Зрительная кора. Строение первичной зрительной коры
Добавил пользователь Владимир З. Обновлено: 28.01.2026
Зрительные проводящие пути: зрительный нерв, зрительный путь, коленчато-шпорный путь, первичная зрительная кора
а) Зрительный нерв, зрительный путь. Зрительный нерв образован аксонами ганглиозных клеток сетчатки. Аксоны покрыты миелиновой оболочкой в месте их выхода из диска зрительного нерва.
Количество ганглиозных клеток значительно варьирует у разных людей и составляет в среднем 1 млн. Поскольку каждая ганглиозная клетка входит в зрительный нерв, количество аксонов в нем соответственно изменяется.
Ганглиозные клетки сетчатки имеют общее происхождение с чувствительными нейронами спинного мозга. Зрительный нерв гомологичен белому веществу спинного мозга и не является периферическим нервом. В главе 9 отмечено, что истинные периферические, черепные или спинномозговые нервы содержат шванновские клетки, покрыты коллагеновой оболочкой и способны к регенерации. Зрительный нерв содержит клетки нейроглии центрального типа (астроциты и олигодендроциты) и не способен к регенерации у млекопитающих. Кроме того, зрительный нерв покрыт мозговыми оболочками с расположенным между ними подпаутинным пространством. Подобное строение объясняет изменения на поверхности глазного дна при повышении внутричерепного давления (отек диска зрительного нерва).
В зрительном перекресте волокна от назальной (медиальной) половины сетчатки входят в противоположный зрительный путь, а волокна от височной (латеральной) половины сетчатки не переходят на другую сторону и попадают в зрительный путь той же стороны. Информация от сетчатки поступает к среднему мозгу (участвующему в регуляции движений глаз, размера зрачка и циркадных ритмов) и латеральному коленчатому ядру таламуса (откуда направляется к зрительной коре, отвечающей за различные аспекты зрения) от различных групп ганглиозных клеток.
Часть зрительных волокон входит в надперекрестное ядро гипоталамуса («центральные часы»), отвечающее за поддержание циркадных ритмов. Такая связь позволяет объяснить положительный эффект использования яркого искусственного освещения в течение нескольких часов в день для лечения зимней депрессии.
Схема зрительных проводящих путей.
Два зрительных поля (правого и левого глаза) представлены раздельно без наложения. На срезе мозга показаны зрительные проводящие пути, вид снизу.
Каждый зрительный путь огибает средний мозг и разделяется на медиальный и латеральный корешки:
1. Медиальный корешок зрительного тракта. Медиальный корешок содержит 10 % волокон зрительного нерва. Он входит в средний мозг с боковой стороны и включает четыре различных группы волокон.
- Часть волокон, особенно от М-клеток сетчатки, входит в верхний холмик и обеспечивает автоматический анализ информации, как, например, при чтении этой страницы.
- Часть волокон проходит через верхний холмик к подушке таламуса; они составляют фрагмент экстраколенчатого проводящего пути к зрительной коре больших полушарий.
- Часть волокон входит в предпокрышечное ядро и участвует в зрачковом световом рефлексе.
- Часть волокон достигает мелкоклеточной ретикулярной формации, где они выполняют функцию возбуждения.
2. Латеральный корешок зрительного тракта и латеральное коленчатое тело. Латеральный корешок зрительного тракта оканчивается в латеральном коленчатом теле (ЛК'Г) таламуса. ЛКТ образовано шестью клеточными пластинками, три из которых состоят из пересеченных волокон, а три — из непересеченных (слои 2, 3, 5; «U-235»). Две наиболее глубоких пластинки (одна с пересеченными, другая — с непересеченными волокнами) образованы крупными клетками, к ним подходят аксоны ганглиозных клеток М-типа, отвечающих за регистрацию движений (расположение в пространстве, скорость, и направление). К четырем другим мелкоклеточным пластинкам подходят аксоны от Р-клеток, отвечающих за детальное зрение (цвет и детализация изображения).
Нервные цепочки ЛКТ напоминают таковые в других релейных таламических ядрах и включают тормозные (γ-аминомасляная кислота, ГАМК) терминали, отходящие от вставочных нейронов и от таламического ретикулярного ядра. (Часть ретикулярного ядра, взаимодействующая с ЛКТ, носит название околоколенчатое ядро.) Корково-коленчатые волокна начинаются в первичной зрительной коре и образуют контакты с дистальными отделами дендритов релейных клеток, а также с тормозными вставочными нейронами. Количество синапсов корковых нейронов с релейными клетками в два раза превышает количество контактов ганглиозных клеток сетчатки.
Корковая стимуляция обычно усиливает реакцию релейных клеток в ответ на импульсы, полученные от сетчатки. Вероятно, но не доказано, что их функция заключается в селективном усилении различных аспектов зрительного восприятия, таких как поиск объекта известной формы или цвета. При функциональной магнитно-резонансной томографии (фМРТ) можно обнаружить области повышенной нейрональной активности головного мозга. При фМРТ было установлено, что если доброволец ожидает увидеть на экране интересующий объект, метаболическая активность в ЛКТ увеличивается до появления стимула.

Левая зрительная лучистость. ЛКТ—Латеральное коленчатое тело.
б) Коленчато-шпорный путь и первичная зрительная кора. Зрительная лучистость (коленчато-шпорный путь) имеет важное клиническое значение, поскольку поражение этой области часто происходит при тромбозе сосудов или опухолевом процессе в заднем отделе полушария головного мозга. Проводящий путь проходит от латерального коленчатого тела к первичной зрительной коре.
Строение зрительной лучистости показано на рисунках ниже. Волокна, лежащие в нижней половине первичной зрительной коры, направляются кпереди в височную долю в виде петли Мейера, а затем поворачивают кзади и сопровождают волокна от верхней половины. Путь входит в зачечевицеобраз-ную часть внутренней капсулы и располагается в белом веществе под латеральной височной корой. Он прилежит к заднему рогу бокового желудочка до поворота в медиальном направлении и прохождения в затылочную кору.
Первичная зрительная кора занимает стенки шпорной борозды по всей ее длине (глубина борозды—10 мм). Она прилежит также к медиальной поверхности полушария на 5 мм выше и ниже борозды и к затылочному полюсу мозга на расстояние 10 мм. Общая площадь составляет 28 см 2 . При ранней аутопсии кору легко определяют по тонкому пучку белого вещества (зрительная полоска Дженнари) в толще серого вещества, что объясняет альтернативное название — стриарная, или полосатая, кора. Левый и правый глаза представлены в коре чередующимися полосами,называемые глазными доминантными колонками.
1. Ретинотопическая карта. Зрительное поле противоположной стороны проецируется в виде перевернутого изображения. Плоскость шпорной борозды расположена горизонтально. Сетчатка расположена спереди назад со значительно более широко представленной центральной ямкой в задней половине шпорной коры.

Проводящий путь от зрительного поля правого глаза к первичной зрительной коре.
Т указывает на височную (темпоральную) половину зрительного поля. N обозначает назальную (внутреннюю) половину левого зрительного поля.
В левой сетчатке и зрительном нерве (ЗН) полученное изображение представлено зеркально отраженным и перевернутым.
Правая сетчатка и зрительный нерв неактивны, так как этот глаз экранирован.
В зрительном перекресте (ЗПер) аксоны, образующие назальную половину левого зрительного нерва, пересекают среднюю линию и образуют медиальную половину правого зрительного пути (ЗП).
Волокна, расположенные в латеральной половине нерва, проходят в латеральной половине левого зрительного пути.
Каждая группа волокон образует контакты с соответствующим латеральным коленчатым телом (ЛКТ).
Зрительные лучистости (ЗЛ) имеют веерообразное строение; их аксоны, передающие информацию от центральных ямок, вначале располагаются в центре пучка.
По мере их приближения к затылочному полюсу аксоны центральной ямки (красного цвета) в обоих полушариях смещаются кзади и входят в задний отдел первичной зрительной коры (ПЗК).
Обратите внимание на тип прохождения аксонов к коре с обеих сторон (полосами).
Интервалы между ними имеют одинаковую ширину и содержат волокна, идущие к зрительной коре и образующие зрительное поле правого глаза.
ВХ—верхний холмик.
2. Поражения зрительных проводящих путей. Исследование зрительных путей имеет следующие особенности:
• Пациент может не подозревать о слепоте весьма значительной степени—в некоторых случаях даже о гемианопсии.
• Значительные зрительные нарушения можно выявить при обычном противопоставлении, как указано далее. Пациент закрывает попеременно каждый глаз и фокусирует взгляд на носу врача. Врач, сидя напротив, смотрит пациенту в глаз, внося в поле зрения одну или другую руку с различных сторон, покачивая указательным пальцем.
• В слепой зоне пациент не видит темноту—пациент вообще ничего не видит.
- Зрительные дефекты описывают с точки зрения пациента относительно зрительных полей. Для упрощения схемы представления зрительных полей, отмеченных цифрами от 1 до 9, черный цвет используют для обозначения области, в которой зрение отсутствует. На самом деле на схемах зрительных полей указывают области с сохранным зрением (в противоположность представленным графически) Слепое пятно не обозначают, но оно должно располагаться темпоральнее (латеральнее) центральной точки фиксации взгляда.]
• Возможные места повреждения зрительных проводящих путей показаны на рисунке ниже. Проявления соответствуют представленным номерам в ниже.

Дефекты зрительных полей, возникающие при различных поражениях зрительных проводящих путей:
1. Частичное, зрительного нерва - Ипсилатеральная скотома
2. Полное, зрительного нерва - Слепота на этот глаз
3. Зрительный перекрест - Битемпоральная гемианопсия
4. Зрительный путь - Контралатеральная гомонимная геминанопсия
5. Петля Мейера - Контралатеральная гомонимная верхняя квадрантанопсия
6. Зрительная лучистость - Контралатеральная гомонимная гемианопсия
7. Зрительная кора - Контралатеральная гомонимная гемианопсия
8. Макулярная кора, двустороннее - Двусторонние центральные скотомы
9. Задние отделы зрительной коры - Височная серповидная контралатеральная гомонимная гемианопсия
Примечания по приведенным выше поражениям:
1. Эксцентрические поражения зрительного нерва приводят к образованию скотом в назальном или височном поле зрения пораженного глаза. При развитии скотомы у молодых взрослых всегда следует подозревать рассеянный склероз.
2. Полное поражение зрительного нерва может возникать при черепно-мозговой травме.
3. Сдавление середины перекреста чаще всего бывает вызвано аденомой (доброкачественной опухолью) гипофиза.
4. Поражения зрительного пути встречают редко. Несмотря на то, что выпадают гомонимные (односторонние) зрительные поля, наружная, неприкрытая половина зрительного пути, поражается чаще, чем внутренняя половина, поэтому гемианопсию обозначают как несимметричную.
5. Избирательное поражение петли Мейера встречают при опухолях височной доли.
6. Поражение зрительной лучистости встречают при опухолях височной, теменной или затылочной долей. Зрительные поля обоих глаз обычно выпадают в одинаковой степени (симметрично), и желтое пятно остается интактным. Опухоли, инфильтрирующие лучистость снизу, приводят к дефекту в нижнем квадранте. Основной пучок лучистости расположен в зачечевицеобразном отделе внутренней капсулы и часто поражается при отеке, сопровождающем кровотечение из ветви средней мозговой артерии (классический инсульт).
7. Тромбоз задней мозговой артерии сопровождается гомонимной гемианопсией. Пробелы в зрительном поле № 7 указывают на сохранность желтого пятна (макулы). Сохранность макулярных половин полей зрения непостоянна и часто обусловлена двойным кровоснабжением затылочного полюса из средней и задней мозговых артерий.
8. Двусторонние центральные скотомы наиболее часто развиваются при падении на затылок с ушибом мозга в затылочном отделе.
9. Височную серповидную гомонимную гемианопсию встречают при повреждении затылочной коры с сохранением наиболее переднего ее отдела—области, к которой подходят зрительные лучистости, идущие от назального отдела сетчатки (назальная половина сетчатки «видит» височное зрительное поле).
в) Резюме. В процессе эмбриогенеза сетчатка развивается из наружного выпячивания диэнцефалона. Эмбриональный зрительный бокал состоит из наружного пигментного слоя и внутреннего оптического слоя, между которыми расположено внутрисетчаточное (интраретинальное) пространство. Оптический слой образован тремя типами радиально расположенных нейронов (фоторецепторами, биполярными клетками и ганглиозными клетками) и двумя типами тангенциально (по касательной линии) расположенных клеток (горизонтальными и амакриновыми). Во всех отделах кроме центральной ямки свет должен пройти через другие слои сетчатки, чтобы попасть на фоторецепторы.
Две трети зрительного поля — бинокулярные, наружная 1/6 с каждой стороны—монокулярная. Зрительные дефекты описывают относительно зрительных полей.
Палочковые фоторецепторы функционируют при сумеречном свете и отсутствуют в центральной ямке. Колбочки наиболее многочисленны в центральной ямке; они отвечают за распознавание формы и имеют три типа чувствительности к цвету. Ганглиозные клетки имеют концентрическую реакцию на возбуждения по типу «от центра к периферии» с цветовым противодействием. М-ганглиозные клетки—относительно крупные и отвечают за регистрацию движений, их аксоны направляются к двум крупноклеточным слоям в ЛКТ. Функция Р-ганглиозных клеток—распознавание отдельных свойств изображения и цвета, они взаимодействуют с четырьмя мелкоклеточными слоями ЛКТ.
ЛКТ — двустороннее образование, получающее информацию от противоположной назальной половины сетчатки (через зрительный перекрест), а также от ипсилатеральной височной половины сетчатки. Обе группы аксонов проходят через зрительный тракт, от которого также отходят коллатерали к среднему мозгу для образования низших зрительных рефлексов.
Зрительная лучистость (коленчато-шпорный тракт) начинается от М- и Р-клеток ЛКТ и огибает боковой желудочек, достигая первичной зрительной коры в стенках шпорной борозды.
Разнообразные дефекты зрительных полей возникают вследствие повреждения любого из пяти главных отделов зрительных проводящих путей (зрительного нерва, зрительного перекреста, зрительного тракта, зрительной лучистости и зрительной коры).
Зрительная кора. Строение первичной зрительной коры
На рисунках ниже показана зрительная кора, расположенная в основном на медиальной стороне затылочных долей. Как и корковые отделы других сенсорных систем, зрительная кора подразделяется на первичную зрительную кору и вторичные зрительные области.
Зрительная кора в области шпорной борозды медиальной поверхности затылочной доли Передача сигналов от первичной зрительной области во вторичные зрительные области на латеральных поверхностях затылочной и теменной долей. Обратите внимание, что сигналы, представляющие форму, положение в трехмерном пространстве (3D) и движение, передаются главным образом в верхние отделы затылочной доли и задние отделы теменной доли. Наоборот, сигналы о деталях и цвете зрительного объекта передаются в основном в передневентральную часть затылочной доли и вентральную часть заднего отдела височной доли.
а) Первичная зрительная кора. Первичная зрительная кора (для облегчения понимания просим вас изучить рисунок выше) лежит в области шпорной борозды, распространяясь вперед от полюса затылка по медиальной стороне каждой затылочной доли. Эта область является конечной станцией для прямых зрительных сигналов от глаз. Как видно на рисунке выше, сигналы от области макулы сетчатки заканчиваются в районе полюса затылка, тогда как сигналы от периферических частей сетчатки заканчиваются внутри или около концентрических полукругов, расположенных впереди от полюса вдоль шпорной борозды на медиальной стороне затылочной доли. Верхняя часть сетчатки представлена сверху, а нижняя — снизу.
На рисунке видно, что макула представлена особенно большим участком первичной зрительной коры. Именно к этой области приходят сигналы от центральной ямки сетчатки, ответственной за наибольшую степень остроты зрения. В общей зоне представительства сетчатки в первичной зрительной коре центральная ямка занимает пространство в несколько сотен раз больше, чем периферические части сетчатки.
Первичную зрительную кору называют также зрительной областью I. Другое ее название — стриарная кора, поскольку эта область внешне имеет выраженную полосатую исчерченность.
б) Вторичные зрительные области. Вторичные зрительные области, называемые также зрительными ассоциативными зонами, лежат латерально, впереди, выше и ниже по отношению к первичной зрительной коре. Кроме того, большая часть этих областей накладывается на латеральные поверхности затылочной и теменной коры в виде складок, направленных наружу (для облегчения понимания просим вас изучить второй рисунок сверху). В эти области проводятся вторичные зрительные сигналы для анализа их значения. Например, со всех сторон вокруг первичной зрительной коры находится поле Бродмана 18 (для облегчения понимания просим вас изучить второй рисунок сверху), куда направляются практически все сигналы от первичной зрительной коры. Поле Бродмана 18 называют зрительной областью II, или просто V2. Другие, более отдаленные вторичные зрительные области имеют специфические обозначения V3, V4 и т.д. (более дюжины областей). Значение всех этих областей заключается в постепенном выявлении и анализе различных аспектов зрительного образа.
Слоистая структура первичной зрительной коры
Как почти все другие области коры большого мозга, первичная зрительная кора состоит из шести отдельных слоев (для облегчения понимания просим вас изучить рисунок ниже). Так же, как и в других сенсорных системах, геникулокалка-риновые волокна заканчиваются в слое IV. Но этот слой также имеет подслои.

Шесть слоев первичной зрительной коры. Путь, показанный на рисунке слева, исходит из магноцеллюлярных слоев латерального коленчатого ядра (ЛКЯ) и проводит быстроизменяющиеся черно-белые зрительные сигналы. Путь справа начинается в парвоцеллюлярных слоях (слои III—VI) ЛКЯ; он проводит сигналы, передающие точные пространственные детали, а также цвет. Обратите внимание на особые области зрительной коры, называемые цветовыми шариками и необходимые для различения цвета
Быстропроводящие сигналы от ганглиозных Y-клеток сетчатки входят в слой IVсα и отсюда передаются вертикально как вверх — к поверхности коры, так и вниз — к более глубоким уровням.
Зрительные сигналы от средних по размеру волокон зрительного нерва, исходящих из ганглиозных Х-клеток сетчатки, также заканчиваются в слое IV, но в других его местах (по сравнению с сигналами Y-клеток): в слоях IVа и IVcβ, являющихся самой поверхностной и самой глубокой частями слоя IV. Отсюда эти сигналы тоже проводятся вертикально как к поверхности коры, так и к более глубоким ее слоям. Именно эти пути от ганглиозных Х-клеток передают зрительные сигналы точно, «точка-в-точку», а также отвечают за цветовое зрение.
а) Вертикальные колонки нейронов в зрительной коре. Зрительная кора структурно состоит из нескольких миллионов вертикальных колонок нервных клеток, причем каждая колонка имеет диаметр 30-50 мкм. Такая же организация из вертикальных колонок обнаружена повсюду в мозговой коре, во всех ее регионах — сенсорных, моторных и аналитических. Каждая колонка представляет собой функциональную единицу. Грубый подсчет показывает, что каждая зрительная вертикальная колонка содержит, вероятно, 1000 или более нейронов.
После поступления зрительных сигналов в слой IV осуществляется их обработка по мере того, как они распространяются вверх и вниз вдоль каждой вертикальной колонки. Полагают, что в процессе этой обработки происходит раскодирование отдельных бит зрительной информации на последовательных станциях переключения вдоль этого пути. Сигналы, проходящие вверх, к слоям I, II и III, в результате распространяются лишь на небольшое расстояние латерально по коре. Наоборот, сигналы, идущие вниз, к слоям V и VI, возбуждают нейроны, которые проводят сигналы на более значительные расстояния.
б) Цветовые шарики в зрительной коре. Среди колонок первичной зрительной коры, как и среди колонок некоторых областей вторичной зрительной коры, рассеяны особые, похожие на колонки области, называемые цветовыми шариками. Они получают латеральные сигналы от прилежащих зрительных колонок и специфически активируются цветовыми сигналами. Считается, что эти шарики являются первичными областями раскодирования цвета.
Редактор: Искандер Милевски. Дата обновления публикации: 18.3.2021
Кровоснабжение зрительных путей и корковых территорий мозга
Мозговая ткань, осуществляющая проведение нервных импульсов от сетчатки до зрительной коры, а также зрительная кора, в норме почти повсеместно имеют хорошее обеспечение артериальной кровью. В кровоснабжении этих мозговых структур участвуют несколько крупных артерий, входящих в состав каротидных и вертебрально-базилярной сосудистых систем.
С помощью электронной микроскопии установлено сходство между капиллярами сетчатки, диска и ствола зрительного нерва, а также с капиллярами тканей головного мозга. В отличие от хориокапилляров, их эндотелий не имеет пор, а эндотелиальные клетки расположены плотно, смыкаясь между собой. Это позволяет говорить о меньшей проницаемости капилляров сетчатки, зрительного нерва и ткани мозга, барьерная функция которых значительнее по сравнению с хориокапиллярами.
В кровоснабжении зрительного нерва ведущую роль выполняет глазная артерия (a. ophtalmica). Она отходит от внутренней сонной артерии, после того как этот крупный артериальный сосуд, покинув пещеристый синус, попадает в субдуральное пространство средней черепной ямки. Глазная артерия вместе со зрительным нервом проходит через его костный канал в ретробульбарную часть полости глазницы, где сначала располагается между зрительным нервом и прямой наружной мышцей глаза. Затем глазная артерия делает дугообразный изгиб внутрь, обходя зрительный нерв сверху, реже снизу.
От дуги глазной артерии отходят центральная артерия сетчатки (a. centralis retinae), и в непосредственной близости к заднему полюсу глазного яблока - несколько задних коротких ресничных артерий (а.а. ciliaris posteriores brevis) и две длинные задние ресничные артерии.
Говоря об ангиоархитектонике зрительного нерва, можно отметить, что его формируют аксоны ганглиозных клеток сетчатки. Они направляются к месту образования диска зрительного нерва, формируя при этом в сетчатке слой нервных волокон (9-й слой), который снабжается кровью преимущественно из ветвей ее центральной артерии. От коротких задних ресничных ветвей глазной артерии вблизи решетчатой пластинки склерального канала отходят анастомозирующие веточки, образующие кольцо - сосудистый круг зрительного нерва (circulus vasicularis n. optici), или артериальный круг Галлера-Цинна, участвующий в кровоснабжении начальной части зрительного нерва, проходящей через склеральный канал. В снабжении кровью интраокулярного и интраорбитального участков зрительного нерва активное участие принимают и мелкие ветви центральной артерии сетчатки, отходящие от ее фрагмента, расположенного в составе этого нерва.
Снабжение кровью других участков ретробульбарной части зрительного нерва обеспечивается главным образом сосудистой сетью, покрывающей зрительный нерв мягкой мозговой оболочки. Кровоснабжение интракраниальной части зрительного нерва также осуществляет сосудистая сеть мягкой мозговой оболочки в которую кровь поступает из отходящих от внутренней сонной артерии ветвей - глазной артерии, передней мозговой и передней соединительной артерий.
Наличие анастомозов между глазной артерией и средней оболочечной артерией (a. memngea media), ветвью наружной сонной артерии заслуживают особого внимания, так как они могут иметь определенное значение в развитии коллатерального кровоснабжения глаза в случаях стеноза внутренней сонной артерии до места отхождения от нее глазной артерии.
В кровоснабжении хиазмы также принимают участие ветви нескольких артерий: внутренней сонной, передней мозговой, передней соединительной, задней соединительной и передней ворсинчатой. Они образуют мощную сосудистую сеть, что делает мало вероятной ишемию хиазмы.
Основным источником обеспечения кровью зрительного тракта являются ветви передней ворсинчатой артерии (rami tractus optici), чаще отходящей от внутренней сонной артерии, проксимальнее деления ее на переднюю и среднюю мозговые артерии. Кроме того, в кровоснабжении зрительного тракта участвуют задние соединительные и задние мозговые артерии.
Имеющую большую протяженность зрительную лучистость (пучок Грациоле) снабжают кровью главным образом ветви передней ворсинчатой и задней мозговой артерий. Только проксимальная часть аксонов, несущих импульсы от нейронов подкорковых зрительных центров, принимающая участие в формировании задней ножи внутренней капсулы, снабжается кровью главным образом ветвями средней мозговой артерии.
- Кровоснабжение передней части зрительной лучистости осуществляет главным образом передняя ворсинчатая артерия, а
- отходящая от задней мозговой артерии медиальная затылочная артерия (главным образом ее ветви - геменно-затылочная и височно-затылочная (r. parietooccipitalis и r.occipi-totemporalis), а также артерия шпорной борозды (a. calcarina) снабжают кровью задние отделы зрительной лучистости.
Первичные и вторичные зрительные зоны коры, расположенные в затылочной доле, снабжаются кровью ветвями задней мозговой артерии - прежде всего артерией шпорной борозды латеральной и медиальной затылочными артериями.
Только в кровоснабжении коры заднего полюса затылочной доли, на которую проецируется пятно (желтое пятно) сетчатки, признается участие проникающей сюда ветви средней мозговой артерии.
От базилярной артерии и возникающих в результате ее деления задних мозговых артерий отходят многочисленные ветви, обеспечивающие кровоснабжение ствола мозга, включающего медиальный продольный пучок, ретикулярную формацию, подкорковые центры взора, ядра и проксимальные отделы большинства черепных нервов, в том числе III, IV, V, VI, VII. Кроме того, задние мозговые артерии принимают участие в снабжении кровью некоторых структур промежуточного мозга, в том числе коленчатых тел и таламусов, задней спайки мозга, а также задних отделов больших полушарий и связующего их мозолистого тела.
Таким образом, в состав мозговых структур, снабжаемых кровью за счет вертебро-базилярного бассейна, входит часть зрительной радиации, почти вся зрительная кора и отчасти кора прилежащих к ней теменной и височной долей, а также затылочные, среднемозговые и мостовые глазодвигательные центры.
Кровоснабжение лобных центров взора, а также зрительных путей, проходящих в составе задней ножки внутренней капсулы, и, возможно, полюса затылочных долей (места проекции на зрительную кору желтого пятна сетчатки) происходит за счет ветвей средних мозговых артерий. В связи с этим нарушения кровообращения в вертебрально-базилярной системе и в средней мозговой артерии может стать причиной нарушения функций как зрительной, так и глазодвигательной систем.
Ознакомьтесь с Условиями пребывания на сайте Форнит Игнорирование означет безусловное согласие. СОГЛАСЕН
Зрительная кора
Первичная зрительная кора
Первичная зрительная кора лежит в области шпорной борозды, распространяясь вперед от полюса затылка по медиальной стороне каждой затылочной доли. Эта область является конечной станцией для прямых зрительных сигналов от глаз. Сигналы от области макулы сетчатки заканчиваются в районе полюса затылка, тогда как сигналы от периферических частей сетчатки заканчиваются внутри или около концентрических полукругов, расположенных впереди от полюса вдоль шпорной борозды на медиальной стороне затылочной доли. Верхняя часть сетчатки представлена сверху, а нижняя — снизу.
Макула представлена особенно большим участком первичной зрительной коры. Именно к этой области приходят сигналы от центральной ямки сетчатки, ответственной за наибольшую степень остроты зрения. В общей зоне представительства сетчатки в первичной зрительной коре центральная ямка занимает пространство в несколько сотен раз больше, чем периферические части сетчатки.
Как почти все другие области коры большого мозга, первичная зрительная кора состоит из шести отдельных слоев. Так же, как и в других сенсорных системах, геникулокалка-риновые волокна заканчиваются в слое IV. Но этот слой также имеет подслои. Быстропроводящие сигналы от ганглиозных Y-клеток сетчатки входят в слой IV и отсюда передаются вертикально как вверх — к поверхности коры, так и вниз — к более глубоким уровням.
Зрительные сигналы от средних по размеру волокон зрительного нерва, исходящих из ганглиозных Х-клеток сетчатки, также заканчиваются в слое IV, но в других его местах (по сравнению с сигналами Y-клеток): в слоях IVa и IVcp, являющихся самой поверхностной и самой глубокой частями слоя IV. Отсюда эти сигналы тоже проводятся вертикально как к поверхности коры, так и к более глубоким ее слоям. Именно эти пути от ганглиозных Х-клеток передают зрительные сигналы точно, «точка-в-точку», а также отвечают за цветовое зрение.
Вертикальные колонки нейрон ов в зрительной коре
Зрительная кора структурно состоит из нескольких миллионов вертикальных колонок нервных клеток, причем каждая колонка имеет диаметр 30-50 мкм. Такая же организация из вертикальных колонок обнаружена повсюду в мозговой коре, во всех ее регионах — сенсорных, моторных и аналитических. Каждая колонка представляет собой функциональную единицу. Грубый подсчет показывает, что каждая зрительная вертикальная колонка содержит, вероятно, 1000 или более нейрон ов.
После поступления зрительных сигналов в слой IV осуществляется их обработка по мере того, как они распространяются вверх и вниз вдоль каждой вертикальной колонки. Полагают, что в процессе этой обработки происходит раскодирование отдельных бит зрительной информации на последовательных станциях переключения вдоль этого пути. Сигналы, проходящие вверх, к слоям I, II и III, в результате распространяются лишь на небольшое расстояние латерал ьно по коре. Наоборот, сигналы, идущие вниз, к слоям V и VI, возбуждают нейрон ы, которые проводят сигналы на более значительные расстояния.
Цветовые шарики в зрительной коре
Среди колонок первичной зрительной коры, как и среди колонок некоторых областей вторичной зрительной коры, рассеяны особые, похожие на колонки области, называемые цветовыми шариками. Они получают латерал ьные сигналы от прилежащих зрительных колонок и специфически активируются цветовыми сигналами. Считается, что эти шарики являются первичными областями раскодирования цвета.
Вторичные зрительные области
Вторичные зрительные области, называемые также зрительными ассоциативными зонами, лежат латерал ьно, впереди, выше и ниже по отношению к первичной зрительной коре. Кроме того, большая часть этих областей накладывается на латерал ьные поверхности затылочной и теменной коры в виде складок, направленных наружу. В эти области проводятся вторичные зрительные сигналы для анализа их значения. Например, со всех сторон вокруг первичной зрительной коры находится поле Бродмана 18, куда направляются практически все сигналы от первичной зрительной коры. Поле Бродмана 18 называют зрительной областью II, или просто V2. Другие, более отдаленные вторичные зрительные области имеют специфические обозначения V3, V4 и т.д. (более дюжины областей). Значение всех этих областей заключается в постепенном выявлении и анализе различных аспектов зрительного образа.
Источник: Строение первичной зрительной коры
Дата создания: 27.10.2020
Последнее редактирование: 03.11.2020
Чтобы оставить комментарии нужно авторизоваться: Авторизация пользователя
Зрительные отделы головного мозга
Зрительная кора (англ. visual cortex ) является частью коры больших полушарий головного мозга, отвечающая за обработку зрительной информации. Главным образом она сосредоточена в затылочной доле каждого из полушарий головного мозга [4] .
Оппонентно выделенные самые яркие сигналы видимых лучей света S,M,L — RGB (не в цвете), сфокусированных предметных точек на экстерорецепторы колбочки сетчатки глаза (рецепторный уровень), по зрительным нервам пересылаются сюда, в зрительную кору. Здесь формируется бинокулярное (стерео) цветное оптическое изображение (нейронный уровень). Впервые, субъективно мы ощущаем цвет, который является лично нашим. (При определении цвета методом колориметрии цвет оценивается данными среднестатистического наблюдателя большой группы здоровых людей)
Понятие зрительная кора включает первичную зрительную кору (также называемую стриарной корой или зрительной зоной V1) и экстрастриарную зрительную кору — зоны V2, V3, V4, и V5. (См. о зонах V2, V3, V4, и V5 в статье Зрительная кора)
Первичная зрительная кора анатомически эквивалентна полю Бродмана 17, или BA17. Экстрастриарная зрительная кора включает [4] .
Содержание
Введение

Рис.4,Схема цветного зрения с точки зрения трёхкомпонентной теории
Зрительные отделы головного мозга — восприятие цвета и света, получение оптического изображения в коре головного мозга — второй, окончательный этап работы зрительной системы образования оптического видения в зрительных отделах головного мозга (см. рис.3,4).
Даже на начальном этапе визуального восприятия света и цвета в визуальной системе, в пределах сетчатки, проходя через начальные цветные механизмы «противника».

Рис.3a. Оптические тракты после встречи сигналов от правого и левого глаза в слои коленчатого тела
Известно, что механизмы противника обращаются к противостоящему цветовому эффекту красно-зелёных, синих-жёлтых и чёрно-белых цветов. (См.Теория оппонентного цветного зрения). При этом визуальная информация возвращается назад через зрительный нерв к оптическому перекрёстку, где два оптических нерва встречаются и информация от временных (контралатеральных) визуальных полевых перекрёстков до противоположной стороны мозга. После оптического перекрёстка зрительные тракты нервного волокна упоминаются как оптические тракты , которые входят в таламус en:Thalamus через синапс в боковом латеральном коленчатом теле (ЛКТ). ЛКТ является отдельным отделом головного мозга из шести слоёв: два магноцеллюлярных (большая клетка) бесцветные слои (М. клеток) и четырёх parvocellular (маленькая клетка) цветных слоёв (P клетки). В пределах слоев P-клетки ЛКТ есть два цветных типа противника: красного против зелёного и синего против жёлтого (зелёного/красного).
После синапсиса в ЛКТ, визуальные тракты продвигается назад к первичной зрительной коре (ПВК-V1), расположенной позади мозга в пределах затылочной доле. В пределах V1 слоя наружного коленчатого тела есть отличная полоса (бороздчатость). Это также упоминается «как полосатая кора», с другими корковыми визуальными областями, упомянутыми все вместе как «extrastriate кора». На данном этапе цветная обработка становится намного более сложной.
Первичная зрительная кора (VI)
Рис.4. Мозг человека.
Красным цветом обозначена первичная зрительная кора (зрительная зона V1)

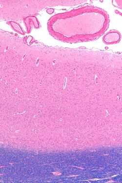
Рис.5.Микрофотография показывает зрительную кору (розовый цвет). В pia mater и паукообразные в том числе кровеносные сосуды видны в верхней части изображения. Подкорковое белое вещество (синий) - это видно в нижней части изображения. ОН-LFB пятно..
Первичная зрительная кора — наиболее изученная зрительная зона мозга. Исследования показали, что у млекопитающих она занимает задний полюс затылочной доли каждого полушария (эти доли ответственны за обработку зрительных стимулов). Это наиболее просто устроенная [6] и филогенетически более «старая» из кортикальных зон, связанных со зрением. Она приспособлена для обработки информации о статических и движущихся объектах, в особенности, для распознавания простых образов .
Слой IV (внутренний зернистый слой [7] ), к которому подходит наибольшее количество латеральных коленчатых тел (ЛКТ), в свою очередь, подразделяется на четыре подслоя, обозначаемых IVA, IVB, IVCα и IVCβ. Нервные клетки подслоя IVCα, в основном, получают сигналы, идущие от нейронов магноцеллюлярных («крупноклеточных», [8] («магноцеллюлярный зрительный путь»), подслоя IVCβ — от нейронов парвоцеллюлярных («мелкоклеточных», [8] («парвоцеллюлярный зрительный путь»).
Полагают, что среднее число нейронов первичной зрительной коры взрослого человека составляет около 140 миллионов в каждом полушарии [9] .
Функция
Рис.К. Полоса 6 — первичная зрительная кора (также называемую стриарной корой или зрительной зоной V1. Схема диаграммы P-клеткок нейронв, расположенных в пределах parvocellular слоев коленчатого ядра (LGN) таламуса
Первичная зрительная кора (V1) имеет очень четкие карты пространственной информации при зрении. Например, у людей верхняя половина области calcarine ("шпоры") трещины отвечает на поступающие зрительные сигналы сильно. От нижней половины поля зрения области calcarine поток идёт в верхнюю половину поля зрения. Концептуально, это (retinotopic) или это отображение визуальной информации от сетчатки, нейронов, особенно визуального потока нейронов. Так происходит картирование — трансформация визуального оптического изображения от сетчатки в зону V1.
Соответствие данного расположения в зоне V1 и в субъективном поле зрения — это соотносится очень точно: даже слепые пятна сетчатки сопоставляются с зоной данными в V1. С точки зрения эволюции, эта переалресация очень просто происходит у самых животных, которые обладают зоной V1. У животных и человека с fovea (центра макулы — жёлтого пятна) в сетчатке, большая часть зоны V1 сопоставляется с небольшой Центральной частью поля зрения. Явление, известное как корковые увеличения. Возможно, с целью точного пространственного кодирования, нейроны в V1, имеют наименьшие рецептивное поле размеров любой зрительной коры или микроскопические участки.
Настройка свойств нейронов зоны V1 (реакции нейронов) отличаются значительно с течением времени. В начале времени (40 мс и далее) время настройки отдельных нейронов V1 имеют сильные (тюнинг) характеристики воздействия небольшого набора стимулов. То есть ответы неёронов могут различаться небольшими изменениям в зрительной ориентации пространственных частот и цвета. Более того, отдельные нейроны человека и животных зоны V1 бинокулярного зрения у глазной системы, а именно : настройка одного из двух глаз. В зоне V1 и первичной сенсорной коре головного мозга в целом, нейроны с аналогичными настройки свойств имеют тенденцию объединяться в виде корковых столбцов. Дэвид Hubel и Торстен Визель предложены классические "кубики льда" — модель организации корковых столбцов для настройки двух свойств: глазных доминирований и ориентации. Однако эта модель не может вместить цвет, пространственную частоту и много других возможностей, которые настраивают нейроны [цитата]. Точная организация всех этих корковых столбцов в зоне V1 остается горячей темой настоящего исследования.
Текущий консенсус таков, что кажется, ответы работы нейронов зоны V1 состоят из плиточной структуры, которые представляют селективные пространственно-временные фильтры. Функционирование зоны V1 в пространственной области можно рассматривать как аналог множества пространственно-местных — комплекс Преобразования Фурье или ,точнее, трансформирование Габора. Теоретически эти фильтры вместе могут осуществлять обработку нейронов пространственной частоты, ориентацию, движение, направление, скорость (временной частоты), и многие другие пространственно-временные характеристики. Требуются эксперименты нейронов для обоснования этих теории, но постановку новых вопросв.
Визуальная информация передана зоне V1 не закодирована в терминах пространственной (или оптический) съемки, но, скорее это — локальный контраст. Например, для изображения, состоящего наполовину со стороной черного и половины стороны с белым цветом, разрыв строки между черным и белым представляет сильные местные контрасты и кодируется, и в то же время в виде нескольких нейронов кода информация о яркости (черный или белый per se). В качестве информации дальнейшей ретрансляции в последующие зрительные зоны, в ней закодированы также все нелокальные частоты, фазы сигналов. Главное, что на таких ранних этапах корковой визуальной обработки, пространственное расположение визуальной информации хорошо сохранилось на фоне локального контраста кодирования. [10]
Читайте также:
- Методика проведения лапароскопии.
- Нарушение синтеза АТФ при алкоголизме. Механизмы нарушения синтеза АТФ
- Сигнальные последовательности связывания белков с эндоплазматическим ретикулумом (ЭПР)
- Гормональные нарушения и развитие атеросклероза. Подагра, наследственность в развитии атеросклероза.
- Направление ревизии брюшной полости. Цели ревизии брюшной полости.
