Ребенок сломал ключицу на тренировке
Подобных рассказов на родительских форумах и тематических группах в соцсетях можно найти тысячи. Дети, особенно в раннем возрасте, весьма часто травмируются на тренировках, и речь даже не о боксе, самбо или борьбе. Юных спортсменов зачастую привозят в травматологию с хоккея, футбола, гимнастики и даже аэробики. Конечно, это не радует их родителей и они всегда тяжело переносят любую травму своего чада.
А как реагируют на подобные травмы руководители спортивных школ и секций? По-разному. Одни – практически всегда на связи и постоянно интересуются здоровьем своего подопечного, другие же – наоборот, стараются минимизировать контакт с пострадавшим, избегая неприятных тем. Среди них есть и такие, которые специально распространяют в социальных сетях утверждение о том, что тренеры, инструкторы и другие сотрудники школы якобы не несут никакой ответственности за здоровье своих подопечных. А так ли это на самом деле? Попробуем разобраться.
Что говорит закон
Далеко не все аспекты занятий детей спортом охвачены профильными нормативно-правовыми актами, однако богатая юридическая практика позволяет найти ответы на любые вопросы, которые могут у вас возникнуть по теме спортивных секций.
Для начала попробуем разобраться, почему спортивные Федерации повсеместно стали вводить в регламенты своих профильных соревнований дополнительные требования по страхованию спортсменов. С недавнего времени в законе "О физической культуре и спорте РФ" появились поправки, касающиеся страхования участников, в частности пункты:
6. Организация и проведение физкультурного мероприятия или спортивного соревнования осуществляются в соответствии с положением (регламентом) о таком физкультурном мероприятии или таком спортивном соревновании, утверждаемым его организаторами.
7. Общие требования к содержанию положений (регламентов) о межрегиональных и всероссийских официальных физкультурных мероприятиях и спортивных соревнованиях, предусматривающие особенности отдельных видов спорта, устанавливаются федеральным органом исполнительной власти в области физической культуры и спорта.
Если мы отправимся к Приказу Министерства спорта РФ от 1 июля 2013 г. N 504 "Об утверждении Общих требований к содержанию положений (регламентов) о межрегиональных и всероссийских официальных физкультурных мероприятиях и спортивных соревнованиях, предусматривающих особенности отдельных видов спорта" (с изменениями и дополнениями), то там есть пункт:
к) "Страхование участников": условия страхования жизни и здоровья участников от несчастных случаев
То есть организатор должен в положении (регламенте) отразить условия страхования. Ну, а согласно
1. Организаторы физкультурных мероприятий или спортивных мероприятий определяют условия их проведения.
закона "О физической культуре и спорте РФ", организаторы должны определить, как будет осуществляться страхование участников.
Ответственность тренера
В интернете ходит множество мифов о том, что тренер или инструктор не несут никакой ответственности за состояние здоровья ребенка на тренировках. Это, конечно же, не так.
Помимо этого, у родителей после получения ребенком травмы есть возможность обратиться в суд в гражданском порядке. Если сам факт вреда здоровья подтвержден документально (например, справкой из травмпункта), то суд, как правило, становится на сторону ребенка и его родителей. Ответчик (тренер или руководитель школы) в таком случае, должен будет возместить все материальные расходы на лечение пострадавшего. Правда, этот пункт может быть закрыт при наличии у травмированного спортивной страховки.
Страховка или расписка?
Чтобы избежать спорных ситуаций, спортивные федерации, ассоциации и секции прибегают сегодня к практике обязательного страхования маленьких спортсменов. Эта мера обычно работает, и затраты, связанные с лечением ребенка, получившего травму на тренировке, как правило, погашаются в полном объеме.
А вот расписки родителей о том, что они предупреждены о возможном вреде здоровью ребенка в ходе тренировки, никакой особой юридической силы не имеют. Они не избавляют спортивную школу от обязанности следить за здоровьем детей на занятии и обеспечивать ремонт потолка и пола в спортивном зале.
Иногда родители из уважения к тренеру отказываются комментировать в лечебном учреждении обстоятельства, при которых ребенок получил травму. Это ошибка! Дело в том, что законодательство обязывает врачей сообщать обо всех подобных происшествиях в полицию. Если родитель внятно не объяснит медику, откуда у ребенка появился вывих или растяжение, то на следующий день вопросы ему будут задавать не врачи, а сотрудники полиции и служб по делам несовершеннолетних. Стоит ли доводить до этого?
В заключение хочется сказать, что в независимо от того, требуют тренера спортивных школ страховку или нет, советуем вам серьезно отнестись к вопросу страхования. Страховка позволит вам не только без лишних вопросов заявиться на любое соревнование, но и значительно компенсировать затраты на восстановление, в случае, если без травмы не обойтись. Будьте здоровы!

Описаний подобных случаев на родительских форумах в тематических сообществах в соцсетях можно найти сотни. Дети, особенно младшие школьники, часто получают на спортивных тренировках серьезные травмы. И речь не только о боксе или борьбе. Маленькие спортсмены уезжают в больницу с занятий по хоккею, футболу, конному спорту, художественной гимнастике и даже с танцев. Родители переживают подобные происшествия всегда достаточно тяжело. А вот руководители секций и спортивных школ реагируют по-разному: кто-то не отходит от выздоравливающего ребенка, а кто-то отмахивается, говоря, что это не его дело, и просто не идет на контакт. Некоторые педагоги даже целенаправленно распространяют в соцсетях утверждение о том, что тренеры, инструкторы и сотрудники ДЮСШ якобы не несут никакой ответственности за здоровье своих воспитанников. Так ли это? Что входит в зону ответственности тренера, и что еще полезно знать родителям о спортивной секции, прежде чем записать в нее ребенка?
Ответственность родителей
Стоит подчеркнуть, что практически любой вид спорта, кроме, разве что, шахмат, в большей или меньшей степени травмоопасен, так как по определению связан с большими физическими нагрузками.
Существует несколько рейтингов травмоопасности, составленных медиками и физиологами. Эти списки отличаются в деталях, но практически в каждом из них есть: хоккей, футбол, бокс, лыжи, мотоспорт, скалолазание. Некоторыми из этих видов спорта ребенку до 10–12 лет, в принципе, не разрешат заниматься. Относительно других вы должны принять ответственное решение сами. Отдавая своего наследника в футбольную или хоккейную секцию, вы должны осознавать, что те или иные травмы будут практически неизбежны, и это будет вашей личной ответственностью.
Что говорит закон
Существует ряд юридических моментов, осознать которые важно и родителям, и тренеру: это позволит максимально снизить риск травматизма и предотвратить неприятные последствия, если избежать травмы все-таки не удастся.
Согласно статье 46 того же закона, у любого педагога (в том числе и у спортивного) должно быть профильное высшее либо среднее профессиональное образование.
Не могут быть тренерами или инструкторами лица, лишенные права заниматься педагогической деятельностью (в связи с состоянием здоровья или судимостью).
Набирая детей на занятия в спортивную секцию, ее организатор обязан уведомлять родителей будущих воспитанников о своей квалификации и юридическом статусе.
Место проведения тренировок должно соответствовать нормам противопожарной, санитарно-эпидемиологической, техногенной безопасности, требованиям охраны труда. Речь идет о состоянии пола, потолка, стен и коммуникаций, качестве отделочных материалов, наличии посторонних предметов, здоровье сотрудников, исправности спортивных снарядов и т. п.
Ответственность тренера
Немало мифов ходит в интернете и относительно того, что тренер или инструктор, в отличие от школьного учителя, якобы не несет никакой ответственности за жизнь и здоровье детей. Это, естественно, не так.
В случае возникновения чрезвычайного происшествия, в результате которого ребенок получил травму, правоохранительные и контролирующие органы должны разобраться, при каких обстоятельствах это произошло.
Практика показывает, что, в случае если тренер или руководитель секции тщательно соблюдал все требования техники безопасности и несчастье произошло из-за обстоятельств непреодолимой (со стороны тренера) силы, правоохранительные органы, как правило, не возбуждают уголовное дело и признают случившееся несчастным случаем.
Кроме того, у родителей после получения ребенком травмы есть возможность обратиться в суд в гражданском порядке. Если сам факт вреда здоровья подтвержден документально (например, справкой из травмпункта), то суд, как правило, становится на сторону ребенка и его родителей.
Страховка или расписка?
Чтобы избежать спорных ситуаций, спортивные федерации, ассоциации и секции прибегают сегодня к практике обязательного страхования маленьких спортсменов. Эта мера обычно работает, и затраты, связанные с лечением ребенка, получившего травму на тренировке, как правило, погашаются в полном объеме.
А вот расписки родителей о том, что они предупреждены о возможном вреде здоровью ребенка в ходе тренировки, никакой особой юридической силы не имеют. Они не избавляют тренера от обязанности наблюдать за самочувствием детей на занятии, обеспечивать ремонт потолка и пола в спортивном зале и совершать другие надлежащие шаги с целью свести к минимуму потенциальный травматизм.
Иногда родители из уважения к тренеру отказываются комментировать в лечебном учреждении обстоятельства, при которых ребенок получил травму. Это ошибка! Дело в том, что законодательство обязывает врачей сообщать обо всех подобных происшествиях в полицию. Если родитель внятно не объяснит медику, откуда у ребенка появился вывих или растяжение, то на следующий день вопросы ему будут задавать не врачи, а сотрудники полиции и служб по делам несовершеннолетних. Стоит ли доводить до этого?
Сарафанное радио и здравый смысл
Прежде чем отдать ребенка на занятия в какую-то секцию, родителям стоит почитать отзывы о ней в интернете, поговорить со знакомыми, лично посмотреть зал и поприсутствовать на первом занятии, пообщаться с тренером и задать ему все вопросы, которые они посчитают нужным. Если сразу сложилось не очень хорошее впечатление, то рисковать не нужно.
Соблюдение таких простых мер предосторожности позволяет предотвратить до 90 % неприятностей, потенциально угрожающих вашему ребенку.
Каждый родитель мечтает пореже возить свое дитё к врачам по поводу и без) Но жизнь непредсказуема и сломать что-то ваше чадо всегда может .И вот тут возникают страшные мысли: а правильно полечили ? А что будет потом ? Сможет ли он продолжать заниматься боксом/карате/гимнастикой?.
Большинство ответов будут положительные но процесс лечения долог ,а сомнения в способности ребенка самовосстановиться большие.
Поэтому я решил представить вам пример успешной репарации ключицы у ребенка 6 лет:
Ребра упал с высоты собственного роста. Обратился в трпункт где был выставлен диагноз : Закрытый перелом ключицы с допустимым смещением,- иммобилизация и отпущен домой с рекомендациями(контрольная рентгенография ,покой и ТД)

Через неделю (кажется ,что просто п ****ц взрослые травматологи падают в обморок НО реально ребенка ничего не беспокоит ; смена повязки на покупную и в поликлинику по м/ж)

Через 6 месяцев
Всё срослось .Из остаточного лишь утолщение кости ,которое исчезнет со временем)

N.B. Вылечить перелом ключицы у детей дошкольного возраста достаточно просто ведь этим заниматься сам организм ) За время работы несращения или замедленной консолидации у дошколят не видел .
В дубликатах выдал ДиКаприо ,а значит я на верном пути!😀
Помню в школе одноклассник решил подшутить и во время бега по спортзалу (на уроке) толкнул сиденье боксерского ринга в надежде что я оттолкну его и выпишу ему дружеских пиздюлин.
Однако я в это время засмотрелся куда-то в сторону. В один момент плечо охватила дикая боль.
Подошел к физруку - "Ну иди посиди на лавочке, что я сделаю?!" (да, именно "что я сделаю?!"). Посидел, плечо болит, опухло. Поднимать руку больно - "ну иди к медику сходи".
Во время урока пошел один, через все здание и 2 этажа.
Пришел к медику - та начала крутить и вертеть рукой в разные стороны, больно. "Да это ушиб, пройдет. Но ты иди сходи в больницу".
Ну ок. Выхожу, автобусов нет. Такси у нас как-то не было развито в то время (ПГТ). Родителей побеспокоить побоялся.
Чешу в больницу через 3,5 км пешком. Занимаю очередь к хирургу, сижу. Прилетает классуха и орёт что меня нужно посадить в клетку, чтобы я себя не травмировал больше (в первый раз такое случилось). Оно и правильно - физрук то ее муж. При должных стечениях обстоятельств могли бы и в полицию потаскать.
Убежала. Подошла моя очередь. Захожу - хирург повертел, покрутил - "Ушиб! Ничего страшного!". Следом начала поддакивать его медсестра.
Вечером приехали родители. В двух словах рассказал, не предав особого значения - ушиб же.
Ночь отмучился с болями в руке. Утром мать потащила в больницу и начала требовать от хирурга направления на рентген. Тот упирался, мол "Ушиб у него".
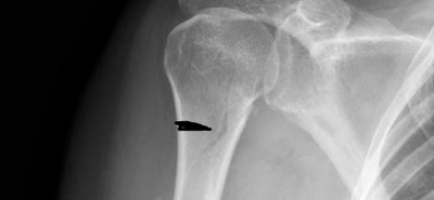
Результат - неполный перелом. Месяц в гипсе. Снимок выглядел как-то так.

Эээээммммм, простите а как. как обломок "прирос" к месту? Просто любопытство.
Если посмотреть на 2 снимок то увидите облачко вокруг концов отломков!это зарождается первичная мозоль ,которая выходит из гематомы(кровяного сгустка) как Венера из океана)
неее. спрашивал про другое и уже допер. обломок наверно "соединили" с костью и дальше он сросся. я имею представление как срастаются кости
Дык не на фиг повязка, а на ключицу же ж!
в комментариях пруф от пикабушника
Спасибо за оказанную помощь
Вечер пятницы. Я веду очный приём в поликлинике. Время между 6 и 7 часами. Приходит мама со своей дочкой-подростком (не первый раз).
Впервые она (дочка) обратилась ко мне две недели назад с жалобами на заложенность носа, повышение температуры. Обычное ОРВИ, назначил Ибупрофен, промывать нос и сосудосуживающие при необходимости. Через семь дней она пришла ко мне снова, нос всё равно заложен. Температура спала. Назначил мометазон назально (спрей). Подключаю гкс, когда сосудосуживающие используют длительное время или когда затяжной ринит (без положительной динамики)
Подозреваю синусит, так как есть симптомы. Знаю, что рентген не информативен, но всё равно решил отправить, чтобы обосновать лечение гкс. Синусит подтвердился, клиника на бактериальный не тянет. Говорю продолжить гкс, промывание носа, увидимся.
Неделю не приходит опять. Приходит с мамой в час Х (выше написал какой). Говорит, что у дочки температура поднялась опять, не помогает лечение. Подозреваю бактериальный синусит или что-то другое, надо разобраться с пазухами, хотя жалоб нет на нос больше. Но это всё не важно, потому что я не могу дать им направление на кровь и рентген. Вечер пятницы.
К сожалению так бывает, да. Неблагодарные и бестолковые люди. Мнимая забота о здоровье, а сесть на автобус и доехать до больницы не могут.
![]()
Моя хата с краю
Если произошел удар по ключице вследствие падения на плечо, локтевой сустав или прямую вытянутую руку, есть все предпосылки, чтобы заподозрить перелом ключицы у травмированного ребенка. Родителям пострадавших детей нужно знать, что такие повреждения в этом возрасте не опасны – при своевременном обращении к врачу перелом ключицы лечится быстро и без последствий.
Особенности травмы у детей

Перелом ключицы у детей имеет свои характерные особенности: как правило, при травме ломается костный слой, но при этом не происходит смещение. Это объясняется тем, что у детей еще достаточно гибкая надкостница, которая остается неповрежденной после удара и далее выполняет свою главную функцию – скрепляет поврежденную кость.
Переломы ключицы чаще всего происходят в детском возрасте от 2 до 4 лет, когда ребенок еще недостаточно хорошо удерживает равновесие и в то же время активно двигается.
Такая травма обычно изолирована, редко происходит сочетание с другими повреждениями костей или тканей. Неполные переломы иногда остаются и вовсе нераспознанными, так как симптоматика при этом практически отсутствует.
Симптоматика
Если произошел поднадкостничный перелом ключицы, появляется небольшой отек мягкий тканей в районе поврежденного места, в том числе могут возникать кровоподтеки. Симптомы неполного перелома выражены слабо, поэтому родители обращаются за помощью к травматологу только через 10-14 дней после травмы, когда начинает появляться костная мозоль. Полный перелом, напротив, очень болезненный, и ему характерна ярко выраженная симптоматика.

Смещение костей не происходит, болевые ощущения остаются минимальными, единственным характерным признаком травматизации может быть кровоизлияние в области удара. Со временем синяк блекнет, и через 2 недели на поврежденных костях нарастает костная мозоль. Если кость начинает срастаться неправильно, надплечье начинает укорачиваться. В это время еще есть шанс все исправить, если обратиться к врачу травматологу – после проведения диагностических процедур он вправит кость на место.

Признаки такой травмы четко выражены и видны во время поверхностного осмотра. Под кожным покровом проступают очертания костных отломков, положение ключицы становится неестественным. Случается, что отломок кости при ударе разрывает мышечную ткань или кожный покров, возникает открытый перелом. Такое состояние пострадавшего ребенка требует оказания немедленной помощи. Главные признаки, указывающие на полный перелом ключицы в детском возрасте:
- сильная боль после падения или удара в плечевую область,
- руку невозможно поднять, травмированный ребенок прижимает ее к телу в области живота,
- плечо находится в неестественном положении смещено внутрь или вперед,
- присутствует отек и кровоизлияние,
- изменение формы ключицы,
- хруст при движении рукой.
Оказание первой помощи

Категорически запрещено пытаться самому вправить ключицу ребенку, так как при неумелых действиях кость может сместиться еще больше и при этом повредить крупные сосуды, нервы и мышечную ткань. Накладывать различные повязки, шины и прочие средства для фиксации без надлежащей для этого медицинской подготовки также опасно. Чтобы оказать грамотную и своевременную помощь для ребенка, предотвратить дополнительные повреждения и снизить боль, рекомендуется:
Диагностика
Детям, которые сломали ключицу, врач изначально проведет визуальный осмотр, установит всю симптоматику и внешние проявления, а затем отправит на аппаратное обследование. Полному перелому характерен разрыв надкостницы, что вызывает сильную боль и появление отека.
После постановки предварительного диагноза травматолог назначает следующие исследования: рентгенографию, при необходимости компьютерную томографию или магнитно-резонансную томографию. Если есть подозрение на поврежденные сосуды, нервы, плевру или легкие, следует обратиться за консультацией к хирургу, детскому нейрохирургу или торакальному хирургу. При разрыве легкого выполняют рентгенографию грудной клетки.
Лечение

Перелом ключицы у маленького ребенка 1,5 года лечится быстро. Вариантов лечения может быть несколько, наиболее подходящий в конкретном случае выберет лечащий врач. Как правило, маленьким детям назначают наложение фиксирующей повязки. При лечении нужно придерживаться такой последовательности:
- травмированный участок обезболивают,
- обломки костей возвращают в исходное положение,
- обездвиживают плечо и фиксируют травмированное место с помощью восьмиобразной повязки из бинтов.
Также для фиксации удобно использовать так называемые кольца Дельбе – это готовая шина для лечения ключицы при переломе. Наложение повязок проводит исключительно специалист, так как при этой процедуре присутствует высокий риск дополнительного вторичного смещения отломков кости и, как следствие, неправильного сращивания.
Еще одним популярным способом для лечения травмированной ключицы считается наложение гипса. Более чем в 90% случаев выздоровление проходит успешно. Следует помнить, что перед наложением гипса надо обязательно восстановить обломки кости в правильное положение. Если этого не сделать, плечевой сустав может деформироваться – укоротиться по причине неправильного восстановления нормальной длины надплечья.
В случаях, когда смещение обломком вручную восстановить не получается, может понадобиться хирургическое вмешательство, во время которого все отломки складываются в исходное естественное положение. Такая операция называется остеосинтезом.
Реабилитация

В начальный восстановительный период ребенку нужно делать активные движения пальцами и локтевым суставом. Однако производить движения нужно очень аккуратно, чтобы избежать болевых ощущений. Врач должен назначить специальные физические упражнения для разминки спустя месяц после лечения. Благодаря лечебной физкультуре значительно снижается болезненность, уменьшается воспалительный процесс, а кости начинают срастаться более активно.
Реабилитационные манипуляции могут включать в себя ультразвуковую терапию, магнитотерапию, ультравысокочастотную терапию в комплексе с противовоспалительными средствами и лечением лазером.
Через 20 дней терапии ребенку уже можно активно двигать плечом, насколько позволяет повязка. К лечебной физкультуре добавляют активные движения надплечьем и самим плечом. При таких упражнениях происходит разминка сустава ключицы.
Повязка снимается тогда, когда суставы готовы к активным движениям, и при этом не возникает дискомфорт. Как показывает практика, все негативные последствия, вызванные травмой, вылечиваются очень быстро или проходят сами собой, однако рекомендуется способствовать естественному восстановлению. Для этого можно проводить легкий массаж и растирание травмированного участка, делать ванночки с йодом.
Негативные последствия могут возникать в случаях тяжелых травм: если ключицу невозможно вернуть в исходную позицию, плечо остается деформированным вследствие укорачивания. Также достаточно редко могут остаться хронические боли и скованность сустава во время физических нагрузок. Такое последствие возникает при чрезмерном разрастании костной мозоли или неправильном сращении костей. Чтобы избежать таких негативных ситуаций, следует исключить самостоятельное лечение при травмировании ребенка и доставить его в больницу в ближайшее время для осмотра.

- Причины родовой травмы
- Как проявляется перелом ключицы
- Возможные осложнения
- Методы диагностики
- Правила лечения

Перелом ключицы новорожденного является родовой травмой
Причины родовой травмы
Предрасполагающие факторы к перелому ключицы у новорожденных:
- несоответствие размера плода и таза матери, что наблюдается при рождении крупного ребенка или клинически узком тазе;
- неправильное положение плода – ягодичное или ножное, иногда – поперечное;
- хроническая внутриутробная гипоксия плода;
- преждевременные роды;
- переношенная беременность;
- стремительные или затяжные роды.
Но не в каждом из этих случаев происходит перелом. К родовой травме может также привести воздействие сопутствующих факторов:
- наложение акушерских щипцов;
- чрезмерная защита промежности;
- стимуляция родов;
- использование бинта Вербова или приема Кристеллера.
Чаще всего перелом ключицы у новорожденного происходит при попытке бережной тракции за головку, извлечении ребенка за грудную клетку в момент, когда еще не родились плечики.
Травма ключицы чаще происходит у детей с широким плечевым поясом, большим весом. Крупный плод может появиться при наследственной предрасположенности, у женщин, больных гестационным сахарным диабетом.
Чаще всего диагностируется перелом правой ключицы. Это связано с особенностями положения плода при родах – он занимает первую позицию, при которой сначала рождается правое плечо.
Редкой причиной перелома является несовершенный остеогенез. Патология может приводить к травмам других частей тела, например, увеличивается риск травмы плечевой кости, особенно у детей в ягодичном предлежании. Несовершенный остеогенез относится к генетическим аномалиям, поэтому на протяжении жизни у ребенка возможны частые переломы костей, искривления позвоночника.
Как проявляется перелом ключицы
Симптомы перелома чаще всего заметны сразу. Движения конечностями у грудничка в первые дни хаотичные, они не подчиняются сознанию. Уже в первые сутки будет заметно, что траектория одной руки отличаются от второй, взмахи ею менее активные. Срочно необходимо показать ребенка врачу, если у него не шевелится ручка.
Через сутки в месте травмы становится заметна краснота и отечность, может появиться гематома. Во время пеленания ребенок громко кричит. Резкий крик появляется при надавливании на ключицу, а под пальцами в это время ощущается хруст. Из-за неприятных ощущений нарушается сон новорожденного, он плохо берет грудь.
Возможные осложнения
Чтобы избежать осложнений, необходимо как можно раньше начать лечение. Если родители вовремя не заметили травму, ребенка не осматривал неонатолог, через несколько дней кость начнет срастаться самостоятельно. При этом происходит образование костной мозоли. Последствие неправильного сращения костей – формирование ложного сустава.
Перелом сказывается на периоде адаптации ребенка. После родов происходит физиологическая потеря веса, но после травмы дети теряют массу тела стремительнее, поэтому им сложно восстановиться и перейти к набору веса.

Лечение родовой травмы проходит комплексно
Последствия могут быть связаны и с более тяжелой травмой или сочетанием нескольких повреждений. Опасно поражение плечевого сплетения, которое может происходить при родах в ягодичном предлежании, если плод извлекали за таз. Патология проявляется в виде отека, кровоизлияния и повреждения нервных корешков в области плечевого сплетения. Неврологические признаки зависят от объема повреждения и могут быть следующими:
- паралич Эрба – возникает при повреждении корешков 5 и 6 спинномозговых нервов, направляющихся к руке;
- паралич Клюмпке – повреждается нижняя часть сплетения;
- тотальный паралич конечности – повреждение всего сплетения, заметно, что ручка не шевелится уже после рождения;
- паралич диафрагмального нерва – при вовлечении в патологический процесс отростков 3 и 4 спинномозговых нервов.
Если у новорожденного диагностируется родовой плексит или паралич рук, эта патология не связана с повреждением ключицы или плечевого сплетения. К параличу приводят травмы позвоночника.
Методы диагностики
Заподозрить перелом врач может уже при первичном осмотре новорожденного в родзале. Учитывается, как проходили роды. Тщательный осмотр плечевого пояса требуется в следующих случаях:
- стремительные роды;
- наложение акушерских щипцов или другие приемы;
- затрудненное рождение плечиков;
- большой вес новорожденного.
Во время осмотра врач может выявить крепитацию в области ключицы. Отек и гематома проявляются не раньше, чем на следующий день.
Проверить сочетанное движение конечностями помогает рефлекс Моро. Это спинальный двигательный автоматизм, который в норме имеется у грудничков до 4–5 месяцев, а после начинает угасать. Для его проверки ребенка укладывают на спину на пеленальный стол. Врач резко ударяет по поверхности стола ладонями в 15 см от головки. Другой способ вызвать рефлекс – приподнять разогнутые ноги и таз над постелью. Проявления автоматизма проходят 2 фазы:
- ребенок отводит руки в стороны и разжимает кулачки;
- через несколько секунд конечности возвращаются в исходное положение.
Полное отсутствие рефлекса наблюдается при травмах черепа. Если ребенок отводит слегка руки, это говорит о гипертонусе. При поражении центральной нервной системы рефлекс возникает не сразу, а с небольшой задержкой. Для перелома ключицы характерно отсутствие автоматизма с пораженной стороны.
Точно диагностировать перелом можно при помощи рентгенологического снимка. Чаще всего травма происходит в средней трети ключицы.
Дифференциальную диагностику проводят с повреждением плечевого сплетения, травмой лучевого нерва, которая может происходить при переломе плеча. Для последней характерно слабое разгибание кисти, а большой палец свисает.

При родах ключица чаще ломается при тазовом предлежании плода
Правила лечения
Для успеха лечения важно начать его как можно раньше. У детей репаративные процессы протекают значительно быстрее, чем у взрослых. Поэтому после перелома на 3–4 сутки уже может формироваться костная мозоль, фиксирующая кость в неверном положении.
После подтверждения диагноза врач подкладывает в подмышечную впадину специальный валик и фиксирует руку в особом положении. Ее обездвиживают при помощи повязки, которую не рекомендуется снимать. Если ребенок смог извлечь поврежденную руку, необходимо снова обратиться к врачу для правильной фиксации.
Чтобы перелом хорошо срастался, нужно соблюдать следующие правила:
- не укладывать ребенка на травмированный бок;
- во время кормления пораженная сторона не должна прижиматься к матери;
- не снимать повязку в течение 10–14 дней;
- следить за состоянием пальцев на кисти.
Посинение, отечность пальцев у новорожденного связаны с нарушением кровотока из-за сдавления сосудов слишком тугой повязкой или смещением валика. При появлении этого симптома необходимо срочно ослабить бинт. Возможные последствия – ишемия конечности и дополнительные поражения нервов.
В курс лечения включают витамин К для детей с обширной гематомой. После срастания кости необходим период реабилитации. Ребенку назначают массаж, ЛФК, магнитотерапию и электрофорез. Чтобы новорожденный хорошо набирал вес, питание мамы должно быть полноценным, грудное вскармливание – по требованию, но не реже, чем через 2 часа.
Повреждения костей скелета во время родов часто связаны с неверным оказанием пособия детям в неправильном положении. Для профилактики этих осложнений врач может принять решение о необходимости эпизио- или перинеотомии. Надрез промежности доставит дополнительные проблемы маме, но позволит избежать тяжелой травмы ребенка.
Читайте также:


