Случай травматической миелопатии на фоне спинального стеноза
Добавил пользователь Владимир З. Обновлено: 09.01.2026
Симптомы появились после травмы, полученной в ДТП: в нетрезвом состоянии катались на мотоцикле по деревне, врезались в дерево, в результате чего пациент вылетел из мотоциклетной люльки.
Обследование
При осмотре пациент в сознании. Зрачки D=S (одинаковые), фотореакция живая. Движения глазных яблок осуществляются в полном объёме. Лицо симметрично. Язык по средней линии. Чувствительных нарушений нет. Имеется глубокий, преимущественно дистальный, парез (ослабление двигательных функций) в верхних конечностях и умеренный парез в нижних конечностях.
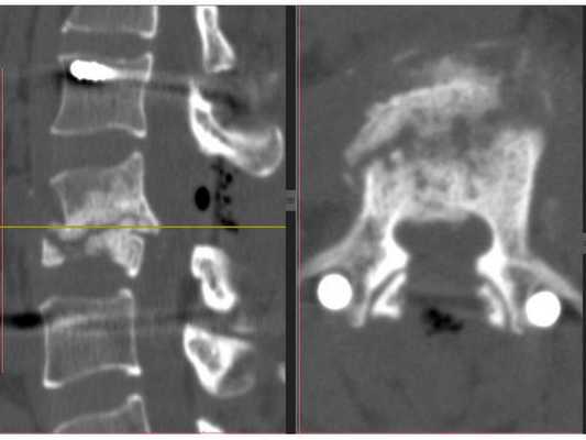
По результатам КТ шейного отдела позвоночника травматической патологии не выявлено, отмечается сглаженность шейного лордоза, спондилёз (естественное изнашивание и старение позвонков с формированием нежелательных костных разрастаний), наиболее выраженный в позвонках C5-C6. МРТ исследование по техническим причинам выполнено на следующий день: выявлен стеноз (сужение) позвоночного канала с уровня C3-C4 до уровня C5-С6 с формированием очагов миелопатии (поражения спинного мозга) с уровня C3 до C6; отмечается "свечение" тела С5 позвонка, свидетельствующее о наличии гемокомпонента в ячейках губчатой костной ткани. Предположительно, гемокомпонент появился вследствие компрессии тела С5 позвонка в момент травмы.
Диагноз
Закрытая позвоночно-спинномозговая травма (ЗПСМТ). Ушиб спинного мозга в шейном отделе средней степени с глубоким верхним парапарезом и умеренным нижним парапарезом. Сопутствующий диагноз: дегенеративно-дистрофические заболевания позвоночника (ДДЗП). Спондилёз и спондилоартроз шейного отдела позвоночника с формированием стеноза позвоночного канала на уровне С3-С6.



МРТ шейного отдела позвоночника: в Т2-режиме видны миелопатические очаги в сегменте С3-С6 на фоне абсолютного стеноза с уровня С3-С4 до С5-С6
Лечение
Пациенту проведено лечение: ⠀•⠀Раствор пентоксифиллина 2 % — 5,0 мл внутривенно капельно на 200.0 мл физ. раствора. ⠀•⠀Раствор дексаметазона 0.4 % — 2,0 мл внутримышечно 1 раз в сутки. ⠀•⠀Раствор неостигмина метилсульфата ("Прозерин") 0.1 % — 2.0 мл подкожно 1 раз в сутки. ⠀•⠀Раствор тиамина ("Тиамина хлорид") 5 % — 5.0 мл внутримышечно по нечётным дням. ⠀•⠀Раствор пиридоксина ("Пиридоксина гидрохлорид") 5 % — 5.0 мл внутримышечно по чётным дням. ⠀•⠀Раствор диклофенака натрия 2.5 % — 3.0 мл внутримышечно 2 раза в сутки. ⠀•⠀Капсулы омепразола 20 мг перорально 2 раза в сутки. ⠀•⠀Раствор пирацетама 20 % — 20.0 внутривенно струйно 1 раз в сутки.
В течение пяти дней у пациента полностью восстановились движения в конечностях, восстановлен контроль за тазовыми функциями.
Заключение
Резкое сгибание-разгибание шейного отдела позвоночника на фоне существующего дегенеративного стеноза позвоночного канала на шейном уровне привело к кратковременному сдавлению и ушибу спинного мозга между задней продольной связкой и жёлтой связкой. В итоге сформировались миелопатические очаги на данном уровне. При этом на КТ травматической патологии не выявлено, но отмечены выраженные спондилёзные изменения в сегменте С5-С6, которые свидетельствовали о том, что имелась нестабильность на данном уровне, приведшая по механизму саногенеза (выздоровления) к выраженному разрастанию остеофитов и формированию костного блока. Следствием такого саногенетичного процесса стало формирование вторичного стеноза. На МРТ снимке отмечается "свечение" тела С5 позвонка, по которому можно предположить, что в момент травмы было компрессионное воздействие на тело С5, не приведшее к необратимой деформации костных структур. В общем, сформировавшийся у пациента костный блок "выдержал". Тем не менее травма спинного мозга на шейном уровне произошла, что повлекло функционально значимую неврологическую симптоматику. На фоне консервативного лечения антиагрегантными, противовоспалительными, глюкокортикостероидными и нейротропными препаратами получена быстрая положительная динамика. Можно сказать, что пациенту "повезло". Подобные случаи достаточно редки. Обычно травма спинного мозга происходит на фоне разрушения позвонков, так называемая осложнённая травма позвоночника. У этого пациента травма спинного мозга произошла при целых позвонках, хотя на МРТ видно, что компрессия тела С5 позвонка имела место быть.
Посттравматическая миелопатия
Посттравматическая миелопатия — хроническое нейродегенеративное заболевание спинного мозга, возникающее после перенесенной спинальной травмы. Клиническая картина заболевания зависит от уровня и характера повреждения, включает сегментарные и проводниковые двигательные и сенсорные расстройства, мышечно-тонические, рефлекторные и тазовые нарушения. Диагностический поиск осуществляется при помощи рентгенологических, электрофизиологических и томографических исследований, при необходимости проводится спинальная пункция и анализ ликвора. Консервативная терапия состоит из сосудистых и нейрометаболических фармпрепаратов, физиотерапевтических методов, массажа и ЛФК. По показаниям возможно хирургическое лечение — спинальная декомпрессия, дискэктомия, стабилизация позвоночника и др.
Общие сведения
Посттравматическая миелопатия развивается в промежуточном и позднем периодах позвоночно-спинномозговой травмы. По некоторым данным она формируется у 28% пациентов с травматическими повреждениями спинного мозга и позвоночника. Учитывая, что более 50% спинальных травм приходятся на людей наиболее трудоспособного и активного возраста (до 45 лет) и в 70-80% приводят к инвалидизации пострадавшего, следует подчеркнуть социальную значимость этой проблемы. Поэтому решение вопросов лечения и реабилитации подобных пациентов является важной задачей, над которой совместно трудятся специалисты в различных областях медицинских знаний — травматологии, неврологии, нейрохирургии, вертебрологии, ортопедии, реабилитологии. В отечественной медицине посттравматическая миелопатия входит в понятие травматическая болезнь спинного мозга.
Причины возникновения
Посттравматическая миелопатия своей первопричиной имеет либо непосредственное повреждение спинного мозга во время травмы позвоночника (спинальная контузия при ушибе позвоночника; травмирование спинномозгового вещества или оболочек мозга отломками при переломе позвонка; проникающее огнестрельное, колотое или резанное ранение; гематомиелия), либо вторичное поражение спинномозговых структур вследствие компрессии спинного мозга или питающих его сосудов посттравматической гематомой, смещенными позвонками при разрыве межпозвонкового диска или подвывихе позвонка.
Как правило, посттравматическая миелопатия формируется на фоне сохраняющейся после травмы позвоночника спинальной компрессии спинного мозга, обуславливающей сдавление его структур или блок субарахноидального пространства. Компрессия может усугубляться прогрессированием спаечного процесса в оболочках спинного мозга, облитерацией субарахноидального пространства, образованием посттравматической кисты или нерассасывающейся гематомы. Если на первый план выходит сдавление питающих спинной мозг сосудов, то посттравматическая миелопатия носит дисциркуляторный (ишемический) характер, поскольку формируется на фоне хронической недостаточности спинального кровообращения.
Посттравматическая миелопатия может носить постоянный резидуальный характер. В других случаях отмечается ее прогредиентное течение с нарастанием неврологического дефицита. К факторам, способствующим прогрессированию миелопатии относят: спаечный процесс в спинномозговых оболочках, стеноз позвоночного канала врожденного характера, наличие межпозвоночной грыжи, пролабирующей в спинальный канал, гиперплазию задней продольной связки, деформацию позвоночного канала и спинного мозга. Прогрессирующая посттравматическая миелопатия наблюдается в нескольких морфологических вариантах. В ее основе может лежать диффузная или локальная атрофия спинномозгового вещества, миеломаляция (очаговый некроз или глиоз), микро- или макрокистозная дегенерация. Возможно сочетание описанных морфологических изменений.
Симптомы
Посттравматическая миелопатия характеризуется различным по выраженности и вариабельным по клинике спинальным синдромом, тяжесть которого зависит от вида травмы и течения ее острого периода. Как правило, спинальный синдром включает сегментарные нарушения соответствующие уровню поражения и проводниковые расстройства ниже этого уровня. К первым относятся сегментарные сенсорные расстройства и периферические парезы с мышечной гипотонией и гипорефлексией. Ко вторым — проводниковые нарушения чувствительности и центральные парезы с мышечным спастическим гипертонусом и гиперрефлексией.
Высокая шейная миелопатия может сопровождаться бульбарным параличем, головокружением и вестибулярной атаксией, поверхностными сенсорными нарушениями на лице. Поражение спинного мозга до уровня крестцовых сегментов сопровождается тазовыми нарушениями по центральному типу — задержкой мочи в сочетании с ее периодическим недержанием, запорами и задержкой кала. При миелопатии на уровне SI-SIV и ниже наблюдаются тазовые нарушения периферического типа — истинное недержание мочи и энкопрез. Тазовые нарушения нередко провоцируют развитие инфекционных заболеваний мочевыводящей системы — уретрита, цистита, пиелонефрита.
Зачастую посттравматическая миелопатия протекает с диссоциированным вариантом чувствительных расстройств — сохранностью глубоких видов чувствительности и выпадением ее поверхностных видов. Подобная клиническая картина напоминает течение сирингомиелии, в связи с чем выделена как сирингомиелитический вариант. Если посттравматическая миелопатия обусловлена преимущественно сосудистыми нарушениями, то она протекает с преобладанием дисфункции двигательных нейронов, наименее устойчивых к гипоксии, в сравнении с сенсорными нейронами. В таких случаях заболевание может иметь клинику сходную с боковым амиотрофическим склерозом.
Диагностика
На диагностическом этапе пациент с миелопатией, имеющий в анамнезе травму позвоночника, должен быть осмотрен не только неврологом, но и травматологом. Неврологический осмотр и проведение электрофизиологических исследований (ЭМГ, ЭНГ) помогают установить уровень спинального поражения. Определить состояние костных структур на этом уровне позволяет проведение рентгенографии позвоночника, а лучше — КТ позвоночника. Наиболее исчерпывающую информацию о состоянии спинного мозга на сегодняшний день дает МРТ позвоночника. Она позволяет определить характер спинального поражения, степень компрессии спинного мозга, выявить наличие грыжи диска, эпи- или субдуральной гематомы, гематомиелии. Данные МРТ используются для решения вопроса о целесообразности хирургического лечения. При невозможности использования КТ или МРТ прибегают к контрастной миелографии. Однако этот диагностический метод менее информативен и опасен развитием осложнений.
Посттравматическая миелопатия дифференцируется с сирингомиелией, БАС, опухолью спинного мозга, дискогенной миелопатией, инфекционной миелопатией и т. п. В некоторых случаях для уточнения диагноза целесообразно проведение люмбальной пункции и исследование цереброспинальной жидкости. При подозрении на сосудистые нарушения рекомендована спинальная МР-ангиография. Наличие тазовых нарушений является показанием к консультации уролога с проведением цистоскопии, цистометрии, ЭМГ мочевого пузыря.
В случаях, когда посттравматическая миелопатия имеет стабильное течение, достаточным является консервативное лечение, направленное на улучшение кровообращения и нейрометаболизма на уровне пораженных спинальных сегментов. Из вазоактивных препаратов применяют копламин, кавинтон, папаверин, но-шпу, для улучшения микроциркуляции — пентоксифиллин, экстракт гинкго билоба, никотиновую кислоту. К нейрометаболитам, используемым в комплексной терапии, относятся витамин В1, витамин В6, гидрализат из сыворотки телят. Наряду с фармакотерапией проводят физиотерапевтические процедуры — УВЧ, электростимуляцию, тепловые процедуры (парафинотерапию, озокерит), СМТ, электрофорез, рефлексотерапию и др. Для восстановления утраченной двигательной активности и профилактики контрактур суставов применяют лечебную физкультуру и массаж, при глубоких парезах — механотерапию.
Прогрессирующая посттравматическая миелопатия требует вмешательства нейрохирурга для решения вопроса о наличии показаний к хирургическому лечению. С целью устранения сдавления спинного мозга проводятся декомпрессивные операции — ламинэктомия и фасетэктомия, при наличии посттравматической грыжи осуществляется дискэктомия. По показаниям проводится дренирование посттравматической кисты, устранение посттравматической деформации позвоночного столба, фиксация позвоночника при его посттравматической нестабильности.
Посттравматическая миелопатия, сопровождающаяся тазовыми нарушениями, может потребовать проведения урологических манипуляций — катетеризации мочевого пузыря, его промываний, постановки катетера Фолея. При инфицировании мочевыводящих путей назначается соответствующее антибактериальное лечение.
Прогноз и профилактика
В течение первых двух лет после полученной спинальной травмы у 70% пациентов наблюдается частичный или полный регресс неврологической симптоматики, у 9% пациентов происходит ее прогрессирование, у 21% состояние остается без существенных изменений. В последующем примерно у половины пострадавших посттравматическая миелопатия имеет стабильное течение, у 30% больных отмечается некоторое постепенное улучшение и функциональная адаптация к возникшему дефекту. В 20% случаев посттравматическая миелопатия характеризуется медленным прогредиентным течением с постепенным усугублением имеющейся симптоматики.
Профилактика миелопатии тесно связана с профилактикой травматизма вообще и спинальных травм в частности, а также с адекватностью и своевременностью лечения позвоночно-спинномозговых повреждений. Пациенты с травмой позвоночника должны находится под наблюдением травматолога и невролога, проходить длительный курс реабилитации с тщательным дозированием нагрузок.
Случай оперативной коррекции стеноза позвоночного канала после перенесённого спондилодисцита
При опросе выяснилось, что четыре месяца назад больную срочно прооперировали из-за перфорированной язвы желудка с разлитым гнойным перитонитом. Восстановление после операции осложнилось развитием гнойного пиелонефрита. В таком состоянии пациентку не выписали, ей было назначено длительное антибактериальное лечение. В общей сложности женщина провела в больнице более двух месяцев. По словам пациентки, во время пребывания в стационаре она придерживалась постельного режима и травм не получала, но это утверждение вызывает сомнения. После выписки женщина обратила внимание на слабость в нижних конечностях, но в больницу обратилась, только когда "ноги отказали", в связи с этим и была госпитализирована.
В целом плановые осмотры в поликлинике пациентка не проходит, за медицинской помощью обращается только при острых состояниях.
В неврологическом статусе выявлен умеренный нижний парапарез — непроходимость нервных сигналов и ослабление мышечной активности обеих конечностей. Контроль над тазовыми функциями не утрачен.
КТ пояснично-крестцового отдела позвоночника показала состояние после перенесённого спондилодисцита L2-L3 (воспалительного заболевания инфекционного характера) с разрушением тела L3 позвонка и кифотической деформацией (искривлением позвоночника) на данном уровне.
Состояние после перенесённого спондилодисцита L2, L3 позвонков с формированием абсолютного стеноза (критического сужения просвета в позвоночном столбе) на уровне L2-L3 и развитием нижнего парапареза





Пациентке проведена операция: транспедикулярная фиксация позвоночника L1-L4 и ламинэктомия L2 (удаление дужки позвонка с целью декомпрессии). Ход операции: • При положении пациентки лёжа на животе в проекции остистых отростков L1-L4 произведён прямой вертикальный разрез мягких тканей размером 10 см. • Надкостницы поперечных отростков и дугоотросчатых суставов отделены от костей. Кровотечение остановлено при помощи электрокоагуляции по ходу доступа. • Под контролем рентгена выявлены ножки L1 и L4 позвонков и сформированы каналы в тела самих позвонков, через которые в их ножки введены моноаксиальные педикулярные винты. • Проведена ламинэктомия позвонка L2. При ревизии твёрдой мозговой оболочки, окружающей спинно-мозговые корешки, на уровне L2-L3 позвонков обнаружены выраженные изменения рубцово-спаечного характера. • Рана промыта при помощи физраствора и раствора перекиси водорода. Поверх твёрдой мозговой оболочки уложена гемостатическая губка. Установлены две продольные штанги, закручены стопорные гайки. • В конце на рану наложен послойный шов нитью Викрил и асептическая повязка.
После операции в неврологическом статусе наблюдается положительная динамика: умеренный парапарез в нижних конечностях почти полностью регрессировал, жалобы на "онемения в ногах" также исчезли. На контрольной КТ видно состояние после успешной декомпрессии на уровне L2-L3 и установки транспедикулярной фиксирующей системы на уровне L1-L4.
Помимо проведённого лечения пациентке потребуется выполнение переднего спондилодеза L1-L4 (операции на позвоночнике для фиксирования позвонков путём их сращивания). В связи с этим дана рекомендация заранее обратиться в больницу, чтобы операция была плановой.
Учитывая анамнез и результаты КТ пояснично-крестцового отдела позвоночника, можно предположить, что во время стационарного лечения у пациентки на уровне L2-L3 позвонков развился спондилодисцит. Характерным признаком этого заболевания в острой фазе является уменьшение рентгеновской плотности тел позвонков. Но во время проведения компьютерной томографии плотность тел L2 и L3 позвонков была высокой, что свидетельствовало о завершении воспалительного процесса и склерозировании тел позвонков. Вероятнее всего, антибактериальное лечение погасило воспаление не только в брюшной полости и почках, но и в позвоночнике. Однако после выписки из больницы, при переходе из лежачего положения в вертикальное, у пациентки стала увеличиваться кифотическая деформация. Патология привела к образованию стеноза позвоночного канала на уровне L2-L3, что и спровоцировало возникновение нижнего парапареза. С помощью транспедикулярной фиксации L1-L4 и декомпрессии на уровне L2 удалось устранить неврологические симптомы и стабилизировать позвоночный сегмент, то есть "экстренная" помощь была оказана успешно.
Миелопатия
Миелопатия — обобщенное понятие, используемое в неврологии для обозначения различных по своей этиологии поражений спинного мозга, обычно имеющих хроническое течение. Клинически они могут проявляться нарушениями силы и тонуса мышц, различными сенсорными расстройствами, дисфункцией тазовых органов. Задачей диагностического поиска при миелопатии является выявление причинного заболевания. С этой целью проводится рентгенография позвоночника, МРТ, ЭМГ, ЭНГ, ангиография, анализ ликвора, биохимические исследования крови, ПЦР-диагностика и др. Лечебная тактика основана на терапии основного заболевания, симптоматическом лечении и реабилитации при помощи ЛФК, механотерапии, массажа, иглоукалывания и физиотерапии.
Миелопатия является комплексным понятием, включающим в себя любые дистрофические изменения спинного мозга, не зависимо от их этиологии. Как правило, это хронические или подострые дегенеративные процессы, происходящие в результате нарушения кровоснабжения и метаболизма отдельных спинномозговых сегментов. Зачастую миелопатия выступает в роли осложнения дегенеративно-дистрофических заболеваний позвоночника, сосудистой патологии, токсического воздействия, травмы позвоночника, дисметаболических изменений или инфекционных процессов. Поэтому в уточненном диагнозе перед термином «миелопатия» непременно должно стоять указание на природу поражения спинного мозга. Например, «ишемическая миелопатия», «компрессионная миелопатия» и т. д.
Этиология и патогенез миелопатии
В преобладающем большинстве случаев патологические процессы, приводящие к развитию миелопатии, локализуются вне спинного мозга. В первую очередь это дегенеративные изменения позвоночника (остеохондроз, спондилоартроз, спондилез, инволютивный спондилолистез) и травмы (перелом позвонка, подвывих или вывих позвонков, компрессионный перелом позвоночника). За ними следуют сосудистые заболевания (атеросклероз, тромбоз спинальных сосудов), аномалии развития позвоночника, опухолевые процессы в области позвоночника, метаболические нарушения (при диспротеинемии, сахарном диабете, фенилкетонурии, лизосомальных болезнях накопления), туберкулез и остеомиелит позвоночника. К патологическим изменениям спинного мозга может привести радиоактивное и токсическое воздействие на организм.
Реже встречаются миелопатии, обусловленные непосредственным поражением вещества спинного мозга. Первопричиной их возникновения могут являться: позвоночно-спинномозговая травма, инфекционные поражения и опухоли спинного мозга, гематомиелия, демиелинизация. Последняя может носить наследственный (при синдроме Русси-Леви, болезни Рефсума и пр.) или приобретенный (при рассеянном склерозе) характер. В исключительных случаях миелопатия развивается в качестве осложнения люмбальной пункции.
Среди патогенетических механизмов возникновения миелопатии преобладает компрессионный. Возможна компрессия межпозвоночной грыжей, остеофитами, отломками при переломе, опухолью, посттравматической гематомой, смещенным позвонком. При этом происходит как непосредственное сдавление спинного мозга, так и пережатие спинномозговых сосудов, следствием чего является гипоксия и нарушение питания, а затем дегенерация и гибель нервных клеток пораженного спинномозгового сегмента. Возникновение и развитие патологических изменений реализуется постепенно с увеличением компрессии. Результат — выпадение функции нейронов данного сегмента и блокировка проведения через него импульсов, идущих по проводящим путям спинного мозга.
Классификация миелопатии
В современной неврологии миелопатия традиционно классифицируется по этиологическому принципу.
- Спондилогенная (в т. ч. дискогенная) — связана с различными дегенеративными процессами позвоночного столба.
- Ишемическая (дисциркуляторная, атеросклеротическая, сосудистая) — развивается на фоне хронического нарушения спинномозгового кровообращения.
- Посттравматическая — обусловлена как непосредственной травмой спинного мозга (сотрясение, ушиб), так и с компрессионным воздействием гематомы, смещенных позвонков или их частей при переломе.
- Карциноматозная — является проявлением паранеопластического поражения ЦНС при лейкемии, лимфоме, лимфогранулематозе, раке легкого и др. онкологической патологии.
- Инфекционная — встречается при ВИЧ, сифилисе (нейросифилис), болезни Лайма, энтеровирусной инфекции у детей.
- Токсическая — обусловлена токсическим воздействием на ЦНС. Может наблюдаться при дифтерии.
- Радиационная — зависит от дозы и времени радиоактивного облучения. Радиационная миелопатия может возникать после лучевой терапии злокачественных новообразований.
- Метаболическая — редко встречающееся осложнение эндокринных и метаболических расстройств.
- Демиелинизирующая — результат наследственных или приобретенных демиелинизирующих процессов в ЦНС.
Симптомы миелопатии
Клинически миелопатия проявляется целым рядом неврологических симптомов, которые практически не имеют специфики, отражающей ее этиологию, и всецело зависят от уровня и степени поражения спинного мозга. В целом миелопатический симптомокомплекс включает периферический парез/паралич с мышечной гипотонией и гипорефлексией, развивающийся на уровне пораженных сегментов; центральный парез/паралич с мышечным гипертонусом и гиперрефлексией, распространяющийся ниже уровня локализации патологических изменений; гипестезиею и парестезию как на уровне поражения, так и ниже его; тазовые нарушения (задержка или недержание мочи и кала).
Ишемическая миелопатия
Спинномозговые сосуды гораздо реже подвергаются образованию атеросклеротических бляшек и тромбозу, чем церебральные (сосуды головного мозга). Как правило, это происходит у лиц старше 60 лет. Наиболее чувствительными к ишемии являются мотонейроны, находящиеся в передних рогах спинного мозга. По этой причине в клинической картине сосудистой миелопатии ведущее место занимают двигательные нарушения, что напоминает проявления БАС. Расстройства чувствительной сферы минимальны и выявляются лишь при тщательном неврологическом осмотре.
Посттравматическая миелопатия
Представляет собой развивающийся в зависимости от тяжести травмы и течения ближайшего посттравматического периода спинальный синдром. По клиническим проявлениям часто имеет много общего с сирингомиелией, в частности диссоциированный тип чувствительных расстройств: выпадение поверхностной (температурной, болевой и тактильной) чувствительности при сохранности глубокой (мышечно-суставной и вибрационной). Обычно посттравматическая миелопатия носит необратимый характер и составляет основу резидуальных (остаточных) явлений травмы. В отдельных случаях отмечается ее прогредиентное течение с прогрессированием сенсорных нарушений. Зачастую посттравматическая миелопатия осложняется интеркуррентными инфекциями мочевыводящих путей (циститом, уретритом, пиелонефритом); возможен сепсис.
Радиационная миелопатия
Наиболее часто наблюдается в шейных спинномозговых сегментах у пациентов, прошедших лучевую терапию рака глотки или рака гортани; в грудном отделе — у больных, получавших облучение по поводу опухолей средостения. Развивается в период от 6 мес до 3-х лет после лучевых нагрузок; в среднем спустя 1 год. В таких случаях миелопатия нуждается в дифференциальной диагностике со спинномозговыми метастазами имеющейся опухоли. Типично медленное прогрессирование клиники, обусловленное постепенным некрозом тканей спинного мозга. При неврологическом осмотре может выявляться синдром Броун-Секара. В цереброспинальной жидкости изменения не наблюдаются.
Карциноматозная миелопатия
Обусловлена токсическим влиянием опухоли и воздействием синтезируемых ею биологически активных веществ, что в конечном итоге приводит к некротическим изменениям спинномозговых структур. Клинический симптомокомплекс во многом повторяет неврологические нарушения при боковом амиотрофическом склерозе. Поэтому некоторые авторы относят этот вид миелопатии к особой форме БАС. В ликворе может выявляться плеоцитоз и умеренный гиперальбуминоз.
Диагностика миелопатии
Диагностический алгоритм при выявлении признаков миелопатии направлен на исключение другой, сходной по клиническим симптомам, патологии ЦНС и установление этиологического фактора, лежащего в основе дистрофических изменений спинного мозга. Он включает общий и биохимический анализ крови, рентгенографию позвоночника, МРТ позвоночника, электромиографию (ЭМГ), электронейрографию (ЭНГ), исследование вызванных потенциалов, МР- или КТ-ангиографию спинного мозга, люмбальную пункцию.
По показаниям при отсутствии возможности проведения МРТ в отдельных случаях могут быть выполнены миелография и дискография. При подозрении на инфекционную природу миелопатии проводится исследование крови на стерильность, RРR-тест, ПЦР-исследования, посев спинномозговой жидкости.
В ходе диагностического поиска невролог может привлекать к совместному консультированию других специалистов: вертебролога, фтизиатра, онколога, венеролога; при предположении о демиелинизирующей наследственной миелопатии — генетика.
Лечение миелопатии
Тактика лечения миелопатии зависит от ее этиологии и клинической формы. Она включает терапию причинного заболевания и симптоматическое лечение.
При компрессионной миелопатии первоочередным является устранение компрессии. С этой целью может быть показано удаление клина Урбана, дренирование кисты, удаление гематомы и опухоли. При сужении позвоночного канала пациент направляется к нейрохирургу для решения вопроса о возможном проведении декомпрессивной операции: ламинэктомии, фасетэктомии или пункционной декомпрессии диска. Если компрессионная миелопатия обусловлена грыжей межпозвоночного диска, то в зависимости от степени протрузии и состояния диска выполняется микродискэктомия или дискэктомия.
Лечение ишемической миелопатии заключается в устранении факторов компрессии сосудов и проведении сосудистой терапии. Поскольку сосудистый компонент присутствует в патогенезе практически любой миелопатии, подобное лечение входит в комплексную терапию большинства больных. Оно включает спазмолитические и сосудорасширяющие средства (дротаверин, ксантинола никотинат, папаверин, винпоцетин), препараты улучшающие микроциркуляцию и реологические свойства крови (пентоксифиллин).
При токсической миелопатии основу лечения составляет дезинтоксикация, при инфекционной — адекватная этиологии антибактериальная терапия. Большие трудности представляет лечение наследственной демиелинизирующей миелопатии и канцероматозной миелопатии при гемобластозах. Зачастую оно сводится к проведению симптоматической терапии.
Обязательными в лечении миелопатии являются препараты, улучшающие метаболизм нервной ткани и снижающие ее подверженность гипоксии. К ним относятся нейропротекторы, метаболиты и витамины (гидролизат мозга свиньи, пирацетам, гемодериват крови телят, вит В1, вит В6). Многим пациентам показана консультация физиотерапевта для оптимального подбора методов физиотерапевтического воздействия: диатермии, гальванизации, УВЧ, парафинотерапии и пр.
С целью увеличения объема двигательной активности, выработки навыков самообслуживания, предупреждения развития осложнений (мышечных атрофий, контрактур суставов, пролежней, застойной пневмонии) с ранних сроков заболевания больным миелопатией показано проведение ЛФК, массажа и реабилитационной физиотерапии (электростимуляция, электрофорез с неостигмином, рефлексотерапия, СМТ паретичных мышц, водолечение). При глубоких парезах ЛФК состоит в выполнении пассивных упражнений и механотерапии.
Прогноз и профилактика миелопатии
В случае своевременного устранения сдавления компрессионная миелопатия имеет благоприятное течение: при соответствующем лечении ее симптомы могут в значительной степени редуцироваться. Ишемическая миелопатия зачастую имеет прогрессирующее течение; повторные курсы сосудистой терапии могут на время стабилизировать состояние. Посттравматическая миелопатия, как правило, стабильна: ее симптомы не редуцируются и не прогрессируют. Неблагоприятный прогноз и неуклонно прогрессирующее течение имеют радиационная, демиелинизирующая и карциноматозная миелопатия.
Профилактика миелопатии заключается в предупреждении заболеваний, способных привести к ее развитию. Это своевременное выявление и лечение патологии позвоночника и сосудистых заболеваний; стабильная компенсация эндокринных и метаболических расстройств; предупреждение травматизма, инфекционных заболеваний, интоксикаций свинцом, цианидами, гексахлорофеном и др.
Стеноз позвоночного канала (спинальный стеноз) - симптомы и лечение
Что такое стеноз позвоночного канала (спинальный стеноз)? Причины возникновения, диагностику и методы лечения разберем в статье доктора Мажейко Людмилы Ивановны, невролога со стажем в 42 года.
Над статьей доктора Мажейко Людмилы Ивановны работали литературный редактор Елена Бережная , научный редактор Сергей Федосов
Определение болезни. Причины заболевания
Стеноз позвоночного канала — это состояние, когда размеры позвоночного канала на поперечном срезе уменьшаются, либо уменьшаются размеры межпозвонковых отверстий, в результате чего сдавливается содержимое канала (спинной мозг, корешки) . Как правило, стеноз позвоночного канала выявляется на уровне нижних поясничных позвонков, реже — в шейном и грудном отделах позвоночника.

Позвоночный (спинномозговой) канал — это пространство внутри позвоночного столба, которое спереди образуют тела позвонков и межпозвонковые диски, с боков и сзади — дуги позвонков, соединенные желтой связкой. На поперечном срезе он треугольной или овальной формы. [1]
Позвоночный канал составляют: спинной мозг с корешками, окруженными оболочками мозга, а также жировая и рыхлая соединительная ткань с артериями, венами и нервами. От спинного мозга отходят парные нервные корешки, окруженные твердой мозговой оболочкой, каждый из которых выходит за пределы спинномозгового канала через свое отверстие. Спинной мозг продолжается от большого затылочного отверстия до второго поясничного позвонка. Ниже второго поясничного позвонка в позвоночном канале расположен "конский хвост" — пучок из корешков четырех нижних поясничных, пяти крестцовых и копчиковых корешков спинного мозга.

Функции спинного мозга:
- проводниковая — проведение нервного импульса от центра к периферии и обратно;
- рефлекторная — формирование ответной реакции нервной системы на раздражение.
Стеноз бывает врожденным и приобретенным. Врожденный (первичный) формируется на 3-6 неделе внутриутробного развития зародыша человека. Причинами этого нарушения могут быть генетический фактор, а также инфекционные и токсические факторы, влияющие на формирование позвоночника.
Причины врожденного стеноза:
- Врожденная хондродистрофия (ахондроплазия) — внутриутробное нарушение роста костей, при котором позвоночный канал сужается из-за сращения позвонков, укорочения и утолщения дуг позвонков.
- Диастематомиелия — разделение позвоночного канала внутренней перегородкой, которая состоит из хрящевой или костной ткани, раздвоение спинного мозга.
Причины приобретенного (вторичного) стеноза:
- травматическое смещение позвонков и их отломков, внутриканальные гематомы;
- дегенеративно-дистрофические изменения межпозвонковых суставов в виде костных разрастаний, направленных внутрь позвоночного канала (фасеточная артропатия);
- выпадение межпозвонковой грыжи, ее окостенение или секвестрирование вследствие дископатии;
- переднее смещение позвонка (спондилолистез) вследствие анатомического дефекта дуги позвонка;
- утолщение и обызвествление желтых связок позвоночника вследствие их воспаления или дистрофии;
- утолщение капсулы межпозвонковых суставов вследствие их воспаления при болезни Бехтерева и других воспалительных процессах;
- огрубение передней продольной связки (болезнь Форестье);
- застойное полнокровие вен внутри позвоночного канала;
- рубцовые изменения и внедрение стальных конструкций внутри позвоночного канала вследствие операций на позвоночнике;
- опухоли и кисты внутри позвоночного канала и др.
Зачастую на формирование стеноза позвоночного канала оказывают влияние как врожденные, так и приобретенные факторы. Страдают стенозом преимущественно пожилые люди, так как у них имеют место возрастные дегенеративные заболевания позвоночника. Частота заболевания резко возрастает у людей старше 50 лет и в данной возрастной группе составляет от 1.8 до 8%. [2] Наиболее часто встречающийся приобретённый стеноз позвоночного канала — это последняя стадия остеохондроза позвоночника, когда разрастается костная ткань тел позвонков и остеофитов.
У многих людей без врожденных нарушений развития позвоночника встречается конституционально анатомически более узкий позвоночный канал, чем в среднем. Нормальная глубина позвоночного канала в поясничном отделе составляет 13-25 мм, в шейном — 15-20 мм.
В шейном отделе позвоночника данную особенность костной структуры канала можно обнаружить на боковых рентгенограммах путем расчета и оценки индекса М.Н.Чайковского. Индекс Чайковского — это отношение сагиттального размера позвоночного канала к сагиттальному размеру тела позвонка на уровне данного конкретного позвонка без учета краевых костных разрастаний. На рентгенограмме измеряется сагиттальный диаметр позвоночного канала (а) и сагиттальный размер тела позвонка (б), первое число делится на второе (а:б).
Измерение сагиттального размера позвоночного канала и тела позвонка

- 0,9 до 1,1 — позвоночный канал обычной глубины;
- меньше 0,85 (согласно некоторым авторам — 0,75) — конституционально узкий позвоночный канал.
При обнаружении схожих симптомов проконсультируйтесь у врача. Не занимайтесь самолечением - это опасно для вашего здоровья!
Симптомы стеноза позвоночного канала
Развитие позвоночного стеноза происходит медленно и может занимать долгие годы. Симптомы стеноза позвоночного канала в поясничном и грудном отделах — постепенно нарастающая боль в спине, в ногах, возникающие поначалу иключительно при ходьбе. Болезненные ощущения без четкой локализации часто обозначаются больным человеком как неприятное ощущение. При ходьбе происходит нарастание слабости в ногах (нейрогенная перемежающая хромота), которая вынуждает человека остановиться, сесть или даже лечь. Облегчает ходьбу легкое сгибание в коленях и тазобедренных суставах, а также если одновременно наклонить корпус вперед. Этим можно объяснить и то обстоятельство, что человек с позвоночным стенозом не жалуется на недомогание, если длительно находится за рулем. [3]
Характерны чувствительные расстройства — онемение, ощущение мурашек и снижение чувствительности в нижних конечностях.
Симптомы проявляются с одной либо с двух сторон. Часто нарушается функция тазовых органов (задержка или внезапные позывы на мочеиспускание, дефекацию, снижение потенции). Если длительно сдавливаются нервные корешки на поясничном уровне, постепенно худеют нижние конечности.

Если стеноз развился на грудном уровне, то в ногах нарастают спастические явления.
Стеноз позвоночного канала на шейном уровне протекает чаще всего незаметно, симптомы болезни появляются уже в запущенной стадии заболевания. Это сильные боли в шее, как односторонние, так и двусторонние, отдающие в лопатки, плечи, руки, затылок. Боли могут проявляться во всем теле в виде болезненных спазмов. Боли усиливаются при определенных движениях шеей, при этом появляется слабость и онемение в руках, ощущение мурашек. В ногах может возникать ощущение «ватности», человек часто спотыкается. Характерны запоры и задержки мочеиспускания. Прогрессирующее сдавление спинного мозга на нижне-шейном уровне приводит к развитию вялости в руках и спастического состояния мышц в ногах. Если сдавление на уровне 3-4 шейного позвонка, то может наблюдаться нарушение функции дыхания и спастические явления в руках и ногах. [4]
Патогенез стеноза позвоночного канала
Вокруг спинного мозга и корешков в норме должно оставаться свободное (резервное) пространство, в котором важен каждый миллиметр. В резервном пространстве располагаются сосуды. Если в позвоночный канал внедряются костные, хрящевые или мягкотканные структуры, резервное пространство уменьшается или исчезает. Если просвет позвоночного канала патологически сужается, происходит нарушение кровообращения спинного мозга и корешков, нарушается циркуляция спинномозговой жидкости. [5] Сдавлению подвергаются сосуды и нервные элементы — спинной мозг или корешки. Внутри позвоночного канала повышается давление, так как сосудистое русло испытывает хронический застой. Нервные элементы постоянно испытывают недостаток кровоснабжения и кислородный дефицит, в результате серьезно нарушается их функция. Длительное нарушения питания нервных элементов сопровождается разрастанием рубцовой ткани, образованием спаек (рубцово-спаечный эпидурит) , [6] что еще более сдавливает содержимое позвоночного канала.
Вследствие этого развиваются двигательные, чувствительные, вегетативные и трофические нарушения. Сдавление корешков зачастую становится причиной выраженного болевого синдрома.
Классификация и стадии развития стеноза позвоночного канала
В зависимости от локализации выделяют центральный и латеральный стеноз позвоночного канала.
Центральный стеноз — уменьшение переднезаднего размера позвоночного канала.
- относительный стеноз — переднезадний размер составляет менее 12 мм.
- абсолютный — менее 10 мм.
Латеральный стеноз — уменьшение размеров межпозвонкового отверстия до 4 мм и менее.
Если уменьшаются все размеры позвоночного канала, это комбинированный стеноз.
Осложнения стеноза позвоночного канала
Осложнения при стенозе позвоночного канала отмечаются в результате дополнительной травмы позвоночника — падение с высоты, автодорожная, спортивная травма и др. Происходит усиление сдавления спинного мозга гематомой, рубцами, смещенным позвонком или его отломком. Осложнения при неустановленном диагнозе «позвоночный стеноз» могут давать сеансы мануальной терапии, которые часто применяются при болях в позвоночнике.
Но гораздо чаще встречаются осложнения оперативного лечения стеноза. Наиболее тяжелыми из них являются следующие:
- медленно прогрессирующий спаечный процесс в позвоночном канале, дополнительно сдавливающий спинной мозг и корешки;
- парезы, параличи конечностей;
- тазовые расстройства вследствие повреждения корешков спинного мозга хирургическим инструментом.
Воспалительные процессы в позвонках, оболочках и спинном мозге встречаются редко, так как после операции широко применяются антибиотики. Часто осложнения операций дают более тяжелые последствия, чем само заболевание. [7]
Диагностика стеноза позвоночного канала
Если появляются характерные жалобы, необходимы дополнительные методы обследования, которые позволят не только измерить размеры позвоночного канала, но и выявить причины, вызывающие компрессию нервных элементов внутри позвоночного канала.
- рентгенография пояснично-крестцового отдела позвоночника;
- компьютерная томография (КТ);
- магнитно-резонансная томография (МРТ).

Для оценки состояния спинного мозга и нервной проводимости используются:
- электронейромиография;
- миелография;
- сцинтиграфия. [8][9]

Позвоночный стеноз диагностируют по совокупности выявленных признаков сужения позвоночного канала при наличии характерных клинических данных.
Лечение стеноза позвоночного канала
Консервативное лечение применяют на ранней стадии заболевания (незначительный позвоночный стеноз), когда беспокоят только боли в пояснице и ногах, а выраженные неврологические нарушения отсутствуют.
Медикаментозная терапия:
- нестероидные противовоспалительные препараты (таблетки, капсулы, инъекции, гели, пластыри) помогают снять воспаление и купировать боль;
- миорелаксанты — препараты, снимающие мышечное напряжение;
- витамины группы В;
- сосудистые и мочегонные средства;
- для снятия болевого синдрома и отека эффективны медикаментозные блокады с местными анестетиками и гормонами.

Физиотерапевтические процедуры:
- электрофорез;
- амплипульс;
- магнитотерапия;
- водо- и грязелечение.
Показана дозированная лечебная физкультура и легкий массаж.
При стенозе позвоночного канала в любой стадии противопоказана мануальная терапия!
Если консервативное лечение оказывается неэффективным, боли и парезы нарастают, нарушаются функции тазовых органов, это является показанием для оперативного лечения (открытые и эндоскопические операции), цель которого — снять компрессию спинного мозга и нервных корешков.
Оперативные методы:
- декомпрессионная ламинэктомия — удаление части дуги позвонка, остистого отростка, части желтой связки, межпозвонковых суставов, которое дополняется стабилизирующей операцией с использованием металлических пластин, укрепляющих позвоночный столб;
- микрохирургическая декомпрессия и установка систем межостистой динамической фиксации, позволяющей сохранить возможность сгибания и разгибания позвоночника;
- дискэктомия, эндоскопическая микродискэктомия, лазерная вапоризация пораженного диска и другие операции по удалению грыжи, иногда они дополняют ламинэктомию. [11]

Как правило, оперативное лечение приводит к выздоровлению. После операции пациенты нуждаются в длительном восстановительном лечении в условиях реабилитационного отделения и санатория. Часть пациентов после операции имеют осложнения — усиление рубцовых изменений в позвоночном канале, приводящие к вторичному стенозу. Встречаются осложнения в виде воспаления, повреждения корешков и нервов с клиникой парезов рук и ног, нарушения функции тазовых органов. [12]
Прогноз. Профилактика
Прогноз течения данного заболевания зависит от причины, особенностей течения и давности заболевания. Прогноз благоприятный при своевременной диагностике заболевания, в зависимости от его причины, на ранних стадиях всегда можно подобрать пациенту адекватное консервативное или оперативное лечение. В этом заключается профилактика выраженных болей и тяжелых неврологических осложнений. Несвоевременная диагностика, грубые мануальные вмешательства, осложнения операций делают прогноз неблагоприятным, приводя больного к стойкой инвалидности.
Читайте также:
- Рекомендации по анализу рентгенограммы акромиально-ключичного сустава в ПЗ проекции
- Симптомы кисты гортани (ларингоцеле) и ее лечение
- Лихорадка Марбург. Распространенность и причины лихорадки Марбург
- Прогноз синдрома Бругада. Катехоламинергическая полиморфная желудочковая тахикардия (KПЖТ)
- Диагностика острого панкреатита. Дифференциальная диагностика острого панкреатита
