Способ криминального аборта. Криминальный аборт и сепсис
Добавил пользователь Евгений Кузнецов Обновлено: 30.01.2026
Криминальные роды. Мертворожденность и внутриутробная асфиксия
Сепсис может возникнуть в результате искусственного внутриматочного вмешательства после IV мес беременности с целью вызвать преждевременные роды (криминальные роды). Встречается он реже, чем после аборта. Источником сепсиса при этом является эндометрит.
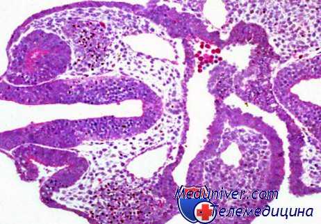
В таких случаях в матке находят распространенный воспалительный процесс с полнокровием и диффузной клеточной инфильтрацией, очагами некроза и множественными тромбозами и флебитами. Процесс захватывает миометрий, проникая на значительную глубину.
Реактивные явления отмечают и в серозной оболочке. На первый план выступает резкий отек и полнокровие. Клеточная инфильтрация периметрия бывает умеренной, но в некоторых случаях может быть и резкой — флегмонозного типа; не исключается также фибринозное воспаление В эндометрии на фоне клеточной инфильтрации надо искать элементы плаценты.
При неполном отделении плаценты это децидуальные клетки ее базального слоя, гигантские клетки, масса фибриноида и ворсин хориона. Если плацента отделилась полностью, то можно увидеть только децидуальные клетки в глубоких отделах базального слоя слизистой оболочки, представляющей собой раневую поверхность.
Раневой поверхностью может быть и обнаженный мышечный слой, где иногда между его поверхностными пучками обнаруживают участки маточных желез.
Одним из основных вопросов судебно-медицинской экспертизы трупов новорожденных является установление живорожденности или мертворожденности. Опыт показывает, что решение этого вопроса нельзя рассматривать в отрыве от определения ными, однако обращает на себя внимание выраженная неравномерность величины альвеолярных полостей.

Если при проведении реанимационных мероприятий кровообращение сохранялось, то капилляры межальвеолярных перегородок могут быть заполнены кровью. Часто при искусственном дыхании и вдувании воздуха наблюдается интерстициальная эмфизема.
Таким образом, только по состоянию альвеолярных просветов не всегда можно судить о мертворожденности.
Сосуды системы малого круга включаются в кровоток, как указано выше, только после начала внеутробного дыхания. Во внутриутробном периоде кровь поступает в ветви легочной артерии в количестве, необходимом лишь для кровоснабжения легочной паренхимы.
Поэтому у мертворожденных межальвеоляриые капилляры спавшиеся или содержат единичные эритроциты. Мелкие ветви легочной артерии имеют очень толстые стенки и узкий просвет. Однако малокровие альвеолярной паренхимы само по себе не является абсолютным доказательством мертворожденности (см. «Легкие живорожденных»).
Кроме того, у мертворожденных может иметь место кровенаполнение капилляров альвеолярной паренхимы. Иногда оно представляется значительным. При наличии полнокровия в капиллярной сети у мертворожденных могут быть обнаружены морфологические признаки функциональной активности приспособительных сосудистых устройств, так как подушечки и почки представляются набухшими, выступают в просвет, нередко перекрывают его.
Предполагают, что при внутриутробной асфиксии, когда возникают глубокие дыхательные движения и сочетанно начинают раскрываться сосуды малого круга, происходит включение в действие приспособительных сосудистых механизмов как меры защиты против несвойственной плоду патофизиологической ситуации. Артериальные подушечки и почки, выбухая r просвет сосудов, перекрывают русло малого круга кровообращения, тем самым препятствуют поступлению крови из бронхиальных сосудов в систему легочной артерии.
Процесс набухания эпителиоидных клеток артериальных подушечек и почек ставят в связь с повышенным (против нормы) содержанием гистамина и крови плодов, погибших от внутриутробной асфиксии. Повышение содержания гистамина в крови плодов объясняют, в частности, токсикозом беременных (наиболее частая причина внутриутробной асфиксии), при котором в плаценте возникают нарушения обмена веществ с накоплением различных продуктов межуточного обмена, в том числе гистамина.
В легких мертворожденных выявляют два вида изменений. Условно их можно обозначить признаками раздражения и угнетения легочной ткани.
Информация на сайте подлежит консультации лечащим врачом и не заменяет очной консультации с ним.
См. подробнее в пользовательском соглашении.
Способ криминального аборта. Криминальный аборт и сепсис
При отсутствии макроскопически видимых следов внутриматочного вмешательства решение этого вопроса представляет большие трудности. Если для прерывания беременности были применены растворы химических веществ, то в некоторых случаях гистологически удается обнаружить следы их воздействия. Так, перманганат калия в высокой концентрации оказывает как бы фиксирующее действие на слизистую оболочку.
Клетки поверхностного отдела децидуального слоя, сохраняя форму, утрачивают тинкториальные свойства: в препаратах, окрашенных гематоксилин-эозином, цитоплазма их приобретает бурый оттенок. Для действия йодного раствора наиболее характерным является выраженный отек и отслоение поверхностного отдела децидуальной оболочки.
Риванол не оказывает резкого раздражающего действия на слизистую оболочку и поэтому повреждающее действие и реактивные явления вначале выражены незначительно. Мыльные растворы приводят к резкому набуханию тканевых элементов и обильной десквамации клеток слизистой оболочки. По мере развития воспаления и присоединения инфекции различия в морфологии стираются.
Криминальный аборт и сепсис. Сепсис является одним из наиболее частых осложнений криминального аборта и непосредственной причиной смерти. Однако нужно всегда помнить, что аборт может быть спонтанным, как следствие сепсиса, развившегося во время беременности при наличии очага инфекции за пределами малого таза. Поэтому эксперт должен установить не только этиологию сепсиса, но и причинную связь его с абортом.

Микроскопическое исследование позволяет получить важные данные для решения этого вопроса. Определяющее значение при этом приобретает выяснение локализации, характера и распространения воспалительного процесса в матке и параметральной клетчатке.
При сепсисе, развившемся вследствие криминального аборта, воспаление обычно захватывает всю стенку матки, причем в эндометрии оно наиболее выражено. В параметральной клетчатке закономерно поражение лимфатических и кровеносных сосудов в виде лимфангоита и тромбофлебита. Это важный диагностический признак. Он указывает на то, что входными воротами инфекции была матка.
Однако нужно иметь в виду, что обнаружение изменений в параметральной клетчатке сопряжено с техническими трудностями и требует порой исследования большого числа кусочков, взятых из разных мест параметрия.
При спонтанном аборте в результате сепсиса преимущественно поражаются мышечный слой и серозная оболочка матки. На слизистой оболочке находят обильные кровяные свертки, среди которых видны пласты измененной децидуальной ткани, ворсины хориона и скопления клеток децидуального эпителия. В глубоком слое слизистой оболочки относительно хорошо определяются маточные железы, децидуальные клетки, элементы хориона. В миометрип наблюдают небольшие круглоклеточные инфильтраты.
Число и размеры их увеличиваются по направлению к серозной оболочке, где клеточные скопления образуют тяжи; на поверхности серозной оболочки можно видеть фибринозно-гнойные наложения. При спонтанном аборте в параметральной оболочке не исключается возможность обнаружения тромбофлебита и лимфангоита.
Сепсис вследствие аборта, как и любой другой сепсис, может протекать по типу септицемии и септикопиемии.
Послеабортная септицемия. Изменения органов при послеабортной септицемии
Особое внимание следует уделять срезам, изготовленным из области прикрепления плаценты, где можно увидеть многочисленные кровоизлияния и некроз, чаще поверхностных, реже глубоких отделов миометрия. Если имеются остатки плаценты, то в них обнаруживают очаги некроза. Среди некротических масс определяется фибрин.
Постоянно обнаруживают многочисленные колонии микробов (грамположительные и грамотрицательные палочки). Бактерии часто расположены сплошной полосой (считают, что они «гнездятся» в уже некротизированной ткани). В глубине стенки матки на границе с некрозом встречают в небольшом количестве кокковую флору.
Там, где ткань сохранила структуру, видно, что, кровь, содержащаяся в межворсинчатых пространствах плаценты и во многих сосудах стенки матки, имеет вид однородной массы ярко-оранжевого цвета (гемолизированная «лаковая» кровь). В некоторых сосудах однородное содержимое имеет розово-красный цвет, в мелких сосудах оно напоминает гиалиновые тромбы. Наряду с этим в более крупных сосудах всюду содержатся красные и белые тромбы.
Их можно заметить и в зоне некроза. Здесь стенка сосудов слабо контурируется и поэтому сверток крови представляется свободно лежащим среди бесструктурной массы. Красные тромбы узнают по красно-оранжевому цвету на фоне базофильно окрашенной некротизированной ткани, а белые — по волокнисто-сетчатому, иногда грубозернистому содержимому (нити фибрина) и по мелкозернистым массам (распадающиеся тромбоциты).
Таких сосудов вблизи плацентарной ткани много, они лежат тесно, а в мышечной оболочке — на некотором расстоянии друг от друга.

Явления демаркации обычно выражены нерезко, особенно когда некроз захватывает мышечный слой на значительную глубину. Лейкоцитарную инфильтрацию прежде всего нужно искать там, где локализуется кокковая флора. При этом клетки белой крови большей частью оказываются распавшимися. Наличие колоний бактерий и распадающихся лейкоцитов приводит к интенсивной базофильной окраске ткани.
Изменения в матке оценивают как некротически гнилостный плацентит, сопровождающийся массивной резорбцией продуктов распада тканей, приводящих к токсикозу (токсико-резорбтивный процесс).
В строме яичников и в слизистой оболочке фаллопиевых труб находят резкое расширение сосудов с наличием в них «лаковой» крови и кровоизлияний.
Изменения во внутренних органах при септицемии в основном заключаются в наличии резко выраженного нарушения кровообращения в виде переполнения кровью венозных сосудов и множественных периваскулярных кровоизлияний, а также явлений повышения проницаемости сосудов вплоть до плазматического пропитывания стенки. В паренхиматозных органах (почках, печени, миокарде) могут быть явления мутного набухания.
В высоком проценте случаев наблюдают двусторонние кровоизлияния в кору надпочечников. Она сплошь инфильтрирована эритроцитами, так что структура нарушена и клетки во многих местах разобщены между собой. Отличительной особенностью послеабортной септицемии является отсутствие пролиферации клеток рстикулоэндотелия, столь свойственной сепсису вообще. Так, в селезенке наблюдают неравномерное расширение синусов и заполнение их кровью. Эритроциты часто гемолизированы, окрашены бледно; очертания синусов выражены неясно; эндотелиальные клетки набухшие, частью десквамированы.
В синусах и вне их встречаются в небольшом количестве лейкоциты. Очертания фолликулов неясные и размеры их небольшие. В лимфатических узлах; в том числе в регионарных, отмечают полнокровие, кровоизлияния и некоторую десквамацию эндотелия синусов.
Кровотечение в ранние сроки беременности, вызванное самопроизвольным выкидышем
Кровотечения в ранние сроки беременности - вагинальное кровотечение, осложняющее процесс гестации в сроках до 22 недель (ВОЗ, 2000).
Причинами кровотечения в ранние сроки беременности могут быть самопроизвольный аборт, криминальный аборт, септический аборт, пузырный занос, внематочная беременность.
Название протокола: "Кровотечение в ранние сроки беременности, вызванное самопроизвольным выкидышем"
Код протокола:
Код (коды) по МКБ-10:
O20 Кровотечение в ранние сроки беременности
O20.8 Другие кровотечения в ранние сроки беременности
O20.9 Кровотечение в ранние сроки беременности неуточненное
Сокращения, используемые в протоколе: УЗИ – ультразвуковое исследование
Дата разработки протокола: 2013 год
Категория пациентов: беременные женщины
Пользователи протокола: врачи акушеры-гинекологи, врачи ВОП

Автоматизация клиники: быстро и недорого!
- Подключено 300 клиник из 4 стран
- 800 RUB / 4500 KZT / 27 BYN - 1 рабочее место в месяц

Автоматизация клиники: быстро и недорого!
- Подключено 300 клиник из 4 стран
- 1 место - 800 RUB / 4500 KZT / 27 BYN в месяц
Мне интересно! Свяжитесь со мной
13-15 октября, Алматы, "Атакент"
600 брендов, более 150 компаний-участников из 20 стран.
Новинки рынка стоматологии. Цены от производителей
Классификация
Клиническая классификация
По клиническим проявлениям аборты делятся на (ВОЗ, 2000)-1:
1. Самопроизвольный аборт определяют как раннее прерывание беременности до момента наступления жизнеспособности плода (22 неделя беременности). Стадии самопроизвольного аборта могут включать в себя:
- угрожающий выкидыш;
- аборт в ходу;
- неполный выкидыш;
- полный выкидыш.
2.Криминальный аборт определяют как процедуру, произведенную лицами, не имеющими необходимой квалификации, или в обстановке, не соответствующей минимальным медицинским стандартам, или по обеим причинам вместе.
3. Септический аборт определяют как аборт, осложненный инфекцией. Сепсис может явиться результатом распространения инфекции из нижних отделов генитального тракта как после спонтанного, так и вследствие криминального аборта. Сепсис вероятнее всего разовьется при задержке фрагментов зародыша в полости матки и при запаздывании с их удалением. Сепсис – частое осложнение криминального аборта при выполнении его нестерильными инструментами (1).
Диагностика
МЕТОДЫ, ПОДХОДЫ И ПРОЦЕДУРЫ ДИАГНОСТИКИ И ЛЕЧЕНИЯ
Перечень основных диагностических мероприятий
Основные:
1. Изучение жалоб и физикальное исследование:наличие вагинальных кровотечений у всех женщин репродуктивного возраста, у которых отмечен эпизод отсутствия месячных (задержка менструального кровотечения более чем на месяц со дня последней менструации) и, возможно, наличие одного или нескольких из следующих симптомов: спастические сокращения матки, частичная экспульсия фрагментов плодного яйца, раскрытие шейки матки-или размер матки меньше ожидаемого).
2. Оценка общего состояния, включая жизненно важные функции (пульс, артериальное давление, дыхание, температура).
3. Оценка объема кровопотери.
Дополнительные: УЗИ органов малого таза (наличие беременности, соответствие сроку гестации, локализация плодного яйца и эмбриона).
Диагностические критерии:
Жалобы и анамнез:
- кровотечение из половых путей (всегда наружное) различной интенсивности;
- боли внизу живота различной интенсивности;
- задержка менструации;
- выделение фрагментов зародыша;
- возможно, повышение температуры тела.
Физикальное обследование: состояние может быть ухудшенным (слабость, бледность кожных покровов, тахикардия, одышка, снижение АД при сильном кровотечении), возможно повышение температуры тела.
Акушерское обследование:
1. ВСДМ – соответствует или не соответствует сроку беременности.
2. Осмотр шейки матки на зеркалах, вагинальный осмотр:
- кровотечение различной интенсивности;
- шейка матки закрыта или раскрыта;
- матка соответствует, меньше или больше срока беременности.
Диагностика вагинального кровотечения в ранние сроки беременности (1):
- угрожающий выкидыш(легкое кровотечения из половых путей, иногда на фоне болей внизу живота, шейка матки закрыта,размер матки соответствует сроку беременности);
- аборт в ходу (сильное кровотечение, шейка матки закрыта, матка соответствует сроку беременности, наличие спастических болей внизу живота, болезненность матки, нет выделений фрагментов зародыша);
- неполный выкидыш (сильное кровотечение из половых путей, шейка матки раскрыта,матка соответствует сроку беременности, спастические боли внизу живота, частичное выделение фрагментов зародыша)
- полный выкидыш (легкое кровотечение, матка меньше нормы, соответствующей предполагаемому сроку, матка мягче нормы, в анамнезе выделение фрагментов зародыша, легкие спастические боли внизу живота)
- пузырный занос (сильное кровотечение, иногда тошнота, рвота, шейка матки раскрыта, матка больше нормы, соответствующей предполагаемому сроку беременности, матка мягче нормы, частичное выделение фрагментов зародыша, напоминающих виноградную гроздь,спастические боли внизу живота, возможно отсутствие плода, возможно киста яичника и раннее начало преэклампсии).
Примечание:
- легкое кровотечение: более 5 минут уходит на то, чтобы пропиталась чистая подкладная или белье;
- сильное кровотечение: менее 5 минут уходит на то, чтобы пропиталась чистая подкладная или белье.
Диагностика осложнений аборта (1,2):
- Инфекция/сепсис – боль внизу живота, иррадиация боли, болезненная матка, затяжное кровотечение, недомогание, высокая температура, влагалищные выделения с гнилостным запахом, гнойные шеечные выделения, болезненность шейки матки при движениях.
- Повреждение матки, влагалища или кишечника – спастические боли в животе, иррадиация боли, вздутие живота, ригидность мышц живота (напряженный и твердый живот), боли в плечах, тошнота, рвота, высокая температура.
При поступлении женщины с вагинальным кровотечением в ранние сроки беременности оцените быстро общее состояние, при наличии шока, предположите прервавшуюся внематочную беременность.
Лабораторные исследования: снижение гемоглобина, повышение лейкоцитов в крови.
Инструментальные исследования: ультразвуковое исследование:определение наличия маточной беременности или их фрагментов, признаков пузырного заноса, отсутствие околоплодных вод
Показания для консультации специалистов: при наличии подозрения на повреждение кишечника, при наличии сепсиса.
Дифференциальный диагноз
| Заболевание | Жалобы | Осмотр шейки матки в зеркалах, бимануальное исследование | Хорионический гонадотропин | Ультразвуковое исследование |
| Угрожающий выкидыш | Задержка менструации, тянущие боли внизу живота, кровянистые выделения из половых путей | Кровянистые выделения, шейка матки закрыта, матка соответствует сроку беременности | Соответствует сроку беременности или незначительно меньше | В полости матки определяется плодное яйцо, могут быть участки отслойки с образованием гематом |
| Внематочная беременность | Задержка менструации, боль в животе, обморочное состояние, легкое кровотечение, | Скудные кровянистые выделения из цервикального канала,закрытая шейка матки, матка немного больше, чем в норме, матка мягче, чем в норме, болезненное образование в области придатков, болезненность при движении шейки матки | Меньше нормы, принятой для данного срока беременности, но может быть в пределах нормы. | В полости матки не определяется плодное яйцо, в области придатков определяется образование. Возможна визуализация эмбриона и его сердцебиение вне полости матки. Может определяться свободная жидкость в брюшной полости |
| Пузырный занос | Кровянистые выделения, задержка менструации, могут быть тянущие боли внизу живота | Матка больше нормы, соответствуюшей предполагаемому сроку беременности, шейка матки раскрыта, частичное выделение фрагментов зародыша напоминающих виноградную гроздь | Больше нормы для данного срока беременности | В матке определяется измененный хорион, состоящий из пузырьков, эмбриона нет. |
| Нарушения менструаль-ного цикла | Задержка месячных, кровянистые выделения. Как правило, не первый эпизод подобных нарушений | Шейка матки закрыта,матка нормальных размеров | Тест отрицательный | В полости матки плодное яйцо не определяется |
Лечение
Цели лечения: остановка кровотечения, лечение осложнений аборта при их наличие
Тактика лечения
Немедикаментозное лечение
Основное лечение при вагинальном кровотечение в течение первых 22 недель беременности заключается в быстрой оценке общего состояния, включая жизненно важные функции (пульс, артериальное давление, дыхание, температура). При подозрении на шок, надо начать его лечение (см. лечение шока). Даже при отсутствии признаков шока, имейте его в виду при дальнейшей оценке состояния женщины, так как оно может быстро ухудшиться. Если шок развивается, важно начать лечение незамедлительно.
Медикаментозное лечение отдельное не предусмотрено, проводиться в сочетании с хирургическим (см. дальше).
Другие виды лечения – нет.
Хирургическое вмешательство
Аборт в ходу:
- Если срок беременности меньше 16 недель, то производится удаление содержимого полости матки, предпочтительно ручная вакуумная аспирация (РВА) -3,4,5; если невозможно удалить немедленно, то назначьте мизопростол 400 мг перорально (при необходимости повторите один раз через 4 часа) и эвакуируйте содержимое полости матки как можно быстрее
- Если срок беременности больше 16 недель: дождитесь спонтанной экспульсии плодного яйца и затем произведите аспирацию содержимого полости матки для удаления оставшихся фрагментов; при необходимости перелейте окситоцин 20 ЕД в 500 мл. физиологического раствора внутривенно со скоростью 40 капель в минуту, чтобы помочь экспульсии плодного яйца (1).
Неполный аборт:
- Если кровотечение от легкого до умеренного и срок беременности меньше 16 недель, используйте пальцы или окончатый зажим для удаления фрагментов плодного яйца, опустившихся из полости матки через шейку матки. Если кровотечение сильное и срок меньше 16 недель, эвакуируйте содержимое полости матки (предпочтительна ручная вакуумная аспирация). Если немедленная эвакуация содержимого полости матки невозможна назначьте мизопростол 400 мкг перорально (при необходимости повторите еще один раз через 4 часа)и эвакуируйте содержимое полости матки как можно быстрее (1).
-Если срок беременности больше 16 недель перелейтеокситоцин 20 ЕД в 500 мл. физиологического раствора внутривенно со скоростью 40 капель в минуту до момента экспульсии плодного яйца; при необходимости назначьте мизопростол 200 мкг вагинально через 4 часа до экспульсии плодного яйца, но в общей дозе не более 800 мкг; удалите все оставшиеся фрагменты из полости матки.
RoyalCollegeofObstetriciansandGynaecologists рекомендует медикаментозный аборт мифепристоном с последующим введением простагландина в качестве безопасного и эффективного метода прерывания беременности во втором триместре (6).
Было установлено, что предварительная подготовка мифепристоном за 36-48 часов перед введением простагландина может повысить уровень успешного выполнения операции, сократить промежуток времени между индукцией и собственно абортом и уменьшить дозу простагландина, требующуюся для выполнения аборта во втором триместре (7, 8).
Недавно было показано, что мизопростолвведеный вагинально или сублингвально более эффективен, чем при приеме перорально после предварительной подготовки мифепристоном, хотя большинство женщин отдают предпочтение приему внутрь. В тех областях, где мифепристона нет, в качестве альтернативной схемы можно назначать мизопростолсублингвально или вагинально без предварительной подготовки мифепристоном (9). После медикаментозного аборта во втором триместре рутинное хирургическое выскабливание полости матки не требуется. Его следует проводить только в том случае, когда имеются клинические подтверждения неполного аборта (9).
Полный аборт. В эвакуации содержимого полости матки обычно нет необходимости. Наблюдайте за женщиной, чтобы не пропустить сильного кровотечения.
При наличии инфекции назначьте антибиотики как можно быстрее, до начала ручной вакуумной аспирации.
При наличии повреждения матки, кишечника произведите лапаротомию для устранения повреждений и одновременно произведите ручную вакуумную аспирацию. При необходимости пригласите хирургов (1).
Если предполагаете, что у женщины имел место криминальный аборт, обследуйте ее на наличие инфекции, а также на наличие повреждений матки, влагалища и кишечника; тщательно промойте влагалище для удаления любых трав, примененных местно лекарств или каустических растворов.
Пузырный занос: эвакуируйте содержимое полости матки, используя ручную вакуумную аспирацию (предпочтительно); перелейте 10 ЕД окситоцина в 500 мл физиологического раствора со скоростью 60 капель в минуту для предупреждения кровотечения во время манипуляции.
Профилактические мероприятия:
- профилактика осложнений после аборта: обеспечение наблюдения за женщиной, чтобы не пропустить сильного кровотечения
- последующее наблюдение за женщиной, перенесшими аборт – планирование беременности только после полного выздоровления; в случая криминального аборта, если беременность нежелательна, консультирование по методам контрацепции.
Дальнейшее ведение:
- консультирование женщины, перенесшей аборт, перед выпиской.
- при пузырном заносе рекомендуйте гормональный метод планирования семьи минимум в течение 1 года для предупреждения беременности
- при пузырном заносе тест на беременность каждые 8 недель как минимум в течение 1 года. Если тест на беременность не отрицательный спустя 8 недель или становиться положительным снова в течение первого года, направьте женщину к онкогинекологу.
Индикаторы эффективности лечения: отсутствие ранних постабортных осложнений.
Криминальный аборт ( Незаконный аборт , Нелегальный аборт , Уголовный аборт )
Криминальный аборт — это искусственное прерывание беременности с согласия женщины, выполненное способом и в сроки, за которые предусмотрена уголовная ответственность. Осложнения нелегального абортирования могут проявляться слабостью, головокружением, нарушениями сознания, слизисто-гнойными и кровянистыми влагалищными выделениями, болью внизу живота, гипертермией, нарастающей интоксикацией и полиорганной недостаточностью. Криминальный аборт диагностируется при помощи влагалищного осмотра в зеркалах, бимануальной пальпации, УЗИ органов малого таза. Для лечения осложнений используют антибиотики, гемостатики, инфузионную терапию, широкий спектр оперативных методов.
МКБ-10
Общие сведения
О криминальном (нелегальном, незаконном, уголовном) аборте речь идет в тех случаях, когда гестация прерывается женщиной самостоятельно или по ее согласию человеком без соответствующего медицинского образования. Как правило, такое вмешательство выполняется вне лечебных учреждений. Аборт считается криминальным также при его проведении акушером-гинекологом за пределами специализированного заведения или без медицинских либо социальных показаний после 12 недели гестационного срока.
По информации экспертов Института Гуттмахера (США), изучающих проблемы абортов в мире, ежегодно нелегально прерывается до 20 миллионов беременностей, в результате осложнений гибнет почти 70 тысяч женщин. Самые высокие показатели зафиксированы в развивающихся странах. В России криминальные аборты составляют 3% от всех случаев абортирования, более половины из них представлены прерыванием подростковой беременности.
Причины
Использование женщинами нелегальных способов прерывания гестации обусловлено социальными факторами: образовательным и культурным уровнем, принадлежностью к определенной социальной группе, отношением общества к нежелательным беременностям, особенностями правового регулирования. Наиболее распространенными причинами незаконных абортов являются:
- Желание скрыть беременность. Попытку прервать гестацию вне стен лечебного учреждения чаще предпринимают подростки, которым для выполнения медицинского аборта требуется согласие родителей. Боязнь огласки — значимый фактор для женщин, совершивших супружескую измену или принадлежащих к социальной группе, где практикуется нетерпимое отношение к внебрачному зачатию.
- Упущенная возможность сделать аборт. В России позднее прерывание гестации (с 12 по 22 неделю) допускается при наличии определенных показаний — медицинских (ВИЧ, туберкулез и другие тяжелые заболевания) или социальных (смерть мужа, более 3 детей, расторжение брака). После 22-недельного срока плод считают живым человеком, поэтому аборт может приравниваться к убийству.
- Запрет на проведение абортов. В ряде государств решение об искусственном прерывании беременности ограничивается законодательно или считается неприемлемым с религиозной точки зрения. При невозможности избавиться от нежеланного ребенка во время «аборт-тура» в сопредельные страны, женщины пытаются прервать гестацию самостоятельно или с чьей-либо помощью.
- Безграмотность. В некоторых случаях беременные, опасаясь последствий официального аборта, решаются на применение «щадящих» абортивных методик — термических, физических воздействий, приема гормональных препаратов или утеротонических средств. Эффективность таких способов является крайне низкой, возможны токсические воздействия на женщину и плод.
Патогенез
Механизм абортирования зависит от способа выполнения криминального аборта. Прием различных медикаментов (стероидных антипрогестагенных средств, синтетических аналогов женских половых гормонов, утеротонических препаратов) предполагает гибель зародыша, нарушение процессов имплантации, усиленное сокращение маточной мускулатуры с изгнанием плода. Введение в цервикальный канал и полость матки химических веществ, различных предметов направлено на стимуляцию выкидыша за счет повреждения плодного яйца. Криминальное прерывание гестации, при котором используют специальные медицинские инструменты, предусматривает отделение плода с его оболочками от маточной стенки.
При внебольничном введении во влагалище и матку химических реагентов, частей растений, различных предметов и даже специальных инструментов обычно не соблюдаются требования асептики и антисептики. В результате существенно возрастает риск микробного обсеменения слизистых. Ситуация усугубляется при травмировании стенки органа, скоплении в маточной полости сгустков крови и разрушенных остатков плодного яйца, являющихся хорошей питательной средой для развития патогенных микроорганизмов. В инфекционно-воспалительный процесс сначала вовлекается эндометрий, а затем другие оболочки матки, придатки, тазовая брюшина. При отсутствии адекватной медицинской помощи возможна генерализация инфекции с развитием перитонита и сепсиса.
При систематизации форм криминального прерывания наступившей беременности учитывают множество факторов, от сроков проведения аборта до используемых методов и средств. Такой подход позволяет максимально учесть возможные медицинские риски и разработать оптимальную схему оказания помощи пациентке. Специалисты в сфере практической гинекологии различают следующие варианты криминальных абортов:
- По срокам проведения: ранние и поздние нелегальные аборты. Обычно чем позднее женщина решает избавиться от ребенка, тем серьезнее осложнения и отдаленные последствия. Кроме того, абортирование при наличии жизнеспособного плода может расцениваться как убийство и усугублять криминальную ответственность.
- По месту прерывания беременности: аборты, выполненные в домашних условиях и неспециализированных медучреждениях. Хотя прерывание гестации считается криминальным и в том, и в другом случае, его проведение за пределами лечебного учреждения повышает вероятность неблагоприятного исхода и отличается более серьезными последствиями.
- По исполнителю аборта: самостоятельное прерывание беременности женщиной, абортирование, выполненное не медиком, непрофильным специалистом, акушером-гинекологом вне специализированного учреждения либо без соответствующих показаний. Осложнения вероятны во всех случаях, однако наиболее опасны аборты, проводимые неспециалистами.
- По способу абортирования: медикаментозные, механические, «народные» методы. Для медикаментозных абортов используют гормональные препараты и утеротоники. При механических возможна катетеризация маточной полости с заливкой химических реагентов, вакуум-аспирация, кюретаж, введение острых предметов, физические воздействия (удары в живот, подъем тяжестей). «Народные» методы предполагают питье отваров, горчичные ванны и т. п.
- По характеру осложнений: с кровотечением, инфицированием, отравлением, эмболией. Геморрагии являются последствием задержки частей плодного яйца, травмы, коагулопатии. Инфицированные аборты бывают неосложненными лихорадочными (с локализацией инфекции в матке), осложненными лихорадочными (с распространением воспаления в малый таз), септическими.
Симптомы криминального аборта
Клинические проявления патологического состояния зависят от выбранного способа незаконного вмешательства. При приеме гормональных средств и препаратов, стимулирующих сокращение миометрия, возможно отравление с тошнотой, рвотой, головокружением, головной болью. В тяжелых случаях передозировки токсичных веществ (хинина, спорыньи) повышается или резко падает давление, учащается сердцебиение, женщина ощущает перебои в работе сердца, отмечается оглушенность, спутанность или потеря сознания. У некоторых пациенток на фоне медикаментозного аборта развивается обильное непрекращающееся маточное кровотечение.
При механических способах криминального прерывания гестации чаще всего наблюдаются массивные маточные кровотечения с быстрым ухудшением общего самочувствия и показателей гемодинамики, выявляемые у 25-40% женщин, которые перенесли нелегальный аборт. О присоединении инфекции свидетельствует нарастающая гипертермия, усиливающиеся боли в надлобковой области, слизисто-гнойные влагалищные выделения. Обычно заметно нарушается состояние пациентки: появляется слабость, быстрая утомляемость, бледность, потливость, головокружение. При эмболии легочной артерии возникает резкая боль в грудной клетке, одышка, сердцебиение, страх смерти.
Осложнения
Всемирной Организацией Здравоохранения аборты, особенно криминальные, признаны наиболее серьезной проблемой охраны женского репродуктивного здоровья во многих государствах. От 13 до 60% материнской летальности в разных странах вызвано осложнениями после незаконного прерывания гестации. В 80% случаев причиной гибели пациентки после криминального аборта является сепсис, в 14% — кровотечение, в 6% — перитонит. При механических и химических вмешательствах возможны разрывы влагалища и шейки матки, прободение маточной стенки, уретры, мочевого пузыря, прямой кишки, петель толстого и тонкого кишечника, химические ожоги слизистых оболочек, ДВС-синдром. На фоне кровотечения и воспалительных процессов (острого эндометрита, сальпингита, аднексита) может развиться инфекционно-токсический шок, почечная печеночная недостаточность.
Поскольку гестация не всегда успешно прерывается криминальным способом, у плода, подвергшегося токсическим воздействиям, могут возникнуть пороки развития. Отдаленными последствиями осложненных нелегальных абортов являются хронические эндометриты, аднекситы, эндоцервициты, кольпиты, эрозия шейки, нарушения менструального цикла. Часто страдает репродуктивная функция – значительно возрастает риск привычного невынашивания беременности, внематочной гестации, преждевременных родов, фетоплацентарной недостаточности, аномалий родовой деятельности, приращения плаценты и других акушерских осложнений. До 40-80% женщин, перенесших уголовный аборт, остаются бесплодными. У некоторых больных развивается стрессовый послеабортный синдром с депрессией, суицидальными мыслями, чувством вины, сексуальными расстройствами, употреблением психоактивных веществ.
Задачами диагностического поиска при криминальных абортах являются установление факта прерывания беременности, объективная оценка состояния репродуктивных органов и завершенности изгнания плода, выявление возможных повреждений. Даже если пациентка не сообщает о незаконном аборте, тщательное обследование позволяет выявить его признаки. Обследование обычно включает такие методы, как:
- Осмотр на кресле. При гинекологическом исследовании отмечается увеличение матки, имеющей мягковатую консистенцию. Во влагалище могут присутствовать сгустки крови. Часто обнаруживаются выделения из шейки. При бимануальной пальпации определяется болезненность в нижней части живота. Гематома после перфорации представлена объемным образованием в области придатков, инфильтрация влагалищных сводов характерна для параметрита.
- УЗИ тазовых органов. В ходе ультразвукового обследования в матке может быть выявлено плодное яйцо или его части. Возможно расширение маточной полости за счет скопления крови. Для более точной визуализации трансабдоминальное УЗИ рекомендуется дополнить трансвагинальным исследованием. Метод также позволяет оценить толщину и состояние маточной стенки, распространение воспалительного процесса на другие органы.
Женщинам с вероятным криминальным прерыванием гестации назначают общий анализ крови, в котором зачастую определяется снижение количества эритроцитов, лейкоцитоз, повышение СОЭ, а также общий анализ мочи. Специалисты оценивают характеристики гемостаза (фибриноген, протромбин, АЧТВ), исследуют биохимические показатели крови (уровни АлТ, АсТ, общего белка, глюкозы, общего билирубина, мочевины, креатинина), выполняют ЭКГ. При обоснованном подозрении на экстрагенитальные осложнения проводят УЗИ органов брюшной полости, рентгенографию легких, КТ органов грудной клетки. Нелегальный аборт дифференцируют с угрозой прерывания гестации, эктопической беременностью, острым аппендицитом, пузырным заносом, плацентарным полипом. По показаниям назначают консультации инфекциониста, уролога, хирурга, нефролога, гематолога, ангиохирурга.
Лечение криминального аборта
При незаконном прерывании беременности пациентка подлежит экстренной госпитализации. Целью действий врача является устранение возникших осложнений, терапевтические мероприятия осуществляются с учетом протоколов лечения маточных и внутрибрюшных кровотечений, воспалительных заболеваний репродуктивных органов, септических состояний, перитонита, эмболии. Консервативная терапия осложнений криминального абортирования предполагает назначение следующих групп медикаментов:
- Антибиотики. Антибактериальная терапия направлена на борьбу с возбудителями инфекционно-воспалительных процессов. Подбор препаратов по возможности выполняется с учетом чувствительности микроорганизмов. Предпочтительны парентеральные способы введения лекарственных средств в сочетании с профилактикой дисбактериоза.
- Гемостатики. Кровоостанавливающие препараты показаны при продолжающихся геморрагиях, связанных с нарушением свертывающей системы крови. Применяются как местно, так и системно. Коагулянты, воздействующие на разные звенья системы гемостаза, повышают свертываемость крови и позволяют прекратить кровотечение.
- Инфузионные растворы. Использование коллоидных и кристаллоидных составов обеспечивает восстановление объема циркулирующей крови и ее реологических характеристик, питание и быструю детоксикацию организма, что особенно важно при медикаментозных отравлениях. В особо тяжелых последствиях аборта выполняют гемосорбцию, гемодиализ.
Интенсивная симптоматическая терапия с назначением кардиотонических препаратов, гепатопротекторов, диуретиков, антиоксидантов, антиагрегантов и других лекарственных средств направлена на коррекцию полиорганных нарушений, характерных для криминального прерывания беременности. При неэффективности консервативного лечения больной рекомендовано проведение операции.
Объем хирургических вмешательств определяется выявленной патологией. Некротизированные остатки эндометрия, плода и его оболочек эвакуируются из маточной полости при помощи кюретажа или вакуум-аспирации, обеспечивается качественная ревизия матки. При наличии тубоовариальных воспалительных образований выполняется тубэктомия, тубоварэктомия. В зависимости от степени повреждения органа и наличия инфекционных осложнений пациенткам с перфорацией маточной стенки рекомендовано ушивание перфорационного отверстия или гистерэктомия. Выявление признаков пельвиоперитонита и разлитого перитонита является основанием для лапароскопического или лапаротомического вмешательства с санацией, ревизией, дренированием брюшной полости, а зачастую и удалением матки с придатками. В сложных случаях проводится резекция сальника, кишечника, выводится кишечная стома, цистостома .
Прогноз и профилактика
Чем позже женщина с осложнениями, вызванными криминальным абортом, обращается за медицинской помощью, тем хуже прогноз. Возникновение тяжелых расстройств и гибель пациентки наиболее вероятны при механических вариантах прерывания гестации с проникновением в полость матки. Профилактические мероприятия предполагают активную пропаганду контрацепции со школьной скамьи, информирование женщин из групп риска об опасности криминальных вмешательств, законодательное регулирование вопросов деторождения с учетом интересов женщины, обеспечение доступной акушерско-гинекологической помощи пациенткам с нежелательной беременностью.
1. Криминальный аборт: медицинская и правовая категория/ Акопян М.С.// Международный студенческий научный вестник. – 2017.
2. Незаконное производство аборта: уголовно-правовой и криминологический аспекты: Автореферат диссертации/ Лозанович Л.А. – 2004.
3. Медико-социальные факторы искусственного прерывания беременности: Автореферат диссертации/ Гряниченко Н.А. – 2006.
Читайте также:
