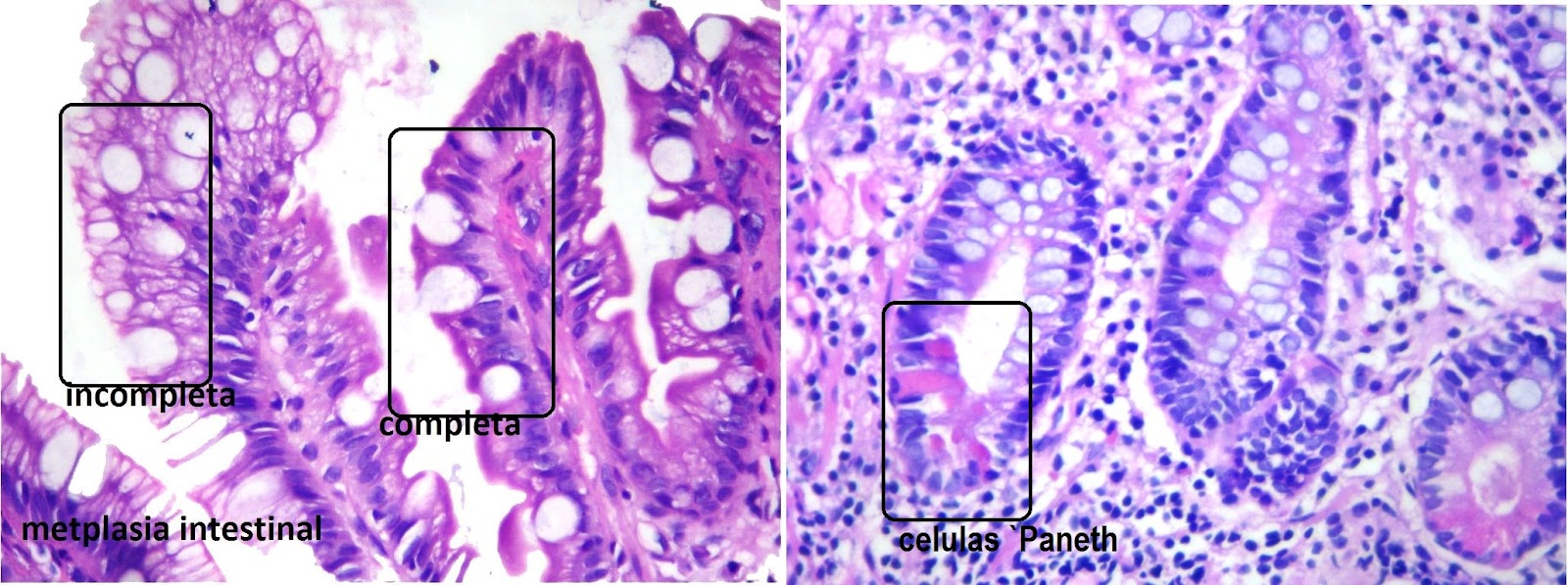
Признаком перестройки эпителия при хроническом атрофическом гастрите - фото презентация
Добавил пользователь Евгений Кузнецов Обновлено: 07.02.2026














































































![]()








Читайте также:

Портал Mz-Don
Добавил пользователь Евгений Кузнецов Обновлено: 07.02.2026














































































![]()








Читайте также: