Портал Mz-Don
МЕНЮ
Контакты
Статьи
Блог
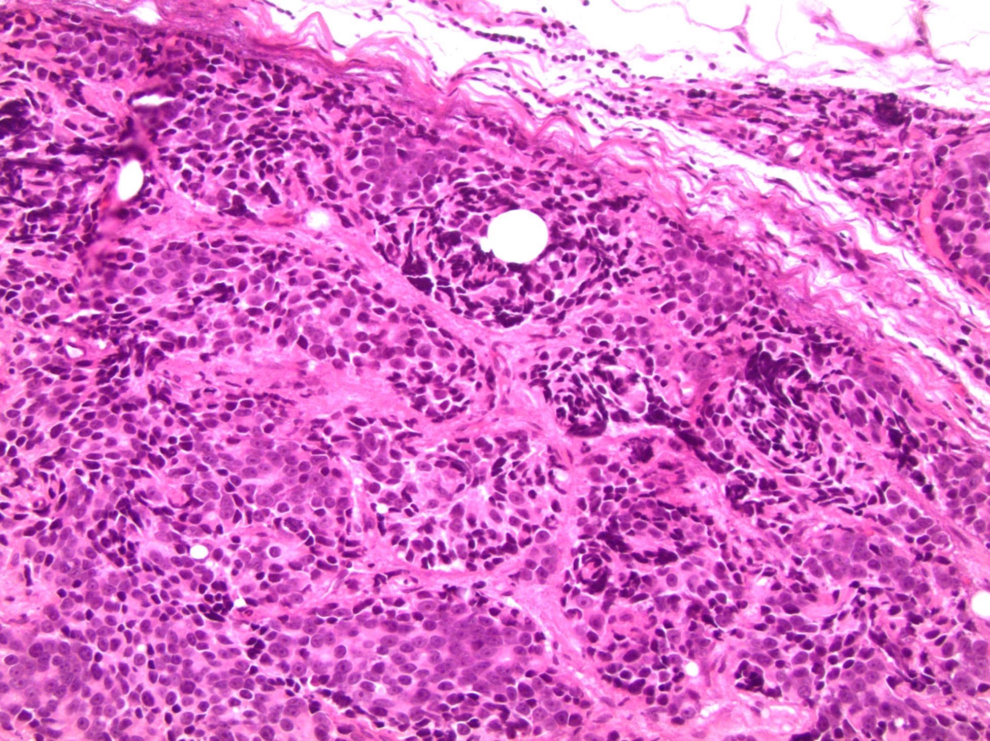
Виноградные косточки и рак простаты - фото презентация
Добавил пользователь
Владимир З.
Обновлено: 14.12.2025
Читайте также:
Муж ушел от бесплодной жены
Лечение простатита и аденомы простаты продуктами пчеловодства
Что делать если простужена простата