Влияние окклюзии верхней брыжеечной артерии на организм. Патогенез
Добавил пользователь Евгений Кузнецов Обновлено: 26.11.2025
Острое нарушение мезентериального кровотока. Кровоснабжение кишечника
Острое нарушение мезентериального кровотока — тяжелейшее заболевание как у молодых, так и у лиц пожилого и старческого возраста с громадной летальностью, которая, по данным академика B.C. Савельева и И.В. Спиридонова, достигает до 85—100% в зависимости от распространенности острой ишемии кишечника.
Причины столь высокой летальности: поздняя госпитализация, несвоевременная диагностика, отсутствие безопасных тромболитиков, соответственно — неадекватное лечение. В связи со сниженным барьером чувствительности позднее обращение к специалистам особенно актуально для стариков.
Кроме того, необходимо подчеркнуть и анатомо-физиологические особенности у них кишечного кровоснабжения:
1. крайняя недостаточность коллатерального кровоснабжения и возможности компенсации кровообращения через коллатерали;
2. быстрый некроз слизистой и стенок при острой ишемии и венозном тромбозе;
3. частые ангиоспазмы, наступающие во время пищеварения и перистальтики кишечника.
Помимо всего, острые нарушения мезентериального кровоснабжения у рассматриваемой категории больных чаще возникают на фоне гипертонической болезни, атеросклероза, инфаркта миокарда, нарушений ритма сердечных сокращений, эндокардита, тромбоза аорты, заболеваний, сопровождающихся гиперкоагуляцией (злокачественных новообразований), обезвоживанием, декомпенсацией сердечной деятельности и др.
Первыми клинико-морфологическую картину артериальной непроходимости описали немецкие патологи R. Tiedemann и R.K. Virchov. Модель инфаркта кишечника создал М. Litten путём перевязки ВБА. С помощью этой модели он обосновал, что основной причиной сосудистых расстройств кишечника служит закупорка крупных артериальных сосудов.
Правильный дооперационный диагноз при эмболии верхней брыжеечной артерии поставил Opolzer.

Первую успешную эмболэктомию из ВБА без резекции кишки выполнил в 1955 г. Veil, а в 1957 г. эмболэктомию выполнили Shaw и Rutledge.
В разработку вопросов диагностики, тактики и лечения острого мезентериального кровообращения наибольший вклад в России внесла клиника факультетской хирургии РГМУ, возглавляемая академиком РАН и РАМН B.C. Савельевым, который в 1979 г. вместе с И.В. Спиридоновым написал монографию «Острые нарушения мезентериального кровообращения», являющуюся настольной книгой хирургов, занимающихся этой проблемой.
Основные вопросы кровоснабжения кишечника были описаны еще А. Везалием.
Кровоснабжение кишечника осуществляется двумя висцеральными ветвями брюшной аорты: верхней и нижней брыжеечными артериями.
Верхняя брыжеечная артерия, без сомнения, играет наиболее важную роль в кровоснабжении пищеварительного тракта. Верхняя брыжеечная артерия отходит от передней полуокружности аорты обычно чуть выше отхождения почечных артерий, на уровне диска I и II поясничных позвонков. В своем начале она имеет диаметр 0,5—1 см. Артерия проходит непосредственно сзади шейки поджелудочной железы, а затем пересекает спереди 12-перстную кишку.
Первая ветвь ВБА — нижняя панкреатодуоденальная артерия, которая идет вверх позади головки поджелудочной железы до соединения с верхней панкреатодуоденальной ветвью желудочно-дуоденальной артерии. Эти небольшие, диаметром 1—2 мм, сосуды имеют важное клиническое значение. Во-первых, они играют основную роль в кровоснабжении головки поджелудочной железы и нижней части общего желчного протока. Еще важнее то, что этот анастомоз представляет главный коллатеральный путь между зонами, кровоснабжаемыми чревным стволом и верхней брыжеечной артерией, и при окклюзии ВБА может дилатироваться в значительной степени.
При выходе из зоны двенадцатиперстной кишки ВБА проходит вниз в корне брыжейки тонкой кишки к правой подвздошной ямке, как правило, с изгибом в левую сторону.
Ее следующая ветвь после нижней панкреатодуоденальной артерии — средняя ободочная артерия, которая, отходя от правой стороны ВБА, достигает поперечноободочной кишки и разделяется на левую и правую ветви, составляющие часть важного маргинального (краевого) кровоснабжения толстой кишки.
Почти на 4 см ниже средней ободочной артерии от ВБА отходит обычно очень небольшая правая ободочная артерия.
Основной ствол ВБА идет вниз и входит в систему маргинального кишечного кровообращения в виде подвздошно-ободочной артерии (a. ileocolica). Из этих трех сосудов правой половины толстой кишки анатомически постоянна лишь подвздошно-ободочная артерия, которая снабжает начальную часть правой половины толстой кишки. От основного ствола правая и средняя ободочные артерии часто отходят вместе. В 10% случаев правая ободочная артерия отходит от подвздошно-ободочной артерии.

В тонкий кишечник кровь поступает из ветвей, отходящих от левой стороны ВБА, через так называемые кишечные артерии, число которых колеблется от 3 до 12, и из ряда артериальных дуг; их количество увеличивается сверху вниз, а строение усложняется.
Нижняя брыжеечная артерия намного меньше, чем ВБА. Она отходит от переднелевой поверхности аорты приблизительно на 3—4 см выше бифуркации. Левая ободочная артерия идет кверху и до соединения с маргинальной артерией ободочной кишки отдает до 3—4 ветвей vasa recta.
Далее она спускается позади ректосигмоидального соединения и прямой кишки, заканчиваясь a. haemorrodalis superior, которая делится на три крупные артериальные ветви (одна слева и две справа). Эта нижняя зона кровоснабжения нижней брыжеечной артерии широко анастомозирует с коллатералями ветвей внутренней подвздошной артерии (точнее, со средней прямокишечной артерией, отходящей от внутренней половой артерии).
Промежуточные артерии. Между тремя главными ветвями аорты и микроскопическими сплетениями, которые непосредственно кровоснабжают структуры внутренних органов, находится сеть достаточно крупных сосудов. Эти сосуды важны с клинической точки зрения, поскольку именно там может быть локализован патологический процесс или повреждение вследствие случайной или хирургической травмы.
Данная промежуточная часть системы кровообращения включает кишечные сосуды и аркады тонкого кишечника, маргинальное кровообращение и vasa recta толстой кишки. Окклюзия какого-то отделенного сосуда этой системы не приводит ни к расстройству кровообращения в слизистой оболочке, ни к нарушению функции кишечника. Однако поражение нескольких сосудов, как это может быть при эмболии или тромбозе на фоне атероматоза, а также вследствие ранения, образования гематомы в результате плохо выполненной хирургической резекции, может быть причиной значительных расстройств вплоть до полного некроза кишки.
Ввиду особенностей архитектоники этих сосудов, повреждения, локализованные в правом углу по отношению к длинной оси кишечника, менее опасны, чем расположенные параллельно ему.
Ветви ВБА, идущие к тонкой кишке, в самом начале имеют небольшой диаметр, расположены с интервалом 1—2 см и не формируют аркадной системы. Проходя вниз вдоль тонкого кишечника, сосудистая система становится более сложной, образует три-четыре яруса параллельных аркад.
Кровоснабжение терминального отдела подвздошной кишки имеет анатомические особенности, отражающие эмбриогенез. В период внутриутробного развития плода, когда его размер достигает 17 мм, основная правая дистальная ветвь ВБА (будущая подвздошно-ободочная артерия) кровоснабжает зачаток, из которого образуются слепая кишка, червеобразный отросток и терминальный отдел подвздошной кишки. Этот сосуд формирует лишь одну коллатераль к дистальной части пупочной петли.
Таким образом, в процессе эмбрионального развития возникают две различные сосудистые зоны, связанные с верхней брышеечной артерией:
1) проксимальный сегмент пупочной петли, из которого образуются третья и четвертая части двенадцатиперстной кишки, вся тощая и большой отдел подвздошной кишки, кровоснабжается через сеть коллатералей, отходящих от левой стороны артерии;
2) дистальный сегмент пупочной петли, образующий терминальный отдел подвздошной кишки, слепую и восходящую кишку, а также большую часть поперечной ободочной кишки, сегмент снабжается кровью через 2—3 ветви, отходящие от правой стороны верхней брыжеечной артерии.
Это объясняет, почему область между двумя указанными сегментами подвздошной кишки, один из которых относится к зоне со многими сосудами, а другой — к зоне с малым числом сосудов, получила репутацию имеющей скудное кровоснабжение.
На самом деле исследования последних лет показали, что такая точка зрения на анатомию взрослого организма неправильна. Vasa recta равномерно распределяются на всем протяжении подвздошной кишки, за исключением ее последних 5 см, где промежутки между сосудами больше. Однако терминальный отдел подвздошной кишки отчасти снабжается по коллатералям от сосудов слепой кишки.
Редактор: Искандер Милевски. Дата обновления публикации: 18.3.2021
Острая окклюзия мезентериальных сосудов
Острая окклюзия мезентериальных сосудов – острое нарушение кровообращения в брыжеечных сосудах, приводящее к ишемии кишечника. Заболевание проявляется резкой, нестерпимой болью в животе, рвотой и поносом с примесью крови, шоковым состоянием. Диагноз острой окклюзии мезентериальных сосудов определяют на основании клинической картины, данных селективной ангиографии, рентгенографии брюшной полости, лапароскопии. Острая окклюзия мезентериальных сосудов требует экстренного оперативного вмешательства (эмбол- или тромбэндартериоэктомии, резекции пораженных отделов кишечника), профилактики перитонита и повторных окклюзий.

Общие сведения
Острая окклюзия мезентериальных сосудов - неотложная патология в гастроэнтерологии, возникающая вследствие тромбоза или эмболии сосудов брыжейки. Острая окклюзия мезентериальных сосудов проявляется резким нарушением кровообращения в сосудистых участках проксимальнее и дистальнее места обструкции, сопровождается выраженным ангиоспазмом и дополнительным тромбообразованием, в результате чего возникает острое нарушение питания и ишемическое поражение стенки кишечника. В дальнейшем начинают развиваться необратимые деструктивные изменения, формируется анемический и геморрагический инфаркт (некроз) кишечника. Острая окклюзия мезентериальных сосудов характеризуется крайне тяжелым течением и высокой летальностью.
Локализация и протяженность ишемического поражения кишечника при острой окклюзии мезентериальных сосудов зависит от вида и уровня обструкции, наличия коллатеральных путей компенсации кровотока. В 90% случаев наблюдается окклюзия основного ствола или одной из ветвей верхней брыжеечной артерии, в большей степени обеспечивающей кровоснабжение пищеварительного тракта. Нижняя брыжеечная артерия имеет хорошие коллатеральные связи, поэтому при ее окклюзии редко возникают серьезные нарушения мезентериального кровообращения. Окклюзия брыжеечных вен встречается реже; возможно также смешанное поражение брыжеечных артерий и вен, при котором острой окклюзии одного из сосудов предшествует хроническая обструкция другого.
Острая окклюзия мезентериальных сосудов встречается преимущественно у лиц мужского пола в возрасте старше 50-60 лет.
Причины острой окклюзии мезентериальных сосудов
Острая окклюзия мезентериальных сосудов развивается как осложнение различных сердечно-сосудистых заболеваний (атеросклероза, пороков сердца, системных аллергических васкулитов, ревматизма, гипертонической болезни, аневризмы брюшной аорты, аритмии), предшествующих операций на сердце и аорте, злокачественных опухолей, травм.
Непосредственной причиной острой окклюзии мезентериальных сосудов являются тромбоз и эмболия. При тромбозе просвет сосудов брыжейки перекрывается тромбом, образовавшимся вследствие изменения сосудистых стенок на фоне повышенной свертываемости крови и замедленного кровотока (патогенетическая триада Вихрова). При эмболии наблюдается обструкция брыжеечных сосудов частицей тканью опухоли, инородным телом или пузырьком воздуха, мигрировавшими от первичного источника поражения с током крови.
Острая окклюзия мезентериальных сосудов может протекать с компенсацией, субкомпенсацией и декомпенсацией мезентериального кровотока. При компенсации мезентериального кровотока (спонтанно или под воздействием консервативной терапии) все функции кишечника восстанавливаются полностью. Субкомпенсация мезентериального кровотока ввиду недостаточного кровоснабжения может приводить к ряду заболеваний кишечника: брюшной жабе, язвенным энтеритам и колитам и др. Декомпенсация мезентериального кровообращения вызывает распространенный гнойный перитонит и развитие тяжелого абдоминального сепсиса.
Симптомы острой окклюзии мезентериальных сосудов
Развернутой клинической картине острой окклюзии мезентериальных сосудов могут предшествовать предвестники заболевания, сходные с предынфарктным состоянием, – так называемая «брюшная жаба».
В большинстве случаев острая окклюзия мезентериальных сосудов имеет внезапное начало и на стадии ишемии (первые 6-12 часов) характеризуется невыносимыми, схваткообразными болями в животе. Пациент испытывает беспокойство, не находит себе места, принимает вынужденную позу с приведенными к животу ногами. Возникают тошнота и рвота с примесью желчи и крови, позднее рвота с каловым запахом, неоднократный жидкий стул с примесью крови («ишемическое опорожнение кишечника»).
Наблюдается резкая бледность кожных покровов, цианоз, шоковое состояние, повышение артериального давления на 60-80 единиц (симптом Блинова), брадикардия. Для острой окклюзии мезентериальных сосудов характерно несоответствие между тяжестью состояния больного и данными его осмотра: в первые часы живот остается мягким, брюшная стенка участвует в дыхании, отмечается незначительная болезненность без симптомов раздражения брюшины.
В стадии инфаркта (через 6-12 часов от начала острой окклюзии мезентериальных сосудов) болевые ощущения немного уменьшаются, но нарастает локальная (в зоне поражения кишки) болезненность при пальпации, между пупком и лобком может прощупываться тестовидная припухлость (симптом Мондора), ухудшается состояние больного. Эвакуаторная функция кишечника сохраняется, артериальное давление нормализуется, пульс учащается.
Диагностика
Распознавание острой окклюзии мезентериальных сосудов опирается на анализ клинической картины заболевания: острый болевой абдоминальный синдром, поражение сердца и сосудов в анамнезе. Важное диагностическое значение имеет исследование коагулограммы, определение количества тромбоцитов, холестерина крови.
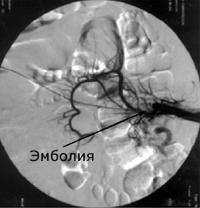
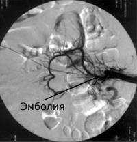
При обзорной рентгенографии брюшной полости определяется пневматизация кишечника, наличие горизонтальных уровней жидкости в брюшной полости. Специфическим методом диагностики острой окклюзии мезентериальных сосудов является селективная мезентерикография, которая уже на ранней стадии заболевания может выявить отсутствие кровотока в стволе и ветвях брыжеечной артерии. При наличии технической возможности выполняется магнитно-резонансная ангиография мезентериальных сосудов.
Диагностическая лапароскопия позволяет обнаружить изменения кишечника и брюшной полости, наличие признаков анемического и геморрагического инфаркта кишки. Острую окклюзию мезентериальных сосудов дифференцируют от прободной язвы желудка и двенадцатиперстной кишки, острого аппендицита, кишечной непроходимости, острого панкреатита и острого холецистита.
Лечение острой окклюзии мезентериальных сосудов
При острой окклюзии мезентериальных сосудов показано экстренное хирургическое вмешательство, целью которого служит ревизия кишечника с оценкой его жизнеспособности, ревизия основных брыжеечных сосудов, устранение причины сосудистой непроходимости и восстановление мезентериального кровотока, резекция некротизированных отделов кишечника, профилактика перитонита.
Реваскуляризация кишечника выполняется путем непрямой эмбол- или тромбэндартериоэктомии, в трудных случаях проводится реконструктивное обходное шунтирование с использованием сосудистых протезов (протезирование верхней брыжеечной артерии).
При некрозе кишечника реваскуляризация дополняется частичной или обширной резекцией пораженных участков кишечника и активным назоинтестинальным дренированием для лечения послеоперационного пареза кишечника. Через 24-48 часов возможно выполнение релапаротомии с целью контроля состояния брюшной полости или наложения отсроченного анастомоза.
Пред- и послеоперационное ведение больного с острой окклюзией мезентериальных сосудов включает назначение антитромботических препаратов для профилактики повторной эмболии и ретромбоза; мероприятия интенсивной терапии с целью восстановления ОЦК, устранения интоксикации, улучшения кровотока и тканевого метаболизма, стабилизации сердечной деятельности. Проводится антибактериальная терапия, дренирование и санация брюшной полости для предупреждения гангрены и перитонита.
Прогноз и профилактика
Восстановление кровотока в брыжеечных артериях в течение первых 4-6 часов («золотой период») может предотвратить инфаркт кишечника и восстановить его функции. Как правило, оперативное вмешательство приходится на II и III стадии острой окклюзии мезентериальных сосудов, поэтому летальность после операции достигает 80-90%. Прогноз ухудшает наличие основного заболевания, приведшего к острому нарушению мезентериального кровообращения.
Профилактика острой окклюзии мезентериальных сосудов заключается в своевременном устранении потенциального источника тромбоэмболии, т. е. первичного заболевания (атеросклероза, мерцательной аритмии, ревматического порока сердца, аневризм и др.).
Синдром верхней брыжеечной артерии ( Артериомезентериальная компрессия двенадцатиперстной кишки , Синдром Уилки )
Синдром верхней брыжеечной артерии (СВБА) — это разновидность дуоденальной непроходимости, вызванной сдавлением 12-перстной кишки между верхней брыжеечной артерией и абдоминальным отделом аорты. Болезнь проявляется болями в животе после еды, тошнотой, рвотой, ощущением переполнения желудка. Для диагностики применяют инструментальные методики: рентгенографию ЖКТ с пероральным контрастированием, ЭФГДС, УЗИ и комбинированную компьютерную томографию. Лечение в основном консервативное: назначается щадящая диета и лекарственные средства (прокинетики, спазмолитики, ферменты). При декомпенсированном варианте синдрома показано хирургическое вмешательство.
МКБ-10


В медицинской литературе у СВБА есть несколько синонимов: артериомезентериальная или сосудистая компрессия двенадцатиперстной кишки, синдром Уилки. Заболевание встречается редко. Истинная распространенность неизвестна, что связано со сложностями диагностического поиска. Частота синдрома верхней брыжеечной артерии, по данным рентгенографии пассажа бария, составляет 0,013-0,3%. У женщин болезнь выявляется в 2 раза чаще. В 75% случаев сосудистая компрессия наблюдается у детей старше 10 лет, подростков и молодых людей до 30 лет.

Причины
Основным этиологическим фактором синдрома являются индивидуальные особенности анатомии гастродуоденальной зоны. Характерен угол около 20-25° (по сравнению с 30-60° в норме) между брюшной аортой и верхней брыжеечной артерией, из-за чего пространство между двумя сосудами сокращается до 10 мм и менее. Также отмечается высокое расположение связки Трейца, которая подтягивает горизонтальную часть 12-перстной кишки (ДПК) к вершине аортомезентериального угла.
Способствующие факторы
Дуоденальная компрессия происходит только при наличии провоцирующих факторов. Распространенные причины синдрома:
- резкое снижение веса, которое сопровождается сокращением объема висцерального жира − при этом расстояние между аортой и брыжеечной артерией уменьшается;
- поясничный лордоз, сколиоз;
- слабость мышц живота;
- строгий постельный режим после травм и операций.
Наиболее подвержены развитию синдрома верхней брыжеечной артерии подростки, у которых происходит быстрый скачкообразный рост без компенсаторного увеличения веса.
Патогенез
Хроническая дуоденальная непроходимость, связанная со сдавлением кишечника верхней брыжеечной артерией, развивается в 3 этапа. Для стадии компенсации характерно неполное перекрытие просвета органа и повышение внутрипросветного давления, что способствует прохождению пищи в нижележащие отделы ЖКТ. В этот период появляются стойкие нарушения трофики и микроциркуляции кишечной стенки, снижается поступление желчи и ферментов поджелудочной железы.
На этапе субкомпенсации дуоденальная перистальтика снижается. Обычно происходит обратный заброс содержимого в желудок, панкреатический проток или желчевыводящие ходы. Наиболее тяжело протекает стадия декомпенсации, которая проявляется дуоденостазом. Характерно патологическое расширение желудка и начальных отделов кишечника наряду с тотальной обструкцией артерией горизонтального участка двенадцатиперстной кишки.
Симптомы СВБА
В большинстве ситуаций синдром верхней брыжеечной артерии имеет хроническое течение, а его симптоматика нарастает постепенно. Острое начало заболевания возможно у больных с травмами позвоночника, ортопедическими проблемами или ожогами — состояниями, которые требуют длительной иммобилизации. Острый вариант синдрома манифестирует сильнейшими болевыми ощущениями в полости живота и кишечной непроходимостью.
Основной признак хронического сдавления ДПК верхней брыжеечной артерией — боли в эпигастрии, которые возникают спустя 20-40 минут после еды (постпрандиальный болевой синдром). Иногда боли появляются сразу после приема пищи. Болезненность достаточно ощутима, что вынуждает пациентов есть небольшими порциями или вовсе голодать. Для уменьшения дискомфорта человек принимает вынужденное положение: лежа на левом боку или на животе, стоя в коленно-локтевой позе.
Боли сопровождаются тошнотой и рвотой, чувством переполненного желудка. В рвотных массах содержится частично переваренная пища с включениями желчи. После рвоты больные чувствуют облегчение. Зачастую беспокоит горькая отрыжка, изжога. Характерно чувство раннего насыщения. Для декомпенсированной стадии характерно резкое похудение вплоть до истощения. При хроническом течении синдрома развивается апатия, снижается физическая и умственная трудоспособность.
Осложнения
При хроническом нарушении дуоденальной проходимости присоединяется желудочная патология. У 50% пациентов определяются гиперхлоргидрия и гиперацидный гастрит, который в 25-45% случаев переходит в язвенную болезнь. В субкомпенсированной стадии наблюдается дисфункция пилорического сфинктера, в результате чего формируется дуодено-гастральный рефлюкс. Повреждение желудочной стенки желчными кислотами проявляется в виде рефлюкс-гастрита.
Декомпенсированная стадия компрессии ДПК верхней мезентериальной артерией осложняется хроническим дуоденитом. Воспалительный процесс вызван свободным перемещением инфицированного желудочного содержимого в двенадцатиперстную кишку и обратно. В запущенных случаях синдрома снижается тонус сфинктера Одди, и застойное дуоденальное содержимое попадает в протоки. Как следствие, развивается хронический холецистопанкреатит, усугубляющий состояние больных.
На основании физикального обследования врачу-гастроэнтерологу трудно заподозрить артериомезентериальную компрессию ввиду отсутствия патогномоничных симптомов. Предположить сосудистый характер непроходимости можно у людей с астеничным телосложением, истощенных соматических или онкологических пациентов. Постановка диагноза синдрома верхней брыжеечной артерии основывается на применении ряда методов инструментальной диагностики:
- Рентгенологическое исследование.Рентгенография с контрастным веществом выявляет застой бария в сдавленной артерией горизонтальной части двенадцатиперстной кишки и замедленное опорожнение желудка (до 4-6 часов). Также визуализируется расширенная верхняя часть ДПК и стойкий дуоденогастральный рефлюкс. Еще один типичный признак — снижение перистальтики.
- ЭФГДС. При СВБА обнаруживают расширение желудка, а также начального отдела двенадцатиперстной кишки с патологическим сужением ее дистального отдела. При эндоскопическом исследовании визуализируется гиперемированная и отечная слизистая гастродуоденальной зоны. На декомпенсацию процесса указывает зияние сфинктера привратника.
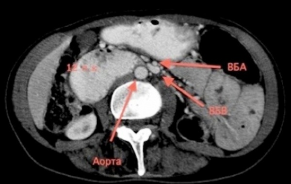
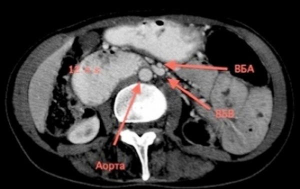
- УЗИ гастродуоденальной зоны. Ультразвуковое исследование необходимо для наблюдения за сократительной функцией желудка и ДПК в режиме реального времени. Допплерография выполняется, чтобы оценить состояние брюшного отдела аорты, брыжеечных артерий, измерить сосудистый угол.
- КТ брюшной полости. Контрастирование пищеварительного канала с одновременной ангиографией абдоминальной части аорты назначается для верификации диагноза в сомнительных случаях. Исследование проводится для оценки стадии патологического процесса, измерения дуоденального просвета, величины угла, который образуют аорта и верхняя брыжеечная артерия.

Лечение синдрома верхней брыжеечной артерии
Консервативная терапия
В компенсированной и субкомпенсированной стадиях сосудистой компрессии проводится диетотерапия и медикаментозное лечение. Основные задачи консервативных мероприятий — усиление питания и уменьшение степени дуоденальной непроходимости. Лечебная диета предполагает прием жидкой, полужидкой и протертой пищи малыми порциями. Для коррекции состояния применяется ряд препаратов:
- Прокинетики. Лекарства стимулируют перистальтику ЖКТ, способствуя более быстрому продвижению химуса по пищеварительному каналу. Прокинетики нормализуют тонус мышечных сфинктеров, предотвращают дуоденальный рефлюкс.
- Спазмолитики. Назначаются короткими курсами перед приемом прокинетиков для снижения внутриполостного давления в 12-перстной кишке, которая сдавлена мезентериальной артерией. Препараты быстро устраняют боли и дискомфорт в эпигастральной зоне.
- Ферментные препараты. Для улучшения пищеварительной функции используют средства заместительной терапии с панкреатическими ферментами. Лекарства способствуют нормализации стула, уменьшают вздутие живота и диспепсические симптомы.
- Антибактериальные средства. Чтобы уменьшить риск гастродуоденитов, при дуоденальном рефлюксе рекомендуют кишечные антисептики, которые не оказывают системного действия. С целью подавления бактериальной инфекции показаны фторхинолоны, макролиды.
Хирургическое лечение
Критериями отбора больных для проведения оперативного вмешательства являются прогрессирующая потеря массы тела, выраженный дуоденостаз, развитие осложнений СВБА. Наиболее часто проводят дуоденоеюностомию, которая позволяет полностью устранить симптомы у 90% пациентов. В современной абдоминальной хирургии используют лапароскопическую операцию по разделению связки Трейца и уменьшению дуоденальной компрессии.
Сочетание медикаментозного лечения со специальной диетой показывает хорошие отдаленные результаты у пациентов с начальными стадиями синдрома. С учетом современных хирургических методов лечения прогноз благоприятен даже при декомпенсации заболевания. Меры профилактики включают своевременную коррекцию искривлений позвоночного столба, соблюдение рациональной диеты с адекватной калорийностью.
1. Синдром верхней брыжеечной артерии. Клинический случай в педиатрической практике/ Н.М. Тихон, М.П. Волкова, А.В. Хмеленко, А.И. Гринь // Вестник Витебского государственного медицинского университета. — 2016.
2. Синдром верхней мезентериальной артерии/ М.Б. Щербинина, В.Н. Гладун, С.И. Кожан, А.В. Семашко, С.И. Фещенко// Современная гастроэнтерология. — 2012.
3. Синдрома верхней мезентериальной артерии (синдром Уилки): клиническое наблюдение/ А.К. Графов, М.А. Халилов, Н.Н. Шевердин, А.Г. Алексеев // Российский вестник детской хирургии, анестезиологии и реаниматологии. — 2015.
4. Хроническая дуоденальная непроходимость. Т.Д. Звягинцева, И.И. Шаргород// Восточноевропейский журнал внутренней и семейной медицины. - №2 — 2016.
Влияние окклюзии верхней брыжеечной артерии на организм. Патогенез
До внедрения эффективного парентерального питания гангрена кишечника была несовместима с жизнью.
Полное прекращение артериального кровотока в кишечнике вызывает комплекс патофизиологических сдвигов, в которых можно выделить ряд основных звеньев.
Потеря жидкости при окклюзии верхней брыжеечной артерии. Окклюзия ВБА — вариант странгуляционной непроходимости кишечника. Достоверно установлено, что при этом состоянии потеря циркулирующего объема крови может составлять от 15 до 65% в зависимости от длины ущемленной петли.
В то время как при ущемлении короткой петли основной причиной смерти служат перфорация кишки и перитонит, ущемление длинной петли приводит к летальному исходу из-за потери жидкости. В классических экспериментах по воспроизведению такого типа кишечной непроходимости, которая в клинических условиях наблюдается при ущемленной грыже, в большинстве случаев вызывают поражение короткой петли кишки с окклюзией ее просвета, венозных и артериальных сосудов. Эта ситуация значительно отличается от полной ишемии средней части кишечника, при которой сохраняется проходимость венозных сосудов.
Однако и изолированное поражение артерий может приводить к большой потере внеклеточной жидкости. Объем крови у животных снижается в среднем на 34%. Объем циркулирующих эритроцитов уменьшается за то же время на 10%, тогда как объем плазмы — в среднем на 54%. Гематокрит непосредственно перед смертью животных достигает 65—70%. Такая массивная степень гемоконцентрации и потеря жидкости отмечаются в отсутствие сколько-нибудь выраженной портальной гипертензии, поэтому важно исключить в качестве причины указанных сдвигов хорошо известный синдром «обструкции печеночного оттока», который часто наблюдается у собак в ответ на стресс. На основании проведенных исследований можно прийти к выводу, что «утечка» плазмы в стенку и просвет кишки происходит из венозной части сосудистого русла через поврежденные кишечные капилляры.
Всасывание вазоактивных веществ из кишечника при окклюзии верхней брыжеечной артерии. В ишемизированном кишечнике образуются вазоактивные вещества, которые всасываются через брюшину, венозные и лимфатические сосуды. Эти вещества включают катехоламины, гистамин, 5-гидрокситриптамин (5-ГТ, серотонин), ферритин и такие ферменты, как бета-глюкуронидаза, трансаминазы, щелочная фосфатаза, диаминоксидаза и бета-N-ацетилгексозаминидаза. Кроме того, в крови воротной вены повышается содержание калия, фосфатов, гистамина и бактериального эндотоксина.
Ишемия кишечника служит причиной системных нарушений, которые могут проявиться задолго до гангрены, и даже массивного повреждения тканей.

Williams и его группа изучали ранние изменения миокарда при кратковременной ишемии тонкой кишки. Подтверждая и дополняя предшествующие исследования Bounous и соавт., Dogru и Atasoy, они показали, что через час окклюзии ВБА у собак отмечается значительное снижение сердечного выброса, сопровождаемое электрокардиографическими изменениями. При исследовании периферической крови был обнаружен миокардиальный депрессантный фактор (МДФ), идентифицированный по его действию на изолированные волокна миокарда крыс.
Аналогичные результаты получены Vyden, Nagasawa и Corday, изучавшими у собак изменения сердечно-сосудистой системы в ответ на острую окклюзию ВБА. Они установили, что вначале возникает транзиторное увеличение артериального давления, а также коронарного, почечного и мозгового кровотока, затем происходит нарастающее повышение системного сосудистого сопротивления в сочетании с падением кровотока во всех жизненно важных органах. Указанные изменения возникали рано, еще до значительного снижения объема плазмы, и не соответствовали тому, что можно было ожидать при выбросе серотонина из поврежденной кишки. Авторы поддерживают концепцию Lifer и Williams и полагают, что причиной этих расстройств служит миокардиальный депрессантный фактор, выделяющийся, вероятно, из ишемической поджелудочной железы.
Реваскуляризация кишки при окклюзии верхней брыжеечной артерии. Как уже отмечалось, если окклюзия ВБА сохраняется несколько часов, восстановление кровотока приводит к периферическому циркуляторному коллапсу и смерти животного.
Nelson и Kremen, определяя максимальное время толерантности собак к ишемии средней части кишечника, установили, что безопасная продолжительность окклюзии ВБА составляет 2 часа; снятие лигатуры с артерии через 3 часа окклюзии у 60% собак вызывает смерть, а через 4 часа погибают 80% животных.
При реваскуляризации ишемической кишки возникали кровоизлияния в ее просвет, сопровождавшиеся снижением объема плазмы и повышением гематокрита.
Несомненно, что реваскуляризация ишемической кишки небезопасна, и приведенные данные позволяют объяснить высокую летальность при мезентериальной эмболэктомии в клинической практике.
Zuidema и соавт. установили, что двухчасовая окклюзия ВБА у собак вызывает «утечку» в просвет кишечника поливинилпирролидона (ПВП), меченного 131I, а также сокращение содержание альбумина в сыворотке крови, уменьшение всасывания и транзиторное (в течение нескольких дней) снижение в крови концентрации азота мочевины. Содержание натрия и калия в сыворотке крови не изменяется.

В наших исследованиях были подтверждены данные о резком падении артериального давления, периферического сопротивления и объема крови, которые возникают после устранения окклюзии ВБА. При этом было показано, что если до устранения окклюзии наблюдается в основном снижение объема плазмы, то реваскуляризация приводит к массивному кровотечению в стенку и просвет кишки, что само по себе вполне достаточно для объяснения причины смерти животных.
В последующих работах было показано, что подключение к циркуляции через ишемическую кишку здоровых собак доноров также ведет к гибели животных, причем летальный исход не предотвращается с помощью замещения крови. Это дает возможность предположить, что в таких условиях всасывание токсических веществ — менее значимый фактор летальности, чем кровотечение.
Эти давние исследования могли вызывать сомнения: во-первых, в них не придавалось значения роли селезенки в регуляции объема крови; во-вторых, для измерения общего объема крови использовался меченный йодом сывороточный альбумин, что, как установлено в настоящее время, может давать ошибочные результаты; в-третьих, выводы делались на основании экспериментов с перекрестным кровообращением без подбора животных по группе крови.
Однако последующие исследования с применением более совершенных методов подтвердили полученные данные.
Так, Chiu, Scott и Gurd, признавая значение всасывания таких токсических факторов, как гистамин и бета-глюкуронидаза, установили, что летальность собак после трехчасовой окклюзии верхней брыжеечной артерии может быть снижена с 89 до 36% с помощью адекватной инфузионной терапии. При этом восстановление мезентериального кровообращения после такого же периода окклюзии не вызвало циркуляторной недостаточности. Kangwalklai и соавт. провели тщательные и широкие исследования нарушений, возникающих во время трехчасовой окклюзии верхней брыжеечной артерии и после нее. Они подтвердили наши данные о нарастающей потере плазмы (по их данным — 3,9% в час в отличие от установленных нами 5%, что, впрочем, может быть обусловлено различиями в деталях эксперимента).
Однако после снятия зажима с артерии они обнаружили значительно меньшее снижение объемов крови и плазмы, хотя и установили сокращение объема общей и особенно внутриклеточной воды в организме. Позднее данные о большем снижении всего объема циркулирующей крови были получены Tjiong и соавт., работающими в той же группе, что и предыдущие исследователи.
Тем не менее этот вопрос нельзя считать окончательно решенным. В частности, имеются убедительные данные о том, что смертельный исход, связанный с реваскуляризациеи ишемического кишечника задолго до развития его полного некроза, часто не предотвращается поддержанием объема крови на нормальном уровне, в то время как обработка кишки с помощью различных мер, направленных на уменьшение образования эндотоксина и профилактику вазоконстрикции в кишечной стенке, способствует снижению летальности.
Оценка жизнеспособности кишки при окклюзии верхней брыжеечной артерии. Выяснение возможности восстановления сегмента кишки, поврежденного при ишемии, в клинических условиях представляется важным вопросом. Хорошо известна ненадежность такой оценки по цвету кишки, наличию артериальной пульсации и перистальтики.
Более совершенные методы включают тест восстановления бромида тетразолия и использование меченных альбумином микросфер, однако эти (в основном экспериментальные) методы не получили распространения в клинической практике, поскольку требуют сложного оборудования, наличие которого маловероятно в экстренной ситуации.
В настоящее время используются два метода — допплеровская ультразвуковая диагностика и внутривенное введение флюоресцеина.
Кишечник при острой окклюзии верхней брыжеечной артерии. Гистология
Влияние острой окклюзии верхней брыжеечной артерии на кишечник. Влияние перевязки верхней брыжеечной артерии изучается уже более ста лет. В 1975 г. Linen провел первые эксперименты. В опытах на 40 собаках Litten установил, что перевязка ВБА неминуемо приводит к смерти животных через 12—48 часов; этот период сопровождается рвотой, диареей с кровью и лихорадкой.
После перевязки верхней брыжеечной артерии полностью исчезает пульсация, кишка становится сине-белой и спастической со спавшимися артериями и набухшими венами. Вначале сокращения усиливаются, однако в последующем они исчезают, и спустя несколько часов петли кишки полностью расслабляются и растягиваются. Через 8—10 часов начинается выраженное кровотечение, и при вскрытии кишечник от двенадцатиперстно-тощекишечного изгиба до поперечной ободочной кишки имеет темно-красный цвет с тусклой геморрагической отечной поверхностью.
Серозная оболочка покрыта волдырями, отмечается кровоизлияние в мышечные слои.
Слизистая оболочка отечна, с обильным серозно-геморрагическим секретом. В лимфатических узлах брыжейки обнаруживаются кровоизлияния.
Вены наполнены кровью, но не тромбированы.

Эта картина идентична той, которая впоследствии была описана Hertzler и Boyd у больных после мезентериальной эмболии. Выявленные ими гистологические изменения заключались в некрозе, распространившемся от слизистой оболочки к наружным слоям кишки, с оттенком и кровоизлияниями; при микроскопическом исследовании брыжейки и стенки кишки отмечались ретроградный венозный кровоток и наполнение венозных сосудов различной степени.
Деструкция кишки неоднородна по той причине, что кровоток находится под действием множества факторов (механических, биохимических и гормональных).
Диаметр и расположение определенной кишечной петли, не имея никакого значения в нормальных условиях, становятся решающим фактором, если давление артериального притока резко падает; в таких случаях незначительные изменения внутрипросветного давления, связанные с зонами спазма и обструкции, могут оказывать огромное влияние на интрамуральный кровоток. Более того, было показано, что бактериальный и химический состав кишечного содержимого имеет значительное воздействие на темпы развития некроза после окклюзии ВБА.
Кроме того, после окклюзии артерии всегда отмечаются еще два характерных нарушения: появление в брюшной полости умеренного количества мутной с дурным запахом жидкости и пузырьков газа в брыжеечных венах — предположительно в результате бактериальной активности в просвете и стенке кишки.
Гистологические признаки окклюзии верхней брыжеечной артерии. Самое раннее изменение после окклюзии ВБА — приподнимание эпителия с образованием пространства между железистыми клетками и основной мембраной. Затем верхушки ворсинок слущиваются, и образуются скопления мембран некротического эпителия, фибрина, воспалительных клеток и бактерий. Позднее появляется отек с кровоизлияниями в подслизистый слой, в то время как некротические изменения неуклонно распространяются от внутреннего слоя кишки кнаружи до такой степени, что в наиболее пораженных зонах не оставляется никаких следов строения слизистой оболочки.
Наряду с изменениями, обнаруживаемыми в слизистой оболочке, отмечается нарастающее запустевание артериального дерева с одновременным застоем в венозных сосудах и тромбозом отдельных сосудов. Воспалительная реакция в стенке кишки, вначале яркая, постепенно угасает, по-видимому, вследствие уменьшения количества клеток под влиянием аноксии без соответствующего их воспаления из артериальной циркуляции. По мере отделения и слущивания слизистой оболочки в просвет кишки ее стенка истончается, и через 9—10 часов могут возникнуть перфорации.
Читайте также:
- Лечение перфорации пищевода при травме. Принципы
- Рентгеноанатомия верхней челюсти. Резцы и клыки на рентгеновском снимке.
- Описторхоз: симптомы, возбудитель, диагностика и лечение
- Клиника и диагностика иммунонегативного гломерулонефрита при васкулитах
- Рассеянный склероз - симптомы и признаки, лечение
