Операция по удалению инородного тела с челюсти
Клинический случай удаления инородного тела из нижнечелюстного канала.
Пациентка 29 лет, обратилась в клинику, в декабре 2003года, с жалобами на сильные, непрекращающиеся, самопроизвольные боли и онемение, в области нижней челюсти и нижней губы справа, в течении 2х месяцев.
Объективно:
Общее состояние удовлетворительное, лимфоузлы не увеличены.
Пациентка отмечает онемение в области нижней губы и подбородка справа, а так же 41,42,43 зубов, с прилегающим к ним слизистой и десневым краем, с вестибулярной стороны. При прикосновении к нижней губе, в области онемения, возникает резкая боль, с иррадиацией в нижнюю челюсть справа.
Открывание рта в полном объёме, слизистая бледно-розового цвета, без видимых патологических изменений. Лунка 47зуба, эпителизирована.
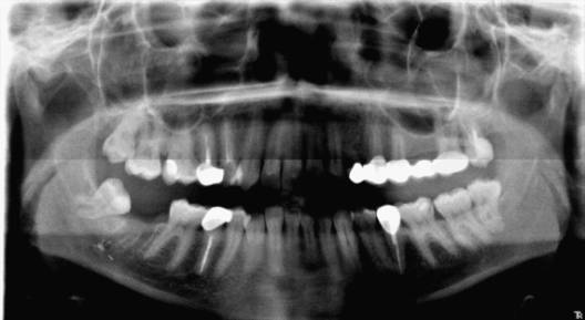
На ОРТПГ и RVG, в области отсутствующего 47зуба, наблюдается инородное тело, рентгеноконтрастное, с чёткими границами, неопределённой формы, размером 0,5/0,5 см (предположительно пломбировочный материал), находящееся в проекции нижнечелюстного канала, в области верхушки дистального корня, раннее удалённого 47зуба.
Диагноз:
Невралгия тройничного нерва III ветви справа, инородное тело нижней челюсти справа.
Учитывая психосоматическое состояние пациентки, была немедленно проведена операция по удалению инородного тела.
Протокол операции:
Под местной анестезией Sol.Ultracaini DS 2,5 ml, сделан разрез по переходной складке, в проекции 46, 47,48 зубов, отслоен и мобилизован слизисто-надкостничный лоскут. Сделано перфорационное отверстие в проекции верхушек корней 47зуба, размером 1.8/1.0 см, с удалением наружного кортикального и части губчатого слоя. Обнаружено наличие кусочков пломбировочного материала, при прикосновении к которым, наблюдалось свободное продвижение их по самому нижнечелюстному каналу, что в свою очередь затруднило извлечение данного пломбировочного материала. Тем не менее, под контролем микроскопа, были удалены все кусочки материала, без повреждения сосудисто-нервного пучка. Полость кости орошена изотоническим раствором, заложена гемостатическая губка, рана ушита Викрилом.
На следующий же день, при осмотре, пациентка отмечала значительное улучшение состояния, боли отсутствуют, но онемение сохранялось.
Через 7 суток, швы сняты. Т.к. пациентка приезжая, она была направлена под наблюдение врача-невропатолога по месту жительства.
Спустя 3 недели на контрольном осмотре, было отмечено значительное уменьшение зоны онемения и практически полное отсутствие самопроизвольных болей.
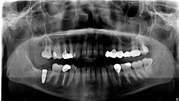
На контрольной рентгенограмме, в области раннее установленного имплантата, спустя более года, патологий не наблюдается. Пациентка не предъявляет жалоб.
Выводы:
Причиной данного заболевания пациентки (невралгия тройничного нерва III ветви справа) стал пломбировочный материал, выведенный в нижнечелюстной канал, при эндодонтическом лечении 47зуба, оказав механическое и химическое воздействие на сосудисто-нервный пучок. Несмотря на сложность и трудоёмкость операции, только удаление самой причины(инородного тела) помогло пациентке вернуться к здоровому образу жизни.
Данное прошедшее заболевание и проведённая операция, не явились противопоказанием, для полноценной ортопедической реабилитации при концевом дефекте, с помощью имплантации.
Был у меня зуб, нежный и чувствительный, с небольшой пломбой.
Чувствительность была невелика, но несколько раздражала при накусывании, по этой причине я обратилась в муниципальную стоматологию с целью удалить каналы из зуба. Каналы были удалены и по идее на этом истории хорошо бы закончится, но- чувствительность к сожалению осталась. Обратилась в поликлинику еще раз, врача заменили на другого, каналы раскрыли и положили туда лекарство под названием:

С ним я отходила 25 дней. Ситуация с чувствительностью не изменилась. После этого врач якобы заполнил каналы Каласптом и тут началось самое интересное. Выходя от врача я поняла что у меня не закрывается глаз, со стороны пролеченого зуба. Ну ничего, наверное пройдет. Прошло. Но осталось онемение части лица со стороны зуба. Ну ничего, последствия анестезии, всякое бывает, подождем. Подождала.
И тут началось странное. При обращении к дежурному врачу с жалобами на боль и онемение половины лица не проходящее в течение недели, мне было сообщено что это последствие анестезии и онемение может сохраняться до полугода (. ) и нужно сидеть на жопе ровно и ждать. Что-то мне в этом диагнозе не понравилось и был сделан панорамный снимок на котором обнаружился новогодний сюрприз:

Заложеный в каналы Каласепт (и не только в каналы, хе-хе) внезапно оказался весьма рентгеноконтрастным, удобно расположился вокруг нервов и начал обустраиваться на новом месте, даря незабываемые ощущения и постоянные головные боли.
Обратилась к частную клинику к челюстно-лицевому хирургу, вердикт один- извлекать. Под общим наркозом.

Вопросов много, печали тоже, особенно обидно то что зуб не был запущен, но в итоге превратился в памятник различным стоматологическим манипуляциям.
Есть ли во всем этом вина специалиста пробившего каналы и есть ли вероятность того что он поможет компенсировать все эти неурядицы?
![]()
С администрацией поликлиники на эту тему уже разговаривали? Здесь нет вопросов удобства для других участников ситуации, приоритет - исключительно ваше здоровье. Есть медики, достойные уважения, а есть те, кто свои косяки замалчивает, плюя на пациентов. Удивляюсь, почему не обратились к руководству сразу за решением проблемы.
Извлекать и не ждать, все может закончиться кистой гнойной
В 2019 удалил зуб, который был пролечен в 2007 г.: каналы прочешены и запломбированы. Почему удалил: зуб стал крошиться, пошел менять пломбу. Врач сделал КТ и сказал что только удалять, т.к. в канале остался обломок иголки для прочистки канала, с выходом за край корня (с 2007). Там где эта иголка торчала, всё это время под корнями росла киста. И по словам врача, была частично этим воспалением съедена костная ткань челюсти, мол ещё чуток и она б сломалась.
Вот так вот я полечил зуб в 2007!)
я обратилась в муниципальную стоматологию с целью удалить каналы из зуба. Каналы были удалены
Это же государственная.
"Доктор сказал удалить каналы - значит, удаляем каналы. Сестра, держите этого!"
Так и есть, сидят.
Как жить с шиной при переломе челюсти

(как я в первый раз чуть не попрощалась с зубами)
Многие рассказы начинаются так: подрался с мужиками по пьяни, сломали челюсть.
Мой случай произошел дома во время уборки. Упала прямо на подбородок с высоты (не знаю, где находились мои руки в этот момент).
Сильнейший удар нижнего зубного ряда по верхнему. Шок.
Думала, когда открою рот, вывалятся все зубы. Но нет – все уцелели.
На рентгене все выглядело неубедительно, слои накладывались на слои, четкой линии разлома не видно. Не верю!
Стала искать, где срочно сделать томографию. КТ не нашла (а нужна была именно она), сделала МРТ. Подтвердили, что перелом. Собрала вещи и всю решительность, поехала сдаваться в больницу (к тому времени было уже часов 8 вечера).
3 часа в приемном отделении, новые рентгены, ожидание каких-то бумаг, заполнение каких-то бумаг. Обычная больница, дело к ночи, кто с чем поступает: мимо, например, провозят окровавленного бомжа, который всю дорогу пытается встать и сбежать… Романтика.
Неужели нужна операция? Как выглядят эти шины, как с ними жить? У меня же работа.
Где-то в 11 вечера я попала в отделение и заселилась в палату. Там все уже спали, темно, я переоделась и пошла на разведку к медсестрам.
Лежу в темноте жду, переписываюсь с родными. Прошла целая жизнь, а по факту часа два. Пошла на пост, смотрю, а там уже свет выключен и не видно никого. Они все спят? И чего я жду?
Потом кто-то мне говорил, что эти шины изготавливают специально, поэтому пришлось ждать. Может и правда.
Шинирование
(как я во второй раз чуть не попрощалась с зубами)
Рядом с креслом в плевательнице (или как там ее) заметила кусочки железной проволоки с розовенькими такими милыми каплями крови, одновременно с этим увидела занесенный к противоположной от перелома стороне шприц с обезболивающим (значит что-то страшное будет).
Я старалась не слушать грохот железных штучек рядом с собой на подносе (или как там его) и не задумываться об их количестве.
– Все, можете идти – сказала железная леди. Я попробовала двинуть зубами, приоткрыть рот, испытала боль и зашепелявила.
– Вы слишком сильно стянули. Рот не открывается совсем.
– Он и не откроется - искренне улыбнулась врач.
– А как же я буду пить?
– Так. Сквозь зубы – еще больше развеселилась она – И если будете хорошо ухаживать за зубами, может быть с ними и будет все в порядке – интригующе произнесла она и позвала следующего.
Оставшуюся ночь я лежала и думала, как теперь есть? Они ведь будут снимать эти резинки, чтобы просунуть трубочку с едой между челюстями? То есть каждый прием пищи их нужно снимать и одевать, а как потом самой это делать? Зубы болели, десны ныли – спать конечно же невозможно. Про перелом я вообще старалась не думать, вспоминая, как сильно мне пришлось открыть рот в процессе шинирования. Я вставала, подходила на пост к медсестрам, спрашивала про ту женщину-врача, пыталась объяснить, что перестарались, слишком сильно сцепили зубы - челюсть находится в постоянном напряжении, в некоторых местах шина давит на десну так, что к утру, наверное, будет некроз. Медсестры привыкшим автоматом отвечали – врач не вернется, все нормально, у всех давит сначала.
Наступило утро, дальше все пошло, как везде – анализы, уколы и пр.
Я наконец-то подошла к зеркалу и не узнала себя. Выглядела бомжевато: синяки под глазами, свалявшиеся волосы и … капли засохшей крови вокруг рта, как будто я загрызла кого-то ночью))) И в таком вот виде я уже походила по отделению и сходила на кардиограмму)))
Многие так же, как и я, разговаривали через стиснутые зубы, в основном мужчины. Девушек с шинами я не встречала. Очень смешно выглядели очереди на укол или рентген – ряд парней и я среди них)). Вроде я взрослый человек и все понимаю, но чувство юмора при стрессе соединяет образы больничного антуража, пижам, треников и нашей специфической речи в ощущение дурки. Главным образом жутко становится, когда слышишь собственную ущербную речь (к слову, получалось у меня гораздо хуже, чем у других), и когда кто-то начинает переспрашивать, есть только одно желание – поскорее свернуть разговор. Про работу, конечно же, на месяц можно забыть.

Есть через зубы
Вода дырочку всегда найдет, и если ты хочешь есть, умей вертеться.
Время моего голодания переваливало за сутки, т.к. при попытках поесть мне казалось, что надо мной издеваются. Как можно тянуть жидкую пищу через трубочку, когда от каждого этого движения зубы начинают ныть еще больше?
Некоторая еда была жидкой, но с мелкими кусочками гречки, которые на раз-два-три забивали все, что возможно. Итого раз-два-три цедишь, раз-два-три-четыре прополаскиваешь водой – и так по кругу.
Врач из приемного не обманул: ровно через два дня (которые казались неделей) боль и сильное ощущение стянутости ушли. К еде приноровилась, но про то, чтобы наесться до сыта, можно было забыть. Попробовав разные варианты, нашла место в зубном ряду, где зубы меньше всего смыкаются. Так и ела.
Выписали меня с талончиком явиться через 10 дней. Выходя из отделения, я заметила на стене плакат, разъясняющий, как ухаживать за зубами:
1. нужно чистить после каждого приема пищи (чистка получается условная, т.к. через резинки к зубам почти не добраться)
2. ирригатор (уже мечтала о нем)
4. полоскать антисептиками, но не увлекаться, т.к. от хлоргексидина, например, темнеют зубы.
Что. Вы бы хоть ткнули пальцем в этот плакат раньше! За четыре дня действительно казалось, что зубы потемнели.

Блендер и ирригатор
Два предмета, которые обязательно нужны – это блендер, чтобы крошить еду, и ирригатор, чтобы потом эту еду вымывать из-под резинок и шин. Иногда мне даже снился этот процесс, т.к. или одно или другое происходило постоянно. Трубочки 5 мм пришлось найти оптом, большую пачку. Ну еще гигиеническая помада, т.к. язык губы увидит еще не скоро.
Ела детское фруктовое пюре, каши, овощи (добавляя сливочное масло для сытности), супы, иногда незажаренный омлет (провернутый с молоком).
Открытием и любимой отдушиной для меня стал коктейль из банана и молока 1/1 (теперь любовь навеки к этому напитку). В общей сложности получалось, что я выпивала в день пол-литра молока, т.к. много что разбавляла им. В моем случае все приходилось разбавлять до консистенции воды, если гуще – не проходило.
Тщетно пыталась разнообразить блюда, например, подкинуть плову себе в пюре, что было бесполезно, т.к. пловик плохо размельчался и застревал сразу при питье.
Про запас всегда стояли бутылочки с энтеропитанием (такие пищевые смеси, где есть много белков и прочего для таких как мы) – очень сытно.
Пила прописанные мне растворимые витамины и кальций, хотя говорят, что кальция в еде и так достаточно – нужен витамин Д, чтобы кальций усваивался.
Что до шин - сначала была небольшая фобия закашляться или поперхнуться. Потом я поняла, что при питании через трубочку еда в любом случае доставляется медленно и в малых количествах. Да и резинки, если что, можно разрезать. Чихнула я вообще только недели через две – ничего страшного не произошло.
Люди рассказывают, что больше всего в это период их занимают мысли о еде. Меня сильнее всех других моментов убивал налет с внутренней стороны зубов, к которым никак не подобраться. Антисептики безусловно дают ощущение чистоты. Но язык-то постоянно нащупывает зубы - и вот об этом я думала постоянно, и даже всячески пыталась растворить этот налет, полоща содой или лимонным соком – бесполезно. Говорят, межзубной ершик помогает, но я об этом слишком поздно узнала.
Два раза я ездила в больницу, чтобы мне поменяли резинки, и один раз, когда одна из резинок порвалась. Забавно, что с каждым разом, как мне их меняли, я начинала все хуже и хуже говорить. Не получается у меня так хорошо, как у всех. Все дело в том, что речь в нашем случае – это выход воздуха через межзубные щели, и видимо мне перекрывали самые важные из них. Под конец родные перестали пытаться меня понимать.
По отзывам знала, что процесс снятия шин сложный. У людей после снятия глаза еще более потухшие, чем после установки.
Весь процесс у меня занял минут десять. Терпимо, скорее 99% – это страх за зубы, что они расколются от напряжения, нежели боль.
Челюсть без шин не зафиксирована, побаливает при движении, нужно аккуратно разрабатывать.
Зубы не шатаются, но ослабли из-за долгого бездействия, нажимать на них пока неприятно. Нужно потихоньку пробовать жевать (но не кусать).
Есть ощущение неправильного прикуса – молюсь, чтобы прошло.
Сказали, что за месяц должно все прийти в норму.
Не понятно, почему пациенты информацию узнают не от врачей, а друг от друга, шипя своими шинами в коридорах. Ведь человек в сложной ситуации часто замыкается в себе, не готов сформулировать правильные важные вопросы. Получается, что он остается с ними один на один. Хоть бы памятку со всем необходимым выдавали при поступлении, раз общаться неохота. Интернет – вот лучший источник информации на сегодня.
Написала эту кучу текста, т.к. сама живу в мск, а многие – в 100-тысячных городах, где одна больница на всю округу, а специализированые вообще в соседнем городе, и КТ сделать – это ползарплаты. Когда читала, как они мыкаются с вопросами, не по себе стало.
Если вы дочитали это до конца – вы герой, не только потому, что нашли время, а потому что скорее всего вы носили или носите сейчас шины.
Как сказала одна девочка с переломом: Все что нас не убивает, пусть больше не пытается.
Двухчелюстная операция, гениопластика и ринопластика — именно к этим хирургическим вмешательствам обратилась читательница Cosmo. Почему девушка решилась на это и как выбрала врача, что стоит знать о постоперационном периоде и на какие моменты стоит обратить внимание — узнай из ее личной истории.
Мой путь к подобным изменениям во внешности начался еще в 2010 году, когда я первый раз поставила брекеты. На тот момент об ортогнатических операциях (иными словами, о хирургическом воздействии на челюсть) знали, мне кажется, только самые профессиональные стоматологи-ортодонты, к которым мой ортодонт, к сожалению, не относился. В итоге – минус 2 верхних зуба. Да, зубы стали прямыми, но прикус как был странным, таким и остался. Это только потом я узнала такие слова, как дистальный и мезиальный, но это случилось сильно позже. Об этом расскажу подробнее.
В 2015 году я начала задумываться над тем, что мой профиль, мягко говоря, далек от идеала и сделать ринопластику было бы совсем неплохо. В профиль нос предательски торчал впереди челюсти, и мне это не нравилось. Я стала прикидывать стоимость операции и наткнулась на форум о пластической хирургии, где заметила ветку о гениопластике (то есть костном перемещении подбородка), изучила и подумала, что, возможно, это как раз мой случай. Я зарегистрировалась, написала в поддержку хирургов, чтобы они подсказали, что мне лучше сделать — нос или подбородок. И тут на удивление мне пришли ответы от нескольких хирургов, они единогласно рекомендовали для начала поправить прикус.
Затем я еще пару недель изучала информацию в интернете на тему операций на челюстях. Всем, кто задумывается о подобных вмешательствах, крайне рекомендую изучить страницы ветки про остеотомию. Там есть несколько крайне интересных историй как с хорошим результатом, так и с не самыми удачными вариантами развития событий, которые, к сожалению, также имеют место быть.
Для меня было важно, чтобы ортодонт умел работать с такими, как я. Что я имею в виду? Мой прикус был дистальным: нижняя челюсть меньше верхней и уходит назад. От этого в профиль получаешь эффект скошенного подбородка и так называемое птичье лицо. Мы, дистальщики, почти всегда на фотографиях выдвигаем челюсть вперед, чтобы на фото получалось немного гармоничнее. Мезиальный прикус — нижняя челюсть выдвинута сильно вперед. Яркий пример – Ксения Собчак.
Подобные операции можно делать бесплатно – по квоте, так как это считается аномалией и подходит под статью ВМП (высшая медицинская помощь). Но (!) у топ-хирургов, фамилии которых я указала, очередь на операции по квоте не менее двух лет. У остальных в МГМСУ очередь поменьше, но, к сожалению, найти о них отзывы в интернете довольно проблематично, поэтому я не рискнула обращаться к ним.
У меня все усугублялось проблемами с суставом, которые выявились после МРТ. Я какое-то время на брекеты надевала еще окклюзионную каппу, которая ставит на место сустав.
Кстати, хирург может посоветовать ортодонта, с которым он часто работает в паре, а ортодонт, разумеется, может посоветовать хирурга. Но никто ни на чем не настаивает обычно.
- Шок. Да, ты смотрел видео на YouTube подобных историй, ожидал чего-то подобного, но, конечно, не такого. Лицо все онемело и совсем не двигается. Даже жидкое не знаешь, как пить. Сходить в уборную не то что проблема — проблемище (!).
- Хочется рыдать от того, как тебе плохо после операции. Но, конечно, вариантов нет — уже ничего не исправить, так что ты просто лежишь и терпишь.
- Спать очень тяжело. Мне было еще тяжелее, так как рот почти не открывался, а нос не дышал. Кислорода крайне мало, поэтому спишь по полчаса, просыпаешься – и всё по кругу.
На второй день приезжает хирург и вселяет немного уверенности, что всё будет хорошо. На четвертый день тебя выписывают.
Дом есть дом, в нем автоматически становится лучше. Пьешь горсть таблеток несколько раз в день, что крайне сложно, так как, повторюсь, рот практически не открывается.
Из еды — только жидкое: бульон, йогурт, детские каши до 6 месяцев, разбавленные водой. И мой личный лайфхак – шоколадное молоко, которое делало жизнь чуточку приятнее.
Что касается сна, то первую неделю его практически нет. Те, кто делают подобные операции без ринопластики, с такой проблемой не сталкиваются, так как нос у них дышит.
Первые 10 дней действительно очень тяжело. Потом с каждым днем все лучше и лучше. На пятый день из носа вытаскивают распорки (специальные пластмассовые трубочки), и он начинает дышать. К десятому дню ты уже привыкаешь ничего не есть и приспосабливаешься. Кстати, за месяц восстановления, когда ты ничего не ешь, худеешь примерно на 5-10 кг (в зависимости от начального веса). У меня ушло 6 килограммов, чему я была безмерно рада.
Важно уделить особое внимание физическим ощущениям и моральному состоянию. О физических ощущениях: у тебя полностью онемевшая нижняя часть лица, причем как снаружи, так и внутри. Не день, не два, а несколько месяцев. Челюсть как будто не твоя. Восстановление чувствительности — самый медленный процесс, так как по сути тебе перерезали все нервные окончания.
Каждый день ты должен снимать специальные резинки, которые держат челюсть в одном положении, чистить зубы, пытаться открывать рот, а потом заново их, резинки, надевать. А внутри – раны и нитки после операции. И ты их не чувствуешь, но знаешь, что тебе отрезали и переставили челюсть и что эти раны — места разрезов, а эти нитки — это то, что держит твои десна. И вот снимаешь ты резинки, берешь в руки зубную щетку и пытаешься чистить зубы. В первый раз я чуть в обморок не упала. Буквально.
Следующая стадия — ты пытаешься хотя бы немного, но открыть рот, а он вообще не открывается. От слова совсем. Это странно звучит, да, но это пока ты с этим сам не сталкиваешься.
Восстановление открываемости рта — до 4 месяцев для дистальщиков. У мезиальщиков, насколько я знаю, процесс происходит быстрее. Почему именно, может рассказать хирург. Первые пару месяцев ты вообще не веришь, что когда-либо сможешь открыть рот и откусить бургер. Примерно через месяц врач разрешает есть мягкую пищу – бананы, колбасу и прочее. Это очень странно, когда такие простые вещи, как просто откусить бутерброд, – для тебя целое событие, а вкус колбасы – самое лучшее, что ты когда-либо ел.
Примерно через полгода после операции снимают брекеты. Отеки сошли, брекеты сняты – и ты выглядишь потрясающе. И вот он еще один шок, но только уже очень приятный. Это новая ты, которой всегда мечтала быть, и это правда. Все прежние мысли, негодования, переживания, болезненные и неприятные ощущения исчезли. Осталась только новая классная ты!
Стоит ли это того? Безусловно. Жалею ли я? Ни капельки. Повторила бы, если бы знала, через что придется пройти? Да, да и еще раз да!
Резюмирую, что было сделано: двухчелюстная операция, гениопластика и ринопластика. Подготовка к операции (удаление зубов + брекеты) – около полутора лет. Восстановление после операции – от 3 до 6 месяцев. Примерно через полгода после операции – снятие брекетов. После брекетов могут понадобится онклюзионные накладки (по сути коронки на зубы) на задние зубы для лучшего смыкания зубов (+ 35 тысяч за зуб).
Гайморовы пазухи расположены по обеим сторонам носа над челюстью человека. Выполняют важные функции: прогревают воздух, резонируют звук, создавая тембр. Самой распространенной болезнью, прогрессирующей в этой области является гайморит. Но иногда в этот орган попадают посторонние предметы и вызывают ряд неприятных последствий. При этом симптомы могут появиться спустя долгий период после неприятности.
- Диагностические мероприятия
- Профилактические меры после операции
Инородное тело: симптоматика, как попадает в пазуху и что это может быть?
Самую распространенную причину, после которой в гайморовой пазухе можно обнаружить инородное тело, следует искать в кабинете у стоматолога. Речь идет о пломбировании верхней челюсти. Корни зубов расположены близко к слизистой оболочке пазух. При надавливании стоматолог может не рассчитать силы и продвинуть посторонний предмет в полость. Это может случиться при установке пломбы и при наращивании стенки верхней челюсти для последующего внедрения имплантата.

Под инородным телом принято понимать и кистозные образования в виде тонкого пузыря. Причина кроется в частных насморках, когда идет раздражение слизистых оболочек.
Менее распространены случаи попадания инородных тел в пазухи при ранении огнестрельным оружием. В медицинской литературе есть примеры, когда части спички или зубочистки попадает в пазуху при ковырянии зубов. У детей в пазухах могут оказаться: детали конструктора, косточки ягод, бусины и прочие мелкие предметы.
При проведении операций в верхней челюсти и носовых проходах недобросовестный медицинский персонал может оставить части трубок, ниток и прочих материалов в гайморовых пазухах.
Через некоторое время инородный предмет покрывается грибком и вызывает характерные симптомы. Происходит воспалительный процесс. До этого человек может и не заметить наличия проблемы.
Симптомы попадания инородного тела в пазухи схожи с проявлениями гайморита, синусита и других простудных болезнях. Человек ощущает следующее:
При обращении человека в клинику с такими симптомами, специалист торопится поставить ему диагноз, не связанный с попаданием инородного тела.
Только на рентген снимке или на экране компьютера при томографии можно обнаружить проблему.
До этого врачи могут лечить гайморит или иное заболевание достаточно долго и безрезультатно. Антибиотики и другие противовирусные препараты не справятся с грибком, который покрывает инородное тело со всех сторон в гайморовой пазухе.
Комплексная диагностика включает в себя следующие мероприятия:
![]()
оценка жалоб пациента, анализ таких показателей, как длительность проявления симптомов, наличие обращения к стоматологу и другие манипуляции в носовой и челюстной области,- осмотр с помощью носового зеркала,
- применение эндоскопа для исследования носовой полости и среднего носового прохода,
- осмотр в кабинете у стоматолога верхнего зубного ряда,
- рентген снимок, который показывает не только наличие тела, но и пневматизацию (наличие воздуха),
- применение компьтерной томографии,
- консультации у врача-хируга.
Считается, что хирургия это единственный способ изъять инородное тело, находящееся в гайморовой пазухе. Желательно не затягивать с операцией и назначить ее сразу после точного диагностирования. Отсутствие своевременного вмешательства может стать причиной развития менингита, ангины, гайморита и остеопериостита (воспаление костей верхней челюсти и глазницы).
Пневматизация пазух – это не заболевание, а термин. С помощью него врачи характеризуют явления на снимке рентгена или на экране при томографии.
Пневматизация – уровень заполнения пазух воздухом, который при нормальном состоянии двигается без препятствий по носовым проходам.
На снимке можно заметить, что пневматизация:
![]()
сохранена,- снижена,
- повышена.
В первом случае, нет отклонений от нормы и скорее всего, причина болезни не в постороннем предмете.
Если инородное тело присутствует в гайморовой пазухе, то на это укажет пониженный уровень пневматизации. При этом воздух с трудом циркулирует, что приводит к уменьшению поставок кислорода в организм.
Методы лечения
Как уже упоминалось ранее, инородное тело, обнаруженное в гайморовой пазухе, извлекается с помощью вмешательства хирурга. Удаление в современной медицине производят двумя способами:
![]()
Эндоскопическое. Используется эндоскоп, который вводится через носовые проходы, при этом удаление инородного тела происходит вместе с наростом грибка, важно убрать его весь, чтобы не допустить его размножения, пазухи носа также прокалываются для очищения их от гноя.- Лапароскопическое. Хирург делает надрез верхней челюсти.
Процедуры проходят с использованием местных анестезирующих препаратов, и длятся около 15-25 минут. Пациенты могут нуждаться в стационарных условиях еще 2-4 дня в зависимости от тяжести операции и остроты симптомов.
Считается что первый способ удаления инородного тела из гайморовой пазухи самый удобный и менее травматичный для больного. Но этот метод не всегда можно применять по ряду причин. Одна из которых – неправильное строение перегородки носа (врожденное или приобретенное). В этом случае невозможно попасть с помощью эндоскопа в гайморову пазуху.
После любого вида операции обязательно назначается терапия с применением антибиотиков.
По результатам лабораторных анализов определяется тип грибка, который привел к воспалению. Только после этого назначается конкретный препарат для купирования процесса размножения микроорганизмов.

Обе операции проводятся в специализированных клиниках. Лучше выбрать современное учреждение здравоохранения, где имеется все необходимое оборудование для проведения операции с меньшей травматизацией и большой точностью выполнения манипуляций.
Киста считается также инородным телом, хотя она и не попадает в полость извне, а образуется там. Способ ее удаления – операция: классическая или эндоскопическая.
Под первым способом подразумевается разрез под губой. После делается вскрытие передней стенки пазухи. Завершающий этап – хирург через маленький разрез удаляет образование.
Эта травматичная манипуляция выполняется под местной анестезией. Недостаток – нарушение физиологического состава слизистой оболочки. Что впоследствии может привести к ряду заболеваний.
Эндоскопическое удаление менее опасно. Осложнения после проведения такой манипуляции наблюдается в крайне редких случаях.
Чтобы не возникали случаи попадания посторонних тел в пазухи после операции, следует выполнять такие меры:
![]()
своевременно лечить кариес и проверять состояние зубов у стоматолога, чтобы снизить вероятность постановки пломб,- внимательно относится к насморку и гаймориту, своевременно лечить эти болезни, чтобы не допустить появления кист,
- всячески избегать травм головы, особенно в носовой части.
Реабилитация после операции пойдет быстрее, если придерживаться таких назначений врача:
- избегать переохлаждения и перегревания,
- принимать витаминные комплексы, иммуномодуляторы (назначает специалист),
- беречься от инфекционных и вирусных заболеваний,
- избегать контакта с болеющими ОРВИ, гриппом и прочими болезнями.
Если пренебречь этими рекомендациями, то могут развиться такие осложнения:
![]()
гайморит (острый),- мицетома (грибковый вид гайморита),
- киста верхней челюсти,
- воспалений небных миндалин,
- менингит,
- ангина.
В самых запущенных случаях возможно развитие остеопериостита. Это воспаление костей лица. Может привести к замене части пораженной кости на имплант.
Для многих людей может показаться невероятным факт нахождения в гайморовых пазухах инородного тела. Однако врачебная практика показывает частые случаи этого явления. Особенно стоит насторожиться людям, которые долго лечат гайморит. Следует провести диагностику и проверить наличие постороннего тела в гайморовых пазухах с помощью компьютерной томографии или простого рентгеновского снимка.
Читайте также:












