Лечение болезнь пеллегрини-штида коленного сустава
Травмы коленных структур иногда приводят к болезни Пеллегрини-Штида. Названа она по фамилиям хирургов, впервые ее описавших. Развитие на начальных этапах часто протекает бессимптомно. Это приводит к несвоевременной диагностике и позднему лечению, что может сопровождаться осложнениями.
Особенности и общее описание
Болезнь Пеллегрини-Штида — это патологическое разрастание кости, характеризующееся латентной клинической картиной. Если говорить научным языком, то речь идет об оссификации параатикулярных тканей в зоне надмыщелка колена. Возникает заболевание чаще всего по причине травмы или регулярной микротравматизации на фоне существенных нагрузок на сочленение.
Развитие патологического процесса начинается с образования в мышечных тканях порывов сухожилий, некротизированных очагов. Прогрессирование может осложняться реактивным периартритом. Сначала в патологический процесс вовлекается сухожилие, а затем синовиальные ткани. Периартрит приводит к тендобурситу. В результате этого мягкие ткани в структуре колена отекают. При этом пациент уже испытывает трудности с передвижением, его мучают постоянные сильные боли. Грамотно подобранная терапия приводит к исчезновению симптомов. В противном случае выявляются остаточные проявления болезни Пеллегрини-Штида, что приводит к трансформации ее в хроническую патологию.
Основные причины
Предрасположенность к заболеванию имеют мужчины в возрасте от 25 до 45 лет, ежедневная работа которых непосредственно связана со спортом или физической активностью. Провоцирующими факторами выступают прямая механическая травма бедра, резкое отведение голени. Кроме того, сопутствовать болезни Пеллегрини-Штида могут следующие факторы:
- кровоизлияние в колене;
- некротические процессы в околосуставных тканях;
- гормональные сбои;
- наличие варикозного расширения вен;
- артрит;
- трофические нарушения;
- продолжительная отечность в области колена.
Также медики предупреждают о наследственной предрасположенности к патологии. Это обусловлено генетическими особенностями разрастания костей. Наличие близких родственников с ее проявлениями резко увеличивает вероятность повторения диагноза в семье. Однако даже в этом случае понадобится пусковой механизм в виде травмы.

Клиническая картина
Длительное время болезнь Пеллегрини-Штида коленного сустава может протекать бессимптомно. При этом пациенты часто жалуются на дискомфорт в этой области, который только усиливается после физической нагрузки или занятий спортом. По мере прогрессирования недуга клиническая картина дополняется отечностью, появлением боли, покраснением кожи вокруг пораженного сустава, повышением температуры в этой области. Кроме того, могут возникать трудности с передвижением, меняется походка и появляется хромота. В случае продолжительного патологического процесса сокращается объем двигательной активности. На финальных стадиях заболевания человек утрачивает способность совершать полноценные движения в коленном суставе, возникает анкилоз.

Методы диагностики
Заподозрить болезнь Пеллегрини-Штида коленного сустава доктор может уже после физического осмотра и пальпации пораженной области. Для подтверждения диагноза пациенту назначается рентгенографическое исследование одновременно в нескольких проекциях. При выраженном патологическом процессе на снимке четко визуализируются избыточные костные разрастания в области больного коленного сустава. С целью определения степени поражения требуется проведение МРТ и КТ. Обязательным является и анализ крови для определения количества кальция в организме.

Консервативная терапия
Проводить лечение болезни Пеллегрини-Штида возможно двумя способами. Один из них - консервативный, другой - оперативный. К первому варианту прибегают на начальных стадиях недуга. Обычно назначают нестероидные противовоспалительные препараты. В случае прогрессирования болезни требуется воздействие новокаиновых блокад и гормональных средств. Все медикаменты, а также их дозировку, врач подбирает в индивидуальном порядке.
Одновременно с приемом лекарственных препаратов рекомендуется физиотерапевтическое лечение с целью улучшения кровообращения в зоне поражения. Особой эффективностью характеризуются следующие процедуры: электромассаж, грязевые аппликации, магнитно-лазерные процедуры, ультразвук, электрофорез.

Необходимость проведения операции
Лечение болезни Пеллегрини-Штида коленного сустава хирургическим путем показано при сокращении объема двигательной активности в пораженной конечности. В ходе операции врач удаляет разросшуюся кость и измененный хрящ. Последний заменяется собственными аналогичными элементами пациента, забранными из других отделов тела.

Прогноз на выздоровление
При своевременном и грамотном лечении, а также соблюдении со стороны больного терапевтических рекомендаций, прогноз на выздоровление благоприятный. После реабилитационного периода пораженная конечность со временем восстанавливает свои функции. Однако вероятность возвращения недуга не исключается.
Профилактика случаев рецидива сводится к предупреждению травм колена, исключению интенсивных занятий спортом и физических нагрузок. Только при таком подходе можно избежать повторения болезни или ее трансформации в хроническую стадию.
Описание заболевания
А. Пеллегрини описывал заболевание по клиническим и рентгенологическим исследованиям. По его предположению, патологическая морфология представляет кальциноз большеберцовых связок коленного сустава. А. Шти́да описал формирование гетеротопических оссификатов как результат отрыва костных отломков бедренного надмыщелка из-за травмирования или непреднамеренного резкого сокращения мышц бедра.
По мнению российских медиков в основе заболевания искаженная реакция восстановительных ресурсов на необходимость восстановления обызвествленных и поврежденных гетеротопическими костными наростами тканей.
Метаплазия возникает также на основе генетической предрасположенности, из-за травм, внутренних кровоизлияний и отмирания тканей.
Патология характеризуется возникновением очагов костных образований гетеротопического типа, которые растут независимо от основных костных тканей на околосуставных мягких тканях.
Болезнь имеет насколько форм развития:
- простая;
- острая;
- хроническая.
При простом развитии периартрита боли минимальные, ощущаются в пораженном суставе при резких движениях. Начинается незначительное ограничение подвижности, возможно легкое прихрамывание.
Острый периартрит развивается после травмы или при отсутствии своевременного лечения.
Различают первичную и вторичную форму синдрома Пеллегрини-Штиды. Вторичный синдром развивается на фоне другого заболевания.
Диагностические приемы
Для подтверждения болезни Пеллегрини-Штида, кроме анамнеза и пальпации, назначают рентгенологический метод обследования. На четвертой неделе после травмы на снимках визуализируется неправильной формы оссификат — в виде серпа или скобки. Бедренную кость от образования отделяет тонкая черточка просветления. Встречаются случаи негативного рентгенологического обследования, когда пальпаторные данные подтверждают наличие нехарактерной твердой структуры коленного сустава.
Симптомы обызвествляющего периартрита
Синдром Пеллегрини-Штиды в коленном суставе характеризуется патологией мышечных сухожилий, локализуется на окружающих сустав мягких тканях.
- боли в месте воспаления;
- опухание и покраснение кожи;
- болезненность при пальпации;
- ограничение двигательного объема
- снижение тактильных ощущений.
Болезнь существенно ухудшает качество жизни: приносит дискомфорт, нарушение сна из-за болей, страдания. При отсутствии своевременного лечения ограничивается работоспособность, возможность свободного движения.
Лечение
Болезнь Пеллегрини Штида коленного сустава можно лечить консервативным методом и операцией, ниже мы рассмотрим эти 2 метода.
Патогенез синдрома Пеллегрини-Штиды
Начало патологических изменений характеризуется образованием в надкостных мышечных тканях порывов сухожилий, очагов некроза. Внешних проявлений еще нет, поэтому болезнь Пеллегрини-Штиды на коленных суставах часто остается без лечения.
Прогрессирование болезни проявляется выраженной симптоматикой, реактивным периартритом. Сначала поражается сухожилие, затем патология затрагивает синовиальные ткани.
Периартрит сопровождается тендобурситом – отекают мягкие ткани в структуре коленного сустава. Клинические проявления – выраженное ограничение движений, острые продолжительные боли.
Направленная терапия приводит к исчезновению патологических признаков. В противном случае наблюдаются остаточные проявления болезни, что приводит к ее хронической форме.
При физических и двигательных нагрузках, частых травмах на фоне острого периартрита некоторые мягкие ткани не снабжаются кровью, остаются васкуляризированными. На них развиваются очаги некроза. Впоследствии пораженные ткани кальцифицируются, склерозируются, в них возникает вторичное реактивное воспаление.
Методы диагностики
Заподозрить болезнь Пеллегрини-Штида коленного сустава доктор может уже после физического осмотра и пальпации пораженной области.
- Для подтверждения диагноза пациенту назначается рентгенографическое исследование одновременно в нескольких проекциях.
- При выраженном патологическом процессе на снимке четко визуализируются избыточные костные разрастания в области больного коленного сустава.
- С целью определения степени поражения требуется проведение МРТ и КТ. Обязательным является и анализ крови для определения количества кальция в организме.
Консервативная терапия
Проводить лечение болезни Пеллегрини-Штида возможно двумя способами. Один из них – консервативный, другой – оперативный. К первому варианту прибегают на начальных стадиях недуга. Обычно назначают нестероидные противовоспалительные препараты. В случае прогрессирования болезни требуется воздействие новокаиновых блокад и гормональных средств. Все медикаменты, а также их дозировку, врач подбирает в индивидуальном порядке.
Проводить лечение болезни Пеллегрини-Штида возможно двумя способами. Один из них — консервативный, другой — оперативный. К первому варианту прибегают на начальных стадиях недуга. Обычно назначают нестероидные противовоспалительные препараты. В случае прогрессирования болезни требуется воздействие новокаиновых блокад и гормональных средств. Все медикаменты, а также их дозировку, врач подбирает в индивидуальном порядке.
Проявления и симптоматика
Характерные признаки заболевания коленного сустава:
- болевой синдром в области образования оссификата;
- иррадиация боли на переднюю часть голени;
- выраженность мучений ночью;
- нарушение функций активного сгибания и разгибания в колене;
- отечность мягких околосуставных структур;
- местное повышение температуры кожных покровов;
- повышенная или пониженная чувствительность;
- атрофия мышечного каркаса пораженной нижней конечности.
В раннем посттравматическом периоде жалобы совпадают с клинической картиной ушиба или перелома, что вводит в заблуждение при постановлении диагноза.
Прогноз на выздоровление
При своевременном и грамотном лечении, а также соблюдении со стороны больного терапевтических рекомендаций, прогноз на выздоровление благоприятный. После реабилитационного периода пораженная конечность со временем восстанавливает свои функции. Однако вероятность возвращения недуга не исключается.
Профилактика случаев рецидива сводится к предупреждению травм колена, исключению интенсивных занятий спортом и физических нагрузок. Только при таком подходе можно избежать повторения болезни или ее трансформации в хроническую стадию.
Клиническая картина
Длительное время болезнь Пеллегрини-Штида коленного сустава может протекать бессимптомно. При этом пациенты часто жалуются на дискомфорт в этой области, который только усиливается после физической нагрузки или занятий спортом. По мере прогрессирования недуга клиническая картина дополняется отечностью, появлением боли, покраснением кожи вокруг пораженного сустава, повышением температуры в этой области. Кроме того, могут возникать трудности с передвижением, меняется походка и появляется хромота. В случае продолжительного патологического процесса сокращается объем двигательной активности. На финальных стадиях заболевания человек утрачивает способность совершать полноценные движения в коленном суставе, возникает анкилоз.
Двухсторонний гонартроз 3 степени – как и чем лечат?
Для лечения суставов наши читатели успешно используют Артрейд. Видя, такую популярность этого средства мы решили предложить его и вашему вниманию. Подробнее здесь…
Самый крупный сустав нашего организма – коленный. Он позволяет ноге двигаться и помогает в удержании веса тела, а потому именно он наиболее подвержен различным травмам и заболеваниям. Самая распространенная причина возникновения заболевания коленного сустава – естественное старение организма. Именно поэтому гонартроз чаще всего появляется у пожилых людей.
- Почему мы этим болеем?
- Как проявляется болезнь на разных стадиях?
- Как диагностируют и лечат заболевание?
Однако существуют и прочие факторы, отрицательно влияющие на здоровье коленных суставов:
- Во-первых, это любые повреждения, последствием которых является посттравматический артроз: разрыв связок, травма мениска, перелом бедра и т.д. Особенно часто такие повреждения бывают у спортсменов.
- Во-вторых, причиной являются болезни, вызывающие разрушение хрящей, такие, например, как хондроматоз или артрит.
- В-третьих, человек может быть просто генетически предрасположен к этому заболеванию.
- Также гонартроз нередко встречается у людей с избыточным весом, выраженным варикозом и у тех, кто в течение длительного периода принимает препараты определенной группы.
Необходимость проведения операции
Лечение болезни Пеллегрини-Штида коленного сустава хирургическим путем показано при сокращении объема двигательной активности в пораженной конечности. В ходе операции врач удаляет разросшуюся кость и измененный хрящ. Последний заменяется собственными аналогичными элементами пациента, забранными из других отделов тела.
Основные причины
Предрасположенность к заболеванию имеют мужчины в возрасте от 25 до 45 лет, ежедневная работа которых непосредственно связана со спортом или физической активностью. Провоцирующими факторами выступают прямая механическая травма бедра, резкое отведение голени. Кроме того, сопутствовать болезни Пеллегрини-Штида могут следующие факторы:
- кровоизлияние в колене;
- некротические процессы в околосуставных тканях;
- гормональные сбои;
- наличие варикозного расширения вен;
- артрит;
- трофические нарушения;
- продолжительная отечность в области колена.
Также медики предупреждают о наследственной предрасположенности к патологии. Это обусловлено генетическими особенностями разрастания костей. Наличие близких родственников с ее проявлениями резко увеличивает вероятность повторения диагноза в семье. Однако даже в этом случае понадобится пусковой механизм в виде травмы.
Пеллегрини — Штида болезнь (m. Pellegrini — Stied), перитендинит коленного сустава, тени или перелом Штида, болезнь Штида — Пеллегрини, посттравматическая паракондилярная оссификация бедра, параоссальная сопутствующая тень Пеллегрини, Келлера — Пеллегрини — Штида болезнь. Впервые описал в 1905 г. итальянский врач Pellegrini A., а в 1907 г. — немецкий хирург Stied A. Оссификат, расположенный в мягких тканях в области внутреннего мыщелка бедра. Что это такое, какие причины возникновения и симптомы, а также методы лечения, рассмотрим дальше.
Что это такое за заболевание?
Болезнь Пеллегрини-Штиды – это посттравматическая оссификация параартикулярных тканей в области медиального надмыщелка бедренной кости. Большинство авторов считают заболеванием травматического происхождения. При отрыве внутренней связки от мыщелка бедра в месте ее прикрепления надкостница поднимается и образуется поднадкостничная гематома, подвергающаяся оссификации. Заболевание развивается чаще у мужчин в возрасте 25—45 лет, преимущественно среди занимающихся физическим трудом или спортом.
У большинства пациентов протекает бессимптомно или с незначительной болезненностью в медиальных отдела коленного сустава.
В случаях своевременного обращения к специалистам и правильном назначении терапии прогноз в большинстве случаев благоприятный и наблюдается полное выздоровление пациента.
Причины синдрома

Пусковым механизмом обычно служит прямой удар в область медиального надмыщелка бедренной кости, форсированное отведение голени или резкое некоординированное сокращение большой приводящей мышцы бедра. В результате наступают кровоизлияния в месте прикрепления большеберцовой коллатеральной связки и сухожилия большой приводящей мышцы бедра к надмыщелку и асептический некроз тканей в зоне повреждения.
Факторы, увеличивающие риск возникновения периартрита:
- травмы в спорте и на работе;
- инфаркты;
- артрозы;
- расстройства психики;
- дисфункция эндокринной сферы;
- нейрорефлекторные дисфункции;
- долгое нахождение в сырости;
- возраст более 40 лет.
Воздействие одного или нескольких из этих факторов провоцирует повышенное окостенение в районе медиальных надмыщелков колена. Огромное значение в развитии болезни играет наследственность и наличие болезни у одного из ближайших родственников. Это связано с генетически заложенными особенностями разрастания костей. Но даже в таком случае для развития заболевания Пеллегрини-Штида понадобиться тяжелая травма или длительная микротравматизация.
Симптомы болезни Пеллегрини-Штида
Начало патологических изменений характеризуется образованием в надкостных мышечных тканях порывов сухожилий, очагов некроза. Внешних проявлений еще нет, поэтому болезнь Пеллегрини-Штиды на коленных суставах часто остается без лечения.
Прогрессирование болезни проявляется выраженной симптоматикой, реактивным периартритом. Сначала поражается сухожилие, затем патология затрагивает синовиальные ткани.
Характерные признаки заболевания коленного сустава:
- болевой синдром в области образования оссификата;
- иррадиация боли на переднюю часть голени;
- выраженность мучений ночью;
- нарушение функций активного сгибания и разгибания в колене;
- отечность мягких околосуставных структур;
- местное повышение температуры кожных покровов;
- повышенная или пониженная чувствительность;
- атрофия мышечного каркаса пораженной нижней конечности.
Болезнь Пеллегрини Штида может иметь схожие симптомы и признаки с другими заболеваниями коленного сустава, поэтому для постановки точного диагноза обратитесь к врачу.
Методы диагностики
Заподозрить болезнь Пеллегрини-Штида коленного сустава доктор может уже после физического осмотра и пальпации пораженной области.

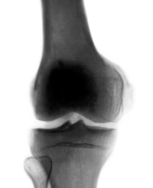
Болезнь Пеллегрини-Штида на рентгене (левый коленный сустав)
- Для подтверждения диагноза пациенту назначается рентгенографическое исследование одновременно в нескольких проекциях.
- При выраженном патологическом процессе на снимке четко визуализируются избыточные костные разрастания в области больного коленного сустава.
- С целью определения степени поражения требуется проведение МРТ и КТ. Обязательным является и анализ крови для определения количества кальция в организме.
Лечение
Болезнь Пеллегрини Штида коленного сустава можно лечить консервативным методом и операцией, ниже мы рассмотрим эти 2 метода.
Оперативные вмешательства выполняют при отсутствии эффекта от консервативных мероприятий, но не ранее чем через 3 месяца после травмы при наличии признаков зрелости оссификата.
- Для этого определяют на рентгенограммах плотность, структуру оссификата, четкость склеротической каймы. Используют также данные радионуклидного исследования.
- При сочетании Пеллегрини — Штиды болезни с внутренними повреждениями коленного сустава, особенно если оссификат расположен около нервных стволов или при внедрении его в полость сустава, лечение только хирургическое.
- Для предупреждения рецидива оссификации после операции тщательно удаляют окружающие оссификат рубцы, т. к. они сохраняют потенциальную возможность метаплазии в костную ткань.
Очень важным фактором является грамотное проведение послеоперационной терапии, так как существуют прямые риски рецидива. В процессе реабилитации используют электрофорез, гидрокинезотерапию и гимнастику лечебного характера.
При своевременном и грамотном лечении, а также соблюдении со стороны больного терапевтических рекомендаций, прогноз на выздоровление благоприятный. После реабилитационного периода пораженная конечность со временем восстанавливает свои функции. Однако вероятность возвращения недуга не исключается.
Дегенеративный обызвествляющий периартрит — поражение мягких тканей, которые обеспечивают функционирование колена. Патология дегенеративного типа с воспалительным компонентом часто встречается у 40-летних женщин, или мужчин 25-45 лет. Болезнь Пеллегрини-Штиды в области коленного сустава названа именами хирургов, впервые ее описавших: итальянского врача A. Pellegrini и немецкого врача A. Stieda.
Описание заболевания

А. Пеллегрини описывал заболевание по клиническим и рентгенологическим исследованиям. По его предположению, патологическая морфология представляет кальциноз большеберцовых связок коленного сустава. А. Шти́да описал формирование гетеротопических оссификатов как результат отрыва костных отломков бедренного надмыщелка из-за травмирования или непреднамеренного резкого сокращения мышц бедра.
По мнению российских медиков в основе заболевания искаженная реакция восстановительных ресурсов на необходимость восстановления обызвествленных и поврежденных гетеротопическими костными наростами тканей.
Метаплазия возникает также на основе генетической предрасположенности, из-за травм, внутренних кровоизлияний и отмирания тканей.
Патология характеризуется возникновением очагов костных образований гетеротопического типа, которые растут независимо от основных костных тканей на околосуставных мягких тканях.
Болезнь имеет насколько форм развития:
- простая;
- острая;
- хроническая.
При простом развитии периартрита боли минимальные, ощущаются в пораженном суставе при резких движениях. Начинается незначительное ограничение подвижности, возможно легкое прихрамывание.
Острый периартрит развивается после травмы или при отсутствии своевременного лечения.
Различают первичную и вторичную форму синдрома Пеллегрини-Штиды. Вторичный синдром развивается на фоне другого заболевания.
Симптомы обызвествляющего периартрита

Важные проявления патологии – поражение тканей, уплотнения и узелки в мышечных тканях, болезненные при пальпации или во время движения. Сами мышцы становятся напряженными. Признаки патологии зависят от места ее локализации.
Синдром Пеллегрини-Штиды в коленном суставе характеризуется патологией мышечных сухожилий, локализуется на окружающих сустав мягких тканях.
- боли в месте воспаления;
- опухание и покраснение кожи;
- болезненность при пальпации;
- ограничение двигательного объема
- снижение тактильных ощущений.
Болезнь существенно ухудшает качество жизни: приносит дискомфорт, нарушение сна из-за болей, страдания. При отсутствии своевременного лечения ограничивается работоспособность, возможность свободного движения.
Причины возникновения синдрома
Чаще всего дистрофический процесс дегенеративного типа начинается без видимых причин.
Факторы, увеличивающие риск возникновения периартрита:
- травмы в спорте и на работе;
- инфаркты;
- артрозы;
- расстройства психики;
- дисфункция эндокринной сферы;
- нейрорефлекторные дисфункции;
- долгое нахождение в сырости;
- возраст более 40 лет.
Патогенез синдрома Пеллегрини-Штиды

Начало патологических изменений характеризуется образованием в надкостных мышечных тканях порывов сухожилий, очагов некроза. Внешних проявлений еще нет, поэтому болезнь Пеллегрини-Штиды на коленных суставах часто остается без лечения.
Прогрессирование болезни проявляется выраженной симптоматикой, реактивным периартритом. Сначала поражается сухожилие, затем патология затрагивает синовиальные ткани.
Периартрит сопровождается тендобурситом – отекают мягкие ткани в структуре коленного сустава. Клинические проявления – выраженное ограничение движений, острые продолжительные боли.
Направленная терапия приводит к исчезновению патологических признаков. В противном случае наблюдаются остаточные проявления болезни, что приводит к ее хронической форме.
При физических и двигательных нагрузках, частых травмах на фоне острого периартрита некоторые мягкие ткани не снабжаются кровью, остаются васкуляризированными. На них развиваются очаги некроза. Впоследствии пораженные ткани кальцифицируются, склерозируются, в них возникает вторичное реактивное воспаление.
Диагностика синдрома
Симптоматика обызвествляющего периартрита сходна с проявлениями многих суставных патологий.
Выявить болезнь помогает обследование:
- КТ;
- МРТ;
- рентген;
- УЗИ суставов.
Нужно сдать стандартные анализы, проконсультироваться с несколькими специалистами, провести функциональные тесты. Этого нужно, чтобы исключить патологии со сходной симптоматикой — синовит, артроз, артрит.
Лечение обызвествляющего периартрита

Специалисты используют сочетание нескольких методов терапии:
- консервативного;
- медикаментозного;
- физиопроцедурного;
- хирургического.
Оперативное вмешательство применяют в случаях, когда традиционное лечение не дает результатов.
Консервативное лечение – основной метод. Назначают нестероидные противовоспалительные препараты. При прогрессировании заболевания добавляют гормональные препараты и новокаиновые блокады. При сильных болях назначают кодеин и внутрисуставные инъекции стероидов.
Одновременно с медикаментами назначают физиотерапевтическое лечение, чтобы улучшить кровоснабжение в пораженных тканях:
- вибро- и электромассаж;
- тепловые процедуры;
- грязевые аппликации;
- компрессы;
- магнито-лазерные процедуры;
- ударно-волновые процедуры;
- ультразвук;
- электрофорез.
Сочетание медикаментозного и физиотерапевтического лечения помогает улучшить кровоснабжение пораженных тканей, усилить процессы регенерации.
Своевременное лечение болезни Пеллегрини-Штиды полностью восстанавливает функции колена. Профилактика рецидивов и перехода болезни в хроническую стадию заключается в предупреждении травм колена, перегрузки физического и двигательного характера.
I
(A. Pellegrini, итал. хирург; A. Stieda, нем. хирург, 1869—1945; синоним: синдром Пеллегрини — Штиды, обызвествляющий периартрит области коленного сустава)
заболевание, характеризующееся очагами гетеротопического костеобразования в околосуставных тканях области медиального надмыщелка бедренной кости вследствие перенесенной ранее травмы. Впервые клинико-рентгенологическую и патоморфологическую картину заболевания описал А. Пеллегрини (1905), полагая, что для него характерно обызвествление большеберцовой коллатеральной связки коленного сустава. А. Штида (1907) считал образование оссификата следствием отрывного перелома надмыщелка бедренной кости, возникающего в результате прямой травмы или резкого сокращения большой приводящей мыщцы бедра. Современные морфологические и гистохимические исследования показали, что в основе заболевания лежит извращенная реакция регенерации в ответ на повреждение. Считают, что в возникновении этой метаплазии помимо травмы, кровоизлияния, некроза, длительного отека тканей большую роль играет индивидуальная предрасположенность организма.
Заболевание развивается чаще у мужчин в возрасте 25—45 лет, преимущественно среди занимающихся физическим трудом или спортом. Пусковым механизмом обычно служит прямой удар в область медиального надмыщелка бедренной кости, форсированное отведение голени или резкое некоординированное сокращение большой приводящей мышцы бедра. В результате наступают кровоизлияния в месте прикрепления большеберцовой коллатеральной связки и сухожилия большой приводящей мышцы бедра к надмыщелку и асептический некроз тканей в зоне повреждения.
Основным симптомом болезни Пеллегрини — Штиды является боль, которая всегда соответствует месту расположения оссификата, может распространяться по ходу запирательного нерва или поднадколенниковой ветви подкожного нерва на переднюю поверхность голени. У 1 /3 больных боли усиливаются в ночное время и носят жгучий сверлящий характер. Кроме того, отмечают ограничение движений в коленном суставе, как сгибания, так и разгибания, которые обычно сочетаются с отеком мягких тканей коленного сустава, местной гипертермией, гиперестезией или гипостезией в зоне отека, а также атрофией мышц бедра и голени.
В раннем периоде после травмы, когда клиническая картина идентична ушибу или дисторсии коленного сустава, а также при сочетании с внутренними повреждениями его диагностика затруднена. Через 3—4 недели после травмы на рентгенограммах коленного сустава определяют оссификат (рис.), имеющий вид скобки, серпа или неправильную форму, который отделен от надмыщелка бедренной кости полоской просветления. При отрицательных рентгенологических данных, но при наличии пальпируемого оссификата необходимо произвести рентгеновские снимки с внутренней или наружной ротацией конечности на 20° для устранения наслоения оссификата на контур мыщелка бедра. Информацию о степени зрелости оссификата может дать радионуклидное исследование. Дифференциальный диагноз проводят с отрывным переломом медиального надмыщелка бедренной кости, который выявляется на рентгенограмме сразу после травмы. Кроме того, краевой дефект надмыщелка по форме и размерам соответствует оторванному фрагменту кости. Похожую рентгенологическую картину можно наблюдать при перестроенном процессе в надмыщелке тракционного генеза, возникающем в результате многократных форсированных напряжений большой приводящей мышцы бедра, например у футболистов. Однако постепенное развитие этого заболевания, более молодой возраст, связь с занятиями спортом помогают уточнить диагноз.
Лечение чаще консервативное. Физиотерапевтические методы нередко малоэффективны, т.к. дают только временное улучшение. Применение ультразвуковой терапии в сочетании с электрофорезом раствора новокаина или 10% раствора хлорида натрия эффективно только в первые 3 месяца после травмы. Стойкий положительный эффект обычно дают инъекции в очаг оссификации гидрокортизона с новокаином.
Оперативные вмешательства выполняют при отсутствии эффекта от консервативных мероприятий, но не ранее чем через 3 месяца после травмы при наличии признаков зрелости оссификата. Для этого определяют на рентгенограммах плотность, структуру оссификата, четкость склеротической каймы. Используют также данные радионуклидного исследования. При сочетании П. — Ш. б. с внутренними повреждениями коленного сустава, особенно если оссификат расположен около нервных стволов или при внедрении его в полость сустава, лечение только хирургическое. Для предупреждения рецидива оссификации после операции тщательно удаляют окружающие оссификат рубцы, т.к. они сохраняют потенциальную возможность метаплазии в костную ткань. Обязательно ликвидируют полость в мягких тканях после иссечения оссификата (ушивают ткани или заполняют частью медиальной головки четырехглавой мышцы бедра). Операцию завершают тщательным гемостазом. В послеоперационном периоде в первые 2 недели назначают электрофорез лидазы. В течение 1 1 /2 месяцев больные принимают индометацин, занимаются лечебной гимнастикой и гидрокинезотерапией.
Прогноз благоприятный, т.к. при своевременном лечении функция конечности восстанавливается полностью. Профилактика состоит в предупреждении повреждений коленного сустава и своевременном их лечении.

Рентгенограмма коленного сустава (прямая проекция) при болезни Пеллегрини — Штиды: оссификация в области прикрепления большой приводящей мышцы бедра и медиальной коллатеральной связки коленного сустава к медиальному мыщелку бедра, а также по ходу связки.
II
Пеллегрини — Штиды болезнь (A. Pellegrini, совр. итал. хирург: A. Slieda, 1869—1945, нем. хирург)
Читайте также:


