Трансбронхиальные биопсии. Трансторакальные биопсии.
Добавил пользователь Евгений Кузнецов Обновлено: 02.11.2025
Трансбронхиальные биопсии. Трансторакальные биопсии.
Эти виды биопсий показаны при любых периферических образованиях легких, при диссеминированных процессах (различные виды альвеолитов, саркоидоз). Трансбронхиальная и трансторакальная биопсии призваны определить морфологическую картину тех или иных заболеваний легких для выработки правильной тактики лечения.
Противопоказаниями для выполнения таких биопсий являются: наличие у больного гамартомы, туберкуломы, заболеваний крови с нарушением свертываемости, единственное легкое, наличие легочной гипертензии, буллезной эмфиземы легких в зоне предполагаемой пункции, аномалии легочных сосудов, секвестрации легкого, эхинококковой кисты, легочно-сердечной недостаточности, бронхиальной астмы, развитие у больного тяжелых форм артериальной гипертензии, недостаточности кровообращения II-III степени, стенокардии покоя, хронической коронарной недостаточности. При решении вопроса о проведении трансбронхиальной и трансторакальной биопсий следует учитывать возраст больного, его отношение к инструментальным методам диагностики, степень оснащенности рабочего места бронхо-лога, возможность выполнения срочных реанимационных мероприятий.
При проведении таких биопсий рентгенологический, а также срочный цитологический контроль являются неотъемлемой частью исследования.

При использовании трансбронхиальных биопсий важно помнить, что возможности этого метода ограничены. В целом диагностическая эффективность использования трансбронхиальных биопсий при диагностике интерстициальных заболеваний легких не превышает 50%, однако диагностическая значимость возрастает с увеличением числа полученных при биопсии кусочков легочной ткани. Достаточно высока диагностическая ценность этого метода при диагностике саркоидоза, при котором частота верного диагноза составляет 80% даже при отсутствии паренхиматозных нарушений при рентгенологическом исследовании. Значимость трансбронхиальных биопсий в дифференциальной диагностике интерстициальных заболеваний легких приведена ниже.
Торакоскопия позволяет установить диагноз в 95% наблюдений при опухолевом процессе или туберкулезе, но в любом случае следует предварительно провести торакоцентез. Торакоскопический метод с видеоподдержкой, выполняемый под общей анестезией, является ведущим методом при диагностике периферических поражений легкого, диффузных заболеваний легких, хирургическом лечении пневмоторакса и опухолевого поражения плевры (плеврэктомия), а также при эмфиземе и медиастинальных опухолях легкого.
При всех видах биопсии и цитологических исследованиях мокроты, транссудата плевральных полостей, БС, БАС необходим постоянный контакт лечащего врача, цитолога и патологоанатома. При этом и клиницистам, и морфологам следует учитывать: - репрезентативность и достоверность полученного материала;
- характер патологического процесса (воспалительный процесс или новообразование);
- в случае диагностики опухолевого поражения по возможности определять характер опухоли, степень злокачественности и принадлежность к определенному гистологическому типу.
Клиницисты должны четко представлять показания и противопоказания, а также ограничения каждого из описанных методов, помнить о возможности проведения комплексного исследования (например, сочетание исследования БАС, браш-биопсии и бронхобиопсии и т.п.). При выборе метода исследования следует руководствоваться соображениями эффективности и травматичности каждого метода с учетом возможных осложнений.
Лечащий врач должен иметь конкретный и последовательный план обследования больного с помощью цитологических и морфологических методов. Необходимо представлять цитологу и патологоанатому подробную выписку из истории болезни больного с указанием вопросов, на которые следует ответить морфологу. Соблюдение этих требований позволит эффективно проводить диагностику патологического процесса, оценивать эффективность проводимой терапии, а также экономить время, необходимое для диагностического поиска.
При трудностях дифференциальной диагностики следует широко использовать комплексное цитоморфологическое исследование. При установлении клинического диагноза результаты цитологического и гистологического исследований необходимо сопоставить с клинической картиной заболевания и результатами других лабора-торно-инструментальных методов.
Соблюдение определенных правил забора материала для цитологического и гистологического исследований, четкое понимание возможностей каждого метода позволят улучшить качество диагностики и правильно выбрать определенную схему лечения.
Информация на сайте подлежит консультации лечащим врачом и не заменяет очной консультации с ним.
См. подробнее в пользовательском соглашении.
Трансбронхиальные биопсии. Трансторакальные биопсии.
Медицинский радиологический научный центр Минздравсоцразвития России, Обнинск
Медицинский радиологический научный центр Минздравсоцразвития России, Обнинск
Медицинский радиологический научный центр Минздравсоцразвития России, Обнинск
Медицинский радиологический научный центр Минздравсоцразвития России, Обнинск
Трансторакальная биопсия под контролем компьютерной томографии в диагностике объемных образований легких и средостения
Журнал: Хирургия. Журнал им. Н.И. Пирогова. 2012;(6): 24‑27
Рагулин Ю.А., Усачев В.С., Медведев В.Н., Дементьев А.В. Трансторакальная биопсия под контролем компьютерной томографии в диагностике объемных образований легких и средостения. Хирургия. Журнал им. Н.И. Пирогова. 2012;(6):24‑27.
Ragulin IuA, Usachev VS, Medvedev VN, Dement'ev AV. The CT-guided transthoracic biopsy of lung's and mediastinal tumors. Pirogov Russian Journal of Surgery = Khirurgiya. Zurnal im. N.I. Pirogova. 2012;(6):24‑27. (In Russ.).
Медицинский радиологический научный центр Минздравсоцразвития России, Обнинск
Применение современных методов неинтервенционной диагностики не позволяет устанавливать диагноз при периферических образованиях в легких в значительном числе наблюдений. Использование различных методик трансторакальной биопсии дает возможность морфологической верификации процесса с высокой степенью информативности. С 2005 по 2010 г. 107 больным произведена трансторакальная пункционная биопсия под контролем компьютерной томографии. Авторами показано преимущество использования трепанационной (тканевой) биопсии по сравнению с тонкоигольной аспирационной биопсией (ТИАБ). Чувствительность трепанационной биопсии для верификации злокачественного процесса составила 93%, в то время как чувствительность ТИАБ - 75%. Тяжесть осложнений трепанационной биопсии была выше, чем при ТИАБ. Методы просты в применении и должны чаще использоваться в диагностике периферических образований легких.
Медицинский радиологический научный центр Минздравсоцразвития России, Обнинск
Медицинский радиологический научный центр Минздравсоцразвития России, Обнинск
Медицинский радиологический научный центр Минздравсоцразвития России, Обнинск
Медицинский радиологический научный центр Минздравсоцразвития России, Обнинск
Своевременная диагностика заболеваний органов грудной клетки обеспечивает наиболее благоприятные условия для их успешного лечения. В значительном числе наблюдений существует необходимость морфологической верификации при периферических образованиях в легких. Диагностика, основанная только на клинических данных, особенно на начальной стадии развития заболевания, весьма затруднительна и зачастую недостаточна [2, 12, 13]. Нередко бессимптомность течения и трудности инструментальных исследований не позволяют достоверно устанавливать диагноз и полноценно контролировать динамику заболевания. Оценка скиалогических особенностей объемных образований легких и средостения по данным рентгенографии или КТ имеет большое значение в дифференциальной диагностике. Очаги можно классифицировать по размерам, характеру контуров, структуре, плотности, состоянию окружающей легочной ткани. Для образований, имеющих анатомические или метаболические признаки злокачественности, необходима полноценная морфологическая верификация, являющаяся основой формирования онкологического диагноза [6, 7]. Рак легкого остается наиболее распространенным злокачественным новообразованием в мировой популяции, что в условиях онкологической настороженности обусловливает максимально возможное обследование больных с образованиями в легких. В настоящее время существует множество способов получения морфологического материала из опухолей органов грудной клетки, описанных в отечественной и зарубежной литературе [1, 5]. Задачи постановки окончательного диагноза решаются с помощью хирургических методов обследования: диагностической торакотомии, видеоторакоскопии, медиастиноскопии, трансбронхиальной и трансторакальной биопсии. При этом последняя, являясь наименее инвазивной, дает возможность получить материал для гистологического, цитологического, бактериологического и других исследований, позволяя завершить диагностический поиск и определить тактику лечения заболевания [4, 10]. Трансторакальная пункция может быть осуществлена с использованием различных методов визуализации: рентгенографии, УЗИ и КТ. Совершенствование рентгенологических методик и широкое ведение высокотехнологичной аппаратуры позволили сократить частоту использования рентгеноскопии для проведения трансторакальных пункций до минимума и большинство манипуляций проводить под контролем КТ, а применение различных биопсийных методик открыло новые возможности верификации диагноза на дооперационном этапе даже при малых размерах образований [9, 11, 14].
Цель настоящего исследования - оценка диагностических возможностей различных методов трансторакальной биопсии образований легких и средостения под контролем компьютерной томографии.
Материал и методы
С 2005 по 2010 г. 107 больным была произведена в отделении лучевого и хирургического лечения заболеваний торакальной области МРНЦ Минздравсоцразвития России трансторакальная пункционная биопсия под контролем компьютерной томографии. Возраст больных варьировал от 20 до 86 лет (в среднем 58,5 года). Каждый пациент был проинформирован об особенностях предстоящей процедуры и возможных осложнениях. Исследование проводилось под местной анестезией в горизонтальном положении больного на столе компьютерного томографа. Место прокола грудной стенки избиралось индивидуально в зависимости от расположения очага, пути прохождения иглы, удобства пункции и снижения риска потенциальных осложнений. Положение иглы контролировалось КТ в различные временные этапы выполнения процедуры. Важное место при биопсии объемных образований легких занимала равномерная глубина вдохов во время разметки и пункции образования.

Тонкоигольную аспирационную биопсию (ТИАБ) выполняли иглами диаметром 20G по стандартной методике. Для трепанационной биопсии использовали иглы (диаметр 14G, длина 100 мм), представляющие собой троакар, внутри которого при проколе располагается мандрен, затем при локализации иглы в опухоли проводили стилет с расщепленным концом, позволяющий захватить кусочек ткани, достаточный для гистологического исследования (рис. 1). Рисунок 1. Игла для тканевой биопсии легкого. а - троакар иглы; б - мандрен; в - стилет с расщепленным концом (г) для захвата кусочка ткани. Также эта техника выполнения пункции дает возможность получать материал для цитологического исследования в виде отпечатков опухолевой ткани или смывов с иглы.
Результаты и обсуждение
Размер пунктируемых образований составил от 10×10 до 200×87 мм (в среднем 49,6×38,7 мм). Объемные образования органов грудной клетки субплеврально локализовались у 24 (22,4%) больных, в легочной паренхиме на расстоянии 1-3 см от грудной стенки - у 54 (50,5%), на расстоянии более 4 см - у 18 (16,8%) и в области средостения - у 11 (10,3%) больных.

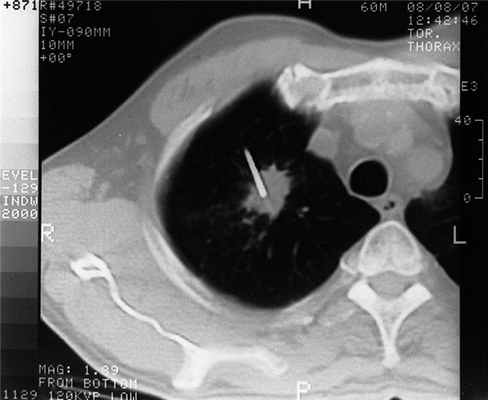
При проведении трансторакальной биопсии легкого получить материал для дальнейшего исследования удалось у 103 пациентов. В 4 наблюдениях проведение пункции оказалось неудачным и морфологический материал не был получен по причине развившегося пневмоторакса (3 наблюдания), не позволившего локализовать иглу в опухоли, и в связи с плотной консистенцией опухоли и ее малым размером (1). Процедура пункции вместе с предварительной КТ-разметкой занимала от 15 до 35 мин. Как правило, для локализации иглы в опухоли было достаточно одного прокола грудной стенки (рис. 2), Рисунок 2. Компьютерная томограмма больного С. Конец иглы локализован в центре опухоли правого легкого. в редких наблюдениях эта процедура осуществлялась повторно.
Диагноз злокачественной опухоли легкого установлен у 80 больных из 107 и был подтвержден при проведении трансторакальной биопсии, последующего оперативного вмешательства или динамического наблюдения. Рассматривая результаты использования различных методов биопсии, следует отметить, что условия их выполнения были различными и к выбору подходили дифференцировано. ТИАБ чаще использовалась в сложных условиях: при малом размере опухоли, ее расположения вблизи крупных сосудов и при высоком риске грубого повреждения легочной ткани.
ТИАБ успешно выполнена 34 больным, в том числе злокачественная опухоль была у 24 больных, неопухолевый процесс - у 10. Из 24 больных со злокачественной опухолью у 18 удалось правильно распознать заболевание. В 6 наблюдениях получены ложноотрицательные заключения, чувствительность ТИАБ при верификации злокачественного процесса составила 75%. Из 10 больных с неопухолевыми образованиями у 7 удалось правильно верифицировать диагноз. Таким образом, точность ТИАБ составила 73,5%. Осложнения в виде пневмоторакса, не сопровождающиеся клиническими проявлениями, отмечены у 5 (14,7%) больных, при контрольном сканировании была выявлена тонкая полоса воздуха в плевральной полости. Интервенционных методов лечения и интенсивной медикаментозной терапии по поводу развившихся осложнений не проводилось.

Трепанационная биопсия была выполнена 69 больным (рис. 3). Рисунок 3. Компьютерная томограмма больной С. На срезе видны две части иглы: троакар у переднего полюса опухоли и проведенный через него стилет с расщепленным концом в центре опухоли. Окончательный диагноз в 57 наблюдениях был представлен злокачественными опухолями. В 53 из них по результатам морфологического исследования правильно верифицировано заболевание (в 83,9% - гистологически, в 76,8% - цитологически). Чувствительность трепанационной биопсии для верификации злокачественного процесса составила 93%. Из 13 больных с неопухолевыми образованиями легких у 12 правильно верифицирован диагноз. Таким образом, точность трепанационной биопсии составила 94,2%. Осложнения наблюдались у 10 (14,5%) больных: пневмоторакс - у 8, кровохарканье - у 2. Клинически значимые осложнения, потребовавшие вмешательства и медикаментозной коррекции, развились в 2 наблюдениях (дренирование плевральной полости, гемостатическая терапия). Отмечено, что при проведении трепанационной биопсии осложнения были более тяжелыми, это вполне соответствует данным литературы, свидетельствующим об увеличении частоты пневмотораксов при использовании игл большего диаметра [3, 8]. По полученному гистологическому материалу 5 больным раком легкого выполнено исследование опухоли на наличие мутации EGFR, что в значительной степени повлияло на тактику лечения.

При анализе зависимости информативности ТИАБ и трепанационной биопсии от размера образования никаких закономерностей не выявлено (табл. 1). Следует отметить, что основной причиной неудач при трепанационной биопсии стало получение большого количества некротизированной ткани, избыточное присутствие которой не позволяло установить морфологический диагноз. По-видимому, при размере очагов более 3 см вероятность деструктивных изменений в тканях весьма велика, тогда как при меньшем размере некротические изменения менее выражены и возможность получить жизнеспособную ткань выше. При этом значительный размер образования (более 6 см) позволяет получить несколько образцов ткани из различных частей (центра, периферии, «капсулы») и дает больше шансов на получение информативного материала и перспективу работы морфолога с различными тканевыми структурами.

Анализ зависимости информативности различных видов биопсии от глубины расположения образования продемонстрировал противоречивые результаты (табл. 2). Локализация очага около грудной стенки создавала наиболее благоприятные условия выполнения трепанационной биопсии, что обеспечило повышение чувствительности метода при приближении границ образования к париетальной плевре. В то же время при ТИАБ указанной зависимости не выявлено, что может быть объяснено недостаточным количеством наблюдений, а также большим процентом неопухолевых заболеваний в группе больных с образованиями, прилежащими к грудной стенке, верификация которых затруднена.
При последующем наблюдении за больными со злокачественными опухолями оценивалась возможность развития имплантационных метастазов в области прохождения биопсийной иглы. Ни у одного больного не было выявлено признаков имплантационного метастазирования.
Таким образом, трепанационная биопсия легкого и средостения с последующим цитологическим и гистологическим исследованием материала обладает более высокой диагностической ценностью при верификации объемных процессов в легких по сравнению с тонкоигольной аспирационной биопсией. Метод прост в использовании и не сопровождается тяжелыми осложнениями. Близкое расположение опухоли и ее большой размер способствуют повышению чувствительности трепанационной биопсии, позволяя получить достаточное количество тканевого материала и проводить качественное морфологическое исследование. Различные виды трансторакальной биопсии должны чаще использоваться в диагностике периферических образований органов грудной клетки для установления правильного диагноза и проведения своевременного лечения.
Трансторакальная биопсия легкого:
цены, адреса и запись онлайн
Выраженная анемия, проблемы со свертываемостью крови, большое скоплении воздуха в легких, которое провоцирует сильные приступы боли, высокое давление в легочной артерии, гипоксия, приступ бронхиальной астмы, геморрагический диатез, тяжелая аритмия.
✚ Лучшие центры трансторакальной биопсии легкого в Москве представлены здесь - адреса и цены, рейтинг клиник, отзывы пациентов; запишитесь онлайн или по телефону со скидкой до 50%.
График работы центра:
Аспирин
Многопрофильная клиника женского и мужского здоровья. Проводят диагностику и лечение различных заболеваний по всем основным направлениям современной медицины, а так же в спектр услуг входит проведение профосмотров.
Биопсия трансторакальная биопсия легкого - отзывы
В клинике я проходила гастроскопию. Специалист хорошо ко мне отнесся, успокаивал меня. Клинику выбрала по срочности. Персонал хороший. Результаты по диагностике мне выдали,
Мария, 22 августа 2022
Доктор внимательный и участливый. Она немного позже меня приняла, потому что там был другой пациент, посмотрела результаты анализов, выслушала, успокоила, сняла кардиограмму и дала рекомендации. Я выбирала врача по рейтингу. Если потребуется, я обращусь к ней повторно.
Татьяна, 22 августа 2022
Выбирал специалиста по территориальному признаку. Мне понравилось как врач провел прием. Доктор всё грамотно, правильно сделала. Всё профессионально и качественно. Врач проконсультировала меня и провела манипуляцию. Мою проблему решили. Никаких вопросов нет. Если потребуется, я повторно обращусь к ней.
Андрей, 22 августа 2022
Мне очень понравился прием. Доктор все понятно мне объяснил и показался достаточно профессиональным и понимающим не только мою проблему, но и в целом. Врач дал мне рекомендации, предложил разные варианты. Специалиста выбрала супруга по отзывам. Безусловно обращусь повторно, если будет такая необходимость и буду его рекомендовать.
Александр, 22 августа 2022
Персонал замечательно общался с нами, очень понравилось. Клинику мы выбирали в интернете по отзывам. В помещении чисто и аккуратно. Результат был готов через 20 минут.
Анна, 22 августа 2022
Мне порекомендовали этого специалиста, сказали опыт работы более 30 лет. Вежливый врач. Доктор выслушал меня и проконсультировал. Ответил на все вопросы, дал рекомендации и посоветовал обратиться к другому врачу. При необходимости, к этому специалисту я повторно обратилась бы.
Марина, 22 августа 2022
Мне всё понравилось и к этому врачу я буду ходить дальше. Юлия Владимировна внимательный и профессиональный врач. Я еще прохожу обследования. Приём начался вовремя и прошёл быстро. Данного доктора я выбрала по удобному времени записи.
Елена, 22 августа 2022
Врач выслушал проблему, изучил старые записи, назначил УЗИ почек, снял кардиограмму и выписал лекарства. Я выбирала врача по времени и по расположению. Прием длился не меньше 20-30 минут. Времени мне было уделено достаточно. Я приду к нему на повторный приём.
Михаил, 22 августа 2022
Я осталась очень довольна! Вячеслав Владимирович квалифицированно и внимательно провел приём. У меня была травма глаза. Доктор провел полное обследование и назначил мне лечение. Данного специалиста я выбрала по отзывам и по рейтингу. Я уже его порекомендовала! Он профессионал!
Евдокия, 22 августа 2022
Доктор хорошо со мной общалась, спросила в чем моя проблема, хотела сделать мне определенное лечение, но это было дорого и я отказалась. У меня был фурункул и его надо было вскрыть, вскрытие стоит 5000 руб., плюс анестезия 1000 руб., естественно я отказалась, так как в поликлинике это сделают бесплатно. И тогда доктор сказала, что я могу дома попробовать пропить антибиотики. Специалиста выбрала по близости к дому.
Аноним, 22 августа 2022
Популярные вопросы:
Все диагностические центры Москвы:
- Честные мнения пользователей: 148 проверенных отзывов.
- Только опытные специалисты: средний рейтинг ДЦ — 9.3.
Виды Биопсии:
- Трепанобиопсия
- трепанобиопсия костного мозга
- трепанобиопсия кости
- трепанобиопсия молочной железы
- трепан биопсия груди
- трепанобиопсия подвздошной кости
- трепанобиопсия щитовидной железы
- трепанобиопсия лимфоузла
- трепан биопсия печени
- трепан биопсия предстательной железы
- аспирационная пункционная биопсия
- пункционная биопсия щитовидной железы
- пункционная биопсия узла щитовидной железы
- пункционная аспирационная биопсия щитовидной железы
- пункционная биопсия молочной железы
- пункционная биопсия печени
- пункционная биопсия почек
- пункционная биопсия легкого
- пункционная биопсия мягких тканей
- пункционная биопсия простаты
- пункционная биопсия яичка
- пункционная биопсия лимфоузла
- пункционная биопсия шейки матки
- пункционная биопсия кожи
- ворсин хориона
- пункционная биопсия слюнной железы
- пункционная биопсия поджелудочной железы
- пункционная биопсия мышц
- тонкоигольная биопсия щитовидной железы
- тонкоигольная аспирационная биопсия щитовидной железы
- тонкоигольная биопсия узлов щитовидной железы
- тонкоигольная пункционная биопсия щитовидной железы
- тонкоигольная биопсия молочной железы
- тонкоигольная аспирационная биопсия молочной железы
- тонкоигольная пункционная биопсия узлов щитовидной железы
- тонкоигольная биопсия лимфоузла
- тонкоигольная пункционная биопсия полового члена
- тонкоигольная аспирационная биопсия
- аспирационная биопсия эндометрия
- аспирационная биопсия молочной железы
- аспирационная биопсия щитовидной железы
- аспирационная биопсия матки
- аспирационная пайпель биопсия
- аспирационная биопсия яичка
- аспирационная биопсия костного мозга
- вакуумная аспирационная биопсия
- вакуумная биопсия молочной железы
- вакуумная аспирационная биопсия молочной железы
- вакуумная биопсия фиброаденомы
- вакуумная аспирационная биопсия фиброаденомы
- вакуумная биопсия матки
- вакуумная биопсия эндометрия
- вакуумная аспирационная биопсия эндометрия
- эксцизионная биопсия лимфоузла
- эксцизионная биопсия шейки матки
- эксцизионная биопсия молочной железы
- биопсия шейки матки радиоволновым методом
- вульвы радиоволновым методом
- трансторакальная биопсия легкого
- трансбронхиальная биопсия легкого
- стереотаксическая биопсия опухоли головного мозга
Полезные статьи о заболеваниях, современных методах лечения и диагностиках.
Нужен квалифицированный врач поближе к дому? Специализированный портал поможет
Медицинский справочник болезней от А до Я.
Узнайте, сколько стоят медицинские услуги в разных клиниках. Сравните цены и выберите подходящую.
ЭНДОСКОПИЧЕСКАЯ ТРАНСБРОНХИАЛЬНАЯ БИОПСИЯ: КАК ДОКТОРА ДИАГНОСТИРУЮТ БОЛЕЗНИ ЛЕГКИХ И ВЕРХНИХ ДЫХАТЕЛЬНЫХ ПУТЕЙ БЕЗ ЕДИНОГО РАЗРЕЗА НА ТЕЛЕ ПАЦИЕНТА
![3K3A9421.JPG]()
В Казахстане сегодня эту процедуру выполняют только доктора отделения эндоскопии Президентской клиники. Нам удалось заглянуть прямо в операционную и поговорить с человеком, который привез эту технологию в страну.
Женисбек Тынкозиев – врач-эндоскопист. О профессии и выполняемых манипуляциях он рассказывает подробно и очень сосредоточено: непрофессионалу легко запутаться в сложной терминологии описываемой технологии. Тем временем, трансбронхиальная биопсия, верит доктор, - медицинская фраза, которая со временем станет такой же широко употребляемой и понятной непрофессионалам, как, например, флюорография. Все дело в методе, говорит доктор Тынкозиев: он позволяет врачам точно и с минимальными последствиями определять диагноз пациентам, которые поступают с подозрениями на болезнь легких и верхних дыхательных путей.
«Миниинвазивность» - не просто модное слово в медицинском словаре доктора: процедуры с минимальными вмешательствами дают шанс на диагностику и лечение пациентам, которым в ином случае бы отказали в медицинской помощи по причине слабого здоровья. К таким миниинвазивным способам как раз относится трансбронхиальная биопсия, которой доктор Президентской клиники Женисбек Тынкозиев обучился во время стажировки в России, Германии и Израиле. О ней же он рассказывает сегодня в нашем материале.
![3K3A6276.JPG]()
ТРИДЦАТЬ ЧЕТЫРЕ СЛУЧАЯ
Каждый раз перед началом выполнения манипуляции испытываешь волнение и страх, что в нашем случае, на мой взгляд, является положительным фактором: сложно представить доктора, который не волнуется и не боится, так как без этих чувств пропадает ответственность перед пациентом, операционной командой и самой профессией. Во время выполнения трансбронхиальной биопсии внутренний «ответственометр» достигает максимальной отметки: ведь мы имеем дело с легкими и его составляющими – плеврой, трахеями, бронхами. Любой неверный шаг может обернуться серьезным последствием для пациента.
![3K3A9434.JPG]()
С медицинской командой отделения эндоскопии Президентской клиники за последний год мы выполнили тридцать четыре манипуляции. Из них в подавляющем большинстве случаев (87%) наша диагностика позволила поставить точный диагноз (онкология, туберкулез, саркоидоз), в оставшихся 13% нам удалось подтвердить отсутствие болезни.
Но для начала предлагаю стартовать с основ: что значит трансбронхиальная биопсия, кому и при каких случаях ее выполняют, и почему она дает точные результаты?
![1.jpg]()
ЕЩЕ МЕНЬШЕ ПОСЛЕДСТВИЙ
В нашей Больнице мы применяем два способа диагностики легких и верхних дыхательных путей с помощью эндоскопа: первый – это трансбронхиальная биопсия, то есть забор материла, который извлекается из ткани легкого, второй –трансбронхиальная пункция лимфоузла средостения, то есть прокол для анализа материала лимфоузлов, расположенных в полости между легкими (средостения). Оба метода являются миниинвазивными - проводятся без открытого вмешательства и разреза в грудной клетке пациента, как это, например, происходит при более широко распространенных на сегодня методах диагностики болезней легкого – трансторакальной пункционной и открытой биопсии.
![3K3A9428.JPG]()
Впрочем, нужно отметить, что бронхоскоп – вид эндоскопа для осмотра и забора материла легких – давно применяется в медицинской практике, разница между трансброхиальным методом и всеми остальными - в масштабах досягаемости: что при открытом способе, что при использовании обычного бронхоскопа, поле действия врачей, как правило, ограничено возможностями самих технологий. Бронхоскопом мы можем пройти в сегментарные отделы легкого, но продвинуться дальше за их пределы для осмотра образований на периферии органа – это будет сделать невозможно.
Кроме того, способ трансбронхиальной диагностики является самым инклюзивным среди существующих методов диагностики онкологических болезней легких, туберкулеза и саркоидоза: так как манипуляция является миниинвазивной, мы проводим ее даже тем пациентам, которым противопоказана открытая операция. Сюда относятся, например, пациенты с болезнями сердца либо люди преклонного возраста.
![3.jpg]()
ПРЯМОЙ ЭФИР И ЭКПРЕСС-ЛАБОРАТОРИЯ
Для трансбронхиальной биопсии легкого и трансбронхиальной пунции лимфоузла мы используем специальные иглы, с помощью которых можем проходить в самые труднодоступные участки легкого. Представьте себе, что диаметр самой трахеи достигает двух сантиметров, главных бронхов – полтора, если спускаться глубже, то просвет ветвей бронхов будет с каждым разом становиться уже. В сегментарном отделе их диаметр равен всего семи миллиметрам. Наш аппарат по размеру лишь на миллиметр меньше.
![Untitled design.jpg]()
А теперь представьте себя в операционной: с помощью эндоскопа продвигаемся через просветы бронхов - сквозь трубку диаметром в 6 миллиметров проводим еще более тонкие иглы для выполнения манипуляции в легком и в лимфоузлах. При этом поле нашего действия (сегмент легкого, пределы предполагаемого образования) мы перед этим подробно изучили благодаря снимку компьютерной томографии пациента, потому знаем, в какой области нам необходимо действовать. Но для точности этого не достаточно: навигатором во время самой манипуляции нам служит рентген – по нему мы видим, как и в каком направлении движутся наши инструменты в самом легком в режиме «прямого эфира»: на экране мы видим картину легкого, благодаря которому управляем всем процессом изнутри.
![3K3A9435.JPG]()
По времени сама процедура занимает не больше часа: за это время мы успеваем не только взять необходимый материал для исследования, а также узнать о наличие или отсутствии болезни не выходя из операционной. Все дело в том, что полученный из органа материал мы сразу отправляем на экпресс-цитологию в клинико-диагностическую лабораторию нашей Больницы и спустя пятнадцать-двадцать минут мы можем поставить диагноз пациенту. Такой экспресс-алгоритм пока выполняется только в нашей Больнице.
![2.jpg]()
ИСТОРИИ ИЗ ПРАКТИКИ
У нас как-то был случай: к нам обратилась пациентка, которая несколько раз до этого проходила бронхоскопию в родном городе, один раз ей выполнили биопсию легкого открытым методом, но результат выдался не таким успешным – взятые фрагменты оказались малоинформативными. У пациентки, тем временем, после открытого вмешательства произошли осложнения, возникли спайки в легочном отделе, из-за чего ей долгое время пришлось провести в реанимации.
После восстановления она обратилась к пульмонологу нашей Больницы, Бакеновой Розе Агубаевне, таким образом, команда наших эндоскопистов подключилась к процессу лечения. Снимки компьютерной томографии показали, что очаг образования в легком размером не превышает трех миллиметров: нам нужно было точно все заранее рассчитать, чтобы также точно провести исследование. Конечно, был риск и волнение, но нам в итоге удалось попасть в очаг и в течение пятнадцать минут определить диагноз, который не могли установить долгое время. У пациентки - саркоидоз.
К нам на диагностику приезжают пациенты со всего Казахстана, многие из них - с подозрением на онкологию. В некоторых случаях мы для начала проводим обычную бронхоскопию, и если в доступном для этого инструмента просвете мы ничего не можем обнаружить, то приступаем к трансбронхиальной биопсии. Она, как помните, позволяет нам глубже исследовать территорию органа, благодаря чему нам не раз удавалось опровергать либо подтверждать подозрения на онкологию, и даже определять ее степень. Последнее, впрочем, также можно считать позитивным исходом для пациента, особенно, если онкология находится на начальной стадии развития. Все наши пациенты с подтвердившимся диагнозом не так давно были удачно прооперированы в центре онкологии и трансплантологии.
![3K3A9420.JPG]()
Биопсию мы берем не только в легком, но и в лимфоузлах средостения, что бывает особенно критично при подтверждении туберкулеза, саркойдоза и особенно онкологии. В лимфоузлах могут находиться метастазы раковых клеток, даже если в самом очаге образования в легком нет никаких признаков болезни. В некоторых случаях мы пунктировали лимфоузлы и, таким образом, обнаруживали начальную стадию рака.
ЗА И ПРОТИВ
Трансбронхиальная биопсия, как и любая медицинская манипуляция, конечно же, имеет свои противопоказания: мы не берем пациентов, которые получают высокие дозы антикогулянтов (препаратов разжижающих кровь). Из-за них увеличивается риск внезапного кровотечения во время выполнения процедуры. По причине большой вероятности осложнений, трансбронхиальная биопсия также противопоказана пациентам с высоким легочным давлением.
Но все же список тех, кому эта манипуляция позволена и даже показана, намного шире, так как она, повторюсь, является миниинвазивной и соответственно, менее ущербной для самого пациента.
Кроме того, в нашем случае пациент получает не только «экспресс-результат» уже по окончании манипуляции: за одну процедуру мы можем взять все виды анализов необходимых для исследования легких на туберкулез, онкологию, цитологию (изучение клеток) и гистологию (анализ ткани). Традиционно все эти анализы берутся отдельно.
Еще одно важное преимущество – в финансовой стороне вопроса: сама манипуляция стоит тридцать тысяч тенге, дороже обходятся расходные материалы, которые являются одноразовыми – сто девяносто тысяч тенге. Но, как говорится, все познается в сравнении: трансбронхиальная биопсия в Израиле достигает восьми тысяч долларов, а в Европе и США – десяти тысяч американских денег.
Впрочем, во всем мире все больше пациентов обращаются к этой манипуляции, благодаря которой наши действия становится все менее инвазивными, а возможности - все более точными и достоверными.
СПРАВКА: Тынкозиев Женисбек Кадирбекович - врач хирург-эндоскопист. Стаж 10 лет. Закончил Южно-Казахстанскую медицинскую академию. До внедрения технологии в Казахстане, прошел обучение в России, Германии и Израиле. Состоит в Обществе эндоскопистов РК, Европы и России, а также во Всемирном Обществе эндоскопистов.
Диагностические возможности трансбронхиальной игловой аспирационной биопсии под контролем эндобронхиального ультразвука в онкоторакальной хирургии Текст научной статьи по специальности «Клиническая медицина»
Настоящее исследование проведено для оценки клинического использования нового ультразвукового пункционного бронхоскопа (BF-UC160F-OL8) фирмы «Олимпус», Япония, с целью визуализации и выполнения игловой биопсии медиастинальных лимфоузлов. Исследованию подверглись 38 пациентов с медиастинальной лимфоаденопатией > 1 cм с диагностированными или подозреваемыми злокачественными заболеваниями. Показаны высокая информативность и безопасность метода.
Похожие темы научных работ по клинической медицине , автор научной работы — Сельващук А. П.
Современные перспективы диагностики лимфаденопатий средостения методом трансбронхиальной аспирационной пункции
Эндобронхиальная ультрасонография с трансбронхиальной аспирационной тонкоигольной биопсией лимфоузлов средостения
Постпроцессинговые мультипланарные и 3D реконструкции в диагностике саркоидных лимфаденопатий по данным мультиспиральной компьютерной томографии
TRANSBRONCHIAL FINE NEEDLE BIOPSY DIAGNOSTIC POSSIBILITIES UNDER ENDOBRONCHIAL ULTRASOUND GUIDANCE IN ONCOTHORACIC SURGERY
The present study was pursued to assess the clinical usage of a new ultrasound bronchoscope (BF-UC160F-OL8) Olympus, Japan, to visualize and perform fine needle biopsy of mediastinal lymph nodes. 38 patients with mediastinal lumphadenopathy (> 1cm) were examined. All of them were suspected to have or diagnosed to develop malignancies. This method demonstrated high information values and safety.
Текст научной работы на тему «Диагностические возможности трансбронхиальной игловой аспирационной биопсии под контролем эндобронхиального ультразвука в онкоторакальной хирургии»
ДИАГНОСТИЧЕСКИЕ ВОЗМОЖНОСТИ ТРАНСБРОНХИАЛЬНОЙ ИГЛОВОЙ АСПИРАЦИОННОЙ БИОПСИИ ПОД КОНТРОЛЕМ ЭНДОБРОНХИАЛЬНОГО УЛЬТРАЗВУКА В ОНКОТОРАКАЛЬНОЙ ХИРУРГИИ
Настоящее исследование проведено для оценки клинического использования нового ультразвукового пункционного бронхоскопа (BF-UC160F-OL8) фирмы «Олимпус», Япония, с целью визуализации и выполнения игловой биопсии медиастинальных лимфоузлов. Исследованию подверглись 38 пациентов с медиастинальной лимфоаденопатией > 1 cм с диагностированными или подозреваемыми злокачественными заболеваниями. Показаны высокая информативность и безопасность метода.
Ключевые слова: лимфоузел, эндобронхиальный ультразвук, трансбронхиальная игловая аспирационная биопсия.
TRANSBRONCHIAL FINE NEEDLE BIOPSY DIAGNOSTIC POSSIBILITIES UNDER ENDOBRONCHIAL ULTRASOUND GUIDANCE IN ONCOTHORACIC SURGERY
The present study was pursued to assess the clinical usage of a new ultrasound bronchoscope (BF-UC160F-OL8) Olympus, Japan, to visualize and perform fine needle biopsy of mediastinal lymph nodes. 38 patients with mediastinal lumphadenopathy (> 1cm) were examined. All of them were suspected to have or diagnosed to develop malignancies. This method demonstrated high information values and safety.
Key Words: lumph node, endobronchial ultrasound, transbronchial fine needle biopsy.
Существуют различные методы получения образцов медиастинальных лимфоузлов для цитологического и гистологического исследования. Это медиастинос-копия [3, 4, 8], трансторакальная пункционная биопсия под контролем КТ [11], стандартная трансбронхиальная пункционная биопсия [1, 2, 5], трансбронхиальная пункционная биопсия под контролем КТ [10], чреспищевод-ная пункционная биопсия под контролем ультразвука [9]. Все перечисленные методы имеют отрицательные стороны: осложнения, неудобный доступ к некоторым группам лимфоузлов, необходимость в общем наркозе, облучение. Shure и Fedullo описали положительный результат при бронхоскопической игловой аспирацион-ной биопсии через карину трахеи лишь в 15% случаев [15], Gay и Brutinel — в 37% [17], Harrow с соавторами указал верификацию в 46% [16], Wang и Terry описали результативность в 73%, но только в случаях, когда имеются рентгенологические и эндоскопические изменения области бифуркации трахеи [18].
С помощью ультразвукового датчика, расположенного на дистальном конце фибробронхоскопа, можно выявить медиастинальные лимфоузлы [12, 13]. К тому же, согласно последним данным, эндобронхиальное ультразвуковое сканирование (ЭБУС) повышает результат трансбронхиальной игловой биопсии [6, 7].
Материалы и методы
Мы провели настоящее исследование для оценки возможностей клинического использования нового ультразвукового пункционного бронхоскопа (BF-UC160F-OL8) фирмы «Олимпус», Япония, с целью визуализации и выполнения игловой биопсии медиастинальных лимфоузлов применительно к онкоторакальной хирур-
Рис. 1. Ультразвуковая головка бронхоскопа BF-UC160F-OL8
гии. Этот прибор имеет линейный выпуклый датчик, который сканирует параллельно направлению введения бронхоскопа. Изображения можно получать при непосредственном контакте зонда со слизистой стенки бронха или, что надежнее, путем прижатия к стенке бронха фиксированного к концу прибора наполненного физиологическим раствором латексного баллона, в котором находится зонд (рис. 1, 2). Ультразвуковое изображение обрабатывается в ультразвуковом сканере (EU-C2000; Olympus) и визуализируется наряду с традиционным видеобронхоскопическим изображением на разных мониторах. Ультразвуковые изображения можно сохранить для дальнейшего изучения как в памяти прибора в виде статичных картинок, так и в виде видеофайла на пишущем DVD-плейере. Данная система также оснащена допплеровским режимом. Трансбронхиальная аспирационная пункционная биопсия осуществляется специальной иглой, разработанной для этой цели, игла проводится через канал аппарата.
Исследованию подверглись 38 пациентов с медиастинальной лимфоаденопатией с размерами
Кубанский научный медицинский вестник № 6 (105) 2008 УДК 616.24-006-072
Кубанский научный медицинский вестник № 6 (105) 2008
Рис. 2. Ультразвуковая головка бронхоскопа BF- UC160F-OL8 с заполненным физиологическим раствором баллоном и иглой для пункционной аспирационной биопсии
Рис. 3. Игла для трансбронхиальной игловой аспирационной биопсии
2006 Рос 18 17:16
Рис. 5. УЗ-изображение увеличенного лимфоузла при эндобронхиальном ультразвуковом исследовании
Рис. 4. КТ-изображение увеличенных лимфоузлов бифуркации трахеи
БНАІЧКОУ С V ‘ СІ1
Рис. 6. УЗ- картина при использовании допплеровского режима
Рис. 7. Пункционная игла, введенная в ткань лимфоузла
лимфоузлов более 1 см с диагностированными или подозреваемыми злокачественными заболеваниями, из них 26 пациентов, или 68,4%, имели морфологически верифицированный диагноз рака легкого. Так как ультразвуковой бронхоскоп не предназначен для детального осмотра трахеобронхиального дерева, сначала выполнялась стандартная фибробронхоскопия, а затем уже исследование с помощью нового ультразвукового пункционного бронхоскопа. Бронхоскопия выполнялась через рот в положении пациента на спине.
Затем выполнялось ультразвуковое исследование для выявления лимфоузлов и окружающих сосудов.
Внешний диаметр трубки гибкого бронхоскопа составляет 6,7 мм, а диаметр конца — 6,9 мм. Угол обзора составляет 90°, а направление обзора — 30° в косой проекции. Внутренний диаметр канала инструмента составляет 2,0 мм. Игла была разработана для выполнения трансбронхиальной аспирационной биопсии (рис. 3).
Кровеносные сосуды визуализировались с помощью допплеровского режима. Игла для трансбронхиальной
Цитологические результаты ТБИАБ медиастинальных лимфоузлов под контролем эндобронхиального ультразвука
Заключение Количество пациентов
Плоскоклеточный рак 14
Мелкоклеточный рак 9
Метастаз рака пищевода 1
игловой аспирационной биопсии (ТБИАБ) проводилась через рабочий канал бронхоскопа, и лимфоузел пунктировали под непосредственным ультразвуковым контролем. Полученный материал размещали на предметное стекло. Мазки высушивали и фиксировали в 95%-ном спирте.
В 1 случае не удалось получить значимого цитологического материала (получены клетки крови). В этом случае манипуляция проводилась после медиастинос-копии, и, по нашему мнению, за лимфоузел была принята гематома.
Диагноз, определенный с помощью трансбронхиальной игловой аспирационной биопсии под контролем эндобронхиального ультразвука, был подтвержден открытой торакотомией [8], торакоскопией [11], медиасти-носкопией [14] и клиническим наблюдением [4].
У всех пациентов с лимфаденопатией лимфоузлов средостения, которые имели диагностированный морфологически верифицированный рак легкого, было подтверждено метастазирование в эти лимфоузлы.
Все лимфоузлы, которые были выявлены на КТ-сканах грудной клетки, можно было визуализировать с помощью эндобронхиального ультразвукового сканирования. Процедура была выполнена успешно, осложнений не наблюдалось. В некоторых случаях было сложно пунктировать трахеальную стенку из-за толстых хрящевых колец. В таких случаях место прокола переносили на несколько милиметров, не теряя из виду необходимый лимфоузел. Таким образом, при аспираци-онной игловой биопсии под ультразвуковой навигацией цитологическая верификация составила 97%.
На рисунках 4, 5, 6, 7 показано КТ-изображение лимфоузлов, УЗИ-изображение лимфоузла, полученное при эндобронхиальном ультразвуковом исследовании, и допплеровский режим, позволяющий различать сосуды и лимфоузлы, а также аспирационная игла в лимфоузле у пациента с медиастинальной лимфоаденопатией.
Трансбронхиальная игловая аспирационная биопсия медиастинальных лимфоузлов под ультразвуковой навигацией дает высокий диагностический результат (97%) по сравнению с другими методами игловой биопсии.
Метод имеет экономическую привлекательность, так как выполняется одним врачом, без участия анестезиолога и рентгенолога. Не используется оборудование для компьютерной томографии, пациент и медицинский персонал не подвергаются облучению.
При успешном выполнении трансбронхиальная игловая аспирационная биопсия может избавить пациентов от выполнения более инвазивных процедур или хирургической операции.
Трансбронхиальная игловая аспирационная биопсия медиастинальных лимфоузлов под контролем эндобронхиального ультразвукового сканирования при использовании нового ультразвукового пункционного бронхоскопа представляет собой новый безопасный метод, дающий высокий диагностический результат. Необходимо продолжать освоение этой перспективной методики и более активно вводить ее в клиническую практику.
1. Астраханцев Ф. А., Путиевская Г. С. Методика рентгенэн-доскопической пункционной биопсии лимфатических узлов средостения // Грудная хир. 1980, № 1. С. 66—70.
2. Еляшевич Б. Л. Бронхологическое и цитологическое исследование бифуркационных лимфатических узлов средостения при раке: Дис. канд. Казань, 1966.
3. Лукомский Г. И., Шулутко М. Л. Медиастиноскопия. М.: Медицина, 1971.
4. Порханов В. А., Поляков И. С. с соавт. Ремедиастиноскопия после неоадъювантной химиотерапии. Так ли она необходима? EACTS, Монако, 2002.
5. Mehta A. C., Kavuru M. S., Meeker D. P., et al. Transbronchial needle aspiration for histology specimens // Chest.1989, № 96. Р. 1268—1272.
6. Kurimoto N., Murayama M., Moria K., et al. Clinikal Applications of Endobronchial Ultrasonography in Lung Diseases // Endoskopy. 1998, № 30. Р. 8—12.
7. Kurimoto N. Endobronchial Ultrasonography. Kyoto: Kinpodo, 2001.
8. Hammoud Z. T., Anderson, R. C., Meyers, B. F., et al The current role of mediastinoscopy in the evaluation of thoracic disease. J Thorac // Cardiovasc Surg. 1999, № 118. Р. 894—899.
9. Fritscher-Ravens A., Soehendra N., Schirrow L., et al. Role of transesophageal endosonography-guided fine-needle aspiration in the diagnosis of lung cancer // Chest. 2000, № 117, Р. 339—345.
10. Garpestad E., Goldberg S., Herth F., et al CT fluoroscopy guidance for transbronchial needle aspiration: an experience in 35 patients // Chest. 2001, № 119. Р. 329—332.
11. Zwischenberger J. B., Savage C., Alpard S. K., et al Mediastinal transthoracic needle and core lymph node biopsy: should it replace mediastinoscopy? // Chest. 2002, № 121. Р. 1165—1170.
12. Okamoto H., Watanabe K., Nagatomo A., et al Endobronchial ultrasonography for mediastinal and hilar lymph node metastases of lung cancer // Chest. 2002, № 121. Р. 1498—1506.
Кубанский научный медицинский вестник № 6 (105) 2008
13. Herth F. J., Becker H. D., Ernst A. Ultrasound-guided transbronchial needle aspiration: an experience in 242 patients // Chest. 2003, № 123. P. 604—607.
14. Yasufuku K., Chhajed P. N., Sekine Y., et al Endobronchial ultrasound using a new convex probe: a preliminary study on surgically resected specimens // Oncol Rep. 2004, № 11. P. 293—296.
15. Mountain C. F., Dressler C. M. Regional lymph node classification for lung cancer staging // Chest. 1997, № 111. P. 1718—1723.
16. Shure D., Fedullo P. F. The role of transcarinal needle aspiracion in the stading of bronchogenic carcinoma // Shest. 1984, № 86. P. 693—696.
17. Harrow, Oldenburg F. A., Smith A. M. Transbronchial needle aspiracion in clinical practice // Thorax. 1985, № 40. P. 756—759.
18. Gay P. C., Brutinel W. M. Transbronchial needle aspiracion in the practice of bronchoscopy // Mayo Clin Proc. 1989, № 64. P. 158—162.
19. Wang K. P., Terry P. B. Transbronchial needle aspiracion in the diagnosis and stading of bronchogenic carcinoma // Am Rev Resp Dis. 1983, № 127. P. 344—347.
А. В. СОЛОНЕНКО, И. В. ХЛОПИНА
ЭФФЕКТИВНОСТЬ ПСИХООБРАЗОВАНИЯ РОДСТВЕННИКОВ ПАЦИЕНТОВ С ПЕРВЫМ ПСИХОТИЧЕСКИМ ЭПИЗОДОМ (СЕМЕЙНЫЙ АСПЕКТ)
Данное исследование выполнено на базе ГУЗ «Специализированная клиническая психиатрическая больница № 1» департамента здравоохранения Краснодарского края в период с 2002 по 2004 г. Оно посвящено изучению уровня социального функционирования пациентов с первым психотическим эпизодом (286 чел.), чьи родственники за период катамнестического наблюдения получали психообразование, в сопоставлении с такими больными, чьи родственники не получали психообразования (контрольная группа - 100 чел.). Уровень семейной составляющей социального функционирования среди пациентов, чьи родственники получали психообразование, был выше, чем в контрольной группе.
Ключевые слова: психообразование, первый психотический эпизод, социальное функционирование.
A. V. SOLONENKO, I. V. HLOPINA
THE EFFICIENCY OF PSYCHOEDUCATION OF PATIENTS WITH THE FIRST PSYCHOSIS EPISODE
This investigation has been fulfilled at Clinical psychiatric hospital of Krasnodar region in period of 2002-2004 years. It has been devoted to researching of the level of social adaptation of patients (286 p.) of the first psychosis episode, whose relatives have received psychoeducation during the catamnestic period, as compared with such patients, whose relatives haven't received psychoeducation (control group - 100 p.). The level of social adaptation (introfamily aspect) among the patients, whose relatives have gotten psychoeducation has been higher than among such patients without psychoeducation.
Key words: psychoeducation, the first psychosis episode, social adaptation.
Сфера внутрисемейных отношений является одной из составляющих социального функционирования индивидуума и обычно затрагивает два основных аспекта: супружеских отношений и отношений с родителями [4]. Влияние внутрисемейных (межличностных) факторов на социальное функционирование больного очевидно, что определяется следующими обстоятельствами: 1) динамика волевой активности, связанная с процессуальными особенностями заболевания, опосредованно изменяет адаптационные возможности пациента [3]; 2) в связи с этим происходит постепенная реорганизация личности пациента, что прежде всего проявляется во внутрисемейных отношениях (больные становятся более зависимыми от членов семьи и одновременно меньше интересуются семейными проблемами; 3) в ответ на это происходит перестройка позиций других членов семьи по отношению к больному [8, 9], что, в свою очередь, напрягает адаптационные возможности пациента [2].
Непонимание членами семьи (чаще в связи с отсутствием знаний у них) того, что изменения в поведении больного связаны с болезнью, ведёт к более позднему обращению к психиатру, к отказу от медикаментозной терапии, а иногда к дисциплинарным мерам по отношению к больному. В таких условиях взаимоотношения с родственниками становятся хроническим стрессовым фактором для больного. При данных обстоятельствах психообразовательная работа с родственниками пациентов может стать санирующим психосоциальным фактором, направленным на формирование правильного понимания членами семьи биопсихосоциальной природы психического расстройства у их заболевшего близкого, что будет способствовать более эффективной социальной поддержке больного со стороны семьи в контексте средового (внутрисемейного) копинг-ресур-са [5] и в конечном итоге благоприятно отразится на социальном функционировании пациента в целом.
Читайте также:










