Строение яичек. Клетки Лейдига и Сертоли
Добавил пользователь Евгений Кузнецов Обновлено: 08.01.2026
29.1. Компоненты системы: общие сведения
а) яички (1) и семявыносящие пути -
придатки яичек (2),
семявыносящие протоки (3);
б) добавочные железы -
семенные пузырьки (4),
предстательная железа, или простата (5),
бульбоуретральные, или куперовы, железы (6);
Вот наиболее общие сведения о б этих органах.
29.1.1. Яички и семявыносящие пути
29.1.1.1. Яички
2. Д ругие канальцы - начальн ое звено семявыводящих путей (осуществляющее депонирование и выведение сперматозоидов).
29.1.1.2. Придатки яичек
депонирование (хранение) сперматозоидов, в процессе чего происходит дозревание последних,
секреция жидкости - составной части спермы,
29.1.1.3. Семявыносящие протоки
начинаются от нижнего конца (хвоста) придатков,
затем идут вверх и через паховый канал - в брюшную полость,
здесь достигают мочевого пузыря и
впадают в верхнюю (предстательную) часть мочеиспускательного канала .
29.1.2. Добавочные железы
29.1.2.1. Семенные пузырьки
2. Каждый пузырёк - сильно изогнутая трубка с резко суженным концом.
3. Последний сливается с конечной частью семявыносящего протока;
29.1.2.2. Простата
2. Находится сразу под дном мочевого пузыря , окружая начальную часть мочеиспускательного канала -
ту, в которую открываются
семявыносящие протоки и
семенные пузырьки.
4. Простата является одновременно и железистым, и мышечным органом,
т.е. представляет собой совокупность отдельных желёзок, окружённых мышечной и соединительнотканной стромой.
2. Видимо, она обладает и эндо кринными функциями :
стимулирует деятельность яичек и
определяет развитие гипоталамуса по мужскому типу.
3. Мышечные элементы простаты во время эякуляции
выбрасывают секрет из желёзок и
образуют непроизвольный сфинктер мочеиспускательного канала.
29.1.2.3. Бульбоуретральные (куперовы) железы
2. Концевые отделы - альвеоля рно-трубчат ого типа .
29.1.3. Мужской половой член
содержит в своей толще мочеиспускательный канал и
заканчивается головкой члена.
между артериями и венами располагаются многочисленные сосудистые полости.
б) При половом возбуждении
просвет вен закрывается ,
полости переполняются кровью ,
причём, обратный отток крови в артерии тоже становится невозможным (из-за особого устройства их стенки) -
и наступает эрекция.
Теперь рассмотрим строение перечисленных органов более подробно .
29.2. Яички (семенники) и семявыносящие протоки
29.2.1. Общий план строения яичка
29.2.1.1. Оболочки и дольки
с влагалищной полостью (6) между ними;
висцеральный листок серозной оболочки и
белочная оболочка.
средостение яичка (8) - неполную вертикальную перегородку и
лучеобразные перегородки (9), расходящиеся из средостения как из центра.
29.2.1.2. Разновидности канальцев яичка и придатка
Как уже отмечалось ,
а) паренхима яичка и придатка представлена канальцами ,
б) канальцы же по функции можно поделить на две группы -
семяобразующие (сперматогенные) и
семявыводящие.
I. Сперматогенные , или извитые семенные , канальцы (1)
по 1-4 канальца на дольку ;
всего в яичке - 300-450 канальцев .
б) Возле средостения концы петли сливаются
друг с другом ,
а также с концами соседних петель.
в) После этого они продолжаются в канальцы следующего вида.
б) Отсюда нетрудно найти, что
общая протяжённость всех семенных канальцев в обоих яичках - 400-500 м.
II. Семявыносящие канальцы
С одной стороны в образуемую ими сеть впадают прямые канальцы .
располагаются в яичке (на выходе из средостения)
и являются прямыми.
Б. Остальные части канальцев
находятся уже в головке придатка яичка, образуя дольки ,
и являются извитыми.
где переходит в семявыносящий проток (6).
29.2.2. Извитые семенные канальцы
29.2.2.1. Вид на препарате
I. Малое увеличение
а) На препарате любой извитой семенной каналец может многократно попадать в плоскость среза.
II. Большое увеличение
сосуды,
обычные соединительнотканные элементы иинтерстициальные клетки (клетки Лейдига, или гландулоциты ), продуцирующие мужские половые гормоны ( тестостерон и его производные).
29.2.2.2. Собственная оболочка семенного канальца
2. а) Таким образом, в собственной оболочке семенного канальца чередуются (изнутри кнаружи)
два неклеточных и
два клеточных слоя .
б) Данная оболочка является одним из компонентов гематотестикулярного барьера (п. 29.2.3.2):
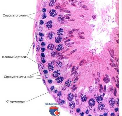
29.2.2.3. Сперматогенный "эпителий":
клеточный состав
собственно эпителиальные (играющие вспомогательную роль) и
сперматогенные клетки - совершенно особый тип клеток, не принадлежащий (вместе с женскими половыми клетками) ни к одному типу тканей.
I. Собственно эпителиальные клетки
клетки Сертоли (2) , или
поддерживающие эпителиоциты ( сустентоциты ) , или
от базальной мембраны
вплоть до просвета канальца.
II. Сперматогенные клетки на разных стадиях созревания
клетки - крупные,
в ядрах хорошо выражен рисунок хроматина;
гаплоидные ,
небольшого размера,
округлой формы (как и все предыдущие клетки),
со светлым ядром;
по размеру - мелкие,
с плотными ядрами,
а также со жгутиками (хвостами);
по мере созревания сперматогенные клетки постепенно перемещаются вдоль клеток Сертоли - от базальной мембраны к просвету канальца.
1. Далее (в пп. 29.2.3-29.2.5) мы рассмотрим подробнее специфические компоненты семенных канальцев и окружающей ткани:
клетки Сертоли,
сперматогенные клетки (и процесс сперматогенеза в целом),
клетки Лейдига (и участие яичек в гормональной регуляции).
2. И лишь после этого обратимся к семявыносящим канальцам яичек и придатков.
29.2.3. Клетки Сертоли
29.2.3.1. Морфология клеток
I. Общий вид
находится в базальной части и
б) Апикальная же часть
представлена многочисленными цитоплазматическими отростками (2) и
маскируется сперматогенными клетками.
II. Связь со сперматогенными клетками
б) В то же время каждая клетка Сертоли контактирует одновременно с несколькими сперматогенными клетками разной стадии развития.
общий контур,
положение ядра,
форма и длина отростков.
б) Такие изменения клеток Сертоли цикличны :
период цикла - это время созревания очередной генерации сперматогенных клеток.
29.2.3.2. Участие в формировании гематотестикулярного барьера
в основном, специализированные плотные контакты,
базальный - содержит сперматогонии и ранние (прелептотенные) сперматоциты;
околополостной ( адлюминальный ) - содержит остальные виды сперматогенных клеток.
б) Предыдущие компоненты последнего:
эндотелий капилляров яичка, отличающийся
отсутствием фенестр и пор,
а также многослойным характером базальной мембраны;
собственная оболочка семенных канальцев (п. 29.2.2.2).
Т.к. на стадии формирования иммунной системы указанных клеток в организме ещё нет,
то эти клетки, появляющиеся на стадии полового созревания, обладают антигенными свойствами .
б) Поэтому очень важно, что
собственная оболочка семенных канальцев не пропускает иммунокомпетентные клетки,
а контакты между клетками Сертоли не пропускают иммуноглобулины.
2. Кроме того, гематотестикулярный барьер обеспечивает поддержание особой среды (создаваемой клетками Сертоли) для прохождения специфических этапов сперматогенеза -
мейоза и
морфологической дифференцировки сперматид.
б) Это происходит по принципу шлюза:
снизу под сперматоцитами замыкается контакт между отростками клеток Сертоли,
а сверху прежний контакт размыкается.
29.2.3.3. Функции клеток Сертоли
Суммируем в таблице функции рассматриваемых клеток.
Некоторые из функций следуют из вышеизложенного,
о других же ещё не упоминалось.
те многочисленные половые клетки, которые погибают в процессе сперматогенеза;
цитоплазматические капельки (резидуальные тела), отшнуровывающиеся от поздних сперматид.
процессы развития сперматогенных клеток и постепенного перемещения последних к просвету канальца;
закономерное распространение волны инициации сперматогенеза вдоль семенного канальца.
б) Но и сами кл. Сертоли обладают эндокринной функцией: синтезируют
фактор, угнетающий (по принципу обратной связи) продукцию ФСГ гипофизом;
фактор, стимулирующий деление сперматогоний.
в) Одновременно они образуют посредник для тестостерона - АСБ ( андрогенсвязывающий белок):
лишь связавшись с последним, тестостерон оказывает влияние на развитие сперматид .
29.2.4. Развитие мужской половой системы и сперматогенез
1. Следующий объект нашего рассмотрения - сперматогенные клетки , проходящие процесс сперматогенеза.
2. Но созревание половых клеток у половозрелового человека - это лишь продолжение соответствующего процесса, начинающегося с ранних стадий эмбриогенеза .
3. Поэтому обратимся к развитию мужской половой системы.
29.2.4.1. Схема развития
I. Эмбриональный период
1. Смысл приведённых рисунков отражается схемой. -
впервые появляются в стенке желточного мешка,
затем мигрируют по кровеносным сосудам к первичным почкам
и внедряются в целомический эпителий , покрывающий эти почки.
врастающие от них в ткань п ервичной почки тяжи - половые шнуры .
б) Вместе с растущими шнурами внутрь проникают и гоноциты.
в ) Под влиянием окружающих соматических клеток определяется направление дальнейшего развития гоноцитов - в сторону мужских половых клеток.
С этого момента они называются просперматогониями.
семенным канальцам
(просперматогонии + клетки Сертоли, развивающиеся из эпителия шнуров),а также канальцам сети яичка
(гоноциты здесь редуцируются, так что остаются только эпителиальные клетки).
мочевые канальцы первичной почки преобразовываются в выносящие канальцы яичка,
а парный мезонефральный проток - в последующие семявыносящие протоки.
II. Постэмбриональный период
Динамика изменения состояния яичек после рождения кратко освещена в таблице. –
Клетки Сертоли ипросперматогонии .
семенные канальцы становятся извитыми
и растут остальные канальцы.
размножающиеся сперматогонии,
сперматоциты и затем
ранние сперматиды .
29.2.4.2. Стадии и этапы сперматогенеза
I. Три стадии
В соответствии с вышеизложенным, в созревании мужских половых клеток имеются три больших стадии. –
II. Четыре этапа собственно сперматогенеза
сперматогонии,
сперматоциты,
сперматиды и
сперматозоиды .
б) Они соответствуют следующим четырём этапам сперматогенеза
в) А. Приведённая продолжительность этапов относится к человеку.
Б. Общая продолжительность сперматогенеза у человека (не считая созревания сперматозоидов в семявыводящих путях) -
г) А. Каждый из перечисленных этапов включает множество очень сложных процессов,
и в пределах каждого этапа имеется много промежуточных форм клеток.
29.2.4.3. Митотическое размножение сперматогоний
в результате которого между дочерними клетками остаётся цитоплазматический мостик.
б) Во всех последующих делениях (и митотических, и мейотических) между клетками тоже остаются мостики.
Т.е. потомство одной изолированной сперматогонии, вступившей в дифференцировку, развивается в виде клонального синцития .
2. а) Как показано на схеме, на этапе сперматогоний ( Сг ) происходит серия из 10 митотических делений .
б) А. В начальных клетках этого ряда хроматин - диффузный (отчего ядра - светлые).
Б. Затем же в ядрах постепенно увеличивается доля гетерохроматина .
х 2
С г А спаренные
х 2
Сг А групповые
х 2
Сг А 1
х 2 , х 2 , х 2
. . .
х 2
х 2
Сг Пр
х 2
Сг В
29.2.4.4. Мейотическое деление сперматоцитов:
отличительные черты
он совершается только при созревании половых клеток,
а в процессе этого созревания - только один раз (после всех митотических делений).
I. Конъюгация гомологичных хромосом и кроссинговер
Н а стадии профазы мейоза происходит конъюгация (попарное прилегание) гомологичных хромосом.
синаптонемальных комплексов (СК).
23 тетрады (структуры из 4-х хроматид).
2. Данный процесс тоже происходит в профазе мейоза.
3. Для этого активизируются специальные ферменты, разрезающие и сшивающие ДНК.
Большая продолжительность профазы мейоза (около месяца) во многом связана с названными процессами - конъюгацией и кроссинговером.
II. Образование клеток с гаплоидным набором хромосом
а) Следующая принципиальная особенность мейоза - то, что он приводит к клеткам с гаплоидным набором хромосом.
б) Обсуждая её, будем использовать обычные обозначения:
n - гаплоидный набор ДНК ,
с - гаплоидный набор хромосом .
первое - с предшествующим удвоением ДНК
и второе (быстро следующее за первым) - без удвоения ДНК.
2. а) Клетки, проходящие эти деления, обозначаются, соответственно, как
первичные ( Сц I) и
вторичные (Cц II) сперматоциты .
б) Поскольку основной вклад в продолжительность мейоза вносит первое деление,
гаплоидный набор хромосом ( 1 с )
при диплоидном содержании ДНК ( 2 n ).
с гаплоидным содержанием и хромосом ( 1 с ), и ДНК ( 1 n ).
б) При этом по виду полученной половой хромосомы сперматиды разделяются на две группы -
III. Репарация возрастных изменений ДНК
О том, что мейоз выполняет и данную функци ю, говорит следующая гипотез а (Н.Н. Мушкамбаров, 1980).
б) Эти повреждения удаляются специальной системой репарации ДНК.
2. а) Н о эффективность деятельности последней - не 100-процентная,
и с возрастом эта эффективность понижается (в чём, возможно, и состоит генетическая программа старения!).
б) Поэтому в ДНК клеток организма с возрастом накапливаются различные изменения.
у мужчин это изолированные сперматогонии . -
б) За несколько десятков лет существования (и редких митотических делений для поддержания численности) в их ДНК могут накапливаться различные повреждения.
в) В процессе 10 митотических делений сперматогоний (когда на основе каждой исходной молекулы ДНК образуется порядка 1000 новых молекул)
"лёгкие" повреждения могут фактически исчезать,
а другие - копироваться в дочерних молекулах.
2. Передача потомству таких повреждений может происходить в отдельных случаях,
но не должна происходить как система :
иначе всё большее их накопление в последующих поколениях приведёт к вырождению вида.
б) Это тем более вероятно, что ферменты кроссинговера очень похожи по своему действию на ферменты системы репарации .
2 . Если данная гипотеза верна, то
мейоз выполняет, кроме общеизвестных, ещё очень важную функцию
и оказывается, что на генетическом уровне старение обратимо.
Строение яичек. Клетки Лейдига и Сертоли
Органы мужской половой системы. Яички. Строение яичек.
К органам мужской половой системы относятся гонады (яички, или семенники), выполняющие репродуктивную и эндокринную функции, добавочные органы — семявыносящие пути, железы, половой член.
Индифферентная гонада начинает развиваться по мужскому типу с 7-й недели, когда наблюдается формирование закладки семенных канальцев в виде половых тяжей. Это происходит под влиянием экспрессии факторов Y хромосомы. Первично дифференцируются клетки Сертоли (поддерживающие эпителиоциты, сустентоциты), далее — клетки Лейдига (интерстициальные эндокриноциты). Гоноциты под влиянием факторов, ингибирующих развитие мюллеровых протоков, секретируемых клетками Сертоли, дифференцируются в сперматогонии, а мезенхимные клетки формируют характерную для семенников соединительнотканную строму и сосуды. Между половыми тяжами и эпителием гонады возникает белочная оболочка, которая разделяет яичко на отсеки, содержащие отдельные половые тяжи.
На 7-м месяце эмбриогенеза, яички опускаются в мошонку и покрываются соответствующими оболочками.

Яички. Строение яичек.
Яичко — парный орган эллипсоидной формы, расположенный у человека в мошонке. От белочной оболочки в глубь яичка отходят перегородки — септы, которые разделяют его на 200-300 долек конической формы. В области верхнезаднего края яичка септы сходятся, врастая в соединительнотканное средостение яичка. В средостение проникают нервы и сосуды.
В каждой дольке яичка располагаются 1-4 извитых семенных канальца длиной от 30 до 80 см, в стенке которых происходит сперматогенез. На верхушках долек извитые канальцы продолжаются в короткие прямые канальцы, которые переходят в сеть семенника, а из сети берет начало система семявыносящих протоков.
Строение извитого семенного канальца. Снаружи извитой семенной каналец ограничен базальной мембраной. На ней располагается однослойный эпителий целомического типа, состоящий из клеток Сертоли. Последние имеют древовидную форму и широким основанием прикреплены к базальной мембране. Апикальные части клеток Сертоли образуют множество анастомозирующих друг с другом отростков, между которыми, как в карманах, располагаются развивающиеся половые клетки. Пространства между базальными частями клеток Сертоли в совокупности именуются базальным отсеком канальца и заняты сперматогониями разных типов — здесь происходит процесс их размножения.
Центральный (противоположный базальному) отдел канальца назван адлюминальным отсеком — здесь находятся более развитые формы половых клеток, начиная со стадии сперматоцитов 1-го порядка. Адлюминальный отсек изолирован от базального с помощью плотных контактов между отростками соседних клеток Сертоли. Такая изоляция необходима потому, что в процессе развития (начиная со стадии сперматоцитов 1-го порядка), когда происходит кроссинговер хромосом, половые клетки становятся носителями неизвестных организму антигенов и должны быть изолированы от системы крови и лимфы. Это достигается путем их "помещения" в адлюминальный отсек.
Клетки Сертоли являются ведущими в создании гематотестикулярного барьера (ГТБ), или гистиона, предотвращающего иммунную реакцию организма на развивающиеся половые клетки. В состав ГТБ входят: система плотных контактов между отростками клеток Сертоли, базальная мембрана извитого семенного канальца, миоидные клетки, расположенные вокруг извитых канальцев, небольшое количество интерстициальной соединительной ткани, базальная мембрана гемокапилляров, эндотелиальные клетки гемокапилляров.
Полагают, что сперматогонии типа В, инициирующие рост и мейоз и приобретающие антигенные свойства, перемещаются из базального в адлюминальный отсек по способу "шлюзования" — в результате перестройки системы плотных контактов между отростками клеток Сертоли.
В извитом семенном канальце сперматогенез протекает неравномерно — волнами, поэтому на гистологических препаратах органа на одном срезе канальца не всегда можно наблюдать все стадии развития половых клеток. Цикл развития мужских половых клеток у человека продолжается около 74 суток.
Пространства между петлями извитых канальцев заняты рыхлой волокнистой соединительной тканью (интерстициальной тканью, стромой), содержащей большое количество кровеносных и лимфатических сосудов, нервных окончаний, а также клетки Лейдига. Клетки Лейдига являются мезенхимными производными. Это клетки округлой формы диаметром 10-15 мкм с оксифильной цитоплазмой, располагающиеся между извитыми канальцами небольшими группами или одиночно. Они синтезируют мужские половые гормоны — тестостерон, дигидротестостерон, андростендион, а также небольшие количества эстрогенов.
Помимо половых гормонов, клетки Лейдига вырабатывают вещества, оказывающие паракринное воздействие на клетки Сертоли; небольшие количества окситоцина, стимулирующего сокращения перитубулярных миоидных клеток извитых семенных канальцев, а также интерлейкин-1, действующий как фактор роста на сперматогонии типа В.
Информация на сайте подлежит консультации лечащим врачом и не заменяет очной консультации с ним.
См. подробнее в пользовательском соглашении.
Вклад мужчины в репродукцию состоит в выработке генетически полноценных сперматозоидов, способных оплодотворить яйцеклетку. Конечный продукт гаметогенеза у мужчин - зрелые сперматозоиды - предназначен лишь для одной цели: доставить мужскую составляющую генома эмбриона. Биология гаметогенеза у мужчин и женщин различна. Гаметогенез у женщин тесно связан с эндокринной функцией яичников. При отсутствии гамет синтез гормонов резко сокращается. Утрата ооцитов означает утрату основных гормонов яичника. У мужчин же все по-другому: синтез андрогенов будет успешно продолжаться даже при полном отсутствии сперматозоидов в яичках.
В дальнейших статьях на сайте будут освещены основные аспекты морфологии яичек и процессы развития, приводящие к образованию зрелых сперматозоидов.
Яичко имеет форму эллипса размерами 2,5x4 см, окруженного мощной соединительнотканной капсулой (белочной оболочкой), По заднему краю яичко рыхло соединено с придатком яичка (epididymus), который в нижней своей части дает начало семявыносящему протоку. У яичка две основных функции: синтез гормонов, в том числе тестостерона, и продукция мужских половых клеток — сперматозоидов. Яичко частично поделено на группы долек.
Большую часть объема яичка занимают семенные канальцы, извитые и прямые, упакованные в соединительную ткань в пределах фиброзных перегородок. Фиброзные перегородки делят паренхиму яичка приблизительно на 370 конических долек, состоящих из семенных канальцев и межканальцевой ткани. Семенные канальцы разделены скоплениями клеток Лейдига, кровеносными сосудами, лимфатическими сосудами и нервами. Они служат местом образования сперматозоидов. Стенка каждого канальца образована миоидными клетками с ограниченной сократимостью и соединительной тканью.
Каждый семенной каналец диаметром около 180 мкм; высота сперматогенного эпителия составляет 80 мкм, а толщина околоканальцевой ткани — около 8 мкм. Сперматогенный эпителий состоит из клеток, находящихся на разных стадиях развития и расположенных внутри инвагинаций клеток Сертоли, а именно: сперматогониев, первичных/вторичных сперматоцитов и сперматид. Оба конца семенных канальцев открываются в пространства сети яичка. Секретируемая семенными канальцами жидкость собирается в сети яичка и доставляется в систему протоков придатка яичка.

Поддерживающие клетки яичка участвуют в обеспечении процессов клеточного развития, которые приводят к созреванию сперматозоидов. Эти клетки необходимы для образования сперматозоидов, без них сперматогенез невозможен. К самым важным поддерживающим клеткам относятся клетки Лейдига и клетки Сертоли.
Клетки Лейдига — клетки неправильной формы, богатые гладким эндоплазматическим ретикулумом и митохондриями, располагающиеся раздельно или (чаще) группами в массе соединительной ткани. Клетки Лейдига — основной источник мужского полового гормона тестостерона. ЛГ гипофиза стимулирует синтез тестостерона клетками Лейдига. Тестостерон по механизму отрицательной обратной связи угнетает или модулирует секрецию ЛГ. По сравнению с количеством тестостерона в крови его содержание в яичках во много раз выше, особенно вблизи базальной мембраны семенного канальца.
Семенные канальцы выстланы высокоспециализированными клетками Сертоли, которые располагаются на базальной мембране канальцев, выступая в их просвет сложными отростками цитоплазмы. Сперматозоиды начинают образовываться в пубертатном периоде, но не распознаются иммунной системой, формирующейся в течение первого года жизни. Просвет семенного канальца подразделяется на базальный (базальнаямембрана)илюминальный (собственно просвет) компартменты мощными межклеточными соединительными комплексами, называемыми плотными соединениями. Эти анатомические образования в совокупности с прилежащими миоидными клетками, окружающими семенной каналец, формируют гематотестикулярный барьер.
Этот барьер создает микросреду для сперматогенеза, который должен протекать в иммунологически толерантном окружении. Клетки Сертоли играют в сперматогенезе роль питающих клетки в течение всего цикла их развития. Также они принимают участие в фагоцитозе герминативных клеток. Между клетками Сертоли и развивающимися герминативными клетками существуют многочисленные контакты, обеспечивающие поддержку адекватной гормональной среды для сперматогенеза. ФСГ связывается со своими высокоаффинными рецепторами, расположенными на клетках Сертоли, давая сигнал к секреции андроген-связывающего протеина. Высокие концентрации андрогенов обнаруживают также и внутри семенных канальцев.

Клетки сперматогенного эпителия. Окраска: гематоксилин-эозин. Большое увеличение.
Два важнейших гормона, секретируемых клетками Сертоли, — АМГ и ингибин. АМГ, или фактор регрессии мюллеровых протоков, играет существенную роль в эмбриональном развитии, способствуя инволюции мюллеровых протоков. Ингибин — ключевая макромолекула в системе регуляции гипофизарной секреции ФСГ. К другим функциям клеток Сертоли относятся следующие:
• поддержание целостности эпителия семенных канальцев;
• компартментализация эпителия семенных канальцев;
• секреция жидкости, заполняющей просвет канальца для транспортировки спермы по протоку;
• участие в высвобождении спермиев;
• фагоцитоз и элиминация цитоплазмы;
• доставка питательных веществ сперматогенным клеткам;
• стероидогенез и метаболизм стероидов;
• передвижение клеток в эпителии;
• секреция ингибина и андрогенсвязывающего белка;
• регуляция сперматогенного цикла;
• обеспечение мишеней для гормонов (ЛГ, ФСГ и тестостерона) за счет имеющихся на клетках Сертоли рецепторов.
Видео гистология яичка (препарат срез)
Редактор: Искандер Милевски. Дата обновления публикации: 18.3.2021
29.2.4.5. Стадии мейоза
Теперь перечислим и кратко охарактеризуем стадии мейоза.
I. Профаза первого деления
В ней выделяют 6 стадий.
Между спаренными хромосомами формируются синаптонемальные комплексы .
Хромосомы обмениваются гомологичными участками ( кроссинговер).
б) А. Из-за ещё большей спирализации хромосомы утолщаются и подразделяются на хроматиды.
II. Остальные стадии (фазы) мейоза
Общая продолжительность всех этих стадий во много раз меньше, чем продолжительность профазы первого деления.
А. Первое деление мейоза
б) Хромосомы располагаются
в экваториальной плоскости клетки.
по 23 хромосомы к каждому полюсу.
б) Между ядрами образуется перетяжка:
клетка разделяется на две
(но по-прежнему - с сохранением между ними цитоплазматического мостика).
Б. Второе деление мейоза
23 хромосомы выстраиваются по экватору клетки.
по 23 хроматиды (хромосомы) к каждому полюсу.
(с сохранением между ними цитоплазматического мостика).
29.2.4.6. Созревание сперматид (спермиогенез):
общие сведения
2. За это время клетка претерпевает сильнейшие морфологические изменения: превращается
из округлой, обычной по форме и структуре,
всё время сперматиды погружены частью клетки в их цитоплазму.
т.н. спермиация, или высвобождение клеток в просвет канальцев.
29.2.4.7. Основные события спермиогенеза
Кратко перечислим п роисходящи е события (см. также п. 5.1.2). -
I. Сильное уплотнение ядра
2. а) Затем же происходит смена ядерных белков (замена гистонов на более основные протамины ),
и новые белки (обеспечивают очень сильную конденсацию хроматина. -
б) За счёт этого объём ядра уменьшается примерно в 30 раз .
3. Вместе с этим, ядро
смещается к полюсу клетки и
выдаётся из неё, образуя основу головки будущего сперматозоида.
II. Формирование специализированных структур сперматозоида
а) Вначале она имеет вид мембранной гранулы.
б) Затем последняя
прилегает к ядру и
превращается в уплощённый пузырёк,
который в виде двойной шапочки наползает спереди на ядро .
способству ю т таксису (направленному движению сперматозоида),
обеспечива ю т связывание с яйцеклеткой и
облегча ю т последующий разрыв самой этой мембраны.
б) А. Отсюда начинается формирование аксонемы (осевой нити жгутика) .
Б. При этом путём самосборки образуется характерная система микротрубочек -
9 пар периферических и
одна пара центральных микротрубочек.
выстраиваются по спирали вокруг начального отдела аксонемы и
образу ют тем самым митохондриальную "оболочку " в промежуточной части хвоста.
б) Синтезируются специальные цитоплазматические ферменты.
Б. Б лагодаря им, сперматозоиды приобретают способность эффективно использовать новые источники энергии -
ацетилкарнитин (секретируется придатками яичек),
фруктозу (секретируется семенными пузырьками),
лактат и пируват (продуцруются эпителием женских половых путей).
III. Удаление почти всей цитоплазмы
б) Отчасти это происходит, видимо, путём внутриклеточного распада и утилизации её компонентов.
2. а) Последний же подлежащий удалению остаток цитоплазмы, как бы сползая с ядра, скапливается в виде капельки в промежуточной области хвоста
б) Здесь концентрируются
рибосомы,
эндоплазматический ретикулум,
аппарат Гольджи и
другие органеллы.
3. Отшнуровывание этой капельки (в виде т.н. резидуального тельца ) происходит
либо одновременно со спермиацией,
либо даже уже позднее - в придатке яичек.
4. Небольшое количество цитоплазмы сохраняется у сперматозоида лишь в виде очень тонкого слоя
перед акросомой в головке и
вокруг аксонемы в хвосте.
29.2.4.8. Созревание сперматозоидов
Дозревание сперматозоидов происходит и после спермиации. –
б) На их поверхности сорбируются гликопротеины (синтезируемые придатками и семенными пузырьками),
которые участвуют в связывании сперматозоида с яйцеклеткой.
подвижность и
метаболизм сперматозоидов.
повышается лабильность мембран сперматозоида
29.2.4.9. Временн а я и пространственная упорядоченность
сперматогенеза
I. Временн а я упорядоченность
одновременно развиваться клетки четырёх генераций.
б ) Это мы и наблюдали на снимках 1 ,б -1 ,в :
в составе сперматогенного "эпителия" (примерно так же, как в эпидермисе кожи) присутствуют сразу четыре вида клеток (принадлежащих разным генерациям) -
сперматогонии,
один или два слоя сперматоцитов
(если два - то на разных стадиях мейоза),один или два слоя сперматид
(если два, то тоже на разных стадиях спермиогенеза).
по мере того, как клетки четырёх генераций последовательно проходят свои многочисленные стадии развития.
б) Например, четвёртым (прилегающим к просвету) слоем клеток
в одном случае являются сперматиды на средней стадии созревания,
в другом - на самой поздней стадии (и т.д.)
в ) Это явление называется циклом сперматогенного "эпителия".
II. Пространственная упорядоченность
а, как волна, распространяется из его середины в обе стороны.
2. Скорость распространения "волны" - примерно 2,2 мм/сутки (у грызунов).
такую же закономерную смену морфологической картины сперматогенного "эпителия",
как при наблюдении за одним участком канальца во времени.
29.2.5. Участие яичек в гормональной регуляции
29.2.5.1. Схема
а) Как известно (и как не раз упоминалось выше), яички - это и органы внутренней секреции .
б) Их участие в гормональных взаимодействиях показано на схеме.-
в) Из схемы видно, что
гормональная функция яичек находится под контролем гипоталамуса и гипофиза (при наличии обратных воздействий),
а в самих яичках эта функция обеспечивается деятельностью двух видов клеток - Лейдига и Сертоли.
29.2.5.2. Роль клеток Лейдига
находятся в соединительной ткани между семенными канальцами,
имеют округлую форму и оксифильную цитоплазму,
3. Поскольку при синтезе тестостерона используется т.н. микросомальное окисление (гидроксилирование),
в клетках Лейдига развита гладкая (агранулярная) ЭПС (эндоплазматическая сеть) (п. 3.2.3.2).
2. Последние, как футляром, окружают семенные канальцы
3. а) Именно в лимфатические синусы и попадает, в основном, тестостерон .
б) Таким образом, яички - единственный эндокринный орган, где гормоны
поступают преимущественно в лимфу и
достигают крови, в основном, лишь через ductus thoracicus.
в т.ч. по принципу обратной связи
угнетает продукцию ЛГ гипофизом.
в клетки Сертоли (стимулируя в них синтез специфических белков) или
через толщу сперматогенного "эпителия" - в просвет канальцев .
б) В о втором случае тестостерон
связывается (в просвете канальцев) с АСБ (андрогенсвязывающим белком, выделяемым клетками Сертоли)
и после этого оказывает влияние на развитие сперматоцитов и сперматид.
29.2.5.3. Роль клеток Сертоли
в эндокринных взаимодействиях
фолликулостимулирующего гормона (ФСГ) гипофиза и
тестостерона
АСБ - "проводник" тестостерона в сперматиды,
фактор, стимулирующий деление сперматогоний,
ингибин, который (по принципу обратной связи) тормозит выработку ФСГ в гипофизе.
29.2.6. Семявыносящие пути
Завершив подробное рассмотрение семенных канальцев яичка,
обратимся к другим структурам мужской половой системы;
и вначале - к семявыносящим путям.
29.2.6.1. Сравнительная морфологическая характеристика
I. Перечень семявыносящих канальцев
прямые канальцы яичка (2),
канальцы сети яичка (3);
выносящие канальцы яичка (4),
проток придатка (5).

II. Оболочки канальцев
б) собственная пластинка .
а, в) внутренний и наружный продольные;
29.2.6.2. Препарат придатка яичка
выносящие канальцы (1) и
проток придатка (2), многократно попадающий (вследствие своей извилистости) в плоскость среза.
выносящие канальцы - просвет имеет неровные контуры;
проток придатка - просвет овальной или округлой формы с чёткими контурами .
II. Большое увеличение - выносящий каналец
два вида клеток эпителия (высокие и низкие) расположены группами , чередующимися друг с другом .
Местами в эпителии содержатся только высокие реснитчатые клетки (1) -
это даёт извив контура в сторону просвета.
т огда в эпителии получается "вырезка".
гладкие миоциты (3), расположенные циркулярно, и
соединительнотканные клетки (4).
III. Большое увеличение - проток придатка
б) Причина в том, что два типа клеток эпителия здесь расположены равномерно,
причём, к просвету обращены только высокие реснитчатые клетки (1),
а вставочные клетки (2) находятся между их основаниями.
расположенные циркулярно гладкие миоциты (3) и
клетки адвентициальной оболочки (4).
29.3. Прочие органы мужской половой системы
29.3.1. Добавочные железы
2. а) Общая информация об этих органах (местоположение, макроскопический вид, функция) приводилась в п. 29.1.2.
б) Здесь остановимся на их гистологическом строении.
29.3.1.1. Семенные пузырьки
б) Как отмечалось, каждый пузырёк -
сильно изогнутая трубка с резко суженным концом,
которая открывается (вместе с семявыносящим протоком) в простатическую часть уретры.
это придаёт её поверхности ячеистый вид .
б) Состав оболочки:
А. однослойный призматический эпителий ,
Б. собственная пластинка , содержащая
много эластических волокон и
альвеолярные слизистые железы .
внутренний циркулярный и
наружный продольный.
29.3.1.2. Простата: общий вид
I. Состав паренхимы
паренхиматозным мышечно-железистым органом.
крупные прослойки разделяют простату на дольки,
а мелкие проникают внутрь долек, окружая отдельные железы.
II. Простатическая часть уретры
1. Просвет канала - узкий, звёздчатой формы .
собственная пластинка слизистой оболочки,
подслизистая основа и
гладкомышечная оболочка (см. также п. 29.3.2.4).
29.3.1.3. Простата: характеристика компонентов
I. Железы простаты
в) (Другое поле зрения)
г) (Большое увеличение)
2. В этих отделах - два вида клеток:
слизистые экзокриноциты кубической или призматической формы и
мелкие вставочные клетки.
2. а) У человека они имеют более широкий просвет, чем концевые отделы .
б) У собаки же (как видно на снимке) протоки очень узкие.
железы в составе слизистой оболочки мочеиспускательного канала;
железы в соединительной ткани вокруг мочеиспускательного канала,
железы, находящиеся в остальной части простаты (и представляющие собственно предстательные железы ).
II. Мышечно-эластическая строма простаты
пучки гладких миоцитов ( 2 ) и
рыхлая волокнистая соединительная ткань ( 5 ) с большим содержанием эластических волокон.
2. а) Мышечные пучки окружают дольки и в них отдельные концевые отделы двумя слоями –
б) Кроме того, они окружают уретру (образуя её мышечную оболочку) - и тоже двумя слоями:
внутренним продольным и
наружным циркулярным..
29.3.2. Мужской половой член
в составе эпидермиса - свободные окончания,
в сосочках дермы - осязательные тельца ,
в сетчатом слое дермы и в оболочке кавернозных тел - пластинчатые (фатер-пачиниевы) тельца и колбы Краузе .
29.3.2.2. Пещеристые тела
б) Среди них различают
парные кавернозные тела и
непарное губчатое тело (в котором проходит мочеиспускательный канал).
плотная волокнистая соединительная ткань эластического типа и
гладкие миоциты .
перекладины (перегородки) из плотной волокнистой соединительной ткани эластического типа,
артерии и вены в составе этих перегородок ,
тонкостенные сосудистые полости (пещеры) между перегородками, способные заполняться кровью и резко растягиваться при этом.
29.3.2.3. Кровеносные сосуды в половом члене
29.3.2.4. Мочеиспускательный канал
В заключение осветим строение мужского мочеиспускательного канала (уретры).
I. Основные компоненты
предстательную (в составе простаты; 2,5 см ),
перепончатую (проходит через мочеполовую диафрагму; 1 см );
слизистую оболочку,
подслизистую основу,
мышечную оболочку.
II. Анатомические особенности и состав оболочек уретры
который в головке члена переходит в
А. мелкие слизистые железы (Литтр е ),
Б. сеть венозных сосудов,
В. много эластических волокон.

В пубертатный период в мужском организме происходит развитие и становление репродуктивной функции, характерной для организма взрослого мужчины. При этом во время пубертатного периода в коре надпочечников начинается секреция адреналовых мужских половых гормонов — андрогенов. В среднем в 11-летнем возрасте у мальчиков в семенниках начинается увеличение количества клеток Лейдига и благодаря их функции уровень секреции тестостерона постепенно достигает плато взрослого мужчины (порядка 6 нг/мл плазмы крови). В течение пубертатного периода происходит рост и развитие тела, изменение в регуляции многих функций организма, в том числе ЦНС и гипоталамуса. Секреция гонадолиберина в гипоталамусе и гонадотропинов (фоллитропина и лютропина) в гипофизе постепенно достигает уровня взрослого мужчины и сохраняется на относительно постоянном уровне в среднем до 50 лет, обусловливая характер синтеза и секреции тестестерона в мужских половых железах (рис. 16.3). Рис. 16.3. Изменение концентрации тестостерона в плазме крови мужского организма в различные периоды жизни. На протяжении жизни мужского организма секреторная функция клеток Лейдига существенно изменяется. Высокая концентрация тестостерона отмечается в поздний период внутриутробного развития (4 нг/мл), когда он необходим для регуляции интенсивного развития наружных половых органов. Низкий уровень тестостерона в плазме крови поддерживается до пред-пубертатного периода, поскольку отсутствуют клетки Лейдига. Следующий подъем секреции тестостерона отмечается в 11 лет и удерживается в течение пубертатного периода. По окончании пубертатного периода секреция тестостерона достигает уровня взрослого мужчины и сохраняется вплоть до 50 лет жизни.
Функции семенников
Основными функциями мужских гонад являются сперматогенез и секреция мужских половых гормонов. Активность мужской репродуктивной функции является непрерывной и не имеет циклических проявлений, как в женском организме. Семенники развиваются в брюшной полости плода, но примерно за 2—3 мес до рождения под влиянием нарастающей концентрации тестостерона в плазме крови семенники опускаются в мошонку. В мошонке температура составляет примерно 34 °С и ниже, что является адекватной температурной средой для нормального течения сперматогенеза. Оптимальная для сперматогенеза температура в яичках регулируется в процессе противоточного температурного обмена между притекающей артериальной кровью и оттекающей от тканей яичек венозной кровью, а также при сокращении или расслаблении гладкой мышцы, поднимающей яичко, что изменяет положение последнего относительно области центральной температуры тела.
Сперматогенез осуществляется в семенных канальцах, стенки которых выстланы сперматогенным эпителием, содержащим сперматозоиды и предшествующие им клетки — сперматогонии, сперматоциты I и II порядка, а также сперматиды, которые расположены между поддерживающими клетками Сертоли (рис. 16.4). Плотные контакты между клетками Сертоли создают надежный барьер с кровью (гематотестикулярный), который препятствует развитию аутоиммунных реакций организма на антигены, расположенные на мембране развивающихся половых клеток, а также действию на сперматогенный эпителий токсичных веществ, попадающих в организм из внешней среды. Клетки Сертоли выполняют трофическую функцию в отношении развивающегося сперматозоида, фагоцитируют половые клетки, утратившие способность к делению, а также остатки цитоплазмы делящихся половых клеток.
Таблица 16.2. Роль основных андрогеиов в мужской репродуктивной функции.
| Гормон | Внутриутробный период | Пубертатный период | Взрослый мужчина |
| Тестостерон | Стимуляция дифференциации: семявынося-щие протоки семенные пузырьки придатки яичек | Стимуляция пубертатного роста организма Рост пениса, семенных трубочек Сперматогенез Секреция гонадотропинов Регуляция по механизму обратной связи: гипоталамус-гипофиз—половые железы Формирование вторичных половых признаков: развитие голосового аппарата, мышц, распределение жира | Сперматогенез Секреция гонадотропинов Половые стимулы Половое поведение Регуляция по механизму обратной связи: гипоталамус-гипофиз—половые железы Ткани пениса, семенных пузырьков Вторичные половые признаки: голос, мышцы, распределение жира Количество эритроцитов к крови и содержание в плазме крови липидов |
| Дигидротестостерон | ------------------- | Рост волос по мужскому типу Развитие сальных желез, простаты | Сперматогенез Секреция гонадотропинов Половые стимулы Половое поведение Наружные половые органы Семенные пузырьки Регуляция по механизму обратной связи: гипоталамус-гипофиз—половые железы |
Клетки Сертоли синтезируют белок, способный связывать тестостерон. Это поддерживает высокую концентрацию в сперматогенном эпителии гормона, необходимого для стимуляции сперматогенеза.

Рис. 16.4. Расположение сперматогенных клеток в эпителии семявыносящей трубочки. Семявыносящая трубочка окружена базальной мембраной, на которой находятся клетки Сертоли и сперматогенные клетки (сперматогонии, сперматоциты I и II порядка, сперматиды). Между клетками Сертоли расположены сперматогенные клетки, находящиеся на различной стадии деления (митоз — сперматогонии и мейоз — сперматоциты I и II порядка) и морфологической дифференциации (сперматиды). Плотные контакты между клетками Сертоли представляют эффективный барьер между кровью и внутренней средой семявыносящей трубочки, препятствуя попаданию вырабатываемых половых клеток в кровь и развитию иммунной реакции мужского организма на эти клетки.
Клетки Лейдига синтезируют мужские половые гормоны андрогены и находятся в соединительной ткани между семенными канальцами. Высокая активность этих клеток и соответственно высокая секреция тестостерона имеет место в поздний период развития плода, что необходимо для развития у него наружных половых органов. После рождения, к концу первого года жизни происходит интенсивная регрессия количества клеток Лейдига и снижение секреции в гонадах ребенка тестостерона в связи со снижением секреции лютропина в гипофизе. В результате до начала пубертатного периода в организме ребенка мужского пола не развиваются первичные и вторичные половые признаки, которые характерны для нормального взрослого организма мужчины. Начало пубертатного периода в развитии мужского организма связано с началом секреции гонадолиберина в гипоталамусе и лютропина в аденогипофизе. Под влиянием этих гормонов, клетки Лейдига дифференцируются во взрослый тип и в них начинается секреция тестостерона и дигидротестостерона, обусловливающих половое развитие мужского организма (табл. 16.2).
Читайте также:
- Магнитно-резонансная томография сердца
- Синдром каротидного синуса - клиника, диагностика
- Ранняя диагностика гнойного иридоциклита
- Лейкоплакия шейки матки это утолщение и ороговение плоского эпителия слизистой оболочки шейки матки.
- Нефротический синдром. Функция нефронов при хронической почечной недостаточности
