Воротниковое пространство плода. Значение воротникового пространства
Добавил пользователь Владимир З. Обновлено: 28.01.2026
Проблема наследственной и врожденной патологии, прежде всего врожденных пороков развития (ВПР), хромосомных и моногенных заболеваний за последнее десятилетие приобрела серьезную социально-медицинскую значимость. Частота врожденной и наследственной патологии в популяции составляет в среднем 5% от числа новорожденных детей. В структуре перинатальной заболеваемости и смертности врожденная и наследственная патология занимает 2-3 место. Широкое внедрение в клиническую практику скринингового ультразвукового исследования в 11-14 недель беременности позволяет провести раннюю пренатальную диагностику ВПР и хромосомных аномалий (ХА) [4]. Среди многочисленных эхографических маркеров ХА наиболее ценным считается толщина воротникового пространства [5]. Использование этого маркера позволяет выявлять до 66,7-92% хромосомных дефектов уже в ранние сроки беременности [6, 7]. Поэтому представляет научный интерес дальшейшее изучение увеличения толщины воротникового пространства (ТВП) плода как пренатального эхографического маркера врожденной и наследственной патологии.
Целью исследования явилась оценка величины толщины воротникового пространства плода в качестве маркера хромосомных аномалий и врожденных пороков развития плода.
Материал и методы. Тип исследования: когортное с проспективной когортой (2008 - 2010 г.).
Метод выборки: сплошной по мере обращения.
1. Беременность в сроке гестации 11–14 недель.
2. Известная дата последней менструации при 26–30 дневном цикле.
3. Согласие женщины на участие в исследовании.
1. Нарушения менструального цикла.
2. Указание на прием гормональных контрацептивов за два месяца до цикла зачатия.
3. Стимулированная беременность.
4. Многоплодная беременность.
В соответствии с критериями включения/исключения за указанный период было отобрано 1310 беременных в сроки гестации от 11 до 14 недель, состоявших на диспансерном учете в женских консультациях г. Челябинска.
После проведения ультразвукового скрининга беременные были распределены на две группы, с учетом размеров толщины воротникового пространства (ТВП) плода: основная группа - 175 женщин с увеличением размеров толщины воротникового пространства у плода (группа 1), группа сравнения – 1135 пациенток с нормальными размерами толщины воротникового пространства у плода, беременность которых завершилась своевременными родами и рождением нормальных здоровых детей (группа 2). В качестве пороговых (разделительных) значений принимался 95‰ ТВП от показателей, разработанных в результате наших исследований, согласно рекомендациям Н.А. Алтынник и М.В. Медведева и К. Николаидеса и соавт. [1,7]. Группы были сопоставимы по возрасту, паритету и сроку гестации.
Эхографические исследования проведены на ультразвуковых сканерах фирмы TOSHIBA (Япония) высокого (XARIO XG) и экспертного (APLIO XG) классов. Для измерения размеров ТВП использовали трансабдоминальный доступ сканирования. В случаях регистрации у плода эхографических маркеров хромосомных дефектов или врожденных пороков развития, исследование завершали трансвагинальным доступом для детального изучения анатомии и проведения расширенной эхокардиографии плода. В ходе пренатального консультирования пациентке сообщали о наличии риска хромосомной патологии и объясняли целесообразность пренатального кариотипирования. В сроке 11-13 недель гестации осуществляли трансабдоминальную аспирацию ворсин хориона. При отказе от пренатального кариотипирования в ранние сроки и выявлении других эхографических маркеров хромосомной патологии или врожденных пороков развития плода во втором триместре беременности, рекомендовалась оценка кариотипа плода методом кордоцентеза в 21-24 недели.
Статистический анализ данных проводился при помощи пакета статистических программ STATISTICA 6.0 (StatSoft, 2001) и программы MedCalc (9.1.0.1) for Windows. При распределении признака в выборке, близком к нормальному, количественные значения представлялись в виде средней арифметической и ее среднеквадратичного отклонения (M±σ).
Для оценки различий между двумя группами в количественных признаках с учетом характера распределения, близкому к нормальному, применяли t-критерий Стьюдента. Оценка межгрупповых различий по качественным признакам проводилась с использованием критерия χ 2 , а при ожидаемых частотах менее 10 – применялась поправка Йетса.
С целью оценки прогностической значимости показателей проводился ROC-анализ с вычислением чувствительности, специфичности, отношения положительного и отрицательного правдоподобия. Для всех видов анализа статистически достоверными считались значения p
Результаты исследования. Возраст беременных варьировал от 16 до 45 лет. Средний возраст пациенток в группах оказался сопоставимым: в группе 1- 28,7±5,43 лет, в группе 2 - 29,0±6,10 лет (р>0,05).
Согласно полученных нами данным толщина воротникового пространства плода в группе 2 (со своевременными родами и рождением здорового ребенка) постепенно увеличивается на сроках от 11 до 14 недель, составляя в среднем 1,3±0,3 мм в 11–12 недель, 1,4±0,4 мм в 12–13 недель и 1,5±0,3 мм в 13-14 недель, при отсутствии различий между величинами ТВП в эти сроки беременности (р>0,05).
В табл. 1 представлены значения толщины воротникового пространства плода в 11–14 недель беременности в группах сравнения.
Таблица 1. Показатели толщины воротникового пространства плода в 11–14 недель беременности в группах сравнения
Примечание: * - значимость различий (р<0,05) при сравнении групп 1 и 2
В основной группе численные значения расширенного воротникового пространства плода варьировали от 2,5 до 11,0 мм и превышали соответствующие показатели (5-й, 50-й, 95-й центиль) в группе сравнения в 11–12, 12-13 и 13-14 недель беременности (рис. 1).

Рис. 1. Увеличение толщины воротникового пространства
Из 175 плодов, у которых в сроке 11–14 недель беременности было выявлено расширение воротникового пространства, пренатальное или постнатальное кариотипирование для исключения хромосомных аномалий было осуществлено в 160 случаях. Из них хромосомные дефекты были обнаружены в 46/160 (28,8%) наблюдениях. У 114/160 женщин (71,2%) кариотип был нормальным. В 15 случаях хромосомный набор плода/новорожденного остался за пределами наших знаний из-за отказа пациентки от инвазивной диагностической процедуры или из-за отсутствия достаточного количества метафаз в биоптате хориона.
Структура хромосомных аномалий представлена на рис. 2.
Рис. 2. Структура хромосомных аномалий у плодов
Частота хромосомных аномалий варьировала в зависимости от величины толщины воротникового пространства, представлена на рис. 3.
Рис. 3. Частота хромосомных аномалий варьировала в зависимости от величины толщины воротникового пространства
Таким образом, при увеличении численных значений ТВП возрастала частота хромосомных заболеваний.
Помимо этого, при регистрации расширения воротникового пространства практически в каждом втором случае (43,2%, n=76) обнаруживались врожденные пороки: их частота оказалась выше при аномального кариотипе, по сравнению с нормальным – 69,7% (n=53) и 30,3% (n=23) соответственно, р
При выявлении хромосомных аномалий в группе с расширением ТВП чаще диагностировались множественные пороки развития и врожденные пороки сердца, несколько реже встречались пороки ЖКТ, МПС, ЦНС, КМС и КГ шеи, по сравнению с таковыми у плодов/новорожденных с нормальным набором хромосом. Различий по частоте других пороков развития плода не выявлено.
Таблица 2. Структура врожденных пороков развития в группе с расширением ТВП в зависимости от кариотипа плода
Примечание: NS - р>0,05
Таким образом, в соответствии с полученными данными, необходимо выделять пациенток с расширением ТВП у плода в группу высокого риска по врожденным порокам развития даже при отсутствии хромосомной патологии. Особое внимание следует уделять детальному изучению анатомии плода и эхокардиографическому исследованию, так как множественные врожденные пороки развития и пороки сердца регистрируются наиболее часто.
С целью оценки прогностического значения величины ТВП в отношении развития хромосомных аномалий плода в группах сравнения нами использовался ROC-анализ (рис. 4).

Рис. 4. ROC-кривая прогностического значения толщины воротникового пространства в отношении хромосомных аномалий плода
Проведенный анализ показал, что толщина воротникового пространства выше 2,6 мм ассоциирована с высоким риском развития хромосомных аномалий, причем указанный уровень имеет высокую чувствительность (100%) и специфичность (89,7%), а также отношение правдоподобия положительного результата (9,65), р
В последние годы многими авторами были опубликованы сведения о том, что увеличение ТВП может отмечаться не только при хромосомной патологии у плода, но и при различных ВПР [2, 3]. Большинство из этих пороков, потенциально, могут быть диагностированы только в более поздние сроки беременности или даже после родов. С целью оценки прогностического значения величины ТВП в отношении врожденных пороков развития плода нами также использовался ROC-анализ (рис. 5). Оценка ассоциации ТВП с различными ВПР плода представлена в табл. 3.

Рис. 5. ROC-кривая прогностического значения толщины воротникового пространства в отношении врожденных пороков развития плода
Согласно полученным данным, величина ТПВ выше 2,6-2,8 мм ассоциирована практически со всеми врожденными пороками развития, обладает высокой чувствительностью (100%) и специфичностью (87% и выше), что целесообразно использовать в клинической практике.
Выводы
1. В группе беременных с увеличением толщины воротникового пространства плода чаще встречаются хромосомные аномалии и врожденные пороки развития.
2. Толщина воротникового пространства выше 2,6 мм ассоциирована с высоким риском развития хромосомных аномалий (чувствительность - 100%, специфичность - 89,7%, отношение правдоподобия положительного результата - 9,65, р<0,001).
3. Толщина воротникового пространства выше 2,6-2,8 мм ассоциирована практически со всеми врожденными пороками плода (множественные врожденные пороки, врожденные пороки сердца, пороки желудочно-кишечного тракта и др.), обладая высокой чувствительностью (100%) и специфичностью (87% и выше).
4. Пороговые значения толщины воротникового пространства выше 2,6 мм целесообразно использовать в пренатальной диагностике врожденной патологии плода.
Таблица 3. Ассоциация толщины воротникового пространства с различными врожденными пороками развития по результатам ROC-анализа

Примечания: * - + LR – положительное отношение правдоподобия; - LR – отрицательное отношение правдоподобия; AUC – площадь под ROC-кривой
Список использованных источников:
1. Нормативные значения копчико-теменного размера и толщины воротникового пространства плода в ранние сроки беременности/ Н.А. Алтынник, М.В. Медведев// Ультразвуковая диагностика. Акуш. Гин. Педиат. - 2001. - Т. 9, №1. - С. 38–40.
2. Диагностическая ценность расширенного воротникового пространства в сочетании с допплеровским исследованием плодово-плацентарного кровотока в I триместре беременности при врожденной и наследственной патологии/ С.Г. Ионова, И.П. Цымбалова, А.В. Сидорова// Пренатальная диагностика. - 2004. - Т. 3, №3. - С. 233.
3. Копытова Е.И. Расширенное воротниковое пространство плода как пренатальный эхографический маркер врожденных и наследственных заболеваний: Автореф. дис. … канд. мед. наук. – М., 2007. – 22 с.
4. Медведев М.В. Основы ультразвукового исследования в акушерстве. - М.: Реал Тайм, 2006. – 96 с.
5. Основы ультразвукового скрининга в 11-14 недель беременности/ М.В. Медведев, Н.А. Алтынник. - М.: Реал Тайм, 2008. – 88 с.
6. Новый подход к расчету риска при проведении скринингового ультразвукового исследования в первом триместре беременности/ Е.С. Некрасова, А.Л. Коротеев, Т.В. Кузнецова, В.С. Баранов// Пренатальная диагностика. - 2005. - Т. 4, №1. - С. 22–28.
7. Multicenter study of first-trimester screening for trisomy 21 in 75 821 pregnancies: results and estimation of the potential impact of individual risk-orientated two-stage first-trimester screening/ K.H. Nicolaides, K. Spencer, K. Avgidou et al.// Ultrasound Obstet. Gynecol. - 2005. - Vol. 25. - P. 221–226.
Подписано в печать: 14.01.2012
Воротниковое пространство плода. Значение воротникового пространства
С середины 80-х годов с внедрением трансвагинальной эхографии (ТВЭ) появилась возможность проводить диагностику некоторых структурных нарушений у плода в первом триместре беременности. Благодаря широкому применению ультразвукового исследования на ранних сроках, и особенно ТВЭ, стали обращать внимание на эмбрионов с так называемым расширением анэхогенного воротникового пространства (ВП) в области задних отделов шеи, которое иногда могло распространяться до поясничной или крестцовой области.
Независимо от кариотипа плода визуализация при эхографии на ранних сроках беременности выраженного увеличения воротникового пространства, распространяющегося до крестцовой области, стало считаться прогностически неблагоприятным признаком, поскольку многие из плодов часто погибали в течение ближайших нескольких дней, что подтверждалось результатами ультразвукового исследования.

В течение последних десятилетий накоплено значительное количество данных, свидетельствующих о взаимосвязи выявления расширенного воротникового пространства и частотой наличия анеуплоидий у плода. В настоящее время с учетом результатов многочисленных данных проводится изучение (в сочетании с определением биохимических маркеров в крови матери) применения оценки воротникового пространства для скрининга анеуплоидий у беременных из группы низкого риска.
В дальнейших статьях представлены современные данные, относящиеся к феномену расширения воротникового пространства. Они включают в себя определение патологии, оценку точности измерения ВП при ультразвуковом исследовании и обсуждение факторов, его затрудняющих. В главе приводятся номограммы, учитывающие этнические особенности популяций, рассматриваются вероятные патофизиологические механизмы формирования патологии и обсуждается ее высокая сопутствующая частота у плодов с пороками сердца, аритмиями и другими заболеваниями сердечно-сосудистой системы.
Ниже будут описаны данные допплерометрических исследований (при обследовании кровотока в венозном протоке и артериях пуповины), проведена оценка показателей летальности (или частоты самопроизвольных выкидышей), затронуты вопросы значения определения ВП при беременности двойней, а также рассмотрена потенциальная эффективность этого маркера в качестве метода скрининга для выявления необходимости дальнейшего обследования беременной путем определения уровней биохимических маркеров в ее крови во втором триместре беременности для диагностики хромосомных нарушений у плода.
Все представленные данные получены в результате обследования в первом триместре большого числа беременных (более 500 пациенток) из групп высокого и низкого риска в отношении развития возможных анеуплоидий.
Информация на сайте подлежит консультации лечащим врачом и не заменяет очной консультации с ним.
См. подробнее в пользовательском соглашении.
Увеличение воротникового пространства в первом триместре. Пороки сердца и увеличение воротникового пространства
Точные механизмы, объясняющие причины возникновения феномена увеличения воротникового пространства у эмбрионов как с нормальным, так и аномальным кариотипом, в настоящее время остаются до конца не выяснены. При формировании кистозной гигромы шеи этиология этого процесса заключается в затруднении лимфооттока. Однако в случае с воротниковым пространством такой очевидной связи выявлено не было. S.Jackson et al. (1995) с помощью иммуногистохимической окраски препаратов (выявляющей антиген фактора VIII свертывающей системы крови и CD34) продемонстрировали отсутствие эндотелиальной выстилки в ткани, полученной из области воротниковой зоны у плода с трисомией 18, имевшего увеличение толщины воротникового пространства.
Кроме того, по-прежнему не имеется достаточных научных данных для объяснения причин спонтанного исчезновения увеличения воротникового пространства (независимо от наличия или отсутствия аномалий кариотипа), которое обычно происходит приблизительно через 4 нед после его выявления. К вероятным причинам формирования феномена воротникового пространства в первом триместре беременности относятся:
1) наличие сердечной патологии;
2) функционирование возможного транзиторного защитного декомпрессионного механизма, предохраняющего развивающуюся центральную нервную систему плода;
3) наличие коллагенопатий.
Ниже каждый из них будет рассмотрен более подробно.

Пороки сердца и увеличение воротникового пространства
J.A. Hyett et al. (1995) выполнили патоморфологическое исследование 36 плодов с трисомией 21. Во всех случаях диагноз был установлен путем биопсии ворсин хориона в конце первого триместра беременности после выявления увеличения толщины ВП до 3 мм или более при ультразвуковом обследовании. Перимембранозные межжелудочковые дефекты и атриовентрикулярные септальные дефекты были обнаружены в 20 (55,5%) из 36 наблюдений. Дефекты перегородок наблюдались у 1 из 11 плодов при толщине ВП равной 3 мм и у 19 из 25 при ее увеличении свыше 4 мм. Полученные данные подтверждают, что частота этой патологии значительно выше у плодов с трисомией 21 и увеличением воротникового пространства, чем у новорожденных с такой же аномалией кариотипа.
Кроме того, частота встречаемости дефектов перегородок сердца возрастает с увеличением толщины воротникового пространства. J.A. Hyett и соавт. также выявили взаимосвязь между их наличием у 19 плодов, имеющих трисомию 18, и увеличением воротникового пространства в сроки 11-14 нед беременности. Во всех случаях аномалия кариотипа была подтверждена с помощью биопсии ворсин хориона. Во всех 19 наблюдениях были диагностированы пороки сердца. Дефекты перегородок и сердечных клапанов наблюдалось наиболее часто, каждые из которых были выявлены в 16 (84%) случаях, в отличие от плодов из контрольной группы (50 наблюдений), у которых не обнаруживались отклонений развития сердца и главных сосудов.
В 14 из 16 случаев с аномалиями клапанного аппарата сердца было установлено поражение более одного клапана. Возможность оценки главных сосудов имелась у 18 из 19 плодов. У 10 - была обнаружена гипоплазия перешейка аорты или легочного ствола и у 6 - персистирующая верхняя левая полая вена. Авторы предположили, что гемодинамические изменения вследствие аномалий клапанного аппарата сердца (неперфорированные клапаны или гипоплазия главных сосудов) являются основным механизмом увеличения воротникового пространства при хромосомных нарушениях. J. Hyett et al. оценили морфологические размеры главных сосудов у 30 из 34 плодов с трисомией 21, подтвержденной путем биопсии ворсин хориона после обнаружения увеличения воротникового пространства в первом триместре беременности.
Дефекты перегородок сердца обнаруживались в 16 наблюдениях. Возможность провести оценку всех размеров главных сосудов имелась в 24 случаях. Морфометрический анализ выявил сужение диаметра перешейка аорты в сочетании с расширением диаметра аортального клапана и восходящей дуги аорты у плодов с трисомией 21 по сравнению с эмбрионами, имеющими нормальный кариотип. Кроме того, было обнаружено достоверное повышение соотношения между размером дистального отдела артериального протока и размером перешейка аорты. Степень сужения перешейка аорты была тем выраженнее, чем больше была толщина воротникового пространства.
УЗИ толщины воротникового пространства. Изменения толщины воротникового пространства у плода
Воротниковое пространство представляет собой скопление жидкости, наблюдаемое в области задней поверхности шеи плода в первом триместре. У плодов с увеличением толщины этого пространства имеется высокий риск хромосомных аномалий, главным образом трисомии 21, несколько реже - трисомий 18 и 13.
Кроме того, у плодов с утолщением воротникового пространства и нормальным кариотипом отмечается повышенный риск пороков сердца, диафрагмальной грыжи, омфалоцеле, аномалии развития стебля тела и секвенции деформаций, связанной с внутриутробной акинезией.
Некоторые редкие дисплазии скелета и генетические синдромы, обычно обнаруживаемые менее чем в 1 случае на 10 000 беременностей, могут также более часто встречаться среди таких плодов. Возможны следующие механизмы, объясняющие утолщение воротникового пространства:

1) сердечная недостаточность, вызванная пороками сердца, аорты или легочного ствола;
2) венозный застой в области головы и шеи как проявление секвенции сдавления тела плода при излитии околоплодных вод или сдавления органов верхнего средостения, вызванного диафрагмальной грыжей или сужением грудной клетки при дисплазии скелета;
3) нарушение состояния межклеточного вещества;
4) аномальное или замедленное развитие лимфатической системы;
5) недостаточность лимфатического дренажа из-за нарушения движений плода при разнообразных нейромышечных заболеваниях;
6) анемия или гипопротеинемия плода;
7) внутриутробная инфекция, проявляющаяся таким образом вследствие возникновения анемии или нарушения функции сердца.
В нескольких работах изучена информативность измерения воротникового пространства при скрининге с целью выявления плодов с синдромом Дауна (Down). Самая крупная работа, посвященная этой проблеме, была выполнена исследовательской группой скрининга в первом триместре при Фонде фетальной медицины (Fetal Medicine Foundation First Trimester Screening group).
Они провели измерение толщины воротникового пространства плода в сроки от 10 до 14 нед у 96 127 женщин с одноплодной беременностью. Среди них в 326 случаях (3,4 на 1000) была обнаружена трисомия 21, а в 325 случаях (3,4 на 1000) - другие хромосомные аномалии.
Толщина воротникового пространства оказалась выше 95-го процентиля для соотвествующих нормальных показателей для определенных значений копчико-теменного размера только у 4,4% (4209 из 95 476) оказавшихся в дальнейшем нормальных беременностей, у 71,8% (234 из 326) при трисомии 21, и у 70,5% (229 из 325) при других хромосомных аномалиях.
Было рассчитано, что скрининг основанный исключительно на измерении толщины воротникового пространства способен выявить 77% (95% ДИ от 72 до 82) плодов с трисомией 21, имея частоту положительного результата теста на уровне 5%. Введение в схему обследования определения концентрации биохимических маркеров (связанного с беременностью протеина плазмы A (pregnancy associated plasma protein, A - PAPP-A) и свободной (З-субъединицы хорионического гонадотропина ХГ), возможно, повысит выявляемость трисомии с 21 до 90% при сохранении той же частоты положительного результата теста - 5%.
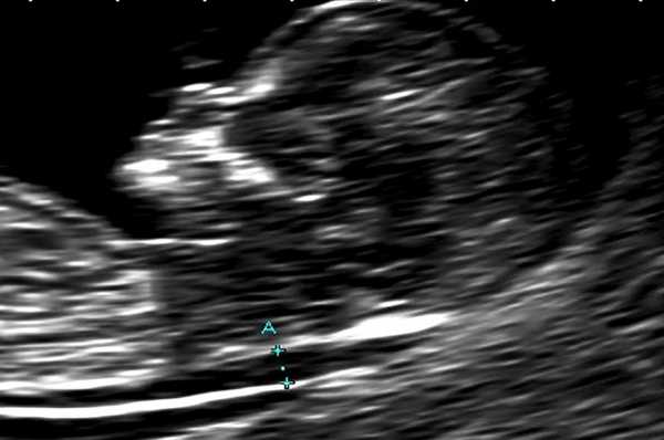
Толщина воротникового пространства (ТВП)
Воротниковое пространство – это скопление жидкости в области шеи плода. В нашей стране воротниковое пространство у плода исследуют в первом триместре беременности при скрининговом ультразвуковом обследовании в 10-14 недель беременности. Толщина воротникового пространства (ТВП) это область между внутренней поверхностью кожи плода и наружной поверхностью мягких тканей, покрывающих шейный отдел позвоночника.
Толщина воротникового пространства (ТВП)
Изображение воротникового пространства можно оценивать как с помощью трансабдоминального, так и трансвагинального сканирования. Оценка ТВП у плода проводится при значениях копчико-теменного размера (КТР плода) от 45 до 84 мм и позволяет заподозрить хромосомные аномалии, особенно трисомию 21-й хромосомы (синдром Дауна) и сформировать среди беременных группу риска по рождению детей с врожденной и наследственной патологией.
Толщина воротникового пространства (ТВП) на УЗИ
Толщина воротникового пространства. Норма
Толщина воротникового пространства в норме составляет от 0,7 до 2,7 мм в зависимости от срока беременности. Риск рождения ребенка с хромосомными аномалиями заметно увеличивается с утолщением воротникового пространства и возрастом матери. Поэтому всегда, когда толщина воротникового пространства составляет 3 мм или более, врач назначает проведение инвазивного кариотипирования (исследования, которое позволяет на клеточном уровне выявить возможность рождения малыша с генетическим синдромом, таким как синдром Дауна, Эдвардса, Патау и др), с использованием биопсии ворсин хориона (на анализ берется кусочек ткани плаценты) или раннего амниоцентеза (с целью получения образца амниотической жидкости).
Молодым женщинам (до 35 лет), не имеющим факторов повышенного риска хромосомных аномалий, может быть рекомендовано неинвазивное скрининговое УЗИ и сдача крови на биохимические маркеры (PPAP-А, ХГЧ, АФП).
Одновременный учет возраста матери, ТВП эмбриона и результатов определения в сыворотке крови матери свободного β-ХГЧ и РАРР-А позволяет более точно подтвердить или опровергнуть возможность рождения ребенка с хромосомными аномалиями, а также сократить количество инвазивных вмешательств.
Несмотря на наличие прямой зависимости между частотой хромосомных дефектов, врожденных пороков развития и расширением воротникового пространства у плода в ранние сроки беременности, ТВП нельзя полностью отождествлять с необходимостью прерывания беременности, так как более чем в 80% случаев рождаются здоровые дети. Расширенное воротниковое пространство является только показанием к более детальному и расширенному обследованию, в частности для своевременной диагностики врожденных пороков развития, которые могут проявиться позже обнаружения и исчезновения ТВП.
Читайте также:
- Септицемия. Общая гнойная инфекция без метастазов в ветеринарии
- Преимущества налоксона и плазмафереза при абстинентном синдроме. Лечение злокачественной наркомании
- Лекарства для лечения ВИЧ и СПИДа
- Поражение органов цитостатиками (противоопухолевыми средствами)
- Психогенное хроническое головокружение: причины, диагностика
