанные ангиомы.
- Простая (капиллярная, гипертрофическая) гемангиома представляет собой разрастание новообразованных капилляров, мелких артериальных и венозных сосудов. Капиллярные гемангиомы локализуются на коже или слизистых в виде пятна ярко-красного (артериальные ангиомы) или синюшно-багрового (венозные ангиомы) цвета. Размеры капиллярных гемангиом различны – от ограниченных до гигантских. При надавливании на сосудистую опухоль, ее цвет бледнеет. Капиллярная гемангиома крайне редко трансформируется в злокачественную гемангиоэндотелиому.
- Кавернозные (пещеристые) гемангиомы образованы широкими губчатыми полостями, заполненными кровью. Внешне такая ангиома представляет узел багрово-синюшной окраски, с бугристой поверхностью и мягко-эластической консистенцией. Пальпаторно или рентгенологически в толще ангиомы могут определяться ангиолиты или флеболиты – плотные, шаровидной формы обезыствленные тромбы. Кавернозные гемангиомы обычно имеют подкожное расположение. Для них типичен симптом температурной асимметрии - на ощупь сосудистая опухоль горячее окружающих тканей. При надавливании на опухоль, вследствие оттока крови, гемангиома спадается и бледнеет, а при натуживании - напрягается и увеличивается (так называемый, эректильный симптом, обусловленный притоком крови).
- Ветвистая (рацелюзная) гемангиома представлена сплетением расширенных, извилистых сосудистых стволов. Характерной особенностью данного вида ангиомы является определяемые над ней пульсация, дрожание и шумы, как над аневризмой. Встречается редко, в основном локализуется на конечностях, иногда на лице. Малейшая травматизация ангиомы может повлечь за собой угрожающее кровотечение.
- Комбинированные гемангиомы сочетают в себе поверхностное и подкожное расположение (простую и кавернозную ангиому). Клинические проявления зависят от преобладания того или иного компонента ангиомы. Гемангиомы смешанного строения исходят из сосудов и других тканей (гемлимфангиомы, ангиофибромы, ангионевромы и др.).
По форме выделяют следующие разновидности ангиом: звездчатая, плоская, узловая, серпигинозная. Обособленно в ряду сосудистых опухолей стоят старческие ангиомы, представляющие множественные мелкие округлые образования розово-красного цвета. Старческие ангиомы появляются после 40 лет.
Виды лимфангиом
Среди лимфангиом выделяют простые, кавернозные и кистозные сосудистые образования.
- К простым лимфангиомам относятся расширенные тканевые щели, выстланные эндотелием и заполненные лимфой. Данный тип ангиом развивается преимущественно в мышцах языка и губ и внешне представляет мягкую бесцветную опухоль.
- Кавернозные лимфангиомы – многокамерные полости, образованные лимфатическими сосудами, с толстыми стенками из мышечной и фиброзной ткани.
- Кистозные лимфангиомы растут по типу хилезных кист и могут достигать значительных размеров. Они встречаются в области шеи, в паху, в брыжейках кишок, забрюшинной клетчатке. Присоединение вторичной инфекции может вызывать образование свищей и длительную, истощающую больного, лимфорею.
Симптомы ангиом
Клинические проявления ангиомы зависят от типа сосудистой опухоли, ее локализации, размеров и особенностей течения. Гемангиомы обычно обнаруживаются вскоре после рождения ребенка или в первые месяцы его жизни. У новорожденных девочек ангиомы встречаются в 3-5 раз чаще, чем у мальчиков. У грудных детей может наблюдаться быстрый рост ангиом: так, за 3-4 месяца точечная гемангиома может увеличиться до нескольких сантиметров в диаметре, захватив значительную поверхность.
Сосудистые опухоли могут располагаться на любых участках тела; с учетом локализации различают ангиомы покровных тканей (кожи, подкожной клетчатки, слизистых оболочек полости рта и гениталий), опорно-двигательного аппарата (мышц и костей), внутренних органов (печени, легких и др.). Если наличие гемангиом покровных тканей сопровождается косметическим дефектом, то гемангиомы внутренних органов могут приводить к различного рода нарушениям таких важных функций, как дыхание, питание, зрение, мочеиспускание, дефекация.
Костные гемангиомы могут располагаться в позвоночнике, костях таза, черепа, длинных трубчатых костях конечностей. В костной ткани чаще встречаются множественные кавернозные ангиомы, рост которых может сопровождаться болями, деформацией скелета, патологическими переломами, корешковым синдром и т. д. Особую опасность представляют ангиомы мозга, которые могут приводить к эпилепсии или субарахноидальному кровоизлиянию.
В процессе роста может отмечаться изъязвление и воспаление ангиом с последующим развитием тромбозов и флебитов. Наиболее грозным осложнением служит кровотечение; при травматизации обширных и глубоких ангиом может потребоваться экстренное оперативное вмешательство для остановки кровотечения. В ряде случаев встречается самоизлечение ангиом, связанное со спонтанным тромбированием и запустеванием сосудов, питающих опухоль. При этом ангиома постепенно бледнеет либо полностью исчезает.
Ангиомы из лимфатических сосудов чаще обнаруживаются у детей первого года жизни. Местом их преимущественной локализации служит кожа и подкожная клетчатка. Лимфангиомы локализуются в местах скопления регионарных лимфатических узлов: на шее, языке, губах, щеках, в подмышечной и паховой области, средостении, забрюшинном пространстве, в области корня брыжейки. Они определяются в виде болезненной припухлости, иногда достигающей значительных размеров. В большинстве случаев рост лимфангиом медленный, из осложнений обычно встречается нагноение.
Диагностика поверхностных ангиом в типичных случаях не представляет затруднений и основывается на данных осмотра и пальпации сосудистого образования. Характерная окраска и способность к сокращению при надавливании являются характерными признаками ангиомы. При ангиомах сложных локализаций используется комплекс визуализирующих исследований:
- Рентгенография. Костные гемангиомы выявляются посредством рентгенографии трубчатых костей, позвоночника, ребер, костей таза, черепа. Для диагностики ангиом внутренних органов используют ангиографию сосудов головного мозга, почек, легких, лимфангиографию и т. д.
- УЗИ. Ультразвуковое исследование позволяет определить глубину распространения ангиомы, структуру и анатомо-топографические особенности расположения опухоли, измерить скорость кровотока в периферических сосудах и паренхиме гемангиомы.
- Прочие исследования. Ангиомы глотки выявляются в ходе осмотра отоларинголога. При подозрении на лимфангиому проводится диагностическая пункция, позволяющая получить из опухоли прозрачную желтоватую жидкость.
Дифференциальный диагноз лимфангиомы проводят с кистой шеи, спинномозговой грыжей, липомой, тератомой, лимфаденитом шеи.
Лечение ангиом
Абсолютными показаниями к неотложному лечению ангиом являются: быстрый рост опухоли, обширность поражения, локализация сосудистого образования в области головы и шеи, изъязвление или кровотечение, нарушении функционирования пораженного органа. Выжидательная тактика оправдана при признаках спонтанной регрессии сосудистой опухоли.
- Хирургическое лечение. Показано при глубоком расположении ангиомы. Хирургические методы лечения ангиом могут включать перевязку приводящих сосудов, прошивание сосудистой опухоли или ее полное иссечение в пределах здоровых тканей.
- Лучевая терапия. Применяется для лечения ангиом сложных анатомических локализаций (например, ангиом орбиты или ретробульбарного пространства) или простых гемангиом большой площади. При обширных ангиомах наружных покровов иногда эффективным оказывается гормональное лечение преднизолоном.
- Методы физической деструкции. В отношении точечных ангиом может использоваться электрокоагуляция, удаление лазером, криодеструкция.
- Склеротерапия. При небольших, но глубоко расположенных ангиомах применяется склерозирующая терапия - локальные инъекции 70% этилового спирта, вызывающие асептическое воспаление и рубцевание сосудистой опухоли.
- Эмболизация. Ангиомы внутренних органов после предварительной ангиографии могут быть подвергнуты эмболизации.
1. Сосудистые новообразования мягких тканей у детей / Н. А. Окунев, А. И. Окунева, О. А. Щекин [и др.]. - 2019.
2. Что нужно знать педиатру о младенческих гемангиомах/ Захарова И.Н. и др.// Медицинский совет. - 2016. - №16.
3. Синдромальная венозная мальформация – диссеминированный венозный ангиоматоз Бина/ Л.А. Хачатрян, И.С. Клецкая, Е.В. Орехова// Вопросы гематологии/онкологии и иммунопатологии в педиатрии.- 2019. - 18 (3).
Симптомы гемангиомы слюнной железы и ее лечение
Причины и типы доброкачественных опухолей слюнных желез
Доброкачественные опухоли слюнных желез представляют собой медленно растущие, безболезненные образования, возникающие на лице, на шее или в полости рта. Несмотря на доброкачественную природу, дифференцировать их от злокачественных опухолей бывает достаточно сложно даже после сбора анамнеза, осмотра, проведения лучевых методов диагностики и тонкоигольной биопсии.
Плеоморфная аденома является самой распространенной опухолью слюнных желез. В редких случаях встречаются и другие доброкачественные новообразования. Плеоморфные аденомы способны малигнизироваться, поэтому их всегда необходимо удалять. Возможно, будущие исследования в сфере молекулярной генетики и разработки новых методов визуализации помогут хирургам выработать новые алгоритмы лечения больных с этими заболеваниями.
а) Эпидемиология доброкачественных опухолей слюнной железы. В целом опухоли слюнных желез встречаются редко, они составляют лишь 3-4% от всех опухолей головы и шеи. Заболеваемость всеми опухолями слюнных желез в США составляет около 1,5 на 100000 человек. В зависимости от локализации, все они могут быть разделены на две большие группы: опухоли крупных слюнных желез и опухоли малых слюнных желез.
Крупные слюнные железы представлены парными околоушными, поднижнечелюстными и подъязычными слюнными железами. Малые слюнные железы, количество которых может достигать 600-1000, располагаются вдоль верхних отделов дыхательного и пищеварительного трактов.
В 70-80% случаев опухоли слюнных желез возникают в околоушной слюнной железе, 75% из них доброкачественны. Опухоли поднижнечелюстной слюнной железы составляют 10-15% от всех новообразований слюнных желез, примерно половина из них является злокачественными. Как правило, чем меньше железа, тем ниже риск развития в ней новообразования, однако риск озлокачествления на 25% выше.
Данная закономерность известна как «правило 25/50/75», отображающее процент злокачественных опухолей в околоушной, поднижнечелюстной и подъязычной/малых слюнных железах, соответственно.
У взрослых наиболее часто встречающейся опухолью является плеоморфная аденома (60%), следом идет опухоль Уортина (12%). Как правило, у взрослых доброкачественными являются 54% всех опухолей слюнных желез, у детей 65%. У детей наиболее часто доброкачественным новообразованием слюнных желез является гемангиома, далее следует плеоморфная аденома.
Перечень доброкачественных опухолей с частотой их встречаемости приведен в таблице ниже. Как правило, они представляют собой плотные, безболезненные, медленнорастущие образования с четкими границами. Лечение состоит в полном хирургическом удалении с иссечением части здоровых тканей. Наиболее часто встречающиеся опухоли приведены в таблице ниже.

Наиболее распространенные доброкачественные опухоли слюнных желез
и их относительная частота встречаемости среди всех новообразований слюнных желез.
б) Плеоморфная аденома. Определяемая как доброкачественная смешанная опухоль, плеоморфная аденома является самым часто встречающимся новообразованием слюнных желез. Развивается в равной степени у мужчин и женщин, чаще появляясь на пятом десятке жизни. Клинически представляет собой одноузловое образование, не сопровождающееся появлением каких-либо жалоб. Описаны редкие случаи многоузловых аденом. Опухоль называется «плеоморфной» или «смешанной», потому что в ее состав в разных пропорциях входит и эпителиальная, и соединительная ткань. Как уже говорилось выше, плеоморфные аденомы составляют 75% всех доброкачественных новообразований слюнных желез.
Если опухоль поражает околоушную слюнную железу, в 90% случаев она располагается латеральнее лицевого нерва. В редких случаях плеоморфная аденома распространяется за шилонижнечелюстную связку и ветвь нижней челюсти в окологлоточное пространство что создает характерную гантелеобразную форму при визуализации. Только 10% плеоморфных аденом происходят из глубокой доли околоушной слюнной железы. Плеоморфные аденомы являются самыми частыми опухолями прешиловидного отдела окологлоточного пространства. Из всех опухолей поднижнечелюстной слюнной железы 36% составляют доброкачественные плеоморфные аденомы.
Плеоморфные аденомы, происходящие из малых слюнных желез, чаще всего располагаются на небе и верхней губе.
Плеоморфная аденома представляет собой плотную опухоль округлой формы, цвет варьирует от серо-белого до желтого. При локализации в околоушной слюнной железе обычно осумкована, аденомы малых слюнных желез чаще всего капсулы лишены. При микроскопии определяется плотная капсула железы с псевдоподиями, которые представляют микроскопические участки прорастания аденомы в окружающие ткани. Поэтому при удалении опухоли обязательным является и частичный захват здоровых тканей. Если следовать данному принципу, риск рецидива составляет менее 5%.
Доброкачественная аденома никогда не прорастает в лицевой нерв, поэтому его необходимо сохранять при всех операциях.
Операция по поводу рецидива плеоморфной аденомы представляет собой значительную трудность для хирурга. Рецидивировавшая опухоль часто многоочаговая, вероятность излечения после повторного вмешательства может составлять 25% и менее. Основной целью операции по поводу рецидива опухоли является ее полное удаление, но риск травмы лицевого нерва в данном случае значительно возрастает. Необходимость лучевой терапии подвергается сомнению, но этот вариант лечения стоит рассмотреть при многоузловых опухолях или при неясных границах резекции.
Малигнизируются плеоморфные аденомы редко. Риск малигнизации тем выше, чем дольше пациент живет с аденомой. В первый год наблюдения риск составляет около 1,5%, при наблюдении в течение 15 лет и более—10%.

Плеоморфная аденома.
При микроскопии определяется пролиферация цитологически нормальных миоэпителиальных клеток, формирующих скопления неправильной формы в миксоидной мезенхимальной строме.
Для мезенхимального компонента характерны миксоидные и фиброзные изменения, иногда встречаются признаки хрящевой или костной метаплазии.
В течение пяти лет рецидивируют 3,4% опухолей, в течение 10 лет — 6,8%.
Часто рецидивирующие плеоморфные аденомы отличает многоочаговое строение.
Плеоморфные аденомы составляют около 60% всех опухолей слюнных желез. Из них 80% возникают в околоушной слюнной железе, 10% в поднижнечелюстной и 10% в малых слюнных железах.
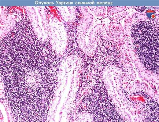
в) Опухоль Уортина (сосочковая кистаденолимфома). Составляя около 10% от всех новообразований слюнных желез, опухоль Уортина представляет собой вторую по частоте встречаемости доброкачественную опухоль слюнных желез. Из-за характерных гистологических свойств, более корректно называть данную опухоль «сосочковой кистаденолимфомой». Опухоли возникают только в околоушной слюнной железе, мужчины страдают в пять раз чаще, чем женщины. Предполагается, что разница в частоте встречаемости у мужчин и женщин объясняется тем, что определенную роль в патогенезе опухолей Уортина играет курение. В 10% встречаются опухоли обеих слюнных желез. В редких случаях могут становиться болезненными вследствие их аутоиммунного воспаления, которое развивается в ответ на лимфоидные клетки опухоли.
Опухоль Уортина имеет круглую или овальную форму, может быть гладкой, либо иметь дольчатое строение. Опухоль окружена капсулой. На срезе видна серая ткань, окружающая лимфоидную ткань белого цвета, а также множественные сосочковые кисты со слизью бурого цвета внутри. Благодаря такому строению опухоль и получила название сосочковой кистаденолимфомы. Рекомендуемое лечение — хирургическое удаление с сохранением лицевого нерва. Риск рецидива возрастает при удалении многодольчатых или двусторонних опухолей.

Опухоль Уортина (сосочковая кистаденолимфома) составляет примерно 3,5% всех эпителиальных опухолей слюнных желез.
Встречается практически исключительно в околоушной слюнной железе. Может иметь дольчатое строение, иногда двусторонняя.
При микроскопии опухоль имеет кистозно-сосочковое строение. Эпителиальные клетки с онкоцитарной метаплазией (большое количество цитоплазматических митохондрий,
розовая цитоплазма с частыми включениями) располагаются в два ряда, формируя сосочковые структуры, которые перемежаются с участками лимфоидной гиперплазии.
После удаления рецидивирует редко.
г) Мономорфная аденома. Наиболее часто встречающимися формами мономорфной аденомы являются базальноклеточная аденома и светлоклеточная аденома. Эти опухоли составляют около 2% от всех опухолей слюнных желез. Чаще всего они возникают из околоушной слюнной железы, а также на верхней губе. Среди всех опухолей слюнных желез имеют наименее агрессивное течение, клинически представляют собой инкапсулированные плотные новообразования с медленным ростом. Иногда их бывает достаточно сложно дифференцировать от солидного варианта аденокистозного рака, но существует несколько характерных признаков: отсутствие инвазии в окружающие ткани, периферическое расположение наружных базалоидных клеток, отсутствие периневрального распространения, наличие васкуляризированной стромы.
д) Онкоцитома. Онкоциты представляют собой крупные эпителиальные клетки с зернистой эозинофильной цитоплазмой. Зернистый внешний вид данных клеток обусловлен большим количеством митохондрий, которые можно увидеть при электронной микроскопии. Эти редкие опухоли составляют около 1% от всех новообразований слюнных желез, у мужчин и женщин встречаются с одинаковой частотой и чаще возникают на поздних этапах жизни. Представляют собой безболезненную солитарную опухоль. Чаще всего локализуются в поверхностной доле околоушной слюнной железы, но также могут поражать другие слюнные железы, поджелудочную железу, дыхательные пути, щитовидную и паращитовидные железы, гипофиз, надпочечники и почки.
Обычно онкоцитомы представляют собой инкапсулированные опухоли с четким границами, цвет от розового до оранжевого. При локализации в малых слюнных железах капсула может отсутствовать и опухоль становится местно деструктирующей. Могут разрушать костную или хрящевую ткани, но метастазируют редко. Доброкачественные опухоли необходимо дифференцировать от злокачественных новообразований с онкоцитарным компонентом (аденокистозный рак, мукоэпидермоидный рак, аденокарцинома, злокачественная онкоцитома), а также от метастатического светлоклеточного рака и рака щитовидной железы. Лечение при доброкачественных онкоцитомах заключается в их хирургическом удалении.
е) Гемангиомы слюнных желез и их сосудистые мальформации. Как уже говорилось выше, наиболее часто встречающимися доброкачественными опухолями слюнных желез в детском возрасте являются гемангиомы. Более детальное описание гемангиом приведено в других разделах этой книги. Как правило, впервые гемангиомы появляются в младенческом возрасте, в течение 1-6 месяцев длится фаза роста, после которой начинается фаза инволюции, которая может длиться вплоть до 12 лет. Чаще встречаются у девочек. Обычно они не вызывают каких-либо жалоб, располагаются с одной стороны, мягкие при пальпации. Чаще всего возникают в околоушной слюнной железе, иногда могут приводить к появлению изменений окружающей кожи.
Дольчатые темно-красные гемангиомы не имеют капсулы. При микроскопии определяются капилляры, выстланные пролиферирующими эндотелиальными клетками. Подробное описание схемы лечения гемангиом не входит в задачи этой главы. Как правило, хирургическое лечение требуется лишь при неэффективности консервативного лечения (кортикостероиды и, с недавнего времени, пропранолол), а также при опухолях, вызывающих сдавление окружающих тканей, или сопровождающихся сосудистой/кардиологической симптоматикой.
Сосудистые мальформации отличаются от гемангиом тем, что по своей природе не являются истинными опухолями. Имеется три вида мальформаций: венозные, артериовенозные и лимфатические мальформации. Как правило, они обнаруживаются еще при рождении, а затем медленно растут в течение всей жизни. Хирургическое лечение часто сопровождается значительными затруднениями, поскольку мальформации могут сильно кровоточить и проникать в окружающие ткани. Тем не менее, на данный момент основным методом лечения сосудистых мальформаций слюнных желез остается хирургический.
ж) Причины доброкачественных опухолей слюнных желез. Точная этиология доброкачественных опухолей слюнных желез неизвестна. Была выявлена связь между повышением риска появления новообразований и некоторыми факторами (курение, воздействие ионизирующего излучения, некоторые профессиональные вредности).
Одно из недавних исследований показало, что у людей, подвергавшихся лучевой терапии по поводу опухолей головы и шеи в 4,5 раза возрастает риск развития рака слюнных желез и в 2,6 раза риск доброкачественных опухолей (особенно опухоли Уортина). Также риск развития опухоли Уортина выше у курильщиков. Также риск рака слюнных желез повышен у работников каучукового производства, контактирующих с нитрозаминами и кварцевой пылью.

Гемангиома области околоушной железы.
Редактор: Искандер Милевски. Дата обновления публикации: 18.3.2021
Читайте также:
