Советы при переломах костей таза
Добавил пользователь Евгений Кузнецов Обновлено: 29.10.2025
В первую очередь необходимо оценить проходимость дыхательных путей, функцию внешнего дыхания и возможные гемодинамические нарушения (алгоритм АВС). Переломы костей таза со смещением часто сопровождаются повреждениями головы, груди и живота.
2. Каковы возможные источники кровотечения и объем кровопотери при переломах костей таза со смещением?
При подобных переломах возможно кровотечение из поврежденных губчатых костей, а также артерий и вен, кровоснабжающих ткани и органы таза. Исследования па трупах показали, что у 90% больных, умерших от осложнений переломов костей таза, имело место кровотечение из костей и вен. Артериальное кровотечение наблюдалось лишь в 10% случаев. Таз способен вместить 4-6 л жидкости, после чего развивается эффект тампонады, снижающий интенсивность кровотечения из вен и костей.
3. Во всех ли случаях перелома костей таза со смещением показана установка катетера Фолея?
Да. Противопоказанием к немедленной установке катетера служит разрыв мочеиспускательного канала, который можно заподозрить на основании уретроррагии или при обнаружении крови в преддверии влагалища. Для исключения повреждения влагалища, прямой кишки или разрыва связочного аппарата и смещения предстательной железы вверх всем мужчинам следует выполнять пальцевое ректальное исследование, а всем женщинам — бимануальное влагалищное исследование.
При повреждении мочеиспускательного канала показано наложение эпицистостомы с последующим рентгенологическим исследованием уретры и мочевого пузыря.
4. Как часто переломы костей таза сопровождаются повреждением органов мочеполовой системы?
Общая частота повреждений органов мочеполовой системы при переломах костей таза составляет 16%.

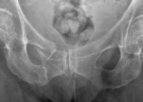
Рентгенограмма при переломе костей таза
5. Каковы наиболее распространенные рентгенологические классификации переломов костей таза?
По направлению повреждающей силы выделяют переломы костей таза вследствие переднезаднего сдавления (АРС), бокового сдавления (LC), вертикального (VS) и комбинированного воздействия (СМ). Согласно классификации Тайля (Tile), все переломы подразделяются на три группы — А, В и С (включающие пронумерованные подгруппы) — на основании тяжести повреждения связочного аппарата и костей.
6. Что такое открытый перелом костей таза?
Перелом костей таза называется открытым, если место перелома контактирует с поверхностными или загрязненными тканями вследствие нарушения целостности кожного покрова или повреждений влагалища и прямой кишки. При подозрении па открытый перелом костей таза показано выполнение аноскопии и влагалищного исследования (бимануального и с помощью влагалищных зеркал). Открытые переломы характеризуются более высокой частотой развития осложнений и уровнем смертности как в остром (из-за массивного кровотечения), так и в позднем периоде (из-за присоединения инфекции).
7. При каких переломах костей таза показана немедленная иммобилизация?
Немедленная иммобилизация может оказаться эффективной при повреждениях с нарушением непрерывности тазового кольца (по тину “открытой книги”) и переломах в результате вертикального удара (VS) со смещением. При отсутствии эффекта от реанимационных мероприятий, направленных на коррекцию гемодинамических нарушений, иммобилизация таза с помощью подушек бобовидной формы, специальных гамаков, наружных фиксирующих приспособлений или скоб помогает снизить интенсивность кровотечения за счет уменьшения емкости таза и репозиции костных отломков.
P.S. В России повреждения таза подразделяют на: краевые переломы, переломы тазового кольца без нарушения его непрерывности, повреждения с нарушением непрерывности тазового кольца, повреждения с одновременным нарушением непрерывности переднего и заднего полуколец (типа Мальгеня) и переломы вертлужной впадины.
8. С какой целью выполняют ангиографию при переломах костей таза?
При переломах костей таза ангиография позволяет выявить и остановить (путем эмболизации) артериальное кровотечение. Учитывая относительную редкость, повреждение артерий следует подозревать в тех случаях, когда артериальная гипотония сохраняется, несмотря на иммобилизацию и инфузионную терапию.
9. Каковы причины смерти при переломах костей таза?
Изолированная травма таза встречается лишь в 2% случаев. Смерть обычно наступает вследствие сопутствующих повреждений. Однако ранняя иммобилизация и активизация больных позволяют значительно улучшить результаты лечения и снизить уровень смертности с 26 до 6%.

10. Что такое наружная фиксация?
Для временной иммобилизации при переломах костей таза применяют наружную фиксацию с помощью спиц, введенных в крылья подвздошных костей и соединенных с шиной, или проведенных в кость непосредственно над вертлужной впадиной и соединенных с С-образной скобой. Наружная фиксация не предотвращает вертикального и заднего смещения в случае полного разрыва заднего полукольца. Фиксация с помощью С-образной скобы требует меньшего времени, а изменение угла ее наклона позволяет беспрепятственно выполнять диагностические и лечебные мероприятия.
Кроме того, разрезы, через которые проводят спицы, не мешают проведению окончательной оперативной фиксации костных отломков.
11. Показано ли применение пневматических противошоковых костюмов при переломах костей таза?
Существующие по этому вопросу мнения противоречивы. Пневматические противошоковые костюмы в основном применяются для транспортировки больных и первичной иммобилизации при осложненных переломах костей таза. Они уменьшают смещение костных отломков при переломах вследствие переднезаднего сдавления, однако могут способствовать их смещению при переломах вследствие бокового сдавления. Кроме того, пневматические противошоковые костюмы препятствуют полноценному осмотру больного, полному расправлению легких и повышают риск развития туннельного синдрома.
12. По истечении какого срока больных с переломами костей таза можно активизировать?
Больных с переломами переднего полукольца таза (например, с односторонним или двухсторонними переломами ветвей лобковых костей) можно полностью активизировать непосредственно после срастания костных отломков. При переломах заднего полукольца таза (разрывах крестцово-подвздошного сочленения или переломах крыла подвздошной кости) нагрузку на пораженную сторону тела необходимо полностью исключить в течение 10 недель.
13. Какая артерия наиболее часто повреждается при переломах костей таза?
Внутренняя подвздошная артерия.
Учебное видео анатомии подвздошных артерий и их ветвей
Редактор: Искандер Милевски. Дата обновления публикации: 18.3.2021
Советы при переломах костей таза
Современная последовательность помощи при переломах костей таза. Тактика
В подавляющем большинстве случаев для оказания помощи пострадавшим с переломами таза авторы используют тактику, основанную на стабильности гемодинамики. Некоторые из положений заслуживают определенного уточнения. Как и в каждом алгоритме оказания помощи больным травматологического профиля, первоочередной задачей является оценка стабильности гемодинамики.
В зависимости от ее параметров последовательность проведения лечебно-диагностических мероприятий будет иметь существенные различия. Поэтому ситуация требует активных действий. Изначально стабильная гемодинамика может быстро перейти в фазу выраженных гемодинамических расстройств. Это требует постоянной переоценки общего состояния больного, чтобы не пропустить внутреннее кровотечение.
При ухудшении показателей гемодинамики, диагностические и лечебные мероприятия должны быть быстро пересмотрены в соответствии с принятым алгоритмом.
Авторы начинают обследование с проведения скринингового УЗИ для выявления свободной жидкости в брюшной полости. При нестабильной гемодинамике и положительных результатах УЗИ помощь должна оказываться в безотлагательном порядке. Исключение составляют пострадавшие с тяжелыми переломами таза которым перед УЗИ, в срочном порядке проводится стабилизация перелома с помощью фиксирующих конструкций.
Даже при отсутствии гемодинамических расстройств показано проведение УЗИ в связи с большой частотой сопутствующих повреждений органов брюшной полости. Если получены положительные результаты УЗИ, но состояние пациента остается удовлетворительным, можно выбрать консервативное ведение. В подобных ситуациях следует выполнить КТ и предпринять попытку эмболизации сосудов повреждений паренхиматозных органов микроспиралями.
Необходимость проведения эмболизации связана с тем, что при УЗИ часто не представляется возможным обнаружить травму паренхиматозного органа без сопутствующего кровотечения, даже после выполнения КТ у пострадавших с отрицательными результатами УЗИ. УЗИ помогает определить стратегические приоритеты. При положительных результатах УЗИ в ближайшее время выполняется КТ. При отрицательных данных УЗИ необходимость в КТ исследовании сохраняется, но в менее срочном порядке.
Отдельно следует остановиться на группе пациентов с отрицательными результатами УЗИ, но сохраняющейся гипотензией. Проблема может усугубиться тем, что выявленный перелом таза не относится к типу переломов, сопровождающихся значительной кровопотерей. С одной стороны, все специалисты клиники уверены в отношении возможности интерпретации данных УЗИ у постели больного, но мы так же понимаем, что в ряде случаев возможны ложноотрицательные результаты исследования.

В ситуациях, когда травма таза и повреждения других органов не рассматриваются как источники кровопотери, для определения причины нестабильной гемодинамики проводится диагностический лапароцентез в надпупочной области открытым доступом, чтобы подкрепить отрицательные результаты УЗИ. Лапароцентез применяется также в ситуациях, когда стационар ограничен в технических средствах, или результаты УЗИ сомнительные.
Нередко при сопутствующем перелому таза кровотечении, приходится решать вопрос о приоритете между стабилизацией перелома и выполнением ангиографии. Подход авторов к этой дилемме сильно изменился за последние несколько лет по мере расширения применения фиксирующих бандажей. В прошлом пациентам с ретроперитонеальной кровопотерей проводили внешнюю фиксацию в том случае, если модель перелома (АР компрессия или «открытая книга») предполагала необходимость стабилизации таза.
Пострадавшим с нестабильной гемодинамикой внеочаговый остеосинтез часто проводили в реанимационном отделении травматологической службы. Если модель перелома не требовала проведения внешней стабилизации, или при признаках значительной кровопотери при выполнении наружной фиксации, в срочном порядке проводилась ангиография.
Рост частоты использования тазовых бандажей для временной стабилизации перелома фактически исключил применение внешних фиксаторов. Вместо них авторы в своем учреждении используют бандажи, и если это приводит к нормализации гемодинамических показателей, становится возможным проведение дополнительного обследования, например, КТ. Необходимо еще раз подчеркнуть, что бандаж обеспечивает только временную стабилизацию.
Любое смещение или удаление бандажа приводит к быстрому ухудшению состояния больного. Это может явиться причиной снижения АД, поэтому удалить бандаж можно только в хорошо контролируемых случаях. Всем пациентам, которым до выполнения окончательной стабилизации перелома предстоят обследования методами дополнительной визуализации или проведение ангиографии, должен проводиться постоянный мониторинг показателей гемодинамики.
Ангиографию можно провести без удаления бандажа, а далее выполнить окончательную фиксацию перелома. Способ фиксации выбирается с учетом состояния пострадавшего и сопутствующих травм. После ангиографии, если нормализация гемодинамики достигнута, мы начинаем с проведения окончательной фиксации перелома методом открытой репозиции с внутренним остеосинтезом (ORIF).
При необходимости операция проводится одновременно с другими вмешательствами, например, лапаротомией. Если пострадавший продолжает находиться в состоянии шока вследствие продолжающегося кровотечения или после перенесенной кровопотери, проводится репозиция перелома наружными фиксаторами. Авторы иногда оставляют бандаж, и пациент переводится в отделение интенсивной терапии. Тогда окончательная репозиция перелома производится через 12-36 часов после оказания реанимационной помощи и согревания больного.
Данный алгоритм оказания помощи пострадавшим с переломом таза является для авторов стандартной практикой, но не следует забывать об индивидуальном подходе к каждому конкретному больному. Иногда сочетанные повреждения вносят изменения в эту схему.
Реабилитация после перелома таза: этапы восстановления
Восстановление после перелома костей таза — длительный и сложный процесс, который, при правильной организации, ускоряет выздоровление.
Симптомы повреждения таза
Тазовая кость — одна из опорных частей скелета, несущая на себе основную функциональную нагрузку. Состоит из трех структур: подвздошная, седалищная и лобковая кости, которые, посредством крестцового отдела позвоночника, образуют кольцо. Травматические повреждения с нарушением целостности приводят к ослаблению или выключению функции части туловища и нижних конечностей. Это кардинальным образом меняет образ жизни человека в течение большого промежутка времени.
Переломы тазового кольца врачи считают наиболее сложными, требующими длительного лечения и реабилитации. Это связано не только с долгим периодом образования костной мозоли. При травмах часто повреждаются внутренние органы, расположенные в данной анатомической области. По статистике, переломы таза составляют до 6 % всех поражений опорно-двигательного аппарата.
Травма костей таза чаще всего встречается после дорожно-транспортных происшествий. Заподозрить перелом можно по наличию следующих клинических признаков.
- Боль в проекции повреждения.
- Патологическая подвижность в месте дискомфорта.
- Изменение конфигурации кольца.
- Кровоизлияние или гематома в области травмы.
- Появление травматического шока, который характеризуется снижением артериального давления, нарушением работы сердечно-сосудистой и дыхательной системы, дезориентацией или изменением сознания.
При травмах тазового кольца существует высокий риск повреждения мочевого пузыря, кишечника, половых органов, крупных сосудов и нервных сплетений.

Инструментальная диагностика
Для уточнения характера перелома и объема лечения проводят дополнительные исследования:
- Рентгенография костей таза.
- Компьютерная томография.
- Магнитно-резонансная томография.
- Ультразвуковой метод.
- Ангиография.
- Уретерография.
Особенности лечения при травмах таза
Тактика ведения пациента зависит от вида повреждения и наличия сопутствующих нарушений внутренних органов. При отсутствии изменения конфигурации тазового кольца и сохранении функции других систем ортопед рекомендует охранительный режим в положении лежа с разведенными ногами, согнутыми в коленных суставах. Длительность лечения положением занимает 5-6 недель.

Задачи реабилитационного периода
Главная особенность при лечении переломов тазовых костей — длительное пребывание в вынужденном положении. На протяжении этого периода противопоказана физическая активность.
За это время происходит снижение мышечной массы, изменение кровообращения и питания окружающих мягких тканей. Поэтому основными задачами реабилитации являются следующие мероприятия:
- Профилактика трофических изменений.
- Предупреждение застойных процессов в органах малого таза.
- Восстановление нормальной работы внутренних органов.
- Возвращение полноценной функции опоры и ходьбы.
Этапы восстановления
Реабилитация после перелома таза занимает длительное время. Это совместный труд медицинского персонала, родственников и самого пациента. Работа по возвращению к привычной жизни проводится, начиная с постельного режима, и включает несколько этапов.
Первый период
Этап направлен на профилактику трофических изменений мягких тканей. Для этого применяют специальные приспособления и подушки, наполненные силиконовым материалом. Их подкладывают под области соприкосновения тела с поверхностью кровати.
Это позволяет уменьшить давление на зоны и восстановить местное кровообращение. Проводится противовоспалительная, обезболивающая терапия с помощью медикаментозных средств. Врач рекомендует диету, которая способствует нормализации пищеварения.
Второй период
В течение следующего этапа проводится восстановление двигательной активности. Упражнения начинают в положении лежа в постели.
Разрешают переворачиваться по мере возможности пациента, учитывая особенности травмы и иммобилизации. Показан массаж туловища и конечностей для повышения мышечного тонуса и улучшения кровообращения.
Третий период
На этом этапе продолжается восстановление физической активности. Пациент учится ходить при помощи поддерживающих устройств, а затем самостоятельно.
В начале переход из горизонтального положения в вертикальное должен контролировать медицинский работник. Это связано с изменением состояния пациента во время перемещения. После длительного нахождения в вынужденной позе может резко снижаться давление и возникать коллаптоидное состояние.
Кроме этого, снижение тонуса мышц нижних конечностей затрудняет нормальную опорную и двигательную функцию. Поэтому, при отсутствии посторонней поддержки, возможны падения с возникновением повторной травмы.
Комплекс упражнений на втором этапе
Элементы ежедневной гимнастики разрабатывают с учетом особенностей пациента. Физическую активность начинают в положении лежа, а затем сидя.
В первую очередь тренируют здоровые конечности, заканчивают той, движения в которой ограничены. Можно выполнять следующие упражнения:
- Сгибание и разгибание кистей и стоп поочередно до 15 раз.
- Круговые движения в голеностопных суставах.
- Повороты стоп внутрь и наружу.
- Попытки удерживать различные предметы пальцами ног.
- Сгибание и разгибание ног в коленных суставах.
- Смена положения из состояния лежа на спине в положение сидя.
- Круговые движения ногами поочередно.
- В положении на боку выполнение отведения конечности.
Комплекс упражнений на третьем этапе
Постепенная ходьба и лечебная физкультура восстанавливает утраченные навыки. Комплекс упражнений включает более широкий спектр нагрузочных элементов.
Он направлен на дальнейшее укрепление мышц таза и нижних конечностей, профилактику застойных процессов и предупреждение образования контрактур. Занятия проводятся во всех положениях, включая вертикальные позиции с опорой на ноги.
Внимание! Движения не должны выполняться при наличии болевого синдрома. При появлении дискомфорта и отеков следует обратиться к врачу.
Специалисты рекомендуют следующие виды упражнений.
- Переход из позиции стоя с опорой на стопу в положение на носках и обратно.
- Поочередное сгибание и разгибание ног в коленных суставах стоя.
- Сгибание и разгибание нижних конечностей в положении сидя с удерживанием ноги на кровати в течение нескольких секунд.
- Стоя перенос опоры поочередно на каждую ногу.
- Переход из положения сидя в положение стоя.
Гимнастика дополняется ходьбой с постепенным увеличением расстояния и удлинением шага. Любые движения выполняются по мере возможности пациента, при отсутствии ощущения дискомфорта.
Физиотерапевтические мероприятия
В процессе восстановления лечебные мероприятия не ограничиваются физическими упражнениями. С целью ускорения регенерации костных тканей и улучшения трофики широко применяют физиотерапевтические методы лечения. Используют следующие процедуры:
- магнитотерапия;
- парафино-озокеритовые аппликации;
- электрофорез с лидокаином и хлоридом кальция.
Польза массажа
Массажные методики позволяют восстановить кровообращение в тканях, обеспечивает лимфодренаж, улучшают мышечный каркас, особенно в местах большой нагрузки. По показаниям проводят несколько курсов массажа. Интенсивность процедуры зависит от степени повреждения органов.
Поначалу давление на зоны не должно быть чрезмерным, в некоторых случаях прибегают к точечным манипуляциям. Затем постепенно силу воздействия на ткани увеличивают до достижения оптимального результата.
Особенности диеты
Для повышения регенерации костных тканей и улучшения обмена веществ важным фактором является правильная диета. На начальных этапах реабилитационного периода пища должна быть легкоусвояемой. Это необходимо для нормализации пищеварения.
Позже рацион расширяют за счет продуктов, которые обогащены кальцием и фосфором.
Полезные компоненты в достаточном количестве содержатся в молочных продуктах, рыбе, орехах, бобовых, зелени, кунжуте и маке. В некоторых случаях врач назначает комплексные препараты с минералами и витаминами, которые ускоряют процесс выздоровления.
Реабилитация после перелома костей таза — длительный и сложный процесс, который, при правильной организации, ускоряет выздоровление и приводит к полноценному восстановлению пациента. Напоследок предлагаем посмотреть видео – современная тактика лечения переломов костей таза в многопрофильном стационаре.
Перелом таза

Перелом костей таза – очень серьезное повреждение скелета человека. При таком повреждении нарушается целостность одной или сразу нескольких тазовых костей. МКБ-10 — S32 (перелом пояснично-крестцового отдела позвоночника и костей таза). Такая травма может быть достаточно тяжелой, поскольку у человека возможен болевой шок, сильное кровотечение. При этом могут наблюдаться повреждения внутренних органов, что ухудшает состояние пострадавшего. По статистике, подобные травмы составляют до 7% от общего количества переломов. При таком переломе отмечается боль, деформация таза, нарушение двигательной активности конечностей. Подтвердить диагноз можно с помощью рентгена и других дополнительных исследований.
В ходе лечения практикуется иммобилизация, скелетное вытяжение. Иногда есть необходимость оперативного вмешательства. Насколько опасно такое состояние и что делать при подробной травме, речь пойдет в этой статье.
Патогенез
Таз – это опора для скелета человека, которая связывает кости туловища и нижних конечностей. Состоит он из трех парных тазовых костей (лобковая, подвздошная и седалищная) и крестца, который располагается сзади. С каждой стороны тазовые кости разделяют тонкие костные швы. Соответственно, относительно друг друга они неподвижны.
Если на кости тазового кольца воздействует нагрузка, превышающая прочность ткани кости, происходит деструкция минеральной части, и коллагеновые волокна разрываются. Если произошел полный перелом, то отломки смещаются вследствие рефлекторного сокращения прикрепленных к ним мышц.
При закрытом переломе формируется гематома, при открытом – наружное кровотечение, которое сложно остановить. В месте, где произошло повреждение, развивается защитная воспалительная реакция: появляется отек, мигрируют лейкоциты, откладывается фибрин.
Классификация
В зависимости от особенностей переломов выделяют несколько групп таких травм:
- Стабильные – при таком переломе нарушения целостности тазового кольца не наблюдается. К этой группе относятся изолированные и краевые переломы.
- Нестабильные – нарушается целостность тазового кольца. К этой группе относятся вертикально нестабильные (нарушается целостность в заднем и переднем отделе) и вращательно нестабильные (отломки смещаются в горизонтальной плоскости) переломы.
- Переломы дна или краев вертлужной впадины – одновременно может наблюдаться вывих бедра.
- Переломовывихи – сочетается с вывихом в лонном или крестцово-подвздошном сочленении.
В зависимости от поражения выделяют закрытые и открытые переломы.
В зависимости от степени поражения выделяют такие формы переломов:
- Изолированные.
- Сочетанные – повреждаются органы малого таза.
- Множественные – сочетаются с другими переломами.
Причины
Травмы могут произойти в разных ситуациях. Однако чаще всего перелом крестца и таза развивается вследствие падения с высоты, автомобильных аварий, несчастных случаев. Как правило, такое повреждение возникает при сжимании либо ударах.
Таким образом, причинами перелома таза становятся:
- Травмы – примерно половина таких поражений связана с ДТП. Также они развиваются вследствие падений, огнестрельных ранений.
- Патологические роды – при движении по родовым путям ребенка отмечается сильная давящая и распирающая нагрузка на кости таза. При затяжных родах повышается риск повреждения крестца или лобковой кости. Риск повышается при узком тазе, применении акушерских щипцов и т. п.
- Болезни костей таза — при ряде патологических процессов нарушается устойчивость тазовых костей. Подобное может наблюдаться при костном туберкулезе, остеодистрофии, остеомиелите, злокачественных опухолях, остеопорозеи др. Во время беременностидополнительным фактором, воздействующим на состояние костной ткани, является недостаток кальция, который расходуется в процессе развития костно-мышечной системы плода.
- Недостаток кальция провоцирует нерациональное питание, низкое содержание кальция и витамина D в пище, курение, злоупотребление кофе.
Симптомы

При переломах тазового кольца проявляются как общие, так и местные симптомы.
Среди местных признаков выделяются следующие:
- Деформация области таза.
- Гематома.
- Сильная боль.
- Отек мягких тканей.
- Может отмечаться костная крепитация при подвижности костных отломков.
При переломе подвздошной кости и верхних отделов вертлужной впадины снижается объем движений тазобедренного сустава. Боль локализуется в области крыла подвздошной кости.
При травмах копчика и крестца боль усиливается, если надавить на нижнюю часть крестца. В такой ситуации возникают трудности с дефекацией.
Если повреждены нервы крестца, чувствительность области ягодиц может нарушаться, иногда отмечается недержание мочи.
Если тазовое кольцо травмируется, но его целостность не нарушается, появляется боль в промежности, а когда происходит перелом лонной кости таза – в области лобка.
При движении ногой, сдавлении таза и пальпации боль усиливается.
При нарушении целостности переднего тазового полукольца боль развивается в области таза и промежности.
Травмирование седалищной и верхней ветви лобковой кости приводит к тому, что у пострадавшего отмечается поза лягушки (на спине, с разведенными в стороны полусогнутыми ногами). При попытке развести ноги проявляется резкая боль.

Поза лягушки, фото
Если происходит перелом заднего полукольца, пострадавший лежит на здоровом боку, при этом у него ограничиваются движения ноги на пораженном боку, при движениях отмечается боль.
При нарушении целостности заднего и переднего полуколец одновременно наблюдается асимметрия таза, а также патологическая подвижность при боковом сдавлении. В промежности определяются кровоподтеки.
При одновременном вывихе бедра нарушается положение большого вертела, конечность пребывает в вынужденном положении.
В случае травмирования тазовой кости отмечается также ряд общих симптомов:
- Травматический шок – по статистике, развивается примерно у 30% пациентов. Если речь идет о множественных травмах, наблюдается у всех таких пострадавших. Проявляется как следствие существенной потери крови и повреждения нервных элементов таза. Для шокового состояния характерна потливость, бледность, снижение артериального давления, учащение пульса.
- Могут наблюдаться симптомы, свидетельствующие о повреждении внутренних органов (признаки «острого живота»).
- Если повреждена уретра, наблюдается задержка мочи, кровоподтек в промежности, кровотечение из мочеиспускательного канала.
- Всегда при такой травме происходит потеря крови. Если перелом был краевым и изолированным, человек теряет до 500 мл крови. При серьезных повреждениях человек может терять до 3 литров крови.
Анализы и диагностика
Чтобы установить диагноз, врач оценивает симптомы и общее состояние больного, а также использует данные рентгенографии. При наличии подозрений на «острый живот» за пострадавшим наблюдают в динамике.
Если пациент находится в тяжелом состоянии, и есть подозрения, что внутренние органы были поражены, сразу проводят лапароскопию, лапароцентез, в некоторых случаях целесообразна также диагностическая лапаротомия.
При отсутствии возможности самостоятельного мочеиспускания у пациента ему обязательно проводят УЗИ мочевого пузыря, а также обследуют мочеиспускательный канал. При необходимости также практикуется уретрография.
Врач также может назначить проведение других обследований.
Лечение перелома таза
От правильного подхода к лечению зависит его эффективность и то, сколько времени заживает перелом. Изначально практикуется комплекс мер для устранения болевого шока, возмещения потери крови. Проводится иммобилизация перелома. Сколько времени продолжается лечение и сколько лежать в больнице при переломе таза, зависит от тяжести травмы, особенностей лечения и общего состояния пострадавшего.
Перелом костей таза
Перелом костей таза – это нарушение целостности одной или нескольких тазовых костей. Местные симптомы включают боль в месте перелома, деформацию таза, видимое укорочение нижней конечности, нарушение движений ногами. Тяжесть травмы связана с большой потерей крови, истекающей из отломков костей таза и мягких тканей, а также развитием травматического шока, обусловленного болевым синдромом и кровопотерей. Диагноз устанавливается по результатам рентгенографии. Для исключения повреждения органов таза могут быть назначены уретрография, цистография, УЗИ мочевого пузыря. Лечение - иммобилизация, иногда с применением скелетного вытяжения. В отдельных случаях показана оперативная фиксация отломков.
МКБ-10


Общие сведения
Переломы костей таза – тяжелое повреждение скелета. Тяжесть травмы обусловлена большой потерей крови, истекающей из отломков костей таза и мягких тканей, а также развитием шока, обусловленного болевым синдромом и кровопотерей. Переломы костей таза, по данным современной травматологии, составляют 4-7% от общего числа переломов. Могут сопровождаться повреждениями внутренних органов, утяжеляющими состояние больного и представляющими непосредственную опасность для его жизни.
Возможен различный механизм травмы, но, чаще всего переломы костей таза возникают в результате падения с высоты, сдавления при автомобильных авариях, обвалах зданий, несчастных случаях на производстве (например, в шахте) и наездах на пешеходов. Вид перелома костей таза зависит от многих факторов, в том числе – от направления (боковое, переднезаднее) и степени сдавления.
Патанатомия
Таз – система соединенных между собой костей, которые располагаются в основании позвоночника. Таз является опорой для скелета, защищает расположенные в нижней части живота внутренние органы и служит связующим звеном между костями нижних конечностей и туловища. Тазовое кольцо образовано тремя парными тазовыми костями (лобковой, подвздошной и седалищной) и расположенным сзади крестцом. Три тазовые кости с каждой стороны разделены между собой тонкими костными швами и неподвижны относительно друг друга. Спереди лобковые кости сочленяются, образуя лобковый симфиз. Сзади подвздошные кости крепятся к крестцу посредством крестцово-подвздошных сочленений. В наружно-боковой области все три тазовые кости участвуют в образовании вертлужной впадины (части тазобедренного сустава).
Выделяют четыре группы переломов костей таза:
- Стабильные (переломы костей таза, не сопровождающиеся нарушением целостности тазового кольца). В эту группу входят изолированные и краевые переломы костей таза.
- Нестабильные (переломы костей таза, сопровождающиеся нарушением целостности тазового кольца). В зависимости от механизма травмы возможно возникновение вертикально нестабильных и вращательно нестабильных переломов. При вертикально нестабильных переломах костей таза целостность тазового кольца, как правило, нарушается в двух местах: в заднем и переднем отделе. Отломки смещаются в вертикальной плоскости. При вращательно (ротационно) нестабильных переломах со смещением смещение отломков происходит в горизонтальной плоскости.
- Переломы дна или краев вертлужной впадины. Иногда сопровождаются вывихом бедра.
- Переломовывихи костей таза. При этом виде повреждений перелом костей таза сочетается с вывихом в лонном или крестцово-подвздошном сочленении.
Симптомы перелома таза
Местные симптомы
К местным симптомам относится деформация тазовой области, резкая боль, гематома или отек мягких тканей в области перелома. При подвижности костных отломков определяется костная крепитация. При отрыве передневерхней ости наблюдается визуальное укорочение конечности, обусловленное смещением отломка кнаружи и книзу и симптом заднего хода Лозинского (при движении ногой назад пациент испытывает меньшую боль, поэтому ходит спиной вперед).
Переломы подвздошной кости и верхних отделов вертлужной впадины сопровождаются уменьшением объема движений в тазобедренном суставе. Пациента беспокоит боль в области крыла подвздошной кости. Для переломов копчика и крестца характерны боли, усиливающиеся при давлении на нижнюю часть крестца. Акт дефекации затруднен. При повреждении крестцовых нервов нарушается чувствительность области ягодиц, возможно недержание мочи.
При переломах тазового кольца без нарушения его целостности появляется боль в промежности (перелом седалищных костей) или в лобковой области (перелом лобковых костей). Боли усиливаются при движениях ногой, пальпации и сдавлении таза в боковом направлении. Для переломов с нарушением целостности переднего тазового полукольца характерны боли в области промежности и таза, усиливающиеся при боковом и переднезаднем сдавлении и движении ног. При переломах седалищной и верхней ветви лобковой кости пациент находится в позе лягушки (на спине, с полусогнутыми и разведенными в стороны ногами). При переломах вблизи симфиза и его разрывах больной слегка сгибает ноги и сводит их вместе. Попытка разведения ног резко болезненна.
При переломах заднего полукольца пациент лежит на здоровом боку, движения ноги на стороне поражения болезненны, ограничены. Переломы Мальгеня (с одновременным нарушением целостности заднего и переднего полуколец) сопровождаются асимметрией таза, патологической подвижностью при боковом сдавлении, кровоподтеками в промежности и области мошонки. Для переломов вертлужной впадины характерны нарушение функций тазобедренного сустава, болевой синдром, усиливающиеся при поколачивании по бедру и осевой нагрузке. При сочетанном вывихе бедра определяется нарушение положения большого вертела, вынужденное положение конечности.

Общие симптомы
В случае изолированных переломов костей таза травматический шок развивается у 30% пострадавших, при сочетанных и множественных травмах – у 100% пациентов. Шок обусловлен массивной кровопотерей в сочетании со сдавлением или повреждением чувствительных нервных элементов тазовой области. При шоке кожа пострадавшего бледная, покрыта липким холодным потом. Артериальное давление снижено, пульс учащен. Возможна потеря сознания.
Иногда переломы костей таза сопровождаются признаками повреждения внутренних органов (клиникой «острого живота»), которые могут быть обусловлены как травмой внутренних органов, так и забрюшинной гематомой при переломе костей таза в задних отделах или гематомой в передней брюшной стенке при переломе лобковых костей. При повреждении уретры развивается характерная триада симптомов: задержка мочи, кровотечение из мочеиспускательного канала, кровоподтек в области промежности. При разрывах мочевого пузыря возникают нарушения мочеиспускания, развивается гематурия.
Переломы костей таза всегда сопровождаются потерей крови. При краевых и изолированных переломах кровопотеря относительно небольшая (200-500 мл). При нестабильных вертикальных переломах пациенты иногда теряют 3 и более литра крови. Тяжелые переломы костей таза могут сопровождаться повреждением уретры и мочевого пузыря, реже – прямой кишки и влагалища. При этом содержимое внутренних органов попадает в полость малого таза и вызывает развитие инфекционных осложнений. Кровотечение и повреждение внутренних органов серьезно утяжеляет состояние пациента и увеличивает риск для его жизни. При некоторых переломах костей таза возможно сдавление или повреждение корешков и нервных стволов поясничного сплетения, сопровождающееся неврологическими расстройствами.
Диагностика
Диагноз перелома костей таза выставляется врачом-травматологом на основании симптомов и данных рентгенографии. При подозрении на «острый живот» и удовлетворительном состоянии пациента проводится наблюдение в динамике. При тяжелом состоянии больного с подозрением на повреждение внутренних органов выжидательная тактика недопустима. Проводится лапароскопия, лапароцентез, иногда - диагностическая лапаротомия. Невозможность самостоятельного мочеиспускания, даже при отсутствии других признаков травмы мочевых путей, является показанием к УЗИ мочевого пузыря и обследованию мочеиспускательного канала. В сомнительных случаях проводят уретрографию.

Лечение перелома костей таза
Комплекс противошоковых мероприятий включает в себя адекватное обезболивание, возмещение кровопотери и иммобилизацию перелома. Выполняется анестезия места перелома, внутрикостная или внутритазовая анестезия. Новокаин оказывает гипотензивное действие, поэтому при шоке большие количества препарата нужно вводить после возмещения кровопотери. При переломах Мальгеня пациенту дают лечебный наркоз. Пациентам с изолированными переломами костей таза проводят дробное переливание крови в течение 2-3 суток после травмы. При тяжелых повреждениях таза, сочетанной травме и тяжелом шоке для возмещения кровопотери показано переливание больших объемов крови в течение первых часов после травмы.
Вид и продолжительность иммобилизации зависят от локализации повреждения, наличия или отсутствием нарушения целостности тазового кольца. При изолированных и краевых переломах выполняется фиксация на щите или в гамаке, иногда – с использованием шин Белера или валиков в подколенной области. Нарушение целостности тазового кольца является показанием к наложению скелетного вытяжения. Проведение оперативного лечения переломов костей таза показано в случае повреждения тазовых органов, значительном расхождении лонных костей при разрыве симфиза, неэффективности консервативного восстановления положения отломков при их значительном смещении.
3. Травма таза. Клиника, диагностика и лечение / Бабоша В.А., Климовицкий В.Г., Пастернак В.Н. - 2001
Читайте также:
