Варианты доброкачественных опухолей яичников
Добавил пользователь Евгений Кузнецов Обновлено: 10.01.2026
Морфологическая классификация опухолей яичников
Смертность от злокачественных опухолей яичников самая высокая среди всех онкологических заболеваний женских половых органов. В США ежегодно диагностируют примерно 22 220 новых случаев этих опухолей, а умирает 16 210 женщин.
Рак яичников (РЯ) в США составляет 6 % всех злокачественных новообразований у женщин, появляется у 1 из 68 женщин, смерть от этого заболевания наступает каждые 44 мин. За последние 70 лет не удалось существенно расширить знания об этиологии рака яичников (РЯ) и достичь существенного снижения смертности.
Морфологическая классификация опухолей яичников
I. Опухоли, происходящие из целомического эпителия:
- Серозная
- Муцинозная
- Эндометриоидная
- Мезонефрома (светлоклеточная)
- Опухоль Бреннера
- Недифференцированный рак
- Карциносаркома и смешанная мезодермальная опухоль
II. Герминогенные опухоли
а) Тератома.
- Зрелая тератома:
Солидная тератома
Кистозная тератома (дермоидная киста)
Струма яичника
Кистозная тератома со злокачественным перерождением
- Незрелая тератома (частично дифференцированная тератома)
б) Дисгерминома
в) Эмбриональный рак
г) Опухоль желточного мешка
д) Хориокарцинома
е) Гонадобластома
III. Опухоли стромы полового тяжа:
а) Гранулезотекаклеточные опухоли:
Гранулезоклеточная опухоль
Текома
б) Опухоли из клеток Сертоли-Лейдига:
Арренобластома
Опухоль из клеток Сертоли
в) Гинандробластома
г) Липидноклеточные опухоли
IV. Опухоли, происходящие из неспецифической мезенхимы:
- Фиброма, гемангиома, лейомиома, липома
- Лимфома
- Саркома
V. Метастазы в яичниках:
- Рак ЖКТ (метастаз Крукенберга)
- Рак молочной железы
- Рак эндометрия
- Лимфома
Гистологическое строение и биологические характеристики опухолей яичников весьма разнообразны. Самая популярная и удобная схема классификации основана на гистогенезе нормального яичника.

Его раннее развитие проходит четыре стадии:
I — отделение и миграция недифференцированных первичных зародышевых (примордиальных) клеток со скоплением в области половых тяжей, представляющих собой двустороннее утолщение целомического эпителия;
II — пролиферация целомического эпителия и подлежащей мезенхимы;
III — разделение на периферическое корковое и центральное мозговое вещество;
IV — развитие коры и инволюция мозгового вещества.
Гистогенетическая классификация опухолей яичников основана на их происхождении из целомического эпителия, зародышевых клеток и мезенхимы. Большая часть (85—90 %) злокачественных новообразований яичников, диагностируемых в США, эпителиального происхождения.

Преобладающие гистологические типы следующие:
- Серозная цистаденокарцинома 42 %
- Муцинозная цистаденокарцинома 12 %
- Эндометриоидный рак 15 %
- Недифференцированный рак 17 %
- Светлоклеточный рак 6 %
Прогностическая ценность одного морфологического варианта рака яичников (РЯ) без учета клинической стадии, объема остаточной опухоли после операции и степени дифференцировки весьма ограничена. Степень гистологической дифференцировки — важный независимый прогностический фактор у больных с эпителиальными новообразованиями яичников.
Поскольку выживаемость при степени дифференцировки G2 и G3 одинаковая, в упрощенном варианте опухоли можно разделить на низко- (G1) и высокозлокачественные (G2, G3), или высокодифференцированные и низкодифференцированные.

Серозная цистаденокарцинома яичника.
Кумулятивная выживаемость в зависимости от степени дифференцировки опухоли.
Редактор: Искандер Милевски. Дата обновления публикации: 18.3.2021
Информация на сайте подлежит консультации лечащим врачом и не заменяет очной консультации с ним.
См. подробнее в пользовательском соглашении.
Доброкачественные опухоли яичников
Доброкачественные опухоли яичников – группа патологических дополнительных образований овариальной ткани, возникающих в результате нарушения процессов клеточной пролиферации и дифференцировки. Развитие доброкачественной опухоли яичника может сопровождаться болями в животе, нарушением менструальной и репродуктивной функций, дизурией, расстройством дефекации, увеличением размеров живота. Диагностика доброкачественных опухолей яичников основывается на данных влагалищного исследования, УЗИ, определении опухолевых маркеров, МРТ, лапароскопии и др. исследований. Лечение опухолей яичников оперативное в целях восстановления специфических женских функций и исключения малигнизации.

Общие сведения
Доброкачественные опухоли яичников являются острой проблемой гинекологии, поскольку довольно часто развиваются у женщин детородного возраста, вызывая снижение репродуктивного потенциала. Среди всех образований яичников доброкачественные опухоли составляют около 80%, однако многие из них склонны к малигнизации. Своевременное выявление и удаление овариальных опухолей крайне актуально в плане профилактики рака яичников.
Причины развития доброкачественных опухолей яичников
Вопрос о причинности доброкачественных опухолей яичников остается дискуссионным. Различные теории рассматривают в качестве этиологических моментов гормональную, вирусную, генетическую природу овариальных опухолей. Считается, что развитию доброкачественных опухолей яичников предшествует состояние гиперэстрогении, вызывающее диффузную, а затем и очаговую гиперплазию и пролиферацию клеток. В развитии герминогенных образований и опухолей полового тяжа играют роль эмбриональные нарушения.
К группам риска по развитию доброкачественных опухолей яичников относятся женщины с высоким инфекционным индексом и преморбидным фоном; поздним менархе и нарушением становления менструальной функции; ранним климаксом; частыми воспаления яичников и придатков матки (оофоритами, аднекситами), первичным бесплодием, миомой матки, первичной аменореей, абортами. Доброкачественные опухоли яичников нередко бывают ассоциированы с наследственными эндокринопатиями – сахарным диабетом, заболеваниями щитовидной железы, носительством ВПЧ и вируса герпеса II типа.
Классификация
Согласно клинико-морфологической классификации доброкачественных опухолей яичников выделяют:
- эпителиальные опухоли (поверхностные эпителиальностромальные). Доброкачественные опухоли яичников эпителиального типа представлены серозными, муцинозными, эндометриоидными, светлоклеточными (мезонефроидными), смешанными эпителиальными опухолями и опухолями Бреннера. Наиболее часто среди них оперативная гинекология сталкивается с цистаденомой и аденомой.
- опухоли полового тяжа и стромальные. Основным видом стромальных опухолей является фиброма яичника.
- герминогенные опухоли. К числу герминогенных опухолей относятся тератомы, дермоидные кисты и др.
По признаку гормональной активности дифференцируют гормонально неактивные и гормонпродуцирующие доброкачественные опухоли яичников. Последние из них могут быть феминизирующими и верилизирующими.
Симптомы доброкачественных опухолей яичников
К ранним и относительно постоянным симптомам доброкачественных опухолей яичников относятся тянущие, преимущественно односторонней боли с локализацией внизу живота, не связанные с менструацией. Могут наблюдаться поллакиурия и метеоризм в результате давления опухоли на мочевой пузырь и кишечник. На этом фоне пациентки нередко отмечают увеличение размеров живота.
По мере своего роста доброкачественные опухоли яичников обычно образуют ножку, в состав которой входят связки артерии, лимфатические сосуды, нервы. В связи с этим нередко клиника манифестирует с симптомов острого живота, обусловленного перекрутом ножки опухоли, сдавлением сосудов, ишемией и некрозом. У четверти пациенток с доброкачественными опухолями яичников наблюдается нарушение менструального цикла, бесплодие. При фибромах яичников могут развиваться анемия, асцит и гидроторакс, которые регрессируют после удаления опухолей.
Феминизирующие опухоли способствуют преждевременному половому созреванию девочек, гиперплазии эндометрия, дисфункциональным маточным кровотечениям в репродуктивном возрасте, кровянистым выделениям в постменопаузе. Вирилизирующие доброкачественные опухоли яичников сопровождаются признаками маскулинизации: аменореей, гипотрофией молочных желез, бесплодием, огрубением голоса, гирсутизмом, гипертрофией клитора, облысением.
Диагностика
Доброкачественные опухоли яичников распознаются с учетом данных анамнеза и инструментальных обследований. При гинекологическом исследовании определяется наличие опухоли, ее локализация, величина, консистенция, подвижность, чувствительность, характер поверхности, взаимоотношения с органами малого таза. Проведение ректовагинального исследования позволяет исключить прорастание опухоли в смежные органы.
Трансабдоминальное УЗИ и трансвагинальная эхография в 96% случаев позволяют дифференцировать доброкачественные опухоли яичников от миомы матки, воспалительных процессов в придатках. В нетипичных случаях показано проведение компьютерной и/или магнитно-резонансной томографии.
При обнаружении любых опухолевых процессов в яичниках производится определение опухолевых маркеров (СА-19-9, СА-125 и др.). При нарушениях менструального цикла или постменопаузальных кровотечениях прибегают к проведению раздельного диагностического выскабливания и гистероскопии. Для исключения метастатических опухолей в яичники по показаниям выполняются гастроскопия, цистоскопия, экскреторная урография, ирригоскопия, колоноскопия, ректороманоскопия.
Диагностическая лапароскопия при доброкачественных опухолях яичников обладает 100%-ной диагностической точностью и нередко перерастает в лечебную. Истинные доброкачественные опухоли яичников дифференцируют с ретенционными кистами яичников (последние обычно исчезают в течение 1-3-х менструальных циклов самостоятельно или после назначения КОК).
Лечение доброкачественных опухолей яичников
Обнаружение доброкачественной опухоли яичника является однозначным показанием к ее удалению. Хирургическая тактика в отношении доброкачественных опухолей яичников определяется возрастом, репродуктивным статусом женщины и гистотипом образования. Обычно вмешательство заключается в удалении пораженного яичника (оофорэктомии) или аднексэктомии. У пациенток репродуктивного возраста допустимо выполнение клиновидной резекции яичника с экстренной гистологической диагностикой и ревизией другого яичника.
В перименопаузе, а также при двусторонней локализации доброкачественных опухолей яичников или подозрении на их малигнизацию удаление придатков производится вместе с удалением матки (пангистерэктомия). Доступом выбора при доброкачественных опухолях яичников в настоящее время является лапароскопический, позволяющий уменьшить операционную травму, риск развития спаечного процесса и тромбоэмболии, ускорить реабилитацию и улучшить репродуктивный прогноз.
Профилактика
Доказано, что длительный прием монофазных КОК обладает профилактическим действием в отношении доброкачественных опухолей яичников. Для исключения нежелательных гормональных изменений, важно, чтобы подбор контрацепции осуществлялся только специалистом-гинекологом. Кроме того, отмечено, что у пациенток с реализованной генеративной функцией, доброкачественные опухоли яичников развиваются реже. Поэтому женщинам настоятельно не рекомендуется прерывание беременности, в особенности первой.
Также известно, что женщины, перенесшие гистерэктомию или перевязку маточных труб, имеют меньшие риски развития опухолей яичников, хотя данный протективный механизм остается невыясненным. Определенное значение в профилактике доброкачественных опухолей яичников отводится достаточному употреблению растительной клетчатки, селена и витамина А. В качестве мер скрининга доброкачественных опухолей яичников выделяют регулярные гинекологические осмотры и УЗИ малого таза.
Пограничные опухоли яичников ( Атипические пролиферирующие опухоли яичников )
Пограничные опухоли яичников – это неоплазии женских гонад с низким злокачественным потенциалом, занимающие промежуточное положение между злокачественными и доброкачественными новообразованиями. Не имеют патогномоничной симптоматики, чаще всего больные жалуются на тазовые боли, снижение аппетита, тошноту и вздутие живота. Диагностика включает гинекологическое исследование, УЗИ и определение уровня титров опухолевых маркёров, окончательный диагноз устанавливается после оперативного вмешательства. Лечение хирургическое. В зависимости от возраста пациентки и стадии процесса выполняется удаление новообразования или поражённого яичника, двусторонняя аднексэктомия, гистеровариоэктомия.
МКБ-10
Пограничные опухоли яичников (атипические пролиферирующие опухоли) – эпителиальные новообразования, характеризующиеся присущими раку выраженной пролиферацией, клеточной и ядерной атипией, но не имеющие признаков деструктивной инвазии стромы и солидного роста. Этим опухолевым образованиям свойственно рецидивирование, экстраовариальное распространение, чаще всего поражающее брюшину, редко (в 7-29% случаев) – лимфатические узлы, крайне редко – отдалённые органы. «Метастазы» пограничных опухолей называют имплантами. Импланты могут быть инвазивными (с признаками малигнизации) и неинвазивными. Среди пограничных неоплазий наиболее распространены серозные (50-55%) и муцинозные (40-45%) новообразования. Пограничные опухоли составляют 10-15% в структуре всех овариальных неоплазий и чаще всего встречаются у женщин 30-50 лет.
Причины
Этиология пограничных опухолей яичников неизвестна. Предполагается, что основными причинами развития заболевания являются увеличение количества овуляторных циклов за жизненный период, нарушение секреции гонадотропных гормонов гипофизом и половых – яичниками, расстройства иммунной регуляции. В отличие от причин, факторы риска патологии достаточно изучены, включают:
- Особенности репродуктивного анамнеза. Вероятность возникновения овариальных пограничных неоплазий значительно повышает бесплодие – это состояние имеется у 30-35% женщин на момент установления диагноза неоплазии. К другим факторам риска можно отнести нереализованную репродуктивную функцию, укорочение сроков лактации (менее полугода), раннее (до 11 лет) менархе, позднее (после 55 лет) наступление постменопаузы, ранний (до 19 лет) или поздний (после 35 лет) возраст первой беременности, аборты.
- Патологии половых органов. Риск атипической пролиферирующей эндометриоидной опухоли значительно повышает овариальный эндометриоз. Гинекологические операции по поводу миомы матки, внематочной беременности и гнойных воспалений придатков могут спровоцировать развитие новообразования ввиду нарушения трофики яичников.
- Эндокринные расстройства. К возникновению овариальных опухолей приводят патологии эндокринных желёз, нарушения метаболизма и нервной регуляции, приём лекарственных препаратов. Факторы риска: гиперандрогения любого генеза, аденома гипофиза, опухоли надпочечников, гипо- и гипертиреоз, тяжёлые повреждения паренхимы печени, заместительная эстрогенотерапия при климаксе, приём контрацептивов с высоким содержанием эстрогенов.
- Инфекции. Считается, что вероятность возникновения опухоли коррелирует с количеством перенесённых аднекситов, хроническим воспалением, особенно вызванных специфическими (передающимися половым путём) инфекционными агентами. Важная роль отводится внутриклеточным микроорганизмам – патогенным типам микоплазмы и уреаплазмы.
К предрасполагающим условиям относятся заболевания и состояния, ослабляющие иммунную реакцию (сахарный диабет, тяжёлые инфекции, отравления), ожирение (в том числе имевшее место в детстве и юношестве), повышенное потребление жира (особенно в молодом возрасте). Возникновение опухолей потенцирует длительный психоэмоциональный стресс.
Патогенез
Патогенетические механизмы заболевания изучены слабо. Пограничные новообразования, как и другие опухоли, начинают развиваться вследствие нарушения регулирования клеточного цикла. Воздействие стимулирующих факторов (гонадотропинов, эстрогенов, провоспалительных цитокинов) запускает процесс пролиферации эпителия. Аномально длительный период стимуляции и нарушения процесса апоптоза обуславливают развитие гиперплазии. Повышается вероятность атипии быстро размножающихся клеток, исходом является возникновение опухоли. Почему в одних случаях формируются доброкачественные и пограничные опухоли, длительно не склонные к малигнизации, а в других – рак, до сих пор неизвестно.
Под вопросом остаётся и природа имплантов: одни клиницисты считают их метастазами пограничной неоплазии, другие – независимыми, развившимися из мультифокусных зачатков очагами опухоли. Большинство исследований свидетельствует об их молекулярно-генетическом сходстве с опухолью яичника, однако в ряде случаев выявляются существенные различия. Интересен тот факт, что при максимальной редукции овариальной опухоли перитонеальные импланты нередко подвергаются полному регрессированию.
С учетом гистологического типа выделяют следующие виды пограничных неоплазий: серозную (атипическую пролиферирующую серозную опухоль, неинвазивную высокодифференцированную серозную карциному), муцинозную, эндометриоидную, светлоклеточную, опухоль Бреннера, смешанную. Серозные опухоли чаще наблюдаются у женщин репродуктивного возраста, с частотой 35-45% поражают оба яичника, в 30% распространяются на брюшину, в четверти случаев обнаруживаются инвазивные импланты. При муцинозном типе поражения брюшины встречаемость имплантов составляет 10%. Для прочих гистотипов характерно локализованное одностороннее поражение.
Классификация атипических гиперплазий по степени распространённости и стадиям опухолевого процесса аналогична стадированию инвазивного рака, актуальная (пересмотр 2014 года) версия по FIGO выглядит следующим образом:
Стадия I (T1N0M0). Опухолевый процесс ограничен яичниками.
- Стадия IA (T1aN0M0). Первичный очаг находится в пределах одного яичника. Отсутствуют повреждение его капсулы, поверхностные разрастания, злокачественные клетки в смывах с брюшины.
- Стадия IB (T1bN0M0). В процесс вовлечены оба яичника (критерии поражения аналогичны стадии IA).
- Стадия IC (T1cN0M0). Характеризуется поражением одного или обоих яичников с повреждением их капсулы, наличием разрастаний на поверхности яичника или маточной трубы, опухолевых клеток в смывах из брюшной полости.
Стадия II (T2N0M0). Опухоль распространяется на органы малого таза.
- Стадия IIA (T2aN0M0). Метастазирование в матку, фаллопиеву трубу (трубы).
- Стадия IIB (T2bN0M0). Поражены другие тазовые структуры.
Стадия III (T3N0M0 или T1-3N1M0). Опухоль поражает брюшину за пределами малого таза или (и) регионарные лимфоузлы (необходимо морфологическое подтверждение).
- Стадия IIIA (T1-3N0-1M0). Характеризуется наличием микроскопических имплантов в забрюшинных лимфоузлах и по брюшине.
- Стадия IIIB (T3bN0M0 или T3bN1M0). Макрометастазы в ткани брюшины ≤2 см в наибольшем размере с наличием или отсутствием метастазов в лимфоузлах.
- Стадия IIIC (T3cN0M0 или T3cN1M0). Перитонеальные импланты >2 см с поражением (или без) лимфоузлов, а также капсулы печени, селезёнки без вовлечения паренхимы.
Стадия IV (T1-3N0-1M1). Имеются метастазы в отдалённых органах.
- Стадия IVA (T1-3N0-1M1a). Плевральный выпот с опухолевыми клетками.
- Стадия IVB (T1-3N0-1M1b). Импланты, поражающие отдалённые органы и периферические лимфоузлы.
Симптомы
Симптомы заболевания многообразны и вариабельны. Чаще всего регистрируется болевой синдром – тупые тянущие боли в нижней части живота и области пупка, иррадиирующие в бёдра, голени и поясницу. Общие симптомы включают слабость, недомогание, похудание, быструю утомляемость, потерю работоспособности, нарушение сна и повышение температуры. Со стороны желудочно-кишечного тракта наблюдается тошнота, неприятные ощущения во рту, чувство переполнения желудка при потреблении даже небольших объёмов пищи, отрыжка, рвота, запоры. Со стороны мочевыводящей системы при росте опухоли регистрируются частые позывы, затруднение мочеиспускания. До 37% пограничных новообразований яичников протекает без каких-либо субъективных ощущений.
Осложнения
Основное грозное и наиболее частое осложнение пограничных неоплазий (в основном, серозных) связано с десмоплазией – способностью эпителиальных клеток имплантов воспроизводить соединительную ткань. Результатом этого процесса становятся массивные очаги фиброза в брюшной полости, сдавливающие кишечник, что приводит к необратимым нарушениям его функции и кишечной непроходимости, нередко становящейся причиной гибели больной.
Другим опасным осложнением является малигнизация опухоли или имплантов. Возможны рецидивы со злокачественной трансформацией, характеризующиеся всеми свойствами аденокарциномы – агрессивным местным ростом, высокой вероятностью метастазирования в лимфатические узлы и отдалённые органы. Злокачественное превращение происходит достаточно редко, является причиной летального исхода, связанного с опухолью и её лечением, лишь в 0,7% случаев.
Диагностические исследования назначаются гинекологом или онкогинекологом. Гистологическая верификация диагноза проводится интраоперационно, в ходе лечебного хирургического вмешательства. Важная роль в диагностике принадлежит патоморфологу, поскольку установление гистологического различия между инвазивным раком и атипической гиперплазией нередко представляет затруднения, требует высокой квалификации и профессионального опыта. Дооперационные диагностические мероприятия включают:
- Ультрасонографию. Выполняется абдоминальное и трансвагинальное исследование. УЗИ органов малого таза и брюшной полости позволяет выявить скрытые (непальпируемые) опухоли яичника, диссеминаты брюшины, диафрагмы, печени и селезёнки, а также предположить пограничный риск злокачественности образования.
- Иммунохимический анализ. Повышение уровня онкомаркёров (CA 125, CA 19-9, НЕ-4, РЭА) косвенно свидетельствует о росте опухоли. Значительное увеличение титра CA 125, НЕ-4 характерно для серозных новообразований, повышение CA19-9 – для муцинозных.
Дополнительно может назначаться рентгенография органов грудной полости, КТ и МРТ таза, брюшной полости, колоноскопия, пункционная биопсия дугласова пространства (для исключения рака). Дифференциальная диагностика проводится с первичным и метастатическим овариальным раком, доброкачественными опухолями, ретенционными кистами яичников, опухолями матки (чаще с миомой, саркомой) и кишечника, гнойными воспалениями придатков.
Лечение пограничных опухолей яичников
Единственный метод лечения – хирургический. Поскольку неоплазии во многом схожи со злокачественными новообразованиями, операция должна выполняться онкогинекологом – это позволяет улучшить прогноз, снизить вероятность рецидива. Вмешательство осуществляется через лапаротомический или лапароскопический доступ. Химиотерапия не назначается ввиду неэффективности (возможно, по причине низкой пролиферативной активности таких новообразований), по данным некоторых клинических исследований, ухудшает исход заболевания.
Объём хирургической операции зависит от стадии неоплазии и возраста больной, молодым женщинам по возможности проводится лечение, позволяющее сохранить фертильность. Пациенткам репродуктивного возраста при любой стадии может выполняться резекция яичника (яичников) при условии наличия в нём (них) здоровой ткани. При одностороннем тотальном поражении органа производится односторонняя аднексэктомия, при двустороннем – удаление обоих придатков матки или гистеровариоэктомия. Женщинам, достигшим постменопаузы, при опухолях I-IIIA стадиях с поражением одного яичника проводится односторонняя тубовариоэктомия, при двустороннем поражении – двусторонняя (иногда с удалением матки), при большей распространённости процесса – экстирпация матки с придатками.
В случае поражения брюшины удаляются крупные визуализируемые узлы. Первичная операция обязательно включает хирургическое стадирование для уточнения распространённости процесса и гистологической характеристики имплантов. С этой целью всем больным осуществляется резекция контрлатерального яичника и большого сальника, биопсия брюшины. По результатам гистологического исследования образцов назначается динамическое исследование или повторная операция. При выявлении участков со снижением гистологической дифференцировки – очагов инвазивного роста – применяются протоколы лечения инвазивного рака, включающие химио- и лучевую терапию.
Прогноз и профилактика
Прогноз пограничных опухолей яичника благоприятный. У женщин с первой стадией заболевания пятилетняя выживаемость составляет 99%, десятилетняя – 97%, со второй – 98% и 90% соответственно, с третьей – 96% и 88%, с четвёртой – 77% и 69%. Рецидивы чаще всего возникают через два года после лечения, наблюдаются в 35-50% случаев, после гистеровариоэктомии встречаются вдвое или втрое реже, чем после органосохраняющих операций. Рецидивы без злокачественной трансформации не ухудшают прогноз. Наличие инвазивных имплантов снижает показатель десятилетней выживаемости на 25-30%.
В мероприятия первичной профилактики входит рациональная контрацепция, реализация репродуктивной функции, своевременное лечение гормональных расстройств и воспалительных заболеваний половых органов. Вторичная профилактика заключается в пожизненном наблюдении онкогинеколога с сонографическим и иммунохимическим контролем: в течение 5 лет после операции каждые 3-6 месяцев назначается УЗИ органов брюшной полости и малого таза, анализ опухолево-ассоциированных маркёров, далее эти исследования выполняются один раз ежегодно.
1. Современные подходы к лечению больных с пограничными опухолями яичников/ Новикова Е.Г., Шевчук А.С. // Онкогинекология – 2014 – №4.
2. Новая классификация опухолей яичника/ Франк Г.А., Москвина Л.В., Андреева Ю.Ю. // Архив патологии – 2015 – №4.
3. Современные представления об этиологии и патогенезе опухолевидных образований и доброкачественных опухолей яичников / Серебренникова К.Г., Кузнецова Е.П.// Саратовский научно-медицинский журнал – 2013 – Т.6 – №3.
Рак яичников
Рак яичников – первичное, вторичное или метастатическое опухолевое поражение женских гормонопродуцирующих половых желез – яичников. На ранних стадиях рак яичников малосимптомен; патогномоничные проявления отсутствуют. Распространенные формы проявляются слабостью, недомоганием, снижением и извращением аппетита, нарушениями функции ЖКТ, дизурическими расстройствами, асцитом. Диагностика рака яичников включает проведение физикального и вагинального обследования, УЗИ, ЯМРТ или КТ малого таза, лапароскопии, исследование онкомаркера СА 125. В лечении рака яичников применяется хирургический подход (пангистерэктомия), полихимиотерапия, радиотерапия.

Рак яичников стоит на седьмом месте в структуре общей онкопатологии (4-6%) и занимает третье место (после рака тела матки и рака шейки матки) среди злокачественных опухолей в онкогинекологии. Чаще рак яичников поражает женщин предклимактерического и климактерического периода, хотя не является исключением и среди женщин моложе 40 лет.
Проблема развития рака яичников рассматривается с позиций трех гипотез. Считается, что как и другие овариальные опухоли, рак яичников развивается в условиях длительной гиперэстрогении, что повышает вероятность опухолевой трансформации в эстрогенчувствительной ткани желез.
Другой взгляд на генез рака яичников основан на представлениях о постоянной овуляции при раннем наступлении менархе, поздней менопаузе, малом количестве беременностей, укорочении лактации. Непрерывные овуляции способствуют изменению эпителия стромы яичника, тем самым создавая условия для аберрантного повреждения ДНК и активации экспрессии онкогенов.
Генетическая гипотеза выделяет среди группы потенциального риска женщин с семейными формами рака груди и яичников. По наблюдениям, повышенный риск развития рака яичников ассоциирован с наличием бесплодия, дисфункции яичников, гиперплазии эндометрия, частых оофоритов и аднекситов, миомы матки, доброкачественных опухолей и кист яичников. Применение гормональной контрацепции длительнее 5 лет, напротив, снижает вероятность возникновения рака яичников практически вдвое.
По месту возникновения изначального очага рака различают первичное, вторичное и метастатическое поражения яичников.
- Первичный рак яичника сразу развивается в железе. По своему гистотипу первичные опухоли являются эпителиальными образованиями папиллярного или железистого строения, реже развиваются из клеток покровного эпителия. Первичный рак яичника чаще носит двустороннюю локализацию; имеет плотную консистенцию и бугристую поверхность; встречается преимущественно у женщин до 30 лет.
- Вторичный рак яичников. На его долю приходится до 80% клинических случаев. Развитие данной формы рака происходит из серозных, тератоидных или псевдомуцинозных кистом яичников. Серозные цистаденокарциномы развиваются в возрасте 50-60 лет, муцинозные - после 55-60 лет. Вторичные эндометриоидные цистаденокарциномы встречаются у молодых женщин, обычно страдающих бесплодием.
- Метастатическое поражение яичников развивается в результате распространения опухолевых клеток гематогенным, имплантационным, лимфогенным путями из первичных очагов при раке желудка, молочной железы, матки, щитовидной железы. Метастатические опухоли яичников обладают быстрым ростом и неблагоприятным течением, обычно поражают оба яичника, рано диссеминируют по брюшине малого таза. Макроскопически метастатическая форма рака яичников имеет белесоватый цвет, бугристую поверхность, плотную или тестоватую консистенцию.
Более редкие типы рака яичников представлены папиллярной цистаденомой, гранулезоклеточным, светлоклеточным (мезонефроидным) раком, аденобластомой, опухолью Бреннера, стромальными опухолями, дисгерминомой, тератокарциномой и др. В клинической практике рак яичников оценивается в соответствии с критериями FIGO (стадии I-IV) и TNM (распространенность первичной опухоли, регионарных и отдаленных метастазов).
I (T1) – распространенность опухоли ограничивается яичниками:
- IA (T1a) – рак одного яичника без прорастания его капсулы и разрастания опухолевых клеток на поверхности железы
- IB (T1b) – рак обоих яичников без прорастания их капсул и разрастания опухолевых клеток на поверхности желез
- IC (T1c) – рак одного или двух яичников с прорастанием и/или разрывом капсулы, опухолевыми разрастаниями на поверхности железы, наличием атипичных клеток в асцитических или смывных водах
II (T2) – поражение одного или обоих яичников с распространением опухоли на структуры малого таза:
- IIA (T2a) - рак яичников распространяется или метастазирует в маточные трубы или матку
- IIB (T2b) - рак яичников распространяется на другие структуры таза
- IIC (T2c) – опухолевый процесс ограничен поражением малого таза, определяется наличие атипичных клеток в асцитических или смывных водах
III (T3/N1) - поражение одного или обоих яичников с метастазированием рака яичников по брюшине или в регионарные лимфоузлы:
- IIIA (T3a) – наличие микроскопически подтвержденных внутрибрюшинных метастазов
- IIIB (T3b) – макроскопически определяемые внутрибрюшинные метастазы диаметром до 2 см
- IIIC (T3c/N1) - макроскопически определяемые внутрибрюшинные метастазы диаметром более 2 см или метастазы в регионарные лимфоузлы
IV (M1) – метастазирование рака яичников в отдаленные органы.
Симптомы рака яичников
Проявления рака яичников вариабельны, что объясняется многообразием морфологических форм заболевания. При локализованных формах рака яичников симптоматика, как правило, отсутствует. У молодых женщин рак яичников может клинически манифестировать с внезапного болевого синдрома, вызванного перекрутом ножки опухоли или перфорацией ее капсулы.
Активизация проявлений рака яичников развивается по мере распространения опухолевого процесса. Происходит нарастание недомогания, слабости, утомляемости, субфебрилитета; ухудшение аппетита, функции ЖКТ (метеоризм, тошнота, запоры); появление дизурических явлений.
При поражении брюшины развивается асцит; в случае метастазов в легкие – опухолевый плеврит. В поздних стадиях нарастает сердечно-сосудистая и дыхательная недостаточность, развиваются отеки нижних конечностей, тромбозы. Метастазы при раке яичников, как правило, выявляются в печени, легких, костях.
Среди злокачественных опухолей яичников встречаются гормонально-активные эпителиальные образования. Гранулезоклеточный рак яичников – феменизирующая опухоль, способствующая преждевременному половому созреванию девочек и возобновлению маточных кровотечений у пациенток в менопаузе. Маскулинизирующая опухоль – адренобластома, напротив, приводит к гирсутизму, изменению фигуры, уменьшению груди, прекращению менструаций.
Комплекс методов диагностики рака яичников включает проведение физикального, гинекологического, инструментального обследования. Распознавание асцита и опухоли может быть произведено уже в ходе пальпации живота.
- Гинекологическое исследование хоть и позволяет выявить наличие одно- или двустороннего овариального образования, но не дает четкого представления о степени его доброкачественности. С помощью ректовагинального исследования определяется инвазия рака яичников в параметрий и параректальную клетчатку.
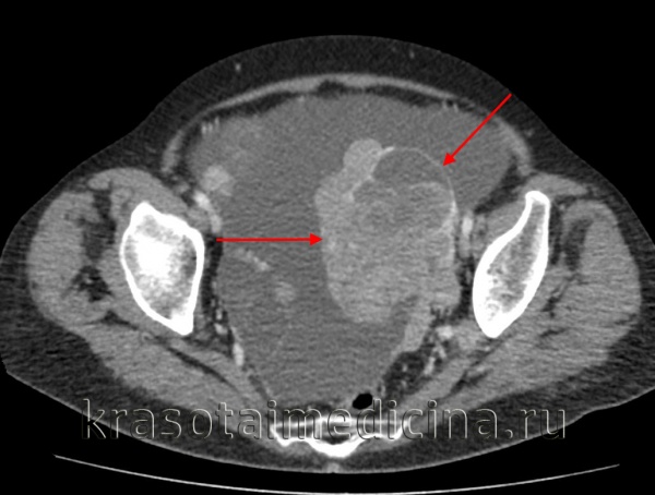
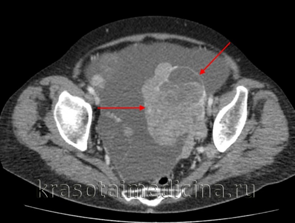
- Методы визуализации. С помощью трансвагинальной эхографии (УЗИ), МРТ и КТ малого таза выявляется объемное образование неправильной формы без четкой капсулы с бугристыми контурами и неодинаковой внутренней структурой; оцениваются его размеры и степень распространенности.
- Диагностическая лапароскопия при раке яичников необходима для проведения биопсии и определения гистотипа опухоли, забора перитонеального выпота или смывов для цитологического исследования. В ряде случаев получение асцитической жидкости возможно посредством пункции заднего свода влагалища.
При подозрении на рак яичников показано исследование опухолево-ассоциированных маркеров в сыворотке (СА-19.9, СА-125 и др.). Для исключения первичного очага или метастазов рака яичников в отдаленных органах производится маммография, рентгенография желудка и легких, ирригоскопия; УЗИ брюшной полости, УЗИ плевральной полости, УЗИ щитовидной железы; ФГДС, ректороманоскопия, цистоскопия, хромоцистоскопия.

Лечение рака яичников
Вопрос выбора лечебной тактики при раке яичников решается с учетом стадии процесса, морфологической структуры опухоли, потенциальной чувствительности данного гистиотипа к химиотерапевтическому и лучевому воздействию, отягощающих соматических и возрастных факторов. В лечении рака яичников сочетается хирургический подход (пангистерэктомия) с проведением полихимиотерапии и радиотерапии.
Оперативное лечение
Хирургическое лечение локализованной формы рака яичников (I-II ст.) заключается в проведении удаления матки с аднексэктомией и резекцией большого сальника. У ослабленных или пожилых пациенток возможно выполнение надвлагалищной ампутации матки с придатками и субтотальной резекции большого сальника. В процессе операции обязательна интраоперационная ревизия парааортальных лимфоузлов с их срочным интраоперационным гистологическим исследованием. При III-IV ст. рака яичников производится циторедуктивное вмешательство, направленное на максимальное удаления опухолевых масс перед химиотерапией. При неоперабельных процессах ограничиваются биопсией опухолевой ткани.
Противоопухолевая терапия
Полихимиотерапия при раке яичников может проводиться на предоперационном, послеоперационной этапе или являться самостоятельным лечением при распространенном злокачественном процессе. Полихимиотерапия (препаратами платины, хлорэтиламинами, таксанами) позволяет добиться подавления митоза и пролиферации опухолевых клеток. Побочными действиями цитостатиков выступают тошнота, рвота, нейро- и нефротоксичность, угнетение кроветворной функции. Лучевая терапия при раке яичников обладает незначительной эффективностью.
Отдаленная выживаемость при раке яичников обусловлена стадией заболевания, морфологической структурой опухоли и ее дифференцировкой. В зависимости от гистотипа опухоли пятилетний порог выживаемости преодолевает 60-90% пациенток с I ст. рака яичников, 40-50% - со II ст., 11% - с III ст.; 5% - с IV ст. Более благоприятны в отношении прогноза серозный и муцинозный рак яичников; менее – мезонефроидный, недифференцированный и др.
В постоперационном периоде после радикальной гистерэктомии (пангистерэктомии) пациенткам требуется систематическое наблюдение онкогинеколога, предупреждение развития посткастрационного синдрома. В профилактике рака яичников существенная роль отводится своевременному выявлению доброкачественных опухолей желез, онкопрофилактическим осмотрам, снижению воздействия неблагоприятных факторов.

Практически каждая женщина любого возраста сталкивалась с каким-либо заболеванием яичников, которому сопутствовало увеличение их размеров, а доброкачественная опухоль яичника у женщины репродуктивного возраста может образоваться в одном из 70 случаев. Группу данных опухолей яичников составляют патологические образования из овариальной ткани вследствие размножения клеток ткани и их дифференцировки, т.е. мутирования, которые поражают женщин от подросткового до пожилого возраста.

Актуальная проблема гинекологии сегодня — поражение опухолями яичников молодых женщин, имеющих возможность рожать детей, что ведет к снижению их репродуктивного потенциала. И хуже всего то, что значительная часть доброкачественных опухолей имеет склонность к озлокачествлению (малигнизациии), результаты лечения злокачественных новообразований оставляют желать лучшего по причине диагностирования поздних стадий заболевания по вине самих пациенток.
Классификация доброкачественных опухолей яичников
Доброкачественные опухоли яичников, классификация которых предложена отечественными учёными и утверждённая ВОЗ, исходя из клинико-морфологических исследований:
- Эпителиального происхождения опухоли (эпителиальные опухоли возникают только после полового созревания):
- Серозные (цилиоэпителиальные) опухоли — цистаденома, папиллярная цистаденома, поверхностная папиллома, аденофиброма и цистаденофиброма — 60% эпителиальных опухолей.
- Муцинозные опухоли — цистаденома, аденофиброма и цистаденофиброма.
- Муцинозная кистозная опухоль с пристеночными узлами.
- Муцинозная кистозная опухоль с псевдомиксомой брюшины.
- Эндометриоидные опухоли — цистаденома, аденофиброма и цистаденофиброма.
- Светлоклеточные (мезонефроидные) опухоли — цистаденома, аденофиброма и цистаденофиброма. Светлые клетки содержат гликоген. Предположительно, часть их образуется из Вольфова протока.
- Переходно-клеточные опухоли —опухоли Бреннера, муцинозные фиброэпителиомы (схожи с фибромами).
- Опухоли стромы полового тяжа формируются из полового тяжа или мезенхимы эмбриональных гонад.
- Опухоли стромально-клеточные содержат гранулёзные клетки, тека-клетки, коллагенпродуцирующие клетки, клетки Сертоли и Лейдига. В большинстве своем это гормонально-активные — гранулезоклеточная опухоль, текаклеточная опухоль (нередко в сочетании с миомой матки), гранулезоклеточная и текаклеточная опухоли.
- Герминогенные опухоли (дермоидные кисты, струма яичника), герминогенные опухоли полового тяжа.
- Нетипичные (неклассифицируемые) опухоли — нет возможности установить их овариальный или тестикулярный тип.
Профилактика доброкачественных опухолей яичников
Профилактика доброкачественных опухолей яичников практически невозможна. Только регулярные гинекологические осмотры и УЗИ смогут своевременно выявить крупные новообразования в гонадах. Необходимо следить за изменениями менструального цикла, появлением тех или иных болезненных или дискомфортных проявлений и срочно обращаться к гинекологу при малейшем отклонении от нормы.
Причины развития доброкачественных опухолей яичников
Остро стоящий вопрос об этиологии и патогенезе доброкачественных опухолей яичников остается спорным и до конца не определённым. Выдвигается несколько теорий по данному вопросу, где гормональные расстройства стоят на первом месте, роль вирусных инфекций и генетической предрасположенности также не оспаривается:
- чрезмерная выработка эстрогена (гиперэстрогения), разлад гормональных взаимоотношений;
- эмбриональные и другие тканевые остатки после формирования яичников;
- генетическая склонность по материнской линии;
- неблагоприятные экологические и социальные факторы также не сбрасываются со счетов.
Существуют предположения, что доброкачественные опухоли полового тяжа и герминогенные опухоли могут сформироваться в результате эмбриональных нарушений, что дает понимание возрастных пиков заболеваемости опухолями яичников в периодах полового созревания и предменопаузы.
Факторы риска образования доброкачественных опухолей гонады:
- раннее/запоздалое начало менструации (менархе);
- первичная аменорея;
- воспалительные заболевания придатков;
- инфекционные болезни;
- наследственные эндокринные патологии;
- запоздалый или преждевременный климакс;
- очаговые гиперплазии;
- проблемы с деторождением в связи с ослаблением функций гонад и гипоэстрогения;
- фолликулярные кисты яичников;
- миома матки;
- высокая калорийность рациона с большим содержанием насыщенных жирных кислот или недостаточное питание;
- генетическая предрасположенность;
- первичное бесплодие;
- курение.
Нейроэндокринные нарушения, дисфункция щитовидной железы и ожирение достоверно не ассоциированы с развитием опухолей яичников и доказательной базы не имеют.
Симптомы доброкачественных опухолей яичников
Образовавшиеся в гонадах опухоли растут, как правило, в направлении брюшной полости, используя для формирования ножки собственно связку яичника, воронок-тазовую связку и часть широкой маточной связки, иногда втягивая в процесс и близлежащую маточную трубу. Когда у доброкачественной опухоли яичника слишком длинная ножка, есть серьёзная вероятность её перекручивания и получения «острого живота», а как результат сжатия сосудов перекрутом ножки — развитие ишемии и некроза. К тому же опухоль может получить надрывы или разорваться, что приведет к спайкам, внедрению в брюшину и заполнению брюшины содержимым опухоли.

Иногда опухоли растут внутрь, раздвинув листки широких связок, часто смещая и сдавливая мочеточники (чаще в подростковом возрасте). Также нередко возникает нагноение содержимого или стенки опухоли при совмещении с вторичной инфекцией. Такой гнойник может сформировать свищ, прорвавшись в мочевой пузырь или прямую кишку.
Доброкачественная опухоль яичника, симптомы которой характерны практически для всех доброкачественных опухолей:
- тянущие, разлитые, постоянные или периодические боли в нижней части живота, иногда отдающие в подложечную область или подреберье, а при перекруте ножки, кровоизлиянии или дегенерации, разрыве опухолевой капсулы — внезапные острые, режущие боли;
- нарушения мочеиспускания и метеоризм, в зависимости от места расположения опухоли;
- увеличенный живот;
- появление затвердения, тяжести в животе;
- невозможность забеременеть;
- общая слабость, одышка;
- синдром Мейгса;
- снижение массы тела;
- гипотрофия молочных желез и клитора;
- снижение либидо;
- огрубение голоса;
- облысение;
- разлад в графике менструальных циклов.
Диагностика доброкачественных опухолей яичников
На начальных стадиях развития всех разнообразных типов доброкачественных опухолей яичников клиническая картина их выражается недостаточностью или полным отсутствием симптомов. Диагностика включает следующий мероприятия:
- составление полного анамнеза пациентки;
- гинекологическое исследование, малоинформативное в начале заболевания, в дальнейшем позволяет определить место формирования, величину, консистенцию, подвижность, болезненность, тип поверхности опухоли, её связи с органами малого таза;
- ректовагинальное пальпирование предотвратит прорастание опухоли яичников в близлежащие органы;
- УЗИ органов малого таза — основной и обязательный метод исследования — выдает информацию о размерах, формах, структуре, месте расположения опухоли;
- УЗИ влагалища (трансвагинальная эхография) позволяет получить более конкретную информацию о происхождении (доброкачественная или злокачественная) опухоли по специальной шкале;
- экстирпация матки с придатками (особенно при миоме матки) в пред- и постклимактерическом периоде;
- применение маркеров антигена CA 125 и секреторного белка HE4 поможет охарактеризовать доброкачественное или злокачественное происхождение опухоли яичников, однако они часто показывают повышенные показатели даже при доброкачественном образовании;
- гастроскопия, цистоскопия, экскреторная урография, ирригоскопия, колоноскопия, ректороманоскопия — дополнительные методы исследования для дифференцировки от вторичных опухолей гонад;
- лапароскопия как метод диагностики, дающий 100%-ую точность, при доброкачественности обнаруженного образования его удаляет, а при обратном диагнозе продолжается лапаротомией;
- крупное новообразование, обнаруженное до первого менструального кровотечения (менархе) или в постменопаузе, наиболее часто оказывается истинной опухолью, и тогда требуются дополнительные исследования или оперативное вмешательство.
В процессе диагностики отделяются ретенционные кисты яичников (регрессирующие за 1-3 менструальных цикла или после КОК) от истинных опухолей.
Лечение доброкачественных опухолей яичников
Базовым методом лечения доброкачественных опухолей яичников остается хирургический. Эти опухоли отличаются от злокачественных тем, что не разрастаются за пределы яичников, что весьма важно для положительной динамики хирургического лечения. Масштабность оперативного вмешательства зависит от:
- возраста пациентки;
- репродуктивного статуса больной;
- гистологического типа опухоли.
Когда диагностирована доброкачественная опухоль яичника, лечение заключается в ряде хирургических методов, планово или экстренно (при осложнениях) способных радикально решить проблему, избежать рецидивов и сохранить высокое качество жизни пациенток:
- аднексэктомия (овариэктомия) — удаление поражённого яичника;
- клиновидная резекция яичника (органосохраняющая операция) с экстренной гистологической диагностикой и ревизией другого яичника для пациенток детородного возраста (однако необходимо помнить, что удаление яичника вместе с опухолью повышает риск бесплодия);
- пангистерэктомия (лапароскопически или вагинально) в предменопаузе пациентки — при двустороннем доброкачественном опухолевом процессе или в случае подозрения на малигнизацию.
Данная статья размещена исключительно с целью ознакомления в познавательных целях и не является научным материалом или профессиональным медицинским советом. За диагностикой и лечением обратитесь к врачу.
Введите ваши данные, и наши специалисты свяжутся с Вами, и бесплатно проконсультируют по волнующим вас вопросам.
Читайте также:
- Теория Флетчера—Роафа. Пространственная теория звуков
- Воздействие гипотермии на давление. Нормализация давления при отрезвлении
- Предрак века глаза. Предраковые дерматозы
- Лечение маточных кровотечений при климаксе и нарушениях овуляции
- Лабораторная диагностика отогенного сепсиса. Течение отогенного сепсиса
