Портал Mz-Don
МЕНЮ
Контакты
Статьи
Блог
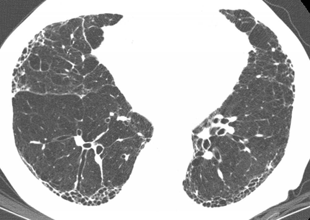
Фиброз легких и загар - фото презентация
Добавил пользователь
Владимир З.
Обновлено: 26.10.2025
Читайте также:
Что такое реактивация хронического герпеса
Ю в рубцов штрафники великой отечественной в жизни и на экране
Что будет если заноза останется под кожей