Ювенильные ангиофибромы
Добавил пользователь Владимир З. Обновлено: 22.11.2025
Для цитирования: Грачев Н.С., Ворожцов И.Н., Зябкин И.В., Фролов С.В., Яременко Е.Ю. Строго консервативные показания к проведению эндоваскулярной окклюзионной эмболизации юве- нильной ангиофибромы носоглотки и основания черепа – основа алгоритма уменьшения объема интраоперационной кровопо-тери и профилактики гемотрансфузии. Голова и шея. Российский журнал=Head and neck. Russian Journal. 2021;9(1):20–34
Авторы несут ответственность за оригинальность представленных данных и возможность публикации иллюстративного материала – таблиц, рисунков, фотографий пациентов.
Doi: 10.25792/HN.2021.9.1.20–34
Цель исследования: формирование алгоритма уменьшения объема интраоперационной кровопотери и профилактики гемотрансфузии на основе консервативных показаний к проведению эндоваскулярной эмболизации ювенильной ангиофибромы носоглотки (ЮАН) и основания черепа (ОЧ) на предопера- ционном этапе.
Материал и методы. В рамках статьи описано проспективное экспериментальное исследование с не- случайным методом включения единиц и рандомизированным распределением пациентов по группам с предварительно рассчитанным необходимым объемом выборки с целью выявления факторов, влияю- щих на объем интраоперационной кровопотери, прогноз пациентов и оценки фактической меры влияния и направления воздействия степени деваскуляризации на объем кровопотери и частоту гемотрансфузии.
Заключение. Разработанный в ходе исследования алгоритм периоперационных мер, направленных на уменьшение объема интраоперационной кровопотери и профилактики гемотрансфузии на основе консервативных показаний к деваскуляризации образования на предоперационном этапе, имеет высокий потенциал повысить эффективность и фармакоэкономическую приемлемость проводимого лечения, сохраняя радикальность хирургического лечения ЮАН и ОЧ.
Ключевые слова: ювенильная ангиофиброма, ангиофибромы носоглотки и основания черепа, хирур- гия головы и шеи, трансназальное удаление, эндоваскулярная эмболизация, propensity score matching
Purpose of the study: to create an algorithm for the intraoperative blood loss reduction and blood transfu-sion prevention based on conservative indications for endovascular embolization of juvenile angiofibromas of the nasopharynx (JAN) and skull base (SB) at the preoperative stage.
Material and methods. The article describes a prospective experimental study with non-randomized inclusion and randomized stratification into groups with sample size calculated a priori. The study was designed to identify factors affecting the volume of intraoperative blood loss and prognosis of patients, and to assess the actual influence value and direction of the devascularization degree on the blood loss volume and the transfusions frequency.
Conclusion. The algorithm of perioperative measures presented in the study aims to reduce the in-traoperative blood loss and prevent blood transfusion using conservative indications for a tumor devas-cularization at the preoperative stage, and has a high potential to increase the effectiveness and phar-macoeconomic acceptability of treatment, while maintaining the radical nature of surgical treatment in JAN and SB.
Key words: juvenile angiofibroma; angiofibroma of the nasopharynx and skull base; head and neck surgery; transnasal removal; endovascular embolization; propensity score matching
Conflicts of interest. The authors have no conflicts of interest to declare.
Funding. There was no funding for this study.
Введение
Ювенильная ангиофиброма носоглотки (ЮАН) и основания черепа (ОЧ) – доброкачественное образование, которое пре- имущественно относят к морфологической группе мезенхималь- ных опухолей с высокой степенью васкуляризации [1], однако вопрос ее этиологической природы остается дискутабельным [2–9]. Так, большинство авторов в качестве отличительной природы образования отмечают наличие хромососомных аббе- раций и неконтролируемой пролиферации эндотелиальных клеток сосудов [3–8]. Несмотря на доброкачественную природу, образование обладает агрессивным экспансивным ростом, обусловливающим деструкцию костно-хрящевых структур и жизнеугрожающие состояния [1]. Имея агрессивный характер распространения, ЮАН характерно развивается в задней части полости носа и распространяется в носоглотку, околоносовые синусы, орбиту и крыловидную ямку, а также может поражать основание черепа и распространяться интракраниально [10–11]. Ювенильная ангиофиброма составляет около 0,05% от всех опухолей головы и шеи, с частотой 1:150,000 [12–13]. Данная опухоль встречается почти исключительно у мальчиков и юно- шей в возрасте от 9 до 19 лет [12], также описаны единичные случаи у мужчин [14] и женщин среднего возраста [15–18] (описанные в литературе случаи ЮАН и ОЧ у женщин среднего и пожилого возраста требуют патоморфологической верифика- ции образования и генетической верификации пола [2]).
Хирургия ЮАН и ОЧ направлена на достижение максимальной экспозиции опухоли и полной резекции с минимально возмож- ной морбидностью. Качество и объем первичной резекции влия- ют на частоту продолженного роста и рецидивов [19]. Согласно различным системам стадирования ЮАН, предложено несколько хирургических подходов, основанных на локализации и топогра- фо-анатомических особенностях распространения опухоли [19, 20–30]. Все они имеют преимущества и ограничения, и выбор часто зависит от хирургической квалификации и опыта хирурга. Однако крайне скудно описаны в мировой литературе степень влияния на интраоперационную кровопотерю объема образо- вания и таких топографо-анатомических структур, как большое крыло клиновидной кости, основание крыловидного отрост- ка, а также наличие заптеригоидного компонента, которые, по нашему мнению, имеют потенциал в качестве прогностиче- ских факторов увеличения интраоперационной кровопотери.
Несмотря на наличие сложившегося мнения о возможности спонтанной инволюции ЮАН и ОЧ по окончании пубертатного периода, описано несколько случаев инволюции опухоли после проведения нерадикального хирургического лечения [31–34], однако случаи спонтанной регрессии образования без проведе- ния хирургического или иного лечения чрезвычайно редки [34]. Поэтому хирургическое лечение ЮАН и ОЧ рассматривается как метод выбора для всех стадий неосложненной первичной и рецидивирующей ювенильной ангиофибромы [2, 35].
Важно отметить, что хирургическое лечение ЮАН сопряжено с рядом технических сложностей [19, 35]. Так, несмотря на отсутствие инфильтративного роста, агрессивный экспансив- ный рост ЮАН за счет оказываемого на окружающие структуры давления обусловливает деструкцию анатомически важных костно-хрящевых структур и неврологические нарушения функции черепных нервов, а также вторичные рефлекторно- сосудистые изменения и частые жизнеугрожающие эпизоды профузного носового кровотечения (в т.ч. затрудняющие хирур- гическое лечение) [2, 36]. Инцизионная биопсия образования не рекомендуется ввиду риска профузного кровотечения [37]. Дополнительную техническую сложность хирургического уда- ления образования обусловливает его расположение в сложной для радикального хирургического лечения топографо-анатоми- ческой области [2].
В качестве широко распространенного в клинической практи- ке метода уменьшения объема интраоперационной кровопотери принято считать эндоваскулярную окклюзионную эмболизацию образования на предоперационном этапе [13, 38–39, 62]. Однако вопрос выполнения эмболизации остается дискутабельным. Преимущества и недостатки данного метода, описанные в миро- вой литературе изложены в табл. 1.
Несмотря на широкое применение и статус «золотого стандар- та» в качестве метода уменьшения объема интраоперационной кровопотери [13, 38–39, 62] в литературе крайне скудно описана сравнительная характеристика объема кровопотери в зависи- мости от степени деваскуляризации образования.
Цель исследования. Целью данного исследования стало опре- деление целесообразности и в случае ее наличия разработка строго консервативных показаний к проведению эмболизации ЮАН и ОЧ, а также инструментов прогнозирования увеличения интраоперационной кровопотери и необходимости гемотранс- фузии и формирование на их основе алгоритма тактики перио- перационных гемостатических мер, направленных на снижение объема интраоперационной кровопотери и профилактики гемо- трансфузии при трансназальном удалении ЮАН и ОЧ.
Материал и методы
Данное исследование является впервые публикуемой частью более масштабного проверяющего проспективного экспери- ментального клинического исследования, направленного на изучение особенностей трансназального удаления ЮАН и ОЧ с выполнением и без выполнения предоперационной эмбо- лизации.
Критерии соответствия были сформулированы предвари- тельно (до начала исследования) и не подверглись изменению в ходе проведения исследования (табл. 2).
В исследование были включены пациенты с ЮАН и ОЧ, про- ходившие хирургическое лечение на базе отделения онкологии и детской хирургии НМИЦ ДГОИ им. Дм. Рогачева. Отбор паци- ентов для госпитализации проводился согласно заключению полидисциплинарной клинической комиссии госпитализации. Продолжительность исследования составила 2,5 календар- ных года (с января 2018 по июль 2020 г.). Продолжительность периода катамнестического наблюдения составила не менее 3 календарных месяцев.
Всем пациентам на пред- и послеоперационном этапах выпол- нялось комплексное обследование в объеме лабораторной диагностики, визуализации образования (передняя/задняя рино- скопия и эндоскопическая риноскопия, мультиспиральная ком- пьютерная томография – МСКТ головы и околоносовых пазух с контрастным усилением, магнитно-резонансная томография – МРТ головы выполнялась по показаниям).
Ангиография и эндоваскулярная окклюзионная эмболизация проводились пациентам, распределенным в контрольную груп- пу (симультанно с хирургическим лечением или не более чем за 24 часа до хирургического лечения). Пациенты, которым не проводилась предоперационная ангиография и эмболиза- ция ЮАН, были распределены в основную группу (отсутствие эмболизации, группа А).
Ювенильные ангиофибромы
ФГБУ "НИИ нейрохирургии им. акад. Н.Н. Бурденко" РАМН, Москва
ФГАУ «Национальный медицинский исследовательский центр нейрохирургии им. акад. Н.Н. Бурденко» Минздрава России, Москва, Россия, 125047
ГБУЗ МО «Московский областной научно-исследовательский институт акушерства и гинекологии», Москва, Россия, ФГБНУ НИИ нейрохирургии им. Н.Н. Бурденко (дир. — акад. РАН А.А. Потапов), Москва, Россия, Кафедра акушерства и гинекологии ФУВ ГБУЗ МО «Московский областной научно-исследовательский клинический институт им. М.Ф. Владимирского», Москва, Россия
- РИНЦ AuthorID: 370609
- Scopus AuthorID: 57192157123
- ORCID: 0000-0003-2595-5877
ФГБУ "НИИ нейрохирургии им. акад. Н.Н. Бурденко" РАМН, Москва
НИИ нейрохирургии им. акад. Н.Н. Бурденко РАМН, Москва
Первично выявленная юношеская ангиофиброма основания черепа у мужчины 38 лет (клиническое наблюдение)
Журнал: Вестник оториноларингологии. 2019;84(5): 76‑80
ФГБУ "НИИ нейрохирургии им. акад. Н.Н. Бурденко" РАМН, Москва
Юношеская ангиофиброма основания черепа (ЮАОЧ) — это редкая быстрорастущая доброкачественная сосудисто-фиброзная опухоль, характеризующаяся локальным деструирующим ростом и высоким процентом рецидивов. Она встречается в 0,05% случаев всех опухолей головы и шеи, у пациентов подросткового возраста (9—19 лет) [1—3]. В НМИЦ нейрохирургии им. акад. Н.Н. Бурденко накоплен большой опыт лечения пациентов с ЮАОЧ: с 2002 г. по август 2018 г. были прооперированы 143 пациента. Все пациенты как с первичной опухолью, так и с ее рецидивом были мужского пола, в возрасте от 7 до 38 (16,1 [11,3; 19]) лет. Возраст первичных пациентов не превышал 18 лет, за исключением одного пациента, у которого ЮАОЧ впервые была выявлена в возрасте 38 лет. В последние годы появляется все больше публикаций успешного лечения пациентов с данной патологией. Однако при ближайшем рассмотрении оказалось, что в литературе отмечается некая путаница: описания случаев юношеских ангиофибром у женщин, а также у мужчин зрелого и пожилого возраста, ангиофибром различной локализации, при различных системных заболеваниях и с разным гистологическим строением. В данной статье мы приводим редкое клиническое наблюдение пациента 38 лет с истинной первичной ЮАОЧ, случайно обнаруженной при плановом обследовании по данным КТ. После эмболизации сосудов опухоли пациент был успешно прооперирован эндоскопически. Диагноз был подтвержден гистологически и иммуногистохимически. Приведенное наблюдение подтверждает возможность обнаружения истинной ЮАОЧ у взрослых мужчин и объясняет, почему необходима правильная диагностика ангиофибром.
ФГБУ "НИИ нейрохирургии им. акад. Н.Н. Бурденко" РАМН, Москва
ФГАУ «Национальный медицинский исследовательский центр нейрохирургии им. акад. Н.Н. Бурденко» Минздрава России, Москва, Россия, 125047
ГБУЗ МО «Московский областной научно-исследовательский институт акушерства и гинекологии», Москва, Россия, ФГБНУ НИИ нейрохирургии им. Н.Н. Бурденко (дир. — акад. РАН А.А. Потапов), Москва, Россия, Кафедра акушерства и гинекологии ФУВ ГБУЗ МО «Московский областной научно-исследовательский клинический институт им. М.Ф. Владимирского», Москва, Россия
- РИНЦ AuthorID: 370609
- Scopus AuthorID: 57192157123
- ORCID: 0000-0003-2595-5877
ФГБУ "НИИ нейрохирургии им. акад. Н.Н. Бурденко" РАМН, Москва
НИИ нейрохирургии им. акад. Н.Н. Бурденко РАМН, Москва
Юношеская ангиофиброма основания черепа (ЮАОЧ) — это редкая, агрессивно растущая, клинически проявляющаяся носовыми кровотечениями опухоль, встречающаяся исключительно у юношей и подростков в возрасте 9—19 лет [1—3].
В литературе встречаются отдельные редкие описания клинических случаев ЮАОЧ у мужчин зрелого возраста [4—9] и даже отдельные описания ангиофибром, выявленных у женщин [10—12]. Однако подробный анализ данной патологии показал, что, несмотря на схожую гистологическую картину, не все ангиофибромы являются истинными ЮАОЧ.

Истинные ЮАОЧ имеют ряд характерных признаков: 1) место исходного роста, 2) характерная гистологическая картина, 3) пол и возраст пациентов, что отличает их от других разновидностей ангиофибром, таких как экстраназофарингеальная, гигантоклеточная, целлюлярная ангиофиброма, ангифобромы при туберозном склерозе и др. (см. таблицу). Дифференциальные признаки разных видов ангиофибром Примечание. Цифры обозначают источники литературы, в которых есть информация о других видах ангиофибром. ЮАОЧ — ювенильная ангиофиброма основания черепа; ЭНФА — экстраназофарингеальная ангиофиброма; ГКА — гигантоклеточная ангиофиброма; ЦА — целлюлярная ангиофиброма; ТС — туберозный склероз; ОНП — околоносовые пазухи; СФО — солитарная фиброзная опухоль.
В данной статье представлено редкое наблюдение истинной ангиофибромы, впервые выявленной у взрослого мужчины 38 лет.
Клиническое наблюдение
Пациент Д., 38 лет, обратился к оториноларингологу в ФГАУ «НМИЦ нейрохирургии им. акад. Н.Н. Бурденко» в апреле 2018 г. в связи с наличием на КТ (от 15.04.18), выполненной в рамках комплексного медицинского обследования, новообразования в передненижнем отделе клиновидной пазухи справа. Пациент отметил, что с юности его беспокоит затруднение носового дыхания, которое он связывал с выраженным искривлением перегородки носа, а также редкие носовые кровотечения, которым он не придавал большого значения, поэтому к ЛОР-врачу не обращался. С целью более детального обследования 25.04.18 была выполнена перфузионная КТ головного мозга, на которой отмечалось наличие объемного образования в основной пазухе и носоглотке с высокими показателями кровоснабжения. Объемное образование активно накапливало контрастное вещество и сбрасывало его в артериальную фазу, в связи с чем нельзя исключить ангиофиброму, однако возраст пациента не соответствовал полученным результатам. С целью уточнения диагноза 14.05.18 пациенту была проведена селективная ангиография, выявившая сосудистую сеть опухоли и кровоснабжение из правой верхнечелюстной артерии (система НСА), что типично для ЮАОЧ. 14.05.18 пациент был госпитализирован в отоларингологическое отделение для хирургического лечения. При передней риноскопии выявлено выраженное искривление перегородки носа вправо. Другие ЛОР-органы — без особенностей.
Предварительно была проведена эндоваскулярная эмболизация сосудов опухоли микрочастицами ПВА. По результатам контрольной ангиографии — из правой НСА сосудистая сеть опухоли не контрастировалась, данных за анастомозы с ветвями ВСА не выявлено. Осложнений не было.
Через 24 ч после эмболизации (15.04.18) под эндотрахеальным наркозом было проведено эндоскопическое удаление опухоли основания черепа с использованием навигационной системы (Medtronic Fusion).

Первым этапом была выполнена септопластика, после чего стали обозримы задние отделы правой половины носа. Передняя стенка клиновидной пазухи была смещена опухолью, покрытой багровой слизистой оболочкой с характерным усиленным сосудистым рисунком, кпереди (рис. 1, а). Рис. 1. Эндоскопия полости носа (0 град. эндоскоп). а — начало операции: звездочкой показана ЮАОЧ, стрелкой — средняя носовая раковина; б — этап операции: звездочкой показана ЮАОЧ, стрелкой – полость правой клиновидной пазухи. Удалены задние отделы перегородки носа, передняя стенка клиновидной пазухи и межпазушная перегородка, после чего стала хорошо обозрима опухоль, плотно сращенная с нижней, задней, верхней и латеральной стенками клиновидной пазухи (см. рис. 1, б).
Затем опухоль была выделена единым блоком, на заключительном этапе была выделена латеральная часть опухоли и отсечена у основания. При этом отмечено выраженное кровотечение, которое было остановлено при помощи гемостатического материала Суржицель и тугой тампонады.

В конце операции было рассверлено место исходного роста опухоли — губчатая кость основания клиновидной кости, видиев канал и крыловидный отросток с правой стороны, мелкие сосуды коагулированы. При помощи навигатора было установлено, что один из сосудов исходил из правой ВСА. При осмотре: опухоль удалена полностью. В полость пазухи введена полоска гемостатического материала Суржицель (рис. 2). Рис. 2. Навигация, окончание операции: навигационный отсос стоит за заднелатеральной границей опухоли, на канале правой ВСА, при эндоскопии видно, что ЮАОЧ удалена радикально, с местом исходного роста. Передняя тампонада носа справа. Интраоперационная кровопотеря составила 2000 мл.
В ходе операции использовался комплекс кровесберегающих методик: управляемая артериальная гипотония, острая изоволемическая гемодилюция и аппаратная реинфузия аутокрови при помощи селл-сейвера с применением лейкоцитарного фильтра. Использования донорской крови не потребовалось.

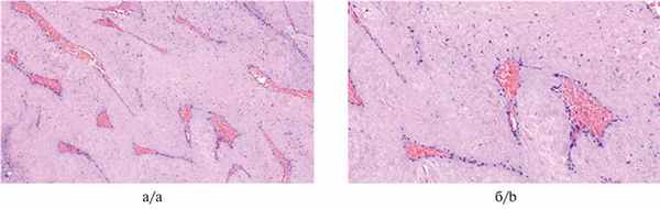
По результатам гистологического и иммуногистохимического исследований (от 21.05.18) подтвержден диагноз типичной юношеской ангиофибромы основания черепа (рис. 3). Рис. 3. Юношеская ангиофиброма. Окраска гематоксилином и эозином. Типичная гистологическая картина опухоли — среди малоклеточной фиброзной ткани располагаются тонкостенные дилатированные сосуды с явлениями микроваскулярной пролиферации, просвет сосудов заполнен эритроцитами. а — ув. 100; б — ув. 200.
Послеоперационный период протекал без осложнений, пациент выписан на 3-и сутки после операции (18.05.18). При контрольном обследовании через 6 мес после операции — в ноябре 2018 г. по данным эндоскопии носоглотки и перфузионной КТ резидуальной ЮАОЧ нет, наблюдение.
По данным базы Pubmed, с 1998 по 2018 г. по запросу «Juvenile nasopharyngeal angiofibroma AND case report» было найдено 848 статей. Из них были отобраны статьи по следующим критериям: пациенты обоих полов и всех возрастов, морфологически подтвержденный диагноз ЮАОЧ (первично выявленные ЮАОЧ).

В результате проведенного поиска была проанализирована 81 статья, опубликованная за последние 20 лет (рис. 4). Рис. 4. Схема поиска литературы с критериями их отбора для систематизированного анализа. В рамках, расположенных по центру, — случаи истинной ЮАОЧ. При этом самому взрослому пациенту с первично выявленной ЮАОЧ было 72 года [5]. В данной статье группа авторов из Китая описывают клиническое наблюдение пациента мужского пола с типичными клиническими и радиологическими проявлениями ангиофибромы носоглотки, проявившейся болью в течение 3 мес и локализованной в подвисочной ямке, что подтверждено гистологически и иммуногистохимически.
В публикации 2018 г. P. Jr McGarey и соавт. описывают клинический случай диагностированной ЮАОЧ у мужчины 32 лет. По данным авторов, это один из самых взрослых пациентов с первично выявленной ЮАОЧ [6].
Похожий клинический случай бессимптомной первично выявленной по данным МРТ юношеской ангиофибромы у мужчины в возрасте 32 лет, расположенной изолированно в клиновидной пазухе, представлен A. Yenigun и соавт. Авторы подчеркивают исключительную редкость описанного случая [13].
Несмотря на то что ЮАОЧ в типичных случаях встречается у лиц мужского пола, преимущественно у подростков и юношей, диагноз ЮАОЧ возможен у взрослых мужчин. Настороженность в плане возможного характера патологического процесса, правильное планирование обследования (перфузионная КТ) и операции с предварительной ангиографией и эмболизацией питающих опухоль сосудов, использование интраоперационных кровесберегающих методик, могут помочь избежать массивной интраоперационной кровопотери.
Авторы выражают благодарность сотрудникам нашего отделения, которые принимают участие в обследовании и лечении пациентов с ЮАОЧ.
The authors express their gratitude to our team of N.N. Burdenko National Medical Research Center for Neurosurgery.
Авторы заявляют об отсутствии конфликта интересов.
The authors declare no conflicts of interest.
Сведения об авторах
Нерсесян М.В., Костоусова А.И., Лубнин А.Ю., Рыжова М.В., Капитанов Д.Н. Первично выявленная юношеская ангиофиброма основания черепа у мужчины 38 лет (клиническое наблюдение). Вестник оториноларингологии. 2019;84(5):76-80.
Алгоритм морфологической оценки для прогнозирования течения ювенильной ангиофибромы носоглотки Текст научной статьи по специальности «Клиническая медицина»
Аннотация научной статьи по клинической медицине, автор научной работы — Абдурахманов Отабек Бахтиярович
Похожие темы научных работ по клинической медицине , автор научной работы — Абдурахманов Отабек Бахтиярович
Сравнительный анализ результатов хирургического лечения ювенильных ангиофибром носоглотки с использованием метода 3D-реконструкции компьютерной томографической ангиографии
Изучение прогностической значимости маркера апоптоза гена р53 и васкулоэндотелиального фактора роста при оценке клинического течения ангиофибромы носоглотки
Algorithm of morphological assessment for predicting clinical course of juvenile nasopharyngeal angiofibroma
Текст научной работы на тему «Алгоритм морфологической оценки для прогнозирования течения ювенильной ангиофибромы носоглотки»
УДК 616.327.2-006.31-006.327: 616-073.582-076-091
АЛГОРИТМ МОРФОЛОГИЧЕСКОЙ ОЦЕНКИ ДЛЯ ПРОГНОЗИРОВАНИЯ ТЕЧЕНИЯ ЮВЕНИЛЬНОЙ АНГИОФИБРОМЫ НОСОГЛОТКИ
Отабек Бахтиярович Абдурахманов* Ташкентский институт усовершенствования врачей, г. Ташкент, Республика Узбекистан
Реферат DOI: 10.17750/KMJ2015-518
Цель. Установление связи между морфологическими характеристиками опухолевого роста и клиническими проявлениями прогрессирования процесса.
Методы. Исследование проведено на материале 118 больных ювенильной ангиофибромой носоглотки, находившихся на обследовании и лечении в отделении опухолей головы и шеи Республиканского онкологического научного центра Республики Узбекистан с 2003 по 2013 гг. К основной группе отнесены 69 пациентов с первичными ювенильными ангиофибромами, к контрольной — 49 ранее оперированных пациентов (с рецидивом новообразования). У всех больных было проведено стандартное гистологическое исследование резецированных новообразований. За основу мы взяли схему К.М. Мардалейшвили (1985) и модифицировали её для разработки алгоритма определения степени морфологических изменений.
Вывод. Предложенный алгоритм определения степени морфологических изменений целесообразно использовать при выборе подхода к лечению и для мониторирования роста ювенильной ангиофибромы носоглотки, а также в качестве прогностического показателя.
Ключевые слова: ангиофиброма носоглотки, морфология, клиническое течение.
ALGORITHM OF MORPHOLOGICAL ASSESSMENT FOR PREDICTING CLINICAL COURSE OF JUVENILE NASOPHARYNGEAL ANGIOFIBROMA
'Tashkent Institute of Postgraduate Medical Education, Tashkent, Uzbekistan
Aim. To determine the association between morphological characteristics of tumor growth and clinical manifestations of progression.
Methods. The study included 118 patients with juvenile nasopharyngeal angiofibroma who were examined and treated at the department of head and neck cancer of Cancer Research Center of Uzbekistan from 2003 to 2013. The main group included 69 patients with primary nasopharyngeal angiofibroma, control group — 49 patients with relapsing tumors who underwent surgery. Standard histological examination was performed in all patients. The algorithm for determination of morphological changes degree was developed based on approach proposed by K.M. Mardaleyshvili (1985), which was modified by authors.
Conclusion. The proposed algorithm for determining the grade of morphological characteristics may be used for determining the treatment tactics and monitoring the tumor growth in patients with juvenile nasopharyngeal angiofibroma, as well as the prognostic factor.
Keywords: nasopharyngeal angiofibroma, morphology, clinical course.
Среди всех доброкачественных опухолей области головы и шеи на долю ангио-фибромы носоглотки приходится 0,05%. Заболеваемость среди пациентов оторино-ларингологических отделений составляет 1:5000-1:6000 [1, 2, 7]. В структуре доброкачественных опухолей носоглотки ангиофиб-рому регистрируют в 50% случаев [3, 5, 9].
Несмотря на тот факт, что ангиофибро-
ма носоглотки по своему гистологическому строению относится к доброкачественным опухолям, по клиническому течению она проявляет себя как злокачественное образование. Опухоль не только оттесняет, но и разрушает близлежащие структуры, вызывая деструкцию кости, прорастает в орбиту, полость черепа с развитием тяжёлых внутричерепных осложнений, нарушением функций жизненно важных органов. Другое грозное осложнение — спонтанное но-
Распределение больных но гистологическому тину ювенильной ангиофибромы носоглотки, наличию осложнений и рецидивов (п=118)
Группы Количество, n (%) Осложнения (n=7, 5,9%) Рецидивы (n=9, 7,6%)
абс. % до 1 года до 3 лет
Основная (первичные) 69 (58,5) 2 2,9 2 2,9 2 2,9
Сосудисто-фиброзный тип 46 (66,7) 2 4,3 2 4,3 2 4,3
Клеточный тип 23 (33,3) — — — — — —
Контрольная (ранее оперированные) 49 5 10,2 3 6,1 2 4,1
Сосудисто-фиброзный тип 39 (79,6) 4 10,3 3 7,7 2 5,1
Клеточный тип 10 (20,4) 1 10 — — — —
совое кровотечение, иногда приводящее к летальному исходу [4, 6, 8, 10].
Успех лечения ювенильной ангиофибромы носоглотки (ЮАН) во многом зависит от морфологических особенностей опухоли.
Целью нашего исследования было установление связи между морфологическими характеристиками опухолевого роста и клиническими проявлениями прогрессирова-ния процесса.
Исследование проведено на материале 118 пациентов с ЮАН, находившихся на обследовании и лечении в отделении опухолей головы и шеи Республиканского онкологического научного центра Республики Узбекистан с 2003 по 2013 гг. Среди них женщин было 2,9%, мужчин — 97,1%, средний возраст составил 22,2 года.
Больные были разделены на группы в зависимости от первичной опухоли, наличия рецидивов и типа опухоли. К основной группе отнесены 69 пациентов с первичными ЮАН, к контрольной — 49 ранее оперированных пациентов (с рецидивом новообразования). У всех больных было проведено стандартное гистологическое исследование новообразований, за основу мы взяли схему К.М. Мардалейшвили (1985) и модифицировали её для разработки алгоритма определения степени морфологических изменений у больных ЮАН.
Морфологический анализ и подсчёт митозов и апоптотических телец проводили при иммерсионном увеличении микроскопа в гистологических срезах толщиной 5 мм, окрашенных гематоксилином и эозином. Митотический и апоптотический индексы выражали в промилле (число на 1000 учтённых опухолевых клеток).
Информативными морфологическими признаками, выявленными нами, являются 7 характеристик ЮАН.
1. Структура опухоли.
2. Ядерный полиморфизм.
6. Клеточная лимфоидно-гистоцитарная реакция.
Исходя из этого, мы предложили определение степени морфологических изменений для прогноза и мониторинга лечения данного заболевания, которое заключается в определении суммы баллов в каждой из 7 групп:
1) наименьшая степень патоморфологи-ческих изменений соответствует сумме баллов от 7 до 14;
2) умеренная степень соответствует сумме баллов от 15 до 21;
3) наибольшая — от 22 до 28 баллов.
Статистическую обработку данных проводили с использованием пакета прикладных программ Statistica 8.0. Статистически значимыми различия считали при р
Анализ гистологических образцов больных показал, что из 118 новообразований большинство представляли ангиофибромы сосудисто-фиброзного типа — 85 (72,0%) случаев, клеточный тип был выявлен у 33 (28,0%) больных (табл. 1). Причём среди основной группы (первичных) больных с сосудисто-фиброзным типом было 66,7% (46/69), а среди контрольной группы (ранее оперированных) больных с сосудисто-фиброзным типом — 79,6% (39/49). У 4,3% первичных больных ЮАН сосудисто-фиброзного типа были выявлены осложнения, у 1 больного — кровотечение из опухоли, у другого пациента — экзофтальм. У 8,7% (4/118) больных появились рецидивы, причём у 50% рецидивы были выявлены до 1 года. У больных с клеточным типом опухолевого роста осложнений и рецидивов обнаружено не было.
Рис. 1. Больной А. 1990 года рождения. Первичная юношеская ангиофиброма носоглотки клеточного типа. Окраска гематоксилином и эозином. Увеличение х400
Рис. 3. Больной Ф. 1993 года рождения. Первичная юношеская ангиофиброма носоглотки клеточного типа. Окраска гематоксилином и эозином. Увеличение х200
В контрольной группе больных ЮАН с сосудисто-фиброзным типом заболевания у 10,3% (4/39) были выявлены осложнения в виде кровотечения из рецидивной опухоли.
При изучении морфологической картины всех исследованных новообразований нами были отмечены следующие характерные особенности опухолевого роста.
В некоторых случаях опухоль не имеет выраженного инвазивного роста, в поле зрения наблюдаются эпителиальные пласты в виде островов разной величины, в этих ме-520
Рис. 2. Больной С. 1994 года рождения. Первичная юношеская ангиофиброма носоглотки сосудисто-фиброзного типа. Окраска гематоксилином и эозином. Увеличение х400
стах выявлено увеличение клеточности, клетки с явлениями дискератоза и паракератоза. На ограниченных участках — многослойный плоский эпителий с выраженной дисплази-ей, дезорганизацией и полиморфизмом клеток. В данных образцах в подлежащей соединительной ткани отмечается обширная лимфоидно-гистиоцитарная инфильтрация. Клетки в островной области крупные, с ги-похромными ядрами, сетчатым хроматином. По периферии основных образований — многослойный эпителий, внешний слой которого составляют бокаловидные клетки, в центре этих образований — некроз (рис. 1).
В другом случае в строме в поле зрения (увеличение х400) выявляется большое количество сосудов (до 10-12) разной величины. Строма отёчна, волокнистая ткань, представленная пучками грубоволокнистой соединительной ткани, разрыхлена и отёчна (рис. 2). Пролиферация высокая, митотичес-кий индекс составляет 1%о, гибель клеток по типу апоптоза также высокая, апоптозный индекс 8%. Данная морфологическая характеристика представлена у больных клеточным типом ангиофибром основной группы (см. табл. 1).
В опухолевых образцах ряда больных характер роста был иным. Отмечалась хорошо сохранённая стратификация клеток с их ба-зальной ориентацией. Чётко прослеживалось формирование межклеточных «мостиков», определялось ороговение клеток с образованием «раковых жемчужин». В соединительной ткани выявлялись различной величины тяжи из атипически изменённых клеток многослойного плоского эпителия, одни из которых ещё имели связь с основным клеточным пластом многослойного плоского эпителия, другие лежали обособлено (рис. 3).
Рис. 4. Больной С. 1994 года рождения. Первичная юношеская ангиофиброма носоглотки сосудисто-фиброзного типа. Окраска гематоксилином и эозином. Увеличение х400
Рис. 6. Больной Р. 1996 года рождения. Рецидивирующая юношеская ангиофиброма носоглотки сосудисто-фиброзного типа. Окраска гематоксилином и эозином. Увеличение х200
В ряде опухолей на фоне изменённой структуры эпителиального пласта определялось нарушение целостности базальной мембраны с инвазией в подлежащую соединительную ткань крупных полиморфных атипичных опухолевых клеток. Ядра этих клеток большие, с множественными диф-фузно лежащими в нуклеоплазме крупными глыбками гетерохроматина и хорошо различимыми увеличенными ядрышками. Среди таких клеток много митозов, часто атипичных, митотический индекс от 0,6 до 1,0%>. Часто атипичные клетки врастали в подлежащую ткань.
При распространённом инвазивном росте новообразований выявлялись очаги некроза, разрастание клеточных комплексов в мышечной ткани. Сосудистая сеть сильно развита, в поле зрения (увеличение х400) до 15 сосудов различной величины. Микро-циркуляторное русло изобилует многочисленными капиллярами различного калибра (рис. 4).
Рис. 5. Больной Р. 1996 года рождения. Рецидивирующая юношеская ангиофиброма носоглотки клеточного типа. Окраска гематоксилином и эозином. Увеличение х200
Рис. 7. Больной О. 2000 года рождения. Рецидивирующая юношеская ангиофиброма носоглотки сосудисто-фиброзного типа. Окраска гематоксилином и эозином. Увеличение х400
Вокруг большинства сосудов (в большей степени вокруг крупных) обнаруживались лимфоидная инфильтрация и фолликулярные структуры. Данная морфологическая характеристика соответствует сосудисто-фиброзному типу опухолевого роста у больных основной группы.
В опухолях другого типа нами было обнаружено незначительное содержание эпителиальных клеток в тонкой слизистой оболочке. В тонкой мышечной прослойке клеточность невысокая, строма отёчная, волокнистая ткань разрыхлена (рис. 5).
Пролиферация всех клеточных элементов отсутствует, митотический индекс равен 0. Апоптоз встречается в единичных клетках, возможно, это связано с малым количеством клеток. Наблюдается дегенерация изменённых клеток как эпителиальных, так и мышечных, а также наличие грануляционной соединительной ткани, содержащей сгустки фибрина и разрушенные клеточные элементы (рис. 6).
При морфологическом исследовании материала, полученного от другого пациента, волокна тонкие, между их пучками — выраженный отёк. Просветы сосудов широкие, с истончёнными стенками. Сосудистая система местами развита слабо: до 5 сосудов в поле зрения (увеличение х400). В других участках сосудов много: до 11-12, с кровенаполнением. Лимфоидная инфильтрация выраженная. Данные морфологические изменения были обнаружены в опухолевых образцах больных контрольной группы с сосудисто-фиброзным типом (рис. 7).
У больных контрольной группы с клеточным типом опухоли между скоплениями клеток выявлялись тонкие колла-геновые волокна и участки более грубой волокнистой ткани с явлениями отёка волокон. Наблюдались усиление пролиферации фибробластов и лимфогистиоцитарные инфильтраты. В глубоких слоях отмечалась высокая плотность клеточных элементов, а межклеточное вещество было представлено тонкими волокнами.
Таким образом, архитектоника (точка) роста, признаки кератинизации, пролифе-ративная активность, апоптоз, особенности инвазии и ангиогенез в новообразованиях выражены в разной степени.
Как показали наши исследования, прогноз и клиническое течение ЮАН можно во многом определить морфоструктурными особенностями роста опухолей.
Мы предлагаем алгоритм определения степени морфологических изменений для прогноза и мониторирования лечения данного заболевания, который заключается в определении суммы баллов одного из признаков (по К.М. Мардалейшвили, 1985) в каждой из 7 групп.
В опухолевых образцах пациентов контрольной группы с клеточным типом роста сумма баллов была от 20 до 21, это максимальная сумма для умеренной степени морфологических изменений. Опухолевые образцы больных ЮАН с сосудисто-фиброзным типом роста имели наибольшие морфологические изменения в опухолевой ткани,
что соответствовало 3-й степени с суммой баллов до 28.
Предложенный алгоритм определения степени морфологических изменений целесообразно использовать при выборе подхода к лечению и для мониторирования роста ювенильной ангиофибромы носоглотки, а также в качестве прогностического показателя.
1. Арифов С.С., Лутфуллаев У.Л., Лутфуллаев Г.У. Оценка эффективности лечения больных с юношеской ангиофибромой носовой части глотки при кровотечении // Ж. вушнних, носових i горлових хвороб. — 2009. — №6. — С. 85-87. [Arifov S.S., Lutfullaev U.L., Lutfullaev G.U. Assessing the treatment effect in patients with juvenile angiofibroma of nasal pharynx and bleeding. Zhurnal vushnnyh, nosovyh i gorlovyh hvorob. 2009; 6: 85-87. (In Russ.)]
2. Пачес А.И. Опухоли головы и шеи. — М.: Медицина, 2000. — 287 с. [Paches A.I. Opukholi golovy i shei. (Head and neck tumors.) Moscow: Meditsina. 2000: 287 p. (In Russ.)]
4. Рзаев P.M. Современное состояние вопроса о хирургическом лечении больных ювенильными анги-офибромами носоглотки // Вестн. оторинолар. — 1987. — №6. — С. 90-93. [Rzaev P.M. State of arts in surgical treatment of nasopharyngeal juvenile angiofibroma. Vestnik otorinolaringologii. 1987; 6: 90-93. (In Russ.)]
5. Солдатов И.Б. Болезни уха, горла и носа. — Самара, 2003. — Т. 3. — С. 332-333. [Soldatov I.B. Bolezni ukha, gorla i nosa. (Ear, nose and throat diseases.) Samara. 2003: 332-333. (In Russ.)]
8. Karthikeya P., Mahima V.G., Bagewadi S.B. Juvenile nasopharyngeal angiofibroma // Indian J. Cancer Dent. Res. — 2005. — Vol. 16, N 1. — P. 22-26.
9. Schick B, Rippel С, Brunner С. et al. Numerical sex chromosome aberrations in juvenile angiofibromas: genetic evidence for an androgen dependent tumor // Oncol. Rep. — 2003. — Vol. 10, N 5. — P. 1251-1254.
10. Some M, Neffson M. Fibromas of the nasopharynx: juvenile and cellulas types // Ann. Otolog. — 1940. — Vol. 49, N 1. — Р. 211-219.
Лечение ювенильной назофарингеальной ангиофибромы у детей
Здесь представлены ведущие детские клиники и специалисты по лечению ювенильной назофарингеальной ангиофибромы
Ведущие клиники
В настоящее время, в связи со сложностями, связанными с организацией лечения в Турции, Швейцарии, Южной Корее и Индии, мы приостановили обработку заявок по этим направлениям.
Если вас интересует организация лечения в Германии, оставьте, пожалуйста, заявку, и наши специалисты свяжутся с вами в ближайшее время.
Отбор врачей и клиник проводится на основании ежегодных квалификационных отчётов. Основным критерием выбора является количество проведённых операций или процедур. Учитывается опыт работы, репутация в медицинском обществе, наличие сертификатов качества и узкопрофильная направленность в определённой области.
Содержание:
Цены на лечение


Проф. Доктор мед. Мартин Канис
Университетская клиника Мюнхенского университета им. Людвига-Максимилиана
Отделение взрослой и детской отоларингологии
Университетская клиника Мюнхенского университета им. Людвига-Максимилиана регулярно входит рейтинг лучших медучреждений Германии журнала Focus! Клиника является крупнейшим многопрофильным медицинским учреждением, а также ведущим исследовательским и учебным центром Германии и Европы. Клиника гордится двухсотлетней историей и неус


Проф. Доктор мед. Томас Хоффманн
Университетская клиника Ульма
Отделение взрослой и детской отоларингологии, хирургии головы и шеи
Университетская клиника Ульма начала свою деятельность 35 лет назад и за это время стала одним из самых престижных медицинских заведений в Европе. Клиника славится многочисленными открытиями и достижениями мирового уровня в области медицины и фармацевтики. При медучреждении функционируют 29 специализированных отделений и 14 инст


Проф. Доктор мед. Тимо Штёвер
Университетская клиника им. Гёте Франкфурт на Майне
Отделение взрослой и детской отоларингологии
Согласно рейтингу авторитетного издания Focus университетская клиника им. Гёте Франкфурт на Майне входит в число топовых медучреждений Германии! Клиника была основана еще в 1914 году и на сегодняшний день является известным в Германии медицинским учреждением, которое сочетает богатые традиции и научные инновации. Медицинская ком


Проф. Доктор мед. почетный Доктор Рудольф Хаген
Университетская клиника Вюрцбурга
Отделение взрослой и детской отоларингологии, пластической и эстетической хирургии
Университетская клиника Вюрцбурга относится к числу лучших национальных клиник Германии по версии журнала FOCUS в 2019 году! Клиника представляет собой одно из старейших медицинских учреждений в Германии. Многовековые традиции первоклассного лечения сочетаются здесь с новейшими достижениями современной научно-доказательной медиц


Проф. Доктор мед. Орландо Гунтинас-Лихиус
Университетская клиника Йена
Отделение взрослой и детской отоларингологии
Согласно престижному журналу Focus университетская клиника Йена регулярно входит в рейтинг лучших медучреждений Германии! Клиника позиционирует себя как многопрофильное медицинское учреждение с давней историей, насчитывающей более 200 лет. С момента основания клиника постоянно развивалась и модернизировалась, благодаря чему на с


Проф. Доктор мед. Хайди Ольце
Университетская клиника Шарите Берлин
Отделение взрослой и детской отоларингологии
Согласно версии авторитетного издания Focus университетская клиника Шарите Берлин занимает 1-ое место в рейтинге самых лучших медучреждений Германии! Клиника является одним из крупнейших и ведущих университетских медицинских комплексов в Европе. Здесь проводятся современная диагностика и лечение пациентов, а также проходят обуче


Проф. Доктор мед. почетный доктор Хайнрих Иро
Университетская клиника Эрлангена

Отделение взрослой и детской отоларингологии, хирургии головы и шеи
Согласно рейтингу журнала Focus университетская клиника Эрлангена относится к лучшим медицинским учреждениям Германии! Клиника является одним из ведущих медучреждений Баварии и предлагает медицинское обслуживание самого высокого уровня, которое отличается тесным переплетением клинической деятельности с исследованиями и обучением


Проф. Доктор мед. Клаудия Рудак
Университетская клиника Мюнстер
Отделение взрослой и детской отоларингологии
Университетская клиника Мюнстера входит в рейтинг самых лучших клиник Германии согласно версии журнала Focus! Клиника относится к наиболее авторитетным многопрофильным медицинским учреждениям Германии. Клиника отличается высоким профессионализмом врачей, современным технологическим оснащением и наличием новейших диагностических


Проф. Доктор мед. Штефан Плонтке
Университетская клиника Галле (Заале)
Отделение взрослой и детской отоларингологии, хирургии головы и шеи
Согласно престижному изданию Focus университетская клиника Галле (Заале) входит в рейтинг лучших медучреждений Германии! История клиники насчитывает более 300 лет, и за это время ей удалось завоевать отменную репутацию не только в Германии, но и во всем мире. Клиника позиционирует себя как профильное медучреждение по лечению осо


Проф. Доктор мед. Фридрих Боотц
Университетская клиника Бонн

Отделение взрослой и детской отоларингологии
Согласно версии авторитетного журнала Focus университетская клиника Бонн входит в десятку самых лучших медучреждений Германии! Клиника была открыта 1 января 2001 года, хотя фактически она наследует медицинское учреждение, работавшее на базе медицинского факультета Боннского университета. Клиника сочетает в себе все высочайшие ст


Проф. Доктор мед. Хуберт Лёвенхайм
Университетская клиника Тюбингена
Отделение взрослой и детской отоларингологии
Университетская клиника Тюбингена входит в пятерку лучших клиник Германии согласно рейтингу престижного медицинского издания Focus! Клиника была основана еще в 1805 году, поэтому гордится своей многолетней историей, уникальным опытом и выдающимися достижениями в области медицинского обслуживания, а также исследовательской и преп


Проф. Доктор мед. Борис А. Штук
Университетская клиника Марбург
Отделение взрослой и детской отоларингологии
Университетская клиника Марбург предлагает пациентам современную диагностику и комплексную терапию на международном уровне. Будучи клиникой максимального медицинского обеспечения, медицинское учреждение специализируется во всех сферах современной медицины, начиная от офтальмологии и заканчивая травматологией и стоматологией. Гла


Проф. Доктор мед. Барбара Волленберг
Университетская клиника Рехтс дер Изар Мюнхен


Отделение взрослой и детской отоларингологии, хирургии опухолей головы и шеи, пластической хирургии лица
Основанная в 1834 году университетская клиника Рехтс дер Изар Мюнхен сочетает в себе многолетние традиции и новейшие достижения современной медицины. В состав медицинского учреждения входят 33 специализированных отделения и 20 междисциплинарных центров, в которых пациенты могут получить первоклассную помощь по всем направлениям


Проф. Доктор мед. Йорг Шиппер
Университетская клиника Дюссельдорф
Отделение взрослой и детской отоларингологии
Университетская клиника Дюссельдорф входит в рейтинг самых лучших клиник Германии согласно авторитетному журналу Focus! Клиника является превосходным образцом сочетания высококачественного медицинского обслуживания, исследовательской и преподавательской деятельности. Ежегодно принимая на лечение более 50000 стационарных и около


Проф. Доктор мед. почетный доктор Петер К. Плинкерт
Университетская клиника Гейдельберг
Отделение взрослой и детской отоларингологии
Университетская клиника Гейдельберг входит в пятерку лучших клиник Германии согласно рейтингу журнала Focus! Клиника представляет собой одно из наиболее передовых и авторитетных медучреждений не только в Германии, но и во всей Европе. Здесь функционируют более 43 специализированных отделений и 13 медицинских институтов, охватыва


Проф. Доктор мед., почетный доктор Томас Цанерт
Университетская клиника имени Карла Густава Каруса Дрезден
Отделение взрослой и детской отоларингологии, хирургии головы и шеи
Согласно авторитетному журналу Focus университетская клиника имени Карла Густава Каруса Дрезден входит в пятерку лучших клиник Германии! Клиника является эталоном современной высококачественной медицины. Позиционируя себя в качестве медицинского учреждения максимального обеспечения, клиника представляет все направления медицины.
Ювенильная назофарингеальная ангиофиброма является опухолью, которая развивается в носоглотке подростков и молодых людей мужского пола. Согласно данным MedScape, эта опухоль может кровоточить, поэтому она настолько опасна.
В целом, ювенильная назофарингеальная ангиофиброма является редкой опухолью. На ее долю приходится 0,05% всех опухолей головы. Опухоль может развиваться в возрасте с 7 до 19 лет и только у мужчин. Сообщалось, что у пациентов с ангиофибромой возникают отоларингологические проблемы.
Точная причина ювенильной назофарингеальной ангиофибромы еще не определена. Было высказано предположение, что гормональный дисбаланс может привести к развитию этой опухоли. Для этого есть 2 доказательства: ювенильная назофарингеальная ангиофиброма развивается только у мужчин и только во время или до периода полового созревания. Дальнейшие исследования проводятся для определения того, какие гормональные изменения могут привести к развитию этой редкой опухоли.
Ювенильная назофарингеальная ангиофиброма чаще всего представляет собой носовую массу, которая развивается в носоглотке. В редких случаях опухоль может развиваться в области орбиты. Сообщалось, что пациенты с юношеской носоглоточной ангиофибромой страдают от серьезного отита до того, как были диагностированы опухоли. У некоторых пациентов также была закупорка евстахиевой трубки.
- Боли в области носа
- Невозможность полностью вдохнуть носом
- Ощущение обструкции в полости носа
- Головная боль
- Отек в области носа
- Во время общего осмотра врач проверит носовую полость человека и прощупает ее на наличие каких-либо странных тяжелых масс.
- Врач также спросит, страдал ли пациент какими-либо ушными инфекциями в прошлом.
- Гормональный тест может определить, есть ли гормональный дисбаланс.
- Методы визуализации, такие как КТ и МРТ, могут идентифицировать опухоль и определить ее точное местоположение вместе с размером.
- Операция - это процедура, используемая для удаления опухоли, а также устранения носовой непроходимости, чтобы пациент дышал нормально.
- Гамма-нож - это высокотехнологичная хирургическая процедура, используемая для удаления опухоли без открытого разреза.
- Лучевая терапия - это процедура, используемая для максимально возможного сокращения и облучения опухоли. Ее можно использовать до или после операции.
- Гормональная терапия используется, если у пациента есть гормональный дисбаланс, который необходимо дополнительно привести в порядок для удаления опухоли.
🔎 Как провериться на ювенильная назофарингеальная ангиофиброма?
Ювенильные ангиофибромы
Ангиофиброма – довольно редко встречающаяся доброкачественная опухоль. Растет крайне медленно. Среди органов головы и шеи наблюдаются в 0,05?% случаев. Представляем клиническое наблюдение. Больной К. 65 лет находится под наблюдением врачей около 3-х лет. 2 года назад был прооперирован в РНИОИ: резекция верхней челюсти с экзентерацией орбиты по поводу «ангиофибромы верхней челюсти прорастающей в орбиту». Через 1,5 г. рецидив. Повторная операция в РНИОИ: радикальное удаление опухоли. Из-за прорастания и разрушения кости передней черепной ямки, измененные кости удалены с обнажением твердой мозговой оболочки. Гистологическое заключение: агрессивный фиброматоз с местнодесструирующим ростом. Находится под регулярном наблюдении более 6 мес. без рецидива.
1. Рзаев Р.М. О тактике хирургического вмешательства при интракраниальном распространении ювенильной ангиофибромы носовой части глотки // Вестн. оторинолар. – 2003. – № 5. – С. 10–15.
2. Светицкий П.В., Ермолаева Т.Б., Пак Р.С. Непосредственные результаты комбинированного лечения больных раком щитовидной железы и верхней челюсти в условиях локальной гипертермии // Новые методы интенсивной терапии в лечении онкологических больных. – Л., 1989. – С. 62.
3. Batsakis J.G. Tumors of the Head and Pathological Considerations (2 nded) // Williams and Wilkins Co., Baltimore. – 1979. – P. 296–300.
4. Gershon S.J. Management of juvenile angiofibroma // Laryngoscope. – 1988. – Vol. 98. – P. 11016–1026.
5. Krekorian E.A., Kempe L.G. The combined otolaryngology-neurosurgery approach to extensive benign tumors // Laryngoscope (St. Louis). – 1969. – Vol. 79. – № 12. – P. 2086–2103.
6. Ochoa-Carrillo F.J., Carrillo J.F., Frias M. Staging and treatment of nasopharyngeal angiofibroma // Eur. Arch. Otorhinolaryngol. – 1997. – Vol. 254. – P. 200–204.
7. Panje W.R., Dohraann G.J., Pitcock J.K. et al. The transfacial approach for combined anterior craniofacial tumor ablation // Arch. Otolarengol. Head Neck Surg. – 1989. – Vol. 115. – № 3. – P. 301–307.
Ангиофиброма (АФ) – довольно редко встречающаяся доброкачественная опухоль. Растет крайне медленно, годами не вызывая субъективных ощущений. Она возникает в основном у лиц мужского пола в пубертатном периоде в носоглотке (ювенильная ангиофиброма). В других отделах органов головы и шеи наблюдаются в 0,05 % случаев [3, 4, 7].
Представляем клиническое наблюдение местно-распространенной АФ верхней челюсти. Больной К. 65 лет И.б. № С20366/д поступил в отделение «Опухолей головы и шеи» РНИОИ с д-зом: Рецидив ангиофибромы верхней челюсти. Два года тому назад был прооперирован по поводу данного заболевания. При первой госпитализации, опухолевым процессом была поражена верхняя челюсть с распространением в орбиту. Глазное яблоко было деформировано кровоточащей опухолью, зрение отсутствовало. Пункционная биопсия не выявила наличие атипических клеток. Из-за прогрессирующего роста опухоли верхней челюсти с распространением в орбиту и прорастанием в глазное яблоко был выставлен предоперационный клинический диагноз: рак левой половины верхней челюсти с распространением в орбиту.
Была произведена резекция верхней челюсти с экзентерацией содержимого орбиты. Гистопатологическое заключение № 84175-79/13 «ангиофиброма верхней челюсти, прорастающая парабульбарную клетчатку». Послеоперационный период проходил без осложнений. Был выписан домой в удовлетворительном состоянии.
В течение 1,5 лет, больной не обращался к врачам. Однако, из-за возникновения опухоли в полости прооперированной орбиты, больной обратился в РНИОИ. От предложенной госпитализации и операции больной отказался. Опухоль медленно, безболезненно прогрессировала в росте и, через 1,5 мес., заполнила орбиту. Больной вновь обратиться в РНИОИ с согласием на операцию.
При осмотре в момент поступления выявлялась асимметрия лица, за счет припухлости её левой половины и опухоли в орбите деформирующие веки. Опухоль безболезненная, плотная на ощупь, бело-розового цвета. При легком надавливании на опухоль выделялась сукровица.
По данным КТ опухолевым процессом поражена вся левая половина верхней челюсти, полость носа и орбита (рис. 1 и 2).

Рис. 1. КТ черепа. Рецидив опухоли верхней челюсти с распространением в полость носа и орбиту. Интракраниальный рост опухоли отсутствует

Рис. 2. КТ черепа. Орбита и полость носа поражены опухолью. Интракраниально опухоль не распространяется
Проконсультирован с нейрохирургом, который подтвердил отсутствие интракраниального распространения опухоли. Было решено удалить опухоль оперативным способом. Больной прооперирован. Операция осуществлена по Веберу-Фергюссону: производен разрез кожи, начиная от медиального конца брови до верхней губы, вдоль бокового ската носа с последующим окаймлением его крыла. После смещения рассеченных мягких тканей в стороны, последовательно резецированы лобный отросток верхней челюсти, носовой и слёзной кости.
Опухоль радикально удалена вместе с пораженной кожей (рис. 3). В процессе операции удалена разрушенная костная ткань. Обнажена, травмированная (перфорация 1,0×1,5 мм.) твердая мозговая оболочка размерами 4,5×5,0 см (рис. 4). передней черепной ямки. Возникла ликворея, ликвидированная посредством тампонады гемостатической губкой.

Рис. 3. Опухоль радикально удалена вместе с кожей

Рис. 4. Операционная рана после удаления левой половины верхней челюсти вместе с орбитой и левой половиной носа. Вскрыта лобная пазуха. Обнажена твердая мозговая оболочка передней черепной ямки
Послеоперационный период на фоне антибиотиков протекал спокойно. Отмечалась умеренная ликворея, пропитывающая тампоны. Через 3 недели ликворея прекратилась. Костная ткань операционной полости покрылась грануляциями, местами отмечена эпителизация. Проведен консилиум – химиолучевая терапия не показаны. Выписан домой.
Находится под регулярным наблюдением более 6 мес. Рецидива нет. Операционная полость полностью эпителизировалась. Чувствует себя удовлетворительно. Жалоб не предъявляет (рис. 5).

Рис. 5. Внешний вид больного. 6 мес. после операции. Ремиссия
Результаты исследования и их обсуждение
Ангиофиброма (синоним – гемангиофиброма) характеризуется сочетанием сосудистой и волокнистой соединительной тканей. Цвет и плотность ангиофибромы зависят от относительного соотношения между сосудистым и соединительно-тканым компонентами, образующими опухоль, и от преобладающих в составе соединительнотканных структур клеточных элементов. В зрелом возрасте чаще возникают после 40–50 лет, и выявляется с одинаковой частотой у мужчин и женщин. Локализуется преимущественно на коже, реже – на слизистых оболочках верхних дыхательных путей. Диагноз представляет определенные трудности и, в основном, (далеко не всегда правильно) устанавливается после гистологического исследования [9].
В данном случае представлена АФ верхней челюсти с распространением в орбиту с разрушением костной стенки с обнажением твердой мозговой оболочки. Диагноз в обоих случаях был гистологически подтвержден. Следует отметить, что мы, имея более чем 45-летний хирургический опыт, с данной ситуацией столкнулись впервые.
В данном случае, опухоль, обладая свойством экспансивной формы роста, разрушив кость и обнажив твердую мозговую оболочку, несомненно в последующем, распространилась бы интракраниально. Такие случаи представляют угрозу для жизни больного [1, 5, 6]. При этом, одним из осложнений является возможность инфицирования раны внутри черепа. К тому же, при травмировании твердой мозговой оболочки, утечка спинномозговой жидкости, может привести к тяжелым последствиям [10]. У нашего пациента настораживает факт быстрого (более 1-го года) и агрессивного рецидива. По данным [10], правда с оговоркой, основной причиной развития рецидивов, является продолжение роста опухоли, оставшейся в результате её неполного удаления. В то же время, по данным [10] полное удаление опухоли во многом зависит от дифференцированного применения адекватной операции с учетом степени распространения опухоли. Принцип операции при этом заключается в освобождение опухоли от питающих её кровеносных сосудов. В то же время, по данным тех же авторов, несмотря на применение различных операций, количество рецидивов опухоли в настоящее время остается высоким.
Представленное клиническое наблюдение позволяет думать, что данный случай можно трактовать как рецидив доброкачественной опухоли при клинике злокачественного характера. Наше мнение совпадает с данными литературы [8], в которой выделяются отдельные группы опухолей – потенциально-злокачественные (внешне они схожи с доброкачественными, но иногда могут давать метастазы) и местно-деструктирующие (имеют признаки злокачественных опухолей, но не метастазирующих). В данных случаях опухолевые клетки обладают агрессивным ростом с разрушением окружающих тканей. Приобретение клетками вышеуказанных свойств носит название опухолевой конверсии (трансформации).
У нашего больного отсутствовали метастазы, но агрессивность рецидива могла бы привести к летальным результатам характерным для злокачественной опухоли.
Анализ данных литературы по лечению АФ показывает отсутствие рациональной тактики их лечения. Объясняется это небольшим количеством литературных источников. Это не позволяет осуществить сравнительную оценку клинических наблюдений различных авторов, а также оценить достоинства той или иной тактики лечения и объема операции.
Время покажет и определит нашу дальнейшую тактику. Речь идет о возможном новым рецидиве. Как нам тогда поступить? Вероятно, следует изменить наше отношение к конкретной АФ как к доброкачественной опухоли и подключить консервативную терапию, желательно модифицированную. Мы обладаем опытом применения гипертермии для повышения лечебного эффекта химио-лучевой терапии рецидивных, химио-радиорезистентных нерезектабельных злокачественных опухолей верхней челюсти [2].
Следует думать, что обсуждение опыта клиницистов по лечению больных с ангиофибромами головы позволяет надеяться на разработку рациональной тактики их лечения, что обеспечит улучшение результатов лечения.
Возникновение распространенного послеоперационного рецидива ангиофибромы верхней челюсти потребовало проведения повторной расширенной операции. Данная ситуация возникла из-за позднего обращения больного в специализированное отделение и недостаточного контроля за больным со стороны медиков. Радикальное проведение операции с постоянным контролем за состоянием локального и общего статуса, позволят, при первых признаках рецидива, осуществить адекватное своевременное лечение.
Читайте также:
- Успокаивающие эффекты транквилизаторов. Антиагрессивный эффект транквилизаторов
- Морфология возбудителя респираторного микоплазмоза. Антигены возбудителя микоплазменной пневмонии. Факторы патогенности возбудителя микоплазменной пневмонии.
- Лимфобластный лейкоз. Лимфобластная лимфома.
- Опухоли гипофиза
- Витамины и минералы
