Сужение или коарктация аорты у плода. Признаки коарактации аорты у плода
Добавил пользователь Евгений Кузнецов Обновлено: 13.12.2025
В статье приводятся результаты многолетних наблюдений российских и зарубежных специалистов по ультразвуковой эхокардиографии в диагностике коарктации аорты в пренатальном периоде. Поскольку точность диагностики, по данным специалистов всего мира, не превышает 52%, автор проводит анализ причин ошибок. Представлены наиболее часто встречающиеся ультразвуковые изменения, которые могут быть получены специалистами при пренатальной диагностике коарктации аорты.
Ключевые слова
Точность ультразвуковой диагностики патологии плода за последние годы многократно подвергалась критике со стороны акушеров-гинекологов и, в большей степени, педиатров. Нередко клинические признаки интересуют специалистов значительно меньше, чем данные ультразвукового антенатального исследования плода.
Не вызывает сомнений, что развитие новых технологий, в частности трехмерное исследование в реальном масштабе времени открывает новые возможности исследования сердца. Тем не менее в клинической практике в диагностике патологии сердца имеется много проблем. В частности, очень низка выявляемость врожденных пороков сердца антенатально, и, особенно, на ранних сроках развития: по результатам скринингового исследования – не более 30%, в специализированных учреждениях – до 54% [6, 9].
Данная публикация представляет собой анализ возможностей ультразвукового пренатального исследования при коарктации аорты. В работе учтены данные, имеющиеся в публикациях отечественных и зарубежных авторов, а также материал отделения функциональной диагностики Центра.
Латинский термин «Coarctatius» означает «суженный, стиснутый» Первое описание принадлежит J.F. Meckel (1750). Коарктация аорты — это патологическое сужение ее просвета, которое может возникнуть в любом месте по всей ее длине. Частота порока составляет 6,3%, по данным клинических наблюдений из выборки в 2000 случаев [14] и 8,4% – по результатам патологоанатомического материала [1].
У детей первого года жизни коарктация аорты занимает четвертое место среди врожденных пороков сердца. Как правило, она развивается дистальнее места ответвления левой подключичной артерии вблизи артериального протока (ductus arteriosus). В зависимости от локализации сужения аорты относительно артериального протока различают два классических типа коарктации: предуктальную и постдуктальную [17].
Первые работы по диагностике коарктации аорты у плода относятся к 1984 г. [7, 8]. По данным литературы, трансвагинальный доступ в сроки гестации 12–15 нед позволяет диагностировать коарктацию аорты в 21,4% [9]. При трансабдоминальном доступе в 16–30 нед частота диагностики коарктации аорты увеличивается и составляет 43%; после 30 нед, по мере прогрессирования гемодинамических нарушений, процент диагностики еще выше, но не превышает 54% [13].
Согласно результатам скринингового ультразвукового обследования (1990–1994) 20 248 плодов в сроки 19–22 нед беременности в крупном регионе Германии, из 7 случаев пренатальный диагноз коарктации аорты не был установлен ни в одном наблюдении. Аналогичные данные были получены в Норвегии, даже в специализированном центре пренатальной диагностики. Согласно данным мультицентрового анализа, осуществленного в 12 европейских странах, точный пренатальный диагноз изолированной коарктации аорты в конце 90-х гг. прошлого века был установлен только в 9 (15,8%) из 57 случаев [16]. Средний срок обнаружения изолированной коарктации аорты составил 22 нед, при этом 7 из 9 случаев были выявлены до 24 нед. При сочетании коарктации аорты с экстракардиальными пороками и хромосомными аномалиями точность ее пренатальной диагностики была существенно выше за счет выраженности гемодинамических нарушений и расширенного эхокардиографического исследования плода и составила 52%.
По данным института сердечно-сосудистой хирургии им. А.Н. Бакулева, точность диагностики указанной аномалии не превышает 27%, наиболее часто коарктация аорты выявляется при сочетании с другими кардиальными аномалиями [2].
В ФГБУ Научный центр акушерства, гинекологии и перинатологии им. В.И. Кулакова за двухлетний период (2010–2011) рождены 27 детей с аномалиями аорты, от незначительного сужения до полного перерыва. В 15 наблюдениях в отделении функциональной диагностики диагноз был поставлен антенатально. Это были беременные, обратившиеся в поздние сроки от 35 до 39 нед гестации. Во всех 15 наблюдениях патология аорты сочеталась с гипоплазией левого желудочка. Диагноз был подтвержден во всех случаях. В изолированном виде коарктация аорты за этот период имела место в 6 наблюдениях. В трех из них диагноз был поставлен антенатально, в двух наблюдениях сужение было выявлено у новорожденных на 3–5 сут после закрытия артериального протока. В одном наблюдении после рождения был поставлен диагноз «кинкинг аорты».
Таким образом, наши данные также свидетельствуют о сложности и невысоком проценте выявления изолированной коарктации аорты. Лишь в тех наблюдениях, когда имеются выраженные гемодинамические нарушения, приводящие к значительным анатомическим изменениям в виде гипоплазии левого желудочка, диспропорции желудочков сердца, увеличении диаметра легочной артерии, диагноз может быть поставлен антенатально с большой достоверностью.
В чем же причина столь низкого процента выявляемости коарктации аорты антенатально?
Существует несколько факторов, затрудняющих антенатальную диагностику коарктации аорты. Известно, что диагноз данного порока сердца опирается на прямой признак – визуализацию места сужения аорты и, возможно, расширение проксимального отдела аорты. Однако четко визуализировать участок сужения аорты у плода достаточно трудно и удается только в единичных наблюдениях, когда имеется уменьшение диаметра перешейка аорты более чем на 1/3 по сравнению с нормой для каждого срока беременности (рис. 1, 2, 3, см. на вклейке).
Первая причина недиагностированной коарктации аорты – это морфогенез патологии и теория первичного нарушения развития дуги аорты. Теория была предложена в 1828 г. [20]. Авторы считают, что данная патология связана с недостаточным соединением 4 и 6 дуг аорты с нисходящим ее отделом. Поэтому перешеек – это место, где наиболее часто локализуется участок сужения [19], так как оба отдела образуются из разных эмбриональных зачатков. В норме область перешейка аорты равна 2/3 диаметра восходящего отдела. Согласно «теории дуктальной ткани», коарктация аорты возникает в результате миграции гладких мышечных клеток протока в предуктальную аорту с последующей констрикцией и сужением просвета аорты [1]. При формировании коарктации аорты в области перешейка сохраняется сужение различной протяженности и формы. Наиболее часто это проявляется в виде локальной перетяжки, выше или ниже которой диаметр аорты сохраняется в норме.
Следовательно, оценка сужения аорты в типичном месте как признака развивающейся патологии не всегда представляется возможной в ранние сроки беременности. Поскольку речь идет о предуктальной коарктации аорты (сужение аорты локализовано проксимальнее протока) то, очевидно, что в период внутриутробной жизни в более поздние сроки отмечается снижение кровотока через левые отделы сердца и перешеек аорты и развивается гипоплазия левого желудочка и аорты. Это и способствует более позднему проявлению патологии и возможности ее ультразвуковой диагностики.
Вторая причина, затрудняющая диагностику коарктации аорты — это теория постнатального развития. У плода перешеек аорты узкий. После рождения и закрытия артериального протока он должен в норме расшириться для обеспечения адекватного кровотока в нисходящий отдел аорты. Таким образом, имеющееся физиологическое сужение перешейка аорты не позволяет предположить формирование коарктации аорты после рождения.
Постдуктальная коарктация развивается уже после рождения и практически всегда представляет собой изолированный дефект. Эта аномалия, вероятнее всего, является результатом разрастания мышечной ткани артериального протока в аорту плода; когда же проток после рождения сужается, эктопическая ткань внутри аорты также сжимается, перекрывая, как тампоном, просвет сосуда по всей его окружности. В отличие от предуктальной коарктации в данном случае гипоплазия аорты не развивается. Закрытие артериального протока у некоторых детей приводит к сужению аорты и развитию коарктации через 2–3 нед после рождения [3].
Третья причина недиагностированной коарктации аорты состоит в особенностях внутрисердечной гемодинамики у плода. Кровообращение плода, так же как и взрослого подчиняется ряду основных закономерностей физического и биологического воздействия. Например, поток крови движется из зоны высокого давления в область низкого давления. При выраженном потоке размеры увеличиваются. При уменьшении объема потока – уменьшаются. Так, например, гипоплазия левого желудочка и коарктация аорты часто сопутствуют порокам со сниженным выбросом крови в аорту (стенозу аорты, дефекту межжелудочковой перегородки) и практически не встречаются при пороках с большим объемом потока через аорту (например, при тетраде Фалло).
Исходя из особенностей внутрисердечной гемодинамики плода, для диагностики коарктации аорты были предложены косвенные признаки патологии в антенатальном периоде: дилатация правого желудочка и его гипертрофия (рис. 4, см. на вклейке) [5], дилатация легочной артерии [7, 8]. Авторы считают эти признаки достоверными, наблюдаются они достаточно часто (в 18 из 24 верифицированных диагнозов коарктации аорты). Поэтому была предложена оценка индексов отношения полости правого желудочка к левому (в норме – 1,1) и легочной артерии к аорте (составляющее у здоровых плодов 1,2). Исходя из увеличения этих параметров, можно предположить о наличии затрудненного выброса в аорту или гипоплазию дуги аорты. Тем не менее, по данным предложивших указанные косвенные признаки авторов, эти изменения наблюдаются только в 30% наблюдений (рис. 3, 4, см. на вклейке).
Во второй половине 90-х гг. прошлого века было опубликовано несколько работ, посвященных изучению диагностической ценности увеличения правого желудочка и уменьшения левого желудочка при коарктации аорты. Авторы, опубликовав свои результаты, считают, что чем раньше проводится исследование (от 14–16 нед гестации до 25 нед), тем информативнее они могут быть для диагностики коарктации аорты [9]. Доказательством этому могут служить данные, полученные D. Brown и соавт. [10]. В представленных исследованиях коарктация аорты отмечена у 8 (62%) из 13 плодов с диспропорцией размеров желудочков до 34 нед и только у 6 (21%) из 29 плодов после 34-й нед беременности. Несмотря на то что более половины случаев коарктации аорты сопровождаются диспропорцией размеров желудочков (что достаточно легко выявляется при изучении четырехкамерного среза сердца плода), во многих исследованиях в Норвегии коарктация аорты не была диагностирована в сроки гестации до 18 нед, даже при обязательном скриннинговом измерении размеров сердца [16].
Такие прoтиворечивые результаты можно объяснить гемодинамической теорией [18, 22]. Внутриутробно в восходящий отдел аорты поступает 50% суммарного выброса крови, в нисходящий – 65 %, а через перешеек аорты – всего лишь 25%. Исходя из уменьшенного объема кровотока возникает его физиологическое сужение, которое усугубляется лишь после рождения.
Допплерокардиография, позволяющая оценить кровоток, информативна лишь при выраженном сужении аорты [23]. При этом возникает обратная зависимость максимальной скорости кровотока в восходящем и нисходящем отделах аорты. В норме скорость в восходящем отделе несколько преобладает над скоростью нисходящего отдела.
При перерыве дуги аорты отмечается ретроградный кровоток, заполнение участка дуги аорты после перерыва через открытый артериальный проток и отсутствие прямого кровотока на уровне перерыва.
И, наконец, последняя причина недиагностированной коарктации аорты заключается в частоте сочетания с другими аномалиями сердца. Изолированная корктация аорты встречается лишь в 15–18%. По данным M. Campell и соавт. (1961), частота сочетания коарктации аорты с кар-диальными аномалиями колеблется от 13 до 18% [11]. Наиболее часто (в 85%) коарктация аорты сочетается с двухстворчатым аортальным клапаном [12], нередко с фиброэластозом эндомиокарда, распространяющимся на выходной тракт левого желудочка и на межжелудочковую перегородку. При коарктации аорты возможно аномальное отхождение правой подключичной артерии или обеих подключичных артерий от нисходящей аорты дистальней коарктации (5%).
Наличие сопутствующей кардиальной патологии может нивелировать типичные для коарктации гемодинамические изменения со стороны сердца плода, на которые обязательно обращает внимание специалист при ультразвуковом исследовании.
Существует еще и такое понятие, как псевдокоарктация, или «кинкинг» аорты – деформация аорты, аналогичная классической коарктации, при которой препятствие кровотоку незначительное, так как имеется простое удлинение и извилистость аорты.
Итак, становится очевидным, что практически ни один из ультразвуковых признаков коарктации аорты в антенатальном периоде не имеет высокой степени диагностической точности. Ключом к пренатальной диагностике коарктации аорты является комплексный учет данных, получаемых как при изучении четырехкамерного среза сердца (дилатация правого желудочка, гипоплазия левого желудочка), так и при оценке самих главных артерий. При наличии коарктации диаметр аорты в среднем в 2 раза меньше диаметра дилатированной легочной артерии. Поэтому для диагностики коарктации аорты следует использовать визуализацию самой аорты, что наиболее целесообразно в скрининговом режиме осуществлять при оценке среза через три сосуда. Помощь в диагностике может оказать измерение диаметра артериального протока, который при коарктации аорты расширен.
Окончательный диагноз коарктации аорты устанавливается при использовании среза через дугу аорты, так как чаще всего сужение аорты отмечается в области ее перешейка на уровне впадения артериального протока. Следует отметить, что сужение может охватывать большой участок аорты вплоть до тубулярной гипоплазии. Нормальный переход дуги аорты в артериальный проток в норме гладкий и плавный. Как один из косвенных признаков коарктации аорты можно использовать извилистость дуги аорты при изучении ее по длинной оси [6].
Важное дополнительное значение имеет допплер-эхокардиографическое исследование, которое при коарктации аорты позволяет выявить ускорение и турбулентный характер кровотока в аорте. Однако в антенатальном периоде этот признак может не проявиться [6]. Более надежно выявление лево-правого шунта через овальное окно. Предполагается, что этот шунт является компенсаторным механизмом, обеспечивающим уменьшение потока крови в левый желудочек и аорту. G. Sharland и соавт. [23] отметили лево-правый шунт через овальное окно у 7 из 12 плодов с коарктацией аорты. У оставшихся 5 плодов обнаруживалось как лево-правое, так и право-левое направления потоков крови через овальное окно.
В случаях резко выраженных анатомических изменений аорты и функции левого желудочка с увеличением постнагрузки может наблюдаться сердечная недостаточность [21]. Нарушения гемодинамики и сердечная недостаточность характеризуются антенатально наличием выпота в перикарде, уменьшением сердечного выброса с уменьшением размеров левого желудочка [15].
После рождения и закрытия артериального протока весь поток крови поступает в восходящий отдел аорты и перешеек расширяется до нормального уровня. Лишь после рождения, когда проток перекрывается, коарктация аорты приводит к серьезным клиническим проявлениям.
При наличии сужения аорты клиническая картина может нарастать как шквал после закрытия артериального протока. В течение первого года погибают 56% пациентов [4]. В основном, смертельный исход бывает вызван сочетанием коарктации с другими аномалиями сердца.
Изолированная форма в течение первого года жизни также характеризуется высоким процентом смертности (34%) и наблюдается это в период новорожденности, в первые недели и дни жизни. Если дети переживают этот период, продолжительность жизни в среднем составляет 30–50 лет. Причиной смерти у новорожденных является сердечно-легочная недостаточность; при артериальной высокой гипертензии, как исключение, может быть кровоизлияние в мозг.
После рождения основное внимание должно быть обращено на клинические проявления порока. Появляется систолический шум, разница давлений на верхних и нижних конечностях, рано развивается сердечная недостаточность. Однако и здесь обнаруживаются подводные камни, понижающие точность и процент выявляемости. Усложняет диагностику коарктации аорты широкий артериальный проток, который достаточно часто отмечается при резком сужении аорты и гипоплазии левого желудочка. При таком сочетании изменяются также и скоростные показатели при непрерывно-волновом допплеровском исследовании: в месте сужения отсутствует высокоскоростной поток.
Итак, анализ возможностей и ошибок ультразвуковой диагностики коарктации аорты в пренатальном периоде показывает, насколько проблематично поставить диагноз во всех случаях данного порока сердца у плода. К сожалению, все эхокардиографические признаки патологии не обеспечивают высокого процента диагностики антенатально. Сложности возникают даже в раннем неонатальном периоде, когда клиническая симптоматика коарктации аорты в значительной степени облегчает поиск причины ее проявлений. Хочется надеяться, что развитие новых технологий и накопление позитивного и анализ негативного опыта позволят в будущем повысить процент диагностики такого сложного порока сердца с высокой неонатальной смертностью.
Список литературы
Об авторах / Для корреспонденции
Коарктация аорты
Как и открытый артериальный проток, , строго говоря, не является пороком самого сердца, так как находится вне его, затрагивает сосуды, вернее, аорту. Само сердце при этом нормально. Однако коарктацию всегда относят к порокам сердца, поскольку при ней страдает вся система кровообращения, а само формирование коарктации имеет прямое отношение к сердечным структурам и нередко сочетается с другими врожденными пороками сердца.
Слово коарктация означает сужение. В типичных, наиболее частых случаях, оно находится на месте перехода дуги аорты в ее нисходящий отдел, т.е. довольно далеко от сердца, рядом с артериальным протоком, на внутренней стороне задней поверхности грудной клетки, слева от позвоночника. Вариантов врожденного сужения аорты в этом месте может быть много, но во всех имеется препятствие кровотоку, выраженное в большей или меньшей степени, что и определяет степень тяжести клинических проявлений порока.
При очень резком сужении аорты левый желудочек, нагнетающий кровь в аорту, постоянно работает с повышенной нагрузкой. В результате артериальное давление в верхней половине (в сосудах шеи, головы, верхних конечностей) существенно выше, чем в нижней (в сосудах органов брюшной полости, нижних конечностей). Верхняя половина тела живет постоянно с «гипертонической болезнью», а нижняя — с постоянной гипотонией. Это не значит, что в нижние отделы поступает меньше крови, нет. Сердечный выброс остается достаточным. Сердце справляется, но за счет учащения ритма сокращений, увеличения объема левого желудочка, утолщения его стенок. Эти явления, особенно при резком сужении аорты, могут привести к тяжелым последствиям.
У новорожденных и младенцев первых месяцев жизни коарктация аорты может быть столь тяжелой, что кровоснабжение нижних отделов осуществляется только через открытый артериальный проток. Ситуация очень опасная, критическая. Признаки сердечной недостаточности и гипертонии в верхней половине тела, угрожающей необратимой травмой сосудов мозга, нарастают. Тут требуется неотложное вмешательство кардиохирурга.
Сама операция заключается в устранении участка сужения аорты. Это можно сделать двумя способами: либо полностью убрать место коарктации и затем сшить оба здоровых участка аорты между собой («конец в конец»), или рассечь вдоль суженный участок и вшить в него заплату из собственной подключичной артерии ребенка или из синтетического материала. Оба метода примеряются достаточно широко и, судя по отдаленным результатам — 10-15 и более лет — ни один из них не имеет особых преимуществ. Дело в том, что у 20-25% всех больных, оперированных в раннем возрасте, в месте операции может вновь возникнуть сужение, независимо от метода. Проявиться это может через несколько лет.
Сегодня благодаря методам рентгенохирургии можно расширить повторное сужение путем введения в аорту катетера с баллончиком. В баллоне создается давление и суженное место расширяется. При рецидивах так часто и делают. Также суженный участок аорты у более взрослых детей можно стентировать, то есть в просвет аорты ставится трубчатая конструкция, так называемый «стент», которая своими стенками как каркасом, удерживает стенки аорты от стремления к сужению и возникновению рецидива коарктации. Но к каждой из данных методик есть свои показания и противопоказания, о которых вам расскажет ваш врач.
В любом случае, ребенок, перенесший операцию по поводу коарктации в младенчестве должен быть под наблюдением кардиологов в течение всей жизни. Но при этом надо всегда помнить, что когда-то, когда он был совсем маленьким, операция спасла ему жизнь.
У более старших детей, даже маленьких, но не новорожденных, коарктрация аорты может протекать достаточно спокойно и быть случайной находкой при очередном врачебном осмотре (конечно, в том случае, если будет прощупан пульс не только она руках, но и на бедренных артериях).
Показаниями к операции будет не столько сам диагноз коарктации, сколько нарушения кровообращения и степень артериальной гипертонии верхней части тела.
Операция будет носить плановый характер, а выбор метода зависит от конкретной ситуации. Об этом вам расскажет оперирующий хирург. Но не надо ждать долгие годы. Коарктация не пройдет и не уменьшится, а последствия сужения аорты будут только нарастать. У взрослых, в далеко зашедших случаях операция устранения коарктации сопряжена со значительно большим риском осложнений, чем у ребенка дошкольного возраста или даже подростка.
К сожалению, коарктацию аорты рентгенохирургическим путем пока устранить нельзя (только ее рецидив поддается этому методу). Но технология движется вперед с удивительной скоростью и, очень может быть, в ближайшем будущем такое лечение станет вполне возможным.
Симптомы
Симптомы зависят от тяжести заболевания. Симптомы у пациентов со значительным сужением появляются уже в детстве, в то время как небольшое сужение может не вызвать каких-либо изменений в организме достаточно долгое время. Как правило, тяжелые случаи проявляют себя сразу после рождения. Ребенок может внезапно стать бледным, раздражительным, усиливается потливость, возникает затруднение дыхания. Если оставить порок без коррекции, то это может привести к возникновению сердечной недостаточности и последующей смерти.
У детей старшего возраста и у взрослых симптомы стертые, так как сужение незначительное. Часто единственным признаком может быть повышенное давление, измеренное на руках. Другие симптомы:
- Одышка, преимущественно при физической нагрузке;
- Головная боль;
- Мышечная слабость;
- Похолодание конечностей;
- Носовые кровотечения;
Причины
Коарктация аорты связана с нарушением формирования аорты во время внутриутробного развития плода. В основном сужение располагается юкстадуктально, это значит рядом с артериальным протоком. Артериальный проток соединяет аорту и левую легочную артерию, и функционирует только внутриутробно, закрываясь после начала альвеолярного дыхания. Вероятно, в фетальный период часть тканей протока переходит на аорту, вовлекая в процесс закрытия и ее стенку, что, несомненно , приводит к сужению.
Редко, коарктация аорты возникает в течение жизни. Причинами может стать атеросклеротическое поражение аорты, травма или синдром Такаясу.
Факторы риска
У пациентов с синдромом Шерешевского-Тернера имеется генетическая предрасположенность к возникновению коарктации. У этих людей вместо 46 хромосом всего лишь 45. и у 1 из 10 пациентов сданным синдромом выявляют коарктацию аорты.
Также коарктация аорты может сочетаться и с другими врожденными пороками сердца.
→Открытый артериальный проток. В норме артериальный проток закрывается сразу после рождения, если он остается открытым, то данный порок называется .
→Стеноз отверстия аортального или митрального клапанов . Порок, при котором уменьшаются отверстия митрального клапана (клапан между левым предсердием и левым желудочком) и аортального клапана (клапан между левым желудочком и аортой).
Когда необходимо обратиться за помощью
Если у вас сильная загрудинная боль, внезапно возникшая одышка, вам срочно необходимо обратиться к вашему лечащему врачу или в службу 03; если вы или ваш врач зарегистрировали необъяснимое повышение артериального давления, которое сложно контролировать, — необходимо пройти обследование на предмет наличия у вас коарктации аорты, так как своевременное лечение позволит избежать драматического развития событий.
Диагностика
Возраст выявления патологии зависит от тяжести заболевания. Если степень сужения велика — диагностика возможна уже в раннем возрасте. Пациенты с незначительным сужением часто даже не знают о наличии у себя порока аорты. Заболевание часто является случайной находкой.
Врач может предположить наличие патологического сужения аорты при наличии:
- Высокого артериального давления,
- Разницы давлений на руках и ногах,
- Слабого пульс на ногах,
- Сердечного шума.
Инструментальные методы исследования
Рентгенография грудной клетки. Существуют определенные рентгенологические признаки, позволяющие установить правильный диагно).
Эхокардиография. Метод, позволяющие визуализировать дефект, а также распознать сопутствующую сердечную патологию, например двустворчатый аортальный клапан
Электрокардиография . Так как сердечная мышца испытывает высокую нагрузку при данной патологии, то на электрокардиограмме врач определить признаки гипертрофии левого желудочка.
Магнитно-резонансная томография. Метод высокого разрешения, позволяющие определить точную локализацию коарктации.
Зондирование сердца также необходимо для определении тяжести поражения и анатомических особенностей порока.
Осложнения
Если не лечить коарктацию аорты , то со временем у вас могут возникнуть осложнения:
- Инсульт,
- Заболевания коронарных артерий,
- Разрыв аорты,
- Аневризма сосудов головного мозга,
Также в дополнении следует сказать, что внутренние органы плохо кровоснабжаются, так как есть препятствие току крови, что постепенно может привести к дегенеративным изменениям в них с последующим нарушением функции.
Лечение коарктации аорты
Хирургическое лечение
Существует несколько методов резекции и реконструкции аорты:
- Резекция коарктации аорты с анастомозом конец в конец. Данный метод возможен при наличии сужения на небольшой длине, когда возможно сопоставить концы нормальной неизмененной аорты.
- Пластика аорты при помощи сосудистого протеза. Данный метод используется в случае, если сужение захватывало длинный сегмент и сопоставление концов не возможно. Вместо резецированного патологического участка аорты вшивается сосудистый протез и специального синтетического материала.
- Ангиопалстика с использованием ткани левой подключичной артерии.
- Осуществление шунтирования суженного участка. Шунт вшивается проксимальнее и дистальнее суженного участка, таким образом, кровь свободно может обойти патологический участок аорты.
- Баллонная ангиопластика и стентирование. Часто данная методика используется в если после хирургической коррекции произошло сужение участка. Врач при помощи проводника вводит через сосуды в аорту специальный баллон, который раздувается и устраняется вновь возникшее сужение. Иногда приходится устанавливать стенты (своеобразный каркас), позволяющие фиксировать необходимы диаметр сосуда.
Медикаментозное лечение
Лечебные препараты не способны устранить сужение аорты, но принимаются до хирургической коррекции, а часто и длительное время после нее для контроля повышенного артериального давления.
Послеоперационный период
в послеоперационном периоде возможно то, что ваше артериальное давление еще какое-то время останется повышенным и вам необходимо будет принимать гипотензивные препараты. Также даже через несколько лет после операции может возникнуть расширение реконструированного участка (аневризма) или опять произойдет его сужение, что может потребовать проведения повторной операции.
Профилактика
Если в вашей семье высок риск возникновения данной патологии (в семье были случаи данной патологии) — вам необходимо пройти медико-генетическое консультирование и определить с врачом на сколько высок риск возникновения коарктации у ваших детей.
Это важно знать!
Во время беременности женщина с коарктацией аорты должна проходит тщательное наблюдение у врача кардиолога и акушера-гинеколога в связи с возможным развитием осложнений со стороны сердечно-сосудистой системы. А если имеет аневризма реконструированного участка аорты — то во время беременности и родов возможен разрыв данного участка. В связи с этим необходим строгий контроль показателей гемодинамики, а особенно вашего артериального давления.
Пациенты с коарктацией аорты находятся в зоне риска по возникновению инфекционного эндокардита, так как измененные ткани аорты в области коарктации являются благоприятной средой для развития патогенных организмов. Непременно посоветуйтесь с вашим врачом о возможной антибиотикопрофилактике перед стоматологическим процедурами для снижения риска возникновения эндокардита.
Сужение или коарктация аорты у плода. Признаки коарактации аорты у плода



- НИО хирургии аорты, коронарных и периферических артерий
- НИО новых хирургических технологий
- НИО хирургической аритмологии
- НИО эндоваскулярной хирургии
- НИО сосудистой и гибридной хирургии
- НИО онкологии и радиотерапии
- НИО ангионеврологии и нейрохирургии
- НИО анестезиологии и реаниматологии
- НИО лучевой и инструментальной диагностики
- Состав совета по защите докторских и кандидатских диссертаций
- Требования к соискателям
- Соискатели
- Апелляции
- ГОСТ по оформлению диссертации и автореферата
- Контакты совета
- Генеральный директор Центра
- Руководство Центра
- Миссия
- История
- Мероприятия
- Фотопроекты
- Истории пациентов
- Нормативные документы
- Структура отдела
- Организационно-методическая работа с регионами
- Развитие телемедицинских технологий
- Кадровая политика и повышение квалификации
- Публичный отчет
- Устав и регистрационные документы
- Лицензии
- Публичный отчет
- Сведения о медицинских работниках
- План развития Центра
- Политика обработки персональных данных
- Охрана труда
- Политика в области охраны труда
- Противодействие коррупции
- Учетная политика
Коарктация аорты - это порок сердца, который характеризуется сужением просвета аорты, что провоцирует создание двух зон кровообращения (зона высокого давления до сужения и зона низкого давления после сужения). Это заболевание опасно тем, что может привести к ишемии почек, кишечника и других органов.
Порок может быть изолированным, а может - совмещенным с другими врожденными патологиями сердца и сосудов.
Типы коарктации аорты
1. Типичная коарктацию аорты, которая локализуется за подключичной артерией в области открытого артериального протока (перешеек аорты). Типичная коарктация делится на:
- Детский тип (протяженное сужение (гипоплазия) дуги аорты)
- Взрослый тип (локальное сужение перешейка аорты)
2. Абдоминальная коарктация (локализуется в нисходящей аорте), которая может быть, как локальным сужением, так и протяженным.
В настоящее время до сих пор неизвестна истинная причина развития порока. Существует несколько теорий развития порока (генетическая, вирусная и др.), но по-прежнему ни одна из них не подтверждена.
Место сужения аорты находится сразу за сосудами, несущими кровь к голове и к рукам, поэтому коарктация препятствует притоку крови от сердца к нижней части тела. Вследствие этого существует разница артериального давления между руками (высокое артериальное давления) и ногами (низкое артериальное давление). Сердце должно работать с большей нагрузкой, чтобы качать кровь через сужение в аорте, это может привести к утолщению (гипертрофии) и повреждению сердечной мышцы за счет перегрузки.
В 80% коарктация аорты сочетается с другими врожденными пороками сердца. Некоторые врожденные пороки могут усугубить состояние ребенка, в то время как другие пороки (открытый артериальный проток) могут облегчить состояние ребенка.
Причины,
провоцирующие появление сужения аорты:
- Нарушения эмбриогенеза, т.е. отклонения в развитии аорты плода на начальном этапе ее формирования.
- Перемещение ткани открытого артериального протока в просвет аорты, сужая перешеек.
- Генетические патологии, сопровождающееся другими генетическими дефектами.
Также причиной коарктации аорты могут послужить различные инфекционные заболевания, перенесенные женщиной в период беременности (например, краснуха), прием медицинских препаратов, употребления алкоголя и курение.
Коарктация аорты (обычно это абдоминальный тип) может возникать в течение жизни. Так некоторые аутоиммунные заболевания (болезнь Такаясу) могут вызывать локальные и протяженные сужения аорты. Также известно, что некоторые генетические заболевания тоже могут вызывать сужения аорты (например, синдром Вильямса, синдром Алагиля и нейрофиброматоз Iтипа).
Диагностика
В период новорожденности симптомы коарктации аорты зависят от степени сужения аорты и наличия или отсутствия открытого артериального протока. Так, при небольшом сужении аорты и функционирующем артериальном протоке симптомы могут отсутствовать, в то время как при тяжелом сужении и закрывающимся артериальном протоке появляются симптомы выраженной сердечной и почечной недостаточности (вялость, выраженная одышка, отсутствие мочи, отечность мягких тканей). Этот период очень опасный и требует неотложной хирургической помощи.
В раннем и подростковом возрасте характерны две группы жалоб. Первая связана с синдромом артериальной гипертензии (повышенного артериального давления) верхней части тела: головные боли, головокружения, носовые кровотечения, шум в ушах, мигание в глазах, ощущение пульсации сосудов головы, одышка, сердцебиение, кашель, загрудинные боли и др. Вторая обусловлена синдромом относительной гипотензии (пониженного артериального давления) нижней половины тела и может проявляться симптомами зябкости, слабости, усталости нижних конечностей, шаткости.
Значительное место в диагностике порока занимает УЗИ. Ультразвуковая диагностика позволяет получить изображение коарктации аорты и сопутствующих пороков. В некоторых случаях УЗИ диагностика может быть затруднена, поэтому таким пациентам показана МРТ (магнитно-резонансная томография) и МСКТ (мультиспиральная компьютерная томография), которые дают отличную визуализацию анатомии аорты.
Методы лечения
При благоприятной анатомии дуги аорты и отсутствия аномалий сердца операция выполняется без искусственного кровообращения из доступа на боковой поверхности грудной клетки. Выделяется участок сужения дуги аорты, который иссекается, и между двумя концами сосуда создается анастомоз. В некоторых случаях для создания анастомоза могут применятся протезы и специальные заплаты.
Искусственное кровообращения применяется при сопутствующих внутрисердечных пороках и при протяженном сужении дуги аорты. Кожный разрез выполняется из срединного доступа. Так же как и при боковом доступе выделяется участок сужения дуги аорты, который иссекается, и между двумя концами сосуда создается анастомоз. Вторым этапом при наличии внутрисердечных аномалий производится их коррекция.
Эндоваскулярное вмешательство применяется как у детей, так и у взрослых. Доступ выполняется через небольшой прокол в бедренной артерии. Суженный участок аорты раздувается специальным внутрисосудистым баллоном, у взрослых пациентов в суженный участок аорты устанавливается стент. Недостатком этого метода является возможность острого расслоения аорты, скорого рестеноза и формирования аневризмы в отдаленные сроки.
Коарктация аорты относится к небольшой группе пороков, которые могут иметь тенденцию к возврату. Частота рецидива коарктации аорты невелика и не превышает в настоящее время 5-8%. Симптомы, диагностика и методы хирургического лечения не отличаются от коарктации аорты.
Наиболее частым осложнением коарктации аорты является артериальная гипертензия, частота которой варьирует от 28 до 50% по современным данным. Наиболее частыми симптомы артериальной гипертензии являются головные боли, носовые кровотечения, шум в ушах, мигание в глазах, сердцебиение, загрудинные боли. Диагностика заболевания осуществляется на плановых осмотрах у кардиолога или педиатра (терапевта) при измерении артериального давления. Лечение назначается медикаментозное, индивидуально для каждого пациента.
Крайне редко у пациентов после коарктации аорты может возникать аневризма аорты. Аневризма - это прогрессирующее расширение аорты, которое может приводить к её разрыву. Часто пациенты не предъявляют никаких жалоб, а выявляют её случайно, как диагностическую находку на УЗИ, МРТ или МСКТ. Однако иногда из-за сдавления внутренних органов могут появляться следующие симптомы: при сдавлении пищевода - нарушение глотания; при сдавлении бронха - одышка, кашель, частые воспалительные заболевания легких, в тяжелых случаях может появляться кровохарканье. Радикальным методом оперативного лечения является резекция аневризмы и протезирование дуги аорты.
Сужение или коарктация аорты у плода. Признаки коарактации аорты у плода
Сужение или коарктация аорты у плода. Признаки коарактации аорты у плода
Открытый артериальный проток обеспечивает жизнеспособность детей со стенозом или атрезиеи легочного ствола, с тетрадой Фалло, с атрезиеи желудочков. Наоборот, открытый артериальный проток ухудшает состояние при коарктации аорты и при дефекте межжелудочковой перегородки.
Легочная гипертензия развивается при увеличении тока крови по открытому артериальному протоку и при вызванных им вторичных изменениях сосудов легкого. Границей считается 80 мм рт. ст. По мере увеличения легочной гипертензии характерный «машинный шум» уменьшается и даже может исчезнуть.
ЭКГ у таких детей выявляет гипертрофию правого желудочка или комбинированную гипертрофию. Катетеризация сердца обнаруживает высокое давление в легочном стволе.
У этих детей нередко ошибочно предполагают наличие широкого дефекта межжелудочковой перегородки (Mustard).
Сужение аорты (коарктация аорты, перешейка аорты) клинически проявляется в зависимости от расположения, формы и степени сужения (коарктации): в самой начальной части аорты, на месте перешейка, перед местом (проксимально) впадения артериального протока пли дистальнее его.
Степень коарктации разная: от небольшого до резкого сужения, даже полного заращения просвета — атрезии аорты. Существование ребенка тогда возможно только за счет обходных путей кровообращения: открытого овального окна, открытого артериального протока, дефекта межжелудочковой перегородки и т. п.

При локализации коарктации аорты дистальнее от места впадения артериального протока последний обычно сам закрывается в первые месяцы жизни. Нагрузка ложится на левую половину сердца. Если же артериальный проток остается открытым, то сброс крови происходит слева направо.
При расположении сужения перед артериальным протоком, т. е. проксимально от него, последний остается широко открытым. Через него аорта дистальнее сужения получает кровь от левой легочной артерии. Левой половине сердца приходится преодолевать не только препятствие от сужения, но и от перегрузки током крови через артериальный проток к легким. Появляющаяся гипертензия в малом круге кровообращения увеличивает нагрузку также правой половины сердца, и создается перегрузка обоих желудочков. Пульс прощупывается и усилен на верхних конечностях.
У детей в раннем возрасте симптомы значительно отличаются от симптомов этого порока у детей более старшего возраста. Отмечаются одышка, цианоз, особенно нижних конечностей и нижней части тела, и сердечная недостаточность, преимущественно левой половины сердца. Летальность достигает 87% на первом году жизни (Mustard). Прогноз особенно неблагоприятен при широком артериальном протоке и дефекте межжелудочковой перегородки. Выживают дети с менее выраженной коарктацией этого типа.
В 80% случаев над верхней частью грудины справа прослушивается грубый систолический шум с дрожанием, который проводится в сонные артерии.
ЭКГ показывает признаки перегрузки левой половины сердца в зависимости от степени стеноза. Рентгенологически видна сильная пульсация восходящей части аорты, в зависимости от локализации коарктации, а также увеличение сердца.
Диагноз ставится по совокупности симптомов.
Симптомы менее грозные при локализации коарктации аорты дистальнее места впадения артериального протока.
Сужение аорты встречается чаще, чем диагностируется, вследствие незначительности или даже отсутствия симптомов у детей при более легких формах. Порок нередко врач обнаруживает случайно, при обследовании ребенка по другому поводу.
Субъективные симптомы: ощущение прилива и жары в голове, руках, верхней части туловища, шум в ушах, головокружение, иногда головная боль, чувство слабости и холода в ногах, быстрая утомляемость при ходьбе. Эти симптомы зависят от гипертензии в системах сонных и подключичных артерий и гипотензпи в артериях нижней части тела.
Коарктация аорты у плода. Точность и ошибки диагностики
ФГБУ "Научный центр акушерства, гинекологии и перинатологии им. В.И. Кулакова" Минсоцразвития РФ, Москва.

УЗИ сканер HS60
Профессиональные диагностические инструменты. Оценка эластичности тканей, расширенные возможности 3D/4D/5D сканирования, классификатор BI-RADS, опции для экспертных кардиологических исследований.
Распределение диагностики ВПС в зависимости от нозологической формы значительно варьирует. Определенные ВПС пренатальная диагностика позволяет выявить в 90% случаев. Цифры статистики неумолимо показывают низкий процент выявления ВПС (30%) по результатам скринингового исследования. В специализированных учреждениях частота выявления ВПС выше и достигает 54% [1, 2].
Точность ультразвуковой диагностики патологии плода за последние годы многократно подвергается критике со стороны акушеров-гинекологов и в большей степени педиатров. Порой клинические признаки интересуют специалистов значительно меньше, чем данные ультразвукового антенатального исследования плода.
В этой работе представлен анализ возможностей ультразвукового пренатального исследования при коарктации аорты. В работе учтены данные, имеющиеся в публикациях отечественных и зарубежных авторов, а также материал отделения функциональной диагностики Центра.
Латинский термин "сoarctatius" означает "суженный, стиснутый". Впервые его описал J.F. Meckel в 1750 году. Коарктация аорты - это патологическое сужение ее просвета, которое может возникнуть в любом месте по всей ее длине. Частота порока составляет 6,3%, по данным клинических наблюдений из выборки в 2000 случаев [3], и 8,4% по результатам патологоанатомического материала [4].
У детей первого года жизни коарктация аорты занимает четвертое место cреди ВПС. Как правило, она развивается дистальнее места ответвления левой подключичной артерии вблизи артериального протока (ductus arteriosus). В зависимости от локализации сужения аорты относительно артериального протока различают два классических типа коарктации: предуктальную и постдуктальную [5].
При наличии сужения аорты клиническая картина может нарастать как шквал после закрытия артериального протока. В течение первого года погибают 56% пациентов. В основном смертельный исход бывает вызван сочетанием коарктации с другими аномалиями сердца. Изолированная форма в первые недели и дни жизни также характеризуется высоким процентом смертности (34%). Если этот период дети переживают, то продолжительность жизни в среднем составляет 30-50 лет. Причиной смерти у новорожденных является сердечно-легочная недостаточность. При артериальной высокой гипертензии, как исключение, может быть кровоизлияние в мозг.
В ФГБУ "Научный центр акушерства, гинекологии и перинатологии им. В.И. Кулакова " Минсоцразвития РФ за двухлетний период (2010-2011) родились 27 детей с аномалиями аорты, от незначительного сужения до полного перерыва. В 15 наблюдениях в отделении функциональной диагностики диагноз был поставлен антенатально. Это были беременные, обратившиеся в поздние сроки от 35 до 39 нед гестации. Во всех наблюдениях патология аорты сочеталась с гипоплазией левого желудочка. Диагноз был подтвержден во всех случаях. В изолированном виде коарктация аорты за этот период была диагностирована в 6 наблюдениях. В 3 из них диагноз был поставлен антенатально, в 2 - сужение было выявлено у новорожденных на 3-5-е сутки после закрытия артериального протока. В одном случае после рождения был поставлен диагноз кинкинг аорты. Таким образом, наши данные свидетельствуют о сложности и невысоком проценте выявления изолированной коарктации аорты. Лишь в тех наблюдениях, когда имеются выраженные гемодинамические нарушения, приводящие к значительным анатомическим изменениям в виде гипоплазии левого желудочка, диспропорции желудочков сердца, увеличения диаметра легочной артерии диагноз с большой достоверностью может быть поставлен антенатально.
Первые работы по диагностике коарктации аорты у плода относятся к 1984 г. [6, 7]. По данным литературы, трансвагинальный доступ в 12-15 нед гестации позволяет диагностировать коарктацию аорты в 21,4% случаев [1]. При трансабдоминальном доступе частота выявления коарктации аорты увеличивается: в 16-30 нед она составляет 43%, после 30 нед, по мере прогрессирования гемодинамических нарушений, не превышает 54% [8].
Согласно результатам скринингового ультразвукового обследования 20 248 плодов при сроках 19-22 нед беременности в крупном регионе Германии (1990-1994) пренатальный диагноз коарктации аорты не был установлен ни в одном из 7 случаев. Аналогичные данные были получены в Норвегии, даже в специализированном центре пренатальной диагностики. Согласно данным мультицентрового анализа, проведенного в 12 европейских странах, точный пренатальный диагноз изолированной коарктации аорты в конце 90-х гг. был установлен только в 9 (15,8%) из 57 случаев [9]. Средний срок обнаружения изолированной коарктации составил 22 нед, при этом 7 из 9 случаев было выявлено до 24 нед. При сочетании коарктации аорты с экстракардиальными пороками и хромосомными аномалиями точность ее пренатальной диагностики была существенно выше за счет выраженности гемодинамических нарушений и расширенного эхокардиографического исследования плода и составила 52%.
По данным института сердечно-сосудистой хирургии им. А.Н. Бакулева, точность диагностики не превышает 27%. Как правило, патология наиболее часто отмечается при сочетании коарктации аорты с другими кардиальными аномалиями [10].
Таким образом, обобщая статистические данные материала Центра, публикации ведущих специалистов России и зарубежных коллег, можно отметить очень низкий процент диагностики коарктации аорты у плода.
В чем же причина столь низкого процента выявления коарктации аорты антенатально?
Существует несколько факторов, затрудняющих диагностику коарктации аорты антенатально.
Первая причина не диагностированной коарктации аорты это морфогенез патологии и теория первичного нарушения развития дуги аорты. Теория была предложена в 1828 г. [11]. Автор считает, что данная патология связана с недостаточным соединением 4 и 6 дуги аорты с нисходящим ее отделом. Поэтому перешеек - это место, где наиболее часто локализуется участок сужения [12], так как оба отдела образуются из разных эмбриональных зачатков. В норме область перешейка аорты равна 2/3 диаметра восходящего отдела аорты (рис. 1).

Рис. 1. Восходящий отдел, дуга и нисходящий отдел аорты плода в режиме энергетического допплера в норме.
Согласно "теории дуктальной ткани" коарктация аорты возникает в результате миграции гладких мышечных клеток протока в предуктальную аорту, с последующей констрикцией и сужением просвета аорты [4]. При формировании коарктации аорты в области перешейка сохраняется сужение различной протяженности и формы (рис. 2, 3). Наиболее часто это проявляется в виде локальной перетяжки, выше или ниже которой диаметр аорты сохраняется в норме.

Рис. 2. Ультразвуковое исследование восходящего отдела, дуги и нисходящего отдела аорты. Стрелкой указано место сужения.

Рис. 3. Трехмерное изображение сердца и аорты плода в 16 нед беременности. Стрелкой указано место сужения аорты. AO DESC - нисходящий отдел аорты, COR - сердце.
Следовательно, оценка сужения аорты в типичном месте как признак развивающейся патологии не всегда представляется возможной в ранние сроки беременности. Поскольку речь идет о предуктальной коарктации аорты (сужение аорты локализовано проксимальнее протока), то, очевидно, что в период внутриутробной жизни в более поздние сроки отмечается снижение кровотока через левые отделы сердца и перешеек аорты и развивается гипоплазия левого желудочка и аорты. Это и способствует более позднему проявлению патологии и возможности ее ультразвуковой диагностики.
Вторая причина, затрудняющая диагностику коарктации аорты - это теория постнатального развития. У плода перешеек аорты узкий и после рождения и закрытия артериального протока он должен в норме расшириться для обеспечения адекватного кровотока в нисходящий отдел аорты. Таким образом, имеющееся физиологическое сужение перешейка аорты не позволяет предположить формирование коарктации аорты после рождения.
Постдуктальная коарктация развивается уже после рождения и практически всегда представляет собой изолированный дефект. Эта аномалия, вероятнее всего, является результатом разрастания мышечной ткани артериального протока в аорту плода. Когда же проток после рождения сужается, эктопическая ткань внутри аорты также сжимается, перекрывая, как тампоном, просвет сосуда по всей его окружности. В отличие от предуктальной коарктации в данном случае гипоплазия аорты не развивается. Закрытие артериального протока у некоторых детей приводит к наличию сужения аорты и развитию коарктации через 2-3 нед после рождения [13].
Третья причина не диагностированной коарктации аорты состоит в особенностях внутрисердечной гемодинамики у плода. Кровообращение плода, так же, как и взрослого, подчиняется ряду основных закономерностей физического и биологического воздействия. Поток крови движется из зоны высокого давления в область низкого давления. При выраженном потоке размеры увеличиваются, при уменьшении объема потока уменьшаются. Так, гипоплазия левого желудочка и коарктация аорты часто сопутствуют порокам со сниженным выбросом крови в аорту (стеноз аорты, дефект межжелудочковой перегородки) и практически не встречаются при пороках с большим объемом потока через аорту (при тетраде Фалло).
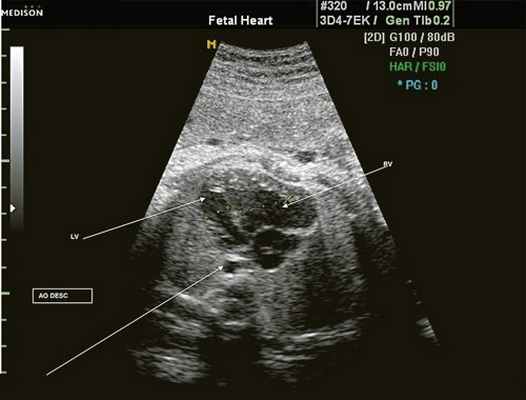
Исходя из особенностей внутрисердечной гемодинамики плода, для диагностики коарктации аорты были предложены косвенные признаки патологии в антенатальном периоде: дилатация правого желудочка и его гипертрофия (см. рис. 3), дилатация легочной артерии [6, 7, 14]. Авторы считают, что это достоверные признаки и встречаются они достаточно часто (в 18 из 24 случаев верифицированных диагнозов коарктации аорты). Поэтому была предложена оценка индексов отношения полости правого желудочка к левому (в норме - 1,1) и легочной артерии к аорте (у здоровых - 1,2). Исходя из увеличения этих параметров, можно предположить наличие затрудненного выброса в аорту или гипоплазию дуги аорты. Тем не менее, по данным предложивших эти косвенные признаки авторов, такие изменения выявляются только в 30% наблюдений (рис. 4).

Рис. 4. Диспропорция размеров желудочков сердца при коарктации аорты. RV - правый желудочек; LV - левый желудочек; AO DESC - поперечное сечение нисходящего отдела аорты.
Во второй половине 90-х гг. было опубликовано несколько работ, посвященных изучению диагностической ценности увеличения правого желудочка и уменьшения левого желудочка при коарктации аорты. Авторы, опубликовавшие эти результаты [2], считают, что чем раньше проводится исследование (от 14-16 до 25 нед гестации), тем оно информативнее для диагностики коарктации аорты. Доказательством могут служить данные, полученные D. Brown и соавт. [15]. В представленных исследованиях коарктация аорты отмечена у 8 (62%) из 13 плодов с диспропорцией размеров желудочков до 34 нед и только у 6 (21%) из 29 плодов после 34 нед беременности. Несмотря на то, что более половины случаев коарктации аорты сопровождается диспропорцией размеров желудочков, что достаточно легко выявляется при изучении четырехкамерного среза сердца плода, во многих исследованиях в Норвегии она не была диагностирована, даже при обязательном скрининговом изучении размеров сердца до 18 нед беременности [9].
Такие прoтиворечивые результаты можно объяснить гемодинамической теорией [16, 17]. Внутриутробно в восходящий отдел аорты поступает 50% суммарного выброса крови, в нисходящую - 65%, а через перешеек аорты всего лишь 25%. Исходя из уменьшенного объема кровотока возникает его физиологическое сужение, которое усугубляется лишь после рождения.
Допплеркардиография, позволяющая оценить кровоток, информативна лишь при выраженном сужении аорты [18]. При этом возникает обратная зависимость максимальной скорости кровотока в восходящем и нисходящем отделах аорты. В норме скорость в восходящем отделе немного преобладает над скоростью нисходящего отдела.
При перерыве дуги аорты отмечается ретроградный кровоток заполнения участка дуги аорты после перерыва через открытый артериальный проток и отсутствие прямого кровотока на уровне перерыва.
И, наконец, последняя причина не диагностированной коарктации аорты заключается в частоте сочетания с другими аномалиями сердца. Изолированная коарктация аорты составляет всего лишь 15-18%. По данным M. Campell и P. Polani [19], процент сочетания коарктации аорты с кардиальными аномалиями колеблется от 13 до 18%. Наиболее часто (85%) коарктация аорты сочетается с двустворчатым аортальным клапаном [20], нередко сочетается с фиброэластозом эндомиокарда, распространяющимся на выходной тракт левого желудочка и на межжелудочковую перегородку. Возможно, при коарктации аорты аномальное отхождение правой подключичной артерии или обеих подключичных артерий от нисходящей аорты, дистальней коарктации (5%).
Наличие сопутствующей кардиальной патологии может нивелировать типичные для коарктации гемодинамические изменения со стороны сердца плода, на которые обязательно обращает внимание специалист при ультразвуковом исследовании.
Существует еще и понятие как псевдокоарктация, или "кинкинг" аорты - деформация аорты, аналогичная классической коарктации, но препятствие кровотоку незначительное, так как имеется простое удлинение и извилистость аорты (рис. 5).

Рис. 5. Кинкинг аорты у плода в 34 нед беременности. Исследование в энергетическом режиме.
Итак, становится очевидным, что практически ни один из ультразвуковых признаков в антенатальном периоде не имеет высокой степени диагностической точности.
Известно, что диагноз данного порока сердца опирается на прямой признак - визуализацию места сужения аорты, и, возможно, расширение проксимального отдела аорты. Однако четко визуализировать участок сужения аорты у плода достаточно трудно и удается только в единичных наблюдениях. Порок можно увидеть лишь тогда, когда имеется уменьшение диаметра перешейка аорты более чем на 1/3 по сравнению с нормой для каждого срока беременности (см. рис. 2, 3).
Ключом к пренатальной диагностике коарктации аорты является комплексный учет данных, получаемых как при изучении четырехкамерного среза сердца (дилатация правого желудочка, гипоплазия левого желудочка), так и при оценке самих главных артерий. При наличии коарктации диаметр аорты в среднем в 2 раза меньше диаметра дилатированной легочной артерии. Поэтому для диагностики коарктации аорты следует использовать визуализацию самой аорты, что наиболее целесообразно при скрининговой оценке среза через три сосуда. Помощь в диагностике может оказать измерение диаметра артериального протока, который при коарктации аорты широкий.
Окончательный диагноз коарктации аорты устанавливается при использовании среза через дугу аорты, так как чаще всего сужение аорты отмечается в области ее перешейка - на уровне впадения артериального протока. Следует отметить, что сужение может охватывать большой участок аорты вплоть до тубулярной гипоплазии. Нормальный переход дуги аорты в артериальный проток в норме гладкий и плавный. Кроме того, при исследовании аорты по длинной оси наиболее надежным признаком следует считать гипоплазию поперечной части дуги аорты. Как один из косвенных признаков коарктации аорты можно использовать извилистость дуги аорты при изучении ее по длинной оси [2].
Важное дополнительное значение имеет допплерэхокардиографическое исследование, которое при коарктации орты позволяет выявить ускорение и турбулентный характер кровотока в аорте. Однако в антенатальном периоде этот признак может не проявиться [2]. Более надежно выявление левоправого шунта через овальное окно. Предполагается, что этот шунт является компенсаторным механизмом, обеспечивающим уменьшение потока крови в левый желудочек и аорту. G. Sharland и соавт. [18] отметили левоправый шунт через овальное окно у 7 из 12 плодов с коарктацией аорты. У оставшихся 5 плодов обнаруживалось как левоправое, так и праволевое направления потоков крови через овальное окно.
В случаях резко выраженных анатомических изменений аорты и функции левого желудочка с увеличением постнагрузки может наблюдаться сердечная недостаточность [21]. Нарушения гемодинамики и сердечная недостаточность характеризуются антенатально наличием выпота в перикарде, уменьшением сердечного выброса с уменьшением размеров левого желудочка [22].
После рождения и закрытия артериального протока весь поток крови поступает в восходящий отдел аорты и перешеек расширяется до нормального уровня. После рождения, когда проток перекрывается, коарктация аорты приводит к серьезными клиническим проявлениям.
Итак, анализ возможностей и ошибок ультразвуковой диагностики коарктации аорты в пренатальном периоде показывает насколько проблематично поставить диагноз во всех случаях данного порока сердца у плода. К сожалению, все эхокардиографические антенатальные признаки патологии не обеспечивают высокий процент диагностики.
Хочется надеяться, что развитие новых технологий и накопление позитивного и анализ негативного опыта позволят в будущем повысить процент диагностики такого сложного порока сердца с высокой неонатальной смертностью.
Литература

УЗИ сканер HS60
Профессиональные диагностические инструменты. Оценка эластичности тканей, расширенные возможности 3D/4D/5D сканирования, классификатор BI-RADS, опции для экспертных кардиологических исследований.
Читайте также:
