Случай типичного периостита как исход несвоевременного лечения осложненного кариеса
Добавил пользователь Евгений Кузнецов Обновлено: 20.11.2025
В стоматологическую поликлинику Новосибирска обратилась пациентка с выраженным отёком мягких тканей лица, повышенной температурой тела и симптомами общей интоксикации.
Жалобы
Боли в области 13 зуба (правого верхнего клыка), усиливающиеся при накусывании, отёк правой половины лица, головная боль.
Болевой синдром стихает при полоскании полости рта содово-солевым раствором комнатной температуры и купируется "Найзом" на 1-2 часа.
Анамнез
Со слов пациентки: около года назад обратилась в одну из круглосуточных стоматологических клиник с жалобами на острые боли в области 13 зуба, усиливающиеся от температурных раздражителей, и ночные болевые ощущения. После проведения клинического осмотра и интерпретации прицельной рентгенограммы был поставлен диагноз "Пульпит". Под местной анестезией проведено препарирование кариозной полости, наложена девитализирующая паста, закрыта временной пломбой. Лечение зуба рекомендовано продолжить через 24-36 часов. Через двое суток пациентка самовольно удалила временную пломбу, прополоскала полость рта, к стоматологу решила не идти в связи с отсутствием времени и острых болей. Зуб периодически крошился, ломался, за стоматологической помощью не обращалась. Два дня назад после прогулки на лыжах начал болеть зуб, пациентка не придавала этому большого значения, принимала обезболивающие, полоскала полость рта содово-солевым раствором. Утром через пару дней заметила сильный отёк правой половины лица, озноб, головную боль. Обратилась в стоматологическую клинику по месту жительства.
Росла и развивалась в соответствии с возрастом. Хронические и вирусные заболевания отрицает, отмечает аллергию на пыльцу цветочных растений, аллергические реакции на медикаменты отрицает. Беременность и период лактации также отрицает.
Обследование
Асимметрия лица за счёт коллатерального отёка мягких тканей правой подглазничной и щёчной области, правая носогубная складка сглажена. При пальпации данных областей определяется умеренная болезненность. Открывание рта в полном объёме, бесшумное, безболезненное. Регионарные лимфатические узлы не пальпируются. Температура тела 38,1°C. В полости рта определяется частичная вторичная адентия верхней и нижней челюсти, коронковая часть 13 зуба разрушена полностью, перкуссия резко болезненна, слизистая оболочка альвеолярного отростка верхней челюсти в области 13 зуба гиперемирована, отёчна, переходная складка сглажена, болезненна при пальпации, определяется воспалительный инфильтрат. При пальпации правой щёчной области данных о воспалительном инфильтрате нет.
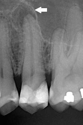
На прицельной рентгенограмме: коронковая часть 13 зуба отсутствует, в области верхушки корня определяется деструкция костной ткани с чёткими ровными контурами размером ~ 0,3*0,5 см. Деструктивные изменения в периапикальной области соседних зубов не визуализируются.
Диагноз
Лечение
28.11.2018: Под инфильтрационной анестезией раствора ультракаина 1:100000 1,7 мл удалён 13 зуб, при осмотре послеоперационного материала определяется гранулёма в области верхушки корня, проведён кюретаж лунки. По переходной складке провёден разрез на всю длину инфильтрата и периостотомия, тупым путём при помощи серповидной гладилки вскрыт субпериостальный абсцесс, получено отделяемое, полость абсцесса промыта 20 мл водного 0,05% раствора хлоргексидина, дренирована ленточным резиновым выпускником из стерильной перчаточной резины. Наложена асептическая повязка, холод в течение 30 минут в проекции послеоперационной раны. Назначения: "Амоксиклав" 625 мг по 1 таблетке 3 раза в день через каждые 8 часов, "Цетрин" по 1 таблетке перед сном, курс приёма лекарств — 5 дней. Анальгетики по потребности. Рекомендации: исключить на семь дней переохлаждение и перегревание; обильный приём тёплых витаминизированных напитков; проведение ротовых ванночек тёплым солевым раствором. Показана явка на следующий день.
29.11.2018: Пациентка предъявляет жалобы на умеренные боли в области послеоперационной раны, отмечает улучшение общего состояния. Принимает терапию в полном объёме, соблюдает рекомендации. Отёчность правой подглазничной и щёчной области уменьшилась, пальпация данных областей безболезненная. В полости рта: лунка 13 зуба под сгустком, заживает без признаков воспаления. Послеоперационная рана чистая, спокойная, в ране дренаж, по дренажу скудное серозно-геморрагическое отделяемое, дренаж состоятелен. Проведена антисептическая обработка полости рта водным 0,05% раствором хлоргексидина. Терапия по плану, явка на следующий день. 30.11.2018: Жалоб пациентка не предъявляет. Лицо относительно симметричное, кожные покровы телесного цвета. В полости рта лунка удалённого 13 зуба в стадии эпителизации, послеоперационная рана чистая, спокойная, в ране дренаж, отделяемого нет. Дренаж удалён, проведена антисептическая обработка полости рта водным 0,05 % раствором хлоргексидина.
На пятый день с момента обращения наступило выздоровление. Полная эпителизация лунки и послеоперационной раны — через 10 дней с момента обращения.
Заключение
Приведённый клинически пример показывает важность соблюдения рекомендаций врача, а также роль своевременного обращения пациента и его влияние на скорейшую реабилитацию и положительный итог.
Кариес и его последствия при несвоевременном лечении
В настоящее время частота заболеваний из-за несвоевременного лечения кариеса с каждым годом возрастает. Эта проблема возникает в связи с недостаточным осведомлением граждан о последствиях запущенного кариеса.
Несмотря на большие успехи в плане лечения и профилактики кариеса вопрос о его последствиях остается открытым.
Ключевые слова: кариес, профилактика, осложнения, своевременное лечение.
Currently, the incidence of diseases due to untimely treatment of caries is increasing every year. This problem arises due to insufficient awareness of citizens about the consequences of advanced caries.
Despite the great success in the treatment and prevention of caries, the question of its consequences remains open.
Key words: caries, prevention, complications, timely treatment.
Актуальность:
Актуальность данной статьи заключается в том, что в настоящее время кариес является важной проблемой современной стоматологии в связи с его высокой распространенностью и интенсивностью. По данным статистики заболевания вследствие запущенности кариеса продолжают расти. Эта проблема возникает в связи несоблюдения комплекса мероприятий, который включает в себя: несвоевременное лечения, недостаточную диагностику, плохую профилактику, устранения вредных бытовых привычек, правильное питание.
Данная проблема говорит о необходимости усовершенствования способов диагностики и профилактики, увеличения количества граждан, знающих о тяжелых последствиях несвоевременного лечения кариеса.
Цель исследования: осведомить граждан о проблемах, которые могут быть при запущенном кариесе.
Задачи исследования: Научиться своевременно проводить лечение зубов, устранять вредные привычки, проводить профилактику, чтобы избежать кариес и его последствия.
Материалы и методы исследования:
Решение поставленных в работе задач осуществлялось на основе применения учебных материалов.
Результаты собственных исследований:
В настоящее время частота заболеваний, связанных с осложнением кариеса, с каждым годом становится выше. Это связано с несерьезным отношением к данному заболеванию. Поэтому осведомление населения в данном вопросе является важным аспектом в работе стоматолога.
Несвоевременная диагностика кариеса происходит в основном из-за невнимательности стоматологов, слишком позднем обращении к специалисту, плохой осведомленности населения о вреде кариеса.
Из-за несвоевременной диагностики кариеса могут развиваться такие заболевания как пульпит, периодонтит, периостит, киста, галитоз, ЛОР заболевания.
Что такое кариес? Кариес — это заболевание, которое разрушает твердые ткани зуба. В полости рта находятся болезнетворные бактерии, они образуют пленку на зубах — зубной налет. Питаются бактерии углеводами, попадающими в ротовую полость, которые впоследствии перерабатывают и выделяют органические кислоты, как раз так эти органические кислоты и разрушают ткани зуба.
Не только бактерии играют важную роль в распространении кариеса, также есть ряд факторов, которые так же влияют на здоровье наших зубов: изобилие «быстрых» углеводов в рационе (сладкое, мучное); плохая гигиена зубов и полости рта; недостаток в организме кальция, фтора, фосфора, витамина D; ослабленный иммунитет.
Кариес прогрессирует постепенно и в течение в среднем 15 месяцев он не принесет большого вреда. Существует 4 стадии кариеса.
Первая стадия кариеса — стадия пятна. Характеризуется тем, что на зубе нет отверстия, но становится заметно пятно. Пятно — это признак того, что эмаль теряет свои минеральные вещества. На этой стадии нет чувства боли и дискомфорта, поэтому пациенты редко обращаются за помощью к стоматологу. Самое главное преимущества обнаружения кариеса в стадии пятна — это то, что его можно вылечить консервативными методами.
Вторая стадия кариеса — поверхностный кариес. Эта стадия характеризуется тем, что на зубе появляется небольшое отверстие. Пациент может жаловаться на то, что зуб реагирует на холодное, горячее, кислое и сладкое.
Третья стадия кариеса — средний кариес. Характеризуется тем, что отверстие уже дошло до дентина зуба. В этом случае потребуется вмешательство с бор машинкой и композитными материалами.
Четвертая стадия кариеса — глубокий кариес характеризуется тем, что отверстие почти дошло до зубного нерва. У пациента острая боль, которую терпеть очень трудно. Основные осложнения начинаются с четвертой стадии
Лечить кариес лучше на ранних стадиях, пока в зубе нет кариозной полости. Консервативные методы помогут остановить патологический процесс без сверления и пломбирования. Если в зубе уже образовалась дырка, тогда без бормашины не обойтись. А если не лечить? Многие с детства боятся стоматологов и как можно сильнее оттягивают визит к врачу. Делать этого нельзя ни в коем случае, потому что кариес опасен для организма своими последствиями. При запущенной форме заболевания можно потерять зуб, «заработать» гнойное воспаление. Известны даже случаи летального исхода от осложнений глубокого кариеса. Поэтому лечить болезнь надо обязательно.
Опасное осложнение кариеса — пульпит.
Одно из самых распространенных осложнений кариеса. Возникает вследствие запущенной четвертой стадии кариеса. Воспаление охватывает сосудисто-нервный пучок, который находится в пульпе зуба. Этот сосудисто-нервный пучок снабжает питанием зуб [4]. При лечении пульпита нередко прибегают к удалению пульпы. Так зуб может остаться без питания. Основной симптом пульпита — острая, пульсирующая боль, которую невозможно терпеть. Иррадирует в висок и в ухо. Лечение пульпита нужно начинать как можно быстрее.
Лечение пульпита может проходить двумя способами: биологический или хирургический. Первый можно использовать только при начальной стадии заболевания. Особенно часто к биологическому методу прибегают в детской стоматологии, когда необходимо сохранить корень молочного зуба. Суть метода проста. Он состоит из 3 посещений. В первое посещение пораженную часть зуба раскрывают обрабатывают антисептиком, ставят тампон с антибактериальным средством и закрывают зуб повязкой [2]. Во второе посещение зуб осматривают и если жалоб нет, заполняют дентин стимулирующем раствором и закрывают временной пломбой. Во время третьего приема пломбируют зубную коронку.
Хирургический метод заключается в том, что пульпу удаляют, тем самым лишая зуб питания. Срок службы зуба существенно сокращается.
Если не лечить пульпит он приведет к таким последствиям как:
Периоститу — воспалению надкостницы
Периодонтиту — воспалению тканей, окружающих зуб
Сепсису — заражению крови
Периодонтит как грозное последствие кариеса
Возникает вследствие нелеченого пульпита. Если пульпит не лечить и вытерпеть все боли, которое несет это заболевание, то инфекция пойдет дальше, а точнее в периодонт (аппарат, который обеспечивает фиксацию и амортизацию зуба в альвеолярном ложе) [3]. При периодонтите может образоваться гнойник, который потребует только хирургического вмешательства с разрезом десны. У периодонтита имеется две формы течения: Острая и хроническая. В острую стадию воспалительный процесс развивается быстро и вскоре зуб темнеет и начинает расшатываться. Периодонтит в хронической форме требует долгой комплексной терапии, которая может занять несколько месяцев. Заболевание сильно ослабляет иммунную защиту и в целом отрицательно влияет на состояние организма.
Лечение периодонтита
Хроническую форму лечат по схеме:
Обезболивание больного зуба
Удаляют из зуба пораженные ткани, старые пломбы, расширяют корневой канал.
Следующий этапом состоит из промывания антисептическими растворами. В полость зуба закладывают препарат, который снимет воспалительный процесс
Зуб закрывают временной пломбой и назначают антибиотикотерапию
На последнем этапе делают рентген снимок, где будет видно удалось ли остановить воспаление, если получилось остановить, вскрывают временную пломбу и ставят постоянную.
В некоторых случаях невозможно вылечить зуб консервативным методом, тогда врач должен использовать хирургические методы, а именно: удаление части корня или удаление зуба полностью.
К итогу, про периодонтит хочу сказать, что это очень коварное заболевание, которое требует на излечение немало времени и затрат. Намного проще вылечить кариес на начальных стадиях.
В чем опасность кариеса для желудочно-кишечного тракта?
В чем опасность кариеса для желудочно-кишечного тракта? Кариес и его осложнения оказывают вредное влияние не только на зубы, но и на другие органы и системы организма. В частности, нередко на фоне кариозного поражения зубов возникают заболевания желудочно-кишечного тракта — панкреатит, гастрит, язва двенадцатиперстной кишки и желудка. Дело в том, что при кариесе и любых других стоматологических заболеваниях в полости рта активизируется патогенная микрофлора. Вместе с едой и слюной по пищеводу она легко может проникать в желудок, кишечник, вызывая воспалительный процесс. По мере того как микробы размножаются, они вытесняют полезные микроорганизмы и приводят к развитию заболеваний ЖКТ. С другой стороны, состояние органов пищеварения напрямую зависит от качества пережевывания пищи. Кариес негативно сказывается на этой функции, потому что поврежденными жевательными зубами человек не может качественно обработать пищу до такого состояния, чтобы органы ЖКТ могли без труда ее усвоить и переварить. В результате возникает избыточная нагрузка на желудок, кишечник, двенадцатиперстную кишку, что и приводит к патологиям пищеварительных органов. Кроме того, из плохо пережеванной пищи хуже усваиваются полезные вещества.
ЛОР-заболевания как последствия кариеса
Кариесогенные бактерии способны вызывать не только кариес, так же они могут попадать в ЛОР-органы через носоглотку и оседать там, вызывая при этом такие заболевания как ринит, гайморит, ангину. Если вы часто страдаете от этих недугов, есть повод навестить врача стоматолога, как минимум для профессиональной гигиены.
Чем опасен кариес для сердца и сосудов?
Патогенные организмы могут попадать в кровоток из-за повреждения десен при чистке зубов щетками со слишком грубым материалом или чисткой межзубных контактов флосами. Попадая в кровоток, патогенны оседают в сердце и могут вызвать воспаление его клапанов — инфекционный эндокардит. Также давно доказанный факт: при высоком поражении зубов кариесом возрастает риск тромбоза, инсульта, инфаркта на 70 %. Почему так происходит? Все дело также в патогенах. Попадая в кровяное русло, они оседают на стенках сосудов рядом с атеросклеротическими бляшками вследствие чего бляшка начинает расти и её рост может привести к закупорке сосудов.
Риск летального исхода при кариесе
Известны случаи летального исхода вследствие запущенного кариеса. Происходит это как правило из-за распространения инфекционного процесса в гайморовы пазухи откуда это может развиться в абсцесс головного мозга [1].
Вывод
В заключении хочется подчеркнуть, что огромное количество людей даже не задумывается о том, как иногда крайне важно раз в полгода посещать стоматолога.
Многие считают профилактическую гигиену пустой тратой времени и средств. Нужно объяснять с малого возраста, что зубы — это немаловажная часть нашего организма и закрывая глаза на их удручающее состояние, мы делаем хуже всем системам нашего организма. Мои рекомендации: посещать стоматолога как можно чаще (хотя бы раз в полгода), проводить профессиональную гигиену, также применяя “скайлер” для удаления твердых зубных отложений. Приучать детей с раннего возраста к чистке зубов утром и вечером. Инфекции в полости рта влекут за собой ряд проблем с другими органами: сердце, суставы, желудок. Особо опасно воспаление суставов, в результате которого пациенты испытывают постоянную ноющую боль и скованность движений. Несвоевременное лечение не только влечет за собой потерю единиц и множество заболеваний стоматологического характера, но и развитие осложнений со стороны других органов. Наиболее часто кариес вызывает осложнения в виде сердечно-сосудистых патологий, воспаления суставных тканей, аллергических реакций хронического течения, дисфункции репродуктивных органов.
Опасным осложнением является сепсис — заражение крови, влекущее инвалидизацию, летальный исход.
Кариес опасен для здоровья не только ротовой полости, но и общего состояния. Чтобы предупредить неприятные последствия, рекомендуем дважды в год проходить профилактические осмотры, своевременно лечить болезни.
Запускать кариес ни в коем случае нельзя! Это не просто плохо для здоровья полости рта и всего организма, это по-настоящему опасно. Не бойтесь лечить зубы и доверяйте своему стоматологу! У врача нет цели удалить Вам все зубы и поставить протезы. Главная задача специалиста — спасти Ваше здоровье и улыбку любыми возможными способами. От Вас необходимо лишь чистить зубы 2 раза в день, правильно питаться и своевременно проводить лечение заболеваний полости рта, а также 2 раз в год делать профессиональную чистку зубов.
- Лукиных Л. М. Кариес зубов(2015)
- Е. В. Бобровский, П. А. Леус «Кариес зубов»(2017)
- И. К. Луцкая «Терапевтическая стоматология»(2018)
- А. И. Николаев, Л. М. Цепов «Практическая терапевтическая стоматология» (2019)
Основные термины (генерируются автоматически): зуб, кариес, стадий кариеса, летальный исход, полость рта, воспалительный процесс, временная пломба, желудочно-кишечный тракт, запущенный кариес, лечение пульпита.
Периодонтит - симптомы и лечение
Что такое периодонтит? Причины возникновения, диагностику и методы лечения разберем в статье доктора Козлова Владимира Игоревича, стоматолога со стажем в 17 лет.
Над статьей доктора Козлова Владимира Игоревича работали литературный редактор Маргарита Тихонова , научный редактор Сергей Федосов
Определение болезни. Причины заболевания
Периодонтит — это заболевание, вызванное бактериями, травмой или лекарственными препаратами, в результате которого происходит воспаление комплекса соединительной ткани (периодонта), расположенной между цементом зуба и зубной альвеолой. [9] [20]

В общей структуре стоматологических заболеваний периодонтит встречается во всех возрастных группах пациентов и составляет 25–30% от общего числа обращений в стоматологические учреждения. [3]
В зависимости от причин возникновения выделяют три типа периодонтита:
- Травматический периодонтит — может развиться как при однократном сильном механическом воздействии (ушиб, удар, попадание косточки), так и при неоднократных небольших механических повреждениях (например, при постоянном откусывании нитей швеёй).
- Медикаментозный периодонтит — возникает в результате выхода сильнодействующих препаратов из корневого канала в ткани периодонта (например, когда в зубе было оставлено лекарство, а следующий приём состоялся позже, чем это было показано по инструкции безопасного периода нахождения препарата в канале). [11]

Пути инфицирования тканей периодонта:
- внутризубной — выход токсинов и бактерий через систему корневого канала после инфицирования пульпы и её некротизации в ткани периодонта;
- внезубной — переход воспаления из окружающих тканей (остеомиелит, остит, гайморит, пародонтит и т. д.).
Крайне редко возможно инфицирование тканей периодонта гематогенным (через кровь) и лимфогенными путями.
При обнаружении схожих симптомов проконсультируйтесь у врача. Не занимайтесь самолечением - это опасно для вашего здоровья!
Симптомы периодонтита
Проявления заболевания напрямую зависят от его формы.
Хронические формы периодонтита в большинстве случаев протекают бессимптомно и выявляются во время рентгенологического исследования либо при обострении.
Признаки острого периодонтита и обострения его хронической формы:
- боль в зубе (причём чаще всего можно точно указать, какой именно зуб болит) — в начале заболевания боль слабо выраженная, ноющая, но позднее она становится более интенсивной, рвущей и пульсирующей;
- боль при жевании и прикосновении к зубу;
- чувство "выросшего зуба" — ощущение, что зуб стал длиннее других и первым смыкается с зубами-антагонистами;
- наличие большой кариозной полости в больном зубе или его предшествующее лечение по поводу глубокого кариеса или пульпита;
- иногда возникает отёк мягких тканей в области поражённого зуба — связано с выходом воспалительного экссудата (жидкости) из очага, находящегося в периодонте, в поднадкостничное пространство или мягкие ткани;
- открытие свищевого хода, чаще всего располагающегося на десне в проекции корня поражённого зуба (может возникнуть при обострении хронического периодонтита);
- отсутствие реакции больного зуба на холодное, горячее, сладкое или кислое;
- возможная подвижность зуба, связанная с инфильтрацией периодонта.

Патогенез периодонтита
Острый верхушечный периодонтит
После повреждения периодонта по одной из указанных выше причин возникает кратковременный интенсивный тканевый ответ. Этот процесс сопровождается клиническими симптомами острого периодонтита. [7]
Ответ ткани, как правило, ограничен периодонтальной связкой. Он приводит к типичным нервно-сосудистым реакциям воспаления, которые проявляются гиперемией (переполнением кровью), застоем сосудов, отёком периодонтальной связки и экстравазацией (вытеканием в ткани) нейтрофилов. Поскольку целостность кости, цемента и дентина ещё не нарушена, периапикальные изменения на этом этапе не обнаруживаются при рентгенологическом исследовании.
Если воспаление было вызвано неинфекционными раздражителями, то поражение может исчезнуть, а структура апикального периодонта восстанавливается. [13] [14]
Когда происходит инфицирование, нейтрофилы не только борются с микроорганизмами, но также выделяют лейкотриены и простагландины. Первые привлекают больше нейтрофилов и макрофагов в область поражения, а вторые активируют остеокласты — клетки, участвующие в разрушении костной ткани. Так, через несколько дней кость, окружающая периодонт, может резорбироваться (раствориться), тогда в области верхушки корня рентгенологически обнаруживается расширение периодонтальной щели. [15]

Нейтрофилы погибают в месте воспаления и высвобождают из своих гранул ферменты, которые вызывают разрушение внеклеточных матриксов и клеток. Такое "расщепление" тканей предотвращает распространение инфекции в другие части тела и обеспечивает пространство для проникновения защитных клеток.

Во время острой фазы макрофаги также появляются в периодонте. Они продуцируют провоспалительные и хемотаксические (аллергические) цитокины. Эти молекулы усиливают местный сосудистый ответ, разрушение кости и деградацию внеклеточных матриц, а также могут заставить гепатоциты повысить выработку белков острой фазы.
Острый первичный периодонтит имеет несколько возможных исходов:
- самопроизвольное заживление;
- дальнейшее усиление и распространение в кости (альвеолярный абсцесс);
- выход наружу (образование свищей или синусового тракта);
- хронизация процесса. [19]
Хронический периодонтит
Длительное присутствие микробных раздражителей приводит к сдвигу в сторону макрофагов, лимфоцитов (Т-клеток) и плазматических клеток, которые инкапсулировуются в коллагеновой соединительной ткани.
Провоспалительные цитокины (клетки иммунной системы) являются мощными стимуляторами лимфоцитов. Активированные Т-клетки продуцируют множество цитокинов, которые снижают выработку провоспалительных цитокинов, что приводит к подавлению процесса разрушения кости. Напротив, полученные из Т-клеток цитокины могут одновременно усиливать выработку факторов роста соединительной ткани, что оказывает стимулирующее и пролиферативное воздействие на фибробласты и микроциркуляторное русло.
Возможность подавления деструктивного процесса объясняет отсутствие или замедленную резорбцию кости и восстановление коллагеновой соединительной ткани во время хронической фазы заболевания. Следовательно, хронические поражения могут оставаться бессимптомными в течение длительного времени без существенных изменений на рентгенограмме. [21]
Равновесие, существующее в периодонте, может быть нарушено одним или несколькими факторами, например, микроорганизмами, «размещёнными» внутри корневого канала. Они продвигаются в периодонт, и поражение самопроизвольно становится острым с повторным появлением симптомов.
В результате во время этих острых эпизодов микроорганизмы могут быть обнаружены в костной ткани, окружающей периодонт, с быстрым увеличением рентгенологических проявлений. Эта рентгенографическая картина обусловлена разрушением апикальной кости, которое происходит быстро во время острых фаз и относительно неактивно на протяжении хронического периода. Следовательно, прогрессирование заболевания не является непрерывным, а происходит прерывистыми скачками после периодов "стабильности".
Цитологические исследования показывают, что около 45% всех хронических периодонтитов эпителизированы. Когда эпителиальные клетки начинают разрастаться, они могут делать это во всех направлениях случайным образом, образуя неправильную эпителиальную массу, в которую попадают сосудистая и инфильтрированная соединительная ткань. При некоторых поражениях эпителий может врастать во вход корневого канала, образуя пломбоподобное уплотнение на апикальном отверстии.
Классификация и стадии развития периодонтита
Классификация периодонтитов главным образом отображает причину воспаления, и что именно происходит в тканях пародонта. Самой распространённой классификацией, используемой на практике, является классификация И.Г. Лукомского: [17]
- Острый верхушечный (апикальный) периодонтит:
- серозный;
- гнойный.
- Хронический верхушечный (апикальный) периодонтит:
- фиброзный;
- гранулирующий;
- гранулематозный.
- Обострение хронического периодонтита.
Также при постановке диагноза используется классификация по МКБ-10:
K04.4 Острый апикальный периодонтит пульпарного происхождения:
K04.5 Хронический апикальный периодонтит:
- апикальная или периапикальная гранулема;
- апикальный периодонтит БДУ.
K04.6 Периапикальный абсцесс с полостью:
- зубной (дентальный) абсцесс с полостью;
- дентоальвеолярный абсцесс с полостью.
K04.7 Периапикальный абсцесс без полости:
- зубной (дентальный) абсцесс БДУ;
- дентоальвеолярный абсцесс БДУ;
- периaпикальный абсцесс БДУ.
K04.8 Корневая киста:
- апикальная (периодонтальная) киста;
- периaпикaльная киста;
- остаточная корневая киста.
Осложнения периодонтита
Осложнения периодонтита зависят от причинного зуба, локализации воспалительного очага, формы и стадии заболевания. Условно можно разделить все осложнения на несколько групп. [8]
Осложнения, вызванные распространением инфекции из периодонтального очага:
- Одонтогенный периостит — распространение воспалительного процесса на надкостницу альвеолярного отростка и тела челюсти из периодонтального (одонтогенного) очага.
- Одонтогенный абсцесс — формирование ограниченного полостного гнойного очага, возникающего в результате гнойного расплавления подслизистой, подкожной, межмышечной, межфасциальной клетчатки, лимфоузлов, мышечной ткани или кости. Формирование абсцессов преимущественно происходит в околочелюстных мягких тканях.
- Одонтогенная флегмона — формирование разлитого гнойного воспаления клетчатки, расположенной под кожей, слизистой оболочкой, между мышцами и фасциями.
- Одонтогенный гайморит — формирование воспаления в гайморовой пазухе, вызванное распространением инфекции из периодонтального (одонтогенного) очага.
- Одонтогенный лимфаденит — формирование воспаления в регионарных лимфатических узлах, вызванного распространением инфекции из периодонтального (одонтогенного) очага.
- Одонтогенный остеомиелит — гнойное воспаление челюстной кости (одновременно всех её структурных компонентов) с развитием участков остеонекроза.
Осложнение, вызванное деструктивными изменениями в перерадикулярной кости:
- Вторичная адентия — потеря одного или нескольких зубов, причиной которой служит разрушение костной ткани, окружающей корень зуба, препятствующее дальнейшему функционированию такого зуба.
Осложнение, вызванное формированием свищевого хода:
- Кожные свищи — образование свищевого хода, открывающегося на поверхность кожи.
Диагностика периодонтита
Диагностика периодонтита проводится на основании жалоб пациента, анамнеза заболевания, оценки общесоматического статуса, осмотра головы и шеи, полости рта, зуба, его перкуссии, зондирования и термопробы, электроодонтодиагностики (ЭОМ) и рентгенологического исследования. [10]
ЭОМ — это метод стоматологического исследования, основанный на определении порогового возбуждения болевых и тактильных рецепторов пульпы зуба при прохождении через неё электрического тока.

Диагностические признаки острого периодонтита:
Диагностические признаки хронического периодонтита:
Диагностические признаки обострения хронического периодонтита
Чаще всего клиническая картина соответствует острому периодонтиту, за исключением того, что всегда рентгенологически выявляются изменения в тканях периодонта, характерные для той или иной формы периодонтита. [12]
Лечение периодонтита
Лечение периодонтита направлено на устранение причин, механизмов и проявлений заболевания. Методы лечения бывают терапевтическими, хирургическими и комбинированными.
Терапевтическое лечение
Данный метод лечения нацелен на устранение патогенной микрофлоры, находящейся в эндодонте — комплексе поражённых тканей, включающем пульпу и дентин, которые связаны между собой морфологически и функционально. Поэтому иначе такое лечение называют эндодонтическим. [16]
Этапы эндодонтического лечения:
- адекватное обезболивание;
- изоляция зуба или нескольких зубов, в которых будут проводится манипуляции, от полости рта;
- создание эндодонтического доступа (иссечение твёрдых тканей зуба или пломбировочного материала, закрывающих доступ в систему корневого канала;
- прохождение и определение длинны корневого канала (это длинна от устья до верхушки корня);
- создание корневого канала определённого диаметра и формы;
- введение в корневой канал лекарственных препаратов;
- пломбирование корневого канала;
- восстановление анатомии и функции зуба с помощью пломбировочного материала или ортопедической конструкции.

Хирургическое лечение
К оперативному лечению прибегают только в случаях неэффективности или невозможности терапевтического лечения.
К хирургическим методам лечения относятся:
- удаление части корня зуба (резекция) — позволяет сохранить зуб, даже если у верхушки корня присуствовала киста;

- удаление зуба целиком, с последующим замещением утраченного зуба.

Прогноз. Профилактика
Течение и прогноз периодонтита, безусловно, зависят от своевременности обращения к стоматологу и качества проведенного им лечения. При эффективном лечении каналов происходит восстановление участка разрушенной кости, и зуб сохраняет свои функциональные свойства. При несвоевременном обращении пациента или безуспешном лечении высока вероятность потери зуба, а осложнения хронического периодонтита могут представлять серьёзную угрозу здоровью и жизни.
Для профилактики периодонтита необходимо тщательно ухаживать за полостью рта, регулярно проводить осмотры у врача-стоматолога и своевременно лечить одонтогенные очаги инфекции, такие как кариес и пульпит. [2] [5] [6]
Периостит челюсти
Периостит челюсти – инфекционно-воспалительный процесс с локализацией очага в надкостнице альвеолярного отростка либо тела челюсти. Периостит челюсти сопровождается формированием поднадкостничного абсцесса; отеком околочелюстных мягких тканей; болью с иррадиацией в ухо, висок, глаз; ухудшением общего самочувствия (слабостью, повышенной температурой тела, головной болью, нарушением сна). Диагноз периостита челюсти устанавливается на основании данных осмотра и пальпации, подтвержденных рентгенологически. Лечение периостита челюсти включает вскрытие и дренирование поднадкостничного абсцесса, удаление зуба-источника инфекции, физиотерапию, полоскания полости рта, антибиотикотерапию.
Общие сведения
Периостит челюсти - воспаление периоста (надкостницы) альвеолярной дуги, реже – тела верхней или нижней челюсти инфекционного или травматического генеза. В хирургической стоматологии периостит челюстей диагностируется у 5,4% пациентов с воспалительными заболеваниями челюстно-лицевой области; при этом в 95% случаев периостальное воспаление протекает в острой форме и лишь в 5% - в хронической. Примерно в 1,5-2 раза чаще периостит локализуется в области нижней челюсти. Течение периостита челюстей характеризуется своеобразием местной и общей клинической картины, обратимостью воспалительного процесса при своевременном лечении и высоким риском возникновения тяжелых гнойных осложнений при прогрессирующем варианте развития.
Классификация
В зависимости от пути проникновения инфекции в надкостницу различают следующие формы периостита челюсти: одонтогенный (обусловленный заболеванием зубов), гематогенный (обусловленный распространением инфекции по кровеносному руслу), лимфогенный (обусловленный распространением инфекции по лимфатическим путям), травматический (обусловленный повреждением надкостницы). С учетом клинического течения и патоморфологической картины воспаления периостит челюсти может быть острым (серозным или гнойным) и хроническим (простым или оссифицирующим).
Острый серозный периостит челюсти сопровождается инфильтрацией надкостницы и скоплением в воспалительном очаге умеренного количества серозного экссудата. Острый гнойный периостит челюсти (флюс) протекает с формированием ограниченного поднадкостничного абсцесса, образованием свищей, через которые гной оттекает наружу.
Хронический периостит челюсти характеризуется вялотекущим инфекционно-воспалительным процессом в надкостнице, сопровождающимся образованием молодой костной ткани на поверхности челюстных костей. Если при простом периостите челюсти процесс новообразования костной ткани является обратимым, то при оссифицирующем быстро прогрессируют окостенение и гиперостоз. По степени распространения различают ограниченный (в области 1 или нескольких зубов) и диффузный (с охватом практически всей челюсти) гнойный периостит.
Причины периостита челюсти
Чаще всего периостит челюсти имеет одонтогенное происхождение и возникает на фоне предшествующего заболевания зубов. В 73% случаев причиной периостита челюсти выступает хронический периодонтит; в 18% - альвеолит; в 5% - воспаление полуретинированных и ретинированных зубов мудрости; примерно в 4% - пародонтит и нагноившаяся киста челюсти. В этих случаях воспалительный экссудат перемещается из периодонта под надкостницу по костным канальцам губчатого и компактного слоя челюстной кости.
Гематогенный и лимфогенный периостит челюстей обычно развивается после перенесенной ангины, тонзиллита, отита, гриппа, ОРВИ, скарлатины, кори. Такой путь распространения инфекции чаще всего имеет место у детей. Травматический периостит челюсти может являться следствием удаления сложного зуба, хирургического вмешательства, травмы зубов, открытых переломов челюсти, инфицированных ран мягких тканей лица и пр.
У большинства пациентов прослеживается связь периостита челюстей с предшествующим переохлаждением или перегреванием, эмоциональным или физическим перенапряжением. При исследовании воспалительного экссудата при гнойных периоститах челюсти обнаруживается смешанная анаэробная (75%) и аэробная (25%) микрофлора, представленная стрептококками, стафилококками, грамположительными и грамотрицательными палочками, гнилостными бактериями.
Симптомы периостита челюсти
Течение периостита челюсти зависит от формы и локализации воспаления, реактивности организма пациента. Острый серозный периостит челюсти характеризуется, главным образом, местными проявлениями: отечностью мягких тканей, гиперемией слизистой в области переходной складки, регионарным лимфаденитом. В полости рта обычно имеется «причинный» зуб с пульпитом или периодонтитом, а периостальное воспаление носит реактивный характер.
Острый гнойный периостит может являться самостоятельной патологией или служить ведущим симптомом остеомиелита челюсти. Данная клиническая форма сопровождается ухудшением общего самочувствия: слабостью, субфебрилитетом, ознобом, головной болью, нарушением сна и аппетита. Больные отмечают резкую локальную боль в области челюсти с иррадиацией в ухо, висок, глазницу, шею; болезненность при открывании рта, ограничения движения челюсти, патологическую подвижность больного зуба.
При осмотре выявляется припухлость щеки, изменение конфигурации лица за счет отека мягких тканей околочелюстной области. Отечность при гнойном периостите челюсти имеет характерную локализацию: так, при поражении области верхних резцов возникает припухлость верхней губы; при поражении верхних клыков и премоляров – щечной, скуловой, подглазничной областей; верхних моляров - околоушно-жевательной области. При периостите нижней челюсти отек распространяется на нижнюю губу и подбородок.
При периостите челюсти также обнаруживаются изменения со стороны полости рта, включающие гиперемию слизистой оболочки, наличие плотного болезненного инфильтрата или валикообразной припухлости с очагом флюктуации - поднадкостничного абсцесса. В дальнейшем, по мере гнойного расплавления надкостницы, экссудат проникает под слизистую оболочку десны, образуя подслизистый (поддесневой) абсцесс, откуда гной может периодически изливаться через свищевое отверстие в полость рта, принося временное облегчение.
Хронический периостит челюсти протекает с периодическими болями в области причинного зуба, утолщением челюсти, незначительным изменением контура лица, увеличением поднижнечелюстных лимфоузлов, отечностью и гиперемией с цианотичным оттенком слизистой оболочки со стороны полости рта.
Диагностика периостита челюсти
При стоматологическом осмотре выявляются характерные клинические признаки периостита челюсти (гиперемия, инфильтрат, флюктуация и др.). При одонтогенной инфекции в полости рта обычно имеется сильно разрушенная коронковая часть зуба, послужившего источником инфекции, с кариозной полостью и корневыми каналами, заполненные продуктами распада тканей. При перкуссии зуба отмечается болевая реакция.
С помощью рентгенографии при остром периостите челюстей изменений со стороны костной ткани не выявляется, однако могут быть обнаружены гранулематозный или гранулирующий периодонтит, одонтогенные кисты, ретинированные зубы и пр. При хроническом периостите челюстей рентгенологически определяется новообразованная костная ткань. Острый гнойный периостит челюсти следует разграничивать с острым периодонтитом, остеомиелитом, сиаладенитом, абсцессом, околочелюстной флегмоной, лимфаденитом, синуситом и др.
Лечение периостита челюсти
В стадии серозного воспаления проводится комплексное лечение пульпита или периодонтита, физиотерапия (УВЧ), полоскания полости рта дезинфицирующими средствами. Как правило, консервативных мер бывает достаточно для рассасывания инфильтрата.
Острый гнойный периостит челюсти требует хирургического лечения – вскрытия поднадкостничного или подслизистого абсцесса. Периостотомия производится под инфильтрационной или проводниковой анестезией через внутриротовой разрез. С целью обеспечения оттока гнойного экссудата рану дренируют марлевым или резиновым выпускником. В послеоперационном периоде показана щадящая диета, антисептические полоскания, прием антибиотиков, дезинтоксикационная, гипосенсибилизирующая, симптоматическая терапия.
К решению вопроса о целесообразности сохранения причинного зуба при остром периостите челюсти подходят дифференцированно: молочные и сильно разрушенные постоянные зубы требуют удаления; зубы, сохранившие функциональную ценность, подлежат лечению. С целью купирования воспалительных явлений назначается физиотерапия: УВЧ, флюктуоризация, ультразвук, лазеротерапия, электрофорез с гиалуронидазой. Выздоровление обычно наступает через 5-7 дней.
Лечение хронического периостита челюсти включает удаление зуба, медикаментозную и физиотерапевтическую терапию.
Прогноз и профилактика
При первых признаках периостита челюсти необходимо немедленно обратиться к стоматологу. В противном случае возможно развитие тяжелых по своим последствиям осложнений (остеомиелита, флегмоны шеи, сепсиса), представляющих угрозу для жизни пациента. Наиболее благоприятно протекает острый серозный периостит челюсти; гнойный периостит требует активной хирургической тактики.
Профилактика периостита челюсти заключается в своевременном лечении одонтогенных очагов (кариеса, пульпита, периодонтита), профессиональной гигиене полости рта, санации хронических гнойных очагов.
Лечение осложненного кариеса: описание клинического случая
В статье рассмотрен клинический случай лечения осложненного кариеса.
Ключевые слова: осложненный кариес, план лечения.
Рассмотрим клинический случай восстановления зуба при поражении его кариесом с помощью методики «окклюзионного композитного ключа».
Анамнез: пациент: Р. Е. Н., возраст: 24 года, жалобы на ноющую боль в области 4.7 зуба при действии раздражителей. Перенесенные и сопутствующие заболевания: заболевания ЖКТ.
Аллергологический анамнез: со слов пациента, благоприятный, лекарственной непереносимости не отмечает. Зуб 4.7 — ранее лечен по поводу кариеса. В течение полугода отмечает периодически возникающую ноющую боль при вдыхании холодного воздуха и от температурных раздражителей.
Данные объективного обследования. Внешний осмотр: лицо симметричное, пропорциональное, кожные покровы чистые, обычной окраски, регионарные лимфатические узлы не пальпируются, открывание рта свободное, в полном объеме, движения в ВНЧС безболезненные. Красная кайма губ типичной окраски. Признаков онкопатологии не выявлено.
Прикус: ортогнатический, КПУ=8, РМА=0 %, ИГ (по Гринну-Вермильону) = 1,0
Состояние слизистой оболочки полости рта, десен, альвеолярных отростков инеба: при осмотре слизистая оболочка полости рта розового цвета, влажная, без патологических изменений. Уздечки губ и языка прикрепляются в типичных местах, уровень прикрепления в пределах нормы. Глубина преддверия рта равна 8 мм. Десневые сосочки и маргинальная десна розового цвета, к поверхности зубов прилежит плотно, зубодесневое прикрепление не нарушено, пальпация слизистой оболочки альвеолярных отростков, щек и дна полости рта безболезненная.
План лечения: гигиеническое обучение; рентгенография 4.7 зуба; ЭОД 4.7 зуба; лечение зубов 4.5, 4.6, 4.7, 4.8; рекомендация посещения врача-стоматолога один раз в полгода.
Данные рентгенологического исследования: на внутриротовой контактной рентгенограмме удовлетворительного качества зуба 4.7 в области коронки на окклюзионной поверхности определяется очаг затемнения, соответствующий пломбе неудовлетворительного качества, а также очаг просветления с нечеткими контурами, соответствующий глубокой кариозной полости, сообщающийся с полостью зуба. Коронковая часть полости зуба и корневые каналы свободны от пломбировочного материала, корневые каналы прослеживаются на всем протяжении. Периодонтальная щель сохранена. Структура костной ткани не изменена. Компактная пластинка вершин межальвеолярных перегородок сохранена.
Диагноз: 4.7 — К04.03 хронический пульпит (хронический фиброзный пульпит) (рис. 1).
Рис. 1. Исходная картина
Лечение:
– Проводниковая анестезия Sol.Articaini 1:100000 1,7 ml
– Удаление прежней пломбы, препарирование кариозной полости
– Создание эндодонтического доступа, раскрыта полость зуба
– Ампутация коронковой и экстирпация корневой пульпы (рис. 2).
Рис. 2. Раскрытие полости зуба
– Определена рабочая длина корневых каналов.
– Инструментальная обработка корневых каналов в сочетании с RC-prep.
– Медикаментозная обработка корневых каналов раствором «Белодез», высушивание.
– Пломбирование корневых каналов пастой «Endomethasone» с гуттаперчивыми штифтами методом латеральной конденсации. Коагуляция гуттаперчивых штифтов. Постановка временной пломбы
– Rg-контроль пломбирования корневых каналов.
– Снятие временной пломбы
– Обезжиривание кариозной полости, на устья корневых каналов изолирующая прокладка «Глассин Бейз», анатомическая форма зуба восстановлена «Charisma» химического отверждения. Шлифовка, полировка пломбы (рис. 3).
На внутриротовой контактной рентгенограмме удовлетворительного качества зуба 4.7 в области коронки на окклюзионной поверхности определяется очаг затемнения, соответствующий временной пломбе. В корневых каналах прослеживается однородная тень контрастного пломбировочного материала на всем протяжении каждого канала до физиологических верхушек. В периапикальных тканях изменений не выявлено. Компактная пластинка вершин межальвеолярных перегородок сохранена.
Рис. 3. Окончательный результат лечения
Таким образом, лечение осложненного кариеса проведено успешно, пациент остался доволен.
Основные термины (генерируются автоматически): полость зуба, временная пломба, кариозная полость, осложненный кариес, глубокая кариозная полость, компактная пластинка вершин, контактная рентгенограмма, прежняя пломба, розовый цвет, слизистая оболочка.
Читайте также:
