Вывихи нижней челюсти. Вправление нижней челюсти.
Добавил пользователь Валентин П. Обновлено: 18.12.2025
Вывих нижней челюсти – патологическое смещение суставной головки нижней челюсти за пределы своего анатомического ложа, приводящее к нарушению функции ВНЧС. Вывих нижней челюсти сопровождается невнятностью речи, невозможностью смыкания зубов (при заднем вывихе – невозможностью открыть рот), слюнотечением, выраженным болевым синдромом, смещением подбородка и изменением конфигурации лица. Диагноз вывиха нижней челюсти подтверждается данными рентгенографии или томографии височно-нижнечелюстного сустава. Лечебная помощь заключается во вправлении вывиха консервативным или хирургическим способом с последующей иммобилизацией нижней челюсти.
Общие сведения
Вывих нижней челюсти – стойкое нарушение анатомических взаимоотношений элементов височно-нижнечелюстного сочленения, сопровождающееся развитием характерного патологического симптомокомплекса. Вывихи нижней челюсти составляют 1,5-5,5 % от общего количества вывихов, встречающихся в травматологии. В большей степени возникновению вывиха нижней челюсти подвержены женщины среднего и пожилого возраста, что объясняется особенностями анатомии ВНЧС (небольшой глубиной нижнечелюстной ямки височной кости, меньшим размером суставного бугорка, относительной слабостью поддерживающего сустав связочного аппарата). Вопросами консервативного и хирургического лечения вывихов нижней челюсти занимается ортопедическая стоматология и челюстно-лицевая хирургия.
Причины вывиха нижней челюсти
Чаще всего механизм вывиха нижней челюсти связан с резкими движениями самой челюсти либо грубым внешним воздействием на нее. Самопроизвольный вывих нижней челюсти может быть вызван чрезмерным открыванием рта во время зевоты, крика, откусывания большого куска пищи, рвоты, пения, смеха и пр. В некоторых случаях вывих нижней челюсти случается при проведении разного рода медицинских манипуляций - удаления зубов, снятия слепков с зубов, зондирования желудка, бронхоскопии, гастроскопии, интубации трахеи и т. п. Причиной вывиха нижней челюсти могут стать различные вредные привычки: например, привычка открывать зубами бутылки, грызть орехи или вскрывать различные упаковки.
Кроме этого, острый травматический вывих может произойти в результате форсированного насильственного движения в суставе: прямого удара в нижнюю челюсть, падения на подбородок и пр.
Патологические и привычные вывихи нижней челюсти обычно возникают у пациентов с сопутствующими заболеваниями (подагрой, ревматизмом, ревматоидным полиартритом, эпилепсией, хроническим артритом и деформирующим артрозом ВНЧС, опухолями и остеомиелитом челюстей и пр.); при деформациях челюстей, неправильном прикусе, перерастяжении суставной капсулы, травматичном вправлении острого вывиха или недостаточных сроках иммобилизации нижней челюсти. Для их возникновения требуется незначительное внешнее воздействие; иногда такие вывихи возникают без видимых причин в результате постепенного смещения суставных поверхностей. Врожденный вывих нижней челюсти обусловлен аномалиями развития ВНЧС.
Факторами, предрасполагающими к возникновению вывиха нижней челюсти, служат ослабление связочного аппарата ВНЧС, уплощение суставной головки и снижение высоты суставного бугорка, гипермобильность сустава, полная адентия, пожилой возраст пациентов.
Классификация вывихов нижней челюсти
Прежде всего, следует различать полный и неполный вывих (подвывих) нижней челюсти: в первом случае соприкосновение суставных поверхностей нарушается полностью и суставная головка располагается вне пределов нижнечелюстной ямки височной кости; во втором (при подвывихе) - контакт суставных поверхностей частично сохранен. При сочетании вывиха нижней челюсти с переломом мыщелкового отростка говорят о переломовывихе.
В зависимости от времени и причин возникновения различают врожденные и приобретенные вывихи нижней челюсти; последние могут быть травматическими, патологическими и привычными по происхождению. С учетом направления смещения головки нижней челюсти вывихи подразделяются на передние и задние. По симметричности поражения выделяют односторонние и двусторонние вывихи нижней челюсти.
Вывих нижней челюсти, с момента возникновения которого прошло не более 5-10 дней, считается острым; от 1,5 недель и дольше - хроническим (застарелым). Если вывих нижней челюсти не сопровождается повреждением кожных покровов, он расценивается как простой; в случае разрыва сосудов, сухожилий, мягких тканей, кожных покровов, вывих считается осложненным. Наиболее часто в клинической практике встречаются передние двусторонние подвывихи и вывихи нижней челюсти.
Симптомы вывихов нижней челюсти
При переднем двустороннем вывихе нижней челюсти рот больного открыт, губы и зубы не смыкаются, речь затруднена и невнятна, поэтому пациент пытается объясниться жестами. Отмечается гиперсаливация, выраженная боль в околоушной области, изменение конфигурации лица за счет смещения подбородка кпереди. Осмотр выявляет напряжение жевательных мышц, уплощение щек; пальпаторно определяется смещение головок мыщелковых отростков. Попытки насильственного закрытия рта путем давления на подбородок снизу вверх безрезультатны и сопровождаются лишь низкоамплитудными пружинистыми движениями нижней челюсти и усилением болевых ощущений.
Клиника одностороннего вывиха нижней челюсти аналогична. Рот пациента приоткрыт, подбородок смещен в здоровую сторону от средней линии, нижняя часть лица перекошена. Привычный вывих сопровождается девиацией нижней челюсти, хрустом, щелканьем и болезненностью в суставе.
В отличие от переднего вывиха, при смещении суставной головки нижней челюсти назад пациент не может открыть рот, что также затрудняет глотание, дыхание и речь. Основные жалобы связаны с резкой болью в околоушных областях. Положение больного вынужденное, с наклоном головы вперед. Отмечается смещение подбородка и корня языка кзади; при этом нижние резцы упираются в передний отдел твердого неба, а нижние моляры не смыкаются с зубами-антагонистами. Возможно кровотечение из наружного слухового прохода вследствие повреждения его костной стенки.
При осложненных вывихах нижней челюсти могут обнаруживаться болезненность и припухлость периартикулярных тканей, подкожные гематомы, переломы нижней челюсти и височной кости. При пальпации головка нижней челюсти определяется в области сосцевидного отростка.
Диагностика вывихов нижней челюсти
Для распознавания вывиха нижней челюсти, как правило, достаточно внешнего осмотра и пальпаторного обследования. Вместе с тем, уточняющая и дифференциальная диагностика невозможны без рентгенографии ВНЧС, а в сложных случаях – без КЛКТ или КТ височно-нижнечелюстного сустава. При переднем вывихе нижней челюсти на боковых рентгенограммах определяется свободная суставная впадина, смещение головки челюсти кпереди от суставного бугорка; при заднем вывихе – суставная головка, сместившись кзади, занимает положение под нижней стенкой костного слухового прохода, между нижнечелюстной ямкой и сосцевидным отростком.
Полученные клинико-рентгенологические данные позволяют дифференцировать вывих нижней челюсти от перелома мыщелкового отростка.
Лечение вывиха нижней челюсти
Первая помощь заключается в вправлении вывиха нижней челюсти под инфильтрационной или проводниковой анестезией. Для вправления переднего вывиха нижней челюсти используются методы Гиппократа, Ходоровича, Блехмана, Гершуни, Попеску (при застарелых вывихах). Классическим способом вправления двустороннего вывиха нижней челюсти служит метод Гиппократа: больной сидит на низком стуле, таким образом, чтобы затылок имел опору, а нижняя челюсть располагалась на уровне локтевых суставов стоматолога или травматолога/хирурга. Стоя напротив лица больного, врач помещает большие пальцы, обернутые полотенцем или плотным слоем марли, на нижние моляры, а остальными охватывает нижнюю челюсть снаружи. Плавно надавливая большими пальцами сверху вниз, врач небольшим толчком смещает челюсть назад, быстро убирая пальцы с зубов во избежание прикусывания. Перемещение суставных головок нижней челюсти на свое место сопровождается характерным щелчком и интенсивным смыканием челюстей.
При вправлении заднего вывиха после смещения нижней челюсти вниз ее перемещают кпереди. В целях исключения рецидива вывиха нижней челюсти и ограничения движения в ВНЧС после процедуры вправления необходимо произвести иммобилизацию челюсти с помощью подбородочной пращи на 7-10 дней (при переднем вывихе) и на 2-3 недели (при заднем вывихе). До выздоровления больному рекомендуется отказаться от приема твердой пищи и соблюдать щадящую диету. В случае невозможности вправления вывиха нижней челюсти консервативными способами прибегают к оперативному методу. При застарелых вывихах нижней челюсти может потребоваться выполнение резекции суставных головок нижней челюсти с последующей механотерапией.
Привычные вывихи нижней челюсти пациенты нередко приноравливаются вправлять самостоятельно. Дальнейшее лечение должно включать терапию основного заболевания, ношение в течение 2-3 мес. лечебных ортопедических аппаратов и шин, ограничивающих подвижность в суставе (аппарата Петросова, аппарата Бургонской-Ходоровича, шины Ядровой). По показаниям необходимо проведение избирательного пришлифовывания зубов, протезирования отсутствующих зубов, блокад жевательных мышц, массажа, лечебной гимнастики, физиотерапии (электрофореза лекарственных веществ, гальванизации).
Хирургическое лечение привычного вывиха нижней челюсти может быть направлено на укрепление связок, углубление суставной впадины, увеличение высоты суставного бугорка, репозицию и фиксацию внутрисуставного диска.
Прогноз и профилактика вывиха нижней челюсти
При своевременном вправлении острых вывихов нижней челюсти и соблюдении сроков иммобилизации исход благоприятный; рецидивы маловероятны. При сопутствующих заболеваниях и ранней нагрузке на челюсть возможно развитие привычных вывихов, тугоподвижности в суставе.
Профилактика вывиха в ВНЧС заключается в контроле амплитуды открывания рта во время еды, пения, чистки зубов, проведения медицинских вмешательств; устранении предрасполагающих факторов, предупреждении травм нижней челюсти. После вправления вывиха или операции на ВНЧС необходимо соблюдение рекомендованного режима и полноценная реабилитация.
Вывих зуба - симптомы и лечение
Что такое вывих зуба? Причины возникновения, диагностику и методы лечения разберем в статье доктора Гаспаряна Карена Камоевича, стоматолога-хирурга со стажем в 17 лет.
Над статьей доктора Гаспаряна Карена Камоевича работали литературный редактор Юлия Липовская , научный редактор Сергей Федосов и шеф-редактор Лада Родчанина
Определение болезни. Причины заболевания
Вывих зуба — это патологическое перемещение зуба по отношению к альвеоле (костной лунке, в которой фиксируется зуб), вызванное насильственным механическим воздействием и сопровождающееся повреждением периодонта (связки, которая окружает зуб) и сосудисто-нервного пучка зуба (пульпы) [1] .

Травмы челюстно-лицевой области встречаются довольно часто как у детей, так и у взрослых. По статистике больше всего повреждениям подвержены верхние передние зубы — клыки и резцы [12] . Вывих зуба является одной из самых распространённых травм в этой области.
Вывих зуба может быть вызван следующими причинами [1] [10] :
- повреждением челюстно-лицевого аппарата в результате механической травмы, нанесённой при ударе, падении с высоты и т. д. (чаще возникает у детей, подростков и спортсменов);
- множественными травмами головы (например в дорожно-транспортных происшествиях);
- травмами, полученными в результате откусывания слишком жёсткой, твёрдой пищи;
- травмами, полученными в результате попадания в пищу инородных твёрдых частиц (косточек из плодов и ягод, костных обломков и др.);
- некоторыми вредными привычками, легкомысленным отношением к состоянию здоровья своих зубов (например открывание зубами бутылок, раскалывание скорлупы орехов и прочее);
- некорректным удалением зубов, в результате чего происходит вывих находящегося рядом зуба (как правило, постоянного).
При обнаружении схожих симптомов проконсультируйтесь у врача. Не занимайтесь самолечением - это опасно для вашего здоровья!
Симптомы вывиха зуба
Симптомы зависят от вида вывиха зуба [1] [11] :
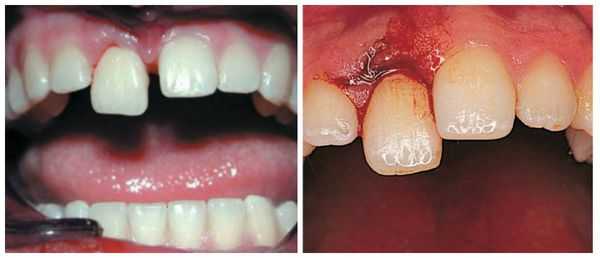
- Неполный вывих : боль усиливается при контакте с зубом, например во время приёма пищи; на слизистой оболочке полости рта имеются маленькие ранки, ссадины и гематомы; мягкие ткани отёчны; наблюдается смещение зуба в сторону и его значительная подвижность; вынужденное положение челюсти в связи с наличием болевых ощущений.

- Полный вывих: сопровождается сильной болью; зуб в лунке отсутствует; пустая лунка кровоточит; десна изменена в цвете; имеется припухлость; может возникнуть гематома; происходит локальное повышение температуры; некоторое время могут наблюдаться дефекты речи.

- Вколоченный вывих : пациент чувствует постоянную боль, усиливающуюся при давлении, жевании, смыкании челюстей; при пальпации десны появляется её гиперемия (покраснение) и отёчность; возникает незначительное кровотечение из места травмы. Что интересно, при перкуссии (постукивании) травмированного зуба человек не ощущает болевых ощущений и дискомфорта. При визуальном осмотре заметно укорочение зуба или же он полностью "спрятан" в лунке, при этом неподвижен.

Для всех видов вывиха характерна следующая симптоматика: боль в области причинного зуба, кровоточивость, отёчность десны.
Патогенез вывиха зуба
Для каждого вида вывиха зубов характерен индивидуальный патогенез [1] .
Неполный вывих характеризуется сохранением зуба в его лунке и сопровождается разрывом части волокнистых структур, окружающих и удерживающих зуб, либо растяжением волокон в той или иной степени. Для данной патологии характерно изменение положения коронки зуба и корня в зубном ряду по отношению к стенкам альвеолы. Зуб имеет неправильное положение вследствие смещения в вестибулярную ( в сторону губы) или оральную сторону, в сторону соседнего зуба или поворота вокруг оси. Это приводит к нарушению формы зубного ряда. Неполный вывих может сочетаться с переломом коронки, корня зуба или альвеолярного отростка.
Полный вывих характеризуется полным разрывом волокнистых структур периодонта (в том числе круговой связки зуба). При этом травмированный зуб в лунке отсутствует, а сосудисто-нервный пучок зуба всегда разрывается. Вывих может сопровождаться переломом края альвеолы. Иногда зуб может присутствовать в альвеоле за счёт единичных сохранившихся волокон круговой связки. По статистике полному вывиху чаще подвергаются фронтальные зубы верхней челюсти, реже — нижней. Меньше других подвержены полному вывиху клыки.
Вколоченный вывих — это травма считается наиболее неблагоприятной. Тело зуба под воздействием большой давящей силы погружается в ткани челюсти (он входит глубоко в лунку) и корень внедряется вглубь альвеолярного отростка и тела челюсти. Для вколоченного вывиха также характерен полный разрыв волокон периодонта. Крайне редко некоторая их часть сохраняет свою непрерывность, но существенно растягивается и надрывается. Сосудисто-нервный пучок, как правило, разрывается. Из-за внедрения более широкой части зуба в более узкую происходит деформация стенок альвеолы: они раздвигаются и ломаются. Данный вид вывиха иногда сопровождается поворотом зуба вокруг оси, смещением в вестибулярном или оральном направлении. Особенно это касается верхних зубов, когда вследствие вывиха может произойти повреждение носовых (гайморовых) пазух.
Классификация и стадии развития вывиха зуба
Согласно Международной классификации болезней 10 пересмотра (МКБ-10) код вывиха зуба — S03.2. Различают три вида [1] [3] :
- неполный вывих (при этом зуб частично остается в костной лунке);
- полный вывих (зуб полностью отсутствует в лунке);
- вколоченный вывих (зуб вколачивается в костную лунку).
- изолированный вывих (имеется только вывих зуба);
- вывих, сопровождающийся переломом коронки или корня зуба (при этом наблюдается подвижность зуба или отсутствие его части);
- вывих, сочетающийся с переломом альвеолярного отростка или челюсти (сопровождается отёчностью мягких тканей в области травмы).
Вывих зуба относится к травмам зубов (кроме вывиха сюда относятся ушиб зуба и перелом). При ушибе травмированный зуб остается на месте, при переломе — отсутствует часть зуба.
Осложнения вывиха зуба
Вывих зуба — это достаточно серьёзная проблема. Если вовремя не обратиться к врачу, то можно получить ряд осложнений [9] :
- Остановка роста зубного корня (наблюдается при вывихе зуба у детей) — приводит к развитию неполноценного зуба, может развиться гипоплазия (недоразвитие) эмали зуба.
- Укрепление зуба в неправильном положении (вестибулярная или оральная позиция зуба, разворот зуба) — приводит к аномалиям прикуса.
- Искривление зубного корня, изменение его длины.
- Выпадение зуба из лунки.
- Резорбция корня — патологическое рассасывание корней из-за наличия очага хронического воспаления (определяется только рентгенологически).

- Перелом коронки и корня зуба — наблюдается повышенная подвижность зуба или отсутствие его части.
- Травматический пульпит (воспаление пульпы зуба) — характеризуется самопроизвольными болями или реакцией на термические раздражители.
- Некроз (омертвение тканей) пульпы — может возникнуть при полном и вколоченном вывихах. (воспаление околокорневых тканей) — сопровождается резкой болью при касании зуба.

- Перелом стенок альвеолы.
- Периостит (воспаление ткани, покрывающей кость) — характеризуется появлением гнойного очага в области причинного зуба.
- Абсцесс (гнойное воспаление мягких тканей) — возникает отёк, припухлость, болезненные ощущениям и др.
Диагностика вывиха зуба
Диагностика данного вида травмы несложна. Вывих зуба редко остаётся незамеченным со стороны пациента из-за ярко-выраженног о болевого синдрома и невозможности приёма пищи, поэтому пациент самостоятельно обращается за помощью к стоматологу.
При первичном визуальном осмотре специалист определяет характер травмы без труда, так как признаки вывиха проявляются достаточно ярко. Но для более детального изучения характера и формы патологии (для оценки состояния челюсти, соседних зубов и иннервации в области повреждённого зуба) стоматолог назначает рентгенологическое исследование: ортопантомографию (ОПТГ) или компьютерную томографию челюсти . Это поможет дифференцировать вывих от иных форм травмы зуба (ушиба и перелома), кроме этого оценить структуру костной ткани, окружающей зуб на предмет трещин и перелома.

Также пациенту может быть назначена электро одонто диагностика (ЭОД) , по результатам которой врач сможет понять, в каком состоянии находится пульпа: если пульпа не реагирует на ток, она является нежизнеспособной. Полученные диагностические данные определят дальнейшую тактику лечение [2] [8] .
Лечение вывиха зуба
До обращения к врачу пациенту необходимо оказать первую доврачебную помощь, которая заключается в следующем [4] :
- Необходимо осмотреть полость рта на наличие кровотечения, костных отломков или выпавшего зуба.
- В случае обнаружения кровотечения необходимо принять меры для его остановки.
- Если вывих полный, то необходимо наложить стерильный тампон, чтобы остановить кровотечение. Его изготавливают из марлевой повязки, которую сворачивают несколько раз, затем накладывают на кровоточащую лунку (на 15-30 минут) и закрывают челюсть, тем самым обеспечивая кровоостанавливающий эффект.
- Далее нужно приложить холод к щеке или губам в проекции травмы зуба. Это поможет предотвратить возникновение отёка, уменьшить кровотечение и снизить болезненные ощущения.
- Если травма вколоченная, то необходимо избежать давления на зуб или лунку, так как это может значительно усилить боль.
- Если зуб выпал, то его необходимо сохранить. Для этого нужно взять чистую ткань или марлю, смоченную водой, и обернуть ею зуб. Обработку поверхности зуба проводить не следует, стоматолог все сделает сам.
- Далее обеспечить срочную доставку пациента к стоматологу.
После осмотра врач-стоматолог выбирает стратегию лечения данной травмы в зависимости от типа повреждения , а также от степени поражения зуба и окружающих его тканей. Ставится главный вопрос: "Можно ли сохранить зуб?" На него может ответить только стоматолог после комплексной диагностики .
Главным критерием считается состояние костной ткани около корня травмированного зуба. Если отмечается сохранность не менее половины длины зубного корня — зуб рекомендуется сохранить.
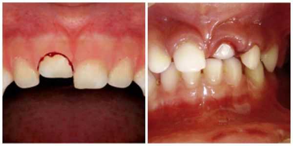
Лечение неполного вывиха
Если у пациента наблюдается неполный вывих, то лечение начинают с проводникового обезболивания, после чего врач аккуратно репонирует (устанавливает в лунку) зуб. Репозиция проведена правильно, если при смыкании челюстей отсутствует соприкосновение травмированного зуба с антагонистом.
Поставить зуб на место сложнее, если с момента вывиха прошло более двух суток, так как в месте травмы уже образовался организующийся кровяной сгусток. В этом случае следует произвести раскачивание зуба с последующей репозицией по вышеприведённой методике.
Но если больной обратился за помощью через несколько недель и зуб уже самостоятельно укрепился в неправильном положении, поставить его в зубную дугу можно только с помощью ортодонтических аппаратов.
После проведённых лечебных мероприятий вывихнутый зуб иммобилизируют (обездвиживают). Для этого врач использует индивидуальную шину-каппу, изготовленную непосредственно на пациенте. В шину обязательно включают не менее двух здоровых зубов по обе стороны от неполного вывиха. Шину накладывают минимум на 5-6 недель.

Перед шинированием и в динамике лечения проверяют электровозбудимость (реакцию на электрический ток) сосудисто-нервного пучка. Понижение или отсутствие электровозбудимости не только в первые 1-2 недели после травмы не обязательно говорит о необратимых изменениях. Реакция пульпы может приходить в норму в течение нескольких месяцев. Но если обнаруживаются клинические признаки гибели пульпы, её необходимо удалить, а канал пролечить, иначе оставшаяся в канале мёртвая пульпа приводит к развитию острого периодонтита или периостита.
После неполного вывиха не исключена внешняя резорбция (рассасывание) корня, которая не прогрессирует. При этом выраженность процесса резорбции определяется степенью смещения корня зуба при вывихе: чем больше смещение, тем большая поверхность корня может подвергнуться разрушению.
Лечение неполного вывиха молочного зуба заключается в противовоспалительной терапии, антисептической обработке раны и рентгенологическом контроле через 1, 3 и 6 месяцев.
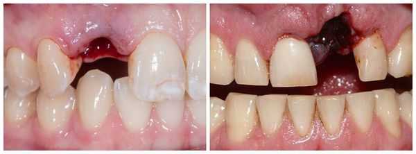
Лечение полного вывиха
В случае полного вывиха зуба, если с момента травмы прошло не более двух суток, проводится его реплантация (установка зуба обратно в лунку) [8] .
Но есть случаи, в которых она не показана:
- нарушение целостности стенок лунки и развивающийся воспалительный процесс;
- выраженное разрушение непосредственно травмированного зуба.
Чем раньше проводится реплантация, тем выше вероятность положительного результата. Резорбция корня в данной ситуации менее выражена и протекает медленнее.
Реплантацию проводят по общепринятой методике:
- Травмированный зуб промывают и помещают в изотонический раствор натрия хлорида с антибиотиками до самой операции.
- Если после вывиха прошло не более 10 часов, можно реплантировать зуб, не проводя эндодонтическое лечение (лечение корневых каналов). В таком случае эндодонтическое лечение зуба проводят через 2-3 недели после реплантации, когда становится очевидным приживление зуба.
- Если с момента вывиха прошло более 10 часов, пульпу полностью удаляют, а канал после механической и медикаментозной обработки пломбируют. Зуб после реплантации выводят из прикуса и укрепляют путём шинирования с помощью пластмассовой шины-каппы. Снимают её только через 3-4 недели.
- После реплантации необходимо в течение от одного до двенадцати месяцев проводить рентгенологический контроль. Это позволяет судить о состоянии корня зуба, периодонта и кости.

Необходимо отметить, что самые благоприятные результаты получены при проведении реплантации через 20-30 минут после вывиха.
Лечение полного вывиха молочного зуба заключается в противовоспалительной терапии, антисептической обработке лунки. Реплантация временного зуба не проводится.
Лечение вколоченного вывиха представляет определённые трудности.
Можно придерживаться выжидательной тактики, направленной на самостоятельное выдвижение травмированного зуба. Чаще всего данная методика применяется при вколоченных вывихах временных резцов: в данном случае выдвижению зуба способствует дальнейшее формирование корня зуба, если зона роста зуба сохранилась.
Первые признаки самопроизвольного выдвижения зуба возможно увидеть через неделю-полторы после вывиха, но иногда сроки увеличиваются до четырёх-шести недель.
При появлении признаков острого воспалительного процесса необходимо эндодонтически пролечить зуб. Резорбция корня в случае вколоченного вывиха также возможна, но она менее объёмна, чем при реплантации.
Вероятность самопроизвольного выдвижения зуба снижается при сильном вколачивании, большом воспалительном процессе, наличии инфекции на верхушке зуба.
Репозицию вколоченной травмы с фиксацией на 4-6 недель нужно проводить не позже трёх суток после вывиха. Эта манипуляция сопровождается потерей краевого участка альвеолы и последующей резорбцией корня зуба. Полноценное лечение корневых каналов зуба производится после укрепления зуба в лунке [6] .
Также можно использовать ортодонтические конструкции для выдвижения зуба. Это целесообразно при неглубоком вколачивании зуба в лунку, когда часть коронки зуба дает техническую возможность зафиксировать на ней ортодонтическую конструкцию. Для предупреждения развития анкилоза (неподвижности) ортодонтическое выдвижение зуба необходимо начинать сразу после травмы. Такая тактика снижает степень резорбции корня.
Необходимо отметить, что аппаратное ортодонтическое лечение у детей начинают не ранее, чем через 3-4 недели после травмы.
При лечении вколоченного вывиха иногда допустимо удалить зуб с последующей его реплантацией. Стоит помнить одно правило: чем раньше проведена реплантация зуба при вывихе, тем позже наступают осложнения в виде резорбции корня.
Показанием к удалению вколоченного зуба без его реплантации являются резвившийся анкилоз и значительная травма альвеолы (перелом стенок) [5] [7] .
Прогноз. Профилактика
В случае соблюдения всех индивидуальных рекомендаций врача прогноз должен быть благоприятным. Но также нельзя исключать и возможность возникновения патологической резорбции корня зуба, что может привести к его дальнейшему удалению. Это может произойти при чрезмерной жевательной нагрузке на репонированный (вправленный) зуб, повторной травме зуба, использовании репонированного зуба в качестве опоры (при шинировании, установке брекетов), неправильном репонировании в полости рта.
Профилактика данного заболевания должна заключаться в устранении вредных привычек, избегании травмирующих ситуаций, соблюдении правил безопасности и более бережном отношении к собственной полости рта [1] .
Вывихи нижней челюсти. Вправление нижней челюсти.
Вывихи нижней челюсти могут быть передними и задними, одно- и двусторонними. Кроме того, различают острый и привычный вывихи нижней челюсти.
Чаще происходит передний двусторонний вывих. Он возникает при чрезмерном раскрывании рта (во время зевания, при удалении зубов, ударе). Рот у больного при этом полуоткрыт. Нижняя челюсть опущена книзу и резко выдвинута вперед. Щеки западают, при пальпации в области козелка определяется западение. Движения челюсти, разговор, жевание невозможны.
Вынужденное положение челюсти, перерастяжение связочного аппарата височно-нижнечелюстного сустава сопровождаются сильными болями и повышенной саливацией.

При одностороннем вывихе нижней челюсти рот у больного полуоткрыт, а подбородок смещен в здоровую сторону. Привычные вывих и подвывих чаще возникают у женщин в возрасте от 15 до 40 лет. Частыми симптомами при привычном вывихе нижней челюсти являются щелканье и интенсивная боль в височно-нижнечелюстном суставе.
Перед вправлением вывиха нижней челюсти больному вводят подкожно 1—2 мл 1 или 2 % раствора промедола, затем проводят анестезию подскуловым путем. При застарелых вывихах релаксация мышц достигается с помощью миорелаксантов. Пациента усаживают на низкий стул или табурет так, чтобы нижняя челюсть находилась на уровне локтевого сустава опущенной руки врача.
Голову пациента фиксирует помощник. Врач становится перед пациентом, большие пальцы обеих рук, обернутые полотенцем или марлевыми салфетками, вводит в рот и укладывает на жевательную поверхность моляров. Остальными пальцами он охватывает тело нижней челюсти снаружи. Постепенно усиливая бимануальное давление, суставные головки мыщелковых отростков врач смещает вниз, несколько низке уровня суставных бугорков, затем небольшим толчком кзади перемещает суставные головки низкней челюсти на свое место.
Последнее движение сопровождается характерным щелчком. После этого движения низкней челюсти становятся свободными. После вправления челюсти необходимо на 10—15 дней зафиксировать эту челюсть к верхней челюсти с помощью пращевидной повязки или лигатурного скрепления по Айви или А.- А. Лимбергу. Застарелые вывихи челюсти иногда приходится вправлять хирургическим путем. Привычные вывих и подвывих пациент чаще вправляет самостоятельно.
Лечение таких вывихов может быть консервативным и хирургическим. Консервативная терапия состоит в изготовлении ортопедических аппаратов, ограничивающих движение нижней челюсти (шина Петросова). Хирургическое лечение направлено на увеличение высоты суставного бугорка с помощью костного трансплантата.
Информация на сайте подлежит консультации лечащим врачом и не заменяет очной консультации с ним.
См. подробнее в пользовательском соглашении.
Дисфункция ВНЧС
Дисфункция ВНЧС – функциональная патология височно-нижнечелюстного сустава, обусловленная мышечными, окклюзионными и пространственными нарушениями. Дисфункция ВНЧС сопровождается болевым синдромом (болью в голове, висках, шее), щелчками в суставе, ограничением амплитуды открывания рта, шумом и звоном в ушах, дисфагией, бруксизмом, храпом и т. д. Методика обследования пациентов с дисфункцией ВНЧС включает изучение жалоб, анализ гипсовых моделей челюстей, ортопантомографию, рентгенографию и томографию ВНЧС, электромиографию, реоартрографию, фоноартрографию и др. Лечение дисфункции ВНЧС проводится с учетом причин и может заключаться в сошлифовывании суперконтактов зубов, правильном протезировании, коррекции прикуса, ношении капы или суставной шины, проведении хирургического лечения.
Дисфункция ВНЧС – нарушение координированной деятельности височно-нижнечелюстного сустава вследствие изменения окклюзии, взаиморасположения элементов ВНЧС и функции мышц. По статистике, от 25 до 75% пациентов стоматологов имеют признаки дисфункции ВНЧС. В структуре патологии челюстной патологии дисфункции ВНЧС принадлежит ведущее место - более 80%. Впервые связь между нарушением функции височно-нижнечелюстного сустава и ушными болями подметил американский отоларинголог Джеймс Костен в 30-е г.г. прошлого столетия, отчего дисфункцию ВНЧС часто называют синдромом Костена. Также в медицинской литературе дисфункция ВНЧС встречается под названиями мышечно-суставная дисфункция, болевая дисфункция, миоартропатия ВНЧС, дисфункция нижней челюсти, «щелкающая» челюсть и др.
Дисфункция ВНЧС является мультидисциплинарной патологией, поэтому ее решение часто требует совместных усилий специалистов в области стоматологии, неврологии, психологии.
Причины дисфункции ВНЧС
К основным теориям возникновения дисфункции ВНЧС относятся окклюзионно-артикуляционная, миогенная и психогенная. Согласно окклюзионно-артикуляционной теории, причины дисфункции ВНЧС кроются в зубо-челюстных нарушениях, которые могут быть обусловлены дефектами зубных рядов, патологической стираемостью зубов, травмами челюсти, неправильным прикусом, некорректным протезированием, различными аномалиями зубов и челюстей, сопровождающимися уменьшением высоты альвеолярного отростка.
В соответствии с миогенной теорией, развитию дисфункции ВНЧС способствуют нарушения со стороны челюстных мышц: тонический спазм, механическая перегрузка жевательных мышц и др., вызванные односторонним типом жевания, бруксизмом, бруксоманией, профессиями, связанными с большой речевой нагрузкой, что в конечном итоге приводит к хронической микротравме элементов ВНЧС.
Психогенная теория рассматривает этиопатогенез дисфункции ВНЧС, исходя из того, что факторами, инициирующими дисфункцию ВНЧС, выступают изменения со стороны деятельности ЦНС (нервно-психическое и физическое напряжение), вызывающие нарушения функции мускулатуры и нарушение кинематики сустава.
По мнению большинства исследователей, в основе дисфункции ВНЧС лежит триада факторов: нарушение окклюзии, пространственных взаимоотношений элементов ВНЧС, изменение тонуса жевательных мышц. Факторами, предрасполагающими к возникновению дисфункции ВНЧС, служат анатомические предпосылки строения сустава, главным образом, несоответствие формы и размеров суставной головки и суставной ямки.
Симптомы дисфункции ВНЧС
Классический симптомокомплекс дисфункции ВНЧС, описанный Дж. Костеном, характеризуется тупыми болями в области височно-нижнечелюстного сустава; щелканьем в суставе во время приема пищи; головокружением и головной болью; болью в шейном отделе позвоночника, затылке и ушах; шумом в ушах и снижением слуха; жжением в носу и горле. В настоящее время диагностическими критериями дисфункции ВНЧС принято считать следующие группы симптомов:
1. Звуковые феномены в височно-нижнечелюстном суставе. Наиболее частой жалобой пациентов с дифункцией ВНЧС являются щелчки в суставе, возникающие при открывании рта, жевании, зевании. Иногда щелканье может быть настолько громким, что его слышат окружающие люди. При этом боль в суставе присутствует не всегда. Среди других шумовых явлений могут иметь место хруст, крепитация, хлопающие звуки и пр.
2. Блокирование («запирание», «заклинивание») височно-нижнечелюстного сустава. Характеризуется неравномерностью движения в суставе при открывании рта. То есть для того, чтобы широко открыть рот, пациент должен сначала уловить оптимальное положение нижней челюсти, подвигать ею из стороны в сторону, найдя точку, где сустав «отпирается».
3. Болевой синдром. При дисфункции ВНЧС определяется болезненность в триггерных точках: жевательных, височной, подъязычной, шейных, крыловидной, грудино-ключично-сосцевидной, трапециевидной мышцах. Типичны прозопалгия (лицевая боль), головные боли, боли в ушах, зубная боль, давление и боль в глазах. Болевой синдром при дисфункции ВНЧС может имитировать невралгию тройничного нерва, шейный остеохондроз, артрит ВНЧС, отит и другие заболевания.
4. Прочие симптомы. При дисфункции ВНЧС могут иметь место головокружения, нарушение сна, депрессия, бруксизм, дисфагия, шум или звон в ушах, ксеростомия, глоссалгия, парестезии, фотофобия, храп, апноэ во сне и др.
Диагностика дисфункции ВНЧС
Многообразие клинических проявлений дисфункции ВНЧС приводит к трудностям диагностики, поэтому пациенты могут длительно обследоваться у невролога, отоларинголога, терапевта, ревматолога и других специалистов. Между тем, больные с дисфункцией ВНЧС нуждаются в совместном сотрудничестве врача стоматолога и невролога.
При первичном осмотре пациента выясняются жалобы, анамнез жизни и заболевания, проводится пальпация и аускультация области сустава, оценивается степень открывания рта и подвижности нижней челюсти. Во всех случаях производится снятие слепков для последующего изготовления диагностических моделей челюстей, выполняются окклюдограммы.
Для оценки состояния височно-нижнечелюстного сустава проводится ортопантомография, УЗИ, рентгенография ВНЧС, компьютерная томография ВНЧС. С целью выявления поражения околосуставных мягких тканей показана МРТ ВНЧС. Определение показателей артериальной гемодинамики производится путем допплерографии или реоартрографии. Из функциональных исследований при дисфункции ВНЧС наибольшее значение имеют электромиография, фоноартрография, гнатодинамометрия.
Дисфункцию ВНЧС следует отличать от подвывихов и вывихов нижней челюсти, артрита и артроза ВНЧС, перелома суставного отростка, синовита, гемартроза и др.
Лечение дисфункции ВНЧС
На период основного лечения пациенты с дисфункцией ВНЧС нуждаются в уменьшении нагрузки на височно-нижнечелюстной сустав (приеме пищи мягкой консистенции, ограничении речевой нагрузки). В зависимости от причин и сопутствующих нарушений, в лечении дисфункции ВНЧС могут участвовать различные специалисты: стоматологи (терапевты, ортопеды, ортодонты), мануальные терапевты, вертебрологи, остеопаты, неврологи, психологи.
Для устранения болевого синдрома, сопровождающего дисфункцию ВНЧС, показана фармакотерапия (НПВС, антидепрессанты, седативные средства, ботулинотерапия, блокады, внутрисуставные инъекции глюкокортикостероидов), дозированная миогимнастика, массаж, физиотерапия (лазеротерапия, индуктотермия, электрофорез, ультразвук и др.). Важными элементами комплексной терапии могут являться психотерапия и БОС-терапия, позволяющие достичь функционального расслабления жевательной мускулатуры.
Стоматологическое лечение дисфункции ВНЧС по показаниям может включать в себя меры, направленные на воссоздание правильного смыкания зубов (избирательное пришлифовывание зубов, устранение завышающих пломб, грамотное протезирование или перепротезирование и пр.). Для коррекции неправильного прикуса проводится лечение с помощью брекет-систем. В некоторых случаях ортопедическому и ортодонтическому лечению дисфункции ВНЧС несъемными аппаратами предшествует ношение ортопедических шин или кап.
В случае отсутствия эффекта от консервативной терапии дисфункции ВНЧС может потребоваться хирургическое вмешательство: миотомия латеральной крыловидной мышцы, кондилотомия головки нижней челюсти, артропластика и др.
Прогноз и профилактика дисфункции ВНЧС
Лечение дисфункции ВНЧС является обязательным. Пренебрежение данной проблемой может быть чревато развитием дистрофических изменений (артроза) и обездвиживания височно-нижнечелюстного сустава (анкилоза). Комплексное лечение дисфункции ВНЧС с учетом этиологических факторов гарантирует положительный результат.
Предупреждение дисфункции ВНЧС требует снижения уровня стресса и избыточных нагрузок на сустав, своевременного и качественного протезирования зубов, исправления прикуса, коррекции нарушений осанки, лечения бруксизма.
а) Терминология:
1. Синонимы:
• Люксация
• Подвывих = частичное смещение
2. Определение:
• Смещение мыщелка из суставной ямки в пределах суставной капсулы
б) Визуализация:
1. Общая характеристика:
• Лучший диагностический критерий:
о Передне-верхнее положение мыщелка по отношению к суставному возвышению; невозможность закрыть рот
• Локализация:
о Чаще всего наблюдается передний вывих, часто двухсторонний

(Слева) На панорамной рентгенограмме у пациента с двухлоронним передним вывихом визуализируется правый мыщелок, смещенный кпереди и кверху относительно сулавного возвышения. Обратите внимание на явный передний открытый прикус, в то время как моляры находятся в окклюзии.
(Справа) На панорамной рентгенограмме у этого же пациента определяются аналогичные изменения слева. Открытый прикус обусловлен неправильным передним положением мыщелка, контакт задних зубов - его верхним положением.
2. Рентгенография при вывихе височно-нижнечелюстного сустава (ВНЧС):
• Радиографические признаки:
о Передне-верхнее положение мыщелков по отношению к суставному возвышению
3. КТ при вывихе височно-нижнечелюстного сустава (ВНЧС):
• КТ в костном окне и КЛКТ:
о Хронический вывих: атрофия суставного возвышения и уплощение суставной ямки
4. МРТ при вывихе височно-нижнечелюстного сустава (ВНЧС):
• В случае хронического рецидивирующего вывиха часто обнаруживается выпот в суставе и патологически измененный диск
5. Рекомендации по визуализации:
• Лучший метод визуализации:
о Панорамная рентгенография для первоначальной оценки
о КТ в костном окне и КЛКТ с трехмерной реконструкцией для оценки анатомических отношений смещенного мыщелка
в) Дифференциальная диагностика:
1. Гипермобильность ВНЧС:
• Избыточная подвижность мыщелка при открывании рта; мыщелок может занимать положение спереди и сверху от суставного возвышения
• Пациент в состоянии закрыть рот, «открытый замок» отсутствует

(Слева) На рентгенограмме в боковой проекции у этого же пациента определяется прогнатическое положение нижней челюсти и открытый передний прикус вследлвие передне-верхнего смещения мыщелков нижней челюсти.
(Справа) На сагиттальной КЛКТ правого и левого мыщелков у этого же пациента определяется, что мыщелки расположены спереди и сверху относительно сулавных возвышений. Обратите внимание, что мыщелки имеют нормальную форму, а кортикальная плалинка не изменена.
г) Патология:
1. Общая характеристика:
• Этиология:
о Предрасполагающие факторы: чрезмерное длительное открывание рта, особенно вследствие стоматологических процедур и общей анестезии:
- Зевание, рвота, избыточные жевательные усилия, смех
о Травма, нетипичные жевательные движения, патология связок ВНЧС, слабость суставной капсулы, патология жевательной мышцы
о Вывих чаще происходит у пациентов с генерализованной гипермобильностью суставов и/или смещением внутрисуставных структур
о Системные заболевания, приводящие к гипермобильности ВНЧС, психогенные или неврологические расстройства
о Препараты, приводящие к экстрапирамидным нарушениям (например, противорвотные средства, производные фенотиазина)
2. Градации, классификация вывиха височно-нижнечелюстного сустава (ВНЧС):
• Основополагающие моменты классификации:
о Количество пораженных ВНЧС: одно- или двухсторонний вывих
о Направление смещения: передний, задний, медиальный, латеральный, верхний, комбинированный:
- Передне-медиальный вывих часто сочетается с переломом нижней челюсти
- Верхний вывих часто обусловлен травмой; мыщелок проникает в среднюю черепную ямку и может повреждать твердую мозговую оболочку
о Длительность смещения: острый, хронический, рецидивирующий вывих
о Наиболее типичный вывих: острый двухсторонний передний
о Верхний вывих чаще встречается у детей, т.к. мыщелок у них имеет небольшие размеры, шаровидную форму, а внутренний и наружный отделы сформированы не полностью
д) Клинические особенности:
1. Проявления:
• Типичные признаки/симптомы:
о Двухсторонний передний вывих: пациент не может закрыть рот после того как широко открыл его («открытый замок»)
• Другие признаки/симптомы:
о Открытый прикус, отклонение нижней челюсти, преаурику-лярный отек
о Отсутствие твердых структур/углубление спереди от козелка
о Боль, ограничение подвижности ВНЧС
2. Течение и прогноз:
• Прогноз лучше при раннем начале лечения
3. Лечение:
• Ручное вправление
• Межчелюстная фиксация для предотвращения повторного смещения и с целью скорейшего заживления поврежденных связок
• Физиотерапия для предотвращения фиброза
• В редких случаях оперативное вмешательство с целью создания механического препятствия, ограничивающего чрезмерную переднюю трансляцию мыщелка, или пластика суставного возвышения для предотвращения смещения и «запирания» мыщелка спереди от него
• Верхний вывих: может потребоваться реконструкция суставной ямки и краниотомия при повреждении твердой мозговой оболочки
е) Диагностическая памятка:
1. Следует учесть:
• На изображениях ВНЧС при открытом рте может создаваться впечатление о вывихе, но возможность закрыть рот свидетельствует о гипермобильности:
о При истинном вывихе пациент не может закрыть рот, в анамнезе имеет место травма или широкое открывание рта в течение длительного времени
2. Советы по интерпретации изображений:
• При верхнем вывихе оцените целостность крыши суставной ямки
3. Заключение:
• Оцените нарушения формы ВНЧС, предрасполагающие к рецидивирующему вывиху
ж) Список использованной литературы:
1. Не Y et al: Treatment of traumatic dislocation of the mandibular condyle into the cranial fossa: development of a probable treatment algorithm. Int J Oral Maxillofac Surg. 44(7):864-70, 2015
Читайте также:
