Что такое сакральные менингоцеле нервных корешков
Менингоцеле – это один из врожденных пороков развития позвоночника и спинного мозга. В его основе лежит неполное закрытие нервной трубки – анатомической структуры эмбрионального периода.
Классификация
Выделяют три вида пороков, связанных с расщеплением позвоночника (лат: spinabifida): spina bifida occulta, менингоцеле и менингомиелоцеле. Это проявления одного и того же патологического процесса, имеющие разную степень выраженности.
Spina bifida occulta (скрытое расщепление) представляет собой исключительно костный дефект – щель в задней стенке позвонка или нескольких позвонков. Чаще всего это случается в поясничном или крестцовом отделе позвоночника на уровне от L1 (первого поясничного позвонка) до S2, S3 (второго-третьего крестцовых позвонков). Ни оболочки спинного мозга, ни корешки спинномозговых нервов через дефект кости не выпячиваются.
Менингоцеле — выбухание через костный дефект мозговых оболочек, содержащих ликвор. Кисты обычно располагаются в пояснично-крестцовом отделе позвоночника, достигают иногда больших размеров, имеют короткую ножку.
Спинномозговая жидкость при этом скапливается над паутинной оболочкой (meningocele subduralis) или под ней (meningocele subarachnoidalis). Это наиболее доброкачественная форма спинномозговых грыж, так как спинной мозг в большинстве случаев сформирован правильно.
Миеломиелоцеле – это самый сложный и частый из вариантов расщепления позвоночника — при таком пороке развития в дефект кости попадает и выпячивается наружу все содержимое позвоночного канала (спинной мозг с его оболочками и нервные корешки). Это может быть причиной тяжелых неврологических проблем.
Причины возникновения
В развитии всех видов расщепления позвоночника определенную роль играет наследственность. Это подтверждает тот факт, что частота рождения детей со spinabifida у родителей, которые сами страдают этим пороком, выше, чем в популяции.
Факторами риска по развитию данной болезни у детей являются внутриутробные инфекции, ионизирующее облучение, повышение температуры тела матери, действие химических токсинов (например, пестицидов), прием антиконвульсантов (противосудорожных средств) во время беременности, недостаток в рационе питания беременной фолиевой кислоты.
При этом наиболее важным периодом являются первые недели беременности, когда формируется нервная трубка. В норме она должна закрыться на четвертой неделе вынашивания.
Клиническая картина
Основным симптомом данной болезни является само наличие грыжевого мешка. На спине, чаще всего в пояснично-крестцовом отделе от L1 до S2, S3, определяется подкожное мягкотканое выпячивание. В большинстве случаев никакого дискомфорта оно не причиняет.
Клинически неврологическая симптоматика может отсутствовать или наблюдаются легкие вялые парезы ног, снижение ахилловых рефлексов.
Диагностика патологии
Первичный врачебный осмотр позволяет заподозрить наличие у пациента данного заболевания.
Методом выбора для уточнения диагноза является магнитно-резонансная томография (МРТ) и компьютерная томография (КТ).
МРТ позволяет точно установить, что является содержимым грыжевого мешка.
Лечение и профилактика
Менингоцеле в области L1 – S2, S3 имеет хороший прогноз в отношении хирургического излечения. Поскольку в состав грыжевого мешка при менингоцеле не вовлечена ткань спинного мозга, после оперативного лечения человек может полностью выздороветь.
Консервативных (нехирургических) методов лечения этой болезни не существует. Операция помимо устранения косметического дефекта преследует цель закрытия входных ворот для возможного проникновения инфекции внутрь позвоночного канала.
В настоящее время активно разрабатываются хирургические методы антенатальной коррекции порока, т.е. операции на позвоночнике плода, когда он еще находится в утробе матери.
Первое направление профилактики – при беременности необходимо избегать факторов риска развития spinabifida. Активная профилактика заключается в приеме препаратов фолиевой кислоты во время вынашивания.

Менингоцеле – это заболевание врожденного характера, при котором есть аномалия позвоночника и спинного мозга. Такая патология характеризуется выпячиванием спинного мозга через дефект позвоночного канала. Выпячивание имеет оболочку и заполнено жидкостью. В результате прогрессирования менингоцеле нарушаются функции спинного мозга.
Что это такое менингоцеле? Данная аномалия является пороком внутриутробного развития, и она заключается в неполном закрытии нервной трубки плода. А она является важной структурой в эмбриональном периоде. Данное нарушение может проявиться и у детей, и у взрослых.
Характеристика патологии
Сначала появляется костный дефект – spina bifida occulta. Это так называемое расщепление позвоночника, а именно одного или нескольких сегментов позвоночного столба. На данном этапе еще нет выпячивания, и никаких признаков патологии нет.
Менингоцеле – это уже следующий этап, при котором через уже образовавшийся костный дефект выходят наружу оболочки спинного мозга, под кожу. И данное образование заполнено ликвором – спинномозговой жидкостью. Выпячивание на этом этапе называется кистой, и она может вырастать до очень больших размеров. При менингоцеле в образовавшийся карман еще не попадают нервные корешки. Это происходит при дальнейшем развитии патологии – менингомиелоцеле. Именно в данном состоянии выпячивание перемещается в спинной мозг.
Если диагностировано менингоцеле крестца, копчикового отдела или другой локализации у эмбриона еще в период внутриутробного развития, то женщине проведут кесарево сечение. Так как если будут обычные роды, то в момент прохождения ребенка через родовые пути, может повредиться спинной мозг. А это чревато парезами и параличом.

Причины
Точных причин развития данной патологии на сегодняшний день не известно. Установлено, что аномалии позвоночного столба и спинного мозга могут усугубляться при дефиците витаминов и минералов. Особенно, это касается фолиевой кислоты, поэтому ее прописывают обязательно всем беременным женщинам.
Также связывают патологию с генетическим фактором. Так как согласно статистике, у взрослых людей с костным дефектом позвоночника, часто рождаются дети с пороком менингоцеле крестцово-поясничного отдела.
Риск развития патологии есть при:

- внутриутробных инфекциях;
 - воздействии ионизирующего облучения;
 - частом повышении температуры тела беременной женщины;
 - действии на организм химических веществ;
 - приеме противосудорожных препаратов при беременности.
 
Еще есть взаимосвязь развития менингоцеле пояснично-крестцового отдела и других его локализаций с наличием в анамнезе матери сахарного диабета. Особенно если на протяжении первого триместра у нее высокие показатели глюкозы в крови.
Симптомы
Основным признаком менингоцеле является наличие самой спинномозговой грыжи, которую визуально видно. Это грыжевой мешок на спине, подкожного типа и мягкой структуры. Кожа на этом образовании будет истонченная, синюшная или с красным оттенком. Иногда оно не покрыто кожными покровами, в таком случае требуется срочная операция. Менингоцеле крестцово-поясничного отдела встречается наиболее часто, также грыжа может быть в грудном и шейном отделах позвоночника, но достаточно редко.
При менингоцеле нет никаких тяжелых неврологических симптомов, так как в образовавшемся кармане нет нервных корешков или спинного мозга и, соответственно, эти структуры не ущемились. Только если это происходит, проявляются тяжелые симптомы в виде парезов и параличей.
Диагностика
Первым методом диагностики является неврологический осмотр. При этом врач оценит мышечный тонус конечностей. Еще потребуются консультации таких врачей, как генетик и нейрохирург. Далее врач назначает инструментальные методы исследования. Для начала проводят:
- Трансиллюминация – это просвечивание грыжевого мешка, и таким образом можно оценить какое его содержимое.
 - Контрастная миелография – этот метод заключается во введении контрастного препарата, для того чтобы оценить поврежден ли спинной мозг, и если да, то в какой степени.
 - Магнитно-резонансная томография – это исследование, при котором есть возможность визуализировать послойно образование, спинной мозг и позвоночник.
 
Как правило, новорожденным проводят только МРТ. Этого метода достаточно, чтобы диагностировать заболевание у ребенка, без лучевой нагрузки на организм.
Лечение
Менингоцеле хорошо поддается лечению, так как не повреждены нервные окончания. И поэтому после хирургической операции ребенка полностью можно излечить. Следует отметить, что медикаментозным методом данное заболевание не лечится.
Операция заключается в закрытии входных ворот, тем самым устраняется косметический дефект. Закрытие входных ворот обязательно, тем самым снижается риск занесения инфекции в позвоночный канал. Операцию нужно проводить чем скорее тем лучше. Как правило, ее назначают в первую же неделю после рождения. А в некоторых случаях в первые 24 часа.

Иногда врачи откладывают операцию. Это происходит если менингоцеле крестцово-поясничного отдела имеет небольшой размер и никаких нарушений чувствительности или других расстройств нет, а также если кожные покровы на грыже не истонченные и не поврежденные. Преждевременная хирургическая операция может даже навредить, так как есть риск повреждения оболочек спинного мозга.
Данная проблема проявляется все чаще сегодня, поэтому ученые активно разрабатывают новую методику лечения менингоцеле. Она называется антенатальная коррекция порока, и проводят ее эмбриону в период внутриутробного развития.
Дополнительно нужна реабилитация. Для этого назначается лечебная физкультура, прием витаминных комплексов, физиопроцедуры. Также назначается ребенку курс специальных массажей и важно не допускать запоры. Родители должны тщательно выполнять все рекомендованные гигиенические мероприятия.
После того как проведена операция по удалению менингоцеле крестцово-поясничного отдела ребенок будет нормально развиваться.
Профилактика

Профилактические меры при менингоцеле разных отделов позвоночника у новорожденных заключаются в планировании беременности. При этом женщина должна перед наступлением беременности полностью обследоваться. Следует пройти необходимое лечение, принять курс витаминов.
После того как женщина уже забеременела, нужно регулярно посещать акушера-гинеколога, сдавать все необходимые анализы. А также для беременной очень важно есть здоровую пищу и принимать необходимые витамины. В первом триместре следует принимать фолиевую кислоту.
Часто сталкиваетесь с проблемой боли в спине или суставах?
- У вас сидячий образ жизни?
 - Вы не можете похвастаться королевской осанкой и стараетесь скрыть под одеждой свою сутулость?
 - Вам кажется, что это скоро пройдет само по себе, но боли только усиливаются.
 - Много способов перепробовано, но ничего не помогает.
 - И сейчас Вы готовы воспользоваться любой возможностью, которая подарит Вам долгожданное хорошее самочувствие!
 
Эффективное средство существует. Врачи рекомендуют Читать далее>>!
Читайте также

 Наш эксперт:
Почетный доктор, Доктор Медицинских Наук 
Европейского университета, 
Член Российской Академии Естественных Наук, 
профессор ЕАЕН. Автор 3 книг, по лечению позвоночника, 
имеет два патента на изобретения.
Сфера деятельности 
Мануальная терапия, остеопатия. 
Об авторе. 

- Атрофия мышц
 - Боль в пояснице
 - Выпячивание в области позвоночника
 - Колебания артериального давления
 - Нарушение болевой чувствительности
 - Нарушение дыхания
 - Нарушение зрения
 - Нарушение кровообращения
 - Нарушение подвижности конечностей
 - Нарушение подвижности позвоночника в шейном отделе
 - Нарушение сердечной деятельности
 - Неврологические расстройства
 - Недержание кала
 - Недержание мочи
 - Онемение ног
 - Паралич конечностей
 - Понижение рефлексов
 - Судороги
 - Умственная отсталость
 - Ухудшение слуха
 
Спинномозговая грыжа – это тяжелый патологический процесс, часто врожденного характера, который возникает при незаращении задней стенки позвоночного канала. Через образовавшийся дефект происходит выход твердых мозговых оболочек, спинномозговой жидкости, корешков нервных окончаний, поражение головного мозга.
- Этиология
 - Классификация
 - Симптоматика
 - Диагностика
 - Лечение
 - Возможные осложнения
 - Профилактика
 
Комплекс физиологических и функциональных отклонений при спинномозговой грыже объединяется термином миелодисплазия.
Частота обнаружения болезни у новорожденных составляет 1 ребенок из 1000–3000 новорожденных, патология может сочетаться с другими аномалиями развития.
Диагностируется в момент ультразвукового исследования плода либо спинномозговая грыжа уже у новорожденных обнаруживается путем физикального осмотра и проведения инструментальной диагностики. Лечение только операбельное. В реабилитационный период прописывают физиотерапию с гимнастикой для восстановления активности нервных рецепторов.
Этиология

Данная патология имеет довольно большой список причин, в зависимости от времени обнаружения и характера приобретения, у взрослого или у ребенка, врожденное отклонение в развитии или же последствие осложнения остеохондроза, травмы.
Спинномозговая грыжа у взрослых имеет следующие причины возникновения:
- травмы позвоночника;
 - результат проведения оперативного вмешательства на позвоночнике;
 - наследственная предрасположенность;
 - сильное физическое перенапряжение;
 - лишняя масса тела;
 - малоподвижный образ жизни;
 - болезни позвоночника.
 
В позвоночнике человека твердые костные элементы замещаются хрящевыми, что делает его гибким и подвижным. Межпозвоночные диски обеспечивают пластичность и амортизацию, а под воздействием неблагоприятных факторов являются самыми уязвимыми.
Врожденная спинномозговая грыжа имеет следующие причины:
- недостаток полезных веществ в процессе формирования плода;
 - влияние токсинов на организм;
 - прием наркотических средств во время беременности;
 - тяжелые инфекционные заболевания беременной женщины.
 
Патология развивается из-за порока в процессе формирования невральной трубки у эмбриона, которая образует позвоночный канал и спинной мозг. От периода, в котором эмбрион подвергся воздействию неблагоприятных факторов, будет зависеть тяжесть течения такой патологии, как врожденная спинномозговая грыжа.
Классификация
В зависимости от причины возникновения и возраста пациента классификация спинномозговой грыжи может осуществляться по степени течения, по месту локализации и по разновидности.
Врожденная спинномозговая грыжа может находиться в любом отделе позвоночника:
- в шейном – довольно редкая разновидность патологического процесса, когда обнаруживается дефект в верхней части спинного мозга, отвечающего за голосовые связки и мышечную функцию лица и шеи, образование нарушает двигательную активность, отрицательно влияет на органы дыхания и способность сосания у ребенка;
 - в грудном – отрицательно влияет на функционирование лицевых мышц, гортани, в патологический процесс вовлекается сердечно-сосудистая система, печень, желудок, кишечник, селезенка;
 - в поясничном – встречается часто, поражается двигательная функция ног, наблюдаются изменения в работе желудочно-кишечного тракта, у взрослых вызывает проблемы с мочеполовой системой.
 
По типу расщепления позвоночника спинномозговая грыжа у детей бывает двух форм:
- скрытая форма, когда не обнаруживается выпячивание наружу, без симптоматического отклонения с незначительным углублением в пораженной области участка позвоночного столба;
 - грыжевая – открытая форма с выпячиванием наружу, с двигательными и функциональными нарушениями.
 
По степени наружного разрастания данная патология делится на следующие виды:
- менингоцеле – относится к легкой форме заболевания, позвоночник деформируется после проникновения спинномозговой оболочки, в таком случае мозг не изменяется, его структура и функции в нормальном состоянии, симптоматика практически не отмечается;
 - менингомиелоцеле – за границы позвоночника ребенка выходит спинномозговое вещество без повреждения нервной трубки, отмечаются изменения по невралгии;
 - менингорадикулоцеле – является тяжелой формой, в дефектную область попадает спинной мозг, нервная ткань с неизмененной нервной трубкой;
 - миелоцистоцеле – тяжелейшая степень нарушения структуры спинного мозга без возможности восстановления, терапевтический прогноз отрицательный;
 - рахишизис – расщепляется оболочка спинного мозга, на грыже отсутствует кожный покров, для младенца такая форма крайне опасна для жизни.
 

Очень редко встречается выпячивание с опухолевидным новообразованием, что носит доброкачественный характер, но при отсутствии лечения трансформируется в злокачественное новообразование и приводит к смерти.
У взрослых причиной возникновения грыжи является травма или сильная нагрузка: в таких случаях чаще всего диагностируется менингоцеле или менингомиелоцеле. Пациент нуждается в срочном оказании помощи и оперативном вмешательстве.
Симптоматика
Патологический процесс грыжеобразования может иметь скрытый характер развития и проявляется уже у взрослого человека из-за неблагоприятных факторов (при травме, подъеме тяжестей). Основными симптомами будут боли в поясничном отделе, онемение ног, временная потеря движения.
В целом спинномозговая грыжа симптомы имеет следующие:
- округлое выпячивание в области позвоночника;
 - нарушается болевая чувствительность;
 - снижается двигательная активность конечностей;
 - отсутствие или снижение рефлексов;
 - судорожные приступы;
 - паралич верхних или нижних конечностей;
 - нарушается кровообращение;
 - дисфункция дыхательной системы и сердца;
 - неврологические расстройства;
 - умственная отсталость;
 - недержание мочи и кала.
 
Параллельно могут возникать кожные заболевания, патологии органов таза, пневмонии.
Спинномозговая грыжа у новорожденных вызывает проблемы с терморегуляцией, а также присутствует мышечная атрофия, пролежни и трофические язвы.
Самая тяжелая разновидность – грыжа шейного отдела, которая может привести к инвалидности, вызывает скачки давления, сковывает подвижность шеи, вызывает нарушение зрения, слуха. У взрослых отмечается бессонница, рвота, тошнота, шумы в ушах, онемение, головные боли, гипертония.
Диагностика
Спинномозговая грыжа у плода диагностируется при плановом осмотре беременной с помощью ультразвукового исследования. Если патология носит тяжелый характер развития, беременность прерывается, так как ребенок будет нежизнеспособным.
При жалобах на боли в пояснице и в районе шеи менингоцеле может быть обнаружено только после ультразвукового исследования или рентгена, аппаратное исследование поможет выявить точную локализацию, структуру.
Спинномозговая грыжа у новорожденных открытого типа диагностируется сразу после рождения, но требует дополнительных исследований, чтобы установить структуру, вид, содержимое мешка и исключить злокачественную опухоль.
Проводят следующие мероприятия:
- ультразвуковое исследование;
 - рентгенологическое исследование;
 - проводится трансиллюминация;
 - компьютерная томография;
 - биопсия образования;
 - анализ крови общий и биохимический.
 
Чаще всего после исследований, у взрослого обнаруживается менингоцеле на уровне s2 и s4 (во втором и четвертом крестцовых позвонках).
После комплексных исследований у пациентов часто обнаруживается расщепление позвоночника, наблюдается незаращение дужки позвонка. Такой тип патологического отклонения носит название – спина бифида и сочетается с дефектами развития спинного мозга.
Лечение
Спинномозговая грыжа лечится только с помощью хирургического вмешательства. Если обнаруживается спинномозговая грыжа у новорожденных, то при отсутствии показаний к возможному разрыву мешка оперативное вмешательство откладывают на более поздний срок – до достижения ребенком годовалого возраста. Если же существует риск разрыва грыжи, то операция проводится сразу.
У взрослого таких проблем не возникает, и хирургическое вмешательство проводится после госпитализации.
Операция при спинномозговых грыжах направлена на устранение пульпозного ядра, которое сдавливает нервные окончания и выступает за пределы позвоночника. Чем меньше травмируются мягкие ткани, тем лучше и быстрее протекает реабилитация.
У маленьких пациентов всегда существует риск повреждения нервных окончаний, что может привести к нарушениям функционирования опорно-двигательного аппарата, застою крови, потере чувствительности.
Существует несколько видов оперативного вмешательства при такой патологии:
- Микродискэктомия. Суть процесса заключается в удалении хряща. Делается небольшой надрез, при удалении разрушенных дисков соседние позвонки сращиваются между собой, проводится под наркозом.
 - Эндоскопия – делается небольшой надрез и проводятся манипуляции, за которыми врач наблюдает через монитор.
 - Удаление грыжи лазером – вводится светодиод в отверстие, и грыжа выпаривается. Процесс восстановления после такого метода занимает много времени.
 

Удаление грыжевого мешка проводится тогда, когда его размеры выше 7 миллиметров.
После того как удалена спинномозговая грыжа, назначаются следующие общие клинические рекомендации:
- не перегружать позвоночник;
 - первые полгода доступна только легкая ходьба без резких движений, поездка в транспорте отменяется, так как дороги не способствуют плавному передвижению;
 - нельзя поднимать груз свыше 5 килограммов веса;
 - запрещены сауны, баня, а также переохлаждение;
 - не употреблять сильно калорийную пищу.
 
Спинномозговая грыжа у новорожденных легкой формы характеризуется относительно положительным прогнозом. Во всех остальных случаях исход терапевтических мероприятий будет зависеть от тяжести течения патологического процесса, однако, в большинстве случаев наблюдается развитие серьезных осложнений.
В реабилитационный период назначают медикаментозное лечение с помощью препаратов:
- для нормализации нервной системы и кровообращения;
 - для улучшения обмена веществ;
 - противовоспалительные.
 
Назначаются физиотерапевтические методы, лечебная физкультура, диетическое питание. Процесс восстановления может длиться от нескольких недель до 4 месяцев.
Возможные осложнения
Спинномозговая грыжа – очень серьезное заболевание, которое вызывает следующие тяжелые последствия:
- инфицирование из-за разрыва грыжевого мешка;
 - потеря двигательной активности, паралич;
 - бесплодие;
 - проблемы с опорожнением (недержание мочи и кала);
 - головной мозг при грыже шейного отдела функционирует хуже;
 - инвалидность;
 - смерть.
 
Оперативное устранение недуга всегда граничит с риском, так как могут быть затронуты нервные окончания, что может привести к инвалидности, а несоблюдение врачебных рекомендаций способствует рецидиву заболевания.
Профилактика
Спинномозговая грыжа у новорожденных не имеет специфической профилактики, поэтому единственно рациональным решением будет ведение здорового образа жизни в период вынашивания ребенка. Что касается проявления данного заболевания у взрослых, то необходимо проводить профилактику инфекционных и воспалительных процессов, остерегаться травм и тяжелых физических нагрузок.
Что такое грыжа спинного мозга
Спинальная бизрафия:
- порок развития с неполным закрытием нервной трубки
 - Одна треть дизрафий - открытые, две трети - скрытые.
 
Менингоцеле:
- составляет 2,4% от всех скрытых спинальных дизрафий
 - Выпячивание грыжевого мешка, заполненного ЦСЖ и ограниченного твердой и паутинной оболочками, через заднюю позвоночную расщелину
 - Полностью покрыто кожей
 - Обычно встречается неполная дизрафия с неполным закрытием дуги позвонка (spina bifida). Часто сочетается с поверхностной патологией кожи (например, втянутостъю кожи, гипертрихозом)
 - Spina bifida, как правило, протекает бессимптомно
 - Менингоцеле обычно не содержит нервной ткани (иногда в крупное менингоцеле могут попадать корешки терминальной нити)
 - Не является показанием к экстренному хирургическому вмешательству.
 
Миеломенингоцеле:
- самый частый вид открытых спинальных дизрафий (98,8% случаев)
 - Грыжевое выпячивание недоразвитого спинного мозга (спинномозговая грыжа) и мозговых оболочек через костный дефект в задних структурах позвоночника; нервные элементы выступают над поверхностью кожи (нервная плакода)
 - Часто сочетается с маленькой задней черепной ямкой, смещением ткани мозжечка каудально и гидроцефалией (Киари II)
 - Методы визуализации применяют в первую очередь для лечение врожденной спинно-мозговой грыжи у детей и новорожденных и наблюдения в послеоперационном периоде и выявления сопутствующих пороков развития; при Киари II гидроцефалия может развиваться лишь после закрытия миеломенингоцеле
 - Неотложное состояние: для предупреждения инфицирования открытого спинного мозга и нарастания неврологических нарушений показано хирургическое закрытие дефекта в течение 48 ч (оперативное лечение врожденной спинно-мозговой грыжи у детей и новорожденных)
 - Обычно поражается поясничный и пояснично- крестцовый отделы позвоночника
 - Чаще встречается у девочек.
 
Как диагностировать менингоцеле и миеломенингоцеле
- Сагиттальная проекция: Т1- и Т2-взвешенные изображения (также визуализируется поверхность кожи).
 - Фронтальная проекция; при выраженном сколиозе.
 - Горизонтальная проекция: Т2-взвешенное изображение с TSE (толщина срезов: 3 мм - в области костных дефектов. 5-10 мм - над остальными отделами позвоночника (сопутствующая гидромнелия, диастематомие- лия)); Т1-взвешенное изображение (толщина срезов - 3 мм над костными дефектами).
 - Контрастирование показано при наличии в позвоночном канале мягкотканного компонента (хрящевые структуры могут трансформироваться в опухоли волокнистой соединительной ткани) или при наличии воспалительного процесса в послеоперационном периоде: Т1-взвешенное изображение в сагиттальной и поперечной проекциях с подавлением сигнала от жировой ткани.
 - МРТ головного мозга для выявления сопутствующих аномалий.
 

Рентгенограмма пояснично-крестцового сочленения (прямая проекция, фрагмент). Spina bifida на уровне позвонка Цг.

У новорожденного в области крестца выявлено объемное образование. Движения ног у ребенка не нарушены. МРТ пояснично-крестцовой области (сагиттальная проекция, Т2-взве- шенное изображение). Грыжевой мешок содержит только ЦСЖ. Наблюдается внутрипозвоночное опущение мозгового конуса и короткие прямые волокна конского хвоста, которые фиксированы к каудальным отделам дурального мешка.

МРТ позвонка Ц/ (горизонтальная проекция, Т2-взвешенное изображение). Костный дефект закрыт соединительнотканными структурами (данные получены во время операции), через которые выпячивается грыжевой мешок, заполненный ЦСЖ. Определяется перегородка, но нервные структуры отсутствуют. Эти структуры не выходят за пределы позвоночного канала. Переднее субарахноидальное пространство не расширено. Грыжевой мешок покрыт тонким слоем кожи.

 При УЗИ в 20 нед. беременности выявлено наличие spina bifida. МРТ плода и таза (фронтальная проекция, Т2-взвешенное изображение). Грыжевой мешок, расположенный в крестцовой области и содержащий структуры спинного мозга, ориентирован вдоль верхушки крестца.
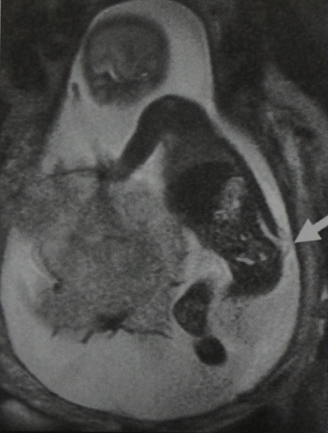
На Т2-взвешенном изображении в горизонтальной проекции визуализируются костный дефект с широким основанием и миелоцеле, содержащее структуры спинного мозга (стрелка).
- МРТ плода: для оценки прогноза.
 
- Клинические показания
 - Предоперационное обследование
 - Анатомическая оценка элементов, содержащихся в грыжевом мешке, и их взаимосвязи с нервными корешками
 - Определение морфологического строения
 - Выявление сопутствующей диастематомиелии (например гемимиеломенингоцеле)
 - Визуализация послеоперационных осложнений
 
- через 48-72 ч после операции
 
Рецидивирующая фиксация спинного мозга:
- нити рубцовой ткани фиксируют спинной мозг к твердой мозговой оболочке
 
Киста паутинной оболочки:
- последствия послеоперационного спаечного процесса
 - Дает несколько усиленный сигнал по сравнению с ЦСЖ (повышенное содержание белка)
 - Выраженная стенка
 - При контрастировании ЦСЖ нарушения циркуляции отсутствуют
 
Дермоидная и эпидермоидная кисты:
- возникают вследствие имплантации эпидермиса во время операции, как первичное образование или в сочетании с дермальным синусом
 - На Т1- и Т2-взвешенных изображениях несколько гиперинтенсивны по сравнению с ЦСЖ
 - В случае присоединения вторичной инфекции наблюдается накопление контраста
 
Внимание: разрыв приводит к токсическому менингиту
Сирингомиелия (сирингогидромиелия): основная причина нарастания неврологических нарушений в послеоперационном периоде, приводит к быстрому прогрессированию сколиоза.
- Трехмерная реконструкция для выявления сопутствующих пороков развития костей.
 
- Визуализация костного дефекта (spina bifida)
 - Оценка сколиоза.
 
- Пренатальная диагностика дизрафий
 - УЗИ плода для оценки прогноза
 - Применяется для исследования мозгового конуса и терминальной нити у новорожденных с нестабильным состоянием (когда проведение МРТ невозможно)
 - Амниоцентез
 - Повышение уровня а-фетопротеина.
 
Клинические проявления
- обычно протекает бессимптомно (отсутствует первичное поражение спинного мозга)
 - Внимание: при наличии пролежней возможно изъязвление, что приводит к образованию открытых поражений
 - Синдром фиксации спинного мозга с нарастанием неврологической симптоматики.
 
- по средней линии спины определяется непокрытое кожей грыжевое выпячивание нервной ткани, имеющее красноватый оттенок
 - Чувствительные и двигательные нарушения в нижних конечностях
 - Нарушение функции тазовых органов
 - Редко задержка психомоторного развития
 - Выраженность симптомов может быть различной.
 
Лечение
Лечение менингоцеле крестцово поясничного отдела позвоночника:
- при изъязвлении пролежней показано немедленное закрытие менингоцеле
 - Устранение фиксации спинного мозга.
 
- экстренное нейрохирургическое вмешательство
 - Мобилизация плакоды (местного утолщения слоя зародышевого эпителия)
 - Закрытие дефекта мягких тканей
 - Исследуются возможности внутриутробного хирургического лечения.
 
Особенности патологий, схожих с менинго- и миеломенингоцеле
Открытые спинальные дизрафии
- Миелошизис (миелоцеле): встречается очень редко; так как субарахноидальное пространство не распространяется до уровня поражения, нервная плакода расположена на уровне кожи или несколько углублена
 - Удвоение спинного мозга с миелоцеле или миеломенингоцеле одной половины спинного мозга: порок развития только одой половины спинного мозга
 
Закрытые спинальные дизрафии
- Липомиелошизис: подкожная внутрипозвоночная липома, спаянная с нервной плакодой
 - Липомиелоцеле: подкожная внепозвоночная липома, спаянная с нервной плакодой
 - Липомеиломенингоцеле: подкожная липома, обычно асимметрично спаянная с нервной плакодой.
 - Миелоцеле на противоположной стороне
 - Терминальное миелоцистоцеле: расширение центрального канала спинного мозга с образованием кисты конечного отдела спинного мозга (сирингоцеле)
 - Шейное миелоцистоцеле: дорсальная стенка центрального канала спинного мозга смещена и сообщается с менингоцеле
 - Шейное миеломенингоцеле: фиброзный нервно- сосудистый тяж смещается в менингоцеле через дефект задней стенки
 
Читайте также:
- В чем заключается различие клеток мышечной и нервной ткани
 - Скорректированный мом afp находится в области низкого риска для дефекта нервной трубки что это значит
 - Воспаление нервы спина верх плечо и руки какой уколы
 - Эссенциальный тремор что это такое и как с ним бороться
 - Гистологический препарат нервной ткани
 


