Мрт стопы при артрите
Магнитно-резонансная томография – надежный способ исследования внутреннего состояния организма. Полученные результаты помогают оценивать здоровье того или иного органа, а также осуществить диагностику заболевания. Скорость проведения процедуры и высокая детализация изображения помогают специалистам быстро подобрать необходимую схему лечения, что положительно скажется на дальнейшем выздоровлении. Но перед анализом пациенту стоит ознакомиться с немногочисленными противопоказаниями, чтобы не навредить организму.
Какие болезни определяет МРТ стопы
Если иные аппаратные исследования, а также осмотр и пальпация не дают конкретных результатов, специалисты прибегают к такому надежному методу, как магнитно-резонансная томография.

Она успешно находит следующие недуги:
- внутренние травмы костной, хрящевой тканей;
- разрыв или растяжение связок;
- переломы;
- опухолевые образования;
- очаги инфекции;
- некротические изменения асептического плана;
- артриты и артрозы;
- туннельный синдром;
- врожденные дефекты;
- сбои кровотока в ступнях;
- присутствие инородных тел.
МРТ стопы показывает, что за патологии присутствуют у конкретного пациента. К ним относятся:
- Пяточные шпоры. Определяет присутствие нароста, который имеет хронический характер, и воспалительных процессов в прилегающих мягких тканях.
- Невромы Мортона. Последствие наличия доброкачественной опухоли вокруг нервного волокна. Локализуется в пальцах стоп. Симптоматика заключается в жжении, покалывании или потере чувствительности в пораженной зоне.
- Метатарзаглии. Часто перетекает в бурсит. Заболеванием страдают спортсмены и любительницы каблуков, так как в результате основной вес тела переносится на малые лучи стопы. Основной признак – сильный дискомфорт.
- Вальгус. При нем большой палец заходит внутрь. Итог – нарушенная функциональность нижней части ноги. МРТ выявляет болезнь и помогает быстро приступить к лечению.
Можно сделать вывод, что томография наглядно демонстрирует:
- внутреннее состояние стоп;
- деформации и отклонения от нормы;
- переломы и опухоли.
Показания и противопоказания к проведению

Стопа и пятка принимают весь вес человеческого тела, а потому избыток нагрузки в течение долгого периода или некое неловкое движение способны повредить их, что приведет к неприятным ощущениям и потере возможности вести обычный активный образ жизни. Поэтому при малейших подозрениях лучше сразу обратиться за помощью к специалистам.
Основой для проведения томографии является опрос и сбор анамнеза врачом (чаще хирургом, ортопедом или травматологом). Пациенты, которым назначают МРТ, страдают от:
- болевого синдрома, который невозможно объяснить через обычный осмотр;
- снижения амплитуды движения, скованности, невозможности нормально двигать пальцами;
- отечности стоп и суставов;
- хруста и иных звуков аномального характера.
Несмотря на хорошую результативность МРТ имеет некоторые противопоказания, о которых стоит знать людям, решившимся на проведение анализа в частном порядке. О них также упомянет прописывающий исследование врач. Это:
- Металлическими предметами внутри стопы.
- Беременность. В этом случае решение принимает врач.
- Имплантаты, активированные электрически, механически или магнитно.
Преимущества и недостатки метода
МРТ конкурирует с КТ (компьютерной томографией) за право считаться наиболее эффективным методом аппаратного обследования.

Преимущества у МРТ стопы следующие:
- Высокое качество снимков.
- Отличная детализация, позволяющая увидеть даже незначительные изменения.
- Получение информации как о состоянии твердых, так и мягких тканей, включая кровообращение. Травматологи рекомендуют делать МРТ, если есть риск обширной травмы, затрагивающей многие части стопы.
- Не занимает много времени. Бесконтрастное сканирование длится не более 1 часа.
- Отсутствие побочных эффектов при знании противопоказаний.
- Нет никакого дискомфорта или болезненных ощущений.
- Возможность использования контраста. Врачи прибегают к данному способу в очень тяжелых ситуациях. Используются:
- Омнискан;
- Гадовист.
Эти вещества безопасны для здоровья человека, не вызывают аллергий. Ими пользуются чаще всего для поиска опухолей.
Но недостатки все же имеются, и их обязательно стоит учитывать людям, страдающим некоторыми заболеваниями:
- При исследовании легких возможно получение артефактов, сказывающихся на четкости снимков, так как создание одной единицы занимает до минуты.
- Анализ сердца приводит к сбоям в ритме.
- Ограничения по выявлению костных деформаций и камней.
- Высокая цена как аппарата, так и самой процедуры.
- Обязательное наличие экранов от помех в помещениях.
- Невозможность применения для тех, кто:
- страдает боязнью замкнутых пространств;
- имеет искусственные водители ритма или имплантаты из немедицинских металлов.
Подготовка к МРТ стопы

Перед данным аппаратным исследованием от человека не требуется:
- дополнительного приема медикаментов;
- соблюдения особой диеты;
- иной подготовки.
Но пациент обязан сообщить лечащему врачу или специалисту, проводящему процедуру, о:
- аллергии на лекарственные средства;
- клаустрофобии.
Как проводится МРТ стопы
Процедура проста и не требует от пациента каких-то особых действий:
- Перед входом в кабинет необходимо переодеться в халат или специальный больничный балахон и снять все металлическое. Женщинам стоит помнить не только об украшениях, но и о заколках и шпильках для волос. Если есть сопровождающий, то указанные мероприятия относятся и к нему. Если в одежде не присутствуют металлические крепления или украшения, то по усмотрению врача пациент остается, в чем был.
- Если показано введение контрастных веществ, то это всегда делает венозным способом. Катетер не вынимают до завершения МРТ, так как иногда требуется повтор процедуры.
- Больной находится внутри томографа, лежа на спине. Качество снимков напрямую зависит от неподвижности тела, поэтому человеку рекомендуется максимально расслабиться и не двигаться. Если аппарат исследует отдельную конечность, но для надежности ее фиксируют специальными ремешками. Обследование длительное, так как без контраста МРТ занимает около получаса, а с ним – 45 минут.
Расшифровка результатов

Снимки изучает врач. Он:
- смотрит на отличие результата от нормы;
- определяет вид патологии и этап ее развития;
- конкретизирует место;
- изучает на предмет наличия негативных изменений в соседних тканях.
Внимательно проанализировав снимки, специалист дает заключение, которое можно прочитать в описании, обязательно прилагаемом к выдаваемым фотографиям. На листке будет стоять подпись и печать специалиста.
Столько стоит МРТ стопы?

Клиники устанавливают цену в частном порядке. В прайсе указывается стоимость процедуры для различных частей тела. Для стоп она лежит в диапазоне от 2 500 до 7 000 рублей. При обращении необходимо убедиться в сертификации оборудования. МРТ стопы в Москве стоит около 6 500 р. Запись осуществляется заранее, что обусловлено продолжительностью и ограниченным количеством оборудования.
МРТ стопы – быстрый и простой способ увидеть патологические изменения, деформации или внутренние травмы. Качество снимков исключает возможность ошибки. Единственным минусом можно считать стоимость процедуры. Цены на МРТ стопы различны для разных клиник и городов России.

МРТ сустава является одним из способов диагностики артрита и степени его распространения. Поражение суставов, объединенное общим названием "артрит", входит в десятку самых коварных заболеваний человечества по причине его широкой распространенности, высокой степени инвалидизации, не до конца выясненной этиологии и сложности в диагностике. Если у пациента начинает развиваться артрит, то в его жизнь постепенно входит чувство боли и скованности в суставах, которое рано или поздно превращает его существование в кошмар. Основной причиной боли является разрушение хряща сустава. В структуре хрящевой ткани появляются трещины, хрящ фрагментируется и рассыпается. Весь этот процесс сопровождается воспалением. Постепенно участки кости все больше теряют хрящевой покров, что приводит к механическому раздражению кости, ее уплотнению и формированию костных выростов. Больному с артритом становится тяжело ходить и выполнять ежедневную работу.


Способы диагностики артрита
Лечением и диагностикой артрита занимается врач-ревматолог. На сегодняшний день в арсенале врачей есть несколько видов инструментальной диагностики, с помощью которой артрит можно распознать на начальной его стадии:
- Рентгенография.
- Ультразвуковая диагностика.
- Компьютерная томография - КТ.
- Магнитно-резонансная томография.
Но для постановки окончательного диагноза требуется не только аппаратная диагностика, но и лабораторные исследования, в том числе биохимия крови и анализ синовиальной жидкости, а также тщательно собранный анамнез и сходство симптомов с клинической картиной течения заболевания. При комбинированном использовании всех диагностических методов, точное выявление артрита происходит весьма успешно и результативно.
МРТ или УЗИ при диагностике артрита?
К плюсам диагностического обследования при артрите посредством рентгена относится дешевизна и доступность. Проводится оно обычно в двух проекциях: прямой и боковой, однако при необходимости детального изучения состояния костной ткани дополнительно назначают рентгенографию в косой проекции. На рентгенограммах артрит выглядит в виде неравномерного сужения межсуставной щели, наличия кист и остеофитов. Среди недостатков данного вида диагностики - невозможность увидеть степень поражения мягких тканей и послойного строения суставов, а также определить болезнь на ранней стадии развития. При рентгене существует лучевая нагрузка на организм. Дозы облучения не позволяют использовать рентгенографию в качестве диагностического метода для беременных женщин.
| Услуги УЗИ суставов | Цена, руб. |
|---|---|
| УЗИ плечевого сустава | 1500 руб. |
| УЗИ локтевого сустава | 1500 руб. |
| УЗИ тазобедренного сустава | 1500 руб. |
| УЗИ коленного сустава | 1500 руб. |
| УЗИ голеностопного сустава | 1500 руб. |
| УЗИ одного мелкого сустава (кисти, стопы) | 1000 руб. |
| УЗИ двух мелких суставов | 2000 руб. |
| УЗИ двух крупных суставов | 2500 руб. |
- в межсуставном пространстве повышенное скопление жидкости;
- суставная щель сужена;
- признаки субхондрального остеосклероза;
- единичные узурации суставных поверхностей;
- краевые заострения.
| Услуга | Цена по Прайсу | Цена по Скидке Ночью | Цена по Скидке Днем |
|---|---|---|---|
| с 23.00 до 8.00 | с 8.00 до 23.00 | ||
| МРТ плечевого сустава | 4000 руб. | 2900 руб. | 3400 руб. |
| МРТ локтевого сустава | 4000 руб. | 2900 руб. | 3400 руб. |
| МРТ коленного сустава | 4000 руб. | 2900 руб. | 3400 руб. |
| МРТ голеностопного сустава | 4000 руб. | 2900 руб. | 3400 руб. |
| МРТ тазобедренных суставов | 5000 руб. | 2900 руб. | 3400 руб. |
| Прием врача ортопеда | 1800 руб. | бесплатный после МРТ | бесплатный после МРТ |
| Программа Скорая помощь суставам (8 исследований + прием ортопеда + МРТ сустава) | 13000 руб. | 7500 руб. | 7500 руб. |
Преимущества МРТ при артрите
- Комплексность, то есть возможность в течение одного обследования с помощью магнитных волн проанализировать состояние как мягких, так и костных тканей.
- Определяет патологический процесс на его ранней стадии, что автоматически увеличивает результативность последующих лечебных мероприятий и позволяет избежать инвалидности в результате бесконтрольного прогрессирования артрита.
- Подробная, детальная картинка пораженного сустава, включая изображение всех суставных поверхностей: суставной капсулы, хрящей и деталей связочного аппарата.
- Возможность в несколько раз увеличить снимки, а также рассмотреть полученные картинки с разных ракурсов в 3D формате.
- Контроль над лечебным процессом. Поскольку обследовать артрит на МРТ можно бесконечное количество раз без угрозы для здоровья, с помощью этого метода легко контролировать эффективность лечения, получая сравнительные МРТ снимки одного и того же сустава до начала лечебного процесса и на всем его протяжении.
- Безопасность для здоровья и отсутствие лучевой нагрузки.
- Возможность проведения диагностики при наличии швов и хирургических скобок, пациентам после операций на сердце, с наличием имплантированных в нижнюю полую вену кава-фильтров, а также пациентам с искусственными суставами, отключенными медицинскими помпами и шунтами при гидроцефалии.
Противопоказания
Несмотря на безопасность магнитно-резонансной методики, существует ряд противопоказаний, при которых диагностика с помощью магнитных волн невозможна. Магнитно-резонансную томографию не смогут провести, если:
- У вас кардиостимулятор старого образца или протезы сердечных клапанов.
- Присутствуют в теле несъемные металлические зажимы или металлическое инородное тело.
- Установлен слуховой аппарат.
- Есть штифты или спицы в костной ткани, если только они сделаны не из титана.
- Есть в теле металлический осколок.
- Вы пользуетесь активно работающей инсулиновой помпой.
Мощное магнитное поле томографа может вывести из строя любые вшитые приборы жизнеобеспечения, а также сместить или нагреть металл внутри вашего тела.
Поскольку МРТ сустава обычно занимает от получаса до часа и требует неподвижного лежания от пациента, иногда для больного артритом из-за боли это представляется сложным. Поэтому, если у вас сильный болевой синдром, для того, чтобы МР-сканирование прошло успешно, есть смысл рассмотреть возможность сделать себе блокаду сустава за день до обследования.
Трудно согнуть руку или ногу, а при каждом движении тело пронзает острая боль? Виной всему может быть артрит. Раньше людей с таким диагнозом ждали костыли и инвалидность. Сейчас всё изменилось – если лечение назначено вовремя, грозных осложнений можно избежать.
Не ошибусь, если скажу, что артритом у нас называют многие заболевания, при которых болят суставы. По сути мы понимаем под этими терминами патологию суставов.
Остеоартроз – это заболевание, которое чаще всего возникает у людей пожилого возраста. Бывает и у молодых людей, обычно после какой-либо травмы, либо при неправильных чрезмерных систематических нагрузках на сустав. При остеоартрозе происходит повреждение хряща за счет неправильной, либо чрезмерной нагрузки на сустав. Повреждение хряща может произойти и в результате полученной травмы. Повлиять на развитие заболевания могут метаболические, эндокринные нарушения, нарушения центральной нервной системы.
При артрите, в первую очередь, происходит воспаление мягких тканей вокруг сустава, костного мозга. Пусковым механизмом могут послужить инфекции, аллергия, иммунопатологические, эндокринные и метаболические нарушения.
Отмечу, что причины развития артрита до конца не изучены. Медицина не стоит на месте и каждый день выявляются новые как факторы старта заболевания, так и методы лечения.
- Как проявляются поражения суставов при артрите и артрозе?
При артрозах боль обычно появляется при физической нагрузке и уходит при её прекращении. В запущенных стадиях остеоартроза отмечается асимметричное утолщение в области сустава, что обусловлено костными массивными разрастаниями, отсюда и название - деформирующий остеоартроз, деформирующий сустав, тем самым ограничивая его функцию, вплоть до невозможности движения в пораженном суставе. Но в противоположность артриту, деформации суставов при артрозе происходят гораздо медленнее, годами.
- Ревматоидный артрит и артрит – это одно и то же? Или это разные заболевания?
Ревматоидный артрит – это одна из разновидностей артрита, также в классификации есть и псориатический, серонегативный, кристаллический и инфекционный артриты, а также имеются подтипы артритов.
Врачам-ревматологам всегда важно знать какой именно тип артрит поразил пациента. От этого зависит тактика лечения.
- Этот диагноз – всегда приговор?
На мой взгляд, никакой диагноз не должен звучать для пациента, как приговор. Многое зависит от того, как врач пациенту донесет всю информацию. Один может озвучить диагноз как приговор, другой - сказать пациенту, что это - образ жизни, с которым можно жить полноценно, заниматься любимым делом, не чувствовать себя ограниченным в чем-то, но, конечно, только следуя советам врача, получая правильное лечение.
Своевременная диагностика, правильная терапия и правильный образ жизни помогут пациенту побороть свой недуг.
- Артрит можно назвать болезнью пожилых?
Это распространённое заблуждение. Вопреки стереотипу, болезнь суставов – вовсе не удел пожилых людей. Всё чаще недуг поражает совсем молодых.
Замечено, что чаще страдают от артритов и артрозов те, кто ведёт малоподвижный образ жизни. И здесь логично было бы дать совет – занимайтесь спортом. Но такую рекомендацию необходимо снабдить важной оговоркой – без фанатизма. Не зря говорят физкультура лечит – спорт калечит. В любом спорте есть риск получить травму как у бойцов смешанных единоборств, так и у шахматистов. Травму можно получить, резко встав с дивана. Поэтому нужно укреплять себя, своё тело. Если и давать физическую нагрузку, то правильную: чаще проводить время на свежем воздухе, если у вас выходной, не сидеть дома, пусть ваш отдых будет активным, но безопасным!
- Кто больше подвержен заболеваниям суставов – мужчины или женщины?
В этом вопросе мнения авторов разные и приводятся статистики с разными цифрами. Большинство авторов утверждают, что чаще системным заболеваниями, такими, как системная красная волчанка, склеродермия и ревматоидный артрит подвержены женщины.
- Климат влияет на развитие болезней суставов или это – миф?
На самом деле, распространённость заболевания одинаковая во всех климатических зонах. Поражением суставов страдают и те, у кого из окна видно море, и те, кому в окно заглядывает белый медведь.
Статистика, с которой не поспоришь, свидетельствует - заболеваемость артритом составляет 9,5 случаев на 1000 населения вне зависимости от региона.
- Какой врач лечит артриты и артрозы и как понять, что пора идти к врачу?
Если у вас появилась боль в суставе после травмы или вы накануне совершали какую-либо физическую нагрузку, после чего возникла боль – более вероятно, нужно идти к травматологу. Если суставы болят в покое, утром вы не можете пошевелить пальцами, кисти и стопы опухают, а боль проходит через какое-то время после того, как вы подвигаетесь - нужно идти к ревматологу.
Если вам сложно определиться, какому врачу обратиться, идите либо к травматологу, либо к ревматологу. Специалист перенаправят вас к тому доктору, который вам нужен. Это лучше, чем прикладывать подорожник, пить соду и искать способы лечения в Интернете.
- Как проводится диагностика артрита?
В качестве первого метода диагностики современные ревматологи часто назначают УЗИ. На самом деле, рентгенография должны быть тем самым первым методом, позволяющим оценить как стадию болезни, так и её дальнейшее прогрессирование.
Что касается компьютерной томографии, то в настоящее время она, для диагностики ревматоидного артрита, не применяется. Это связано с тем, что с таким же успехом можно использовать цифровую рентгенографию, во время которой пациент получает гораздо меньшую лучевую нагрузку.
Но рентгенография не позволяет врачу оценить ни костный мозг, ни хрящевую ткань, ни синовиальную оболочку.
Одним из самых информативных методов является МРТ суставов. Магнитно-резонансная томография позволяет увидеть заболевание на самой ранней стадии, когда наблюдается и отёк костного мозга, отёк мягких тканей, и поражение хряща.
Окончательный диагноз ставится только на основе комплексной диагностики пациента, включающий и целый ряд дополнительных лабораторных анализов, клинических исследований, анамнеза.
- Сколько по времени длится МРТ суставов и есть ли необходимость в применении контраста во время этого исследования?
На мой взгляд, контрастирование при проведении МРТ-диагностики суставов является уместным, в случае ревматоидного артрита - обязательным. Контраст позволит дифференцировать стадию заболевания.
По времени исследование занимает, как правило, 20 минут.
Отмечу, что пациентам с выраженным болевым синдромом необходима подготовка к диагностике. Бывают случаи, когда боль мешает неподвижно лежать. Это не только увеличивает время исследования, но и иногда делает его невозможным. Поэтому, перед прохождением МРТ, таким пациентам необходимо обратиться к лечащему врачу для проведения обезболивания.
- Поговорим о прогнозе у больных с артритом?
Несмотря на боль, пациенты с заболеваниями суставов способны на полноценную и активную жизнь. Но при условии получения качественного и правильного лечения. Хочется предостеречь больных от самолечения хондропротекторами и различными методами народной медицины. Подобный халатный подход к своему здоровью приведёт к прогрессированию заболевания вплоть до стадии, когда для лечения понадобится замена сустава, в некоторых случаях к инвалидности.
Медицинская наука не стоит на месте. Современные врачи способны спасти больных с поражениями суставов от тяжелейшей деформации и инвалидизации. Для лечения, направленного на снятие воспаления и возвращения объёма движения поражённому суставу, применяются как лекарственные препараты, в том числе, для внутрисуставного введения, так и лечебная физкультура не стадии обострения, физиотерапия. По показаниям проводят артроскопические операции.
Мациев Дэниз Русланович
Что необходимо знать о болезни Стила
- Как разновидность инфекционного неспецифического ревматоидного артрита известна болезнь Стила для которой характерен серонегативный хронический полиартрит в сочетании с системным воспалительным процессом.
- Ревматоидный артрит - это системное заболевание соединительной ткани с преимущественным поражением мелких суставов по типу эрозивно-деструктивного полиартрита.
- В детском возрасте протекает в виде ювенильного ревматоидного артрита, характеризующегося хроническим прогрессирующим течением с вовлечением в процесс воспаления суставов, а также внутренних органов.
- Ревматоидный артрит поражает 2% от всей популяции
- Пик частоты (диагностики) на 4-5-м десятилетии жизни
- У детей ревматоидный артрит встречается от 6 до 19 случаев на 100 000 детского населения
- Женщины поражаются в 3-4 раза чаще, чем мужчины
- Увеличение частоты семейных случаев
- До 70% пациентов имеют НLА-антиген DR4.
- Хроническое воспалительное заболевание суставов
- Предрасположенность к поражению синовиальной мембраны
- При прогрессировании ревматоидной артропатии - деструкция кости в области пораженного сустава
- Этиология многофакторная и не полностью изучена
- Клеточная иммунная реакция против неидентифицированного антигена
- Синовиальная оболочка является первичной мишенью различных иммунологических каскадов, которая реагирует воспалительными пролиферативными изменениями (паннус)
- Вторичная деструкция капсуло-связочного комплекса, хрящевой ткани и кости.
КТ и МРТ диагностика ревматоидного артрита
- рентгенологическое исследование, МРТ.
- В ранней стадии заболевания определяемые рентгенологически изменения скелета отсутствуют
- Часто двусторонняя, симметричная структура поражения с развитием полиартрита
- Места наиболее частого возникновения: суставы фаланг пальцев кистей и стоп, так же как и запястья
- Признаки на основании классификации, предложенной Дилманом, разделяются на три группы:
1) Припухлость мягких тканей, выпот в полости сустава, синовит
2) Коллатеральный феномен при ревматоидном артрите суставов: полосовидные участки юкстаартикулярного остеопороза
3) Прямые признаки:
- расширение суставной щели (преимущественно в связи с выпотом в полости сустава)
- Симметричное сужение суставной щели является непрямым признаком деструкции сустава (особенно выражено между костями запястья)
- Эрозирование чаще всего возникает в области кисти (II-V пястно-фаланговые суставы), проксимальные межфаланговые суставы, кости запястья, шиловидный отросток локтевой кости), стопа (II-V плюснефаланговые суставы, межфаланговые суставы)
- Ранняя визуализация разрушения субхондральной замыкательной пластинки кости
- Субхондральные кисты
- Локтевая девиация пальцев
- Петлевидная деформация пальцев
- Анкилоз является конечной стадией заболевания.
- При поражении шейного отдела позвоночника - деформация в виде ступенек лестницы, вывих в атлантоаксиальном сочленении и псевдобазилярная инвагинация.

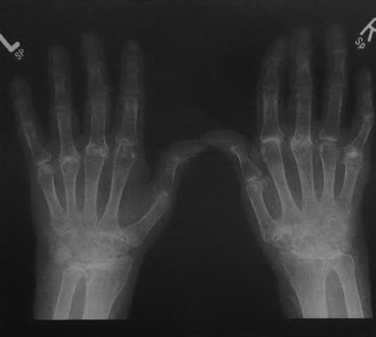
Длительно текущий ревматоидный артрит. Рентгенологическое исследование обеих кистей рук. Генерализованная остеопения. Симметричная структура поражения запястья, пястно-фаланговых суставов и незначительное поражение проксимальных фаланговых суставов. Полная деструкция сустава в некоторых местах или только сужение суставной щели. Вторичные дегенеративные изменения. Уменьшение высоты запястья с левой стороны и локтевое смещение запястья
- Характерна симметричная структура поражения (см. рентгенологические признаки; дифференциальная диагностика: дегенеративные изменения, псориатический артрит, подагра)
- Определение синовита при контрастно усиленном изображении дает возможность ранней диагностики, оценки активности заболевания и раннего лечения, возможно, до развития деструкции кости
- Нарушение сигнала аналогично отеку костного мозга (особенно на Т2-взвешенной последовательности с подавлением МР-сигнала от жировой ткани), который не имеет соответствующих признаков при рентгенологическом исследовании, представленные преэрозивными изменениями, все еще потенциально обратимыми
- Воспалительный процесс в оболочках сухожилий определяется как повышение интенсивности сигнала на Т2-взвешенном изображении
- Прямая визуализация деструкции хрящевой ткани
- Динамическая контраст-усиленная последовательность с быстрым временем изображения (менее 10 с на каждый снимок) отражает активность заболевания при воспалительных изменениях, поражающих синовиальную мембрану.

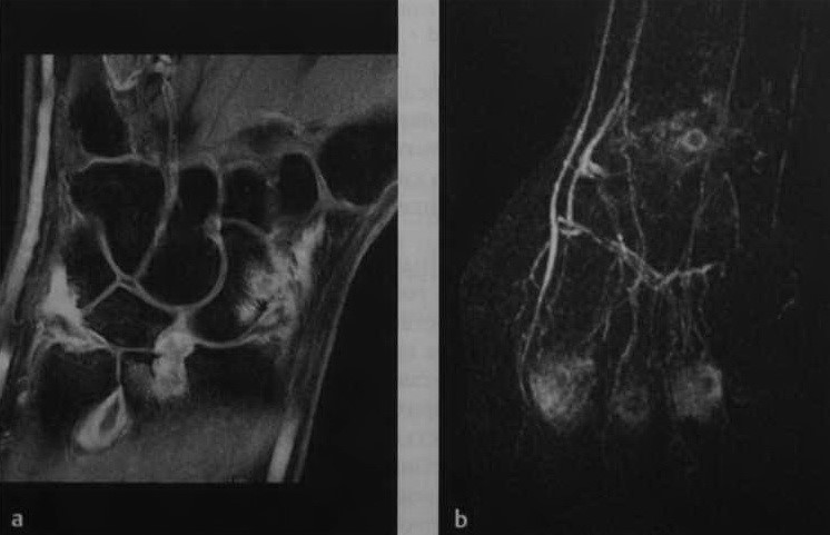
а, b Ревматоидный артрит . МРТ: A) Т1 - взвешенная SЕ-последовательность с подавлением МР-сигнала от жировой ткани после введения контрастного вещества. Накопле
Накопление контрастного вещества синовиальной оболочкой области запястья, так же как лучезапястного и дистального локтезапястного сустава. Поражение ладьевидно-полулунной связки и эрозирование ладьевидной кости; b) Динамическая контрастно-усиленная МРТ у другого пациента. Раннее артериальное контрастное усиление вокруг II—V пястно-фаланговых суставов и суставов запястья, являющееся признаком выраженного воспалительного процесса.

Структура поражений при ревматоидном артрите.
- Трехфазное сканирование кости
- Описание структуры поражений
- Может обеспечить оценку заболевания при отрицательных рентгенологических признаках.
- Паннус (пролиферация синовиальной оболочки, гиперэхогенные образования)
- Выпот в полости сустава
- Описание оболочек сухожилий (потенциальная цель для введения противовоспалительных препаратов)
- Кисты Бейкера
- Разрывы сухожилий
- Цветное допплеровское изображение: оценка перфузии (повышенное кровоснабжение синовиальной оболочки - признак активного воспалительного процесса).
Клинические проявления
Типичные проявления артрита :
- Неспецифические генерализованные симптомы системных заболевания соединительной ткани
- Болезненная припухлость суставов с ограничением подвижности (признак Ганелена: боль при надавливании)
- Ревматоидные узелки – основной признак ревматоидного артрита пальцев рук
- В поздней стадии — выраженная деформация, подвывих и фиброзный анкилоз
- Типичны периоды обострения и ремиссии
- Редко - выраженные генерализованные признаки заболевания, повышение температуры тела или возникновение внесуставных поражений.
Методы лечения воспалительных заболеваний суставов на примере ревматоидного артрита
- Активная и пассивная физиотерапия (тепловое лечение, криотерапия, лечебная физкультура, массаж, аппаратные методы).
- Медикаментозное лечение ревматоидного артрита направлено на купирование основных симптомов и торможение воспалительного процесса (НПВС, глюкокортикоиды, а также использование препаратов и биологических добавок).
- Лучевая синовийэктомия, хирургическая синовийэктомия.
- Реконструктивные хирургические вмешательства на суставах и протезирование суставов.
Течение и прогноз
- Неблагоприятные прогностические признаки: наличие полиартрита, высокий титр ревматоидного фактора, высокий уровень СРБ, высокая СОЭ
- У одной трети пациентов изменения суставов в течение нескольких лет приводят к инвалидности
- Продолжительность жизни уменьшается при возникновении осложнений (вторичный [системный реактивный] амилоидоз с нефротическим синдромом и развитием почечной недостаточности).
Что хотел бы знать лечащий врач
- Стадию и локализацию процесса
- Мониторинг лечения (прекратилась или прогрессирует деструкция сустава на фоне лечения?).
Какие заболевания имеют симптомы, схожие с ревматоидным артритом
Псориаз
- Поражение крестцово-подвздошного сочленения и всего позвоночника
- Энтезит (воспаление мышцы или сухожилия в месте прикрепления к кости)
- Обычно асимметричное поражение суставов
- Сочетание пролиферативных и эрозивных изменений
Синдром Рейтера
- Асимметричный олигоартрит, особенно нижних конечностей
- Анамнез пациента: связь с инфекционными поражениями кишечника/урогенитального тракта
- Обычно одностороннее поражение крестцово-подвздошного сочленения
Полиартроз/ полиартрит пальцев кисти
- Обычно более выраженное поражение дистальных межфаланговых суставов, чем проксимальных; отсутствие поражения пястно-фаланговых суставов
Коллагеноз
- Обычно выраженная деформация суставов запястья и пальцев, отсутствие деструкции кости
Советы и ошибки
Ошибочная интерпретация ревматоидного артрита как одного из заболеваний, представленных в разделе дифференциальной диагностики.
Читайте также:


