Симптомы риносклеромы и ее лечение
Добавил пользователь Евгений Кузнецов Обновлено: 09.01.2026
Риносклерома - инфекционная болезнь покровов носа. В коже носа развиваются твердые темно-красные узлы, покрытые нормальным эпидермисом; в слизистой оболочке полости носа и зева образуются плоские, легко изъязвляющиеся разращения. 0%9D%D0%BE%D0%B2%D0%BE%D0%BE%D0%B1%D1%80%D0%B0%D0%B7%D0%BE%D0%B2%D0%B0%D0%BD%D0%B8%D1%8F"Новообразования эти состоят из богатой клетками грануляционной ткани. Опухоль может достигать значительных размеров.
Таксономия. Род Klebsiella. назван в честь Э. Клебса. Включает 4 вида, один из которых K. pneumoniae состоит из трёх подвидов: K. subs. pneumoniae, K. ozaenae, K. scleromatis.. Дифференциация подвидов клебсиелл проводится по биохимическим признакам.
Морфология. Короткие толстые эллипсовидные палочки, грамотрицательные 0,6—6,0 мкм длиной и 0,3—1,0 мкм толщиной. В препаратах они располагаются поодиночке, парами и короткими цепочками. Неподвижны, спор не образуют. Характерным признаком клебсиелл является наличие выраженной капсулы
Антигенная структура. 1)липополисахаридные О-антигены; 2)82 полисахаридных капсульных К-антигенов, на основе определения которых проводится серотипирование. Некоторые 0-и К-антигены клебсиелл являются общими с антигенами эшерихий и сальмонелл. 3)СА-Аг, общий для энтеробактерий
Ферменты. Гликолитические свойства хорошо выражены (наиболее активна K. subs. pneumoniae – до кислоты и газа). Протеолитические свойства слабо выражены
Патогенность клебсиелл обусловлена:
· капсулой, защищающей микроорганизмы от фагоцитоза,
· Клебсиеллы пневмонии продуцируют термостабильный энтеротоксин, приводящий к усилению выпота жидкости в просвет тонкой кишки
Устойчивость. Обитают у человека и животных, входят в состав кишечного биоценоза, обнаруживаются на коже и слизистых оболочках. Они широко распространены. Благодаря капсуле устойчивы к факторам окружающей среды и длительно сохраняются в почве, в воде, на предметах в помещениях. В молочных продуктах выживают и размножаются при хранении в холодильнике и при комнатной температуре. При 65 °С погибают через 60 мин.Чувствительны к растворам обычных дезинфектантов.
Не требовательны к питательным следам.
- на поверхности плотных сред образуют блестящие куполообразные слизистые колонии, серовато-белые с перламутровым оттенком
- в жидких средах возникает интенсивное диффузное помутнение, иногда слизистое кольцо на поверхности.
Патогенез. Клебсиеллы пневмонии вначале считали возбудителями заболеваний дыхательных путей (риносклерома, озена, пневмония). Затем было установлено, что они могут быть причиной поражения слизистых оболочек век, мочеполовых органов, а также мозговой оболочки, суставов, способны вызывать сепсис, ОКИ у взрослых и детей, гнойные послеродовые осложнения.
Инфицирование новорожденных может привести к развитию тяжелых пневмоний, кишечных инфекций, токсико-септических состояний с летальным исходом.
Клебсиеллы считают возбудителями внутрибольничных инфекций. Они часто встречаются при смешанных инфекциях.
Клебсиеллы риносклеромы вызывают хронические воспалительные процессы слизистых оболочек верхних дыхательных путей, бронхов с образованием инфильтратов, которые затем рубцуются. Возбудители могут быть обнаружены в гранулемах, где они локализуются внутри и вне клеток. Результат – асфиксия.
В кишечнике обитает K. pneumoniae, которая при попадании в другие внутренние органы вызывает их воспаление
Основные факторы патогенности клебсиел — полисахаридная капсула (по составу её Аг выделяют более 70 сероваров), фимбрии (обеспечивают адгезию к эпителию) и токсинообразование. Адгезию к эпителию также опосредуют плазмидные факторы, кодирующие образование поверхностных белков, обусловливающих адгезию. Большой вклад в патогенез поражений клебсиел вносит сидерофорная система бактерий, связывающая ионы Fe2+ и снижающая их содержание в тканях. У клебсиелл выявлены хелаторы железа энтеробактин (энтерохелин) и аэробактин.
Эпидемиология Источник – человек. Пути передачи. Аэрозольный, контактный, алиментарный
Иммуногенез. Заболевание протекает с накоплением антител к клебсиеллам, но они не обладают выраженными протективными свойствами. В выздоровлении основная роль принадлежит фагоцитозу, который активируется специфическими опсонинами.
Возникновению хронических форм клебсиеллезов способствует
1. внутриклеточная локализация возбудителя
2. развитие реакции ГЗТ.
Лабораторная диагностика
I Серодиагностика - это главный метод при склероме.Ставят РСК. Диагностический титр 1/10.
II Бактериологический метод -используется чаще
Профилактика. Вакцинопрофилактика клебсиеллезов не разработана.
Лечение. Антибиотики ампициллин, аминогликозиды, тетрациклины, левомицетин.
Но за последние годы отмечается широкое распространение антибиотикорезистентных штаммов клебсиелл.
Симптомы риносклеромы и ее лечение
Кафедра болезней уха, горла, носа ФГБОУ ВО «Ростовский государственный медицинский университет» Минздрава России, Ростов-на-Дону, Россия, 344022
ФГБОУ ВО «Ростовский государственный медицинский университет» Минздрава России, Ростов-на-Дону, Россия
ГБУ РО «Ростовская областная клиническая больница», Ростов-на-Дону, Россия
Риносклерома: описание случая и обзор литературы
Журнал: Российская ринология. 2016;24(2): 35‑38
Кафедра болезней уха, горла, носа ФГБОУ ВО «Ростовский государственный медицинский университет» Минздрава России, Ростов-на-Дону, Россия, 344022
Риносклерома (РС) - хроническое гранулематозное заболевание носа и верхних дыхательных путей, вызываемое грамотрицательными бактериями Klebsiella rhinoscleromatis, эндемичное для многих территорий, но редко встречающееся в России. В работе представлено клиническое наблюдение пациентки в возрасте 27 лет с РС с дисфонией, затруднением дыхания и рецидивирующими носовыми кровотечениями в течение 3 лет. Диагноз РС подтвержден данными патогистологического исследования материала, взятого путем браш-биопсии слизистой оболочки полости носа и гортани.
Кафедра болезней уха, горла, носа ФГБОУ ВО «Ростовский государственный медицинский университет» Минздрава России, Ростов-на-Дону, Россия, 344022
ФГБОУ ВО «Ростовский государственный медицинский университет» Минздрава России, Ростов-на-Дону, Россия
ГБУ РО «Ростовская областная клиническая больница», Ростов-на-Дону, Россия
Риносклерома (РС) - хроническое гранулематозное заболевание, эндемичное для ряда стран Центральной и Южной Америки, Северной и Центральной Африки, Юго-Восточной Азии, а также для Индии, Польши, Венгрии, Белоруссии и Западной Украины, но для большинства стран Западной Европы Р.С. является «забытой» клиницистами, а потому поздно диагностируемой патологией 1. На территории России Р.С. встречается чрезвычайно редко. В связи с этим приводим собственное клиническое наблюдение.
Клиническое наблюдение
Пациентка Б., 27 лет, поступила в ЛОР-отделение РОКБ в марте 2016 г. по поводу дисфонии, стеноза гортани I степени, скопления корок в полости носа. В анамнезе - рецидивирующие носовые кровотечения с 2013 г.
Считает себя больной в течение 3 лет. Неоднократно лечилась по поводу дисфонии с диагнозом «хронический ларингит». В последние месяцы появилась одышка при физической нагрузке, усилилась дисфония.
При осмотре: в полости носа экссудата нет, слизистая оболочка истончена, с сосудистой сетью, имеются единичные корки.
При непрямой ларингоскопии: голосовые складки симметрично подвижны, умеренно отечны, определяется инфильтрация слизистой оболочки в подскладковом пространстве, суживающая его просвет до 2 мм (рис. 1).

Рис. 1. Ларингоскопическая картина пациентки Б. Определяется инфильтрация слизистой оболочки в подскладочном пространстве и его сужение до 2 мм.
При фибротрахеобронхоскопии слизистая оболочка гортани умеренно гиперемирована и отечна. Голосовые складки подвижны. Просвет подскладкового пространства резко сужен, имеет щелевидную форму. Произведена браш-биопсия. Трахея и карина без особенностей. Бронхиальное дерево: долевые и сегментарные бронхи проходимы, не деформированы, слизистая умеренно гиперемирована, в просвете бронхов определяется небольшое количество слизистого секрета.
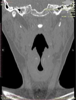
На спиральной компьютерной томографии (СКТ) гортани отмечается асимметрия грушевидных синусов, левый синус сглажен. Определяется отек мягких тканей гортани на уровне подскладкового пространства. Просвет гортани сужен до 2 мм на протяжении 6,5 мм (рис. 2). Деструктивных изменений хрящей гортани не выявлено. На СКТ органов грудной клетки признаков структурных изменений не наблюдается.

Рис. 2. СКТ гортани пациентки Б. в коронарной проекции. Просвет подскладкового пространства сужен до 2 мм на протяжении 6,5 мм.
Результаты гистопатологического исследования: при окраске материала из гортани по Граму обнаружены клетки Микулича, в вакуолях которых определены грамотрицательные микроорганизмы, в соскобе со слизистой оболочки перегородки носа также выявлены клетки Микулича. Гистопатологический диагноз: РС.
При бактериологическом исследовании из нижнего отдела гортани выделены Staphilococcus aureus (10 4 ), Klebsiella pneumoniae (10 3 ), Staphilococcus aureus (10 4 ), из носа - Staphilococcus aureus (10 6 ).
Учитывая редкость высеваемости Klebsiella rhinoscleromatis на стандартно используемых средах, основным методом диагностики РС является гистопатологический [4]. Обнаружение специфических клеток Микулича в материале из полости носа и гортани позволило поставить диагноз РС.
Больной назначен длительный курс лечения офлоксацином по 0,4 г 2 раза в день с динамическим наблюдением и контролем возможных побочных реакций.
РС является редкой патологией, в отечественной литературе последних лет имеются лишь единичные публикации по этому вопросу.
Принято считать, что группу риска возникновения РС составляют люди с плохими социально-экономическими условиями жизни [5].
Первично поражая полость носа, заболевание распространяется на околоносовые пазухи, носоглотку, гортань, трахею, бронхи, полость рта, орбиту, мягкие ткани губ и среднее ухо [4, 6]. Распространение процесса на область гортани наблюдается в 15-80% случаев поражения полости носа [7]. Излюбленной локализацией поражения гортани является подскладковое пространство с развитием дисфонии и стеноза гортани различной степени выраженности.
Выделяют три стадии РС: катаральную, гранулематозную и фиброзную [7].
Первая стадия (катаральная) длится неделями или месяцами, проявляется неспецифическими симптомами ринита. O. Awad и M. Hammad [11] полагают, что при РС клиника неспецифического, длительно протекающего ринита сменяется симптомами атрофического ринита с последующим образованием гранулем и фиброзированием.
Вторая стадия (гранулематозная) характеризуется гиперемией слизистой оболочки носа с формированием узелковых инфильтратов или полипов «резиновой» консистенции, склонностью к спонтанным носовым кровотечениям, возможна деструкция хрящей, костных стенок и деформация носа.
Третья стадия (фиброзная) характеризуется формированием рубцового стеноза полости носа и гортани [12, 13].
Клиника РС может имитировать любое заболевание гранулематозной или опухолевой природы, а также системную инфекцию: туберкулез, актиномикоз, сифилис, лепру, гистоплазмоз, бластомикоз, кожно-мышечный лейшманиоз, лимфому, веррукозную карциному, саркоидоз, болезнь Вегенера [4, 14, 15]. Трудности диагностики усугубляются тем, что в 18% случаев РС протекает атипично [10].
Бактериологическое исследование позволяет выявить возбудителя РС не более чем в 50-60% случаев [4, 16] даже при наличии клинического подозрения на данное заболевание и посеве на специальные среды. Поэтому основным является гистопатологический метод диагностики РС.
Типичным морфологическим признаком РС считается формирование инфильтратов, состоящих из плазматических клеток, лимфоцитов, клеток Микулича и фуксинофильных гиалиновых телец Русселя, которые являются дериватами базофильных зерен в плазматических клетках [17]. Патогномоничным морфологическим признаком РС являются клетки Микулича [18, 19], представляющие собой макрофаги с содержащимися в их вакуолях капсульными бактериями Klebsiella rhinoscleromatis. Последние также обнаруживаются в межклеточном пространстве. Гистопатологическая идентификация РС возможна только во второй стадии заболевания, поскольку выраженное рубцевание, которое происходит в третьей стадии, затрудняет обнаружение изредка встречающихся клеток Микулича и плазматических клеток [19].
N. Sood и соавт. [20] описали цитологические признаки РС, которые, по мнению авторов, будут способствовать ранней диагностике данного заболевания и своевременному началу его лечения.
Степень распространенности процесса при РС определяют по результатам лучевых методов исследования. Важнейшим методом диагностики склеромных поражений носа и околоносовых пазух является СКТ, а гортани - СКТ и магнитно-резонансная томография, позволяющие выявить степень и протяженность стеноза [21].
H. Gaafar и соавт. в своем исследовании [9] описали 10-летний опыт наблюдения за 56 пациентами с Р.С. До 2003 г. в схему лечения этих больных входило применение рифампицина и ко-тримоксазола на протяжении 3 мес, затем авторы заменили эти препараты на ципрофлоксацин, который также назначали принимать в течение 3 мес. При этом общая доля рецидивов заболевания при таком протоколе ведения пациентов составила 25%.
S. Fawaz и соавт. в своей работе [10] делятся опытом лечения 88 больных курсами антибиотикотерапии продолжительностью от 4 до 20 нед: рифампицин (63 пациента), ципрофлоксацин (14 больных), ко-тримоксазол (11 человек). Рецидивы заболевания отмечены в 27% случаев.
Q. Zhong и соавт. [5] при ретроспективном анализе результатов лечения 40 больных на протяжении 30 лет отметили отсутствие рецидивов заболевания в течение 1-10 лет наблюдения у 27 пациентов, подвергнутых комбинированному лечению, включающему антибиотикотерапию, радиотерапию и хирургическое вмешательство.
S.L. Tan и соавт. [22], учитывая опыт лечения 4 больных РС, рекомендуют применение комбинации ципрофлоксацина и доксициклина на протяжении не менее 6 мес.
Исходя из того, что Klebsiella rhinoscleromatis является внутриклеточным микроорганизмом, большинство авторов полагают, что наиболее эффективными антибиотиками для лечения РС являются фторхинолоны и рифампицин в течение 3-6 мес [5, 10, 13, 23].
Хирургическое лечение РС предполагает удаление патологических тканей, обтурирующих полость носа. При развитии ларинготрахеальных стенозов производят трахеостомию [12]. Хирургическое вмешательство может быть произведено только после курса антибиотикотерапии и при отрицательных результатах культурального исследования [24]. Следует учитывать, что антибиотики плохо проникают в ткани с недостаточным кровоснабжением и рубцы, поэтому при операциях по поводу РС необходимо антибактериальное «прикрытие» во избежание ятрогенной диссеминации процесса [25].
Основными проблемами послеоперационного ведения больных РС являются предупреждение рецидивов заболевания и рубцевания.
O. Awad и M. Hammad [11] провели рандомизированное контролируемое исследование эффективности местного применения противоопухолевого препарата митомицин в послеоперационном периоде у больных Р.С. Авторы наблюдали 30 пациентов с гранулематозной и фиброзной стадиями РС, которым после эндоскопических вмешательств в полости носа производили 5-минутные аппликации митомицина (исследуемая половина носа) и физиологического раствора (контрольная половина носа) в течение длительного периода. Результаты были оценены через год после вмешательства. Отсутствие роста грануляционной ткани отмечено у 69% пациентов при применении митомицина по сравнению с 32% случаев в контрольных наблюдениях, разница является статистически достоверной. Образование синехий при применении митомицина также наблюдалось реже, но это различие оказалось статистически недостоверным.
Таким образом, диагностика и лечение РС представляют сложную задачу, необходимы дальнейшие исследования, отвечающие требованиям доказательной медицины.
Klebsiella pneumoniae (клебсиелла пневмонии)
Klebsiella pneumoniae в ЖКТ человека
Klebsiella pneumoniae колонизирует кишечник современного человека в первые 5–6 дней жизни, причем основным источником Klebsiella pneumoniae являются мать и персонал родильных домов. Обнаружение Klebsiella pneumoniae в желудочно-кишечном тракте (ЖКТ) человека, в общем случае, не требует лечения. У здорового человека в 1 г кала насчитывается до 10 5 Klebsiella pneumoniae.
В то же время, при нарушении функционирования органов желудочно-кишечного тракта или в результате внешних воздействий, возможно значительное увеличение количества Klebsiella pneumoniae в организме и развитие инфекции. В частности, при назначении антибиотиков не всегда учитывается их влияние на микробную флору, заселяющую кишечник. Антибактериальные препараты подавляют рост не только патогенных микроорганизмов, но и нормальную микрофлору. В результате размножаются сапрофитные микробы (клебсиелла, стафилококки, протей, дрожжевые грибы, энтерококки, синегнойная палочка и др.) приобретающие патогенные свойства (Щербаков П.Л.).
Причиной клебсиеллеза органов ЖКТ может быть дисбактериоз или заражение от больных инфекционной формой клебсиеллеза. Болезнь проявляется в форме острого гастрита, гастродуоденита, кишечной инфекции и характеризуется острым началом, тошнотой, рвотой, болями в животе, поносом, повышением температуры и общей слабостью. Продолжительность клебсиеллеза органов ЖКТ — 1–5 дней.
Klebsiella pneumoniae — причина внутрибольничных инфекций
Klebsiella pneumoniae — одна из причин внутрибольничных инфекций. В последние годы в разных странах (в т.ч. в России и в Израиле) имелись случаи массового заражения мутированными, не восприимчивыми к распространенным антибиотикам, штаммами Klebsiella pneumoniae пациентов больниц. Чаще всего заражались больные с ослабленной иммунной системой, перенесшим пересадку органов или проходящим курс химиотерапии.
Klebsiella pneumoniae и инфекции мочевыводящих путей и половой сферы
Klebsiella pneumoniae — один из распространенных возбудителей инфекционных заболеваний мочевыводящих путей. В отличие от ЖКТ или кожи, для мочевыводящих путей Klebsiella pneumoniae всегда является патогенным микроорганизмом. Среди обращающихся за амбулаторной помощью пациентов с неосложненными инфекционными заболеваниями мочевыводящих путей причиной инфекции в 6,4 % случаев является Klebsiella pneumoniae. Для пациентов с осложненными инфекционными заболеваниями мочевыводящих путей эта цифра достигает 9,4 %. Klebsiella pneumoniae в мочеполовых путях часто является следствием внутрибольничных инфекций.
Клебсиелла пневмонии может встречаться во влагалищной микрофлоре, в частности, после приёма антибиотиков, результатом которого было уничтожение нормальной микрофлоры влагалища. Клебсиелла пневмонии в мочеполовых путях часто является следствием внутрибольничных инфекций.
Клебсиелла риносклеромы
Клебсиелла риносклеромы (Klebsiella pneumoniae subsp. rhinoscleromatis), называемая также палочкой риносклеромы или палочкой Фриша-Волковича, является возбудителем хронического инфекционного заболевания — склеромы, гранулематозного поражения слизистой оболочки носа (риносклерома) и верхних дыхательных путей. Клебсиеллы риносклеромы вызывают хронические воспалительные процессы слизистых оболочек верхних дыхательных путей, бронхов с образованием инфильтратов, которые затем рубцуются. Клебсиеллы риносклеромы обнаруживаются в гранулемах, где они локализуются внутри и вне клеток.
Клебсиелла озены
Клебсиелла озены (Klebsiella pneumoniae subsp. ozaenae), называемая в прошлом палочкой озены или палочкой Абеля-Левенберга, выявляется у 80 % больных озеной — зловонным насморком, характеризующимся атрофическим процессом слизистой оболочки и костных стенок полости носа, сопровождающегося образованием секрета, засыхающего в зловонные корки, плотным слоем покрывающие слизистую оболочку. Клебсиеллы озены вызывают хронические заболевания дыхательной системы, поражающие глотку, гортань, трахеи. Болезнь сопровождается выделением зловонного вязкого секрета.
Лечение клебсиеллезов
Для лечения клебсиеллезов обычно применяются антибиотики. Также используются лекарственные препараты, действующим веществом которого являются бактериофаги (Бактериофаг клебсиелл пневмонии очищенный жидкий, Секстафаг и др.). Бактериофаги действуют избирательно, не имеют противопоказаний, но они менее эффективны, чем антибиотики.
Из пробиотиков эффективен Энтерол, содержащий лиофилизированные дрожжевые грибы Saccharomyces boulardi, обладающие прямым антимикробным действием в отношении Klebsiella pneumoniae.
Антибактериальные средства, активные в отношении Klebsiella pneumoniae (из имеющих описание в данном справочнике): левофлоксацин, норфлоксацин, офлаксацин, а также гентамицин, нафтифин и другие.
Klebsiella pneumoniae устойчива к клотримазолу.
Klebsiella pneumoniae в систематике бактерий
Вид Klebsiella pneumoniae входит в род клебсиелла (лат. Klebsiella), семейство энтеробактерии (лат. Enterobacteriaceae), порядок энтеробактерии (лат. Enterobacteriales), класс гамма-протеобактерии (лат. γ proteobacteria), тип протеобактерии (лат. Proteobacteria), царство бактерии.
Устаревшее название Klebsiella pneumoniae — палочка Фридлендера. Карл Фридлендер (нем. Carl Friedländer, 1847–1887) — немецкий микробиолог, выделивший чистую культуру Klebsiella pneumoniae в 1882 году.
Первоначально Klebsiella pneumoniae была определена, как микроорганизм вызывающий пневмонию (отсюда и ее название). Однако её роль не сводится только к инфекциям респираторной системы. В общем случае Klebsiella pneumoniae классифицируется как условно-патогенный микроб, находящийся в нормальной ситуации и в определенных органах в симбиотическом отношении с человеческим организмом, а в иных ситуациях являющийся причиной инфекционных заболеваний.
Бактериофаг Клебсиелл поливалентный очищенный

Производитель: ФГУП «НПО «Микроген» Минздрава России.
Наименование лекарственного средства: Бактериофаг клебсиелл поливалентный очищенный.
Группировочное наименование: Бактериофаг клебсиелл.
Лекарственная форма
раствор для приёма внутрь, местного и наружного применения.
Форма выпуска
Раствор для приема внутрь, местного и наружного применения во флаконах по 20 мл. По 4 флакона с инструкцией по применению в пачке из картона. По 4 флакона в контурной ячейковой упаковке из пленки поливинилхлоридной. По 1 контурной ячейковой упаковке с инструкцией по применению в пачке из картона.
Состав
Описание
Представляет собой прозрачную жидкость желтого цвета различной степени интенсивности, допускается зеленоватый оттенок.
Фармакологическое группа
Фармакологические свойства
Препарат вызывает специфический лизис бактерий Klebsiella pneumoniae, Klebsiella ozaenae, Klebsiella rhinoscleromatis.
Показания для применения
Лечение и профилактика заболеваний, вызванных бактериями Klebsiella pneumoniae, Klebsiella ozaenae, Klebsiella rhinoscleromatis в составе комплексной терапии:
озена, склерома;
- заболевания желудочно-кишечного тракта (гастроэнтероколит, холецистит, панкреатит, дисбактериоз кишечника);
- воспалительные заболевания новорожденных и детей раннего возраста (гастроэнтероколит, дисбактериоз кишечника, омфалит, пемфигус, пиодермия, септицемия и септикопиемия различной локализации);
- хирургические инфекции (нагноения ран, гнойные поражения кожи, ожоги, перитонит, плеврит, мастит, остеомиелит, абсцесс);
- урогенитальные инфекции (цистит, пиелонефрит, уретрит, эндометрит, вульвит, бартолинит, кольпит, сальпингоофорит);
- гнойно-воспалительные заболевания уха, горла, носа, пазух носа, ротовой полости, глотки, гортани, бронхов, легких и плевры (отит, ангина, фарингит, ларингит, стоматит, пародонтит, гайморит, фронтит, бронхит, пневмония, плеврит);
- посттравматический конъюнктивит, кератоконъюнктивит, гнойная язва роговицы и иридоциклит;
- профилактика внутрибольничных инфекций, вызванных клебсиеллами.
Противопоказания
Гиперчувствительность к компонентам препарата.
Режим дозирования и способ введения.
Препарат используют для приема внутрь (через рот), в виде клизм, аппликаций, орошений, введения в полости ран, вагины, матки, носа, пазух носа, а также в дренированные полости: абсцессов, брюшную, плевральную, мочевого пузыря, почечной лоханки.
Внутрь препарат принимают натощак за 0,5-1 час до приема пищи.
Рекомендуемые дозировки препарата
| Возраст | Доза на 1 приём (мл) при различных способах введения препарата | |
| внутрь | в клизме | |
| 0-6 мес. | 5 | 10 |
| 6-12 мес. | 10 | 20 |
| от 1 года до 3 лет | 15 | 20-30 |
| от 3 до 8 лет | 20 | 30-40 |
| от 8 лет и старше | 20-30 | 40-50 |
Лечение гнойно-воспалительных заболеваний с локализованными поражениями должно проводиться одновременно как местно, так и приемом препарата внутрь.
В случае обработки полости гнойного очага химическими антисептиками перед применением бактериофага она должна быть промыта стерильным 0,9 % раствором натрия хлорида.
При лечении озены и склеромы препарат используют для промывания полости носа и слизистой оболочки верхних дыхательных путей, для введения в полости пазух носа (по клиническим показаниям), а также при поражении глотки, гортани, трахеи в виде ингаляций (без подогрева и использования ультразвука). Доза препарата для обработки слизистых носа и верхних дыхательных путей 10-20 мл. После промывания слизистых в полость носа по очереди в каждый носовой ход вводят турунды, смоченные препаратом, и оставляют на 1 час.
Процедуру повторяют 2-3 раза в день в течение 20-40 дней. Поскольку озена и склерома являются хроническими заболеваниями, с целью профилактики обострений рекомендуется 1 раз в год проводить 20-40 дневные курсы лечения по вышеприведенной схеме.
При лечении ангин, фарингитов, ларингитов препарат используют для полосканий полости рта и глотки 3 раза в день по 10-20 мл, курс лечения 7-10 дней.
При лечении бронхитов, пневмоний препарат принимают внутрь 3 раза в день по 10-20 мл, а также применяют в виде аэрозолей и ингаляций (без подогрева и использования ультразвука), курс лечения 15-20 дней.
При лечении отитов препарат используют для промывания и введения в полость среднего уха по 2-5 мл 1-3 раза в день. Курс лечения 7-15 дней.
При лечении воспалений пазух носа препарат используют для промывания полости носа, носоглотки и пазух носа в дозе 5-10 мл и введения в пазухи 2-3 мл. Процедуру повторяют ежедневно однократно в течение 7-10 дней. Кроме того, препарат вводят в полость носа в виде турунд, смоченных бактериофагом, по очереди в каждый носовой ход и оставляют в течение 0,5-1 часа. Процедуру повторяют 3 раза в день, курс лечения 7-15 дней.
При лечении стоматитов и хронических пародонтитов препарат используют в виде полосканий полости рта 3-4 раза в день в дозе 10-20 мл, а также введением в пародонтальные карманы турунд, пропитанных бактериофагом клебсиелл, на 5-10 мин, курс лечения 7-10 дней.
При конъюнктивитах и кератоконъюнктивитах препарат применяют по 2-3 капли 4- 5 раз в день, курс лечения 5-7 дней; при гнойной язве роговицы - по 4-5 капель в день в течение 7-10 дней; при гнойных иридоциклитах - по 6-8 капель каждые 3 часа в сочетании с приемом внутрь в терапевтических дозировках в течение 7-10 дней.
При абсцессах после вскрытия и удаления гнойного содержимого препарат вводят в количестве меньшем, чем объем удаленного гноя ежедневно однократно, курс лечения 7-10 дней.
При перитонитах и плевритах препарат вводят в дренированные полости - брюшную и плевральную через дренажные трубки ежедневно однократно 20-70 мл, курс лечения 10-15 дней.
При остеомиелитах препарат вводят в полость раны через турунды, дренажи в количестве 10-30 мл ежедневно однократно, курс лечения 15-20 дней.
При лечении нагноений ран препарат применяют в виде орошения, аппликаций, повязок, введения в дренаж в дозе 5-50 мл в зависимости от очага поражения не менее одного раза в день, курс лечения 10-15 дней.
При лечении гнойно-воспалительных гинекологических заболеваний (нагноений ран, эндометритов, вульвитов, бартолинитов, кольпитов, сальпингоофоритов) препарат используют для орошений, аппликаций, вводят в полости ран, вагины, матки по 5-20 мл один раз в день в течение 7-10 дней.
При циститах, пиелонефритах, уретритах препарат принимают внутрь в терапевтической дозе 3 раза в день за 1 час до еды в течение 10-20 дней. В том случае, если полость мочевого пузыря или почечной лоханки дренированы, препарат вводят через цистостому или нефростому 1-3 раза в день по 20-50 мл в мочевой пузырь и 5-7 мл в почечную лоханку, курс лечения 7-15 дней.
При гастроэнтероколитах, панкреатитах, холециститах, а также дисбактериозах кишечника бактериофаг принимают внутрь в возрастных дозировках 3 раза в день за 1 час до еды в течение 7-15 дней (по клиническим показаниям). При неукротимой рвоте препарат применяют в виде высоких клизм 2-3 раза в день по 20-40 мл. При дисбактериозе кишечника препарат может применяться с препаратами нормофлоры.
Для профилактики внутрибольничных хирургических инфекций препарат используют для обработки послеоперационных и свежеинфицированных ран в дозе 5-50 мл в зависимости от очага поражения ежедневно однократно в течение 5-7 дней.
Применение препарата у детей до 1 года (включал недоношенных детей).
При гастроэнтероколите, пневмонии и сепсисе новорожденных препарат применяют через рот 2-3 раза в сутки по 3-5 мл за 30 минут до кормления. В случаях неукротимой рвоты препарат применяют в виде высоких клизм (через газоотводную трубку или катетер) ежедневно однократно в дозе 5-10 мл. Возможно сочетание ректального (в виде высоких клизм) и перорального применения препарата. Курс лечения 7-15 дней (по клиническим показаниям). При рецидивирующем течении заболевания возможно повторное проведение курсов лечения.
С целью профилактики возникновения внутрибольничной инфекции у новорожденных детей бактериофаг применяют по эпидемическим показаниям внутрь по 3-5 мл 3 раза в день за 30 минут до кормления в течение всего срока пребывания в стационаре.
При лечении омфалитов, пиодермий, инфицированных ран бактериофаг применяют в виде аппликаций по 5-10 мл 2-3 раза в день (марлевую салфетку смачивают бактериофагом и накладывают на пупочную ранку или пораженный участок кожи) в течение 7-15 дней.
Применение препарата не исключает использование других антибактериальных и противовоспалительных препаратов.
Возможные побочные действия
Особые указания
Важным условием эффективной фаготерапии является
предварительное определение чувствительности возбудителя к бактериофагу.
Перед использованием флакон с бактериофагом необходимо взболтать и просмотреть. Препарат должен быть прозрачным и не содержать осадка.
Внимание! При помутнении препарат не применять!
Вследствие содержания в препарате питательной среды, в которой могут развиваться бактерии из окружающей среды, вызывая помутнение препарата, необходимо при вскрытии флакона соблюдать следующие правила:
- тщательно вымыть руки;
- обработать колпачок спиртсодержащим раствором;
- снять колпачок, не открывая пробки;
- не класть пробку внутренней поверхностью на стол или другие предметы;
- не оставлять флакон открытым;
- вскрытый флакон хранить только в холодильнике.
При использовании малых доз (2-8 капель) препарат необходимо отбирать стерильным шприцем в объеме 0,5-1 мл.
Препарат из вскрытого флакона при соблюдении условий хранения, вышеперечисленных правил и отсутствии помутнения может быть использован в течение всего срока годности.
Симптомы передозировки, меры по оказанию помощи при передозировке.
Влияние на способность к управлению транспортными средствами и механизмами.
Применение при беременности и в период грудного вскармливания
Применение данного препарата при беременности и в период кормления грудыо возможно при наличии инфекций, вызванных фагочувствительными штаммами клебсиелл (по рекомендации врача).
Взаимодействие с другими лекарственными препаратами.
Применение препарата возможно в сочетании с другими лекарственными средствами, в том числе с антибиотиками.
Условия хранения и транспортирования
Срок годности. Срок годности 2 года. Препарат с истекшим сроком годности применению не подлежит.
Условия отпуска из аптек
Отпускается без рецепта.
Мифы о вакцинации
В последние годы в мире складывается неоднозначное отношение к прививкам. Несмотря на то, что поголовная вакцинация против некоторых заболеваний привела к практически полному их исчезновению, ряды противников обязательных прививок растут. Этому способствует широкое распространение заблуждений, касающихся вакцинации.
Неизвестная инфекция — главная опасность
Кишечные инфекции, вал клещевых энцефалитов и южные инфекции, привезенные россиянами из отпусков,— таковы медицинские итоги лета.
Один из самых именитых инфекционистов России академик Виктор Малеев рассказал о наших самых маленьких, но от этого не менее опасных врагах.
Прививки для детей от рождения до 7 лет: рекомендации на 2017 год
Национальный календарь профилактических прививок включает в себя далеко не самый полный перечень вакцин, существующих в мире. При его составлении учитывается великое множество факторов, и далеко не последнюю роль.
Антипрививочники меняют свои убеждения
Большая часть студентов-антипрививочников, интервьюировавших людей с заболеваниями, которые можно было предупредить вакцинацией, изменила свою позицию на провакцинаторскую. В целом, 75% учащихся, выступавших против прививок, поменяли свое отношение к вакцинации, причем 50% полностью перешли в лагерь ее сторонников.
Комплексный ответ простуде и гриппу
С наступлением холодного сезона ежегодно повышается заболеваемость острыми респираторными вирусными инфекциями (ОРВИ), гриппом и другими инфекциями дыхательных путей, на пике холодов приобретая масштабы эпидемии.
Атрофический ринит
Атрофический ринит — это разновидность хронического ринита, при котором происходит истончение слизистой оболочки дыхательных путей, расширение носовых ходов. Заболевание возникает под воздействием загрязнителей воздуха, инфекционных факторов, гормонального дисбаланса и хронических заболеваний внутренних органов. Основные симптомы: сухость в носу, снижение обоняния, появление желто-серых корок, частые кровотечения. Диагностика ринита требует риноскопии, эндоскопии, компьютерной томографии носовых пазух и лабораторных исследований. Лечение включает в себя местные увлажняющие и смягчающие средства, системные антибиотики, физиотерапию и хирургическое вмешательство.
Общие сведения
Заболеваемость ринитом колеблется от 0,3% до 1% среди населения, при этом заболевание в основном поражает людей молодого и среднего возраста. Женщины болеют чаще мужчин из-за гормональных колебаний на протяжении всей жизни. Наибольшая распространенность патологии наблюдается в странах Восточной Европы, Азии, Центральной Африки. Этот вид ринита чаще встречается у сельских жителей (70%), регионов с плохой экологической ситуацией и засушливым климатом.
Причины
Причины атрофического ринита окончательно не установлены. В современной отоларингологии общепринятой является полиэтиологическая теория развития заболевания. Главный фактор — долгосрочное экзогенное воздействие раздражающих факторов: табачного дыма, угольной пыли, промышленных выбросов, нефтепродуктов. Остальные причины развития болезни можно объединить в следующие группы:
- Наследственная предрасположенность. Врожденные особенности строения слизистой оболочки не могут стать спусковым крючком заболевания, однако на фоне возможно обострение имеющихся симптомов. Генетические факторы связаны с уменьшением количества бокаловидных клеток, снижением мукоцилиарного клиренса.
- Гормональный дисбаланс. В некоторых случаях развитие или обострение ринита происходит у девочек и мальчиков в период полового созревания, у женщин в период беременности или климакса. Предрасполагающими факторами могут выступать заболевания щитовидной железы, надпочечников и гипофизарно-гипоталамической системы.
- Инфекции. Частые вирусные заболевания верхних дыхательных путей нарушают мукоцилиарный клиренс и вызывают нарушение выработки слизи. В развитии атрофического ринита также играют роль бактериальные возбудители: клебсиелла, протей, кишечная палочка, дифтероиды.
- Специфические воспалительные заболевания. Вторичный ринит часто формируется на фоне сифилиса, риносклеромы, системной красной волчанки и других аутоиммунных патологий. Механизм развития связан как с прямым повреждением слизистой оболочки носа гранулематозным процессом, так и с иммунным воспалением.
- Ятрогенные факторы. Симптомы вторичного атрофического ринита часто развиваются у пациентов, перенесших операции на носоглотке (ринопластика, септопластика, конкотомия). Изредка причиной заболевания становится длительный прием гормональных препаратов, бесконтрольный прием назальных деконгестантов.
Озена — это отдельная категория атрофического ринита, прогрессирующего заболевания, развивающегося при заражении клебсиеллой. При этом виде патологии в процесс вовлекается не только слизистая оболочка полости носа, хрящевые и костные структуры носа. Наиболее частое развитие болезни связано с врожденной шириной носовых ходов, воспалительными заболеваниями, нарушением функции вегетативной нервной системы.
Патогенез
Основным звеном патогенеза атрофического ринита считается нарушение физиологических функций мерцательного эпителия слизистой оболочки носа. Обычно механизм движения ресниц обеспечивается энергетической молекулой АТФ, которая связывается с динеином и разрушается, обеспечивая поступление фосфатных веществ. Затем происходят структурные изменения в динеине, к которому присоединяется следующая молекула АТФ, и процесс повторяется снова.
Физиологически в полости носа наблюдается соотношение ресничек и бокаловидных клеток 5: 1, что сопровождается адекватным выделением слизи, достаточным увлажнением слизистой оболочки носа. У пациентов с атрофическим ринитом уменьшается количество бокаловидных клеток, в результате чего уменьшается количество слизи, нарушается защитная функция эпителия, угнетается продукция факторов местного иммунитета.
Атрофический ринит поражает как носовой эпителий, так и более глубокие структуры, вызывая дополнительные симптомы. При длительном существовании болезни поражаются мелкие сосуды, периферические нервные окончания (ветви обонятельного нерва). В результате обостряются атрофические процессы в стенке полости носа, нарушаются все физиологические функции.
Симптомы атрофического ринита
Первый и главный симптом болезни — сухость в носу. Больные жалуются на жжение, зуд, щекотание и другие неприятные симптомы. Для атрофического ринита характерно появление густых слизистых выделений, которые с трудом выводятся, затем засыхают в виде толстых корок во всех отделах полости носа. Из-за постоянного зуда пациент срывает эти струпья, вызывая кровотечение из носа.
Поскольку лечение ринита часто откладывается, к вышеперечисленным симптомам добавляется зловонный запах. Возникает в результате жизнедеятельности патогенных микроорганизмов, при кариозном поражении костно-хрящевых структур носа. Гибель окончаний обонятельного нерва сопровождается характерным симптомом постепенного уменьшения обоняния, вплоть до полной потери.
Типичный симптом атрофического процесса — жалобы пациента на затруднение дыхания, несмотря на увеличенный просвет носовых ходов. Эти симптомы могут быть вызваны чрезмерным скоплением корок на слизистой оболочке, что препятствует циркуляции воздуха и потере нервных окончаний.
При длительном атрофическом процессе, особенно при его осложненном течении, пациентов беспокоит ухудшение общего самочувствия. Типичные симптомы: головокружение, слабость, неврозы и нарушения сна, хронические кровотечения и железодефицитная анемия. Процесс может распространяться на глотку, что проявляется симптомами потливости, ощущением «комка» в горле, периодическим кашлем.
При осмотре больного атрофическим ринитом определяется скопление плотных желто-серых корок в зоне видимости. Свободные участки слизистой оболочки имеют бледно-розовый или сероватый оттенок, повышенную сухость, плохое кровоснабжение. При длительном существовании ринита наблюдается симптом патологического расширения носовых ходов.
Осложнения
Наиболее частым последствием ринита без лечения является распространение процесса на придаточные пазухи носа с развитием синусита, лобного синусита, этмоидита или сфеноидита. В этом случае симптомы болезни дополняются болью во лбу и щеках, усиливающейся наклоном головы, периодическими гнойными выделениями из ноздрей, интоксикационным синдромом (повышение температуры тела, головная боль, симптомы слабости).
важно постоянное ощущение зловонного запаха, который ощущают не только сами пациенты, но и окружающие. В результате возникают проблемы социализации, пациент избегает других людей, сталкивается с трудностями в романтических отношениях. При атрофическом рините часто возникает повышенная тревожность, синдром отмены, депрессивные состояния.
Диагностика
Обследование больных с возможным атрофическим ринитом проводит опытный отоларинголог. На первичной консультации необходимо изучить все существующие симптомы, отследить анамнез ринита, осмотреть ЛОР-органы и провести стандартное физикальное обследование. Для постановки диагноза назначаются следующие методы диагностики:
- Передняя риноскопия. При осмотре полости носа обнаруживается истончение слизистой оболочки, расширение просвета носовых ходов, множественные слизистые оболочки, слизисто-гнойные или геморрагические корочки. Изредка через широкие носовые ходы можно визуализировать заднюю стенку носоглотки. Эндоскопия показывает наиболее точные результаты.
- КТ носовых пазух. Исследование входит в перечень стандартных методов в отоларингологии, проводится для изучения патологического процесса в носовых пазухах. Компьютерная томография также необходима при подозрении на системные гранулематозные воспалительные заболевания.
- Бактериологический посев. Для подтверждения микробной этиологии назначают микроскопию и бактериальный посев отделяемого из носоглотки. При обнаружении болезнетворных бактерий проводится тест на чувствительность к антибиотикам.
- Тест на аллергию. Для исключения аллергической этиологии ринита показаны стандартные кожные пробы, анализ крови на определение уровня иммуноглобулина Е и высокоспецифический назальный провокационный тест.
- Анализ крови. В клиническом анализе крови оцениваются показатели уровня гемоглобина и количества эритроцитов для диагностики анемии. Данные биохимических исследований необходимы для выявления вероятных симптомов острого воспаления, в том числе аутоиммунного характера. Дополнительно исследуется иммунограмма.
Поскольку симптомы атрофического ринита часто возникают в сочетании с симптомами поражения других органов, пациентам назначаются консультации профильных специалистов: аллерголога, ревматолога, пульмонолога, эндокринолога. По показаниям проводится осмотр дерматовенеролога для исключения сифилитической этиологии процесса. Посещение фтизиатра необходимо, если есть риск туберкулеза.
Лечение атрофического ринита
Консервативная терапия
Терапия атрофического ринита проводится комплексно с использованием местных и системных средств. Процедура направлена на увлажнение слизистой оболочки носа, безболезненное удаление корок и стимуляцию кровообращения в полости носа. Для этих целей пациентам назначают несколько групп препаратов:
- Солевые растворы. Промывание носа — это ежедневная процедура лечения атрофического ринита, обладающая увлажняющим, очищающим, противоотечным действием. Существуют специальные спреи с морской водой, облегчающие орошение носовой полости. Также для лечения можно использовать физиологический раствор хлорида натрия с добавлением йода.
- Масляные растворы. Для смягчения слизистой рекомендуются растворы с витаминами A, D, E, которые также обладают питательным действием, стимулируют регенерацию клеток. Для устранения сухости при лечении используются составы на основе глицерина и раствора Люголя, обладающие местным антисептическим и раздражающим действием.
- Фитопрепараты. Полость носа смазывают мазями с экстрактами лекарственных растений: календулы, тысячелистника, льна. Хороший эффект в лечении дает кунжутное масло, которое предотвращает потерю трансэпидермального увлажнения, улучшает защитный барьер кожи.
- Антибиотики В озере действуют противомикробные препараты. Лечение может включать аминогликозиды, цефалоспорины, фторхинолоны. Для уменьшения зловонного запаха к лечению добавляются йодсодержащие препараты, обладающие дезодорирующими свойствами.
- Препараты железа. При частых кровотечениях и наличии анемии или латентного дефицита железа показано лечение пероральными железосодержащими препаратами, в тяжелых случаях назначают парентеральные препараты для быстрого восполнения недостатка микроэлемента.
Для улучшения трофикы слизистых оболочек лечение дополняется применением гелий-неонового эндоназального лазера. Эффективны ингаляции солевых растворов, которые эффективнее капель и полосканий, увлажняя носовые ходы по всей длине. В составе комплексного лечения атрофических процессов рекомендуется бальнеотерапия, климатотерапия и санаторно-курортное лечение.
Хирургическое лечение
Помощь лор-хирургов необходима при запущенных формах хронического ринита, когда ходы слишком широкие, что создает неблагоприятные условия для консервативной терапии. Лечение направлено на сужение полости носа, что позволяет нормализовать функции носа, уменьшить сухость слизистой оболочки. Для операций используются несколько вариантов:
- заполнить подслизистые участки полости носа специальной пастой для воссоздания объема;
- смещение положения боковых стенок полости носа в сторону перегородки;
- использование растений из автохондральных тканей, лавсана, нейлона;
- транспозиция околоушного протока в околоносовые пазухи или носовую полость.
Прогноз и профилактика
Атрофический ринит имеет хроническое прогрессирующее течение, поэтому лечение этого состояния затруднено. При комплексной и своевременной терапии удается нормализовать состояние слизистой оболочки носа, улучшить общее состояние пациентов, однако под воздействием триггеров ринит может вновь обостриться. На запущенной стадии, когда развиваются необратимые поражения нервов и деформация костно-хрящевых образований, прогноз сомнительный.
Главный пункт профилактики — не допустить попадания раздражителей в полость носа. Работники опасных производств должны использовать респираторы и другие средства защиты органов дыхания. Важную роль играет своевременное лечение хронических патологий эндокринных органов, вирусных и бактериальных инфекций дыхательных путей.
Читайте также:
