Портал Mz-Don
МЕНЮ
Контакты
Статьи
Блог
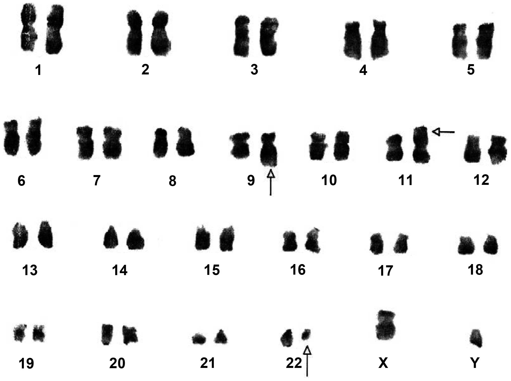
Инверсия 9 хромосомы и бесплодие - фото презентация
Добавил пользователь
Алексей Ф.
Обновлено: 13.12.2025
Читайте также:
Какие приправы влияют на потенцию
От рака простаты может защитить
Можно ли принимать интерферон при вич