Портал Mz-Don
МЕНЮ
Контакты
Статьи
Блог
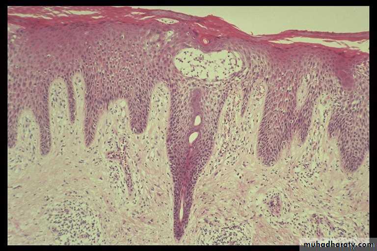
Себорейный гиперкератоз что это гистология - фото презентация
Добавил пользователь
Евгений Кузнецов
Обновлено: 28.12.2025
Читайте также:
Уход за жирной кожей блог
Чем почистить бежевую кожу в домашних условиях
Удаление бородавок в ситимед