Одежда для людей с переломом ноги

Переломы классифицируются на полный и неполный по полноте разрыва кости, со смещением и без смещения по позиции обломков друг по отношению к другу, открытый и закрытый по наличию повреждения кожи.
Существуют определенные признаки, по наличию которых можно заподозрить наличие переломов. К таким симптомам относятся:
- Сильная боль в месте травмы;
- Деформация конечности;
- Неестественное положение конечности;
- Отек, кровоизлияние;
Первая помощь при переломах всегда включает в себя: восстановление целостности кости, остановку кровотечения, антисептическую обработку раны, иммобилизацию конечности. Больного необходимо очень бережно транспортировать в медицинское учреждение для оказания медицинской помощи.
Перелом руки
Перелом руки – один из наиболее частых видов переломов, встречающихся в быту. Очень важно уметь оказывать первую помощь. Самым важным является вовремя иммобилизовать руку, иначе закрытый перелом может превратиться в открытый. Для иммобилизации к руке необходимо приложить шину и зафиксировать. В качестве шины можно использовать подручные материалы: доску, фанеру, толстую ветку и тд. Существуют несколько разновидностей шин, подбирать которые необходимо в зависимости от вида перелома.
Лестничная шина Крамера изготавливается из проволоки. Ее необходимо накладывать поверх одежды. Шину моделируют по здоровой руке, а затем накладывают на поврежденную конечность. Важно, чтоб шина охватывала два сустава.
При сильной боли можно принять анальгезирующий препарат – анальгин, кеторол, ибупрофен. Руку с шиной подвесить в согнутом в локте положении. При развитии болевого шока – то есть реакции организма на боль, при которой страдает нервная и сердечно-сосудистая система, важно принять незамедлительные меры. В противном случае, такое состояние может привести к смерти. Важно оказать первую помощь пострадавшему до приезда скорой помощи. О развитии болевого шока у пострадавшего свидетельствуют спутанность сознания, заторможенность, бледность, понижение температуры тела, снижение тонуса мышц, больной не понимает, что с ним происходит. На следующей стадии снижается артериальное давление до 90-100 мм рт.ст, учащенный пульс до 120 уд. в мин., холодный пот.
Пострадавшего с симптомами болевого шока необходимо согреть с помощью грелок, одеял, отпоить горячим чаем. При рвоте или ранениях брюшной полости пить запрещено.
Транспортировать пострадавшего можно только после устранения симптомов шока.
При открытом переломе руки в первую очередь необходимо остановить кровотечение. Для этого необходимо наложить жгут на область выше раны. Жгут представляет из себя прочную резиновую полоску. Жгут накладывают на 30-40 минут, в зависимости от состояния человека, времени года. Более длительное наложение может быть чревато некрозом, ведь конечность по сути отключают от кровотока, что может быть чревато развитием кислородного голодания. Что делать если под рукой не оказалось жгута? Можно наложить импровизированное средство, например, кусок ткани, ленты, веревки, собственный ремень и др.
Существуют две разновидности жгутов – ленточные и воронкообразные. Ленточный жгут – это небольшой отрезок ленты из резины. На нем могут быть нанесены отверстия для кнопок, или кнопки, которые позволяют его застегнуть.
Воронковые жгуты обычно используются в экстремальных условиях. Они представляют собой широкую синтетическую ленту, застегивающуюся с помощью липучки, которая обеспечивает надежную фиксацию. Часто такие жгуты снабжены медицинским маячком, который отслеживает время наложения.
Рану обработать антисептиком для того, чтобы предупредить попадание инфекции. После остановки кровотечения и обработки раны руку необходимо зафиксировать.
Рассылка Пикабу: отправляем лучшие посты за неделю 🔥
Спасибо!
Осталось подтвердить Email - пожалуйста, проверьте почту 😊











Выживаем как можем

Мужчина с переломом ноги по пути в Дикси, с примотанной к ноге скотчем табуреткой, опираясь на пластмассовую палку от швабры.
Фотографировала на свой хуявей 9.
P. S. ГОСПОДА НЕ ОСОБО ОТЯГАЩЕННЫЕ ИНТЕЛЛЕКТОМ - целью моего поста не было пожаловаться на то что у меня "мутный обмылок, а хочу айфон". Сидите со своими айфонами на попе ровно.
Поиграл в бадминтон называется.
Всем привет, сразу предупреждаю пост будет длинный и вероятнее всего с целью поныть.
Присутствуют рентгеновские снимки. Если кто то не любит их, не смотрите))))
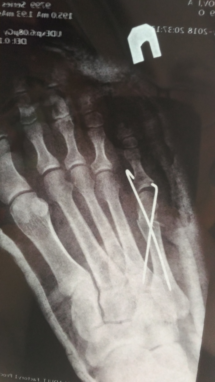
28 мая мой братик 40 лет от роду решил поиграть в бадминтон и сломал себе ногу, а точнее пятую плюсневую кость. В травмпункт мне удалось затащить его только 31 мая и то с трудом, так как я на 11 лет младше и давление на него оказывать сложновато. Там сделали снимок


и сказали срочно ехать в приемный покой во Вредена что бы там делали репозицию и иммобилизацию))) проще говоря что бы как то зафиксировать косточки с отломками и наложить лангету.
Во Вредена предложили три варианта поставить либо спицы, либо пластину либо вообще просто напросто загипсовать. Ложится в больницу брат не захотел, так как работает на дому(архитектор), а из больницы работать сложновато (возможно зря), решили поставить спицы и вот такая картинка получилась


сказали приехать в травмпункт на следующий день для перевязки.
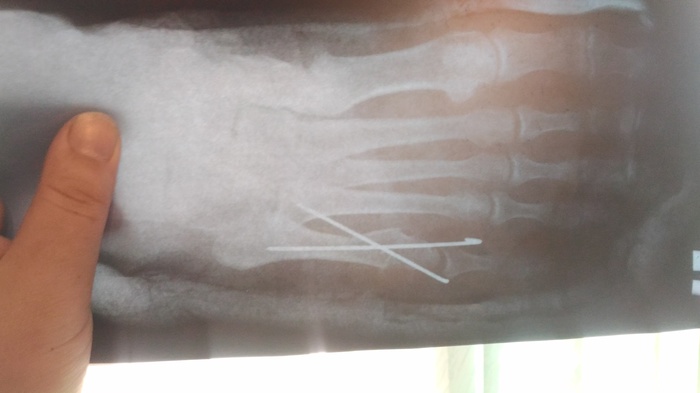
Что собственно брат и сделал. К сожалению врач которая осматривала брата в травмпункте куда-то очень спешила, возможно домой. Рекомендаций никаких не дала, от всех вопросов отмахивалась говоря: Потом Ванечка (имя брата), все вопросы потом, идите домой. В итоге на перевязке ногу перетянули, она стала отекать и болеть. В следующий раз в травмпункт приехали только 15 июня на контрольный рентген, перевязки делали сами. Так как каждый день до травмпункта добираться сложно - брат живет на шестом этаже без лифта + на такси денег не напасешься. Может оно и не правильно звучит, но так вот получается, бывает такое.
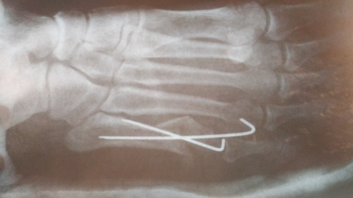
Отсидев в очереди два часа (что еще не так много на самом деле), мы зашли в кабинет к врачу, не дав и слова сказать он начал на повышенных тонах отчитывать брата рассуждая, а стоит ли вобще брать его на прием. Никаких оправданий он выслушивать не захотел, говорил все время на повышенных тонах брат вышел из кабинета, так как он разозлился от такого обращения и сказал, что вобще ни к какому врачу не пойдет. Пока суть да дело, я договорилась что нас примет дежурный врач. На приеме выяснилось, что у брата произошло смещение отломка


Сказали что такое случается и предложили съездить во Вредена на консультацию о том, что делать дальше.
Вот собственно вчера были на консультации, доктор увидев снимки спросил кто сотворил сей ужас (про спицы). Сказал, что при таких переломах спицы на закрытую не ставят, нужно обязательно делать операцию, ставить либо пластинку либо шуруп, в зависимости от обстоятельств. А так одна спица немного кость держит, а другая вобще ничего не фиксирует. Операция платная и дорогая соответственно, за деньги мы к сожалению не можем себе ее позволить. У подруги (она врач) узнавала - бесплатно можно сделать, но тут 50 на 50, как она сказала скорее всего соберут плохо. Можно по направлению делать во Вредена и оплатить палату, что бы не так долго очередь ждать. Можно вообще ничего не делать, но тогда сказали что возможно будут проблемы при ходьбе, так как кость опорная, а в последствии могут быть проблемы с позвоночником.
Брат сказал, что он уже вобще ничего с ногой делать не хочет, мол пусть будет все как есть сейчас, очень переживаю за него, что будут потом проблемы со здоровьем.
Надо сегодня в травмпункт ехать, лангету поменять и направление взять, а он не хочет.
Как быть хрен знает.
Огромное спасибо тем кто прочитал, очень важно было выговориться.
![]()
Как я "только спросил"
"Толькоспросильщиков" никто не любит, и я в том числе. Но как то раз, волею судьбы, пришлось побывать таким персонажем.
В августе 2012 я сломал ногу - двойной осколочный перелом со смещением.

Как я ехал до больницы и как там лежал - про это можно отдельный пост написать, но мне лень.
После выписки полгода проходил на костылях, потом с палочкой, и периодически надо было появляться в поликлинике наблюдаться у лечащего врача. И как то направила она меня на рентген. Просканировал мою ногу этот дьявольский аппарат, я узнал у оператора, когда будет готов снимок, и ушел.
Спустя пару дней прихожу снова в рентгенкабинет взять снимок, кабинет работает до 16:00, я пришел в 15:50 с расчетом что все уже отрентгенятся и мне ждать не надо будет, чтобы снимок забрать. Захожу, даю направление от врача, рентгенолог смотрит и говорит: "Так я же тебе в карточку все записала и врачу отдала твоему!". Я отвечаю: "Так а сам снимок дайте мне." Она мне: "Не могу, у тебя в направлении две печати, а чтобы отдать снимок на руки пациенту должна быть еще специальная третья печать, иди к своему врачу, пусть ставит. Только я работаю до 16:00 и ждать не буду."
Выхожу из рентгенкабинета, а кабинет нужного врача прям напротив, и я вижу, что весь коридор забит пациентами, как в благословенные советские времена, какие-то бабки даже термос достали и пирожки. Спрашиваю, кто следующий, там оказался мужичок за 50, вкратце объясняю свою ситуацию - мол так и так, надо просто печать поставить чтобы рентген отдали, а он закрывается в 16:00. Мужичок нехотя сказал ладно иди, я захожу, врач видит меня: "О, привет, что так рано? ты же ко мне через неделю только должен прийти." Отвечаю: "Да вот печать надо от вас, а то рентген не выдают на руки." Врач ставит третью печать и говорит: "Ну ложись на кушетку, снимай штаны, показывай ногу, раз уж пришел." Я ей: "Да я без очереди прошел, меня пропустили чисто печать поставить!" Врач: "Ну что сказать. СОЖРУТ ТЕБЯ, КОГДА ВЫЙДЕШЬ! давай ногу показывай!"
Будем честны: сделать вы можете немногое. Но и мелочь иногда способна спасти жизнь.
Треснувшая или сломавшаяся кость (неважно где: в руке, ноге, рёбрах, тазе…) далеко не всегда очевидна. Между тем её острые края, скрытые под кожей и внутри тканей, могут нарушить целостность крупных кровеносных сосудов или даже проткнуть жизненно важные органы. Поэтому, хотя в большинстве случаев переломы и не опасны для жизни, с ними лучше не шутить. Они всегда Fractures (broken bones) требуют профессиональной медицинской помощи.
В зависимости от тяжести повреждения надо либо обратиться в травмпункт, либо вызывать скорую.
Как понять, что это перелом кости
Нередко он маскируется под обычные ушибы или незначительные травмы. Но есть признаки Understanding Bone Fractures — Symptoms , которые указывают на перелом. Вот они:
- Вы только что упали, сильно ударились или получили иную травму.
- Повреждённое место очень болит, особенно при движении.
- Иногда боль умеренная, но травмированный участок немеет.
- Появился большой багровый синяк (это признак обширного кровоизлияния) и отёк.
- Присутствует видимая деформация: рука, нога, палец принимают неестественное положение или приобретают нездоровый изгиб. Совсем очевидный симптом — когда сломанная кость прорывает кожу и её острые края видны невооружённым глазом.
- При разрыве кожных покровов наблюдается сильное кровотечение.
Не обязательно, чтобы совпали все перечисленные симптомы. Например, при травме рёбер или таза деформация может быть и незаметной, хотя перелом в этих областях чрезвычайно опасен. Но, если вы насчитали хотя бы четыре пункта, скорее всего, это он. Надо принимать срочные меры.
Когда вызывать скорую
Понять, что перелом угрожает жизни, можно по ряду признаков:
- Кость пронзила кожу, видны осколки.
- Кровотечение очень обильное, или подкожная гематома стремительно разрастается. Это симптом того, что человек теряет много крови.
- Даже лёгкое прикосновение к пострадавшей области вызывает острую боль.
- Конечность или сустав выглядят очевидно деформированными.
- Пальцы, кисть или ступня онемели до полной потери чувствительности и/или посинели.
- Пострадавший не отвечает на вопросы, не дышит или не двигается.
- Вы предполагаете, что при травме могли пострадать кости шеи, головы или спины.
Даже если травма кажется вам незначительной и вы, сверившись с симптомами, лишь предполагаете перелом, напоминаем: как минимум визит в травмпункт или к травматологу — обязателен.
Только специалист может оценить реальные масштабы повреждения и исключить опасность для жизненно важных сосудов, нервных окончаний или органов. Скорее всего, для этого потребуется сделать рентген.
Как оказать первую помощь при переломе
Последовательность действий может меняться в зависимости от конкретной ситуации. Если человек кричит от боли, для начала ему надо дать обезболивающий препарат. Если ощущения терпимые, но из раны вытекает много крови, то прежде всего следует наложить жгут и лишь после этого приступать к другим пунктам первой помощи.
Чтобы преодолеть шок, и пострадавшему, и тому, кто ему помогает, важно правильно дышать — глубоко и размеренно. Помните: совсем скоро переломом займутся медики.
Пока вы ждёте скорую или едете в травмпункт, постарайтесь сохранять неподвижность повреждённой части тела.
При подозрении на перелом костей шеи, головы или спины перемещения запрещены! Иначе возможны новые травмы.
Остановите кровотечение, если оно есть. Приложите к ране стерильную повязку или чистую ткань (это может быть и одежда), чтобы заблокировать вытекающую кровь.
Если речь о конечностях, можно использовать кровоостанавливающий жгут. Туго стяните им руку или ногу на несколько сантиметров выше раны.
Если травмированы конечности, постарайтесь максимально обездвижить суставы выше и ниже места предполагаемого перелома. Как правило, для этого накладывают шину — доску, линейку, прут, свёрнутый журнал или газеты…
Шину необходимо плотно, но не туго зафиксировать бинтами, пластырем или скотчем. Как это сделать, можно увидеть в этом простом видео:
Можно дать обезболивающее — максимально сильное из тех, что вам доступны. Например, на основе ибупрофена, парацетамола или кеторолака.
Чтобы уменьшить отёк и облегчить боль, приложите к травмированной области пакет со льдом, обёрнутый тонким полотенцем или другим куском ткани.
Травмы и переломы нижних конечностей – не такое уж редкое явление. Получить их в разном возрасте.
Однако даже после назначения и полного прохождения курса адекватного лечения, неукоснительного выполнения всех назначений и запретов врача, многие люди жалуются на преследующий болевой синдром и чересчур быструю утомляемость поврежденной ноги. Причина может быть банальной.
Игнорируется или забыта данная инструкция о том, какую обувь носить после перелома лодыжки, других суставов или костей нижних конечностей.
Правильный вид повседневной обуви, которую носит человек, перенесший любую травму ноги, является одним из главных условий успешности окончательной и полной функциональной реабилитации конечности. Цена невыполнения предъявляемых требований к обуви – это не только возникновение отдаленных осложнений, характерных для полученного повреждения, развитие плоскостопия, изменение походки, перемежающаяся хромота, но и возникновение проблем со спиной.
Чего ожидать после операции
В первое время пациенту важно придерживаться постельного режима. Ноги рекомендуется приподнять и держать в этом положении хотя бы сутки. Поскольку была нарушена целостность кожного покрова, возможно появление кровяных выделений из области шва, которые пропитают повязку.
Послеоперационный период сопровождается болевыми ощущениями разной степени. Боль появляется всю первую неделю после операции. Постепенно она проходит, но можно использовать назначенный обезболивающий препарат.
С каждой неделей следует постепенно возвращать естественную двигательную нагрузку.
Передвигаться можно лишь в специализированных ботинках, разработанных для такого состояния (обувь Барука). В соответствии с индивидуальными особенностями организма определяется, как долго носить обувь Барука после операции.
В лучшем случае, при положительных результатах рентгенографии спустя 1,5-2 месяца допускается передвижение без хирургической обуви.
Спустя 2 месяца после операции следует использовать специальные стельки, предупреждающие повторное развитие деформации и позволяющие создать правильную нагрузку на стопу.
Что представляет собой ортез
Ортез для голеностопного сустава – это ортопедическое приспособление в виде носка или сапога, позволяющее зафиксировать травмированный участок в нужном положении. С его помощью работа сустава стабилизируется, его дальнейшие повреждения или нарушение в работе тканей исключаются. Ортез помогает ограничить подвижность или полностью обездвижить сустав, что благоприятно отражается на ходе восстановления после перелома или другой травмы.
Ортопедическая индустрия выпускает огромное количество голеностопных ортезов, но какой подойдет именно в вашем случае, скажет только лечащий врач. Его диагноз будет основан на степени перелома и способностях тканей и костей к восстановлению.
Перечислим наиболее популярные классификации ортезов при переломе лодыжки.
Для изготовления ортезов чаще всего предпочтение отдается эластичным тканям или медицинскому пластику. Первые используются, чтобы зафиксировать суставы, снизить или устранить болевые ощущения и отечность.
Ортезы из пластика назначаются после серьезных переломов, когда требуется абсолютная неподвижность для правильного срастания костей.
Показания к применению
Главная цель данного ортопедического изделия — свести к минимуму нагрузку на переднюю часть стопы. Ботинки применяются при реабилитации после лечения травм, когда необходимо поддерживать вес тела на задней части стопы и избегать нажатия на плюсну.
Ортопедическая обувь Барука рекомендуется в таких случаях:
Физиология голеностопного сустава
Голеностопный сустав имеет уникальное строение. Данное сочленение сложное по своей структуре, отвечает, как за движение, так и за устойчивость всего тела. Без голеностопа невозможно удержать равновесие тела при беге, приседании, стоянии на цыпочках. Профессиональные спортсмены данный сустав считают вестибулярным аппаратом ног.
Голеностоп , это соединение воедино связок, костей, сухожилий и мышц. И если он сломанный, то это серьезно.
Основной частью голеностопного сустава являются костные структуры, которые отвечают за большинство нагрузок. Именно благодаря костным структурам удерживается вес человека.
Врачи ортопеды часто диагностируют:
- вывих,
- подвывих,
- трещину,
- перелом,
- растяжение.
Если после падения боль в лодыжке не проходит в течении 3-х дней, а также имеет место отек, необходимо проконсультироваться с врачом. Данная симптоматика может указывать на трещину в лодыжке.
Отличительной особенностью строения голеностопного сустава является его мышечная структура. К голеностопу присоединяется 8 мышечных пучков. Благодаря этому человек может шевелить ступней, двигать и сжимать пальцы.
Часто возникает перенапряжение мышц и их микротравмы, а также переутомление связочного аппарата.
Описание и конструкция
Послеоперационная обувь Барука эффективна из-за конструкции, которая гарантирует надежную фиксацию и устраняет нагрузку в передней части стопы.
ЭффективностьБлагодаря особой клиновидной подошве создает возможность легкого и доступного передвижения. Изделие универсально, поскольку одинаково подходит для обеих ног, имеет нескользящую подошву и легко регулируется на ноге с помощью липучек.
Как выбрать обувь при косточке на ноге
Как выбрать ортопедические стельки для детей?
Классификация
Все переломы подразделяются на открытые и закрытые, а также со смещением и без такового. Однако что касается стопы, то здесь классификация имеет несколько другой вид.
Травмы стопы подразделяются на следующие разновидности:
- Перелом Джонса. Один из наиболее сложных, поскольку кости повреждаются у основания стопы, в результате чего получается огромное количество осколочных переломов. В этом случае фаланги никогда не срастаются, и у человека болит плюсневая кость стопы (лечение которой может проводиться по-разному) на протяжении всей его жизни. Также у пострадавшего существенно затрудняется двигательная активность, поскольку наступать на ногу невозможно из-за сильной боли.
- Отрывной перелом. Во время травмы происходит сильное натяжение сухожилий, в результате чего от стопы отсоединяется костный осколок, повреждая при этом мягкие ткани. Самостоятельно диагностировать подобную травму невозможно, поскольку симптоматика очень напоминает обычное растяжение связок.
- Авульсивный перелом 5 плюсневой кости стопы. Лечение этой травмы проходит очень сложно. А если диагноз был поставлен неправильно, то в нижней конечности начинается множество необратимых процессов, которые впоследствии устранить уже невозможно.
Это лишь обобщенная классификация, где представлены наиболее распространенные случаи. На самом деле в медицинской практике различают намного большее количество видов травм, каждый из которых обладает определенными особенностями.
Инструкция
Надевать и носить специальную обувь нужно в соответствии с рекомендациями:
- открыть застежки и аккуратно поставить ногу на подошву;
- застегнуть липучки так, чтобы не передавить стопу, но и не допускать скольжения;
- при снятии обуви внимательно следить за тем, чтобы не задеть повязку;
- для выхода на улицу использовать специальную накладку, защищающую от пыли и грязи.
Длительность ношения — от 4 до 8 недель в зависимости от скорости заживления и врачебных рекомендаций.
Перелом плюсневых костей стопы – лечение
То, как долго срастается перелом плюсневой кости стопы, возникнут ли осложнения травмы, во многом определяется своевременностью и правильностью оказания медицинской помощи. Сразу после получения травмы необходимо провести такие мероприятия:
- фиксация стопы в одном положении путем наложения шины;
- при открытой травме – наложение стерильной повязки;
- прикладывание холодного компресса (примерно на 15 минут);
- обеспечение покоя нижней конечности в приподнятом положении.
Действие на косточку
Послеоперационный период важен для завершения лечения вальгусной деформации. Соблюдение всех предписаний врача и ношение специальных ботинок содействует быстрому восстановлению пораженных участков стопы. Особая конструкция ботинок предотвращает попадание грязи или инфекции в область шва, а также исключает натирание.
Полностью регулируемое строение обуви позволяет подстроить ее под индивидуальные характеристики ноги таким образом, чтобы не вызывать дискомфорт.
При этом ортопедическое изделие устраняет лишнюю нагрузку с травмированного сустава, перенося ее в область пятки. Такая разгрузка после операции способствует заживлению, восстановлению и нормальному функционированию большого пальца на ноге.
Реабилитация
Она осуществляется под наблюдением лечащего квалифицированного врача. При этом на протяжении всего реабилитационного периода рекомендуется выполнять следующие мероприятия:
- Лечебную гимнастику, направленную на возвращение ноге прежней подвижности.
- Разрабатывание стопы. Для этого нужно просто ходить по квартире или по улице, начиная с малых расстояний и постепенно увеличивая нагрузку.
- Лечебный массаж.
- Ношение обуви с ортопедическими стельками на протяжении первых шести месяцев после перелома.
- Прием теплых травяных ванн для ног.
- Занятия плаванием.
- Переход на здоровый и сбалансированный рацион.
Как отмечают медицинские сотрудники, восстановление после повреждения плюсневых костей стопы занимает довольно большой период времени. Если вы хотите, чтобы терапия шла максимально эффективно, то необходимо строго соблюдать все предписания врача. Что касается физических упражнений, то их нужно начинать выполнять сразу же после снятия гипса.
Чтобы минимизировать вероятность травмирования костей нижних конечностей, нужно стараться бережно к ним относиться, не подвергая слишком большой нагрузке. Если вы занимаетесь каким-либо опасным видом спорта, в котором высока вероятность получения травмы, то лучше всего отказаться от него. Дорожите своим здоровьем и не относитесь к нему пренебрежительно, и все у вас будет хорошо.
Здравствуйте. 2 месяца назад был перелом 2 плюсневой кости без смещения. Проходила 3 недели в гипсе, дальше разрабатывала. Сейчас снова появилась боль, но по ощущениям ближе к 3-4 плюсневым. Скажите пожалуйста, это нормально? Или это скорее новая травма, т.к. перелом был после трещины( как поняла усталостного перелома). Спасибо!
На сервисе СпросиВрача доступна консультация травматолога по любой волнующей Вас проблеме. Врачи-эксперты оказывают консультации круглосуточно и бесплатно. Задайте свой вопрос и получите ответ сразу же!
Перелом плюсневой кости стопы – распространенный вид травмы. Примерно пятая часть обращений к травматологам по поводу переломов ног связана с этим диагнозом. Получить такой перелом легко даже во время ходьбы по неровной дороге в неудобной обуви, при прыжке на твердую поверхность, вследствие удара стопой о бордюр или стену.
Как правильно выбрать и носить обувь Барука
Ортопедические ботинки крайне важно подобрать верно. Изделие должно фиксировать ногу в анатомически правильном состоянии. Специальная обувь изготавливается в пяти размерных вариантах, имеющих эквивалентное латинское наименование. Используя соответствия, указанные в таблице, можно выбрать подходящую пару.
| Размер | Латинское наименование |
| 36-37 | S |
| 38-40 | M |
| 41-43 | L |
| 44-46 | XL |
| 47-49 | XXL |
Надевая изделие, необходимо полностью раскрыть застежки и вставить ногу таким образом, чтобы не повредить повязку, наложенную на стопу. Затем следует аккуратно закрепить застежки в нужном месте. Застегнутая обувь не должна передавливать ногу или допускать скольжение стопы при ходьбе.
Снимать ботинки нужно также осторожно, чтобы липучки не повредили бинты.
При прогулках вне дома следует пользоваться дополнительной накладкой, защищающей изделие и стопу от переохлаждения или загрязнения.
Изолируем гипс от попадания влаги
Попадание воды на гипс – это плохо. Во-первых, потому, что фиксатор может размягчиться и перестать выполнять свою функцию, из-за чего начнутся трудности с правильным срастанием кости. А во-вторых, это плохо, потому что попавшая под гипс влага с высокой степенью вероятности может вызвать появление в организме инфекции.

Так как вообще? Можно ли мыться с гипсом на ноге? Да, можно. Но при мытье гипс лучше всего изолировать. Как это сделать?
Первое, что приходит в голову, это воспользоваться обычным полиэтиленовым пакетом большого размера, который закроет весь гипс с запасом, и обмотать его над местом, где гипс заканчивается, скотчем или изолентой. Таким пакетом вполне может быть плотный мусорный мешок.
Также можно воспользоваться пищевой пленкой, плотно обмотав ею гипс. Нужно убедиться, что никаких прорех в пленке не осталось, чтобы не рисковать гипсовым фиксатором.
Как мыться с гипсом на ноге более передовым способом? Использовать специальные бахилы или чехлы для гипса. Такие приспособления, облегчающие жизнь пострадавшему от перелома ноги, продаются в аптеках.
Стоит помнить, что, независимо от средства изоляции гипса от воды, края, которые могут протечь, несмотря на все ухищрения, лучше всего обложить полотенцем, которое, в случае проникновения влаги, впитает жидкость в себя, не дав ей добраться до фиксатора.

Как мыться?
Даже тогда, когда нога обмотана пакетом или другим приспособлением, предохраняющим гипс от воды, мыться как обычно довольно неудобно и опасно. Лучше всего будет, если в этот период времени кто-то сможет помогать больному во время водных процедур.
Как мыться с гипсом на ноге в душе? Один из способов– это поставить в ванну или душ стул, табуретку, специальную подставку, перевернутый таз или любое другое приспособление, которое позволит больному сесть. Ногу при этом лучше высунуть из душевой кабинки или ванны и аккуратно помыться при помощи душевого шланга. Если шланга нет, то можно использовать ковш или кружку для омовения.
Как мыться с гипсом на ноге еще? Еще с гипсом можно принимать ванну, положив ногу на бортик, а также обтираться влажной губкой, полотенцем или антибактериальными влажными салфетками, если гипс наложили относительно ненадолго.

Как мыться с пластиковым гипсом на ноге?
Пластиковый гипс – это в некотором роде чудо современной медицины. Во-первых, он в разы легче, чем его устаревший, собственно гипсовый, аналог, а во-вторых, со многими из таких гипсов можно мыться, не боясь повреждения этого фиксатора и попадания под него воды. Впрочем, насчет попадания воды под пластиковый фиксатор можно поспорить, и поэтому лучше перестраховаться и все-таки обмотать его пленкой, защитить пакетом или чехлом. С этим вопросом, конечно, лучше обратиться к лечащему врачу. Просто фиксаторы бывают разные: некоторые влагу пропускают, некоторые – нет.
Но пластиковые гипсы ставят не всем, потому что в некоторых случаях именно классические гипсы способствуют заживлению травмы лучше.

Как мыться с гипсом на ноге самостоятельно, когда помочь некому?
Для этого необходимо максимально снизить возможность падения и получения дополнительных травм. Придется использовать костыли или ходунки, а также опираться на хорошо зафиксированные предметы в ванной комнате (бортики, трубы, если они прочно прикреплены к своим местам). Облегчить мытье поможет и специальный переносной душевой шланг, продающийся в магазине сантехники.
Предосторожности
Перелом – травма серьезная, с которой лучше не шутить, если не хочется усугубить ситуацию со здоровьем. Поэтому лучше всего при малейшем намокании гипса или попадании влаги под пластиковый фиксатор обратиться к врачу незамедлительно, в кратчайшие возможные сроки.
Читайте также:


