Затемнение по типу «матового стекла»: рентген, КТ, описание, примеры
Добавил пользователь Владимир З. Обновлено: 22.11.2025
Изменения легочной ткани по типу «матового стекла», «мозаичной перфузии» и «воздушных ловушек» на компьютерной томограмме органов грудной клетки представляют собой КТ-проявления одного из наиболее часто встречающихся рентгенологических синдромов — синдром повышения плотности легочной ткани. Важно помнить, что выявление этих КТ-изменений легочной ткани подразумевает необходимость проведения дифференциального диагноза, и что эти изменения не являются самостоятельным заболеванием. Дифференциально диагностический ряд при синдроме повышения плотности легочной ткани очень широк, поскольку он возникает при заболеваниях, которые поражают мелкие бронхи, легочные сосуды, альвеолы и интерстиций. При этом часто наблюдается комбинация поражений тех или иных компонентов легочной паренхимы, что приводит к формированию определенных КТ-паттернов. Знание рентгенологических особенностей проявления этих комбинации часто помогает врачу найти ключ к правильному диагнозу. Еще одной важной проблемой в оценке этих КТ-проявлений является разграничение патологических и «здоровых» участков легочной ткани. Так, при некоторых заболеваниях областями с более высокой плотностью легочной ткани может оказаться «нормальная» легочная паренхима. Целью нашей лекции является анализ причин формирования изменений легочной ткани по типу «матового стекла», «мозаичной перфузии» и «воздушных ловушек» в норме и патологии, выделение их отличительных признаков, позволяющих определить элементы легочной паренхимы, лежащие в основе развития патологического процесса, сузив тем самым дифференциально-диагностический ряд заболеваний.
Ключевые слова
Об авторах
ФГАОУ ВО «Первый Московский государственный медицинский университет имени И.М. Сеченова» Министерства здравоохранения РФ (Сеченовский Университет)
Россия
ФГБУ «Научно-исследовательский институт пульмонологии Федерального Медико-биологического агентства России»
Россия
ФГБУ «Федеральный научно-клинический центр Федерального Медико-биологического агентства России»
Россия
Список литературы
1. Тюрин И.Е. Компьютерная томография органов грудной полости. СПб: ЭЛБИ-СПб. 2003; 371 с.
2. Verschakelen J.A., Wever W.De. Medical Radiology. Computed Tomography of the Lung. A Pattern Approach Encyclopedia of Medical Radiology. Berlin: Springer Berlin Heidelberg New York. 2007; 196 p.
3. Collins J. CT signs and patterns of lung disease. Radiol. Clin. North. Am. 2001; 39: 1115—1135.
4. James C. Reed. Chest Radiology. Plain Film Patterns and Differential Diagnoses. Mosby; 2010; 480 p. with 548 illustrations.
5. Тюрин И.Е. Рентгенодиагностика тяжелой пневмонии и гриппа. Лучевая диагностика и терапия. 2016; 1: 13-16. DOI: 10.22328/2079-5343-2016-1-13-16
6. James C. Reed. Chest Radiology: Patterns and Differential Diagnoses. United States of America: Saunders Elsevier; 2017; 614 p.
7. Nestor Muller C. Silva. The Teaching Files: Chest. United States of America: Saunders Elsevier; 2009.
8. Peter J. Winningham, Santiago Martínez-Jiménez, Melissa L. Rosado-de-Christenson et al. Bronchiolitis: A Practical Approach for the General Radiologist. RadioGraphics. 2017; May-June 37(3): 1-18. DOI: 10.1148/rg.2017160131.
9. Аверьянов А.В. Лесняк В.Н. Коган Е.А. Редкие заболевания легких: диагностика и лечение. М.: ООО «Издательство «Медицинское информационное агентство». 2016; 248 с.
10. Georgiadou S.P., Sipsas N.V., Marom E.M. et al. The diagnostic value of halo and reversed halo signs for invasive mold infections in compromised hosts. Clin. Infect. Dis. 2011; 52 (9): 1144-1155.
11. Тюрин И.Е. Рентгенодиагностика внебольничных пневмоний. Поликлиника. 2013; 3(1): 7-11. Tyurin I.E. Chest radiographs in patients with pneumonia. Poliklinica. 2013; 3(1): 7-11 [In Russian].
12. Ланге С., Уолш Д. Лучевая диагностика заболеваний органов грудной клетки. М.: ГЭОТАР-Медиа. 2010; 432 с.
13. Прокоп М., Галански М. Спиральная и многослойная компьютерная томография. М.: ООО «МЕДпресс-информ». 2011; 416 с.
14. The National Lung Screening Trial Research Team. N Engl J Med. 2011; 365:395-409.
Затемнение по типу «матового стекла»: рентген, КТ, описание, примеры
Затемнение по типу «матового стекла»: рентген, КТ, описание, примеры
а) Терминология:
• Затемнение по типу «матового стекла»:
- Повышение плотности легочной ткани
- На фоне видны структуры легкого
• Возникает вследствие:
- Спадения альвеол или замещения их субстратом: выпотом при отеке, кровью, опухолевыми клетками, липопротеином
- Уплотнения интерстиция
- Увеличения кровенаполнения легких
- Сочетания вышеперечисленных факторов
• Неспецифический признак, соответствующий множеству заболеваний
б) Рентгенография затемнения по типу матового стекла:
- Облаковидное затемнение, на фоне которого видны структуры легкого
в) КТ затемнения по типу матового стекла:
- Повышение плотности легочной ткани
- На фоне видны сосуды и бронхи

(а) На совмещенных изображениях при нативной КТ в верхней доле правого легкого определяются множественные узелки. При операции было установлено, что частично солидный узелок обусловлен аденокарциномой с преимущественным ростом опухоли вдоль стенок альвеол, а узелок с изменениями по типу «матового стекла» соответствует атипичной аденоматозной гиперплазии.
(б) У пациента после правосторонней верхней лобэктомии по поводу аденокарциномы легкого при КГ с контрастным усилением в нижней доле правого легкого визуализируются хронические изменения по типу «матового стекла». При бронхоскопической биопсии установлено, что данные изменения соответствуют рецидиву аденокарциномы с преимущественным ростом опухоли вдоль стенок альвеол.
г) Дифференциальная диагностика:
• Острые:
- Пневмония (в том числе вызванная вирусами, микоплазмой и Pneumocystis jiroveci), кровоизлияние, отек, острая интерстициальная пневмония (ОсИП), острый респираторный дистресс-синдром (ОРДС), острая эозинофильная пневмония, лучевой пневмонит
• Хронические:
- Идиопатические интерстициальные пневмонии: неспецифическая интерстициальная пневмония, десквамативная интерстициальная пневмония, респираторный бронхиолит, ассоциированный с интерстициальным заболеванием легких
- Экзогенный аллергический альвеолит, реакция на лекарственный препарат, хроническая эозинофильная пневмония, васкулит, липоидная пневмония
• Опухолевые:
- Аденокарцинома: преинвазивная, минимально инвазивная, с преимущественным ростом опухоли вдоль стенок альвеол
- Лимфома легкого
• Преинвазивные:
- Атипичная аденоматозная гиперплазия

(а) На совмещенных изображениях при КТ с контрастным усилением до (слева) и после (справа) стереотаксической лучевой терапии по поводу инвазивной аденокарциномы нижней доли правого легкого определяется картина лучевого пневмонита: затемнения по типу «матового стекла» в нижней и средней долях правого легкого.
(б) Женщине 58 лет по поводу распространенного рака молочной железы перед мастэктомией была проведена неоадъювантная химиотерапия. При КТ с контрастным усилением в базальных отделах легких визуализируются затемнения по типу «матового стекла», обусловленные неспецифической интерстициальной пневмонией (НсИП) вследствие токсичности химиотерапевтических препаратов.
Внебольничная пневмония. Клинические примеры
- Заключение нашей Интернет Сессии. Я сразу хочу сказать, что это заключение выбрано академиком Ивашкиным Владимиром Трофимовичем не случайно: это старт нового проекта, который будет курировать Соколина Ирина Александровна.
Сегодня Ирина Александровна будет говорить о внебольничной пневмонии, о клинических примерах.
Я хочу сказать, что вся наша клиника (и не только наша клиника, так как мы в одном корпусе) во всех сложных, да и не очень сложных случаях, когда надо посоветоваться в плане не только диагностики, но и ведения пациента с патологией легочной системы и с добавочными дольками селезенки (и с чем еще – я сейчас даже не могу припомнить)… Девятый этаж – это излюбленное место наших консультаций. Как раз кабинет Ирины Александровны, заведующей нашим отделением рентген-лучевой диагностики.
Ирина Александровна Соколина, заведующая отделением рентгено-лучевой диагностики Первого московского государственного медицинского университета имени И.М. Сеченова:
Итак. Задачами лучевой диагностики при любых заболеваниях является:
- выявление патологических изменений в легочной ткани;
- уточнение локализации и распространенности;
- наличие осложнений;
- оценка эффективности лечения;
- дифференциальная диагностика (самое важное).
При пневмониях используются следующие методы лучевой диагностики. Безусловно, все начинается с обзорной рентгенографии органов грудной полости, обязательно проведенной в двух проекциях – в прямой и в боковой проекции. Это исследование используется при начале заболевания и в среднем через 7-10 дней.
В сложных клинических случаях (например, при клинической картине пневмонии или высокой вероятности развития пневмонии, но при сомнительных и нормальных данных рентгенографии) целесообразно выполнение компьютерного томографического исследования для подтверждения либо исключения этого заболевания и с целью дифференциальной диагностики.
Проведение ультразвукового исследования целесообразно при подозрении на плевральный выпад для его выявления, а также для уточнения состояния жидкости.
Кратность выполнения рентгенологического исследования при пневмониях зависит от клинической ситуации. При неблагоприятном течении процесса, в том числе при развитии осложнений, частота и вид рентгенологических исследований определяются клиническими показаниями.
Лучевая картина пневмонии зависит от типа инфильтрации.
В настоящее время выделяют альвеолярный или так называемый плевропневмонический тип инфильтрации. Он развивается при локализации воспалительного процесса в альвеолярной ткани. Наиболее часто вызывается такими инфекционными агентами как пневмококки или палочка Фридлендера, стафилококками.
Рентгенологические признаки альвеолярной инфильтрации имеют вид участков инфильтрации, как правило, однородной структуры, средней интенсивности. В зоне инфильтрации отчетливо видны воздушные просветы бронхов (так называемый симптом «воздушной бронхографии»).
Инфильтрат широким основанием прилежит к костальной плевре. Интенсивность его уменьшается по направлению к корню легкого. Патологически инфильтрат чаще локализуется в задненижних отделах легких (в пределах 1-2 сегментов, реже в пределах целой доли).
Следующий тип инфильтрации: очаговый (так называемый бронхопневмонический). Он возникает при остром воспалении альвеолярной ткани легкого, которая развивается уже на основе возникшего бронхита или бронхиолита. Наиболее частыми инфекционными агентами, вызывающими бронхопневмонию, являются стрептококки, палочка инфлюэнцы, синегнойная палочка и стафилококки.
Рентгенологические признаки при бронхопневмонии разнообразны, но чаще всего это участок инфильтрации легочной ткани неоднородной структуры, который состоит из полиморфных (как правило, сливных) очагов с нечеткими контурами. Зона инфильтрации может занимать один или два сегмента. Чаще встречается двусторонняя локализация при этом типе инфильтрации.
В то же время следует обратить внимание, что около 10% бронхопневмоний не выявляются при рентгенологическом исследовании.
Наконец, самый сложный для выявления рутинными методами, обзорной рентгенографией тип инфильтрации: так называемый интерстициальный тип инфильтрации. При нем инфильтрация возникает преимущественно в стенках альвеол (вовлекаются интерстициальные структуры тканей легкого).
Это не следует путать с интерстициальными пневмониями в рамках фиброзирующего альвеолита.
Рентгенологические признаки при интерстициальном типе состоят из одного или нескольких участков уплотнения легочной ткани, как правило, неоднородной структуры, низкой интенсивности. Это называется симптом «матового стекла». Инфильтрат имеет нечеткие контуры. В зоне этих изменений возможно усиление легочного рисунка за счет инфильтрации интерстициальных структур.
Решающая роль в выявлении интерстициальной пневмонии принадлежит компьютерной томографии высокого разрешения.
Что касается внебольничных пневмоний, то они возникают, как правило, у здоровых людей при отсутствии у них заболеваний или патологических состояний, способствующих развитию инфекционного процесса. Основные инфекционные агенты – это пневмококки, микоплазма.
Возбудители проникают в легкие через дыхательные пути (бронхогенно) обычно на фоне переохлаждения, стрессовой ситуации или острого респираторного заболевания.
Как я уже говорила, рентгенологическая картина определяется типом инфильтрации и стадией воспалительного процесса.
Наиболее типичными рентгенологическими признаками является локальный участок инфильтрации легочной ткани (обычно альвеолярного типа), объем поражения. В настоящее время уже редко встречаются долевые инфильтрации. Обычно это 1-2 сегмента. Изменение обычно носит односторонний характер.
Как пример я могу привести пневмококковую пневмонию, которая развивается как самостоятельное заболевание. Характеризуется острым началом и яркой клинической картиной. Рентгенологические признаки зависят, прежде всего, от стадии развития этой пневмонии.
Стадия прилива будет характеризоваться понижением прозрачности участка легочной ткани без явных границ за счет гиперемии в зоне воспаления. В стадии опеченения мы будем видеть характерный альвеолярный инфильтрат долевой или сегментарной протяженности, на фоне которого будут видны воздушные просветы бронхов, будет сохраняться симптом «воздушной бронхографии». В стадии разрешения тень инфильтрата может становиться неоднородной.
Это не надо путать с появлением очага деструкции, потому что участки нормализации легочной ткани тоже будут придавать неоднородность, ячеистость воспалительному инфильтрату.
При компьютерном томографическом исследовании (мы видим слева фронтальную реконструкцию и справа мы видим аксиальные срезы) пневмококковая пневмония будет иметь вид уплотнения различной интенсивности - консолидации (эти участки располагаются ближе к костальной или междолевой плевре). Постепенно интенсивность инфильтрата убывает по направлению к корню. Она растекается к корню как масляное пятно.
Можно выделить следующие показания к компьютерной томографии при пневмониях.
У пациента с очевидной клинической симптоматикой пневмонии изменения легких на рентгенограмме отсутствуют. В этом случае для подтверждения воспаления (возможно, это какие-то небольшие участки инфильтрации) целесообразно проведение компьютерного томографического исследования.
При рентгенологическом исследовании больного с предполагаемой пневмонией выявлены, например, нетипичные для этого заболевания изменения. С целью дифференциальной диагностики здесь целесообразно применять компьютерную томографию как уточняющий метод.
Безусловно, рецидивирующая пневмония. При ней патологические изменения возникают в одной и той же зоне. Здесь тоже для уточнения причин возникновения этих изменений.
Конечно, затяжная пневмония, при которой длительность существования инфильтративных изменений в легочной ткани превышает один месяц. Здесь тоже для уточнения причин, которые препятствуют разрешению пневмонии, целесообразно выполнение компьютерного томографического исследования.
В целом, плевропневмония хорошо выявляется при обычном рентгенологическом исследовании.
Как я уже говорила, с помощью компьютерной томографии лучше проводить дифференциальную диагностику. Самым главным отличительным признаком пневмонии являются видимые воздушные просветы бронхов в структуре инфильтрата. Это мы видим на левом слайде: уплотненные ткани, воздушные просветы бронхов.
В отличие от этого при абсцессах или туберкулезных инфильтратах, которые тоже могут иметь вид уплотнения легочной ткани, мы не будем видеть этого главного симптома вследствие того, что это состояние представляет собой гнойник казеозного или иного расплавления легочной ткани.
Позвольте привести вам несколько сложных примеров.
Пациентка, 62-х лет, длительно курящая, страдающая хронической обструктивной болезнью легких. В связи с усилением кашля и появлением субфебрильной температуры обратилась в поликлинику по месту жительства. У нее были выявлены изменения в нижней доле правого легкого, которые первоначально были расценены как пневмонические.
В течение месяца ей проводилось соответствующее антибактериальное и противовоспалительное лечение. У нее нормализовалась температура, но все равно сохранились изменения при рентгенологическом исследовании. В связи с тем, что сохранялись жалобы, она была госпитализирована к нам в клинику.
При выполнении компьютерного томографического исследования мы видим совершенно четкую картину периферического образования средней доли правого легкого. Уже с явлениями распада. Такой фокус: прилежащий к плевре, со спикулообразными контурами, окруженный зоной лимфостаза, с наличием увеличенных лимфатических узлов в корне легкого.
При компьютерном томографическом исследовании эта картина не представляла собой сложности в дифференциально-диагностическом плане.
Еще один пример. Пациент 56-ти лет. У него остро появилась боль в правой половине грудной клетки, усиление одышки. При рентгенологическом исследовании были выявлены изменения средней доли. Они заключались в уплотнении в основании верхней доли (в третьем сегменте). Первоначально они тоже были расценены как пневмонические.
Но в связи с присоединением кровохарканья он был госпитализирован в стационар. Да, мы видим, что и при рентгенологическом исследовании… На компьютерных томограммах в основании верхней доли уплотнение легочной ткани, прилежащее широким основанием, более интенсивное в области междолевой плевры. Но оно имеет вид пропитывания легочной ткани, которое характерно обычно для кровоизлияния.
В базальных отделах мы видим участки со-плеврального линейного фиброза. То, что эти изменения двусторонние и такие многочисленные, позволило нам предположить наличие, заподозрить у больного тромбоэмболию, что впоследствии и… Вот эти вот участки линейного фиброза – как участки уже перенесенных инфарктов.
При выполнении КТ-ангиографии мы видим двусторонние дефекты перфузии, тромбы как в правой, так и в левой легочной артерии. На фоне контрастированных сосудов они выглядят более серыми структурами, которые и позволили изменить диагноз у этого пациента на рецидивирующую тромбоэмболию легочной артерии и инфаркт легкого.
Конечно, установление этиологического фактора по рентгенологическому исследованию невозможно. Но ряд возбудителей имеют очень характерную (и пневмонии, вызванные этими возбудителями) картину.
Стафилококковые первичные пневмонии, которые развиваются у детей и у пожилых лиц. Для них характерна рентгенологическая картина: они имеют в виде одного или нескольких участков бронхопневмонии. Как правило, это двустороннее поражение, тонкостенные полости деструкции. Характерная картина.
Что касается вторичных стафилококковых пневмоний, они возникают при гематогенном распространении инфекции или остром хроническом гнойном процессе. Тоже имеют вид множественных инфильтратов округлой формы (двусторонних, как правило). Для них характерен полиморфизм с формированием тонкостенных полостей деструкции, которые затем рассасываются.
Дифференциальный диагноз этих состояний необходимо проводить с нагноившимися кистами, истинными абсцессами легких и подострым диссеминированным туберкулезом. Но главная в данной ситуации не лучевая картина в дифференциальной диагностике, а, безусловно, клиническая картина и анамнез.
Пневмонии, вызванные грамотрицательной инфекцией, как правило, развиваются у лиц среднего и пожилого возраста, ослабленных, страдающих хроническими заболеваниями. Вызываются такими инфекционными агентами как клебсиелла, синегнойная палочка, протеус. Имеют тяжелое клиническое течение и высокую летальность.
Здесь мы видим пример пневмонии, вызванной клебсиеллой. При таких пневмониях вызывается обширное долевое затемнение, увеличение объема пораженной доли. Характерно быстрое появление полостей деструкции в структуре инфильтрата.
Микоплазменные пневмонии. Они участились в последнее время. Они характеризуются инфильтрацией альвеол и интерстициальной ткани. Имеют очень разнообразную рентгенологическую картину. Они могут протекать как интерстициальные изменения по типу бронхопневмонии, бронхиолита и так далее.
Я приведу вам несколько примеров микоплазменной пневмонии. В данном случае мы видим усиление легочного рисунка в нижней доле правого легкого, нечеткость и деформацию бронхососудистых пучков.
В данном случае пневмония имеет вид, близкий к лучевой картине бронхиолита: в виде сливных очагов в центре лобулярных очагов, обусловленных расширением и заполнением бронхиол. Как правило, при таких формах микоплазменной пневмонии наблюдается выраженный бронхообструктивный синдром, который длительно сохраняется после разрешения этой пневмонии.
Тяжелая форма микоплазменной пневмонии в виде обширных участков по типу «матового стекла» с практически субтотальным поражением легкого.
Рентгенологическая картина этой пневмонии может быть различной.
Что касается вирусных пневмоний, они возникают у детей и подростков. Как правило, вирусными агентами, возбудителями являются адено- и риновирусы, вирусы гриппа. Эти пневмонии характеризуются интерстициальным типом изменений легочной ткани, и поэтому являются наиболее сложными для диагностики.
Я позволю себе остановиться на гриппозной пневмонии. В клинической картине обычно преобладают признаки токсикоза, гипертермия, головная боль. Эта пневмония характеризуется в основном интерстициальным типом изменений на начальных этапах.
В данном случае мы видим усиление и деформацию легочного рисунка (обычно в прикорневых отделах). Мелкие очаговые тени. Локализация в средних и нижних отделах одного или обоих легких. Реакция корней.
При компьютерном томографическом исследовании возможно выявить утолщение легочного интерстиция, участки уплотнения легочной ткани по типу «матового стекла», расположенные перибронхиально или периваскулярно.
Какой должна быть тактика лучевого обследования пациентов с внебольничной пневмонией?
Основной методикой лучевого обследования больных с предполагаемой или установленной пневмонией является, безусловно, рентгенография органов грудной полости в двух проекциях. Для уточнения данных рентгенографии может быть использована либо линейная, но лучше всего, конечно, компьютерная томография.
Основным рентгенологическим признаком пневмонии, как я уже говорила, является локальное уплотнение легочной ткани с наличием воздушного просвета бронхов. При отсутствии симптома уплотнения легочной ткани рентгенологическое заключение о наличии пневмонии является неправомерным. Я имею в виду, особенно если идет речь о компьютерной томографии. Если мы не выявляем пневмонию при таком методе – не бывает в данном случае рентген-негативной пневмонии.
Рентгенологическое исследование проводится, как правило, в начале заболевания и не ранее чем через 14 дней от начала антибактериальной терапии. Но оно может быть выполнено и в более ранние сроки при возникновении осложнений или существенном изменении клинической картины заболевания.
Рентгенологическая картина внебольничной пневмонии, как я уже говорила, не имеет корреляции с этиологией пневмонии. Степень ее клинического течения не позволяет определить исход заболевания.
При рентгенологическом исследовании пневмонии в динамике, изменения в легочной ткани постепенно уменьшаются, но сохраняются более длительное время, чем клиническая симптоматика. Об этом надо помнить. Они имеют право сохраняться в течение трех месяцев, поэтому здесь самое главное – ориентироваться на клинику.
Затяжное или рецидивирующее течение пневмонии является показанием для проведения томографического или бронхологического исследования для исключения центрального рака легкого, а также других воспалительных процессов в легочной ткани.
По нашему опыту и по данным литературы, компьютерная томография имеет существенные преимущества в сравнении с той же самой линейной томографией и в оценке состояния легочной ткани и бронхов.
Перевод терминов и заключений рентгенограмм, КТ и МРТ легких на английский
Медтран - специализированное бюро медицинских переводов.
Часто ли вам приходится переводить на английский результаты рентгенологического исследования, УЗИ или компьютерной томографии? Эти исследования уже давно стали незаменимыми для диагностики и контроля лечения и прочно вошли в обычную врачебную практику. Выполняя перевод истории болезни или других личных медицинских документов, можно не сомневаться, что там будет и ультразвуковое исследование, и рентген органов грудной клетки. Очень часто также необходимо сделать перевод КТ легких.
Тем не менее, перевод радиологических заключений - довольно сложная задача, которая может отнять много времени и сил даже у опытного переводчика. Заключение по результатам рентгенологического исследования, компьютерной томографии или МРТ составляется по определенной схеме, при этом доктора используют устоявшиеся фразы и клише. Проблема в том, что традиция описания снимков на русском языке отличается от того, как это принято делать на английском, и если вы не хотите, чтобы англоязычные врачи ломали голову, читая выполненный вами перевод МРТ легких, нужно точно знать, как правильно перевести тот или иной термин.
Статья предназначена в первую очередь для медицинских переводчиков. Информация также будет полезна нашим коллегам-переводчикам других специализаций, например, при необходимости сделать правильный перевод рентгенограмм легких в составе заключения судебного эксперта. Термины снабжены краткими комментариями, которые помогут разобраться в тексте.

Компьютерная томография - Computed Tomography
| Компьютерная томография (КТ); рентгеновская компьютерная томография | Computed tomography (CT); X-ray computed tomography |
| Компьютерная томография высокого разрешения (ВРКТ) | High resolution computed tomography (HRCT); high-resolution CT |
| НДКТ - низкодозная компьютерная томография | LDCT - low-dose computed tomography |
| Нативная КТ; КТ без контрастирования | Unenhanced CT |
| КТ ангиография; КТ-ангиографическое исследование | CT angiography (CTA) |
| Инспираторная КТ. Стандартное КТ–исследование ОГК проводится на глубоком вдохе. | CT at end-inspiration; end-inspiration (EI) CT scans |
| Экспираторная КТ; КТ-исследование на выдохе | CT performed at suspended full expiration, CT scans obtained during suspended end expiration; end-expiration (EE) CT scans |
| однофотонная эмиссионная компьютерная томография | Single Photon Emission Computed Tomography, SPECT |
| позитронно-эмиссионная томография, ПЭТ | Positron Emission Tomography, PET |
| Компьютерная томография органов грудной клетки (КТ ОГК) | Chest CT, chest CT scan, CAT scan of the chest |
| Последовательная КТ (пошаговая, традиционная КТ). Рентгеновская трубка останавливается после каждого цикла вращения, затем стол сдвигается и следует новый цикл вращения. | Sequential CT, incremental CT, conventional CT |
| шаг стола | table feed |
| Спиральная КТ. При спиральном сканировании источник излучения вращается непрерывно, при этом стол с пациентом также непрерывно продвигается через окно Гентри. Траектория пучка рентгеновского излучения приобретает форму спирали. | Spiral CT, helical CT, volumetric СТ |
| Шкала Хаунсфилда - это количественная шкала, характеризующая рентгеновскую плотность. Коэффициент ослабления рентгеновского излучения выражается в относительных числах (КТ-числах, единицах Хаунсфилда), нормированных по отношению к коэффициенту ослабления для воды, принятому за 0 HU, и коэффициенту ослабления воздуха, принятому за -1000 HU (минимальное возможное значение HU). | Hounsfield scale. The Hounsfield scale is a quantitative scale for describing radiodensity. The Hounsfield scale of tissue density is based on two values: air as -1000HU (minimum HU value) and water as 0HU. |
| HU - единицы Хаунсфилда | HU - Hounsfield units |
| КТ числа, числа Хаунсфилда - коэффициент ослабления рентгеновского излучения, выраженный в HU. | CT numbers |
| Электронные окна. Выделение электронного окна нужно для увеличения контрастности изображения определенных органов. КТ-изображения органов и тканей, коэффициенты ослабления которых меньше или больше границ выбранного окна, изображаются черными и белыми цветами. Ткани, коэффициенты ослабления которых находятся в пределах выделенного электронного окна, будут иметь различные оттенки серого цвета. | Window settings, windowing |
| Мягкотканное окно, мягкотканное электронное окно | soft tissue window, soft window |
| Легочное окно, легочное электронное окно | lung window |
| Плевральное окно, плевральное электронное окно | pleural window |
| Костное окно, костное электронное окно | bone window |
| Ширина окна - разность наибольшего и наименьшего коэффициента ослабления, отображаемых данным окном | Window width, WW |
| Уровень окна - величина коэффициента ослабления, соответствующая середине окна | Window level, WL |
| Толщина томографического слоя, толщина томографического среза | slice thickness |
Легочный рисунок
Легочный рисунок - это рентгенологический термин, описывающий структуру легочной ткани. Основу легочного рисунка составляют изображения кровеносных сосудов, разветвляющихся в воздухсодержащей ткани легкого. Легочный рисунок складывается из полос, овальных, полуовальных и округлых теней.
| Легочный рисунок; сосудистый рисунок легких | Lung markings; pulmonary vascular markings; bronchovascular markings |
| Нормальный легочный рисунок. Для нормального легочного рисунка характерно постепенное уменьшение калибра сосудов к периферии. | Normal pulmonary vascularity. The normal pulmonary vascular markings show gradual tapering toward the periphery of the lungs. |
| Усиление и обогащение легочного рисунка (за счет сосудистого компонента) | Increased pulmonary vascularity; increased vascular markings; increased pulmonary vascular markings; increased lung markings. |
| Сгущение легочного рисунка | Crowding of the (pulmonary) vascular markings; crowded vascular markings; bronchovascular crowding. |
| Обеднение легочного рисунка | Paucity of vascular markings |
| Ослабление легочного рисунка | Decreased pulmonary vascularity; reduction of vascular markings |
| Линейные изменения легочного рисунка. Усиление и обогащение легочного рисунка за счет линейных изменений представляет собой результат утолщения междольковых перегородок. | Linear pattern. The linear pattern is characterized by interlobular septal thickening. |
| Ретикулярные изменения легочного рисунка; ретикулярный паттерн. Усиление и обогащение легочного рисунка за счет сетчатых (ретикулярных) изменений - результат утолщения и междольковых, и внутридольковых перегородок. | Reticular pattern. The combination of interlobular and intralobular septal thickening represents the reticular pattern. |
| Легочный рисунок сохранен | Vascular markings are preserved; preservation of bronchovascular markings; preservation of the bronchial and vascular markings. |
| Легочный рисунок отсутствует | Absence of lung markings; no lung markings; loss of lung markings. |
| Легочный рисунок деформирован; деформация легочного рисунка | Distorted vascular markings; distortion of the vascular markings |
Рентгенологические симптомы и синдромы патологических процессов в легких
| Повышение плотности легочной ткани; уменьшение прозрачности легочных полей | Increased lung attenuation; high attenuation pattern |
| Понижение плотности легочной ткани; повышение прозрачности легочных полей; повышенная прозрачность легочной ткани. | Decreased lung attenuation; low attenuation pattern. |
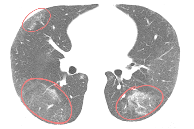
| Затемнение по типу "матового стекла"; изменения по типу "матового стекла"; симптом/синдром "матового стекла". Незначительное повышение плотности легочной ткани при сохранении видимости стенок сосудов и бронхов в зоне патологических изменений. Контуры бронхов кажутся при этом "слишком черными" по сравнению с окружающей легочной тканью. | Ground-glass opacity (GGO); ground glass opacification; ground-glass attenuation. The term is used to describe a hazy increase in lung opacity with preservation of the bronchial and vascular markings. In GGO the density of the intrabronchial air appears darker as the air in the surrounding alveoli. This is called the dark bronchus sign. |
| Синдром «консолидации легочной ткани»; консолидация. Термин используется для описания повышения плотности паренхимы легкого с полной потерей воздушности, на фоне которого ход сосудов и стенки бронхов не визуализируются. | Air space consolidation; consolidation. Consolidation is an alveolar-filling process that replaces air within the affected airspaces, increasing in pulmonary attenuation and obscuring the margins of adjacent airways and vessels on radiographs and CT scans. In normal lung, air-filled bronchi are not apparent on chest radiographs because they are surrounded by aerated lung parenchyma. Air-filled bronchi may become visible when surrounded by dense, consolidated lung parenchyma and may produce the air bronchogram sign. This term is used to describe an increase in pulmonary parenchymal attenuation that obscures the margins of the vessels and airways. |
| Симптом "воздушной бронхограммы", симптом "воздушной бронхографии". На фоне уплотненной легочной ткани видны просветы заполненных воздухом бронхов. | Air bronchogram sign. The term refers to the phenomenon of air-filled bronchi being made visible by the opacification of surrounding alveoli. In normal lung, air-filled bronchi are not apparent on chest radiographs because they are surrounded by aerated lung parenchyma. Air-filled bronchi may become visible when surrounded by dense, consolidated lung parenchyma and may produce the air bronchogram sign. |
| Мозаичная картина; мозаичный вид; мозаичная плотность. Неравномерная плотность легочной ткани в виде чередования участков повышенной и пониженной плотности. | Mosaic pattern of lung attenuation; mosaic attenuation pattern. The term mosaic attenuation is used to describe density differences between affected and non-affected lung areas. |
| Мозаичная перфузия (мозаичная олигемия). Термин используется для описания мозаичной картины, обусловленной локальными нарушениями кровоснабжения. Из-за регионального уменьшения кровоснабжения появляются более прозрачные участки легочной ткани, с более тонкими сосудистыми тенями по сравнению с нормальной тканью легкого. | Mosaic perfusion, (mosaic oligemia). The term is used to describe mosaic attenuation pattern due to regional differences in perfusion. Due to the regional decrease in lung perfusion, the abnormal lung is lucent and vessels appear smaller in comparison to vessels in the normal lung. |
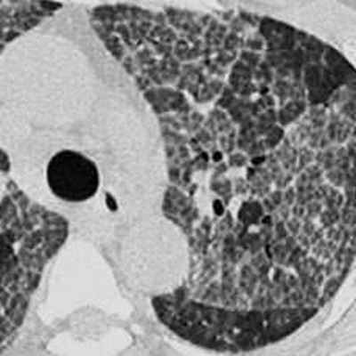
| Изменения по типу «пчелиных сот», картина пчелиных сот; сотовое легкое. Формируются множественные кистозные полости, разделенные фиброзной тканью, замещающей интерстиций. | Honeycombing; honeycomb lung. Honeycombing is defined by the presence of small cystic spaces with thickened walls composed of dense fibrous tissue. |
| Симптом «булыжной мостовой» - сочетание затемнений по типу «матового стекла» с утолщенными междольковыми перегородками, внешне напоминает разнообразные куски брусчатки в мостовой. | Crazy paving pattern (crazy paving sign). The superimposition of a linear pattern on ground-glass opacity on computed tomography images results in a pattern that is termed crazy-paving pattern, resembling the structure of irregularly shaped paving stones. |
| Синдром "головки сыра" - это мозаичная картина, образовавшаяся в результате сочетания зон консолидации, матового стекла, зон мозаичной перфузии, воздушных ловушек и зон нормальной плотности. | Headcheese sign. A mosaic attenuation pattern that is caused by a combination of consolidation, ground-glass opacities, mosaic perfusion and air trapping has been termed the headcheese sign. |
| Симптом "силуэта". Симптом "силуэта" описывает ситуацию утраты нормальной границы между изображениями легких и мягких тканей в результате какого-либо патологического процесса, приводящего к утрате воздушности легочной паренхимы. Обычно этот симптом можно увидеть на границе между легкими и сердцем, средостением, грудной стенкой и диафрагмой. Если консолидация распространяется до края прилежащей мягкотканной структуры, то на снимках граница между ними будет стираться. | Silhouette sign. The silhouette sign describes loss of a normal lung–soft-tissue interface (loss of silhouette) caused by any pathologic mechanism that replaces or displaces air within the lung parenchyma. This sign is commonly applied to the interface between the lungs and the heart, mediastinum, chest wall, and diaphragm. Consolidation that extends to the border of an adjacent soft-tissue structure will obliterate its interface with that structure. |
Симптом "дерева в почках"; симптом "расцветающего дерева", "распускающегося дерева". В норме терминальные бронхиолы не видны на КТ-снимках из-за маленького размера ( ![]() Honeycombing |

Ground glass opacity

Crazy paving pattern
Поражение легких по типу матового стекла на КТ

Благодаря мультиспиральной компьютерной томографии грудной клетки, или МСКТ, которая считается наиболее информативным методом обследования легких, врачи могут диагностировать инфекционно-воспалительные и онкологические заболевания на ранних стадиях.
«Матовые стекла» характерны для пневмонии, туберкулеза, рака легких и других опасных состояний. Какие именно и по каким признакам их различают? Рассмотрим подробнее в этой статье.
Что такое «матовое стекло»?
«Матовые стекла» — это участки уплотнения легочной ткани, которые хуже пропускают X-Ray лучи. По-другому их называют очагами уплотнения ткани легких. На томограммах такие области напоминают светлые пятна или мутноватый налет. Очаги по типу «матового стекла» свидетельствуют о том, что альвеолы легких заполнены жидкостью (транссудатом, кровью), а не воздухом. Также они могут свидетельствовать о снижении пневматизации легких из-за фиброзных изменений. Альвеолы участвуют в газообмене, снабжают клетки кислородом и выводят углекислый газ, поэтому заполнение их полости жидким веществом или клетками соединительной ткани недопустимо.
Если общая площадь «матовых стекол» увеличивается, это свидетельствует о прогрессирующем инфекционно-воспалительном заболевании. Пациента начинает беспокоить нехватка воздуха, одышка, кашель.
При каких заболеваниях «матовое стекло» проявляется на томограммах?
По данным кафедры лучевой диагностики ММА им. Сеченова, картину «матовости» чаще всего дают пневмонии (вирусные, бактериальные, грибковые), однако инфильтрация легких характерна и для других патологических состояний. Вот только некоторые из них:
- Альвеолярный протеиноз;
- Пневмонит;
- Кровоизлияние;
- Гранулематозы;
- Альвеолярный отек;
- Аллергический альвеолит;
- Туберкулез;
- Медикаментозное поражение легких;
- Инфаркт легкого;
- Вирусная инфекция;
- Дерматомиозит;
- Опухоли;
- Ревматоидный артериит;
- Респираторный бронхиолит с ИЗЛ;
- Синдром Съегрена;
- Синдром Гудпасчера;
- Склеродермия.
Оценивая данные КТ легких, врач-рентгенолог дифференцирует заболевания по специфической картине «матовых стекол»: их количеству, локализации, наличию других признаков, по которым возможно определить причину патологических изменений ткани легких. Например, для двусторонней вирусной пневмонии характерно наличие «матовых стекол», расположенных периферически в нижних и задних отделах легких. В более поздней стадии наблюдается консолидация очагов инфильтрации с утолщением перегородок альвеол.
«Матовые стекла» при туберкулезе могут быть расположены рядом с бронхами или диссеминированы — в этом случае наблюдается множество маленьких светлых участков (инфильтратов), хаотично расположенных во всей полости легких. Также при туберкулезе на КТ легких можно обнаружить характерные фиброзные тяжи, ведущие к корню легкого — это перибронхиальное воспаление, признаки лимфостаза с увеличением лимфатических узлов. Единичные участки «матового стекла» малого размера без четкого паттерна какого-либо заболевания могут указывать на новообразование, развивающийся фиброз, аденокарциному (рак) легких.
Иногда «матовые стекла» указывают на сосудистые патологии, которые приводят к сдавливанию альвеолярного пространства. У пациентов с ожирением могут появится в гравитационно-зависимых (нижних) областях легких под воздействием лишнего веса. У здоровых пациентов эффект «матового стекла» может проявиться на томограммах в случае, если сканирование грудной клетки проведено на выдохе (правильно — на глубоком вдохе).
Не принимая в расчет эти погрешности и говоря об истинном синдроме «матового стекла» на КТ легких, отметим, что это признак нефункциональных участков легких. В норме уплотнений и препятствий для дыхания быть не должно, а легочная ткань представлена на томограммах однородным темным цветом. Очень редко «матовые стекла» указывают на индивидуальные особенности организма пациента, например, на нетипичное расположение диафрагмы у новорожденных. Но это единичные случаи, поэтому давайте рассмотрим наиболее распространенные паттерны заболеваний, при которых на томографии встречаются «матовые стекла».
«Матовые стекла» на КТ при пневмонии
Чаще всего «матовое стекло» на КТ проявляется при воспалении легких, причем это может быть абсолютно любая пневмония: вирусная, бактериальная, с атипичным развитием симптомокомплекса, очень редкая интерстициальная и так далее. Поскольку спектр возбудителей пневмонии чрезвычайно широк, а дифференцировать заболевания легких по одному эффекту «матового стекла» не всегда представляется возможным, пациенту рекомендуется лабораторная диагностика — анализ крови или отделяемого из дыхательных путей на предмет микоплазм, пневмококков, коронавируса и других возбудителей.
Общим признаком острых пневмоний на КТ является наличие инфильтратов («матовых стекол») разной формы и протяженности. «Матовые стекла» расположены вокруг очагов или диффузно, как при туберкулезе. Однако в отличие от туберкулеза, их размер обычно больше, есть тенденция к консолидации инфильтратов и образованию рисунка по типу «булыжной мостовой». В отдельных случаях визуализируются просветы бронхов, содержащих газ. Это называется синдромом «воздушной бронхографии». В сочетании с эффектом «матового стекла», он также относится к явным признакам пневмонии.
Для пневмонии, вызванной коронавирусом COVID-19, характерно периферическое расположение очагов поражения под плеврой. Наиболее уязвимы билатеральные нижние доли и задние отделы легких. Отмечается тенденция к консолидации «матовых стекол» и утолщению перегородок альвеол, иногда — признаки фиброза легких.
Тяжелым формам коронавирусной пневмонии сопутствует острый респираторный дистресс-синдром. ОРДС — это обширное двухстороннее воспаление, при котором наблюдается множество инфильтратов и отек легких. На томограммах фрагментарные участки «матового стекла» кортикальной формы присутствуют с двух сторон и имеют вид «лоскутного одеяла».
При пневмоцистной пневмонии, вызванной дрожжеподобным грибом Pneumocystis Jirovecii, наблюдается несколько иная картина. Участки уплотнения легких по типу «матового стекла» обычно расположены с двух сторон симметрично (но иногда диффузно и неравномерно). Уплотнения преобладают в прикорневых областях легких, а диффузные изменения — в верхних и нижних отделах. Для пневмоцистной пневмонии, как и для вирусной, ассоциированной с COVID-19, характерны эффект консолидации и симптом «лоскутного одеяла», но на томограммах легких видны и другие признаки: воздушные кисты, пневмоторакс.
Отдельную группу заболеваний представляют идиопатические интерстициальные пневмонии, причину которых не удается установить. Помимо «матового стекла» на сканах КТ легких можно обнаружить симптом «сотового легкого», бронхоэктазы, ретикулярные изменения. Идиопатические пневмонии требуют гистологического обследования.
На основании данных компьютерной томографии легких и анамнеза пациента врач-рентгенолог сможет определить поражение легких, характерное для пневмонии. В рамках дифференциальной диагностики учитывается плотность и форма «матовых стекол», их количество, в целом оценивается рисунок. Однако определить возбудителя пневмонии и тактику лечения можно после дополнительной лабораторной диагностики.
«Матовое стекло» на КТ при туберкулезе
Очаги инфильтрации по типу «матового стекла» встречаются и при туберкулезе. Его вызывает бактерия Mycobacterium tuberculosis. Считается, что все взрослые люди, достигшие возраста 30 лет, являются носителями микобактерии в «спящем» виде. Когда иммунитет подавлен, бактерии туберкулеза могут активизироваться, и человек заболеет.
При туберкулезе на КТ легких обычно видны множественные мелкие (милиарные) очаги, диссеминированные по легким. Возможна их концентрация в определенной доле. Часто присутствует инфильтрат в форме «дорожки», ведущей к корню легкого. Отмечается увеличение лимфатических узлов. Окончательно отличить туберкулез от пневмонии возможно по результатам ПЦР-диагностики — анализа крови на предмет возбудителя инфекционного воспаления легких.
«Матовое стекло» на КТ при отеке легких
Отёк легких — это осложнение массивного воспаления, сепсиса, токсического отравления. Отек часто возникает как осложнение хронических и острых заболеваний легких, следствие коронарной ишемии, сердечной недостаточности, патологических сбоев в работе других органов и их систем.
При кардиогенном отеке легких наряду с «матовыми стеклами» наблюдается утолщение междолевой плевры, сетчатая деформация легочного рисунка, а контуры корней легких расширенные и нечеткие.
К дополнительным признакам отека легких на КТ относится увеличение диаметра легочных сосудов, расширение камер сердца и жидкость в плевральной полости.
«Матовое стекло» при аденокарциноме (раке) легкого
По эффекту «матового стекла» на КТ легких определяют злокачественные новообразования — рак легких. Аденокарцинома — самый распространенный вид опухоли; существенным «спусковым механизмом» для ее образования является курение, наследственность, возраст (старше 40 лет).
Опухоль аденокарцинома формируется из клеток железистого эпителия. На томограмме представлена единичным обычно небольшим (от 2 мм) участком уплотнения по типу «матового стекла». В отдельных случаях у пациента наблюдается несколько «матовых стекол» диффузного или диффузно-мозаичного типа. Аденокарцинома представлена различными морфологическими подтипами и требует динамического наблюдения.
Не пытайтесь самостоятельно интерпретировать изображения. Выявить «матовые стекла» и дать им дифференцированную оценку может только профильный врач специалист, прошедший обучение и имеющий соответствующий сертификат.
Текст подготовил
Котов Максим Анатольевич, главный врач центра КТ «Ами», кандидат медицинских наук, доцент. Стаж 20 лет
- Iranmanesh A.M., Washington L. Pulmonary Sarcoidosis: A Pictorial Review / Semin Ultrasound CT MR, 2019.
- Felix J., Herth F., Kirby M., Sieren J., Herth J., Schirm J., Wood S., Schuhmann M. The Modern Art of Reading Computed Tomography Images of the Lungs: Quantitative CT / Respiration, 2018.
- Soussan M., Brillet P.-Y., Mekinian A., Khafagy A., Nicolas P., Vessieres A., Brauner M. Patterns of pulmonary tuberculosis on CT / Eur J Radiol, 2012.
- Bushong S. Computed Tomography / McGraw Hill Professional – 2000. – 162 p.
- Boyd D.P, Computed tomography: physics and instrumentation / Acad Radiol – 1995.
- Котов М.А. Опыт применения компьютерной томографии в диагностике заболеваний органов дыхания у детей / Материалы X Невского радиологического Форума (НРФ-2018). – СПб., 2018, Лучевая диагностика и терапия. 2018. № 1 (9). — С. 149.
- Карнаушкина М.А., Аверьянов А.В., Лесняк В.Н. Синдром «матового стекла» при оценке КТ-изображений органов грудной клетки в практике клинициста: патогенез, значение, дифференциальный диагноз / Архивъ внутренней медицины – М., 2018. — С. 165-175.
- Прокоп М., Галански М. Спиральная и многослойная компьютерная томография / Т.1,2 под ред. А.В.Зубарева, Ш.Ш.Шотемора — М., 2011 — 712 с.
Мы перезвоним, подберём удобное для записи время и ответим на вопросы.
Оператор обрабатывает входящие заявки с 8:00 до 22:00
Нажимая на кнопку, вы даете согласие на обработку персональных данных в соответствии с Федеральным законом от 27.07.2006 г. № 152-ФЗ «О персональных данных».
Если вы оставили ее с 8:00 до 22:00, мы перезвоним вам для уточнения деталей в течение 15 минут.
Читайте также:

