Коленный сустав в петербурге институт
Операция по замене коленного сустава — единственный радикальный метод лечения деформирующего остеоартроза III-IV степени. Она помогает избавиться от хронических болей в колене и восстановить нормальную подвижность нижней конечности. Уже через несколько месяцев после хирургического вмешательства пациент вернётся к полноценной жизни.

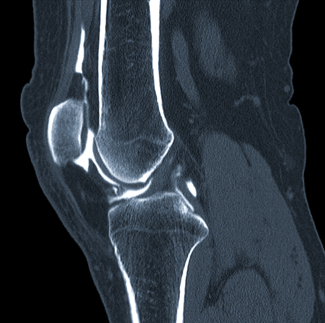
Динамика гонартроза коленного сустава.
Эндопротезирование коленного сустава делают во многих больницах и клиниках Санкт-Петербурга. Это очень удобно, поскольку дает человеку возможность получить необходимую медицинскую помощь в своем городе, практически рядом с домом. С другой стороны, лечение в Санкт-Петербурге имеет ряд недостатков, заставляющих людей все чаще ехать лечиться за границу.

Две технологии замены коленного сустава: частичная и тотальная.
Давайте разберем все нюансы эндопротезирования в Санкт-Петербурге и выясним, можно ли получить качественную медицинскую помощь в нашем городе.
Клиники, где выполняют операцию
Лечением коленных суставов занимается ряд государственных и частных клиник. Последние оперируют пациентов как платно, так и по квоте, то есть за счет бюджетных средств. В ысокотехнологичная Медицинская Помощь (ВМП) оказывается больным в рамках Обязательного Медицинского Страхования.
В медицинских учреждениях Санкт-Петербурга делают все виды эндопротезирования (первичное, тотальное, ревизионное, одномыщелковое). Если операцию выполняют в частной клинике за деньги, пациент может сам выбрать протез. Эндопротезирование по квоте лишает его подобного выбора.
НИИ травматологии и ортопедии им. Р.Р.Вредена
Самое большое медицинское учреждение Санкт-Петербурга. НИИ занимается научной, образовательно и лечебной деятельностью. Институт им. Вредена сотрудничает со многими ведущими клиниками зарубежья. Тут проводятся научные конференции, на которых лучшие специалисты со многих стран обмениваются опытом.

РНИИТО им. Р.Р. Вредена.
Эндопротезирование здесь выполняют кандидаты и доктора наук, профессора. Операции делают в травматолого-ортопедическом отделении №5. В Институте оказывают Высокотехнологичную Медицинскую Помощь как на коммерческой основе, так и бесплатно, то есть по квоте. Устанавливают тут разные модели отечественных и импортных эндопротезов.

Многопрофильный центр Минздрава РФ
Одно из наиболее старых медицинских учреждений СПб, в котором оказывают Высокотехнологичную Медицинскую Помощь за счет средств федерального бюджета. Отметим, что жителей и гостей города лечат не только по договорам Добровольного Медицинского Страхования (ДМС), но и на коммерческой основе. В Многопрофильном центре работают кандидаты и доктора наук.

Университет им. академика И.П. Павлова
Эндопротезирование коленного сустава также выполняют в травматолого-ортопедическом отделении №2 СПГМУ им. Павлова. Прооперироваться тут можно платно или же за счет федеральных и городских квот. Каждый житель имеющий полис ДМС, может получить тут бесплатную медицинскую помощь.

Первый Санкт-Петербургский государственный медицинский университет им. акад. И.П. Павлова.
В центре проводится консультативно амбулаторный прием граждан, нуждающихся в получении бесплатной Высокотехнологичной Медицинской помощи. Люди, желающие прооперироваться по квоте, могут обратиться непосредственно СПГМУ и получить там консультацию.
Применяемые технологии
В Санкт-Петербурге эндопротезирование могут выполнять традиционным или малоинвазивным методом. Чаще всего больным меняют весь коленный сустав. Из-за сравнительно низкой эффективности и частой потребности в повторной операции одномыщелковое эндопротезирование выполняют гораздо реже.
Хирургическую замену коленного сустава делают под общей анестезией. Для профилактики инфекционных и тромбоэмболических осложнений больным проводят антибиотикотерапию и назначают антикоагулянты. Отметим, что для выполнения эндопротезирования в РФ используют такой же хирургический инструментарий, как и в других странах. Для мониторинга состояния пациента применяют стандартную аппаратуру.
Виды имплантируемых эндопротезов:
- Импортные. Традиционно считаются лучшими. Стоят гораздо дороже отечественных, что не позволяет ставить их всем пациентам. Как правило, импортные протезы устанавливают людям, которые оперируются в частных клиниках и сами оплачивают операцию.
- Отечественные. Их имплантируют всем пациентам, которые лечатся по квоте, то есть за счет бюджетных средств.
При отсутствии осложнений пациенту уже на следующий день разрешают двигать прооперированной ногой и даже аккуратно ходить со специальными костылями. Естественно, медперсонал при этом внимательно следит за больным и помогает ему.

Разница в степени износа металлического компонента и изготовленного из черной керамики.
Как правило, человека выписывают из стационара на 5-10 день после операции. Еще через несколько дней ему снимают швы в амбулаторных условиях. Затем больному дают нужные рекомендации и советуют пройти курс санаторно-курортного лечения по окончании периода реабилитации.

Степень износа пластиковой платформы импланта за 16 лет нахождения в теле пациента.
Плюсы и минусы лечения в Санкт-Петербурге
Преимуществом эндопротезирования Санкт-Петербурге является возможность прооперироваться бесплатно по квоте. Для многих людей это единственный доступный способ избавиться от хронических болей в ногах и вновь начать нормально ходить. Так что если у вас нет нескольких десятков тысяч рублей на операцию – этот вариант для вас.
Среди недостатков лечения в Санкт-Петербурге следует выделить отсутствие полноценной реабилитации. Медперсонал заботится о пациенте лишь в первые 1-2 недели после операции. Затем человека выписывают из стационара, порекомендовав ему пройти реабилитацию дома или где-нибудь в другом месте. К сожалению, большинство людей не делает этого, из-за чего восстановительный период сильно затягивается.
Факт! По статистике, на протяжении 10 лет после замены сустава в ревизионном эндопротезировании нуждается 3-5% пациентов. Жалобы на сохраняющиеся боли, трудности при ходьбе, дискомфорт и неприятные ощущения в колене предъявляют 10-30% прооперированных. Наиболее частой причиной осложнений является именно отсутствие полноценной реабилитации.
Лечение по квотам ОМС
Лечение по полису Обязательного Медицинского Страхования позволяет любому жителю Санкт-Петербурга прооперироваться бесплатно практически в любой клинике города. Для этого нужно получить специальную квоту на Высокотехнологичную Медицинская Помощь и отнести ее в медицинское учреждение. Затем нужно дождаться своей очереди и явиться в стационар для плановой операции.
Минусы эндопротезирования по квоте:
- Необходимость собирать документы и проходить несколько комиссий. Все это может занять немало времени.
- Долгое ожидание в очереди на операцию. Получив квоту на бесплатное эндопротезирование, человеку приходится еще 3-8 месяцев ждать операции. Многие пациенты, так и не дождавшись бесплатного лечения, идут в частную клинику и оперируются за деньги.
- Невозможность выбрать лечащего врача и имплант. Как мы уже говорили, успех операции зависит от квалификации хирурга и качества протеза, который имплантируют больному. Люди, оперирующиеся по квоте, не могут выбрать ни того, ни другого. Следовательно, они могут попасть в руки не самого опытного врача. К тому же, им поставят отечественный протез, который немного хуже импортного.
- Отсутствие реабилитации. После хирургического вмешательства человека уже через несколько дней отправляют домой. Если он решит пройти реабилитацию, делать это ему придется за свой счет.
Факт! Существует два способа получить квоту на эндопротезирование. Первый – обратиться в местный департамент здравоохранения, второй – в клинику, где вы ходите оперироваться.


Платная операция
Многие клиники и медицинские центры города выполняют платную замену коленного сустава. Стоимость такой операции составляет 20 000-130 000 рублей. Цена зависит от уровня медицинского учреждения, квалификации оперирующего хирурга, качества устанавливаемого эндопротеза и некоторых других факторов.
Какие же преимущества имеет платное лечение? Во-первых при операции за деньги, можно выбрать лечащего врача и протез. Во-вторых, не нужно полгода ждать своей очереди. Пациент может выбрать дату операции, что очень удобно для него. В-третьих, за свои деньги человек получает пристальное внимание медперсонала и уход в послеоперационном периоде.
Жители РФ все чаще едут оперироваться в Чехию. В чешских клиниках выполняют эндопротезирование и нужную реабилитацию. Подобный подход сокращает восстановительный период и больной уже через несколько месяцев возвращается к привычному образу жизни.
Травматолого-ортопедическое отделение №2

Контактная информация
Тел.: (812) 338 6008, 338 7169
Моб.: 8 962 6966745
Адрес: ул. Льва Толстого, д.6-8, корпус № 44 (вход со стороны ул. Рентгена, д.12) , 3 этаж
Приоритетные направления работы
- Эндопротезирование тазобедренного и коленного суставов
- Ревизионное эндопротезирование
- Хирургия при деформациях переднего отдела стопы (halluxvalgus)
- Спинальная хирургия
- Реабилитация пациентов после ортопедических операций
- Комплексное лечение пациентов с терминальной стадией ХБП (хронической болезни почек)
Все виды медицинской помощи осуществляются в том числе и за счет средств федеральных и городских квот (для граждан Российской Федерации - бесплатно).
Запись на консультацию для пациентов нуждающихся в высокотехнологичной медицинской помощи (первичное и ревизионное эндопротезирование тазобедренного и коленного суставов, коррекция деформации стопы при hallux valgus, декомпрессия и стабилизация позвоночника, вертебро- и нуклеопластика и др.)
Ежедневно: с 09:00 до 15:00
тел.: 8 (962) 696-67-45
Консультации проходят по адресу: ул. Льва толстого, д. 6-8, корпус №44, вход со стороны ул. Рентгена д.12, стационарного отделения скорой медицинской помощи, 3 этаж, каб. №354.
Основные направления работы, сфера научных интересов:
- хирургия стопы и голеностопного сустава (в том числе малоинвазивная)
- первичное эндопротезирование тазобедренного и коленного суставов
- различные виды остеосинтеза (интрамедуллярный блокируемый, накостный, в том числе минимально-инвазивный, внеочаговый)
Основные направления работы, сфера научных интересов:
- первичное эндопротезирование тазобедренного и коленного сустава
- ревизионное эндопротезирование тазобедренного сустава
- коррекция деформаций верхней и нижней конечности при помощи АВФ

Шмелев Антон Владимирович – врач травматолог-ортопед, высшая квалификационная категория.
Закончил ПСПб ГМУ им. акад. И.П. Павлова с отличием
e-mail: schmeljew@mail.ru
Основные направления работы, сфера научных интересов:
- первичное эндопротезирование коленного сустава
- ревизионное эндопротезирование тазобедренного и коленного суставов
- различные виды остеосинтеза (в том числе минимально-инвазивного) при травмах и последствиях травм ОДА
- лечения больных и пострадавших с тяжелой сопутствующей патологией: хроническая почечная недостаточность, пациенты получающие гемодиализ, пациенты после трансплантации почки, больные с различными формами заболеваний крови.
Методы диагностики
- Рентгенологическая диагностика (СКТ, МРТ суставов и позвоночника)
- Ренген-хирургические методы диагностики
- Ультразвуковая диагностика
- Эндоскопическая диагностика, в том числе артроскопическая
- Методы функциональной диагностики
Xирургическое лечение
- Первичное эндопротезирование тазобедренного и коленного суставов, в том числе минимально-инвазивное;
- Ревизионное эндопротезирование тазобедренного и коленного суставов;
- Различные виды остеотомий на переднем отделе стопы при деформациях 1 пальца ( hallux valgus )
- Стабилизация позвоночника новейшими системами имплантов на основе транспедикулярных винтов, крючков, вентральных пластин и стержней, в том числе по минимально-инвазивным методикам;
- Реконструкция опорных структур позвоночника с применением имплантов на основе керамики, титановых сплавов, биодеградирующих полимеров;
- Вертебропластика костными цементами на основе PMMA и производных кальций фосфатов;
- Спинальная хирургия при различных травмах и деформациях позвоночника.
Патология тазобедренного и коленного суставов
- первичное эндопротезирование тазобедренного сустава при идиопатическом, диспластическом, посттравматическом, ревматоидном коксартрозе, а также АНГБК (асептическом некрозе головки бедренной кости), при переломах шейки бедра и последствиях травм вертлужной впадины и проксимального отдела бедра
- первичное эндопротезирование коленного сустава при посттравматическом, дегенеративном и ревматоидном гонартрозе, в том числе минимально-инвазивное и одномыщелковое эндопротезирование
- ревизионное эндопротезирование тазобедренного и коленного суставов
- эндопротезирование у пациентов с терминальной стадией ХБП (хронический гемодиализ, аллогенная трансплантация почки)
Внутреннее протезирование чаще всего необходимо для замены пораженных коленных и тазобедренных суставов. Она необходима в случаях, когда консервативные методы лечения уже не помогают. Эндопротез может прослужить до 15 лет, а потом его можно заменить на новый. Стоимость операции варьируется от 150 до 260 тыс. рублей.
Эндопротезирование — замещение внутренних органов и структур организма на искусственные имплантаты: это протезирование клапанов сердца, суставов, костей, молочных желез.
Технология эндопротезирования суставов используется исключительно в случаях прямых показаний. "Сюда относятся грубые посттравматические изменения суставов, артрозы третьей и четвертой стадии с выраженным болевым синдромом, несрастающийся перелом шейки бедра или ее резорбция после перелома. Если есть возможность лечить консервативно, при условии, что таким лечением будет достигнут хороший результат, то эндопротезирование можно отложить",— рассказывает Вячеслав Рябинкин, ведущий специалист отделения травматологии и ортопедии клиники "Скандинавия".
Самые распространенные виды эндопротезирования — это изготовление имплантатов тазобедренного и коленного суставов. Оно выполняется в большинстве многопрофильных городских больниц бесплатно по городской или федеральной квоте в рамках ОМС. Эндопротезирование мелких суставов, плечевого, лучезапястного, локтевого суставов не так широко распространено из-за довольно высокого процента осложнений и короткого срока выживания эндопротеза.
Стоимость платных операций зависит от типа протеза и характера операции (первичное эндопротезирование или ревизионное, операция при осложнениях после первичного эндопротезирования, эндопротезирование при онкологических заболеваниях костей) и варьируется в пределах от 150 тыс. рублей. Средняя цена на первичное эндопротезирование (наиболее частые операции на коленном и тазобедренном суставе) — примерно 230-260 тыс. рублей. "Сюда входят стоимость операции, наркоз, стоимость эндопротеза, госпитализации, возможных переливаний крови, начальная реабилитация. В частных клиниках общая стоимость зависит от послеоперационного течения и количества койко-дней. Стоимость эндопротеза примерно одинакова у всех производителей — примерно 70-100 тыс. рублей за топовую комплектацию",— говорит господин Рябинкин.
В Петербурге эндопротезирование тазобедренного и коленного суставов выполняется практически во всех многопрофильных городских стационарах и крупных частных клиниках, имеющих для этого лицензию, достаточную оснащенность и опытных специалистов.
На сегодняшний день ожидание эндопротезирования по ОМС в Петербурге составляет до полутора лет. Одной из приоритетных задач на 2018-2020 годы для Территориального фонда обязательного медицинского страхования (ТФОМС) его руководитель Александр Кужель называет ликвидацию этой очереди.
Имплантаты для эндопротезирования преимущественно изготовляют из никель-кадмиевых и кобальт-хромовых сплавов. В эндопротезе самым важным элементом является пара трения, которая и обусловливает срок жизни эндопротеза. Пары трения бывают нескольких типов: металл-металл, металл-полиэтилен, керамика-полиэтилен, керамика-керамика.
Самая распространенная пара трения — "полиэтилен-металл", в таких конструкциях в среднем на 0,2 мм в год полиэтилен стирается. "Это проблема, потому что за десять лет это уже 2 мм, а продукты истирания остаются в полости сустава. Образуются гигантские клетки, которые начинают их поглощать и способствуют "рассасыванию" кости вокруг эндопротеза, что может привести к расшатыванию, а значит, потребуется замена конструкции. Другая пара трения — это "керамика-полиэтилен". Здесь истирание в пять раз меньше — 0,04 мм в год. Самая современная и безопасная пара трения — "керамика-керамика", продуктов износа практически нет. Это очень прочная конструкция, но и стоимость ее очень высока",— объясняет Сергей Парфеев, заведующий отделением травматологии и ортопедии городской больницы N 2. Выбор пары трения зависит от множества факторов, включая возраст и активность пациента.
В настоящий момент практически не существует ограничений для установки эндопротеза. Единственное, что ставит под большой вопрос перспективы после операции,— это избыточный вес и низкая активность пациента до операции, говорит Вячеслав Рябинкин.
Для определения показаний к эндопротезированию зачастую достаточно простой рентгенографии поврежденного сустава. При сложных случаях пациента отправляют на МРТ и КТ, но начинать всегда нужно с рентгенографии, настаивает врач.
"Мы оперируем уже на следующий день после госпитализации, а через сутки после операции наши пациенты встают на ноги — конечно, еще рядом с кроватью и с дополнительной опорой, но все же. А уже на третий день они могут ходить с помощью костылей или ходунков. Выписываем в среднем на пятый-седьмой день — все зависит от возраста, сопутствующих заболеваний и других особенностей конкретного пациента",— рассказывает заведующий травматолого-ортопедическим отделением больницы N 4 Константин Егоров."Учитывая, что основной контингент наших пациентов — люди преклонного возраста, большая часть операций проводится без использования общего наркоза, под проводниковой или эпидуральной анестезией — когда блокируется проводимость нервных окончаний выше уровня оперируемого участка. Такие виды обезболивания наиболее безопасны и вызывают меньше осложнений. Это позволяет избежать применения потенциально опасных препаратов и обеспечить комфортность пребывания пациентов в операционной: пока хирурги работают, пациент дремлет на операционном столе под согревающим пневматическим одеялом, не чувствуя никакой боли",— говорит господин Егоров.
После эндопротезирования суставов врачи советуют избегать простудных заболеваний, хронических инфекций, переохлаждений — искусственный сустав может стать слабым местом, которое подвергнется воспалению.
"Необходимо следить за своим весом — каждый лишний килограмм ускоряет износ искусственного сустава. Срок безотказной службы нового сустава во многом зависит от прочности его фиксации в кости. А она, в свою очередь, определяется качеством костной ткани, окружающей сустав. К сожалению, у многих больных, подвергшихся эндопротезированию, качество костной ткани оставляет желать лучшего из-за имеющегося остеопороза. Искусственный сустав не вечен: как правило, срок службы эндопротеза составляет 15 лет, иногда он достигает 20-25 лет. Безусловно, не следует постоянно думать о неизбежности повторной операции. Но в то же время повторная замена сустава или, как ее называют врачи, ревизионное эндопротезирование, далеко не трагедия. Многие пациенты панически боятся повторной операции на суставе и стараются терпеть возникшие у них боли, но только не обращаться к врачу, надеясь на какое-то чудо. Делать этого не следует ни при каких обстоятельствах. Во-первых, далеко не все боли и неприятные ощущения в суставе требуют обязательного оперативного вмешательства, и чем раньше о них станет известно врачу, тем больше шансов на легкое избавление от них. Во-вторых, даже при фатальном расшатывании сустава раньше проведенная операция проходит значительно легче для больного и хирурга и ведет к быстрейшему восстановлению",— обращают внимание в Санкт-Петербургском НИИ фтизиопульмонологии.
Для профилактики развития остеопороза врачи рекомендуют отказаться от сильногазированных напитков, обязательно включить в свой пищевой рацион продукты, богатые кальцием, например, молочные продукты, рыбу, овощи. Вести активный образ жизни, но не перегружать свои суставы чрезмерными физическими нагрузками, отказаться от применения стероидных гормонов, курения и злоупотребления алкоголем.
- Основные зоны МРТ
- Голова
- Позвоночник
- Сосуды
- Суставы
- Органы
- Мягкие ткани
- Все цены МРТ
- Основные зоны КТ
- Голова
- Позвоночник
- Суставы и кости
- Органы
- Мягкие ткани
- Ангиография
- Все цены КТ
| Суставы и кости | Без скидки | Скидка | Скидка с направлением | |
|---|---|---|---|---|
| Кости предплечья | 4900 | 2900 | 2900 | Записаться |
| Плечевая кость | 4900 | 2900 | 2900 | Записаться |
| Бедренная кость | 4900 | 2900 | 2900 | Записаться |
| Кости голени | 4900 | 2900 | 2900 | Записаться |
| Кости таза | 4900 | 2900 | 2900 | Записаться |
| Плечевой сустав | 4900 | 2900 | 2900 | Записаться |
| Локтевой сустав | 4900 | 2900 | 2900 | Записаться |
| Лучезапястный сустав | 4900 | 2900 | 2900 | Записаться |
| Тазобедренные суставы | 4900 | 2900 | 2900 | Записаться |
| Коленный сустав | 4900 | 2900 | 2900 | Записаться |
| Голеностопный сустав | 4900 | 2900 | 2900 | Записаться |
| Стопа | 4900 | 2900 | 2900 | Записаться |
| Кисть | 4900 | 2900 | 2900 | Записаться |
| Височно-нижнечелюстные суставы | 4900 | 2900 | 2900 | Записаться |
| Грудинно ключичные сочленения | 4900 | 2900 | 2900 | Записаться |
| Грудина | 4900 | 2900 | 2900 | Записаться |
| Грудина и ребра | 4900 | 2900 | 2900 | Записаться |
| Лопатка | 4900 | 2900 | 2900 | Записаться |
- Основные зоны УЗИ
- Сосуды
- Органы
- Брюшная полость
- Малый таз
- Скрининг
- Суставы
- Комплекс
- Все цены УЗИ
| КТ суставов и костей | Без скидки | Скидка с 22 по 26 июня | |
|---|---|---|---|
| КТ костей предплечья | 4900 | 2450 | Записаться |
| КТ плечевой кости | 4900 | 2450 | Записаться |
| КТ бедренной кости | 4900 | 2450 | Записаться |
| КТ костей голени | 4900 | 2450 | Записаться |
| КТ костей таза | 4900 | 2450 | Записаться |
| КТ плечевого сустава | 4900 | 2450 | Записаться |
| КТ локтевого сустава | 4900 | 2450 | Записаться |
| КТ лучезапястного сустава | 4900 | 2450 | Записаться |
| КТ тазобедренного сустава | 4900 | 2450 | Записаться |
| КТ коленного сустава | 4900 | 2450 | Записаться |
| КТ голеностопного сустава | 4900 | 2450 | Записаться |
| КТ стопы | 4900 | 2450 | Записаться |
| КТ кисти | 4900 | 2450 | Записаться |
| КТ височно-нижнечелюстных суставов | 4900 | 2450 | Записаться |
| КТ грудинно ключичных сочленений | 4900 | 2450 | Записаться |
| КТ грудины | 4900 | 2450 | Записаться |
| КТ грудины, ребер | 4900 | 2450 | Записаться |
| КТ лопатки | 4900 | 2450 | Записаться |
Что покажет КТ суставов
С помощью компьютерной томографии можно получить отчетливые снимки-срезы любых суставов. На снимках хорошо видны суставные поверхности, межсуставные щели, участки костей, формирующие сочленение. Менее отчетливо визуализируются мышечные ткани и связки.
Благодаря проведению томографии диагностируют патологии воспалительного, дегенеративно-дистрофического или опухолевого характера. Наиболее точно КТ суставов выявляет изменения в костных тканях, а также свежие травматические повреждения (гематомы, кровоизлияния).
С помощью КТ можно визуализировать следующие патологии:
опухоли (злокачественные, доброкачественные), кисты;
артриты, артрозы, остеоартрозы;
остеомиелит, деструкцию костной ткани асептического характера;
жидкость в суставной полости (серозного или гнойного характера, кровь);
травматические повреждения внутрисуставных образований, связок, прилежащих тканей;
воспалительные поражения суставных тканей ревматоидного характера;
врожденные аномалии развития.
Современные томографы оснащены специальными программами, позволяющими создавать трехмерные изображения исследуемой зоны. Такие данные просто незаменимы в случае предстоящего хирургического вмешательства.
Показания и противопоказания к КТ костей и суставов
Компьютерная томография в большинстве случаев является уточняющим способом исследования. Часто ее назначают уже после проведения обычного рентгена, ультразвукового сканирования или артроскопии. Основными показаниями к томографии являются:
травмы в области сустава, подозрение на скрытые переломы или повреждения мягких тканей;
длительный болевой синдром в зоне сустава, не купируемый медикаментозными средствами;
нарушения подвижности сочленения, хруст или другие посторонние звуки при движениях;
отек или покраснение околосуставных тканей;
подозрение на опухолевое образование или метастазы;
деструктивные изменения кости, околосуставных структур.
Также томография может применяться для выявления или уточнения степени поражения суставных тканей при диффузных заболеваниях соединительной ткани (подагра, псориаз, склеродермия и др.). КТ коленных или тазобедренных суставов часто назначают перед эндопротезированием, от результатов исследования во многом зависит выбор импланта и способ его крепления.
Основным противопоказанием для выполнения КТ-исследования суставов является беременность независимо от срока. Это связано с неблагоприятным влиянием рентгеновских лучей на развитие плода. Также существуют ограничения при массе тела более 150 кг – технические характеристики томографа не позволяют выполнять обследование таким пациентам.
с аллергией на йодсодержащий контраст;
имеющим гиперфункцию щитовидной железы;
при значительном нарушении функции почек.
Относительным противопоказанием для процедуры контрастирования является период грудного вскармливания у женщин. В случае необходимости КТ может быть выполнено, однако потребуется на сутки отказаться от кормления грудью.
Пациентам с сахарным диабетом и принимающим Метформин перед КТ суставов с контрастированием нужно прекратить прием лекарства. Однако предварительно по этому поводу нужно будет проконсультироваться у своего эндокринолога.
Пациентам до 14 лет КТ суставов проводится только по строгим показаниям. А детям, не достигшим двенадцатилетнего возраста, противопоказаны исследования с введением контрастного вещества.
Когда нужно КТ с контрастом
Выполнение КТ суставов с введением контраста – достаточно редкая процедура в медицинской практике. Однако в некоторых клинических ситуациях йодсодержащий фармпрепарат помогает уточнить характер выявленных при нативном сканировании изменений. С помощью контраста дифференцируют очаговые изменения опухолевого, воспалительного характера, он необходим для лучшей визуализации мягкотканных образований.
Как проводится КТ-исследование
КТ суставов в СПб обычно проводится после предварительного звонка в клинику и согласования времени процедуры. Также нужно будет взять у своего врача направление на исследование, по возможности захватите с собой результаты других исследований, медицинские записи касательно патологии суставов.
Перед проведением томографии суставов никакой специальной подготовки не требуется. Можно питаться как обычно и продолжать принимать назначенные врачом лекарства. Однако перед исследованием с контрастом потребуется заранее сделать анализ на креатинин, который выявляет нарушения фильтрационной функции почек.
Сканирование проводится в отдельной комнате, где находится КТ-аппарат. Во время инструктажа перед процедурой нужно сообщить сотруднику центра о наличии аллергий на медикаменты, возможной беременности, хронических заболеваниях. После этого пациенту предложат лечь на выдвижной стол томографа. Укладка зависит от зоны исследования, иногда дополнительно нужна фиксация конечностей ремнями или подушками.
Сама процедура сканирования не причиняет боли или дискомфорта. К тому же длится она всего несколько минут, однако в это время нужно лежать максимально неподвижно. Во время исследования стол томографа будет плавно перемещаться по направлению к кольцу томографа, в тоннеле аппарата есть микрофон для связи с персоналом центра.
КТ суставов с контрастом длится немного дольше, от 20 до 25 минут. На первом этапе исследования томограф выполняет серию снимков без введения препарата. После этого при помощи специального инъектора внутривенно вводится Ультравист. Затем процедуру сканирования повторяют еще раз. Все это время врач-радиолог из отдельной застекленной комнаты наблюдает за ходом исследования.
Что я получу после КТ исследования сустава
Вместе с распечатанным на бумаге заключением врача пациент может получить диск со всеми изображениями сустава, полученными во время сканирования. Трехмерное изображение анатомической зоны также записывается на электронный носитель.
Дополнительно после получения результатов по желанию проводится консультация врача, проводившего анализ снимков. Вы сможете получить ответы на вопросы относительно выявленной патологии.
КТ или МРТ что лучше для суставов и костей
Для выявления заболеваний суставов могут применяться оба обследования. Что лучше, КТ или МРТ сустава, зависит от цели диагностического поиска, наличия противопоказаний к тому или иному виду исследования. Компьютерная томография лучше визуализирует костные ткани, поскольку рентгеновские лучи хорошо ими поглощаются. Также на полученных изображениях отчетливо видны свежие травмы, повреждения, кровоизлияния. Компьютерную томографию, в отличие от МРТ, можно выполнять людям с установленными металлическими имплантами или электронными устройствами. Однако данный вид исследований противопоказан во время беременности и ограниченно применяется у детей.
МРТ является безопасным методом диагностики, не оказывает лучевого воздействия, может выполняться многократно для контроля за проводимым лечением. К тому же магнитно-резонансная томография более четко отображает изменения в мягких тканях. С помощью данного метода с максимальной точностью диагностируют начальные дегенеративно-дистрофические изменения хряща, визуализируют мышцы и связки.
Цены на КТ суставов в СПб
Читайте также:


