Туберозный склероз на МРТ
Добавил пользователь Владимир З. Обновлено: 29.01.2026
Туберозный склероз (болезнь Бурневилля) — редкое генетическое заболевание, при котором во множестве органов и тканей образуются доброкачественные опухоли. Полисистемный характер нарушений порождает широкий спектр симптомов — повреждения мозга могут вызвать эпилепсию, снижение интеллекта; поражаются внутренние органы — почки, сердце, лёгкие; характерные новообразования кожи лица и глазного дна могут быть использованы при начальной диагностике.
Первое слово в названии болезни происходит от латинского tuber — нарост, опухоль, и описывает «туберсы» — характерные новообразования в коре мозга больных, обычно на границе серого и белого вещества. Туберсы были впервые описаны французским неврологом Бурневиллем, поэтому иногда болезнь называют его именем.
Частота этого заболевания составляет 10—14 на 100 000 населения. Она выше у детей, составляя максимум у не достигших 5-летнего возраста. Число случаев с отрицательным семейным анамнезом велико: от 50 до 70 %. Заболевание характеризуется высокой ранней детской смертностью и снижением продолжительности жизни у взрослых людей.
Критерии диагностики туберозного склероза
Все признаки подразделяются на первичные и вторичные.
- ангиофибромы лица или фиброзные бляшки на лбу,
- нетравматические околоногтевые фибромы,
- гипопигментные пятна (больше трех),
- «шагреневая кожа»,
- множественные гамартомы сетчатки,
- корковые туберсы, субэпендимарные узлы,
- гиганто-клеточная астроцитома,
- рабдомиомы сердца множественные или одиночные, ,
- множественные ангиомиолипомы почек.
- многочисленные углубления в эмали зубов,
- гамартоматозные ректальные полипыа,
- костные кистыб,
- фибромы десен,
- гамартомы внутренних органов,
- ахроматический участок сетчатой оболочки,
- пятна «конфетти» на коже,
- множественные кисты почека.
Несомненный диагноз туберозного склероза: 2 первичных признака или 1 первичный признак + два вторичных признака.
Возможный диагноз - 1 первичный признак + 1 вторичный признак.
Предположительный диагноз – или 1 первичный признак или два и больше вторичных признака.
а - требуется гистологическое подтверждение
б – достаточно рентгенологического подтверждения
Кожные изменения
Гипопигментные пятна, ангиофибромы лица, участки “шагреневой кожи”, околоногтевые фибромы, фиброзные бляшки, белые пряди волос, ресниц и бровей.
Гипопигментные пятна (овальные, полигональные или в виде рассыпанного «конфетти») нередко обнаруживаются с рождения, с возрастом число их может увеличиваться. Располагаются асимметрично, преимущественно на туловище и ягодицах.
Гипопигментное пятно на коже голени
Ангиофибромы лица (аденома Прингля) - узлы розового или красного цвета с гладкой, блестящей поверхностью, располагаются симметрично с двух сторон лица на щеках и носу (по типу “крыльев бабочки”) и подбородке. Развиваются, как правило, после 4-х лет.
Участки “шагреневой кожи” (peau chagrine в переводе с французского - “недубленая, грубая, жесткая кожа”), желтовато-коричневого или розового цвета, умеренно выступают над поверхностью окружающей кожи и напоминают шкурку апельсина. Размер их колеблется от нескольких миллиметров до 10 и более сантиметров. Чаще они появляются на втором десятилетии жизни. Располагаются преимущественно в пояснично-крестцовой области.
Участок "шагреневой кожи"
Фиброзные бляшки - образования бежевого цвета, шероховатые на ощупь, несколько выступают над окружающей кожей. Часто появляются уже на первом году жизни. Излюбленным местом локализации фиброзных бляшек является лоб. Размер и число их варьируют.
Околоногтевые фибромы - тусклые, красные или мясного цвета узлы, растущие от ногтевого ложа или вокруг ногтевой пластинки. В большинстве случаев околоногтевые фибромы появляются на втором десятилетии жизни. Чаще встречаются на ногах, чем на руках. Размер варьирует от 1 миллиметра до 1 сантиметра в диаметре.
Мягкие фибромы располагаются на туловище и шее, реже на конечностях. Бывают двух видов:
- множественные или единичные, мягкие мешотчатые образования на ножках
- множественные образования, несколько приподнятые над поверхностью кожи, размером меньше булавочной головки (напоминают “гусиную кожу”)
Изменения со стороны органов зрения
доброкачественные опухоли сетчатки и зрительного нерва (часто множественные) - ретинальные гамартомы астроцитарного происхождения. Наблюдается у 50 % больных. Опухоль трудно заметить в самом начале.
Она довольно быстро кальцифицируется. Офтальмологическое исследование следует предпринять как можно раньше у детей с дилатированным сосочком зрительного нерва. Опухоль чаще располагается вблизи оптического диска.
Обызвествления в гамартомах сетчатки с обеих сторон.
Изменения со стороны сердечно-сосудистой системы
Рабдомиомы сердца. Рабдомиомы локализуются в любой полости сердца, но преимущественно - в желудочках. Более характерно их расположение в левой половине сердца. У 2/3 больных - рабдомиомы множественные. Клинически рабдомиомы сердца проявляются признаками сердечной недостаточности, нарушениями гемодинамики, сократительной функции миокарда и сердечного ритма.
Изменения со стороны органов дыхания
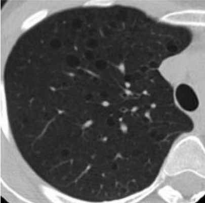
Лимфангиолейомиоматоз легких. Легкие вовлекаются в патологический процесс после 30 лет. Первые клинические симптомы - дыхательная недостаточность и рецидивирующий пневмоторакс.

Фрагмент КТ: множественные кистозные изменения - лимфангиомиоматоз легких
Изменения со стороны желудочно-кишечного тракта
полость рта (узловые опухоли, фибромы или папилломы, дефекты эмали зубов), печень (одиночные и множественные гамартомы и ангиомиолипомы), прямая кишка (ректальные полипы)
Изменения со стороны почек
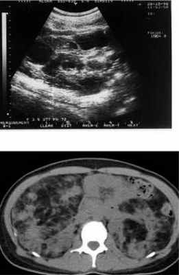
Ангиомиолипомы и кисты. Редко - карциномы. Нарушения со стороны почек, как правило, появляются на 2-м - 3-м десятилетии жизни. Ангиомиолипомы при туберозном склерозе множественные, двусторонние и длительное время имеют бессимптомное течение.
Ангиомиолипомы больше 4 см в диаметре имеют тенденцию к спонтанному кровоизлиянию. Основными клиническими симптомами кровоизлияния из ангиомиолипомы: острые абдоминальные боли, падение артериального давления. Кисты почек при туберозном склерозе чаще небольшого размера, двусторонние. При увеличении размера кист развивается почечная недостаточность, появляется высокое артериальное давление.

УЗИ. Кисты почки
На КТ множественные двусторонние образования в почках, содержащие жировую ткань – ангиомиолипомы.
Изменения со стороны костей
Поражения костной ткани чаще бессимптомные, в виде периостальной реакции, склероза или кистоза.
КТ. Участки склероза в костях черепа, преимущественно в лобной кости.
Изменения со стороны нервной системы
судорожные приступы, умственная отсталость, нарушения поведения, изменения в цикле сон-бодрствование. Судороги при туберозном склерозе могут начинаться на первом году жизни. Чаще всего в этот возрастной период встречаются инфантильные спазмы, которые в дальнейшем переходят в другие типы судорог. Судорожные приступы при туберозном склерозе нередко плохо поддаются противосудорожной терапии. Умственная отсталость при туберозном склерозе наблюдается у половины больных. Степень снижения умственной отсталости колеблется от умеренной до глубокой. Изменения поведения характеризуются аутизмом, синдромом гиперподвижности и дефицита внимания, агрессией и аутоагрессией. Нарушения сна у большинства больных связаны с длительным засыпанием, снохождением и ранним пробуждением.
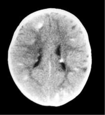
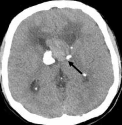
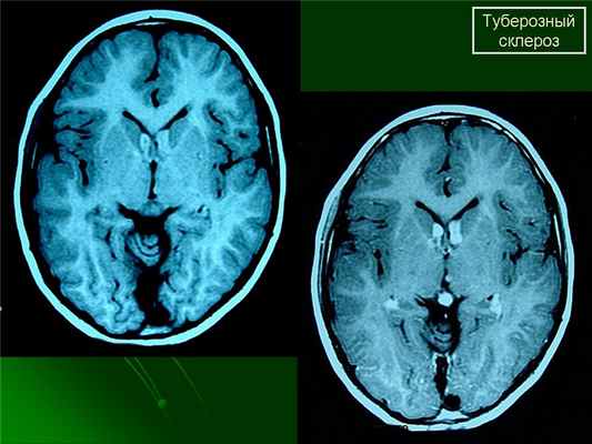
Наиболее типичными нарушениями в головном мозге являются корковые туберсы и субэпендимарные узлы. Туберсы могут быть как единичными, так и множественными, располагаются в виде выступов над единичной или прилегающими бороздами коры, расширяя их. Субэпендимарные узлы локализуются в стенках боковых желудочков и, реже, в стенках III и IV желудочков мозга. У новорожденных субэпендимарные узлы редко бывают кальцифицированными. По мере роста ребенка наблюдается постепенное отложение кальция в субэпендимарных узлах.
Субэпендимарные узлы в 10% случаев трансформируются в гиганто-клеточную астроцитому, которые манифестируют обычно между 5 и 10 годами жизни, имеют тенденцию к росту и локализуются у отверстия Монро

Субэпендимарные кальцификаты и корковые туберсы на КТ головного мозга ребенка с туберозным склерозом

Субэпиндемальные узлы и корковые туберсы на МРТ

Астроцитома в области отверстий нередко приводит к оккюзионной гидроцефалии.
Комплекс исследований больных туберозным склерозом
- КТ и/или МРТ
- Электроэнцефалография
- Ультразвуковое исследование внутренних органов
- Эхокардиография
- Электрокардиография
- УЗИ щитовидной железы
- Анализы крови и мочи
Тревожные симптомы туберозного склероза
Лихорадка, боли в спине, подташнивание и рвота, гематурия, анемия.
Симптомы возникают, как правило, при увеличении массы и объема ангиомиолипом. Увеличенные в объеме ангиомиолипомы (больше 4 см в диаметре) нередко имеют тенденцию к спонтанному кровоизлиянию (ретроперитонеальному или внутрипочечному), либо способствуют компрессии окружающих тканей.
Клинические симптомы, свидетельствующие о кровоизлиянии из ангиомиолипомы:
- острые абдоминальные боли
- развитие шокового состояния
- падение артериального давления
- вегетативные расстройства (обильный пот, озноб, сердцебиение)
Высокое артериальное давление, головные боли, утомляемость, кожный зуд.
Кисты почек при туберозном склерозе могут достигать нескольких сантиметров в диаметре. При выраженном патологическом процессе, при бесчисленном количестве кист большого размера, течение заболевания напоминает поликистозную болезнь почек, которая приводит к почечной недостаточности.
Частые головные боли, рвоты, ухудшение зрения.
Симптомы повышения внутричерепного давления, которые могут свидетельствовать о росте гиганто-клеточной астроцитомы.
Поверхностное дыхание, бледность кожных покровов рецидивирующий пневмоторакс. Симптомы могут свидетельствовать о развитии патологического процесса в легких (лимфангиомиоматоз легких).
Заключение
Туберозный склероз – генетическое заболевание из группы факоматозов. Встречается довольно редко, проявляется чаще в детском возрасте. Наряду с наследственными формами существуют и спонтанные мутации более, чем в 50% случаев. Клинические проявления разнообразны и связаны с поражением многих органов и систем. В зависимости от локализации изменений в тех или иных органах применяются разные методы лучевой диагностики: УЗИ, КТ, МРТ, эхокардиография. Правильная диагностика возможна только с учетом клинических данных и данных анамнеза, в том числе семейного. Туберозный склероз, поражая многие органы, приводит к высокой смертности в детском возрасте и сокращению продолжительности жизни. Подозрение на осложнения туберозного склероза могут потребовать дополнительных исследований, и лечебных мероприятий, например, при кровоизлияниях в ангиомиолипомах почек, окклюзионной гидроцефалия при астроцитомах, стенозирующих отверстия Монро, развитии почечной и легочной недостаточности и др.
Туберозный склероз на МРТ

Заболевания
Туберозный склероз
Туберозный склероз (ТС) – редкое генетическое мультисистемное заболевание, которое обычно проявляется вскоре после рождения. Заболевание может вызывать широкий спектр признаков и симптомов и связано с образованием доброкачественных опухолей в различных системах органов тела. Часто поражаются кожа, мозг, глаза, сердце, почки и легкие. Эти опухоли часто называют гамартомами. Гамартома – узловое доброкачественное опухолевидное образование, представляющее собой тканевую аномалию развития. Термин предложен в 1904 году немецким патологоанатомом Евгением Альбрехтом (Eugen Albrecht, 1872—1908) при описании дизэмбриоплазий печени. Гамартома состоит из тех же тканевых компонентов, что и орган, где она расположена. При этом она отличается аномальным строением и степенью дифференцировки тканей. Гамартомы не являются злокачественными; они обычно не дают метастазов и не распространяются на другие части тела. Однако эти аномальные новообразования могут увеличиваться в размерах и повреждать пораженную систему органов. Количество, размер и конкретное расположение этих новообразований у людей с туберозным склерозом могут широко варьироваться, и следовательно тяжесть течения заболевания также может широко варьироваться. Туберозный склероз происходит в результате мутаций гена или генов, которые могут возникать спонтанно (спорадически) по неизвестным причинам или передаваться по наследству как аутосомно-доминантный признак. Большинство случаев представляют собой новые мутации (de novo) без семейной истории болезни.
Дезире-Маглуар Бурневиль (1840–1909) был французским неврологом, который примечателен первоначальным описанием туберозного склероза («болезнь Бурневиля») в 1880 году.
Джон Джеймс Прингл (1855-1922) был шотландским дерматологом, который также изучал это заболевание, в результате чего в некоторых книгах его называют «болезнью Борневилля-Прингла».
Генрих Фогт (1875-1936) был немецким неврологом, который известен тем, что установил три патогномоничных клинических признака туберозного склероза, которые стали известны как «триада Фогта».
Частота ТС в популяции составляет 1:10000 (у новорожденных – 1:6000). Расчетное число больных ТС в Российской Федерации около 7 000 человек, поэтому ТС относится к редким (орфанным) заболеваниям. Считается, что этим заболеванием страдают около 2 миллионов человек во всем мире. Мужчины и женщины болеют в равных количествах, и заболевание встречается у всех рас и этнических групп.
Мутации в гене TSC1 или TSC2 могут вызывать комплекс туберозного склероза. Гены TSC1 и TSC2 синтезируют белок гамартин и туберин.
- TSC1: кодирует гамартин, на хромосоме 9q32-34
- TSC2: кодирует туберин на хромосоме 16p13.3
Внутри клетки эти два белка, вероятно, работают вместе, помогая регулировать рост и размер клеток. Белки действуют как опухолевые супрессоры, которые обычно предотвращают слишком быстрый или неконтролируемый рост и деление клеток.
Люди с комплексом туберозного склероза рождаются с одной мутированной копией гена TSC1 или TSC2 в каждой клетке. Эта мутация не позволяет клетке производить функциональный гамартин или туберин из измененной копии гена. Однако из другой, нормальной копии гена обычно вырабатывается достаточно белка, чтобы эффективно регулировать рост клеток. Для развития некоторых типов опухолей вторая мутация с участием другой копии гена TSC1 или TSC2 должна произойти в определенных клетках в течение жизни человека.
Когда обе копии гена TSC1 мутируют в конкретной клетке, эта клетка не может продуцировать какой-либо функциональный гамартин; клетки с двумя измененными копиями гена TSC2 неспособны производить какой-либо функциональный туберин. Потеря этих белков позволяет клетке бесконтрольно расти и делиться с образованием опухоли. Потеря гамартина или туберина в разных типах клеток приводит к росту опухолей во многих различных органах и тканях.
В редких случаях у людей с комплексом туберозного склероза не обнаруживается мутация в гене TSC1 или TSC2. Или же есть люди с мутациями и в TSC1 и в TSC2. Исследования показывают, что в этих случаях состояние может быть вызвано случайной мутацией в гене TSC1 или TSC2, которая возникает на очень ранней стадии развития. В результате одни клетки организма имеют нормальную версию гена, а другие – мутированную. Такая ситуация называется мозаицизмом.
Признаки и симптомы
Поражение ЦНС: типичными признаками является наличие туберов в больших полушариях головного мозга, субэпендимных узелков на стенках боковых желудочков и субэпендимных гигантоклеточных астроцитом (СЕГА) вблизи отверстия Монро.
Кожные проявления: Гипопигментные пятна являются одним из наиболее частых кожных проявлений туберозного склероза (Пятна типа “листьев ясеня»). Так же пациентов часто с раннего детства имеется седая прядь волос.
Кардиологические изменения: В младенчестве 50-60% пациентов с ТС имеют признаки сердечного заболевания, в основном проявляется виде наличия рабдомиомы.
Офтальмологические изменения: не менее 50% пациентов имеют глазные аномалии; в некоторых исследованиях сообщается, что распространенность достигает 80%; эти поражения являются астроцитомами сетчатки, которые со временем имеют тенденцию кальцинироваться.
Легочные изменения: исследования выявили кистозные изменения легочной ткани у 40% женщин с ТС.
Почечные изменения: В первую очередь почечная ткань обычно поражается кистами, так как комплекс мутаций при туберозном склерозе близок с комплексом мутаций при поликистозе. Так же в почках часто выявляют липомы и ангиомиолипомами. Также у пациентов может возникать почечно-клеточные карциномы.
Стоматологические изменения: фибромы в полости рта встречается у 70% взрослых.
Нарушения со стороны скелета: склеротические и гипертрофические поражения костной ткани могут случайно обнаруживаться при рентгенографии.
Диагностика туберозного склероза
ТС диагностируется с помощью генетического исследования и серии клинико-лабораторных тестов, которые включают:
- МРТ головного мозга
- Электрокардиограмма
- Эхокардиограмма
- УЗИ почек
- Проверка зрения
- ЭЭГ
- Осмотр пациента с помощью лампы Вуда ( излучающей ультрафиолетовый свет)
Судороги или задержка развития часто являются первым признаком ТС. С этим заболеванием связан широкий спектр симптомов, и для точного диагноза потребуется широкий спектр обследований.
Радиологические особенности
Методом выбора для обследования пинетов с туберозным склерозом является МРТ, при данном виде исследований для нас наиболее информативны две анатомические области – головной мозг и почки.
Головной мозг
Для детей раннего возраста, на еще незавершенных процессов миелинизации наиболее типичными изменили является линейные очаги на Т2ВИ выявляемые по ходу миграционных путей больших полушарий головного мозга. Эти изменения могут сочетаться с кортикальными и субкортикальными очагами ( туберами ), так и быть единственным проявлениям при МРТ исследовании. Наличие кортикальных и субкортикальных туберов типично для всех возрастных групп пациентов. В их проекции могут формироваться кисты, так же они могут быть частично или полностью кальцинированы. Их размеры и количество варьируется индивидуально для каждого больного.
Наиболее типичная локализация большие полушария головного мозга, однако у 15% пациентов туберы могут располагаться в мозжечке. Туберы представляют собой глионейрональные гамартомы и состоят из дезорганизованной клеточной ткани белого вещества.
На стенках боковых желудочков выявляются субэпендимные узлы, которые часто накапливают кальций. Если эти узлы располагаются вблизи отверстия Монро , то эти узлы принято считать астроцитомати. Субэпендимальная гигантоклеточная астроцитома (СЕГА) распологаются вблизи отверстия Монро ( обращаю ваше внимание что данный термин используется для образований размерами свыше 5 мм). Для правильной оценки размеров астроцитом необходимо использовать контрастное усиление. Оценка размеров СЕГА очень важна для оценки динамики течения заболевания, поэтому в протоколе исследования необходимо указывать не только три максимальных поперечных размера образования но и считать объем опухоли. Расчет объема производится по формуле определения объема эллипсоида (задается следующей формулой: 4/3pi*abc). Оценка размеров производится только на контрастных последовательностях.
Мочевыделительная система (Почки)
МР оценка почечной ткани так же очень важна для диагностики и оценке течения заболевания. При УЗИ и МРТ в почках выявляются разнокалиберные кисты, липомы и ангиомиолипомы. Данные литературных источников ставят основной акцент на выявлении кист в почках, из-за близости мутаций при туберозном склерозе и поликистозе почек. Однако это не совсем так, основной акцент стоит уделять выявлению ангиомиолипом (АМЛ). Разделяют два их основных типа это АМЛ с низким содержанием жира и эпителиоидный АМЛ. Так как для пациентов с туберозным склерозом так же могут формироваться злокачественные образования (карциномы). Карциномы развиваются сами по себе, но они очень похожи на АМЛ с низким содержанием белка, поэтому эти АМЛ необходимо описывать их отдельно, чтобы не пропустить образование. Классические ангиомилипомы выглядят гиперинтенсивными на T1- и T2-взвешенных изображениях и гипоинтенсивными на T1-взвешенных изображениях.
Cердечно-сосудистая система
ЭХОКГ – У части пациентов с ТС отмечается наличие рабдомиом. Рабдомиома — это разновидность доброкачественной опухоли миокарда, которая считается самой распространенной опухолью сердца. Развивается наиболее часто у детей в возрасте младше 15 лет. Рабдомиома может локализоваться в любом отделе сердца, исключая клапанный аппарат, наиболее часто — в желудочках, зачастую имеет внутриполостной характер роста.
Что такое туберозный склероз: симптомы, диагностика и лечение
Туберозный склероз — редкое (1 случай на 30 000 человек) генетическое заболевание, вызывающее образование опухолей в органах по всему телу. Поражаются чаще всего внутренние органы (почки, сердце, легкие), но на начальной стадии заболевание может проявлять себя внешне: на коже лица появляются множественные новообразования.
Впервые «туберсы» (от лат. tuber — нарост) — новообразования в головном мозге — описывает невролог Бурневилль, поэтому в некоторых источниках данную болезнь можно встретить под его именем.
Лечение и прогноз туберозного склероза — задача не из легких: здесь нужен целый ряд грамотных специалистов и проведение множества обследований. При этом прогноз будет зависеть от здоровья пациента в целом, как быстро ему поставили правильный диагноз и как скоро начали лечение. В лучшем случае пациенты с ТС могут прожить довольно долгую жизнь.

Причины туберозного склероза
Болезнь Бурневилля имеет генетическую природу и обусловлена мутациями в генах TSC1 и TSC2, в связи с чем у больных наблюдается неконтролируемый рост опухолевых тканей.
Выделяют 2 типа туберозного склероза в зависимости от локализации:
- Мутация гена 34 локуса девятой хромосомы. В этом случае происходит нарушение кодирования гематина — антионкогена, обеспечивающего профилактику опухолевой трансформации клеток;
- Мутация в 13 участке шестнадцатой хромосомы приводит к сбоям в работе туберина — белка, блокирующего неконтролируемый рост клеток.
Мнение эксперта
Автор: Андрей Игоревич Волков
Врач-невролог, кандидат медицинских наук
Туберозный склероз — очень редкое заболевание, генетическое, характеризуется развитием доброкачественных опухолей в различных органах. ТС диагностируется в период полового созревания. Примерная частота — 1 на 6000. Если один из родителей имеет такое заболевание, то шанс того, что оно обнаружится у ребенка, составляет 50%. В то же время есть статистика, показывающая что 2/3 случаев — это новые мутации.
Клинические проявления заболевания очень разнообразны и зависят от локализации опухолей. Поражения ЦНС перекрывают поток нервных импульсов, приводят к задержке когнитивного развития, провоцируют судороги, спазмы. Туберомы могут разрастаться и перекрывать поток спинномозговой жидкости, что становится причиной односторонней гидроцефалии. Ангиолипомы (опухоли почек) и поликистоз почек провоцируют развитие артериальной гипертензии. Очень часто встречаются поражения кожи.
Для диагностики используются большие и малые признаки. Чтобы поставить диагноз туберозный склероз, достаточно двух больших признаков или одного большого признака в сочетании с двумя (и более) малыми. Обязательно нужны анализы крови и мочи, УЗД почек, ЭКГ, ЭЭГ, КТ, МРТ, генетические исследования.
Формы заболевания
ТС имеет два основные формы:
- Семейная — обнаруживается в семьях, где был больной родственник. У ребенка, чей родитель болен ТС, шанс заболевания — до 50%.
- Спорадическая — не носит наследственный характер, возникает спонтанно.
Симптомы туберозного склероза
Болезнь Бурневилля имеет довольно вариабельную клиническую картину, но в целом все признаки протекания болезни можно разделить на первичные и вторичные.
- ангиофибромы (новообразования с волокнистым и сосудистым типом ткани) лица или фиброзные бляшки (плотные округлые белые образования) на лбу;
- новообразования возле ногтей;
- нарушение пигментации кожи: появление трех и более гипопигментных пятен;
- выраженная сухость кожных покровов, так называемая шагреневая кожа;
- множественные новообразования на сетчатке (гемартомы);
- туберсы на головном мозге на границе белого и серого вещества;
- опухоль ЦНС;
- гиганто-клеточная астроцитома;
- рабдомиома (узел) сердца;
- кистозная деструкция легочной ткани;
- множественные новообразования на почках.
- многочисленные углубления в эмали зубов;
- полипы в кишечнике;
- разрушение костной ткани (костные кисты);
- фибромы полости рта;
- доброкачественные опухоли (гамартомы) внутренних органов;
- изменение цвета сетчатки глаза;
- нарушение пигментации кожных покровов;
- кисты в почках.
Для точного диагностирования туберозного склероза специалисту нужно подтверждение, как минимум двух первичных признаков или одного первичного признака и двух вторичных признаков.
У детей симптоматика следующая:
- головокружение и замедленная речь;
- временное ухудшение зрения, боль в глазах;
- понижение мышечного тонуса;
- дрожь конечностей (при поражении мозжечка);
- недержание мочи (при сложном протекании болезни);
- тошнота и рвота.
Поражение ЦНС
Поражение центральной нервной системы может проявляться по-разному. У пациента могут наблюдаться:
- приступы судорог (встречаются уже на первом году жизни ребенка, больного туберозным склерозом);
- изменение поведенческих реакций (аутизм, синдром гиперподвижности и дефицита внимания, агрессия и аутоагрессия);
- нарушение интеллекта (умственная отсталость) — отмечается в 50% случаев (варьируется от умеренной до глубокой);
- нарушение сна (бессонницы, снохождение, раннее пробуждение и пр.).
При поражении ЦНС на мозге появляются:
- Корковые туберсы (единичные и множественные) — выступы над бороздами головного мозга. Наблюдаются у больных в 50% случаев;
- Субэпендимарные узлы локализуются в желудочках головного мозга. В 10-15% случаев могут перерасти в гигантоклеточные астроцитомы. В этом случае у пациентов наблюдаются сильная головная боль, тошнота и рвота.
Дерматологические симптомы
Данное заболевание довольно активно проявляет себя внешне. Так, у больного могут обнаруживаться следующие симптомы:
- гипопигментные пятна — белые пятна на теле и ягодицах. Часто обнаруживаются с рождения, с возрастом их число растет;
- ангиофибромы лица — розоватые узлы на щеках, носу и подбородке;
- «шагреневая кожа» — желтоватая кожа с характерной поверхностью (похожа на цедру апельсина), локализуется обычно в пояснично-крестцовом отделе;
- околоногтевые фибромы — красноватые узлы вокруг ногтя, обычно на ногах.
- фиброзные бляшки — новообразования цвета кожи, немного шероховатые на ощупь; локализуются обычно на лбу;
- белые пряди волос, ресниц и бровей (часто данный симптом списывается родителями на детский возраст, и ему не придается большого значения. Но если белые волосы сочетаются с другими симптомами ТС, стоит посетить врача).
Офтальмологические симптомы
У 50% пациентов наблюдаются офтальмологические симптомы, сложность заключается лишь в том, что их трудно обнаружить на ранних этапах. Проявляется заболевание на этом уровне в появлении доброкачественной опухоли (гамартома, нередко — множественных) сетчатки и зрительного нерва. Обычно опухоль локализуется рядом с оптическим диском.
Проявляет себя гамартома падением зрения, депигментацией радужки, отеком диска зрительного нерва, косоглазием, катарактой и пр.
Поражение внутренних органов
Новообразования внутренних органов при ТС часто бывают множественными и поражают парные органы. Какое-то время течение болезни может быть бессимптомным. Чаще других при ТС поражаются следующие органы:
- сердце (рабдомиома) — при внутриутробном развитии рабдомиомы — вероятна гибель плода. У маленьких детей о наличии рабдомиомы могут свидетельствовать тахикардия, аритмия, фибрилляция желудочков. У детей постарше симптомов вообще может не быть, а к 5-6-летнему возрасту рабдомиома может исчезнуть совсем);
- легкие (кисты) поражаются уже в сознательном возрасте, обычно подростковом, приводит к дыхательной недостаточности;
- почки (поликистоз) — симптом характерен для половины больных и выступает вторым, приводящим к смерти (после поражения ЦНС). Данная проблема обнаруживается обычно у больных после 30 лет;
- печень (гамартома — доброкачественная опухоль, которая сопровождается одышкой, рвотой, дыхательной дисфункцией);
- кишечник (полипы — доброкачественные новообразования на ножке, свисающие со стенок органа. Возможны приступы схваткообразных болей и кровотечение).
Два последних нарушения приводят также к образованию дефектов зубов (углубления на эмали).
Диагностика туберозного склероза
ТС довольно трудно диагностировать. Как уже говорилось выше, иногда заболевание может протекать бессимптомно. Так как болезнь проявляет себя в разных органах (от глаз до кишечника), необходимы будут совместные усилия нескольких специалистов и проведение обширного обследования. Для начала специалистами проводится опрос пациента, который обычно содержит следующие вопросы:
- Какие симптомы?
- Как давно они появились?
- С какой частотой повторяются?
- Были ли в семье случаи данного заболевания?
Невролог осматривает пациента с целью найти какие-либо неврологические патологии (приступы эпилепсии, расстройства интеллекта и пр.).
Дерматологический осмотр нацелен на нахождение бугорков на коже или признаков ее обесцвечивания.
Офтальмолог осматривает глазное дно, сетчатку, зрительный нерв.
Также проводятся следующие обследования:
- Анализ крови на наличие повышенного уровня креатина, мочевины (наблюдается при поражении почек);
- Анализ мочи на наличие крови в ней (также симптом нарушения работы почек);
- Эхокардиография призвана показать бугорки на сердце;
- ЭЭГ с пробами поможет зарегистрировать церебральную эпилептическую активность.
- Чтобы оценить силу поражения ЦНС необходимо провести КТ и МРТ головного мозга. В случае туберозного склероза здесь будут видны бугорки на поверхности головного мозга, а также увеличение количества ликвора.
- При подозрении на локализацию ТС в конкретном органе проводится УЗИ, КТ и МРТ этого органа или совокупности (например, УЗИ брюшной полости), при подозрении поражения кишечника проводится ректороманоскопия и колоноскопия. Диагностика офтальмологических поражений происходит путем проведения офтальмоскопии (осмотр глазного дна с целью оценки состояния сетчатки).
- Генетическое обследование на наличие изменений в генах TSC1 и TSC2.
Лечение туберозного склероза
Полностью вылечиться от ТС на данный момент невозможно, так как заболевание является генетическим. Курс терапии призван прервать признаки болезни и улучшить общее состояние пациента.
Антиконвульсантная терапия является основной в лечении ТС, так как данное заболевание сопровождается частыми припадками эпилепсии, а степень олигофрении напрямую связана с частотой эпиприступов.
Врачами обычно назначаются препараты следующего рода:
- Гипотензивные — призваны понизить давление;
- Сердечно-сосудистые — в случае нарушения работы сердца;
- Кортикостероиды, противосудорожные средства и антидепрессанты — для ликвидации приступов эпилепсии и пр.
Пациентам с ТС также важно правильно питаться: необходимо увеличить потребление жиров и уменьшить — белков и углеводов.
В случае тяжелого протекания болезни пациентам назначается операция (в зависимости от места локализации опухоли): удаляют опухоли в головном мозге, почках, органах ЖКТ и пр. Если опухоли множественные, нередко удаляется орган целиком. Бугорки на коже удаляют лазером или методом криодеструкции.
Для детей также необходима консультация психотерапевта для предупреждения олигофрении. Лечение в детском возрасте призвано устранить нервные судороги. При локализации опухолей в сердце или почках лечат сердечную и почечную недостаточность. Внутричерепные опухоли подлежат удалению, так как они провоцируют рост внутричерепного давления. Вовремя поставленный диагноз и грамотное лечение дает шансы ребенку прожить довольно долгую жизнь.
Осложнения
ТС — заболевание довольно опасное: диагностировать его трудно, вылечить практически невозможно, так еще и встречается ряд осложнений, а именно:
- Гемианопсия — поражение зрительной системы. Человек с таким диагнозом видит мир будто наполовину;
- Водянка головного мозга (гидроцефалия) опасна сильными головными болями, снижением слуха и зрения;
- Почечная недостаточность ведет к задержке шлаков в организме, нарушению кислотно-щелочного баланса, сбоям в работе сердца;
- Стойкая эпилепсия — это невозможность для пациента прийти в сознание даже на время между приступами. Эпилептический статус (затянувшийся приступ) может привести к летальному исходу.
ТС опасен целым рядом осложнений, каждое из которых, в свою очередь, требует отдельного лечения, именно поэтому так важно вовремя поставить правильный диагноз и приступить к лечению ТС.
Прогноз заболевания
Полностью данное заболевание устранить невозможно, но вот облегчить симптомы — вполне. Поэтому так важно диагностировать ТС на ранних этапах: возможно для борьбы с признаками еще будет достаточно традиционной терапии без хирургического вмешательства.
Поэтому при обнаружении ряда вышеописанных симптомов (особенно у детей) сразу необходимо проконсультироваться с врачом, сдать необходимые анализы и пройти обследование. Так как ТС — нарушение генетическое, то людям, в чьих семьях оно встречалось, на стадии планирования беременности рекомендуется консультация медицинского генетика.
Туберозный склероз симптомы и диагностика у детей
Туберозный склероз, или болезнь Бурневиля – генетическое заболевание, которое характеризуется специфическим комплексом изменений нервной системы и кожи, а также наличием доброкачественных опухолей (гамартом) в различных органах (головной мозг, легкие, почки). Болезнь обусловлена нарушениями генов, кодирующих белки гамартин и туберин, и, окончательный диагноз ставится на основании генетических анализов, но вместе с тем типичная МРТ-картина позволяет поставить верный диагноз в большинстве случаев.

Клинически заболевание манифестирует судорожными припадками (эпилепсией) в детском возрасте. Туберозный склероз помогают заподозрить внешние изменения на коже: ангиофибромы лица, «шагреневая» кожа, мягкие кожные фибромы и т.д.
При подозрении на эту болезнь обязательно следует проводить МРТ головного мозга. При этом в головном мозге выявляются характерные МРТ-признаки туберозного склероза: корковые и подкорковые узлы (туберсы), субэпендимальные узелки (гамартомы), а также различные изменения белого вещества – очаговые и кистозные.

К сожалению, многие врачи недостаточно знакомы с симптомами, поэтому болезнь нередко просматривается на МРТ, и пациентам ставится другой, неверный диагноз. Дополнительная опасность заключается в том, что субэпендимальные узелки способны перерождаться в опухоль – т.н. субэпендимальную гигантоклеточную астроцитому.
Поэтому необходимо не просто повторять МРТ на качественном аппарате, но и показать снимки квалифицированным рентгенологам, которые досконально знают диагностику болезней мозга и могут детально разобраться в проблеме.
Оказать дистанционную консультацию по МРТ и выполнить удаленную расшифровку МРТ могут врачи всероссийской службы Национальной телерадиологической сети.
Узнайте подробнее, как получить Второе мнение по КТ и МРТ головного мозга.

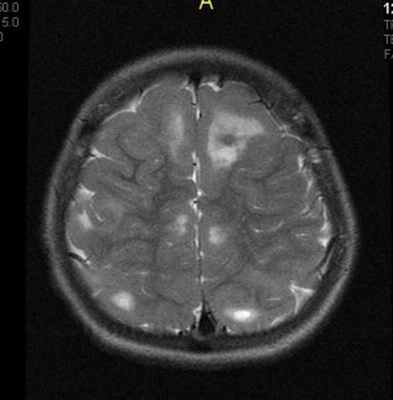
МРТ головного мозга при туберозном склерозе. Участки изменения МР-сигнала неправильной формы в коре и подкорковом белом веществе — так называемые корковые туберсы.

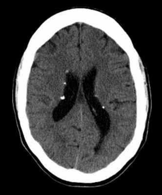
КТ головного мозга при туберозном склерозе. Видны кальцинированные субэпендимальные узелки в стенках боковых желудочков.
Комплекс туберозного склероза (КТС)
Комплекс туберозного склероза является наследственным генетическим заболеванием по доминантному типу, при котором во многих органах развиваются опухоли (обычно гамартомы). Диагностика требует выявления специфических клинических критериев и визуализации пораженного органа. Лечение симптоматическое или, если опухоли центральной нервной системы растут, назначается медикаментозное лечение сиролимусом или эверолимусом. Пациенты должны быть регулярно обследованы для проверки на наличие осложнений.
Туберозный склерозный комплекс (ТСК) - это нейрокутанный синдром, который возникает у 1 из 6000 детей; 85% случаев развиваются из-за мутации гена TSC1 (9q34), который контролирует выработку гамартина, или гена TSC2 (16p13.3), который контролирует выработку туберина. Эти белки действуют как супрессоры роста. Если один из родителей имеет заболевание, дети имеют 50%-ный риск его возникновения. Тем не менее новые мутации являются причиной 2/3 случаев.
Пациенты с туберозным склерозом (ТС) имеют опухоли или аномалии, которые проявляются в разном возрасте и в разных органах, в том числе в
"Туберомы" в центральной нервной системе (ЦНС) прерывают поток нервных импульсов, что ведет к задержке развития и когнитивным нарушениям и может привести к судорожным приступам, в том числе инфантильных спазмов Инфантильные спазмы Инфантильные спазмы – это судороги, характеризующиеся внезапным сгибанием туловища вперед, сгибанием рук, вытягиванием или сгибанием ног; данный вид приступов, как правило, сочетается с гипсаритмией. Прочитайте дополнительные сведения . Иногда "туберомы" разрастаются и перекрывают поток цереброспинальной жидкости из боковых желудочков, приводя к односторонней гидроцефалии гидроцефалия Гидроцефалия развивается из-за накопления избыточного количества спинномозговой жидкости, вызывая расширение желудочков головного мозга и/или повышение внутричерепного давления. Первые проявления. Прочитайте дополнительные сведения , особенно в субэпендимальные гигантоклеточные астроцитомы Астроцитомы Астроцитомы - это опухоли центральной нервной системы у детей, которые развиваются из астроцитов. Диагноз ставят на основании результатов МРТ. Лечение представляет собой сочетание хирургической. Прочитайте дополнительные сведения (SEGAs).
Кардиальные рабдомиомы могут развиваться внутриутробно, что может привести к сердечной недостаточности у новорожденных. Эти рабдомиомы, как правило, исчезают со временем и не вызывают симптомов позже в детстве или в зрелом возрасте.
Опухоли почек (ангиолипомы) могут развиваться у взрослых, а поликистоз почек Аутосомно-доминантная поликистозная болезнь почек (АДПБП) Поликистозная болезнь почек (ПБП) – это наследственное заболевание с формированием почечных кист, вызывающее постепенное увеличение обеих почек, иногда прогрессирующее до почечной недостаточности. Прочитайте дополнительные сведения Поражения легких, такие как лимфангиолейомиоматоз Лимфангиолейомиоматоз Лимфангиолейомиоматоз (ЛАМ) является вялым, прогрессирующим ростом гладкомышечных клеток повсеместно в легких, легочных сосудах, лимфатических сосудах и плевре Заболевание редкое, встречается. Прочитайте дополнительные сведенияСимптомы и признаки ТСК
Проявления существенно различаются по степени тяжести. Как правило, присутствуют повреждения кожи.
Бесцветные пятна на сетчатке, а также гамартомы сетчатки встречаются часто и могут быть видны при офтальмоскопии.
Часто отмечается питтинг эмали постоянных зубов.
Кожные симптомы включают:
первоначально бледные гипопигментные макулы, которые развиваются в младенчестве или раннем детстве;
Ангиофибромы лица (ангиосебофиброматоз), которые развиваются в позднем детстве
врожденные шагреневые пятна (повышенные поражения, соответствующие апельсиновой корке), как правило, на спине;
Пятна цвета кофе с молоком
Подногтевые фибромы, которые могут развиться в любое время в детстве или раннем взрослом возрасте
Пятна в виде листа ясеня представляют собой депигментированные пятна, присутствующие у > 90% пациентов с туберозным склерозом. Области имеют длину от 1 до 3 см и могут быть лучше видны в ультрафиолетовом свете (лампа Вуда).
С разрешения издателя. From Puduvalli V: Atlas of Cancer . Edited by M Markman and R Gilbert. Philadelphia, Current Medicine, 2002.
На этом фото изображены ангиофибромы (аденомы сальных желез) на лице пациента с туберозным склерозом.
Изображение предоставлено Карен Мак-Коу (Karen McKoy), доктором медицины
Пятна цвета кофе с молоком ─ это гиперпигментированные макулы (коричневатого или корфейного цвета).
DR P. MARAZZI/SCIENCE PHOTO LIBRARY
Опухоль Коенена представляет собой околоногтевые и подногтевые фибромы (папулы от красноватого до телесного цвета, появляющиеся со стороны ногтевого валика) у пациентов с комплексом туберозного склероза.
Читайте также:
