Заболевания моноцитов
Добавил пользователь Валентин П. Обновлено: 13.12.2025
Наша периферическая кровь состоит из огромного количества клеток. Каждый вид выполняет свою неповторимую функцию. Самыми крупными считаются моноциты. Они относятся к макрофагам, т.е. определяют “чужеродные” клетки и уничтожают раковые частички. Образуются такие элементы в костном мозге и спустя пару дней отправляются через кровеносную систему во все ткани и органы человека.
Моноциты в крови крайне важны при инфекционных заболеваниях. Предположим, человек простудился и жалуется на симптомы гриппа. В это время в его организме повреждаются клетки ротоглотки и носовой полости. Моноциты в большом количестве направляются в соответствующие области и устраняют “испорченные” клетки. После этого ткани оперативнее реанимируются, что способствует скорейшему выздоровлению.
В этой связи при воспалительных процессах в общем анализе крови моноциты могут превышать норму. Это считается естественным физиологическим процессом и не требует лечения. В каких случаях уровень моноцитов в крови должен насторожить? Расскажем об этом ниже.
Моноциты в крови: норма и отклонения

Естественное количество моноцитов в крови у взрослого отличается от нормального значения показателя у детей. Например, нормальное значение у женщин и мужчин варьируется от 0,04 до 0,08*10⁹ единиц клеток. Допустимый уровень моноцитов у детей: от 0,05 до 1,1*10⁹ единиц клеток.
Если проанализировать нормальное количество крупных клеток крови в относительном измерении, то оно должно составлять до 10% от общей массы лейкоцитов. У детей оптимальный диапазон - от 2% до 7%, у взрослых - 1-8%. В случае, когда концентрация моноцитов в крови выше, то это говорит о моноцитозе - повышенном количестве моноцитах.
Повышенные моноциты в крови
Стоит сразу отметить, что если в анализе крови указано повышенное содержание моноцитов, то это не всегда говорит о некорректной работе организма. В некоторых ситуациях, это естественная реакция. Например, после плотного обеда, по завершению менструального цикла или у детей дошкольного возраста.
Если вы не попадаете под пункты, относящиеся к нормальному физиологическому состоянию, то при повышенных моноцитах можно говорить про моноцитоз.
К основным причинам такого явления относят:
- Бактериальные инфекции (сифилис, туберкулез, эндокардит)
- Вирусные инфекции (гепатит)
- Болезни, связанные с работой кровеносной системы (лейкоз)
- Рак
- Ревматизм
- Хроническая красная волчанка
- Реабилитация после болезни инфекционного характера
- Перенесенная операция
Точную информацию про уровень моноцитов в крови можно получить только по результатам общего анализа крови. Тем не менее, заподозрить моноцитоз реально в случае, если вы ощущаете:
- апатию и снижение аппетита
- потерю веса без какой-либо причины
- общую слабость
- депрессию
- тревожность, порой даже доводящая до панических атак
- внезапное отвращение к мясу
- сухой кашель продолжительное время
- боль в мышцах и спине
- сыпь на коже
Что делать с такими симптомами? Обязательно обратиться к доктору. Возможно, он назначит вам кроме общего анализа крови дополнительные исследования. Например, МРТ легких, УЗИ органов в брюшной полости, КТ суставов. Дальнейшее лечение напрямую зависит от установленного диагноза. При бактериальной инфекции легких назначают антибиотики, при артрите - физиопроцедуры и противовоспалительные средства. Реже назначают операцию, например, при лейкозе.
Пониженные моноциты в крови

Моноциты в крови у женщин и мужчин редко бывают ниже положенной нормы. Такая ситуация в медицине называется моноцитопенией. Причинами могут быть:
- апластическая анемия, которая возникает в результате некорректного созревания кровяных клеток в костном мозге;
- рак крови. Так, на последних стадиях лейкоза ухудшается выработка клеток крови, что приводит к снижению количество моноцитов;
- осложненные бактериальные инфекции: сепсис, пневмония, фурункулы. Когда иммунитет продолжительное время борется с бактериями, его силы уменьшаются. В итоге, лейкоциты могут вырабатываться в малом количестве.
- изможденность организма. Конечно, обычная диета, чтобы сбросить пару килограммов к лету, не приведет к изменению показателей в общем анализе крови. Если же увлечься и оставить в рационе только хлеб и воду, то это ухудшит общее самочувствие, ослабит иммунитет, что несомненно отразится в количестве моноцитов.
- прием определенных медикаментов, в частности, противоопухолевые и гормональные средства. Они подавляют функционирование костного мозга, что приводит к недостаточной выработке клеток крови.
Естественным снижение моноцитов можно назвать только при беременности. Таким образом возникающие физиологические процессы защищают развивающийся плод от возможной агрессии иммунитета матери. Обычно в этот период отклонения от нормы наблюдаются небольшие, количество клеток сохраняется в диапазоне 3-6% от общего количества лейкоцитов.
Как можно отметить, пониженные моноциты в крови у мужчин и женщин зачастую указывают на развитие опасной болезни или сигнализируют о серьезных изменениях в организме, требующие безотлагательной помощи грамотного медицинского сотрудника.
Поэтому, если при сдаче общего анализа вы обнаружили любое отклонение от нормы моноцитов в крови, проходите в обязательном порядке все дополнительные исследования, назначенные врачом, и строго соблюдайте программу лечения.
Моноциты в крови
Моноциты представляют собой разновидность белых кровяных клеток, также известных как лейкоциты. Главная функция моноцитов – поглощение патогенных микроорганизмов, представляющих угрозу для здоровья человека. Этот процесс называется фагоцитозом. Если другие виды лейкоцитов в ходе фагоцитоза погибают, то моноциты даже после поглощения чужеродных агентов чувствуют себя вполне сносно и продолжают функционировать дальше. Нельзя сказать, что моноциты полностью застрахованы от поражения в борьбе с микробами – иногда они все же гибнут, однако подобные случаи следует рассматривать как исключение из правил.
Синонимы: MONО, MON, агранулоцид, макрофаги, лейкоциты
Синтезируются моноциты в костном мозге, откуда попадают в системный кровоток, где живут до 3 дней. Далее их ждет либо апоптоз (запрограммированная природой гибель клетки), либо усовершенствование до уровня макрофагов за счет роста своих внутренних структур – лизосом и митохондрий. Такое усовершенствование позволяет моноцитным макрофагам эффективнее выполнять свою прямую функцию – устранение патогенных микроорганизмов.
Помимо фагоцитоза моноциты выполняют еще несколько полезных функций:
- участвуют в аллергических реакциях, выявляя чужеродные белки;
- препятствуют процессу образования злокачественных опухолей;
- регулируют процессы кроветворения и коагуляции (свертывание крови);
- растворяют тромбы;
- помогают организму вырабатывать специфический иммунитет к определенным видам бактерий и вирусов.
Анализ крови на моноциты
Для определения уровня содержания моноцитов используется общий анализ крови. Обычно для этого исследования требуется капиллярная кровь (ее забор делают из пальца), но иногда может использоваться и венозная. В бланках анализа моноциты обозначаются также как MON и MONO. Их нормальное содержание в крови составляет 3-11%, а в абсолютном значении - 0,04-0,08*10 9 /литр.
Норма содержания моноцитов в крови не зависит от пола пациента. У беременных женщин может наблюдаться физиологическое увеличение числа моноцитов, однако оно не выходит за рамки нормы.
Показания к анализу
Общий анализ крови для определения лейкоцитарной формулы и уровня моноцитов назначается практически всем пациентам, обратившимся в поликлинику. Наиболее распространенные показания:
- вирусные или бактериальные инфекции;
- онкологические новообразования;
- аутоиммунные заболевания (болезнь Крона, ревматоидный артрит и т.д.);
- заболевания кровеносной системы;
- глистные инвазии;
- воспалительные заболевания почек, печени и любых других органов;
- травмы, ожоги, обморожения.
Подготовка к анализу
При подготовке к сдаче общего анализа крови следует выполнить всего несколько простых правил:
- сдавать анализ с утра на голодный желудок;
- за сутки до исследования исключить тяжелую физическую нагрузку;
- за 2 суток избегать алкоголя, а также жирной и острой пищи;
- в день исследования не курить и не допускать нервных стрессов.
Отказ от физической нагрузки особенно актуален в день проведения исследования, поэтому желательно исключить даже быструю ходьбу и подъем через ступеньку по лестнице по пути в поликлинику.
Норма содержания моноцитов в крови
Уровень моноцитов в крови зависит от возраста пациента. Если рассматривать абсолютные значения, то есть содержание на литр крови, то нормы выглядят следующим образом:
- Дети младше 12 лет: от 0,05 до 1,1*10 9 /литр.
- Дети старше 12 лет: от 0,04 до 0,08*10 9 /литр.
Колебания процентных соотношений в зависимости от возраста для удобства приводим в таблице.
| Возраст | Норма моноцитов в процентах |
| Новорожденные | 5 – 15% |
| Дети от 2 недель до года | 4 – 10% |
| 1 – 2 года | 3 – 10% |
| 2 – 15 лет | 3 – 9% |
| 16 лет и старше | 3 – 11% |
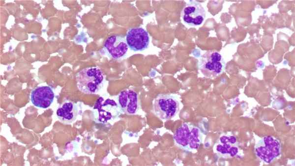
Причины повышенного содержания моноцитов в крови
Повышение уровня моноцитов в крови называют моноцитозом. Он отмечается в следующих случаях:
- инфекционные заболевания;
- острые и хронические воспалительные процессы;
- глистные инвазии;
- восстановительный период после травмы или операции;
- онкологические новообразования;
- отравление токсическими веществами (в том числе и алкоголем);
- аутоиммунные системные заболевания;
- сахарный диабет.
Моноцитоз может носить и сугубо физиологический характер. Например, в течение нескольких часов после еды уровень моноцитов повышается. У женщин во время менструации моноцитоз отмечается в ответ на отторжение клеток эндометрия.

Рисунок 2. Моноцитоз. Изображение: Leukemia Research Reports / ResearchGate (CC BY-NC-ND)
Причины пониженного содержания моноцитов в крови
Снижение содержания моноцитов в крови ниже положенной по возрасту нормы называют моноцитопенией.
Возможные причины пониженного содержания моноцитов:
- Апластическая анемия. Это опасное для жизни состояние, которое вызвано нарушением созревания кровяных клеток в костном мозге.
- Онкогематологические заболевания. Для поздних стадий лейкоза характерно угнетение кроветворения, поэтому в числе прочего снижается и количество моноцитов в крови.
- Гнойные бактериальные инфекции. К числу таких заболеваний относят бактериальную пневмонию, фурункулы, флегмону, сепсис.
- Прием медикаментов. Наибольшее влияние в этом отношении оказывают цитостатики и кортикостероиды.
Последствия отклонения моноцитов от нормы
В первую очередь следует рассматривать причину отклонения моноцитов от возрастной нормы. Если это кратковременный стресс, обильный прием пищи, беременность или менструация, то причин для беспокойства нет. Если же причина в инфекционно-воспалительных процессах или других патологических состояниях, то отсутствие своевременного лечения может в лучшем случае стать причиной перехода болезни в хроническую стадию, а в худшем – привести к летальному исходу. Кроме того, сам по себе избыток моноцитов в крови способен усилить атеросклероз, нарушить системный кровоток и ухудшить поступление крови к сердцу.
Как снизить уровень моноцитов

Средиземноморская диета снижает уровень моноцитов в крови. Фото: e_mikh / Depositphotos
Для начала следует посоветоваться со своим врачом, поскольку причины повышения уровня моноцитов могут быть разными, а значит будет отличаться стратегия лечения. Поэтому все нижеприведенные советы желательно использовать только с одобрения специалиста.
1. Физическая активность. Можно варьировать степень нагрузки в зависимости от опыта занятий и состояния здоровья. Самое главное – заниматься регулярно. Снижение уровня триглицеридов, нормализация массы тела и повышение чувствительности к инсулину способствуют понижению уровня моноцитов в крови.
2. Употребление омега-3 жирных кислот. Их можно принимать в виде добавок, а можно получать за счет употребления пищи с высоким содержанием омега-3 жирных кислот (рыба, икра, семена льна).
3. Голодание. Периодические голодания снижают уровень моноцитов и улучшают обмен веществ, облегчая течение хронических заболеваний.
4. Средиземноморская диета. Рекомендуется употреблять нежирные сорта мяса и рыбы в умеренных количествах. А основу рациона составляют йогурт, сыры, овощи, фрукты, бобы и цельнозерновой хлеб. Допускается умеренное употребление алкоголя.
Как повысить уровень моноцитов
Снижение уровня моноцитов, как правило, свидетельствует об ослабленном иммунитете. Поэтому основная задача в этом случае – повышение защитных сил организма. Для этого необходимо минимизировать вредные привычки, поддерживать высокий уровень физической активности, а также избегать недосыпания и нервных стрессов.
Рекомендуется также употреблять витамины В 12 , С, D. Их можно получать с витаминными комплексами или с продуктами питания (мясо, рыба, яйца, молоко, слива, вишня, шиповник, смородина, чеснок).
Для повышения уровня моноцитов следует существенно ограничить употребление алкоголя, а еще лучше – отказаться от него полностью. Употребление спиртного провоцирует так называемый эффект дырявого кишечника: липополисахариды из кишечных бактерий переходят в системный кровоток, в результате чего в организме развиваются воспалительные процессы.

Повысить уровень моноцитов поможет отказ от алкоголя. Фото: AndreyPopov / Depositphotos
Заключение
Моноциты являются разновидностью лейкоцитов и обеспечивают иммунный ответ организма, защищая его от инфекций. Повышение и понижение количества моноцитов в анализе крови может быть вызвано как физиологическими, так и патологическими причинами, поэтому мероприятия, направленные на нормализацию их уровня всегда должны быть согласованы с лечащим врачом. Если причиной стал прием медикаментов, возможна их замена на аналоги, не влияющие на уровень моноцитов.
Моноциты: что это
Моноцитами (Mono) называют особые клетки крови, которые относятся к категории лейкоцитов и являются самыми крупными. Форма ядра клетки весьма разнообразна. Она может быть вытянутой, в виде подковы, игольчатой или похожей на фруктовую дольку с выпуклостями и углублениями. Внутри клеточного ядра находится одно или несколько небольших ядрышек. Название "моноцит" происходит от греческих слов "один" и "клетка". Диаметр клетки составляет 9-12 мкм.

Нормы моноцитов в микролитре крови
для пациентов старше 12 лет норма моноцитов составляет 0.04-0.8*109/л;
для детей до 12 лет, норма - 0.05-1.1*109/л.
Моноциты в организме находятся в селезенке и формируются в костном мозге из специальных клеток под названием промоноциты. Этот процесс называют моноцитопоэзом. После выхода в кровь клетки находятся в ней максимум в течение трех суток. Циркулирование в кровотоке фактически является промежуточным звеном развития клеток. Завершающим этапом развития становится оседание моноцитов в тканях. Здесь реализуется их основная функция - превращение в тканевые мононуклеарные макрофаги, то есть клетки, способные к поглощению других структур или их фрагментов.
Назначение
Моноциты называют клетками врожденного иммунитета. Они снабжены специальными рецепторами, благодаря которым распознают участок, где протекает воспалительный процесс, и могут проникать в него для реализации защитных функций.
Основная задача моноцитов - обеспечение нормального процесса фагоцитоза. При нем происходит поглощение одной клетки, ее части или иммунных комплексов другими клетками. В данном случае моноциты превращаются в воспалительные макрофаги и выделяют цитокины - специальные пептидные соединения. Они, даже в малых количествах, демонстрируют высокую активность. Цитокины обладают противовоспалительным воздействием, являются природным регулятором иммунитета. У этих компонентов также есть способность влиять на работу гипофиза, гипоталамуса, надпочечников. При воспалительных процессах в организме они выделяют особые компоненты, которые способствуют мобилизации защитных сил организма.
Важность фагоцитоза как биологического процесса сложно переоценить. Он является неотъемлемой частью работы иммунной системы. Благодаря фагоцитозу, который обеспечивают моноциты и другие виды лейцоцитов, организм борется с заболеваниями. Этот механизм обеспечивает поглощение и удаление умерших и мутировавших клеток, бактерий, вирусов и их остатков. Если говорить простыми словами, то роль моноцитов в организме — это утилизация старых клеток, благодаря которой появляются благоприятные условия для роста новых.
Дифференцировка моноцитов
Дифференцировка - заложенный природой процесс превращения клеток в более специализированные под влиянием определенных факторов. Например, при воспалительных процессах моноциты превращаются в дендритные клетки. Они способны перемещаться, достигая лимфоузлов. В них находятся Т-лимфоциты, которых активизируются под воздействием производных моноцитов. Также они способны дифференцироваться в остеокласты. Так называют крупные клетки с несколькими ядрами. Клетки такого типа присутствуют в организме всех позвоночных. Эти соединения участвуют в процессе резорбции костной ткани, что необходимо для ее обновления. В процессе резорбции растворяются минеральные соединения, образующие кость, и коллаген. Вместо них идет формирование новой костной ткани.
Еще одна разновидность производных моноцитов - макрофаги ЦНС. Они относятся к категории глиальных клеток. Макрофаги ЦНС отвечают за выработку цитотоксических веществ, которые подавляют патогены. Данные клетки также играют важную роль в создании механизма, отвечающего за нормальное взаимодействие между клетками ЦНС, формирование мозга.
При беременности моноциты приобретают усиленную способность прикрепляться к эндотелию. Они участвуют в развитии плаценты, регулируют иммунный ответ.
Разновидности моноцитов
У человека в крови находятся три типа моноцитов:
Классические. Эта разновидность составляет до 85% всех моноцитов. Их функция заключается в поглощении липидов, отмерших клеток и микробов, выделении антимикробных пептидов, производстве активных форм кислорода. Моноциты этой субпопуляции формируются в костном мозге и селезенке, попадают в систему кровообращения. Далее они оседают в тканях и превращаются в макрофаги.
Воспалительные. Их численность составляет всего 5% от общего количества. Воспалительные клетки преимущественно располагаются в костном мозге. Главная их задача - секреция противовоспалительных цитокинов. После оседания в тканях клетки такого типа превращаются в воспалительные макрофаги. Их называют М1 макрофагами.
Неклассические (патрулирующие). На их долю приходится оставшихся 10% моноцитов. Задача клеток - контроль за состоянием сосудистых клеток, обнаружение повреждений или патогенного воздействия. Активизация неклассических моноцитов происходит при попадании в организм вирусов и бактерий, однако при вирусной атаке патрулирующие моноциты активизируются гораздо быстрее. После оседания в тканях они, как и другие субпопуляции клеток, превращаются в макрофаги. Их называют М2 макрофагами. Они выделяют цитокин с противоспалительным воздействием.
Есть ли моноциты у животных?
Исследования показали, что моноциты присутствуют в крови людей и животных, выполняя одни и те же защитные функции. В то же время существуют определенные различия по количеству субпопуляций и их процентному содержанию. Например, у мышей в крови лишь два типа моноцитов вместо трех: классические и неклассические.
Пониженные моноциты
Моноцитопения - пониженный уровень моноцитов - диагностируется, если содержание таких клеток в одном мкл крови составляет менее 500 единиц. Как правило, данное состояние сопровождается ухудшением показателей по остальным компонентам крови.
Причины низкого содержания моноцитов
Моноцитопения возникает по физиологическим и патологическим причинам. Например, сразу после рождения ребенка у матери может наблюдаться снижение моноцитов. Через 2-3 дня состояние нормализуется.
Патологические причины снижения содержания моноцитов в крови встречаются намного чаще. Основанием для нарушения кроветворения являются:
бактериальные инфекции: стептококки, стафилококки;
возбудители брюшного или сыпного тифа;
заболевания, которые сопровождаются нагноением (фурункулез, абсцесс);
злокачественные болезни крови, при которых нарушается процесс кроветворения из-за поражения костного мозга и селезенки;
апластическая анемия, при которой костный мозг замещается жировой тканью и перестает выполнять свои функции;
врожденные генетические дефекты.
Если даже после курса антибиотиков у пациента с бактериальной инфекцией наблюдается пониженный уровень моноцитов, это свидетельствует о тяжелом заболевании, вероятности серьезных осложнений.
Отдельно стоит отметить моноцитопению, которая возникает из-за длительного приема лекарств или хирургического вмешательства (ятрогенная). После операций уровень моноцитов восстанавливается через 4-5 дней.
Что касается лекарств, то наиболее серьезное влияние на кроветворение оказывают препараты для химиотерапии. Этим же побочным воздействием обладают глюкокортикостероиды (ГКС) - препараты на основе стероидных гормонов. Они назначаются при тяжелых формах бронхиальной астмы, псориаза, экземы, при различных аутоиммунных расстройствах для подавления иммунитета. При длительном приеме ГКС угнетают процесс образования лейкоцитов.
Повышенные моноциты
В ряде случаев при лабораторном анализе крови обнаруживают моноцитоз - повышенный уровень моноцитов. Такое явление означает, что у человека имеются те или иные заболевания. В их числе:
системная красная волчанка, ревматоидный артрит, которые поражают соединительные ткани;
злокачественные новообразования любой локализации;
У детей моноцитоз могут вызвать не только вышеуказанные причины, но и ряд других. В их числе бактериальные и вирусные инфекции, грибковые заболевания, глистные инвазии, аллергические реакции, в том числе, вызванные злоупотреблением продуктов с большим содержанием консервантов, пищевое отравление.
Моноцитоз обнаруживают у людей, которые перенесли инфекционные заболевания. Повышенные моноциты в крови означают, что болезнь находится в завершающей стадии.
Повышенный уровень моноцитов также может быть связан со стрессом. При высоких психоэмоциональных нагрузках меняется работа гипофиза и гипоталамуса, в организме повышается уровень адреналина. Все это может приводить к увеличению содержания моноцитов.
Что происходит при моноцитозе?
У пациента с моноцитозом наблюдается значительное снижение веса и похудение, повышенная утомляемость даже при достаточном отдыхе, раздражительность, отсутствие интереса к жизни. Человек отмечает ухудшение работы ЖКТ, появление болей в мышцах и суставах, высыпания на коже.
При возникновении подобных симптомов необходимо обратиться к терапевту и сдать общий анализ крови.
Диагностика и лечение моноцитоза и моноцитопении
Терапию состояний, связанных с избытком или недостатком моноцитов в крови, назначает лечащий врач на основании результатов обследования. Как правило, делают развернутый анализ крови, после чего – проводят дополнительные обследования для выявления причины.
Метод терапии напрямую зависит от причины заболевания. Моноцитоз и моноцитопению лечат медикаментами: антибиотиками, противовоспалительными и противоинфекционными препаратами, глюкокортикостероидами. В ряде тяжелых случаев, когда имеет место серьезное поражение системы кроветворения, назначают химиотерапию.
Причины и симптомы повышения моноцитов у взрослых и детей

Добрый день, дорогие друзья. Меня зовут Гордиенко Наталия Николаевна. Я врач-инфекционист, аллерголог-иммунолог. И сегодня я хочу с вами поговорить о причинах повышения моноцитов у взрослых и детей, рассказать о симптомах при которых можно заподозрить моноцитоз и заблаговременно принять меры.
Что будет в видео:
В рамках консультации вы сможете озвучить свою проблему, врач уточнит ситуацию, расшифрует анализы, ответит на ваши вопросы и даст необходимые рекомендации.
Что такое моноциты?
Моноцит - это представитель клеток белой крови. Если переводить с древнегреческого языка, то μονος – один, а κύτος – клетка. Это достаточно крупная клетка, которая имеет большое ядро, немножко эксцентрично смещённое, и в нашем организме она выполняет очень важные функции. Чтобы выполнить свои задачи, так называемых, дворников или санитаров, она оснащена специальными приспособлениями.
Эта клетка может иметь амёбоидное движение, она может самостоятельно перемещаться, как амёба, в жидкой части крови, может обладать трансназальным движением. т.е. покинуть через тонкую стеночку кровеносного сосуда своё пребывание в кровеносном русле и, соответственно, устремится в те или иные ткани. Выполняя свою функцию санитара, она обладает таким мощным свойством, как хемотаксис (двигательная реакция микроорганизмов на химический раздражитель) и может устремляться именно в очаги воспаления. Туда, где есть много разрушенных клеток, туда, где могут быть погибшие бактерии, вирусы, погибшие клетки организма.
Допустим, идёт гриппозное состояние, и в этот период происходит большое разрушение эпителиальной клетки носоглотки или ротоглотки. И моноциты, в период гриппа будут туда устремляться, стараться утилизировать погибшие клетки. Обволакивая достаточно крупные куски разрушенных клеток бактерий, переваривая их, будут заниматься подготовкой ткани к реперативным процессам (процессам восстановления). Они должны вычистить поле, а на этом поле, после ликвидации очага воспаления, будут расти потом молодые, здоровые клетки.
Норма моноцитов в крови
Концентрация моноцитов в крови бывает относительная и абсолютная. Абсолютная концентрация выявляется врачом лаборатории под микроскопом, в одном микролитре крови и составляет:
- 0,04-0,8*109/л для взрослых
- 0,05-1,1*109/л для детей до 12 лет.
А относительная, рассчитывается относительно всех лейкоцитов и должна быть от 1%, до 10%. Всё, что выше – это моноцитоз, или повышение количества моноцитов.
Причины повышения моноцитов
На ровном месте, просто так, количество моноцитов не увеличивается. К тому есть определённые причины. Я хочу вам назвать основные заболевания и состояния, при которых будет повышаться количество моноцитов в крови.
- Конечно, на первом месте будет стоять туберкулёз, в том числе внелёгочные формы туберкулёза. Именно он будет вызывать это моноцитоз. К сожалению, сегодня широко начинает повышаться количество туберкулёза внелёгочной формы: почек, кишечника, кожи, позвоночника, лимфоузлов, особенно выросли случаи заболевания туберкулёза лимфоузлов. При всех этих состояниях, при любой форме туберкулёза, у человека всегда будет повышаться количество лимфоцитов.
- Сифилитическое поражение. Сифилис – это тоже системное заболевание, при нём тоже будет моноцитоз или повышение количество лимфоцитов.
- Заболевания аутоиммунного характера. В первую очередь заболевания аутоиммунного характера соединительных тканей: системная красная волчанка, ревматоидные состояния, ревматоидный артрит, узелковый периартрит. Когда идёт иммунное воспаление в соединительные ткани. При этих состояниях тоже будет моноцитоз.
- Проблемы пищеварительного тракта, в частности язвенный колит, воспаление тонкого кишечника, болезнь Крона – это те состояния, когда количество лимфоцитов в крови тоже будет повышаться.
- Раковые опухоли. При них тоже будет моноцитоз.
- Восстановительный период после любого воспалительного процесса инфекционного генеза. Что это значит? Любое инфекционное заболевание может вызвать состояние моноцитоза. И если развивается моноцитоз, при заболеваниях не связанных с туберкулёзом, сифилисом, то повышение моноцитов будет говорить о том, что инфекционный процесс вошёл в свою завершающую стадию. Иными словами, моноциты, активировавшись в фагоциты, говорят о том, что воспалительный процесс входит в свою завершающую стадию.
- Как ни странно – стрессы. Они могут вызывать моноцитоз. Именно стрессы, через нарушение психо-эмоционального равновесия, через зону гипофиз-гипоталамус, через адреналовые системы, могут вызвать повышение моноцитов.
- Онкологические заболевания, такие как лимфомы или болезнь Харченко. Они тоже могут спровоцировать повышение количества лимфоцитов.
Симптомы
Что же человек при этом будет чувствовать, как он себя будет ощущать? Что должно с подвигнуть человека, чтобы он пошёл, сдал анализ крови? Какие у него могут быть симптомы, которые могут привести к повышению моноцитов в крови?
- Это может быть беспричинная потеря веса.
- Снижение или полное отсутствие аппетита.
- Повышенная утомляемость. Безосновательная слабость. Вроде и выспался, вроде и не переутомился, вроде и отдыхал, а утром встал, и сил нет. Вот это безосновательная слабость требует обязательного контроля анализа крови.
- Тревоги, панические атаки, депрессивное состояние, либо психо-эмоциональное возбуждение. Это тоже должно сподвигнуть человека, к тому, что нужно пойти и сделать развёрнутый анализ крови.
- Раздражительность, апатия, сонливость – любые нарушения психо-эмоционального состояния могут вызвать изменения в периферической крови.
- Внезапный отказ от мясной пищи, даже до отвращения к мясной пищи. Как правило, при этом в развернутом анализе крови будет присутствовать моноцитоз.
- Нарушение со стороны желудочно-кишечного тракта: вздутия, бурная моторика, нарушение стула, как запоры, так и понос, повышенное выделение слизи с калом.
- Сухой длительный, продолжительный кашель иногда с прожилками крови, скудно отделяемой мокротой.
- Суставные, мышечные боли в спине, в ногах. Это тоже требует расшифровки, обследования.
- Специфические высыпания на коже, на слизистых оболочках тоже могут быть состоянием, при котором будет моноцитоз или повышение концентрации моноцитов в крови.
- Наличие высыпаний на половых органах.
Надо сказать, что все вышеперечисленные причины могут беспокоить как по отдельности, так и суммарно, вместе. По несколько симптомов, объединяясь в целые синдромы. Хочу подчеркнуть, что само по себе повышение количества моноцитов в крови – это не диагноз. Это состояние периферической крови клеток иммунной системы, которое говорит о том, что в «государстве» не всё в порядке, и это требует обязательного обследования, требует внимательного отношения и дальнейшей расшифровки.
Моноцитоз у детей
Отдельно хочу поговорить о моноцитозе у детей. Это в последнее время достаточно распространённое состояние, и не всегда родители и, к сожалению, даже не всегда медицинские работники знают о чём нужно подумать при моноцитозе и какие патологические причины могут вызвать повышение количества моноцитов у детей.
- Во-первых, это заболевания вызванные бактериями, грибками и вирусами. В принципе, любые из этих «друзей» могут вызвать повышение моноцитов в крови у ребёнка.
- Заражение глистами. Эту причину можно даже поставить на первое место в детской практике.
- Воспалительные процессы в желудочно-кишечном тракте. И то состояние желудочно-кишечного тракта, которое мы называем: дисбактериоз кишечника, что тоже не является диагнозом, но именно микробиота может определять концентрацию моноцитов и вызывать моноцитоз.
- Пищевое отравление. А так же любые другие отравления могут вызвать моноцитоз в организме у ребенка.
- Аллергические реакции у ребёнка. Если говорит о детях раннего возраста, то это преимущественно генетически-обусловленная пищевая аллергия. Если говорить о детях более старшего возраста, то это могут быть аллергические реакции, связанные с теми же паразитозами, глистными инвазиями, поражениями простейшими, либо употреблением продуктов питания, содержащих очень много консервантов, аллергенов, всевозможных стабилизаторов и т.п., то есть не совсем пригодная для питания ребёнка пища.
- Онкологические заболевания крови. Конечно, они тоже могут вызвать моноцитоз, и, в первую очередь, это лейкозы и лимфомы.
- Аутоиммунная патология детей.
- Ревматоидные артриты или ювенильные ревматоидные артриты.
- Системная красная волчанка.
- Болезнь Крона.
- Инфекционные процессы после хирургических вмешательств тоже могут вызывать моноцитоз, и это будет одной из защитных реакций организма.
Если говорить о моноцитозе в детской практике, то, конечно же, в первую очередь это будет связано с острыми респираторными вирусными инфекциями, заболеваниями инфекционной природы, бактериальными заболеваниями желудочно-кишечного тракта. Поэтому с одной стороны бояться моноцитоза не нужно, но с другой стороны, это показатель крови, который может говорить о каких-то серьёзных, еще скрытых проблемах, не проявляющихся клинически ярко. И это есть повод для того, чтобы более углублённо провести исследования конкретному человеку.
Вот, собственно, всё, что я хотела вам рассказать о моноцитах. Если у вас возникли вопросы, можете писать нам или задавать их в комментариях. И если вам всё понятно, рада была дать вам эту информацию. Приходите к нам, если возникнет необходимость, и будьте здоровы.
Заболевания моноцитов
Моноциты — это разновидность лейкоцитов Общие сведения о нарушении функции лейкоцитов Белые кровяные тельца (лейкоциты) — это важная часть системы, защищающей организм от возбудителей инфекций и инородных веществ (иммунной системы). Для адекватной защиты организма необходимо. Прочитайте дополнительные сведенияМоноциты вырабатываются в костном мозге, откуда попадают в кровь. Моноциты составляют около 1–10 % циркулирующих белых кровяных клеток (от 200 до 600 моноцитов на микролитр крови [от 0,2 до 0,6 × 10 9 на литр]). Через несколько часов нахождения в крови моноциты перемещаются в ткани (например, в ткани селезенки, печени, легких и костного мозга), где созревают и превращаются в макрофаги.
Низкие или высокие уровни моноцитов обычно не вызывают симптомов. Однако у пациентов могут возникнуть симптомы заболевания, вызвавшего изменение числа моноцитов.
Диагноз устанавливают на основании анализа крови (общий анализ крови) при выявлении признаков или симптомов инфекции или аутоиммунного заболевания. Иногда нарушение обнаруживается случайно, когда общий анализ крови выполняется во время обычного врачебного осмотра или при обследовании по поводу другого заболевания.
Лечение заболевания моноцитов зависит от вызвавшей его причины.
Повышенное количество моноцитов
Повышенное количество моноцитов в крови (моноцитоз) является следствием хронических инфекций, аутоиммунных заболеваний, заболеваний крови и некоторых злокачественных опухолей. Число макрофагов в других тканях, кроме крови (например, в легких, коже и других органах), может увеличиваться в ответ на инфекции, саркоидоз Саркоидоз Саркоидоз — это заболевание, при котором патологические скопления воспалительных клеток (гранулемы) образуются во многих органах тела. Саркоидоз обычно развивается у людей в возрасте от. Прочитайте дополнительные сведенияНизкое число моноцитов
Низкое число моноцитов в крови (моноцитопения) может быть вызвано снижением общего уровня лейкоцитов (см. также Нейтропения Нейтропения Нейтропения — это аномально низкое количество нейтрофилов (разновидности лейкоцитов) в крови. При тяжелой нейтропении серьезно повышается риск заражения опасными для жизни инфекциями. Нейтропения. Прочитайте дополнительные сведенияСиндром моноКМА
Редкое генетическое заболевание, при котором поражается костный мозг, существенно уменьшается количество моноцитов, а также снижается количество определенных видов лимфоцитов Лимфоциты В одной из линий защиты организма (иммунной системе) участвуют белые кровяные клетки (лейкоциты), которые перемещаются с потоком крови в ткани, находя и атакуя микроорганизмы и других возбудителей. Прочитайте дополнительные сведения (ВПЧ) и определенными грибками. Также повышается риск развития некоторых видов лейкозов Общее описание лейкоза Лейкозы — это злокачественные заболевания лейкоцитов или клеток, из которых образуются лейкоциты. Лейкоциты образуются из стволовых клеток в костном мозге. В некоторых случаях их образование. Прочитайте дополнительные сведения .
Симптомы варьируются в зависимости от конкретного микроорганизма, вызывающего инфекцию, однако часто затрагивают легкие или кожу.
Диагноз устанавливают с помощью анализа крови, который показывает отсутствие моноцитов, а также с помощью генетического тестирования.
ПРИМЕЧАНИЕ: Это — пользовательская версия ВРАЧИ: Нажмите здесь, чтобы перейти к профессиональной версии
Авторское право © 2022 Merck & Co., Inc., Rahway, NJ, США и ее аффилированные лица. Все права сохранены.
Читайте также:
