Портал Mz-Don
МЕНЮ
Контакты
Статьи
Блог
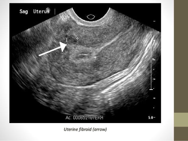
Фибромиома матки что это такое узи - фото презентация
Добавил пользователь
Алексей Ф.
Обновлено: 14.12.2025
Читайте также:
Сколько может прожить человек болеющий вич и гепатитом в
Применение фуразолидона при простатите
Сколько не мочиться перед мазком на зппп