Коленный сустав ребенка 11 лет
Боль в колене – патологический симптом, который указывает на развитие целого ряда заболеваний. Причина его возникновения может крыться в воспалении, активном росте костей, избыточных нагрузках, травмах и т.д. Если у ребенка болит колено одной ноги в течение 5-7 дней, следует показать его педиатру. Нарастание болей в 88% случаев сигнализирует об органическом поражении суставов и внесуставных тканей.
Причины
Колено – один из самых крупных суставов в человеческом теле, который соединяет надколенник с большеберцовой и бедренной костью. В связи с отсутствием внешней защиты в виде мышечной или жировой прослойки именно эта часть скелета больше подвержена травматизму.
Если у ребенка болят колени, причины патологического состояния могут крыться в негативном воздействии как экзогенных, так и эндогенных факторов.

Травматизм – наиболее распространенная причина возникновения боли в коленном суставе у детей. Повреждение костных и мышечных структур, связок и сухожилий может быть вызвано ушибами, резким движением или поворотом, падением, ударом мяча и т.п. Все эти факторы могут привести к:
- вывихам;
- подвывихам;
- переломам;
- растяжению связок или сухожилий;
- повреждению хрящевых дисков (менисков).
У детей в возрасте до 14 лет даже незначительные ушибы могут сопровождаться смещением коленной чашечки и разрывами связочных волокон.
Возникновение вышеперечисленных травм у ребенка всегда идет в совокупности с сильными болями, гематомами, онемением кожи или отеком тканей.
Дискомфорт в нижних конечностях может быть следствием избыточных физических нагрузок, возникающих во время активных игр. Если ребенок жалуется на боль в коленях после посещения спортивной секции, причиной тому является перегрузка костно-связочных системы. Также боли часто возникают при:
- езде на велосипеде;
- избыточном весе;
- многократных прыжках;
- подъеме по лестнице.

Боль при сгибании ног свидетельствуют о перетренированности мышц и растяжении связок. Чтобы улучшить состояние ребенка, желательно снизить уровень нагрузок.
Для предотвращения осложнений рекомендуется использовать эластичные бинты или специальные коленные ортезы.
Боль в колене у ребенка часто вызвана причиной, связанной с инфекционными заболеваниями – ревматизмом, артритом, тендинозом, бурситом. К проявлениям септического поражения хрящей и прилегающих тканей относятся:
- ограниченность движений;
- болезненные ощущения при пальпации;
- отек конечностей;
- локальное повышение температуры;
- гиперемия кожи.
Воспалительные процессы в нижних конечностях приводят к обострению болей при ходьбе или беге, субфебрильной лихорадке, снижению аппетита и общему ухудшению самочувствия ребенка. В случае возникновения таких симптомов необходимо обратиться за помощью к педиатру или терапевту.
Существует целый ряд врожденных заболеваний, которые невозможно выявить во время внутриутробного развития и в первые месяцы жизни ребенка. Некоторые из них связаны с патологиями соединительной ткани, связочно-мышечных структур и костей. К числу наиболее распространенных заболеваний, сопровождающихся болями, относятся:
- болезнь Марфана;
- аномалии тазобедренного сустава;
- плоскостопие;
- остеохондропатия;
- опухоли костей.
В случае развития серьезного заболевания ребенок может жаловаться на боли и тугоподвижность суставных сочленений, покалывание и онемение тканей в области поражения. При отсутствии должного внимания со стороны родителей могут возникать осложнения в форме остеомиелита, косолапости, тендинита, бурсита и т.п.

Выход коленной чашечки за границу пазов, находящихся на бедренной кости, провоцируют сильные боли у ребенка. Причиной такого состояния может стать вывих или подвывих коленного сустава. Сухожилия, которые соединяются с бугристостью на бедренной кости и прямой мышцой, формируют V-образное углубление. Резкое движение приводит к выскальзыванию надколенника и увеличению его подвижности.
Такие травмы чаще возникают у подростков во время активных игр – футбола, волейбола, баскетбола или хоккея. Избыточные нагрузки на нижние конечности и резкие движения влекут за собой подвывихи и, как следствие, боль в ногах.
Если у подростка болят колени, это может сигнализировать об остеохондропатии апофизов бугристости большеберцовой кости. Такое состояние возникает у ребенка 11-18 лет. Развитие болезни Осгуда-Шлаттера связано с активным ростом костей и хрящей.
Патологический процесс связан с перенапряжением сухожилий четырехглавой мышцы. Провокаторами воспаления могут стать чрезмерные физические нагрузки, ушибы и другие травмы, поэтому остеохондропатия чаще диагностируется у мальчиков 12-14 лет.
Заболевание характеризуется омертвением мыщелка трубчатой кости и расположенного под ним костного слоя. При повреждении упомянутых структур появляется дискомфорт в суставе во время ходьбы. Причина развития остеохондрита у ребенка в 77% случаев кроется в чрезмерных нагрузках во время занятий спортом.
Несвоевременное лечение патологии влечет за собой разрушение суставной поверхности и блокаду колена.

Редкое заболевание возникает по причине некротического поражения мыщелка бедренной кости. При развитии патологических процессов в надколеннике у малыша возникают жалобы на боли во время ходьбы, которые усиливаются при пальпации.
Дискомфорт в области суставных сочленений у ребенка часто провоцируется заболеваниями таза, к числу которых относятся:
- серповидно-клеточная анемия;
- аваскулярный некроз;
- перелом бедренной кости;
- инфекционный артрит;
- дисплазия суставов.
В возрасте 11-14 лет у детей может диагностироваться смещение бедренной кости в отношении шейки бедра. Боль в суставе – основной признак развития патологии у ребенка.
Заболевание характеризуется тугоподвижностью и воспалением хрящей у ребят до 16 лет. Детский артрит часто встречается у малышей 1-2 лет, поэтому вовремя его диагностировать очень сложно. К типичным симптомам болезни можно отнести:
- отек тканей сзади под коленом;
- кожные высыпания в области воспаления;
- гиперемия кожных покровов;
- утренняя скованность;
- выраженные боли в суставах.
При развитии артрита у маленького ребенка не получается совершать недавно освоенные движения – ползать, ходить или сидеть. Спустя 3-5 дней после воспаления суставных хрящей происходит поражение внесуставных структур, о чем свидетельствует отек конечностей. По ночам дети плохо спят из-за возможного усиления дискомфорта, а также отказываются от употребления пищи.

Диагностика
Своевременность лечения заболеваний во многом зависит от внимательности родителей. Если ребенок жалуется на боли в ногах, многие списывают появление симптома на ушибы, подвывихи, ссадины и т.д. Запоздалая диагностика и терапия влечет за собой серьезные, а иногда необратимые последствия. Поэтому при возникновении жалоб на состояние здоровья специалисты рекомендуют проходить обследование у педиатров.
Если боли не проходят в течение недели, в 70% случаев это свидетельствует о дегенеративных и воспалительных процессах в суставе.
Диагноз становится на основании физикального обследования и анамнеза больного. При отсутствии видимых изменений в костно-хрящевых образованиях применяются аппаратные методов диагностики:
- анализ крови;
- УЗИ конечностей;
- МРТ суставов;
- рентгенография.
В случае септического воспаления внутрисуставных структур может потребоваться пункция с целью определения возбудителя и типа инфекции. По результатам лабораторного и аппаратного исследования специалист определяет форму заболевания и составляет подходящую схему терапии.
Лечение
При отсутствии серьезных патологий прибегают к консервативной терапии, направленной на подавление воспаления, купирование болей и регенерацию поврежденных структур. В случае частичного разрушения хряща или образования внутри суставной сумки остеофитов прибегают к оперативному вмешательству.

Мануальная терапия улучшает кровообращение в околосуставных тканях и их питание полезными веществами, которые поступают с током крови. Это приводит к ускорению регенерационных процессов. До проведения массажа рекомендуется делать упражнения из ЛФК, принимать горячий душ или совершать растирания с согревающими мазями.
- растирание поверхностных слоев кожи;
- разминание мышц и связок;
- давление на околосуставные ткани;
- сгибание и разгибание ноги в колене.
Заканчивается сеанс мануальной терапии легким поглаживаем, обеспечивающим расслабление мышечно-связочных структур.
Принципы терапии зависят от формы патологии и причин ее возникновения. Для купирования воспаления и болей в районе поврежденного колена используются лекарства симптоматического и этиотропного действия. Первые нацелены на купирование симптомов, а вторые – на ликвидацию причин их возникновения.
Для устранения проблемы у ребенка могут использоваться такие группы медикаментов:
Согревающие компрессы и мази не используют при инфекционном воспалении по причине возможного прогрессирования патологических процессов.

Дополнительно рекомендуется прибегать к ЛФК, физиолечению, а также делать компрессы и использовать эластичные бинты для уменьшения нагрузки на конечности. Если в течение нескольких дней улучшение не наступает, нужно показать ребенка педиатру.
Хирургическое вмешательство показано только при развитии серьезных заболеваний: артроз, ревматизм, бурсит. Методы лечения зависят от возраста ребенка, особенностей течения болезни и характера патологических процессов. При скоплении внутри колена жидкости прибегают к малоинвазивной пункционной терапии.
В случае развития артроза используются следующие методы хирургического вмешательства:
- околосуставная остеотомия – частичная резекция костей с целью снижения нагрузки на суставные хрящи;
- артроскопический дебридмент – удаление некротических тканей в пораженном колене;
- артродез – полная резекция хрящевых структур с целью обездвиживания сустава.
Если боли у ребенка вызваны частичным разрушением суставного соединения, для его восстановления прибегают к эндопротезированию. Замена хрящевых структур имплантатом позволяет полностью восстановить подвижность коленей.

Для снижения медикаментозной нагрузки на организм специалисты рекомендуют прибегать к использованию средств альтернативной медицины. Они нацелены на устранение болей у ребенка, нормализацию кровообращения в конечностях и рассасывание гематом:
- Пихтовое масло. В подогретой эмульсии смачивают марлю и прикладывают к колену, после чего оборачивают его полиэтиленом. Процедуру совершают 3-4 раза в день при травматическом повреждении сустава.
- Лечебная мазь. Смешивают 3 ст. л. сока золотого уса с 1 ст. л. детского крема или вазелина. Приготовленным средством обрабатывают место повреждения не менее 3 раз в день в течение 2 недель.
Если вы сделали лечебную мазь в большом количестве, использовать ее следует в течение 2-3 суток. В противном случае она утратит свои терапевтические свойства.
Народные средства рекомендуется использовать при развитии у ребенка ревматизма, остеоартроза, ювенильного артрита или подагры.
Осложнения и реабилитация
Неадекватное лечение и несвоевременное оказание помощи ребенку может вызвать развитие побочных заболеваний и патологических состояний:
- бурсит;
- гемартроз;
- тендинит;
- менископатия;
- хондропатия.
Реабилитационная терапия позволяет предотвратить осложнения и восстановить целостность поврежденных органических структур. Она заключается в проведении физиотерапевтических процедур (электрофорез, магнитотерапия, фонофорез, УВЧ-терапия), применении ЛФК и специальных коленных ортезов, уменьшающих нагрузку на пораженные ткани.
Профилактика болей

Ребенок подвержен травматизму на 45% больше, чем взрослый человек. Чтобы предотвратить возникновение болей и ортопедических заболеваний, специалисты рекомендуют:
- избегать физических перегрузок;
- своевременно лечить травмы и инфекции;
- использовать наколенники во время катания на роликах;
- носить только удобную ортопедическую обувь;
- применять эластичные бинты при занятиях спортом.
Если ребенок до получения серьезной травмы ходил на борьбу, футбол, баскетбол или каратэ, после прохождения курса реабилитации отдайте предпочтение менее травматичным видам спорта – плавание, настольный теннис, езда на велосипеде и т.п.
Боль в колене у ребенка – симптом, который может указывать на развитие серьезных заболеваний. При возникновении жалоб нужно показать больного педиатру или терапевту, который определит причину дискомфорта и назначит адекватное лечение. Для устранения болей используются средства фармакотерапии, физиотерапии, а также ЛФК и лечебный массаж. При разрушении суставов прибегают к оперативным вмешательствам – эндопротезированию, остеотомии или артроскопическому дебридменту.
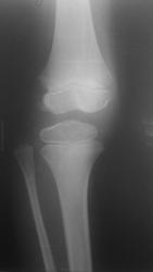
Мальчик 11 лет, жалобы на боли в коленных суставах в утреннее время. Движения в полном объеме, безболезненные, варусная деформация голеней с обеих сторон. У отца и деда выраженый гоноартроз.
![]()
![]()
![]()
![]()
![]()
![]()
![]()







![]()
Вопрос к детским рентгенологам (сама с детьми не работаю)-"лохматость" контуров суставных поверхностей бедренных костей у деток должна быть? А потом мне какие дополнительные тени кажутся, как суставные мыши у взрослых.
![]()
Патологии не вижу.
С уважением. Ильич.
![]()
Костная структура соответствует возрастной норме. Единственное, что настораживает, великоват диастаз в межберцовом сочленинии. Я бы выполнила сравнительную рентгенографию обоих коленных суставов в прямой проекции с очень небольшой внутренней ротацией голеней 1 лучом на 1 пленке (с обязательным строгим соблюдением симметрии в укладке).
Делай, что должно, и будь, что будет.
![]()
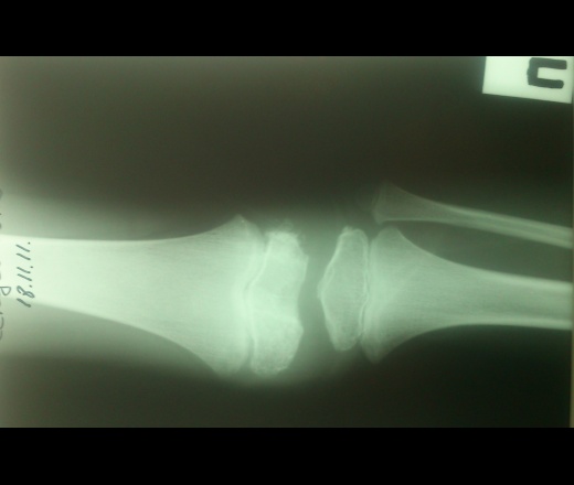
С детьми мало имеем "дела".
Но есть вопрос. А нормально ли "отстоит м/берцовая от б/берцовой?
![]()
![]()
![]()
Уважаемая Ola-la частенько такую "фиговину" носиком называет.
![]()
![]()
Что стрелками помечено, так это нормально?
![]()
![]()
![]()
Костный возраст не соответствует 11 годам, по Садофьевой:
Полное окостенение эпифизов бедренной, большеберцовой и малоберцовой костей завершается несколько раньше (примерно в 8 лет)
Головки малоберцовок - как-то высоковато стоят по прямым снимкам, то ли укладка такая.
![]()
Это тоже смутило.
![]()
![]()
Что стрелками помечено, так это нормально?
Вот-вот, и я об этом же. Дополнительные тени и нечеткость контуров.
Согласна, суставы не соответствуют возрасту, дополнительные тени - это добавочные ядра окостенения. Малоберцовые кости какие то длинные, щели межберцовых суставов широкие (в норме малоберцовая кость накладывается на большеберцовую). Вообщем, какие то диспластичные суставы. Костно-травматических изменений нет.
![]()
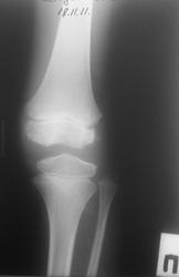
Мне периостальная реакция мерещится.
![]()
Патологии не вижу.
Согласен, но что-то ему болит. Скорее не рентгенологические проблемы, большая часть болей связана не с костной патологией.
Как правило, если имеют место "утренние боли", а если ещё и утренняя скованность, то нужно исключать различного рода артриты. Плюс ко всему нужно помнить о "болях роста". Варусная деформация с болями никак не связана, у детей вообще крайне редко любые деформации болят.
![]()
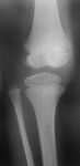
подозрение здесь на 2сторонний рассекающий остеохондрит ,ко-ый может иметь место в 30% случаев .слева в проекции дистального эпифиза бедра ,в проекции латерального мышелка бедра ,определяются точки окостенения ,один из находится на большом удалении от мышелка,чего не должно быть ,вероятнее всего яв-ся костным фрагментом.справа четко определятся костный фрагмент вогнутой формы (ядро окостенения всегда должно быть в этой зоне округлой формы ),с нечеткостью замыкательной пластинки (размытость).решить вопрос может мрт-будет отек и гипоинтенсивный сигнал во всех последовательностях(участок некроза)
![]()
Как детский ортопед, а совсем не рентгенолог, не могу без того, чтобы на самого ребенка не посмотреть. Прежде всего надо посмотреть на склеры, а уж если склеры голубые, то сразу к генетику вместе с папой и дедом. Если склеры не голубые, то и при этом есть вероятность несовершенного остеогенеза, формы которого весьма разнообразны, к тому же добавляются новые данные и клинические случаи, весьма разнящиеся.
Всё то, что Валентин Львович отметил стрелочками - не норма. Я бы описал на месте автора побробно снимок без заключения, а остальное предоставил ортопеду. У нас так и делается. И это правильно.
None are more hopelessly enslaved than those who falsely believe they are free
Содержание:
Каждый 1000-й ребенок с ней сталкивается, при этом первые ее симптомы могут возникать даже в младенческом возрасте. Прочитав статью, вы узнаете, что это за болезнь, какие ее виды поражают детей, как она проявляется в раннем возрасте и как ее лечат.
Основные характеристики заболевания
Сначала давайте рассмотрим болезнь подробнее, чтобы понимать, о чем идет речь. Артрит коленного сустава у детей представляет собой внутрисуставное воспаление, чреватое обездвиживанием и деформацией коленного сустава.
Если его оставить без лечения, тогда он проявится во взрослом возрасте уже в более тяжелой форме и даже может сделать человека инвалидом.
Не стоит путать артрит с бурситом. В отличие от вышеописанного заболевания, бурсит коленного сустава проявляется меньшей болезненностью и тугоподвижностью.
Предлагаю посмотреть это видео, в нем рассказывается на что нужно обратить внимание родителям:
Виды патологии
У ребенка артрит может возникнуть в любом возрасте, даже в год и раньше.
Зачастую детей поражают следующие виды заболевания:
- инфекционный – развивается вследствие инфекций, причем различных, например, после мочеполовой или кишечной инфекции, провоцируется попаданием вредоносных микроорганизмов в полость сустава;
- вирусный– возникает из-за вирусных инфекций, а именно таких, как энтеровирусная инфекция, грипп, краснуха, гепатит В;
- постстрептококковый (ревматизм) – часто представляет собой осложнение хронического тонзиллита и подобных инфекций;
- стафилококковый –в 80% случаев из-за данного микроорганизма развивается гнойный артрит;
- поствакцинальный – развивается вследствие негативной реакции детского организма на вакцинацию;
- ювенильный ревматоидный – возникает из-за аутоиммунных нарушений.
А еще болезнь принято делить на два основных типа: моноартрит (воспаление одного сустава, зачастую крупного, например, правого коленного сустава или левого) и полиартрит (поражение двух и более суставов, может быть зеркальным).
Кроме того, следует отметить, что заболевание может быть острым и хроническим. В первом варианте воспаление развивается за несколько дней и быстро проходит, во втором – протекает вяло, с периодами ремиссий и рецидивов.
Это не значит, что острый артрит более легкий, так как из-за него также быстро могут деформироваться суставы. При хроническом типе заболевания осложнения развиваются медленно, поэтому есть больше времени на лечение.
Основные признаки
Заметить вышеописанную болезнь у ребенка не так-то просто, так как дети, особенно маленькие, не могут полноценно выражать свои ощущения. Но если родители будут внимательными, тогда самостоятельная диагностика вполне может быть успешной и своевременной.
Коленный артрит зачастую начинается с болей в пораженном суставе. Это основной начальный симптом. Сначала боль временная, умеренная, при покое и отдыхе притупляется и усиливается во время физической активности.
С каждым последующим днем состояние больного ухудшается: болезненность усиливается, мягкие ткани вокруг пораженного места начинают отекать, из-за чего постепенно теряется подвижность.
Если заболевание острое и первичное, тогда у болеющего дополнительно могут возникнуть симптомы лихорадки и интоксикации:
- озноб;
- слабость;
- повышение температуры;
- отсутствие аппетита;
- ломота в теле.
Более специфические симптомы зависят от типа болезни. Давайте рассмотрим их подробнее:
Причины развития воспаления
Причины возникновения вышеописанной болезни очень разнообразны.

Зачастую патология провоцируется совокупностью факторов, а именно таких, как:
- постоянное переохлаждение;
- частые инфекционные болезни;
- травмы;
- болезни нервной системы;
- наследственность;
- гормональный сбой;
- дефицит витаминов;
- болезни иммунной системы;
- нарушение обмена веществ.
Независимо от типа и причины, болезнь нужно обязательно лечить, но сначала придется пойти в больницу и пройти обследование.
Диагностика
Больного ребенка необходимо показать нескольким специалистам: ревматологу, педиатру, дерматологу, офтальмологу, кардиологу, неврологу.
Для точной постановки диагноза необходимы следующие процедуры:
- МРТ или УЗИ сустава;
- биохимия крови.
Результаты анализов помогут врачу определить точную причину заболевания и подтвердить диагноз. Например, повышенный показатель СОЭ покажет воспалительный процесс в организме, а УЗИ покажет изменения в самом суставе.
После диагностики назначается лечение, которое может быть стационарным или диспансерным, что зависит от тяжести и запущенности патологии.
Основные лечебные мероприятия
Терапия детского артрита может длиться месяцами и даже годами, а иногда, особенно если изначально проводилась неправильно, становится пожизненной.

Лечение должно быть комплексным, очень важно при этом найти точную причину возникновения болезни и убрать ее в первую очередь.
Само воспаление сустава лечат следующим образом:
- для снятия боли и отечности назначаются нестероидные противовоспалительные препараты;
- при инфекционном типе заболевания используются антибиотики;
- ЮРА у детей лечат гормонами либо цитостатиками;
- если в суставе скапливается много жидкости, тогда целесообразно проведение пункции (это крайняя мера, остальные хирургические мероприятия детям назначаются очень редко);
- после снятия острого воспаления назначаются витамины, физиопроцедуры, массажи, санаторно-курортное лечение.
Во время болезни нужно соблюдать малоактивный режим, диету и обязательно обеспечить покой пораженному суставу. В качестве обезболивающих можно принимать Диклофенак, Ибупрофен, Напроксен.
Остальные препараты назначает только врач, самолечение в данном случае категорически противопоказано!
Также советую вам почитать статью о лечении артрита коленного сустава в домашних условиях, которую мы публиковали ранее.
На этом все, дорогие читатели. Чтобы защитить своих детей от воспаления суставов, вовремя лечите инфекционные болезни, избегайте травм, следите за иммунитетом ребенка, давайте ему витамины. Берегите себя и своих близких.
Желаю вам крепкого здоровья, до новых встреч!
Читайте также:



