Портал Mz-Don
МЕНЮ
Контакты
Статьи
Блог
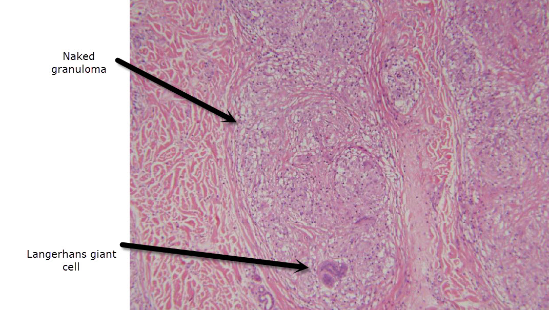
Что такое гранулема послеоперационного рубца - фото презентация
Добавил пользователь
Евгений Кузнецов
Обновлено: 09.12.2025
Читайте также:
Правда ли что от косметики портится кожа
Топ гир салфетки для кожи
Сухие сливки польза для кожи