Портал Mz-Don
МЕНЮ
Контакты
Статьи
Блог
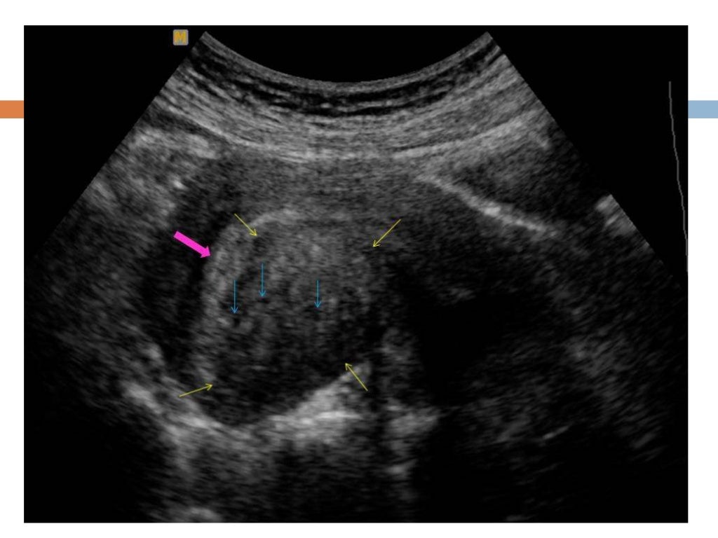
Фиброма матки узи картина - фото презентация
Добавил пользователь
Владимир З.
Обновлено: 15.12.2025
Читайте также:
Какая норма задержки месячных без беременности
Как лесной орех влияет на потенцию
Елена малышева как облегчить климакс