Внутримозговое кровоизлияние
Добавил пользователь Владимир З. Обновлено: 18.01.2026
Кровоизлияние в мозг выражается кровотечением с попаданием крови в мозговую ткань (внутрицеребральное кровоизлияние) или же в пространство между наружной мозговой оболочкой и черепной коробкой (субарахноидальные, субдуральные, эпидуральные кровоизлияния). Все эти кровотечения могут возникать как в результате черепно-мозговых травм, так и из-за каких-либо других причин, связанных с такими заболеваниями, как системная гипертензия и других системных заболеваний организма.
Внутримозговое кровоизлиянеие возникает в результате разрыва стенок мелких, снабжающих мозг, кровеносных сосудов, особенно в определенных областях головного мозга, в связи с чем, кровь из лопнутых сосудов поступает внутрь мозга и разрушает ткань головного мозга. Ежегодно, внутримозговое кровоизлияние наблюдается примерно у 12-15 пациентов из 100 000 человек. Причем этот показатель значительно выше у пациентов в возрасте старше 40 лет. Соотношение мужчин и женщин, у которых наблюдается внутримозговое кровоизлияние составляет как 1:1,67.
К факторам риска относятся артериальная гипертензия, амилоидная ангиопатия, травмы, употребление алкогольных напитков и табакокурение. Кроме того, внутримозговое излияние также могут вызывать и употребление таких лекарственных препаратов, как аспирин, нестероидные противовоспалительные средства и тромболитические препараты. С возрастом сосуды головного мозга подвержены износу и теряют свои упругие свойства. В связи с чем, стенки таких сосудов теряют свою эластичность. Утрата эластичности и износ стенок сосудов, вызванные такими заболеваниями, как амилоидная ангиопатия и гипертония способствуют разрыву сосудов и утечки крови в ткани головного мозга. Это создает накопление и образования сгустков крови, которые разрушительно воздействуют на мозговую ткань. В то же время, такое проявление, обусловленное образованием и скоплением подобных сгустков крови, нарушая систему кровообращения, способствует развитие ишемии в мозге.
Клинические симптомы чаще всего проявляются как одностороннее ослабление мышечного тонуса, головная боль и изменения в сознании. К тому же, может наблюдаться невнятность речи, судороги, тошнота и рвота.
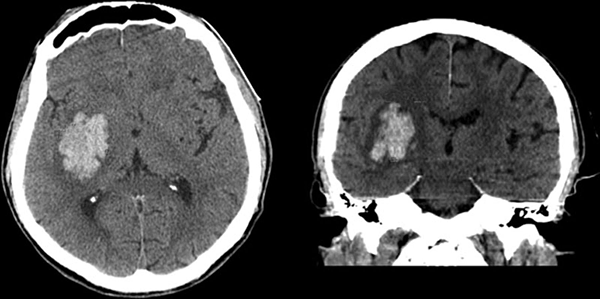
Для установления предварительного диагноза необходимо получить подробую информацию в отношении истории болезни пациента. При постановке диагноза необходимо анализировать радиологические результаты и визуализационные изображения, полученные в ходе проведения компьютерной томографии и магнитно-резонансной томографии. При выборе метода диагностики предпочтение отдается компьютерной томографии из-за возможности точной постановки диагноза в течение короткого времени.
Для того, чтобы защитить жизненно важные функции пациента при лечении внутримозгового кровоизлияния, прежде всего необходимо обеспечить поддержку дыхательной и сердечно-сосудистой систем. После проведения анализа и определения объема кровотечения и его локализации в головном мозге, выполняется общая оценка неврологической картины пациента. Затем принимается решение, определяющее какое лечение должно быть назначено пациенту: хирургическое или медикаментазное. При хирургическом вмешательстве происходит удаление кровяной массы, скопившейся в мозговой ткани, а также остановление кровотечения. При медикаментозном лечении пациенту назначаются лекарственные препараты для снижения внутричерепного давления и уменьшения отека в области локализации кровотечения. Кроме того, чтобы предотвратить возможное появление судорог пациенту могут быть назначены противоэпилептические препараты.
Субарахноидальное кровоизлияние представляет собой кровоизлияние в субарахноидальное пространство или полость, которая расположена между паутинной и мягкой мозговыми оболочками. Оно наблюдается у 10-16 человек на 100 000 человек. К факторам риска можно отнести наследственные заболевания, табакокурение, употребление алкоголя, гипертонию, а также употребление таких лекарственных препаратов, как оральные контрацептивы, кокаин и амфетамины. Субарахноидальное кровоизлияние может произойти спонтанно, обычно вследствие разрыва артериальной аневризмы, или в результате черепно-мозговой травмы, гипертонии, атеросклероза, артериовенозных мальформаций, опухоли головного мозга, нарушения свертываемости крови, энцефалита, менингита, менингоэнцефалита, а также из-за осложнений, связанных с антикоагулянтной терапией или же в результате каких-либо других неизвестных причин.
Наиболее распространенные симптомы чаще всего проявляются в виде очень интенсивной головной боли и ригидности затылочных мышц являются. Кроме того, у пациентов может наблюдаться тошнота, рвота, головокружение, раздвоенное видение, судороги, помутнение сознания, которые сопутствуют симптомам, встречающимся и при внутримозговом кровоизлиянии. Постановка диагноза осуществляется после обследования при помощи компьютерной томографии, благодаря которой самым быстрым образом выявляется наличие кровоизлияния в мозговой ткани. После определения кровотечения требуется проведение ангиографии для визуализации сосудов головного мозга.
Если в ходе ангиографии будет выявлена аневризма, то в зависимости от области ее локализации и ее характерных свойств при помощи хирургических или эндоваскулярных методов она должна быть удалена, при этом, стенки сосуда укрепляются при помощи специального материала. Несмотря на все развития в
современной медицине, 25-30% пациентов с субарахноидальным кровоизлиянием умирает, до того, как они поступят в больницу, при этом, 30-50% оставшихся пациентов полностью излечивается.
Эпидуральная гематома - это скопление крови, которое возникает между внутренней поверхностью черепа и твёрдой мозговой оболочкой в результате травматического повреждения костей черепа. Причиной возникновения такой гематомы является разрыв и повреждение кровеносных сосудов твердой мозговой оболочки, которые, как правило, являются следствием травмы или перелома костей черепа. Эпидуральная гематома составляет 0,2-0,6% от всех случаев травм головного мозга. Клинически эпидуральная гематома проявляется тримя способами: в первую очередь, это светлый промежуток (lucid interval) - временное улучшение состояния пациента после черепно-мозговой травмы, за которым следует резкое ухудшение. Во втором случае, сознание полностью закрыто и не наступает какого-либо улучшения состояния, в третьем случае происходит помутнение сознания. Точный диагноз подтверждается с помощью компьютерной томографии, при этом, для диагностики также возможно использование магнитно-резонансной томографии. Но в связи с тем, что компьютерная томография дает возможность более быстрым способом получить результаты, которые имеют жизненно важное значение, а она является более предпочтительной при диагностике данного вида гематомы.
Лечение эпидуральной гематомы предусматривает отслеживание, скопившейся в области между внутренней поверхностью черепа и твёрдой мозговой оболочкой, крови и степень давления, которое она оказывает на мозговую ткань, с последующим хирургическим вмешательством. Если имеется небольшое количество скопившейся крови, за пациентом устанавливается очень тщательное наблюдение и состояние его здоровья постоянно контролируется. Если же, принимается решение о необходимости проведения хирургического вмешательства, оно должно быть реализовано в самый кратчайший срок. При хирургическом вмешательстве, скопившуюся в мозговой ткани, кровь сливают и определяя источник возникновения, останавливают кровотечение. Исход хирургического вмешательства приносит довольно блестящие результаты. Хорошие результаты достигаются в 55-89% после хирургического лечения, при этом, уровень смертности колеблется в пределах 5-29%.
Для лечения гематом, вызывающих неврологические расстройства и оказывающие давление на окружающие ткани, используется хирургическое вмешательство. При хирургическом вмешательстве, скопившуюся в мозговой ткани, кровь удаляют и определяя источник возникновения, останавливают кровотечение. Уровень смертности колеблется в пределах 42-90%, при этом, данный показатель в значительной степени выше, чем при эпидуральной гематоме.
Кровоизлияние в мозг
Вы ищете информацию о кровоизлиянии в мозг и специалистах по лечению или реабилитации? Здесь вы найдете только опытных специалистов и клиники в Германии, Швейцарии или Австрии. Узнайте о возможных причинах, симптомах, лечении и реабилитации или свяжитесь с нашими специалистами.
Специалисты и клиники в Германии, Швейцарии и Австрии

Проф. д-р мед. наук Андреас Р. Люфт
Неврологическая реабилитация
Вицнау

Проф. д-р мед Андреас Раабе

Проф. д-р мед. наук Файт Роде

Проф. д-р мед. наук почетный доктор Уве Шпецгер

Проф. д-р мед. наук Йоахим Эртель
Информация о лечении в Германии, Швейцарии и Австрии
Что такое мозговое кровоизлияние?
"Кровоизлияние в мозг" — это, с медицинской точки зрения, разговорный термин, обозначающий кровотечение внутри черепа (внутричерепное), в области мозга (внутримозговое), а также в области оболочек мозга (экстрацеребральное). Как правило, о церебральном кровоизлиянии говорят, когда в головном мозге происходит внутримозговое кровоизлияние. Ежегодно в Германии внутримозговое кровоизлияние происходит примерно у 10-12 человек из каждых 100 000. Субарахноидальное кровоизлияние, эпидуральную и субдуральную гематому как внутричерепно-экстрацеребральную форму кровоизлияния следует отличать от внутримозгового кровоизлияния. При ишемическом инсульте, который вызывает симптомы, схожие с внутримозговым кровоизлиянием, ишемическое повреждение (недостаток поступления кислорода) приводит к разрушению тканей мозга. При внутримозговом кровоизлиянии ("геморрагический инсульт") ткани мозга повреждаются в результате кровоизлияния. 10-17% инсультов вызваны внутримозговым кровоизлиянием.
Поскольку мозг находится внутри черепной кости, он не может расширяться дальше при увеличении объема. При кровотечении в мозге увеличивается его объем, а вместе с ним и давление на ткани мозга. Повышенное давление на нервные клетки мозга повреждает и разрушает их.
Что вызывает кровоизлияние в мозг?
Многолетнее повышенное кровяное давление, ожирение, дислипидемия и употребление табака приводят в долгосрочной перспективе к определенным изменениям сосудов (атеросклерозу). На измененных участках могут образовываться как аневризмы, так и тромбы, что играет решающую роль в патофизиологии инсультов и других сердечно-сосудистых заболеваний. Другими причинами инсульта являются опухоли, нарушения свертываемости крови или амилоидная ангиопатия (аномальные отложения белка в сосудах головного мозга). Геморрагические (кровавые) инсульты также возникают в результате тяжелой черепно-мозговой травмы. В настоящее время все больше пациентов, особенно пожилого возраста, принимают антикоагулянтные препараты, которые могут играть важную роль в развитии кровоизлияния в мозг, поэтому они должны назначаться после строгого изучения показаний и тщательного рассмотрения соотношения риска и пользы.
Какими симптомами сопровождается кровоизлияние в мозг?
Интра- и экстрацеребральные кровоизлияния часто имеют схожие симптомы. У больных внезапно появляются речевые и двигательные нарушения, часто с акцентом на одну сторону, а также может наблюдаться помутнение сознания вплоть до комы. Большинство пациентов также жалуются на тошноту, рвоту и головные боли.
Внутримозговое кровоизлияние: шансы на выживание и на лечение
Внутримозговое кровоизлияние — это опасная для жизни чрезвычайная ситуация, требующая быстрых действий. Поскольку кровотечение с каждой минутой приводит к дальнейшему повреждению мозга из-за возрастающего давления, необходимы быстрые действия с максимально быстрой транспортировкой пострадавшего в больницу.
Для уменьшения давления на мозг, вызванного кровотечением, и остановки кровотечения может потребоваться нейрохирургическое вмешательство.
Поскольку симптомы внутримозгового кровоизлияния невозможно отличить от симптомов ишемического инсульта, а методы лечения, тем не менее, противоположны, проведение процедуры визуализации ( КТ или МРТ ) имеет решающее значение для точной и, прежде всего, быстрой диагностики. Как правило, проводится компьютерная томография (КТ) из-за быстроты получения результатов.
В зависимости от конкретного случая, неотложная терапия включает в себя как неоперативные, так и нейрохирургические методы лечения. Безоперационный метод лечения в основном включает в себя точный контроль артериального давления. Проведение оперативного, нейрохирургического вмешательства с целью снижения внутричерепного давления необходимо, прежде всего, при нарушении сознания или увеличении степени кровоизлияния. После внутримозгового кровоизлияния риск эпилептических припадков повышается из-за повреждения головного мозга. Одним из основных осложнений после кровоизлияния в мозг является послеоперационное кровотечение, которое возникает почти у 40% пострадавших в первые 24 часа после перенесенного кровоизлияния.
Выживаемость при внутримозговом кровоизлиянии зависит в основном от размера и локализации повреждения. Так, при кровоизлиянии объемом более 60 мл крови в случае глубоко расположенных кровоизлияний умирает около 93% пациентов, в то время как при кровоизлиянии объемом менее 30 мл крови в сопоставимом месте умирает только 23%. В целом, исследования показывают, что 35-52% пациентов умирают в течение первого месяца после кровоизлияния в мозг и только 20% пациентов больше не нуждаются в посторонней помощи через 6 месяцев после кровоизлияния. У большинства пациентов в течение болезни наблюдаются долгосрочные повреждения, такие как двигательные, речевые или когнитивные нарушения.
Что будет дальше? - Реабилитация после кровоизлияния в мозг
Если состояние пациентов стабилизировалось, то сразу после острой фазы заболевания начинаются реабилитационные мероприятия, зачастую проводимые параллельно с интенсивной медицинской терапией. Поскольку человеческий мозг способен восстанавливать утраченные функции и компенсировать повреждение структур мозга здоровыми нервными клетками, важен внимательный и ранний уход со стороны опытных специалистов-неврологов.
Что делается во время реабилитации после кровоизлияния в мозг?
В ходе курса неврологической реабилитации пациенты получают поддержку в борьбе с двигательными и речевыми, а также когнитивными и другими нарушениями. Как правило, лечащие терапевты (врачи, физиотерапевты, эрготерапевты, логопеды, психотерапевты и т.д.) работают в тесном сотрудничестве в составе междисциплинарной команды с целью достижения наилучшего результата в работе с пациентами. Поскольку ограничения пациентов после внутримозгового кровоизлияния могут быть совершенно разными, то план терапии всегда разрабатывается с учетом индивидуальных особенностей пациента.
В зависимости от степени неврологических ограничений реабилитационный уход может быть разным по продолжительности. В большинстве случаев срок пребывания в стационаре составляет 6-8 недель. Дальнейшая реабилитационная помощь для поддержания успеха часто может проводиться амбулаторно.
Какая реабилитационная клиника подходит после кровоизлияния в мозг?
После внутримозгового кровоизлияния пациентам рекомендуется пройти курс реабилитации в клинике неврологического профиля, так как профильные клиники лучше всего приспособлены для работы с данными пациентами и их требованиями. Мы рекомендуем обращаться к специалистам с многолетним опытом работы. Одной из ведущих реабилитационных клиник для неврологических пациентов в Швейцарии является клиника cereneo под руководством нашего специалиста профессора Люфта.
Мы поможем вам найти специалиста по вашему заболеванию. Все перечисленные врачи и клиники были проверены нами на предмет их выдающейся специализации в области лечения мозговых кровоизлияний и ожидают ваших вопросов или заявки на лечение.
Невролог «СМ-Клиника» рассказала о кровоизлиянии в мозг
АЛЕНА ПАРЕЦКАЯ
Врач-патофизиолог, иммунолог, член
Санкт-Петербургского общества патофизиологов
ПОЛИНА ПЕТРОСЯН
Врач-невролог «СМ-Клиники», специалист
по цереброваскулярным заболеваниям
и головной боли
Второе название этой патологии – геморрагический инсульт. Он возникает в любом возрасте, но чаще страдают люди зрелого и пожилого возраста – примерно 15 - 20% всех серьезных нарушений мозгового кровообращения составляет именно кровоизлияние в мозг.
Что нужно знать о кровоизлиянии в мозг
Что такое кровоизлияние в мозг
Кровоизлияние в мозг – это состояние, угрожающее жизни, которое возникает при разрыве одной из мозговых артерий, в результате чего крови выливается в ткань мозга. Мозговая ткань пропитывается кровью или образуется гематома (скопление крови, которое давит на окружающие ткани), возможно вытекание крови в желудочек мозга, из-за чего нарушается отток ликвора, повышается внутричерепное давление.
Та часть мозга, которая лишилась крови из-за разрыва сосудов и те ткани, которые пропитаны кровью, перестают работать, клетки гибнут. Соответственно, чем крупнее сосуд, который разрывается, тем опаснее для жизни и здоровья будут последствия.
Причины кровоизлияния в мозг у взрослых
Причин, почему сосуды разрываются, и кровь выливается в ткань мозга, достаточно много. Среди самых частых можно выделить:
- аневризмы артерий (истончение стенки, образование мешочка с кровью, который переполняется и лопается);
- сосудистые мальформации (врожденные дефекты, истончение, извитость стенок);
- разрывы сосудов при гипертоническом кризе из-за запредельной нагрузки на стенки;
- травмы головы с разрывами сосудов;
- опухоли, которые прорастают и повреждают артерии;
- прием препаратов, разжижающих кровь (если не соблюдены дозировки);
- развитие некоторых системных заболеваний, при которых страдают стенки артерий (например, амилоидоз).
Симптомы кровоизлияния в мозг у взрослых
Ключевые симптомы, возникающие при кровоизлиянии в мозг, нам назвала врач-невролог Полина Петросян. По ее словам, для внутримозгового кровоизлияния характерно острое начало, с быстрым развитием клинической картины:
- внезапная выраженная головная боль;
- тошнота и рвота;
- головокружение.
- односторонняя слабость в конечностях (гемипарез) вплоть до полного отсутствия движений в них (гемиплегия);
- ограничение движения глазных яблок;
- нарушение речи – как ее воспроизведения, так и понимания;
- нарушение глотания и дыхания;
- нарушение сознания вплоть до комы.
Лечение кровоизлияния в мозг у взрослых
Важно, чтобы помощь при кровоизлиянии в мозг была оказана как можно скорее. В идеале – в первые 1 - 3 часа после первых симптомов. В этот промежуток можно спасти максимально возможное количество нервной ткани и уменьшить последствия, остановить кровотечение. Но важно как можно скорее и точнее поставить диагноз.
Диагностика
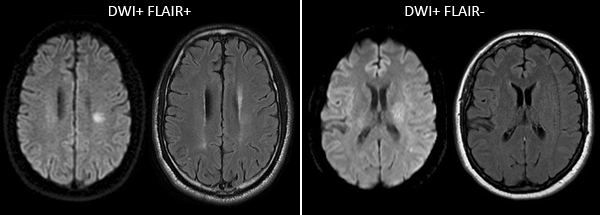
Врач может заподозрить кровоизлияние в мозг по типичным симптомам, особенно если есть их связь с травмами или другими факторами риска. Но золотой стандарт диагностики – КТ мозга. В первые сутки после начала кровоизлияния данные будут наиболее точными, даже более значимыми, чем при МРТ. На томограммах свежие гематомы отчетливо видны, врач может определить их точную локализацию, размеры и форму. Кроме того, он сразу же оценивает, насколько пострадали структуры мозга, оболочки и система циркуляции ликвора.
Если кровоизлияние определяют спустя 3 суток и более, более точным будет уже МРТ. Он лучше определит гематому, в которой кровь уже имеет окисленный, частично распадающийся гемоглобин.
Если это люди молодого возраста, без гипертонии, им могут назначить ангиографию сосудов мозга. Дополнительно проводят ЭКГ, рентген грудной клетки, анализы крови на уровень электролитов, ПТВ с АЧТВ (показатели свертывания).
Современные методы лечения
– Лечение внутримозгового кровоизлияния проводится только в условиях стационара (госпитализация в специализированное отделение), – напоминает врач-невролог Полина Петросян. – В зависимости от причины, локализации и симптоматики лечение может быть как медикаментозным (консервативным), так и хирургическим. Тактику лечения возможно определить исключительно в условиях стационара после осмотра необходимыми специалистами – неврологом и нейрохирургом.
Последствия кровоизлияния в мозг у взрослых
Самое опасное при кровоизлиянии в мозг – это те последствия, которые могут развиться. Среди них Полина Петросян отмечает:
– Последствия могут привести к инвалидности, но могут и не повлиять на нормальный образ жизни и трудоспособность, - говорит доктор Полина Петросян. – После кровоизлияния может сохраняться односторонняя слабость в конечностях, снижение чувствительности в них, различные речевые нарушения. Полное восстановление возможно, если вовремя приняты меры по реабилитации, если пациент самостоятельно прикладывает усилия к реабилитационным мероприятиям.
Профилактика кровоизлияния в мозг у взрослых в домашних условиях
Основные меры профилактики ничем принципиально не отличаются от многих других болезней. Своевременно лечите гипертоническую болезнь, регулярно посещайте врача и выполняйте все его предписание, принимайте все препараты, которые были назначены.
Следите за своими факторами риска – работайте над снижением высокого уровня холестерина, контролируйте сахарный диабет, откажитесь от вредных привычек.
Популярные вопросы и ответы
Когда нужно вызывать скорую помощь и насколько благоприятны прогнозы при развитии кровоизлияния в мозг нам рассказала врач-невролог Полина Петросян.
Когда вызывать скорую при кровоизлиянии в мозг (как понять, что это оно)?
Вызов бригады СМП (скорой медицинской помощи) необходим в случаях:
- остро возникшей нестерпимой головной боли;
- очаговой неврологической симптоматики (слабость в конечностях, нарушение речи, нарушениях движения глаз);
- если родственниками замечена разница в размерах зрачков;
- при повышенной возбудимости после приступа головной боли;
- при развитии судорог;
- на форе внезапной потери сознания.
Чаще всего прогноз неблагоприятный. Риск летального исхода увеличивается, если возраст пациента более 65 лет, имеются сопутствующие заболевания.
Независимо от возраста шансы выжить при кровоизлиянии в мозг увеличиваются, если сразу же (!) обратиться за медицинской помощью.
И надо обязательно заниматься профилактикой, заботой о своем здоровье, контролем хронических заболеваний, устранением факторов риска (курение, алкоголь, лишний вес).
Внутримозговое кровоизлияние

Первичные
• Гипертоническая микроангиопатия.
• Амилоидная ангиопатия.
Вторичные
• Сосудистые мальформации: артериовенозные, кавернозные
• Внутримозговые аневризмы.
• Инфекционный эндокардит: микотическая аневризма.
• Васкулит.
• Опухоль.
• Травмы.
• Антикоагулянты, дезагреганты, фибринолитики.
• Коагулопатии.

Внезапное появление симптомов:
• Нарушение сознания.
• Сильная головная боль.
• Головокружение.
• Нарушение зрения, глотания.
• Онемение, слабость, паралич лица, руки, ноги, особенно односторонний.
Триггеры (van Etten E, et al, 2022):
• Подъем >25 кг.
• Травма головы.
• Секс.
• Напряженная дефекация.
• Интенсивная физическая нагрузка.
• Респираторная вирусная инфекция, лихорадка.

• Неконтрастная компьютерная томография.
• Магнитно-резонансная томография.
• Сатурация кислорода.
• Электрокардиограмма.
• Анализ крови включая тромбоциты.
• Коагулограмма.
• Глюкоза, электролиты, азот мочевины, креатинин.

□ Внутримозговое кровоизлияние с гематомой правой теменно-затылочной области, левосторонняя гемиплегия (11:20, 17.03.2020). Гипертоническая болезнь. [I61.1]
□ Внутримозговое кровоизлияние в мозжечок (7.04.2016), ассоциированное с варфарином. [I61.4]

• Снижение АДс <140 мм рт. ст.
• Прием антикоагулянтов: витамин К (варфарин), идаруцизимаб (дабигатран), андексанет (инбигиторы Ха фактора), концентрат протромбинового комплекса, свежезамороженная плазма.
• Прием дезагрегантов: тромбоцитарная масса (?).
• Лечение внутримозговой гипертензии: подъем головного конца, гипервентиляция, гипертонический раствор или маннитол.
• Профилактика венозных эмболий: гепарин, интермиттирующая пневматическая компрессия.
• Симптоматическая терапия: оксигенация, антипиретики, антиконвульсанты, антибиотики при госпитальной пневмонии (не показаны для профилактики при дисфагии).140>

• Мозжечковое кровоизлияние с неврологическим ухудшением или компрессией ствола.
• Гидроцефалия вследствие желудочковой обструкции.
Кровоизлияние в мозг у взрослых

Второе название этой патологии – геморрагический инсульт. Он возникает в любом возрасте, но чаще страдают люди зрелого и пожилого возраста – примерно 15 — 20% всех серьезных нарушений мозгового кровообращения составляет именно кровоизлияние в мозг.
Что такое кровоизлияние в мозг
Кровоизлияние в мозг – это состояние, угрожающее жизни, которое возникает при разрыве одной из мозговых артерий, в результате чего крови выливается в ткань мозга. Мозговая ткань пропитывается кровью или образуется гематома (скопление крови, которое давит на окружающие ткани), возможно вытекание крови в желудочек мозга, из-за чего нарушается отток ликвора, повышается внутричерепное давление.
Та часть мозга, которая лишилась крови из-за разрыва сосудов и те ткани, которые пропитаны кровью, перестают работать, клетки гибнут. Соответственно, чем крупнее сосуд, который разрывается, тем опаснее для жизни и здоровья будут последствия.
Причины кровоизлияния в мозг у взрослых
Причин, почему сосуды разрываются, и кровь выливается в ткань мозга, достаточно много. Среди самых частых можно выделить:
- аневризмы артерий (истончение стенки, образование мешочка с кровью, который переполняется и лопается);
- сосудистые мальформации (врожденные дефекты, истончение, извитость стенок);
- разрывы сосудов при гипертоническом кризе из-за запредельной нагрузки на стенки;
- травмы головы с разрывами сосудов;
- опухоли, которые прорастают и повреждают артерии;
- прием препаратов, разжижающих кровь (если не соблюдены дозировки);
- развитие некоторых системных заболеваний, при которых страдают стенки артерий (например, амилоидоз).
В молодом возрасте ведущими причинами кровоизлияний становятся травмы и врожденные аномалии сосудов. В пожилом – поражение сосудов атеросклерозом и разрыв их при гипертонии, опухолевые процессы.
Симптомы кровоизлияния в мозг у взрослых
Ключевые симптомы, возникающие при кровоизлиянии в мозг, нам назвала врач-невролог Полина Петросян. По ее словам, для внутримозгового кровоизлияния характерно острое начало, с быстрым развитием клинической картины:
- внезапная выраженная головная боль;
- тошнота и рвота;
- головокружение.

В зависимости от объема и локализации кровоизлияния, может возникать:
- односторонняя слабость в конечностях (гемипарез) вплоть до полного отсутствия движений в них (гемиплегия);
- ограничение движения глазных яблок;
- нарушение речи – как ее воспроизведения, так и понимания;
- нарушение глотания и дыхания;
- нарушение сознания вплоть до комы.
Во многом тяжесть симптомов зависит от того, какая часть мозга повреждена, сколько крови вытекло и насколько крупным был сосуд.
Лечение кровоизлияния в мозг у взрослых
Важно, чтобы помощь при кровоизлиянии в мозг была оказана как можно скорее. В идеале – в первые 1 — 3 часа после первых симптомов. В этот промежуток можно спасти максимально возможное количество нервной ткани и уменьшить последствия, остановить кровотечение. Но важно как можно скорее и точнее поставить диагноз.
Диагностика
Врач может заподозрить кровоизлияние в мозг по типичным симптомам, особенно если есть их связь с травмами или другими факторами риска. Но золотой стандарт диагностики – КТ мозга. В первые сутки после начала кровоизлияния данные будут наиболее точными, даже более значимыми, чем при МРТ. На томограммах свежие гематомы отчетливо видны, врач может определить их точную локализацию, размеры и форму. Кроме того, он сразу же оценивает, насколько пострадали структуры мозга, оболочки и система циркуляции ликвора.
Если кровоизлияние определяют спустя 3 суток или более, показательнее будет уже МРТ. Он лучше определит гематому, в которой кровь имеет окисленный, частично распадающийся гемоглобин.
Если это люди молодого возраста, без гипертонии, им могут назначить ангиографию сосудов мозга. Дополнительно проводят ЭКГ, рентген грудной клетки, анализы крови на уровень электролитов, ПТВ с АЧТВ (показатели свертывания).
Современные методы лечения
– Лечение внутримозгового кровоизлияния проводится только в условиях стационара (госпитализация в специализированное отделение), – напоминает врач-невролог Полина Петросян. – В зависимости от причины, локализации и симптоматики лечение может быть как медикаментозным (консервативным), так и хирургическим. Тактику лечения возможно определить исключительно в условиях стационара после осмотра необходимыми специалистами – неврологом и нейрохирургом.
Последствия кровоизлияния в мозг у взрослых
Самое опасное при кровоизлиянии в мозг – это те последствия, которые могут развиться. Среди них Полина Петросян отмечает:
– Последствия могут привести к инвалидности, но могут и не повлиять на нормальный образ жизни и трудоспособность, — говорит доктор Полина Петросян. – После кровоизлияния может сохраняться односторонняя слабость в конечностях, снижение чувствительности в них, различные речевые нарушения. Полное восстановление возможно, если вовремя приняты меры по реабилитации, если пациент самостоятельно прикладывает усилия к реабилитационным мероприятиям.

Профилактика кровоизлияния в мозг у взрослых в домашних условиях
Основные меры профилактики ничем принципиально не отличаются от многих других болезней. Своевременно лечите гипертоническую болезнь, регулярно посещайте врача и выполняйте все его предписание, принимайте все препараты, которые были назначены.
Следите за своими факторами риска – работайте над снижением высокого уровня холестерина, контролируйте сахарный диабет, откажитесь от вредных привычек.
Популярные вопросы и ответы
Когда нужно вызывать скорую помощь и насколько благоприятны прогнозы при развитии кровоизлияния в мозг нам рассказала врач-невролог Полина Петросян.
Когда вызывать скорую при кровоизлиянии в мозг (как понять, что это оно)?
Вызов бригады СМП (скорой медицинской помощи) необходим в случаях:
• остро возникшей нестерпимой головной боли;
• очаговой неврологической симптоматики (слабость в конечностях, нарушение речи, нарушениях движения глаз);
• если родственниками замечена разница в размерах зрачков;
• при повышенной возбудимости после приступа головной боли;
• при развитии судорог;
• на форе внезапной потери сознания.
Каковы шансы выжить при кровоизлиянии в мозг?
Чаще всего прогноз неблагоприятный. Риск летального исхода увеличивается, если возраст пациента более 65 лет, имеются сопутствующие заболевания.
Независимо от возраста шансы выжить при кровоизлиянии в мозг увеличиваются, если сразу же обратиться за медицинской помощью. И надо обязательно заниматься профилактикой, заботой о своем здоровье, контролем хронических заболеваний, устранением факторов риска (курение, алкоголь, лишний вес).
Читайте также:
- Диффузный кардиосклероза при пороках Фалло. Диффузный кардиосклероз при гипертрофии миокарда
- Патогенные бордетеллы. Паракоклюш. Возбудитель паракоклюша. Бронхосептикоз. Возбудитель бронхосептикоза.
- Синдром Маршалла
- Рентгенография при хронической патологии гортани. Туберкулез гортани
- Этиология и патогенез хронического риносинусита
