Портал Mz-Don
МЕНЮ
Контакты
Статьи
Блог
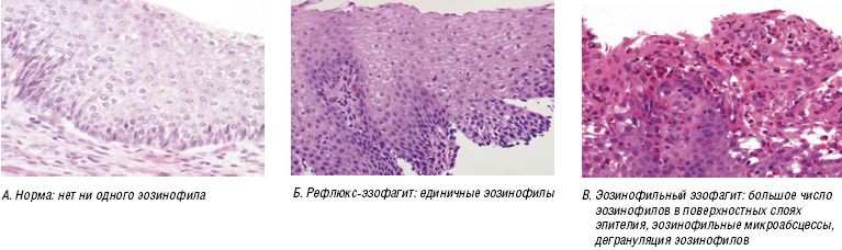
Кандидоз пищевода микропрепарат - фото презентация
Добавил пользователь
Alex
Обновлено: 13.12.2025
Читайте также:
Когда лучше заниматься любовью до месячных или после
Можно ли колоть бусерелин при кисте яичника
Креатин и рак яичек