Терапия поликистоза яичников. Препараты
Добавил пользователь Евгений Кузнецов Обновлено: 23.11.2025
Помня о том, что лечить нужно больных, а не болезни, мы стоим перед необходимостью индивидуального подхода к выбору лечебных средств.
Соблюдение принципа индивидуальности особенно важно в тех случаях, когда больные с различными клинико-патогенетическими особенностями объединяются под одним диагнозом. Таковым, в частности, является синдром поликистозных яичников (СПКЯ) – широко распространенное заболевание, имеющее статус социально значимого.
На изучение различных аспектов СПКЯ направлены большие научно-исследовательские силы. Однако существует множество факторов, затрудняющих унифицированное определение синдрома и его диагностику, чем обусловлен ряд спорных вопросов в тактике лечения данной категории больных.
У больных с поликистозом яичников (ПКЯ) широко используются вспомогательные репродуктивные технологии, обеспечивающие восстановление фолликулогенеза и овуляции в яичниках с помощью различных медикаментозных препаратов. Схемы назначения индукторов овуляции, широко представленные в современных руководствах по гинекологии и публикациях другого уровня, не содержат существенных противоречий. Такое лечение является основным при первичном ПКЯ, в то время как больные с вторичными формами патологии нуждаются в патогенетически обоснованном лечении, направленном на нормализацию имеющихся у них нарушений гормонального гомеостаза.
Арсенал лекарственных средств, используемых для лечения больных с вторичными ПКЯ, представлен большим количеством препаратов, которые существенно различаются по механизмам действия. Накопившаяся к настоящему времени обширная информация по данной проблеме требует ее аналитической оценки, исходя из принципа патогенетической обоснованности и индивидуальных показаний для назначения того или иного препарата.
Общеизвестно, что ПКЯ сопровождаются различные по патогенезу эндокринопатии, которые характеризуются большим клиническим сходством, что служит основным препятствием их дифференцировки на отдельные нозологические формы. Вполне очевидно, что патогенетически обоснованное лечение может быть назначено лишь больной с конкретной формой эндокринопатии, а не группе пациенток с различными по патогенезу заболеваниями, даже если они имеют определенное клиническое сходство.
Таким образом, для адекватного решения вопросов лечебной тактики чрезвычайно актуально и практически важно определение того, какие нозологические формы эндокринной патологии скрываются за диагнозом СПКЯ. Именно с таких позиций проанализированы общепринятые подходы к медикаментозной терапии больных с вторичным ПКЯ и представлены принципы их дифференцированного применения, основанные как на литературных данных, так и на собственном многолетнем опыте автора настоящей публикации.
Информация о препаратах изложена в соответствии с их принадлежностью к различным фармакологическим группам.
Препараты центрального действия
Для пациенток с нейтрообменно-эндокринными нарушениями патогенетически обоснованным является назначение средств, подавляющих продукцию АКТГ. С этой целью используются антисеротониновые и ГАМК-эргические препараты, а также агонисты дофаминовых рецепторов.
Блокатором рецепторов серотонина, оказывающим ингибирующее влияние на секрецию АКТГ на уровне гипоталамуса, является ципрогептадин (перитол). Среди побочных эффектов препарата, наблюдаемых у некоторых больных, отмечаются увеличение аппетита и сонливость.
Способностью снижать содержание в крови АКТГ за счет антисеротониновой и дофаминергической активности обладает также метерголин (производное спорыньи).
Агонисты дофаминовых рецепторов (бромкриптин, парлодел, бромэргокриптин, абергин, бромэргон и др.) способны подавлять продукцию АКТГ и соматотропина, что определяет целесообразность их использования у больных с центральными формами гиперкортицизма как при повышенных, так и нормальных уровнях пролактина крови. Менее выраженным АКТГ-ингибирующим эффектом обладают каберголин (достинекс) и квинаголоид (норпролак), являющиеся селективными дофаминомиметиками по отношению к Д2-рецепторам пролактотрофов.
ГАМК (g-аминомасляная кислота), являясь одним из важнейших нейротрансмиттеров центральной нервной системы, ингибирует секрецию кортиколиберина и, соответственно, АКТГ. Активным ГАМК-эргическим препаратом, уменьшающим содержание в крови АКТГ и кортизола, а также экскрецию с мочой 17 ОКС, является вальпроат натрия. Менее активным действием обладает другой представитель данной фармакологической группы – аминалон.
Больным с АКТГ-зависимым гиперкортицизмом показаны препараты, улучшающие микроциркуляцию, трофику и обмен веществ в головном мозге:
– ноотропы (пирацетам);
– аминокислоты (церебролизин, глютаминовая кислота);
– препараты, улучшающие мозговое кровообращение (кавинтон, циннаризин и др.)
Для устранения нарушений внутричерепной ликвородинамики используются дегидратационные средства: глюконат кальция, сернокислая магнезия и др.
С целью нормализации функции гипоталамо-гипофизарно-адреналовой системы можно рекомендовать дифенин. Лечебный эффект препарата связан с нормализацией нейро-медиаторного обмена и синтеза дофамина.
По показаниям и рекомендациям невропатолога назначается рассасывающая и противовоспалительная терапия.
Для успешной коррекции гипоталамических нарушений необходима также санация хронических очагов инфекции в полости рта, носоглотке, придаточных пазухах носа.
Ингибиторы надпочечникового стероидогенеза
У больных с нормальным уровнем АКТГ крови и отрицательной реакцией на малую дексаметазоновую пробу патогенетически обоснованным является назначение препаратов, блокирующих надпочечниковый стероидогенез: аминоглутетимида и кетоконазола. В лечении препаратами, подавляющими продукцию АКТГ, данная категория больных не нуждается.
Аминоглутетимид известен как противосудорожный препарат, а кетоконазол, являющийся производным имидазола, обычно применяется как антимикотическое средство.
Эти препараты подавляют синтез гормонов коры надпочечников путем ингибирования изоферментов цитохрома Р-450, принимающих участие в процессе стероидогенеза. Их следует принимать в строго определенных дозах, поскольку при передозировке возможно развитие надпочечниковой недостаточности.
Аминоглютетимид и кетоконазол обладают специфичностью, действуя на различные этапы синтеза надпочечниковых стероидов, что представлено на рисунке.
Аминоглутетимид ингибирует 20,22-десмолазу, катализирующую начальную стадию стероидогенеза (превращение холестерина в прегненолон), в результате чего нарушается продукция всех предшественников кортизола и других стероидов (минералокортикоидов, андрогенов). Кроме того, он ингибирует 11-β-гидроксилазу, обеспечивающую синтез кортикостерона и кортизола, также Р-450 ароматазу, от которой зависит конверсия андрогенов в эстрогены.
Кетоконазол подавляет 20,22-десмолазу (см. выше), а также 17-α-гидроксилазу, необходимую для превращения прегненолона в 17-гидроксипрегненолон и прогестерона в 17-гидроксипрогестерон (рис.).
Аминоглутетимид используют в суточной дозе 250-500 мг, кетоконазол – 300-400 мг (то есть в дозах, меньших, чем при лечении синдрома или болезни Иценко-Кушинга).
С целью предотвращения токсического поражения печени указанные препараты сочетаются с гепатопротекторами (эссенциале, гептралом, препаратами α-липоевой кислоты, карсилом, тиотриазолином, глутаргином и др.) в общепринятых дозах.
Кетоконазол и аминоглютетимид у больных с центральными формами гиперкортицизма являются препаратами выбора и могут назначаться дополнительно при недостаточной эффективности лечения, направленного на подавление синтеза АКТГ. Результаты лечения оцениваются как по динамике уровней АКТГ и кортизола крови, так и клиническим показателям (побледнением ярких стрий, снижением АД и др.).
Как представлено на схеме (рис.), ингибирование цитохрома Р-450 и связанной с ним активности 17α-гидроксилазы, 21-гидроксилазы и 11β-гидроксилазы обеспечивает подавление синтеза в коре надпочечников кортизола и других глюкокортикоидов. С учетом этого, у больных с гиперкортицизмом препаратом патогенетического действия является верошпирон, причем необходим индивидуальный подход к дозировке препарата в зависимости от клинических особенностей пациентки. Наибольшие дозы (150-200 мг в сутки) показаны при стойкой артериальной гипертензии и когда нарушения менструального цикла по типу олигоменореи и аменореи сочетаются с андроидным типом ожирения, гирсутизмом и другими признаками кожного вирилизма (акне, жирной себореей и др.).
Противопоказаниями для назначения верошпирона являются обильные менструации, склонность к метроррагиям, артериальная гипотония.
Препарат целесообразно назначать во вторую фазу менструального цикла.
Список литературы находится в редакции.
Продолжение следует.
СТАТТІ ЗА ТЕМОЮ
Компанія Berlin Chemie глибоко засмучена трагічною ситуацією в Україні, руйнуванням і жертвами серед мирного населення. Ми категорично засуджуємо всі акти агресії в Україні та світі, докладаємо значних зусиль для допомоги в розв’язанні гуманітарної кризи та забезпеченні доступу пацієнтів до лікарських засобів. .
Лечение синдрома поликистозных яичников

Почти каждая молодая женщина, видя в зеркале лишний вес, жирный блеск и высыпания на коже, в ужасе устремляется в салон красоты и фитнес-клуб. Только в погоне за красотой это, увы, может оказаться не по адресу. Если вы не переедаете и на косметике не экономите, необходимо срочно записаться на прием к гинекологу . Вышеперечисленные проблемы могут служить сигналами заболеваний яичников.
Здоровые интимной сферы у женщин – это не только беспроблемное наступление беременности, ее легкое течение и здоровые дети. Женские половые гормоны отвечают за упругое тело с плоским животом, за гладкую матовую кожу, за крепкие блестящие волосы и ногти. Гормоны формируют наше настроение и в конечном итоге – отношение к жизни: известно, что позитивный человек и выглядит лучше, и болеет реже, и живет дольше.
СПКЯ - что это такое?
Синдром поликистозных яичников (СПКЯ) – диагноз, с которым сталкивается каждая пятая женщина репродуктивного возраста. Это означает, что каждая пятая женщина подпадает как минимум под 2 из 3 диагностических критерией:
- овуляторная дисфункция – отсутствие овуляции в большинстве циклов (олигоановуляция), либо ее полное отсутствие (ановуляция);
- биохимическая или клиническая гиперандрогенемия / гирсутизм – избыточная секреция и/или активность мужских половых гормонов (андрогенов) / избыточный рост волос на теле;
- поликистозная морфология яичников – наличие множества мелких кист (фолликулов) в каждом яичнике, отсутствие доминантного фолликула, увеличение объема яичников.
Фенотипы СПКЯ
Выделяют 4 фенотипа в зависимости от комбинаций симптомов:
- классический, или фенотип A (овуляторная дисфункция + гиперандрогенемия/гирсутизм + поликистоз)
- ановуляторный, или фенотип B (овуляторная дисфункция + гиперандрогенемия/гирсутизм)
- овуляторный, или фенотип C (гиперандрогенемия/гирсутизм + поликистоз)
- неандрогенный, или фенотип D (овуляторная дисфункция + поликистоз)
Почти в половине случаев у пациенток с СПКЯ наблюдаются «классический фенотип», сочетающий в себе все клинические, лабораторные и ультрасонографические признаки СПКЯ. Если смотреть в целом, поликистозная морфология яичников наблюдается у 82% среди всех пациенток с СПКЯ, овуляторная дисфункция – у 77%, андрогенемия – 87%, гирсутизм – у 75%. СПКЯ является ведущей причиной бесплодия в развитых странах.
Основные показатели репродуктивного потенциала у женщин с СПКЯ могут значительно различаться в зависимости от фенотипа, однако шанс забеременеть без вспомогательных технологий есть среди всех фенотипов. Грамотно подобранное лечение поможет увеличить шанс наступления беременности и избежать развития сопутствующих заболеваний.

Клинические признаки СПКЯ
Из-за присущего пациенткам с СПКЯ гормонального сбоя самыми очевидными клиническими признаками служат:
- продолжительность цикла менее 21 дня или более 35 дней;
- менструальные кровотечения продолжительностью менее 2 дней или более 7;
- боль в нижней части живота;
- сальность кожи и волос;
- жесткие темные волосы на теле вместо пушковых, на голове - наоборот;
- отложение жира преимущественно в области живота и талии;
- перепады настроения, проблемы со сном и ночные апноэ, расстройства пищевого поведения;
- повышенное артериальное давление;
- ненаступление беременности более полугода.
Причины развития СПКЯ
СПКЯ тесно коррелирует с нарушением углеводного и липидного обмена. При высоком уровне инсулина в крови и/или сниженном преобразовании холестерина в прогестерон стимулируется избыточный синтез андрогенов в яичниках. Степень выраженности клинических проявлений СПКЯ зависит от генов, отвечающих за контроль метаболических процессов обмена глюкозы, синтез стероидных гормонов и восприимчивость тканей к андрогенам. Современные исследования как зарубежных, так и российских ученых, рассматривают инсулинорезистентность и дислипидемию в качестве главных факторов развития СПКЯ.
Осложнения
С возрастом, если не лечить СПКЯ и вызвавшие его причины, у пациенток могут развиться тяжелые сопутствующие заболевания – сахарный диабет, сердечно-сосудистые заболевания, неалкогольный жировой гепатоз, остеопороз, не говоря уже о дальнейших последствиях самого СПКЯ - эндометриальной гиперплазии и раке тела матки.

Диагностика СПКЯ
Внимание! Поскольку некоторые гормональные показатели у женщин зависят от фазы цикла, результаты анализов будут максимально информативны, если день обследования назначит врач.
Биохимический анализ крови включает в себя липидограмму (общий холестерин, триглицериды, липопротеины низкой, очень низкой и высокой плотности), анализ на глюкозу натощак и пероральный глюкозотолерантный тест (ПГТТ). Вместо ПГТТ можно сдать анализ на гликозилированный гемоглобин. Также часто у пациенток с СПКЯ наблюдается дефицит витамина D, поэтому крайне желательно сдать данный анализ.
При диагностике овуляторной дисфункции берут анализы крови на фолликулостимулирующий гормон (ФСГ), лютеинизирующий гормон (ЛГ), эстрадиол (Е2), прогестерон. Анализ на прогестерон необходимо сдавать до 3 циклов подряд в зависимости от первых результатов и сохранности менструального цикла.
Андрогенный статус определяется результатами анализов на общий тестостерон, свободный тестостерон, а также глобулин, связывающий половые гормоны (ГСПГ). Количество тестостерона, доступного для использования тканями организма, зависит от колебания уровня ГСПГ. Вспомогательными маркерами гиперандрогении могут служить анализы на мужские гормоны дегидроэпиандростерон-сульфат (ДГЭА-С) и андростендион.
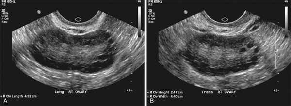
Для оценки морфологии яичников проводят УЗИ органов малого таза .
Дифференциальная диагностика
Дифференциальная диагностика прежде всего предполагает исключение схожих по клиническим признакам заболеваний щитовидной железы и гипофизарно-надпочечниковой системы. По большей части именно с этой целью все пациентки с подозрением на СПКЯ обязательно сдают анализы на тиреотропный гормон (ТТГ), пролактин, 17-гидроксипрогестерон, дегидроэпиандростерон-сульфат (ДГЭА-С), кортизол. Уровни данных гормонов часто отклоняются от нормы при СПКЯ, но клиническая значимость результатов наиболее высока при дифференциальной диагностике.
Для исключения гипотиреоза (хронического дефицита гормонов щитовидной железы) назначают анализы на тиреотропный гормон (ТТГ). При неудовлетворительных результатах ТТГ для дальнейшей проверки гипотезы гинеколог назначает анализы на тироксин (Т4), УЗИ щитовидной железы, консультацию эндокринолога .
Для исключения гиперпролактинемии (повышение «гормона лактации» пролактина, не связанного с беременностью) проводят анализ на пролактин. При высоком уровне пролактина может быть назначен анализ на качественный макропролактин, МРТ гипофиза.
Неклассическая форма врожденной дисфункции коры надпочечников (ВДКН) биохимически проявит себя повышением 17-гидроксипрогестерона более 400 нг/дл или 13 нмоль/л. При повышенных уровнях гормона гинеколог выдаст направление на УЗИ надпочечников и консультацию эндокринолога. При «пограничных» значениях 17-ОН-прогестерона рекомендуется проведение стимуляционного теста с кортикотропином (АКТГ).
У пациенток с андроген-секретирующими опухолями гиперандрогенемия не ограничивается акне и гирсутизмом, а включает в себя стремительное изменение тембра голоса, облысение по мужскому типу на затылке и висках, рост клитора. Более чем у 90% пациенток повышены уровни дегидроэпиандростерон-сульфат (ДГЭА-С) - стероидного гормона, который на 95% синтезируется из холестерина в коре надпочечников под контролем АКТГ и лишь на 5% в яичниках. Это определяет клиническую значимость данного гормона при поиске источника гиперандрогении. Также ДГЭА-С повышен при врожденной дисфункции коры надпочечников.
Синдром или болезнь Иценко-Кушинга наряду с клиническими проявлениями, сходными с СПКЯ, имеет более специфические симптомы: миопатия, плетора, фиолетовые стрии, остеопороз. Если вы заметили у себя что-либо из вышеперечисленного, обязательно сообщите об этом своему лечащему врачу. Для дифференциальной диагностики назначают анализ на кортизол. Лечит болезнь Иценко-Кушинга врач-эндокринолог .
Список заболеваний, имеющих сходные симптомы, разумеется, не ограничивается вышеперечисленными, из-за неспецифичности самих симптомов. Похожие симптомы могут встречаться при беременности, гипоталамической аменорее, преждевременной овариальной недостаточности. К счастью, беременность врач увидит на УЗИ, а последние два заболевания - по результатам анализов, которые в любом случае придется сдавать (ФГС, ЛГ, эстрадиол). Но если речь идет, например, об акромегалии, то необходимо будет сдать анализ на инсулиноподобный фактор роста (ИФР) и провести МРТ мозга. Поэтому в беседе с врачом старайтесь не упускать детали.
Дополнительные исследования
Для оценки процесса созревания фолликулов женщинам, не принимающим оральную контрацепцию (КОК), и желающим забеременеть, врач может дополнительно назначить УЗИ-фолликулометрию.
В случае лечения бесплодия у пациенток позднего репродуктивного возраста и проведения процедуры ЭКО дополнительно назначают анализ на антимюллеров гормон (АМГ) и анализ на ингибин В.

Лечение СПКЯ
Лечение СПКЯ зависит от фенотипа, направлено на оказание паллиативной помощи, нормализацию обмена веществ и менструального цикла. Комплекс лечения подбирается совместно врачами гинекологом и эндокринологом, а успех во многом зависит от соблюдения пациенткой рекомендаций, рационального питания (диеты) и ведения здорового образа жизни.
Коррекция нарушений липидного обмена при СПКЯ с применением метформина, гиполипидемических препаратов и витаминов показана всем пациенткам (в т.ч. не страдающим избыточной массой тела) для лечения бесплодия и эффективна практически в 90% случаев, даже когда не помогло консервативное и хирургическое лечение.
Комбинированные оральные контрацептивы (КОКи) при СПКЯ
При поликистозе яичников можно и нужно пить комбинированные оральные контрацептивы (КОКи). Более того, если вы их не пьете и пока не планируете беременность, скорее всего врач назначит КОК для лечения СПКЯ, поскольку КОКи позволяют контролировать цикличность менструального цикла и являются профилактикой гиперплазии эндометрия. Обычно применяется КОК с антиандрогенным действием, таким образом, пациентка получает еще и лечение клинических проявлений гиперандрогении (гирсутизма, облысения, акне).
Основное беспокойство вызывает связь между приемом КОК и развитием венозных тромбозов, а женщины с СПКЯ и избыточным весом подвергаются повышенному риску тромбоэмболических осложнений. Однако абсолютный риск такого осложнения остается достаточно низким.
Новый подход к лечению синдрома поликистозных яичников
В апреле в рамках конференции Американского эндокринологического общества были представлены результаты исследования, показавшего, что раннее применение комбинации антиандрогена и инсулин-сенситизирующих агентов у подростков с синдромом поликистозных яичников (СПКЯ) позволяет улучшить фертильность и общее состояние здоровья.
В рандомизированное открытое клиническое исследование были включены 36 девушек-подростков (средний возраст 16 лет), которые не были сексуально активны и имели СПКЯ. Симптомами заболевания являлись гирсутизм и олигоменоррея.
Пациенткам назначали комбинацию трех препаратов в низкой дозе: спиронолактон 50 мг в день, пиоглитазон 7,% мг и метформин 850 мг (SPIOMET) или оральные контрацептивы этинилэстрадиол + левоноргестрел 21/28 дней.
Девушки получали терапию на протяжении 12 месяцев и следующие 12 месяцев за ними продолжали наблюдать. Исследование полностью окончили 34 пациентки.
Первичной конечной точкой исследования была частота овуляций, уровень прогестерона. В качестве вторичных конечных точек были выбраны состав тела, абдоминальный жир, инсулинемия, андрогенемия.
Результаты
- В группе пациенток, получавших SPIOMET в 2,5 раза была выше частота овуляций и в 6 раз выше частота нормального овуляторного цикла, по сравнению с девушками, получавшими оральные контрацептивы (Р < 0.001 для обоих сравнений).
- Анализ показал, что в группе комбинированной терапии риск олигоановуляций был ниже на 65%.
- Не выявлено влияния обеих схем терапии на массу тела, индекс массы тела, показатели подкожного жира и тощей массы.
- На фоне приема SPIOMET отмечено достоверное снижение продукции инсулина, снижение концентрации С-реактивного белка и адипонектина, а также нормализация в большей степени, чем в другой группе висцерального и печеночного жира.
- Оба режима терапии были ассоциированы со снижением уровня андрогена. Применение оральных контрацептивов приводило к более быстрому и более выраженному снижению андрогена во время лечения. Однако в период после терапии отмечался синдром рикошета - быстрое повышение концентрации свободного тестостерона у пациенток, получавших ранее оральные контрацептивы.
Авторы исследования считают, что важно понять взаимодействия между тремя компонентами и другими факторами (в том числе эпигенетическими), чтобы объяснить почему SPIOMET сохраняет свою эффективность после окончания лечения.
Источник: ENDO 2017. April 4, 2017; Orlando, Florida. Abstract OR32-1 .
Всероссийская Образовательная Интернет-Сессия
Информация и материалы, представленные на настоящем сайте, носят научный, справочно-информационный и аналитический характер, предназначены исключительно для специалистов здравоохранения, не направлены на продвижение товаров на рынке и не могут быть использованы в качестве советов или рекомендаций пациенту к применению лекарственных средств и методов лечения без консультации с лечащим врачом.
Лекарственные препараты, информация о которых содержится на настоящем сайте, имеют противопоказания, перед их применением необходимо ознакомиться с инструкцией и проконсультироваться со специалистом.
Мнение Администрации может не совпадать с мнением авторов и лекторов. Администрация не дает каких-либо гарантий в отношении cайта и его cодержимого, в том числе, без ограничения, в отношении научной ценности, актуальности, точности, полноты, достоверности научных данных представляемых лекторами или соответствия содержимого международным стандартам надлежащей клинической практики и/или медицины основанной на доказательствах. Сайт не несет никакой ответственности за любые рекомендации или мнения, которые могут содержаться, ни за применимость материалов сайта к конкретным клиническим ситуациям. Вся научная информация предоставляется в исходном виде, без гарантий полноты или своевременности. Администрация прикладывает все усилия, чтобы обеспечить пользователей точной и достоверной информацией, но в то же время не исключает возможности возникновения ошибок.
Поликистоз яичников
Медицинские клиники IMMA оказывают помощь в диагностике и лечении женской болезни ─ поликистоза яичников. Если вы обратитесь в один из наших филиалов, вы получите не только медицинские услуги на профессиональном уровне, но и расположение, заботу, психологическую поддержку.
- Получить консультацию врача - гинеколога;
- Получить услуги по планированию беременности;
- Пройти гистероскопию; ;
- Пройти лечение эрозии шейки матки радиоволновой коагуляцией;
- Получить профессиональную консультацию других специалистов и многое другое!
Для уточнения подробностей и по любым вопросам обращайтесь по номеру, указанному на сайте
Многолетний практический опыт команды врачей ─ это гарантия точного определения вашего текущего состояния здоровья, постановки правильного диагноза, назначения адекватного лечения. Комплексный подход к проблеме каждой женщины и доброжелательное отношение ─ залог выздоровления и быстрого восстановления организма.
Причины развития заболевания
Точные причины поликистоза яичников до конца не установлены. Предполагают, что главным механизмом структурных изменений половых желез является нарушение их функциональности. Также в формировании болезни играют роль сбои в работе надпочечников и гипофиза, так как все эти эндокринные органы связаны между собой. Не исключают фактор нарушения деятельности поджелудочной и щитовидной железы, который опосредованно влияет на яичники.

У женщин с поликистозом обнаруживают низкую чувствительность мышц и жировой ткани к инсулину. Поэтому количество гормона в крови превышает нормативные показатели. Это состояние запускает усиленный механизм выработки эстрогенов и андрогенов (гормоны, продуцируемые яичниками). Такой дисбаланс является одной из причин поликистоза яичников.
Категории влияющих факторов для женщин, которые попадают в группу риска:
- ожирение;
- наследственная предрасположенность, генетические болезни;
- наличие в организме хронических инфекционных очагов;
- осложненная беременность и роды;
- многочисленные аборты, приводящие к гормональной диспропорции;
- эндокринные, гинекологические воспалительные заболевания;
- отсутствие половой жизни;
- неблагоприятная экологическая обстановка.
У женщин поликистоз часто сопровождается инфекциями половой сферы.
Внимание! Исследования Гарвардского университета показали, что напитки из пластиковой тары негативно сказываются на гормональном фоне. Пластмасса выделяет вредные органические вещества, количество которых в крови превышает норму на 70%, если постоянно пить из пластиковых бутылок. Это негативно влияет на состояние гомонов и формирование репродуктивной функции у подростков, создает риск развития поликистоза. У девочек вызывает морфологические изменения в яичниках в период полового созревания.
Как распознать болезнь по клиническим признакам
Все субъективные и объективные симптомы поликистоза яичников связаны с гормональными нарушениями.
Первое, на что должна обратить внимание женщина, это регулярность менструального цикла. При патологическом процессе в яичниках месячные идут нерегулярно, с периодическими сбоями. Развивается олигоменорея (цикл длится более 40 дней), реже наступает аменорея. Количество крови при этом разное. Выделения могут быть незначительными (светло-розовыми) или обильными (ярко-красными).
Один из отличительных признаков поликистоза яичников является сильная боль в нижней части живота (область малого таза) во время менструации.
Из-за повышенного содержания андрогенов в крови появляется волосистость стержневого типа кожных покровов в области середины брюшной стенки (белая линия живота). Пушковые волосы темнеют и распространяются из зоны промежности по всей задней поверхности бедра, до самого колена. У девушек при поликистозе растут усики над верхней губой.
Стабильный гормональный дисбаланс в организме провоцирует ожирение по женскому типу (отложения в области живота, бедер, ягодиц), иногда нарастание массы происходит равномерно по всему телу. Пациентки набирают до 15 кг лишней жировой ткани.
Сильно страдают кожные покровы. Эпидермис постоянно жирный из-за усиленной работы сальных желез. Появляется акне, себорея, мелкие гнойнички ─ постоянные спутники поликистоза.
К нетипичным симптомам относится огрубение голоса, пигментация на теле в области грудной клетки, подмышек, шеи.
Женщины с синдромом поликистоза яичников находятся в состоянии постоянного стресса, депрессии. Подавленное настроение негативно влияет на социальную сторону жизни. Пациентки избегают активного общения с окружающими, неохотно вступают в контакт с коллегами по работе. Социопатия тесно связана с повышением андрогенов. Появление у девушки вторичных мужских половых признаков вселяет неуверенность в себе, угнетает психику. Они вынуждены отказываться от половых контактов с партнером.
Опасные осложнения патологии яичников
Наибольшая опасность, которую представляет болезнь ─ это бесплодие. Основываясь на выводах многолетней практики, гинекологи утверждают, что невозможность забеременеть возникает только в случае отсутствия своевременного лечения поликистоза яичников. Большинство женщин с таким заболеванием способно к зачатию.
Возможные осложнения гормональной дисфункции половых желез:
- стойкое нарушение обмена веществ в организме;
- ожирение тяжелой стадии, создающее риск развития инфаркта, инсульта, полиартрита;
- сахарный диабет второго типа (инсулиннезависимый);
- гипертоническая болезнь, нарушение свертываемости крови, тромбозы сосудов разного калибра;
- нарушение фертильности (способности воспроизводить потомство);
- трудно корректируемое продуцирование андрогенов (мужских гормонов).
Профессиональная диагностика поликистоза яичников на ранних стадиях препятствует появлению осложнений, сохраняет репродуктивную функцию женщины, повышает шансы к рождению здоровых детей.
Терапевтические методы лечения болезни
Перед тем, как лечить поликистоз яичника, проводят лабораторное и инструментальное исследование организма. Внешних субъективных признаков недостаточно для того, чтобы назначить серьезное гормональное лечение. Для этого нужны диагностические протоколы, подтверждающие патологию.
При поликистозе половые железы всегда увеличены, уплотнены, болезненны при пальпации. Измеряя базальную температуру, невозможно зафиксировать двухфазность, что свидетельствует об отсутствии овуляции. При обследовании важно исключить злокачественные и доброкачественные новообразования, болезни щитовидной железы, адрогенитальный синдром, опухоль гипофиза.
Терапевтическое лечение поллиноза яичников ─ это длительный процесс, требующий усилий и самодисциплины. Оно включает такие пункты, как прием лекарственных препаратов, диетическое питание, умеренные физические нагрузки.
Медикаментозное лечение
Устранение симптомов поликистоза яичников и лечение болезни средствами для нормализации метаболизма является главным методом.
Список препаратов первой линии, которыми лечат пациенток репродуктивного возраста:
- Метформин ─ противодиабетическое средство. Противопоказано при тяжелой сердечной и почечной патологии, шоковых состояниях, острых инфекциях.
- Пиоглитазон ─ гипогликемическое лекарство для снижения сахара в крови. Не назначают при сахарном диабете 1 типа (инсулинозависимый), сердечной и почечной недостаточности, индивидуальной непереносимости.
- Спиронолактон ─ мочегонное средство, сберегающее калий в крови. Противопоказания: высокое содержание K на фоне низкого показателя Na, острая почечная недостаточность, дисфункция надпочечников.
- Этинилэстрадиол ─ гормональное противоопухолевое средство. Не прописывают при гепатите в активной фазе, циррозе, тромбофлебите, раке груди, эндометриозе.
- Прогестерон ─ синтетический женский гормон. Противопоказания ─ опухоли молочной железы, функциональные болезни печени, тромбоз в анамнезе.
Дексаметазон ─ гормон надпочечников полусинтетический. Не назначают при острых инфекциях любой этиологии, нарушении свертываемости крови, аллергии к компонентам препарата.
Значение диеты при поликистозе
Невозможно вылечить поликистоз без стабилизации и нормализации обменных процессов в организме женщины. Рациональное, сбалансированное питание ─ залог восстановления нормальной функции яичников.
Диета при поликистозе отличается от стандартных схем. Нельзя кушать сразу же после ночного сна. Первый завтрак должен быть не ранее, чем через час после просыпания. Второй перекус через 1,5-2 часа. Обед плотный, калорийный, но без переедания. Затем идет полдник и легкий ужин. В течение дня в неограниченном количестве можно пить воду, некрепкий чай, морсы. Чувство голода утолять свежими овощами. В среднем суточное потребление составляет 1900 ккал.
Корректировку питания проводит диетолог с учетом особенностей организма женщины. Цель лечебного питания ─ мягкое, постепенное снижение массы тела без вреда здоровью.
Продукты, которые исключают из рациона с диагнозом поликистоз:
- жирные, копченые, жареные продукты;
- соления, маринады, консервы, соусы;
- специи, пряности, приправы;
- алкоголь;
- напитки, содержащие большое количество кофеина (крепкий зеленый и черный чай, кофе).
К минимуму сократить потребление продуктов, содержащих большое количество глюкозы ─ фрукты, картофель, кондитерские изделия
При поликистозе яичников полезно мясо курицы, индейки, кролика, обезжиренный творог, кефир, йогурт без фруктовых добавок. Сахар исключить из рациона, заметь его небольшим количеством натурального медом.
Физические нагрузки при поликистозе яичников
Чтобы устранить симптомы и причины поликистоза яичников, недостаточно питания и питьевого режима. Для эффективного сжигания и выведения жиров необходимы регулярные кардионагрузки.
Физическая активность не должна усложнять работу сердца, легких, опорно-двигательного аппарата. Рекомендуемы упражнения умеренной нагрузки в соответствие с возможностями организма женщины.
Полезны пешие прогулки на свежем воздухе при любой погоде и такие виды спорта:
- плавание в бассейне;
- йога для начинающих;
- пилатес ─ методика фитнеса для укрепления мышечной системы, улучшения координации и баланса, снятия стресса;
- непродолжительные пробежки.
Если поликистоз яичника не лечить, он прогрессирует вплоть до климактерического периода. У 15% пациенток развивается сахарный диабет 2 типа, нарушение жирового обмена, гипертоническая болезнь с частыми скачками давления.
Как не допустить развития поликистоза
Так как медицинская наука не владеет полной информацией о истинных причинах заболевания, эффективность мер профилактики не доказана. Все мероприятия по предупреждению поликистоза носят рекомендательный характер.
Внимание! Важен самоконтроль за своим здоровьем, плановое посещение гинеколога не реже 1 раза в полгода. Заболевание развивается медленно, клинические признаки появляются периодически и в целом не влияют на качество жизни женщины. Поэтому при первых сбоях менструального цикла, появлении тянущих болей внизу живота, следует незамедлительно обратиться к врачу.
Особенное значение профилактике поликистоза уделяют при планировании беременности. Игнорирование проблемы опасно развитием раковых заболеваний матки, молочных желез, бесплодием, нервными расстройствами.
Поликистоз яичника невозможно вылечить без постоянного контроля врача, корректировки прописанных схем и рекомендаций. Если женщина последовательна в своих целях, чтобы быть здоровой и приобрести внутреннюю гармонию она должна регулярно посещать женскую консультацию, проходить осмотры, сдавать анализы.
При обнаружении хотя бы одного из симптомов заболевания, следует обратиться в профильную клинику. Врачи профессионально оценят ваше состояние, основываясь на результатах исследований, подтвердят или опровергнут наличие поликистоза яичников.
Медицинский центр IMMA предоставляет качественные услуги гинеколога-эндокринолога в соответствии с международными требованиями ВОЗ, весь спектр диагностических мероприятий для выявления и лечения болезней женской сферы.
Автор материала: врач Акушер-гинеколог клиники на Никулинской Шведова Ю. С.
Поликистоз яичников
Обслуживание на двух языках: русский, английский.
Оставьте свой номер телефона, и мы обязательно перезвоним вам.
Информацию из данного раздела нельзя использовать для самодиагностики и самолечения. В случае боли или иного обострения заболевания диагностические исследования должен назначить только лечащий врач. Для постановки диагноза и правильного назначения лечения следует обращаться к Вашему лечащему врачу.

Диагностика и лечение нарушения менструального цикла и бесплодия — одно из главных направлений ЦМРТ— Центра материнства и репродуктивных технологий Клинического госпиталя на Яузе.

Опытные специалисты — репродуктологи Клинического госпиталя на Яузе осуществляют диагностику синдрома поликистозных яичников (СКПЯ) на основе точных критериев, утвержденных международным медицинским сообществом. Лечение метаболических и эндокринных нарушений, лежащих в основе развития заболевания, эффективная коррекция гормональной дисфункции, результативные и безопасные методы стимуляции овуляции при поликистозе яичников, хирургические методы лечения СКПЯ с использованием щадящей методики лапароскопического дриллинга яичников гарантируют достижение главной цели — рождение здорового ребенка.
- 20% женщин при планировании беременности сталкиваются с диагнозом поликистоз яичников и связанным с ним нарушением менструального цикла
- В более чем 70% случаев гормональные нарушения, являющиеся причиной бесплодия, связаны с синдромом поликистозных яичников
- В 99% случаев комплексная медикаментозная терапия, включающая гормональную коррекцию и лечение метаболических нарушений, позволяет эффективно достичь овуляции при поликистозе яичников и наступления беременности
О нормальном менструальном цикле
В норме в яичниках в каждом менструальном цикле под воздействием гормонов (эстрогенов, фолликулстимулирующего гормона - ФСГ) образуются фолликулы, в которых зреют яйцеклетки. Из них обычно выделяется один доминантный фолликул (реже несколько), который при созревании лопается и выпускает наружу готовую к оплодотворению яйцеклетку. Это называется овуляцией. Яйцеклетка сохраняет готовность к оплодотворению примерно в течение 2 дней.
На месте лопнувшего фолликула под влиянием лютеинизирующего гормона - ЛГ образуется желтое тело, которое при оплодотворении будет выделять прогестерон – гормон, поддерживающий беременность. Если оплодотворения не происходит, яйцеклетка выводится из организма во время следующей менструации, а жёлтое тело рассасывается.
Мультифолликулярный яичник или поликистоз?
Если в яичнике созревает сразу много фолликулов (8 и более, это видно на УЗИ), говорят о мультифолликулярном яичнике. Это вполне может быть вариантом нормы.
Однако, если фолликулы не вызревают, не происходит овуляции - выхода зрелой яйцеклетки, нарушен менструальный цикл, не происходит зачатия, в яичниках при ультразвуковом исследовании наблюдаются множественные кисты – говорят о поликистозе яичников.
Синдром поликистоза яичников - причины возникновения, признаки и симптомы
Что же такое поликистоз яичников и с чем связано развитие синдрома?

Андрогены - мужские половые гормоны вырабатываются в небольшом количестве и в женском организме. Нарушение регуляции выработки андрогенов, повышение их уровня в крови и внутри яичников является центральным механизмом развития СПКЯ — синдрома поликистозных яичников. Высокое содержание андрогенов в яичниках останавливает рост фолликулов и развитие находящихся в них яйцеклеток. Фолликулы, будучи одновременно и источником, и жертвой повышенной продукции тестостерона и других андрогенов, не достигают зрелости и заполняют яичник, образуя множественные небольшие кисты яичника (поликистоз).
Поликистоз яичников и беременность
Овуляция при поликистозе яичников не происходит. Нарушается менструальный цикл - месячные становятся нерегулярными, задержки могут составлять несколько месяцев. Развивается бесплодие.
Внешние проявления
Повышенное количество андрогенов в кровотоке (гиперандрогения) стимулирует рост волос в необычных для женского организма зонах и активность сальных желез, приводя к оволосению по мужскому типу (гирсутизму) и появлению угревой сыпи (акне) — визитным карточкам синдрома поликистоза яичников.
Есть ли боли при поликистозе яичников?
Не всегда. При поликистозе возможны боли в области яичников и матки при менструации.
Причины гиперандрогенемии (избытка мужских половых гормонов)
Существует несколько генетически обусловленных причин нарушения регуляции синтеза андрогенов:
- повышенная активность нейроэндокринных структур головного мозга, регулирующих секрецию лютеинизирующего гормона (ЛГ), который стимулирует работу ферментных систем яичника, ответственных за выработку тестостерона и других андрогенов;
- высокий тонус ферментных систем яичника, участвующих в продукции андрогенов в сочетании с повышенной чувствительностью этих систем к лютеинизирующему гормону;
- сниженная чувствительность клеток организма к инсулину с компенсаторным увеличением базальной секреции этого гормона. Инсулин в свою очередь повышает активность вышеупомянутых ферментных систем яичника и структур головного мозга, способствуя секреции андрогенов;
- врожденная патология надпочечников (различные формы гиперплазии коры надпочечников) с нарушением цикла продукции стероидных гормонов и преобладанием тех промежуточных форм стероидов, которые имеют свойства мужских гормонов.
Повышенный риск серьёзных заболеваний
Коррекция гормональных и метаболических нарушений у пациентов с синдромом поликистозных яичников имеет большое значение. Наряду с бесплодием у более, чем половины пациенток с СПКЯ происходит нарушение обмена веществ, увеличивается объем жировой ткани, появляются признаки метаболического синдрома с нарушением липидного обмена и тенденцией к развитию диабета и сердечно-сосудистых заболеваний. Кроме того, гормональные нарушения при поликистозе являются фактором риска для развития злокачественных образований матки и молочных желез.
Диагностика поликистоза яичников

В связи с тем, что нарушения менструального цикла могут быть вызваны различными причинами, существуют точные критерии для постановки диагноза синдрома поликистозных яичников. Эти критерии были разработаны и утверждены международным медицинским сообществом. К симптомам поликистоза яичников у женщин относятся:
- нарушения менструального цикла с длительными задержками (олигоменорея) или отсутствием менструаций (аменорея);
- повышенный рост волос с оволосением по мужскому типу — гирсутизм;
- высокая концентрация андрогенов в крови;
- ультразвуковое исследование при поликистозе яичников — на УЗИ выявляется характерное строение яичников с большим количеством (12 и более) мелких фолликулов от 2 до 9 мм в яичнике.
Дополнительными симптомами при СКПЯ являются признаки пониженной чувствительности к инсулину — избыточный вес, патологический тест толерантности к глюкозе, повышенный уровень инсулина в крови, нарушение липидного обмена.
Комплексная диагностика синдрома поликистозных яичников включает:
- сбор анамнеза и общий гинекологический осмотр;
- ультразвуковая диагностика (УЗИ) органов малого таза — при поликистозе яичников на УЗИ четко видны увеличенные яичники с большим количеством мелких фолликулов;
- исследования крови на гормоны при поликистозе яичников для определения уровня половых гормонов, гормонов гипофиза, надпочечников и щитовидной железы — проводятся на 3–5-й дни менструального цикла;
- биохимический анализ крови с определением липидного профиля и глюкозы;
- тест толерантности к глюкозе;
- при необходимости рекомендуются консультации эндокринолога, кардиолога, терапевта.
Лечение синдрома поликистозных яичников в Клиническом госпитале на Яузе
Принимая решение о необходимости лечебных мероприятий при синдроме поликистозных яичников следует учитывать, что со временем естественным образом уменьшается количество яйцеклеток и фолликулов в яичниках. У многих женщин к 30 годам их число достигает уровня, при котором выработка андрогенов снижается, и овуляции, также как и менструальный цикл, восстанавливаются вместе с нормализацией репродуктивной функции.
Целесообразность лечения поликистоза яичников до этого момента продиктована необходимостью коррекции менструального цикла, наличием симптомов метаболических расстройств и желанием женщины иметь ребенка.
Консервативные методы
Консервативная терапия направлена на нормализацию работы эндокринной системы — регулирование менструального цикла, нормализацию уровня мужских половых гормонов, стимуляцию овуляции, коррекцию метаболических нарушений с обязательным снижением веса при наличии ожирения. Для этого применяются:
- гормональная терапия, направленная на нормализацию менструального цикла и снижение уровня андрогенов;
- при планировании беременности — гормональная стимуляция овуляции;
- использование антидиабетических препаратов, повышающих чувствительность к инсулину;
- диетотерапия.
Диета при поликистозе яичников
Нормализация веса может сбалансировать углеводный обмен, снизить уровень андрогенов, восстановить овуляцию. Поэтому в лечении поликистоза диета играет важную роль.
Рекомендуется контролировать калорийность суточного рациона, сопоставляя его с расходом энергии. В питании использовать медленно усвояемые углеводы (каши из цельных зёрен – гречку, ячмень, пшеницу, овёс, коричневый рис), вместо быстроусвояемых (сладкого, мучного), чтобы не провоцировать резких скачков инсулина.
Полезны продукты с низким гликемическим индексом, высоким содержанием пищевых волокон, клетчатки (фрукты и овощи, грибы, орехи и семечки), легкоусвояемый белок - бобовые, нежирная птица и рыба, молочные продукты, Пищу лучше готовить на пару, варить, тушить, запекать с минимальным количеством жира. Жареная, копчёная, солёная пища должны быть исключены.
Стимуляция овуляции при поликистозе яичников
Терапия с целью стимуляции овуляции проводится с учетом наличия у пациентки большого количества фолликулов в яичниках. Доза препаратов должна быть подобрана индивидуально с тем, чтобы добиться овуляции, но не вызвать чрезмерной реакции яичников (синдром гиперстимуляции). Это особенно важно при наличии показаний для ЭКО.
Хирургические операции при поликистозе яичников
Когда медикаментозным путем трудно достичь овуляции или имеется предыдущий опыт выраженного синдрома гиперстимуляции яичников во время ЭКО, возможно хирургическое лечение поликистозных яичников. Хирурги Клинического госпиталя на Яузе с помощью лапароскопического доступа осуществляют дозированное уменьшение фолликулярного аппарата яичника, проводя несколько точечных прижиганий поверхностной оболочки яичника с небольшим погружением вглубь ткани (дриллинг яичников). В этих местах и находятся фолликулы с яйцеклетками.
Разрушение определенного числа фолликулов приводит к уменьшению выработки андрогенов и нормализации менструального цикла, способствуя восстановлению репродуктивной функции у большого числа пациенток. Операция должна быть выполнена очень точно, чтобы не повредить слишком много фолликулов и существенно не уменьшить запас яйцеклеток. Поэтому лапароскопия при поликистозе яичников проводится опытным хирургом и только по строгим показаниям.
Преимущества лапароскопического доступа:
- минимальная травматичность и низкая вероятность осложнений — проникновение происходит через несколько отверстий вместо разреза стенки живота и после операции не остается заметных шрамов;
- непродолжительный восстановительный период и короткая госпитализация;
- быстрое восстановление репродуктивной функции.
Несмотря на высокую эффективность перечисленных методов лечения, при планировании беременности важно учитывать, что ее достижение может оказаться достаточно сложной задачей и в ряде случаев возникает необходимость проведения экстракорпорального оплодотворения.
В Клиническом госпитале на Яузе Вы можете пройти весь комплекс необходимых Вам диагностических и лечебных мероприятий. К Вашим услугам все возможности современного госпиталя — поликлиника, где ведут прием высококвалифицированные специалисты по всем медицинским направлениям, отделение лучевой диагностики с полным комплектом всех диагностических модальностей, включая КТ и МРТ, высокотехнологичный операционный комплекс для проведения оперативных вмешательств любого уровня сложности и комфортабельный стационар.
Записаться на прием к гинекологу можно через форму на сайте или по указанному в контактах номеру телефона.
Цены на услуги Вы можете посмотреть в прайсе или уточнить по телефону, указанному на сайте.
Цены на услуги гинеколога
- Стандартные консультации
- Прием (осмотр, консультация) врача-акушера-гинеколога первичный 3 900 руб.
- Прием (осмотр, консультация) врача-акушера-гинеколога повторный 3 500 руб.
- Прием (осмотр, консультация) врача-акушера-гинеколога беременной первичный 3 900 руб.
- Прием (осмотр, консультация) врача-акушера-гинеколога беременной повторный 3 500 руб.
- Телеконсультации
- Удаленная консультация врача-акушера-гинеколога первичная 2 500 руб.
- Удаленная консультация ведущего врача-акушера-гинеколога первичная 5 500 руб.
- Прочие консультации
- Прием (осмотр, консультация) врача-акушера-гинеколога повторный с назначением схемы индукции суперовуляции 18 800 руб.
Внимание! Цены на сайте могут отличаться.
Пожалуйста, уточняйте актуальную стоимость у администраторов по телефону.
Наши специалисты:

ЛисичкинаЕлена Геннадьевна Врач-гинеколог, хирург Высшая квалификационная категория
Стоимость приема: 5900 ₽
ОБРАТНЫЙ ЗВОНОК

СазоноваЮлия Михайловна Врач-акушер-гинеколог Кандидат медицинских наук
Стоимость приема: 5900 ₽
Читайте также:
