Портал Mz-Don
МЕНЮ
Контакты
Статьи
Блог
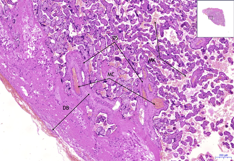
Некробиоз децидуальная ткань что это такое - фото презентация
Добавил пользователь
Евгений Кузнецов
Обновлено: 17.12.2025
Читайте также:
Какой крем против грибка стопы самый эффективный
Пиона уклоняющегося настойка от прыщей
Бинты для обертывания от целлюлита