Портал Mz-Don
МЕНЮ
Контакты
Статьи
Блог
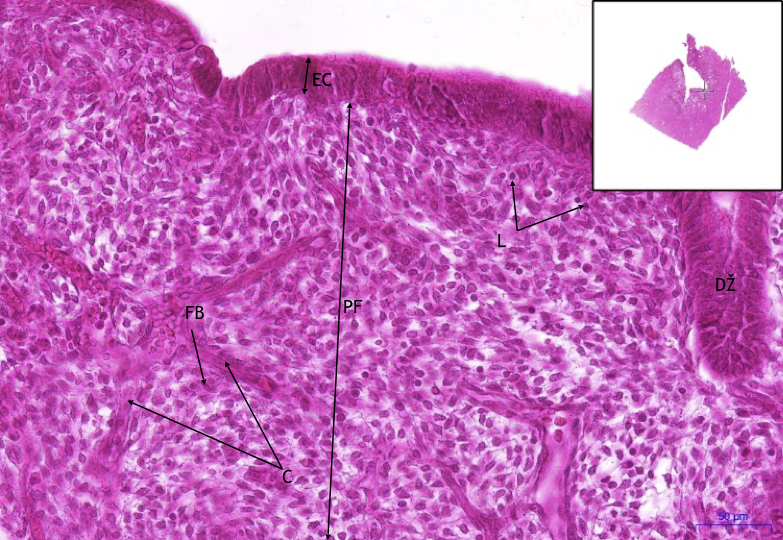
Рак шейки матки colli uteri in situ - фото презентация
Добавил пользователь
Алексей Ф.
Обновлено: 15.12.2025
Читайте также:
Как бананы влияют на потенцию у мужчин
Как правильно при цистите делать ванночки с ромашкой
Когда у шиншиллы месячные