Синдром кастельмана без вич

Патогенез и этиология
На сегодняшний день ученые не располагают информацией относительно механизма развития и причин болезни Кастлемана. После проведения многочисленных исследований можно сделать вывод только о том, что, возможно, непосредственное участие в возникновении патологии принимает вирус герпеса 7 и 8 типа. Это возбудитель, который также ассоциируется с развитием саркомы Капоши.
В Международной классификации болезней (МКБ-10) болезни Кастлемана присвоен код D47.7.
Гиалиново-васкулярный тип патологии
Данная форма недуга наиболее часто диагностируется у молодых людей. Она характеризуется поражением лимфоузлов средостения. В некоторых случаях дегенеративные изменения затрагивают и периферические участки.
Болезнь Кастлемана гиалиново-васкулярного типа носит, как правило, изолированный характер поражения. Течение патологии в большинстве случаев не сопровождается возникновением системных проявлений. Недуг нередко сочетается с образованием опухолей.
Чаще всего гиалиново-васкулярный тип болезни Кастлемана протекает бессимптомно. Как правило, патология выявляется случайным образом при прохождении планового медицинского осмотра.
Проявления болезни Кастлемана данного типа неспецифичны. Основные симптомы недуга:
- Болезненные ощущения в области грудной клетки или в эпигастральной зоне.
 - Повышенная степень утомляемости.
 - Уменьшение массы тела.
 - Лихорадка, выраженная умеренно.
 - Увеличение в размерах периферических лимфатических узлов. Кожа над ними не изменяется, они плотные, безболезненные и малоподвижные.
 
Для данной формы характерен только локализованный вариант течения.

Плазмоклеточный тип болезни
Диагностируется у лиц всех возрастов. Наиболее часто данный тип болезни Кастлемана проявляется в форме лимфаденопатии с поражением как одного, так и целой группы лимфатических узлов. В данном случае клинические проявления носят системный характер.
Симптомы болезни Кастлемана плазмоклеточного типа:
Кроме того, существенно изменяются и лабораторные показатели. Во время исследования крови выявляется анемия и повышенный показатель СОЭ.
Смешанный тип
О нем принято говорить в том случае, если не удается четко определить форму патологии. Другими словами, у пациентов проявляются симптомы и гиалиново-васкулярного, и плазмоклеточного типа.

Уницентрический вариант течения
Иными словами, это локализованная форма недуга. На ее долю приходится 90% всех случаев. У лиц до 30 лет диагностируется преимущественно плазмоклеточный тип. У людей от 30 до 40 лет наиболее часто выявляется гиалиново-васкулярный тип болезни Кастлемана.
Основные клинические проявления локализованной формы патологии:
- Увеличение лимфатических узлов в размерах в области брюшной полости и средостения.
 - Анемия.
 - Увеличение внутренних органов в размерах.
 
В некоторых случаях патология протекает бессимптомно. Больного лишь изредка беспокоит дискомфорт в области груди или эпигастральной зоны. Иногда пациенты отмечают, что внутренние ткани их организма как будто сдавливаются пораженными лимфатическими узлами.
Особенностью данного варианта течения также является то, что он не ассоциируется у медиков с ВИЧ. Крайне редко у больных в крови выявляется вирус герпеса.
Мультицентрический тип
Данный вариант течения диагностируется преимущественно у лиц, возраст которых составляет от 50 до 60 лет. Мультицентрический тип считается наиболее опасным. В большинстве случаев патология представляет угрозу не только для здоровья, но и для жизни пациента.
Основные клинические проявления недуга:
- Увеличение в размерах печени и/или селезенки.
 - Пониженная степень работоспособности.
 - Лихорадочное состояние.
 - Постоянное чувство усталости.
 - Анемия.
 - Избыточное потоотделение, особенно в ночные часы.
 - Резкое уменьшение массы тела.
 
К счастью, мультицентрический тип встречается только у 10% пациентов. Для него характерно поражение как центральных, так и периферических лимфатических узлов.
Треть пациентов с мультицентрическим типом болезни Кастлемана страдают от ВИЧ. При этом у всех выявляется вирус герпеса.
Течение заболевания характеризуется частыми рецидивами. Стойкого периода ремиссии добиться крайне сложно. Кроме того, со временем недуг может трансформироваться в лимфому злокачественного характера. Прогноз в большинстве случаев неблагоприятный.

Лабораторная диагностика
При возникновении тревожных симптомов (самым специфическим из них является увеличение лимфатических узлов) необходимо обратиться к инфекционисту. При необходимости он направит на консультацию к онкологу, фтизиатру или хирургу.
Первичная диагностика подразумевает сбор анамнеза и физикальный осмотр пациента. Во время пальпации врач выявляет увеличенные лимфоузлы, оценивает их локализацию и консистенцию. Во всех случаях обнаруживается выраженная спленомегалия.
На основании результатов первичной диагностики, врач направляет пациента в лабораторию для сдачи биоматериала. Необходимые исследования:
- Клинический анализ крови. Как правило, в нем выявляется лейкоцитоз, тромбоцитоз, анемия, повышение показателя СОЭ.
 - Анализ жидкой соединительной ткани методом полимеразной цепной реакции. Цель исследования - подтверждение или исключение наличия в крови вирусов герпеса 7 и 8 типа. В настоящее время ученые полагают, что они и являются истинными триггерами развития болезни Кастлемана.
 - Биохимический анализ крови. Клинически значимыми являются следующие показатели: альбумин, общий белок, билирубин, мочевина, креатинин, АСАТ, АЛАТ, ЛДГ, ГГТ, глюкоза, щелочная фосфатаза, С-реактивный белок.
 - Исследование крови на иммуноглобулины классов А, М и G. Чаще всего их повышение наблюдается на фоне мультицентрического варианта течения патологии.
 - Анализ крови на гормоны. Наиболее значимыми являются следующие показатели: кортизол, ТТГ, Т3 и Т4.
 - Определение группы крови и резус-фактора.
 - Анализ жидкой соединительной ткани на ВИЧ.
 - Общее исследование мочи. Клинически значимые показатели: удельный вес, глюкоза, белок. Кроме того, проводится исследование осадка урины под микроскопом.
 
На основании результатов лабораторных анализов врач может поставить предварительный диагноз. Для его уточнения необходимо оценить итоги комплексного обследования.
Инструментальная диагностика
Как правило, врачи назначают:
- Термометрию.
 - Регулярное измерение показателя артериального давления на периферических сосудах.
 - Бронхоскопию.
 - Диагностическую лапароскопию.
 - Торакоскопию.
 - Эзофагодуоденоскопию.
 - УЗИ органов брюшной полости, лимфатических узлов, почек, мягких тканей щитовидной железы.
 - МРТ костных структур.
 - ЭКГ.
 - ЭХоКГ.
 - Рентгенологическое исследование.
 - КТ.
 - Биопсию лимфоузлов.
 - Позитронно-эмиссионную томографию.
 
На основании результатов комплексной диагностики врач составляет максимально эффективную схему лечения болезни Кастлемана.

Консервативная терапия
В настоящее время она эффективна только в отношении пациентов, страдающих от мультицентрического течения патологии. Схема лечения состоит из следующих пунктов:
При необходимости врач назначает введение электролитов и растворов в качестве сопутствующей терапии. Кроме того, он может порекомендовать прием НПВС, антибиотиков, противовирусных и противогрибковых средств.
Хирургическое вмешательство
Если болезнь Кастлемана носит локализованный характер, консервативные методы лечения не приведут к положительному результату. В этом случае показано проведение операции. В процессе хирургического вмешательства осуществляется резекция пораженного лимфатического узла. Иссеченные ткани после этого отправляются в лабораторию на гистоморфологический и иммуногистологический анализ.
В некоторых случаях врач может назначить лучевую терапию и трансплантацию стволовых клеток.

Прогноз
Болезнь Кастлемана - это крайне серьезная и опасная патология. Ее исход напрямую зависит от формы недуга и своевременности обращения к врачу.
На начальной стадии развития заболевание носит доброкачественный характер. При отсутствии грамотного лечения оно может переродится в лимфому. Это актуально для всех пациентов с любой формой недуга.
При мультицентрической патологии прогноз самый неблагоприятный. Согласно статистическим данным, летальный исход наступает через несколько месяцев с момента развития заболевания. Это обусловлено тем, что данная форма недуга чаще всего диагностируется у лиц с ВИЧ. Кроме того, она нередко приводит к развитию полиорганной недостаточности и онкологическим заболеваниям.
При уницентрическом варианте течения недуга прогноз более благоприятный. Как правило, выздоровление наступает у большинства пациентов после удаления пораженного лимфатического узла. Но при этом сохраняется риск развития лимфомы.
Профилактика
В настоящее время не существует мер, осуществление которых значительно снижает вероятность возникновения опасного заболевания. Кроме того, не разработаны и профилактические схемы для пациентов с ранее диагностированной патологией. Таким лицам необходимо лишь регулярно (1 раз в полгода на протяжении 3-х лет) посещать врачей.
Пациентам, у которых в прошлом уже была диагностирована болезнь Кастлемана, важно своевременно ходить на консультации к онкологу, неврологу и офтальмологу. Кроме того, им необходимо регулярно сдавать кровь и следить за показателем артериального давления.

В заключение
Болезнь Кастлемана - это серьезная патология лимфопролиферативного характера. Она характеризуется поражением одного или целой группы лимфатических узлов. Заболевание может носить локализованную или мультицентрическую форму. В первом случае прогноз более благоприятный, у большинства пациентов после проведенного хирургического вмешательства наступает выздоровление. Продолжительность жизни при мультицентрической форме составляет всего несколько месяцев.
В МКБ-10 болезни Кастлемана присвоен код D47.7.
Современное лечение болезни Кастлемана в Израиле. Комплексное лечение болезни Кастлемана БК за рубежом в медицинском центре Tel Aviv CLINIC. Болезнь Кастлемана представляет собой редкое заболевание лимфатических узлов и связанных с ними тканей, также известное как гиперплазия лимфатических узлов. Болезнь Кастлемана не имеет онкологический характер, но наблюдается лимфопролиферативный рост клеток лимфатической системы, который во многом похож на лимфомы и рак лимфатических узлов, особенно мультицентрическая форма.
У многих людей с этим заболеванием в конечном итоге развивается лимфома. И, как лимфому, Болезнь Кастлемана за рубежом часто лечат с помощью лучевой и химиотерапии. Лимфатическая ткань является основной частью иммунной системы. Она образована различными типами клеток, которые работают вместе, чтобы помочь организму бороться с инфекциями. Основные клетки в лимфоидной ткани представляют собой лимфоциты.
Существует 2 основных типа лимфоцитов: В- и Т-клетки. Лимфатические ткани встречается во многих местах по всему телу, в лимфоузлах, тимусе, селезенке, миндалинах, аденоидах, костном мозге и желудочно-кишечном тракте. Основной способ классификации болезни Кастлемана БК основан на степени распространённости. Существует 2 основных формы: локальная и распространённая. Они воздействуют на людей совершенно по-разному
Локализованная болезнь Кастлемана БК встречается чаще, влияет только на одну группу лимфатических узлов и не имеет широкого распространения в организме. Чаще всего страдают лимфатические узлы в грудной клетке или брюшной полости. Увеличенные лимфоузлы в грудной клетке могут оказывать давление на трахею и бронхи, вызывая проблемы с дыханием. Иногда увеличенные узлы находятся в таких местах, как шея, пах или подмышечной области. При локализованной форме, болезнь Кастлемана в Израиле можно вылечить хирургическим путем.
Распространённая болезнь Кастлемана может поражать несколько органов, содержащих лимфоидную ткань. Эта форма иногда встречается у людей, инфицированных вирусом иммунодефицита человека (ВИЧ). Данное состояние является более серьезным, чем локализованный тип, особенно у людей с ВИЧ-инфекцией. У пациентов часто наблюдаются такие проблемы, как острые инфекции, лихорадка, потеря веса, утомляемость, ночная потливость, слабость и онемение. Анализы крови часто показывают очень низкий уровень красных кровяных клеток (анемия) и высокие уровни антител в крови (гипергаммаглобулинемия). Увеличивается риск развития лимфомы и рака лимфоузлов, которые часто трудно лечить.
Как лечится болезнь Кастлемана БК в Израиле
Диагностика болезни Кастлемана в Израиле начинается с изучения симптомов и медицинской истории. Врач проводит осмотр лимфатических узлов в разных участках тела, которые могут быть вовлечены, в том числе печени и селезенки. Если врач подозревает БК, обследование может включать полный анализ крови, уровень интерлейкин-6 (ИЛ-6), скорость оседания эритроцитов (СОЭ), уровень С-реактивного белка (CRP). Поставить правильный диагноз помогают рентген, компьютерная томография (КТ), магнитно-резонансная томография (МРТ), УЗИ, позитронно-эмиссионная томография (ПЭТ), биопсия лимфатических узлов.

Хирургия часто используется для получения образца ткани в процессе диагностики. Биопсия лимфатических узлов, как правило, не сложная процедура и пациенты часто могут вернуться домой после этой процедуры. Хирургическое лечение болезни Кастлемана в Израиле очень эффективно, когда нужно удалить локализованный очаг заболевания.
Тип операции зависит от его местоположения. Если пораженный лимфоузел находится в месте, куда легко добраться, например, в подмышечной впадине, то операция обычно не вызывает затруднений. Во многих случаях, после лимфаденэктомии, человек может быть в состоянии вернуться домой в тот же день.
Когда увеличенные лимфатические узлы находятся в месте, куда трудно добраться, глубоко в грудной клетке или брюшной полости, хирургическое вмешательство является более сложным и может потребовать госпитализации в больнице в течение нескольких дней после операции. Хирургия в Израиле также используется и при лечении мультицентрическиого типа болезни Кастлемана, а иногда врачи могут рекомендовать и удаление селезенки — спленэктомию.
Лучевая терапия VMAT используется для лечения локализованной болезни Кастлемана БК, особенно, если пораженные лимфатические узлы не могут быть полностью удалены хирургическим путем. Облучение может быть частью лечебного плана и при мультицентрическом типе заболевания. Радиолог определяет правильные углы облучения и его оптимальную дозу. Каждая процедура длится несколько минут. Чаще всего, лучевая терапия делается 5 дней в неделю в течение нескольких недель.
Кроме хирургии и радиотерапии, лечение болезни Кастлемана БК в Израиле включает кортикостероидные препараты, химиотерапию, иммунотерапию, противовирусные лекарства. Исходя из предполагаемых вариантов лечения болезни Кастлемана БК за рубежом, независимо от характера заболевания, в процессе медицинской помощи участвуют такие специалисты Tel Aviv CLINIC как: хирург, гематолог, онколог и радиолог. Медицинский консилиум выбирает наиболее эффективный вариант лечения индивидуально для каждого больного, на основании чего международный отдел расчитывает стоимость.
Для составления предварительной программы диагностики и лечения в нашей клинике, а также оценки примерной стоимости, пожалуйста, заполните контактную форму и пришлите нам выписку истории болезни.
 
Свяжитесь с нами: 
Tel Aviv CLINIC 
Viber, WhatsApp, Telegram 
Тел: +972544942762 
Эл. почта: 
[email protected] 
Skype: medicaltourisrael 
Адрес: ул. Вайцман 14, 
Тель Авив, Израиль
Что такое болезнь Кастлемана
- У ВИЧ-инфицированных повышен риск мультицентрической формы заболевания.
 - Болезнь Кастлемана наблюдается у лиц молодого возраста
 - Мужчины и женщины болеют одинаково часто
 - Болезнь Кастлемана это доброкачественная гиперплазия лимфатических узлов .
 - Хронический воспалительный процесс, вызываемый неустановленным антигеном (мультицентрическая форма заболевания ассоциирована с ВИЧ и герпесвирусом типа 8)
 - У 90% больных с болезнью Кастлемана выявляют гиалиновососудистый тип ограниченной формы заболевания, характеризующийся ангиофолликулярной пролиферацией
 - У 10% больных отмечается плазмоцитарный тип, при котором васкуляризация пораженных лимфатических узлов менее выражена и образуются межфолликулярные тяжи из плазматических клеток.
 
Какой метод диагностики гиперплазии лимфатических узлов средостения выбрать: МРТ, КТ, рентген
- Опухолевидные массы в средостении и/или прикорневой области.
 
- характерно выраженное гомогенное контрастное усиление пораженных лимфатических узлов (гомогенность нарушается при некрозе, фиброзе и дистрофии);
 - может присутствовать питающий сосуд
 - Изменения отмечаются преимущественно в среднем и заднем средостении и в прикорневой области (переднее средостение поражается редко)
 - В 5—10% случаев выявляют очаги обызвествления.
 
- Контрастное усиление выражено в значительно меньшей степени.
 - помимо внутригрудных лимфатических узлов поражаются также лимфатические узлы брюшной полости и забрюшинного пространства, реже - шеи
 
- На Т1-взвешенных изображениях сигнал от пораженных лимфатических узлов изоинтенсивен мышечной ткани
 - На Т2-взвешенных изображениях интенсивность сигнала понижена.
 
- Лимфомы средостения с выраженным феноменом контрастного усиления.
 

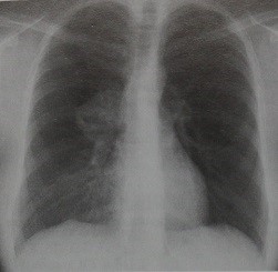
 Болезнь Кастлемана у женщины 30 лет. На обзорной рентгенограмме грудной клетки видна опухоль с четко очерченными полициклическими контурами, локализующаяся в воротах правого легкого, которая не беспокоила больную и была выявлена случайно. Рентгенологически опухоль невозможно отличить от лимфомы и опухолей другой этиологии.При гиалиново-сосудистом типе болезни Кастлемана выраженное контрастное усиление пораженных лимфатических узлов на КТ может помочь установлению типа лимфомы.
Клинические проявления
- обычно бессимптомное течение,
 - реже — симптомы, обусловленные масс-эффектом
 
- лихорадка, повышенная утомляемость, анемия.
 
Подтверждение диагноза
Тактика лечения гиперплазии лимфатических узлов
- полное иссечение или лучевая терапия
 
- химиотерапия,
 - противовирусная терапия,
 - лечение антителами к СО20-антигену (ритуксимаб).
 
Течение и прогноз
- если удается полностью иссечь опухоль, прогноз благоприятный
 
- прогноз менее благоприятный.
 
Что хотел бы знать лечащий врач
- Диагноз и дифференциальный диагноз.
 
Какие патологии имеют симптомы, схожие с болезнью Кастлемана
Лимфома или лейкоз
- Контрастное усиление менее выражено
- Характерные изменения в крови
Нейрогенные опухоли
- Иная локализация (в заднем средостении)
- Контрастное усиление незначительное
Опухоли тимуса
- Иная локализация: верхний отдел переднего средостения
- Контрастное усиление незначительное
Параганглиомы
- Локализуются преимущественно в области шеи
Саркоидоз
- Контрастное усиление незначительное
- В процесс вовлекаются легкие
Саркома Капоши
- Поражаются бронховаскулярные структуры
- Почти всегда поражается также кожа
Полезные советы и предостережения
- Дифференциальная диагностика иногда затруднительна, особенно при плазмоцитарном типе заболевания
 - Может быть ошибочно принята за злокачественную лимфому.
 
Болезнь Кастлемана является редким заболеванием, при котором имеет место избыточное разрастание лимфоидной ткани за счет деления ее клеток (пролиферация)- лимфоцитов, которые в норме борются с различными заболеваниями. Болезнь Кастлемана также называют гигантской гиперплазией лимфатических узлов и ангифолликулярной гиперплазией лимфатических узлов. Она имеет локализованный (уницентрический) или распространенный (мультицентрический) варианты течения.
Лечение и прогноз зависят от течения заболевания. Локализованная форма обычно успешно лечится хирургическим путем.
Мультицентрический вариант болезни Кастлемана, в некоторых случаях ассоциированный с ВИЧ-инфекцией, может быть опасным для жизни. Этот вариант также ассоциирован с другими расстройствами лимфопролиферативными заболеваниям, включая злокачественную опухоль лимфатической системы (лимфому), саркому Капоши и POEMS-синдром.
Выделяют два основных варианта течения болезни Кастлемана:
- Уницентрический. Это локализованный вариант течения заболевания, при которой поражается только лимфатический узел.
 - Мультицентрический. Этот вариант характеризуется поражением нескольких лимфатических узлов и лимфоидных органов и может серьезно ослабить иммунную систему.
 - Мультицентрический вариант болезни Кастлемана делится на следующие виды:
 - Мультицентрическая болезнь Кастлемана без POEMS-синдрома
 - Мультицентрическая болезнь Кастлемана с POEMS-синдромом с поражением костной ткани (остеосклероз)
 - Мультицентрическая болезнь Кастлемана с POEMS-синдромом без поражения костной ткани
 - Уницентрический вариант болезни Кастлемана
 
Многие люди с уницентрическим вариантом болезни Кастлемана не имеют никаких симптомов. Чаще всего поражаются лимфатические узлы в области грудной и брюшной полости и шеи. Когда симптомы появляются, они включают:
- Ощущение тяжести или давления в груди или животе, вызывающие проблемы с дыханием или приемом пищи
 - Увеличение лимфатических узлов (обычно одного) в области шеи, паха или подмышечных впадин
 - Незапланированную потерю веса
 - Реже лихорадку, повышенная потливость в ночное время и слабость
 
Мультицентрический вариант болезни Кастлемана
Большинство людей, страдающих мультицентрическим вариантом болезни Кастельмана, испытывает следующие симптомы:
- Лихорадку
 - Повышенную потливость в ночное время
 - Слабость и повышенную утомляемость
 - Потерю аппетита
 - Незапланированную потерю веса
 - Увеличение лимфатических узлов, как правило, в области шеи, ключиц, подмышечных и паховых областях,
 - Увеличение печени или селезенки
 
Другие, менее распространенные симптомы включают:
- Поражение нервных стволов верхних и нижних конечностей, что приводит к нарушениям чувствительности (периферическая нейропатия)
 - Кожную сыпь
 
Если вы заметили увеличенный лимфатический узел в области шеи, ключицы, в подмышечной или паховой области, обратитесь к врачу. Также стоит сделать это, если вас беспокоят постоянное ощущение тяжести в груди или животе, лихорадка, усталость, или необъяснимая потеря веса.
Пока не ясно, что вызывает болезнь Кастлемана. Изветсно, что заражение вирусом герпеса 8 типа связано с мультицентрическим вариантом заболевания.
Вирус герпеса человека 8 типа ( Human Herpes Virus 8 type, HHV -8 ) также связан с развитием саркомы Капоши – злокачественной опухоли стенок кровеносных сосудов, которая может быть осложнением ВИЧ / СПИДа. Исследования показали, что при болезни Кастлемана HHV-8 выявляется у ВИЧ-позитивных больных и у 40-50% ВИЧ-негативных.
Точная роль HHV-8 в развитии заболевания остается неясной. Он усиливает пролиферацию (деление) пораженных клеток иммунной системы. Клетки иммунной системы вырабатывают белок, который называется интерлейкин-6 (IL-6), который вносит свой вклад в пролиферацию лимфатических клеток.
Болезнь Кастлемана может развиться у каждого. Средний возраст людей с диагнозом уницентрической болезни Кастлемана составляет 35 лет. Мультицентрический вариант в основном встречается у людей в возрасте 50-60 лет. Мультицентрическая форма чаще встречается у мужчин, чем у женщин.
Единственный известный фактор риска болезни Кастлемана – это ВИЧ / СПИД.
Больные с уницентрическим вариантом болезни Кастлемана обычно выздоравливают после удаления пораженного лимфатического узла, однако стоит помнить, что это заболевание повышает риск развития лимфомы.
Мультицентрический вариант болезни Кастлемана может привести к развитию опасных для жизни осложнений, таких как:
- Инфекционные осложнения, приводящие к развитию полиорганной недостаточности
 - Онкологические заболевания, такие как лимфомы или саркома Капоши
 
Прогноз при мультицентрической болезни Кастлемана определяется характером течения заболевания. Наличие ВИЧ / СПИДа ухудшает прогноз.
Исследования также показывают, при мультицентрическом варианте болезни Кастлемана у больных с POEMS-синдромом без поражения костной ткани прогноз может быть хуже, чем у больных с POEMS-синдромом с поражением костной ткани.
Что вы можете сделать
- Запишите, какие симптомы вы испытываете и как давно.
 - Запишите все основные сведения о состоянии вашего здоровья, укажите, какие сопутствующие заболевания у вас есть
 - Составьте список всех лекарственных препаратов, витаминов и биодобавок, которые вы принимаете.
 - Задайте врачу следующие вопросы
 - Что является наиболее вероятной причиной моих симптомов?
 - Какие обследования мне нужно пройти? Требуют ли они специальной подготовки?
 - Какое лечение вы рекомендуете? Нужна ли мне хирургическая операция?
 
В дополнение к вопросам, подготовленным заранее, не стесняйтесь задавать любые другие, которые возникают во время приема.
Чего ожидать от врача
Ваш врач может задать вам ряд вопросов. Будьте готовы ответить на них – это даст возможность уделить больше времени обсуждению тех вопросов, которые волнуют вас. Врач может спросить:
- Есть ли у вас какие-либо другие заболевания, такие как ВИЧ / СПИД или саркома Капоши?
 - Когда вы впервые начали испытывать эти симптомы?
 - Были ли эти симптомы выражены постоянно или беспокоили вас время от времени?
 - Насколько сильно выражены ваши симптомы?
 - Что улучшает ваше состояние?
 - Что ухудшает ваше состояние?
 
При уницентрической болезни Кастлемана больные чаще всего не замечают каких-либо признаков или симптомов. Патологический лимфатический узел может быть обнаружен во время скрининга или в процессе лечения другого заболевания.
Если есть подозрение на уницентрический или мультицентрический варианты болезни Кастлемана, ваш врач, скорее всего, в первую очередь тщательно исследует лимфатические узлы, чтобы определить их размеры и последовательность.
Ваш врач может также назначить:
- Анализы крови и мочи, чтобы исключить другие причины вашего состояния, в том числе инфекционные заболевания. Эти анализы также могут выявить анемию и изменения уровня различных белков крови, которые характерны для болезни Кастлемана.
 - Визуализирующие исследования, например, КТ или МРТ области шеи, грудной и брюшной полости. Эти исследования позволяют обнаружить увеличение лимфатических узлов, печени или селезенки. Также для диагностики заболевания и оценки эффективности лечения используется позитронно-эмиссионная томография (ПЭТ).
 - Биопсия лимфатических узлов. Это исследование необходимо, чтобы дифференцировать заболевание Кастлемана от других заболеваний лимфатической ткани, таких как лимфома. Образец ткани увеличенного лимфатического узел удаляют и исследуют в лаборатории. В зависимости от расположения лимфатических узлов, биопсия может быть выполнена под местной анестезией или во время более обширной операции.
 
Лечение зависит от варианта течения заболевания.
Уницентрическая форма болезни Кастлемана
При уницентрическом варианте болезни Кастлемана пораженный лимфатический узел удаляют хирургическим путем. Если лимфатический узел, как это часто бывает, располагается в грудной или брюшной полости, может потребоваться полостная операция. 
Если хирургическое удаление лимфатического узла не представляется возможным, его размеры можно уменьшить с помощью некоторых лекарственных препаратов или лучевой терапии.
После операции необходимо периодически проходить обследование, чтобы не пропустить развитие рецидива.
Мультицентрический вариант болезни Кастлемана
Хирургическое удаление пораженных лимфатических узлов, как правило, не показано, поскольку число пораженных лимфатических узлов велико. Тем не менее, хирургическое удаление увеличенной селезенки может быть выполнено для облегчения симптомов заболевания. 
Лечение обычно включает использование лекарственных препаратов, контролирующих пролиферацию клеток. Специфическое лечение зависит от течения заболевания и наличия ВИЧ или HHV-8 инфекции.
Возможны следующие варианты:
- Моноклональные антитела, которые блокируют действие интерлейкина-6 (IL-6), стимулирующего пролиферацию клеток. Если у вас нет повреждения органов или ВИЧ или HHV-8 инфекции, лечение может быть начато с применения моноклональных антител, например, с препарата силтуксимаб (Силвант).
 - Химиотерапия для подавления пролиферации лимфатических клеток. Ваш врач может рекомендовать применение химиотерапии, если нет ответа на применение моноклональных антител или если у вас есть признаки органной недостаточности.
 - Кортикостероиды, имеющие противовоспалительный эффект.
 - Противовирусные препараты, блокирующие активность HHV-8 или ВИЧ, если у вас есть один из этих вирусов или оба.
 - Талидомид, блокирующией IL-6. Талидомид является модулятором иммунной системы. Было показано, что он является эффективным индуктором ремиссии при болезни Кастлемана
 
Болезнь Кастлемана является тяжелым испытанием, поскольку она развивается очень редко и чаще сопутствует другим серьезным заболеваниям, такими как ВИЧ / СПИД и саркома Капоши. Вам будет легче справиться с этой болезнью, если вы:
- Найдите кого-то, с кем можно поговорить. Вы можете чувствовать себя комфортно обсуждая свои чувства с близким другом или членом семьи, или же можете предпочесть общение в группе поддержки.
 - Ставьте перед собой разумные цели. Наличие цели дает вам ощущение, что вы можете контролировать ситуацию. Но ставьте перед собой только те цели, которых вы можете достичь.
 
Читайте также:


