Рентгенологические признаки эпикондилита локтевого сустава
Признаки воспаления сустава зависят от стадии течения эпикондилита. Главным симптомом заболевания является интенсивная боль точной локализации, появляющаяся при развороте локтя. Болевая точка четко определяется при прощупывании. Если поражается локтевой нерв, боль становится нестерпимой. В зависимости от области (внутренней или внешней) поражения сухожилий, клиническая картина разнится. Но есть и общие признаки недуга.
Общие симптомы
Болезнь подкрадывается незаметно - сначала боль ощущается изредка, только при нагрузке на сустав или при его активных движениях. Особенно боль ярко выражена при развороте руки. При переходе болезни в хроническую форму боль становится постоянной, ноющей и тупой. Она может иррадиировать к пальцам руки и особенно беспокоить во время рукопожатия или при другом незначительном движении. Диапазон движений локтевого сустава резко ограничивается, мышечный тонус ослабевает, становится трудно удерживать любой предмет в кисти.
Латеральный и медиальный эпикондилит имеет свои особенности.
При воспалении задней части локтя поражается суставная сумка, развивается бурсит. Чаще возникает при неадекватном разгибании локтя, при неожиданном падении на локоть.
Если вовремя не обратиться к врачу, болезнь может возвратиться даже через год и не будет связана с нагрузкой. В дальнейшем недуг может перейти в хроническую форму. В этом случае стадии ремиссии будут сменяться обострениями. Во время рецидива ноющая боль будет изматывать больного и беспокоить даже во время сна. Рука со временем будет слабеть. В дальнейшем пациент не сможет даже что-то взять в руку.
Врач ставит диагноз после разговора с пациентом, сбора жалоб, осмотра и дополнительных методов исследования при необходимости. Изменения в лабораторных анализах не характерны для болезни.
- Сбор анамнеза.
Пациент должен быть готов ответить на следующие вопросы:
- Чем занимается пациент? Какой род его трудовой деятельности и есть ли хобби?
- Занимается ли пациент каким-либо видом спорта, как часто и с какой нагрузкой?
- Давно ли появилась боль? Она беспокоит только при нагрузке на локтевой сустав?
- При появлении боли какие медпрепараты принимаются?
- Были ли травмы суставов? Как часто возникают растяжения связок?
- Страдает ли пациент заболеваниями костно-мышечного аппарата?
- Появляется ли боль в момент разгибания пальцев кисти?
- Ограничена ли амплитуда движений сустава?
- Появляется ли боль в момент сгибания-разгибания сустава?
- Появляется ли болезненность во время рукопожатия?
- Легко ли пациент удерживает предметы в руке?
- Осмотр пациента.
При осмотре специалист оценивает цвет кожи вокруг сустава, отечность в этой области, температуру ткани, дискомфорт при пальпации и болезненность определенных участков. Врач совершает пассивные движения больной рукой, которые не вызывают каких-либо неприятных ощущений при эпикондилите. А проверочные тесты, которые пациент совершает сам, вызывают болезненность разной силы.
Проводятся следующие функциональные тесты, оценивающие подвижность и болезненность проблемных мест:
- поднять стакан с водой;
- пожать руку;
- завести руку за поясницу;
- сгибать и разгибать руки в локте;
- развернуть ладони кнаружи и вверх;
При проведении этих тестов не должна появляться боль, если пациент здоров. Как правило, оцениваются и другие суставы, позвоночник, статичность тела, мышечная сила рук и пальцев, рефлексы и кровообращение на проблемных участках.
- Дополнительные методы исследования.
Врач может назначить метод мануально-мышечного тестирования (ММТ). Это молодая, но эффективная методика. Она позволяет оценить мышечную возможность руки и подобрать оптимальное лечение. Инструментальные методы исследования (рентген в трех проекциях, МРТ, ультразвук и ядерное обследование) показаны при необходимости дифференциальной диагностики или для выявления осложнений при хроническом течении.
Осложнения возникают только тогда, когда заболевание приобретает хронический характер и при несвоевременном посещении врача. В связи с тем, что мышцы предплечья ослабевают и не способны выдерживать нагрузку, могут возникнуть следующие осложнения.
- Мышечная атрофия предплечья
При длительном течении болезни может развиться мышечная атрофия предплечья. Это осложнение подтверждают следующие симптомы, которые сопровождаются интенсивной болью:
- симптом Велта – пациента просят расположить предплечья рук на одном уровне с подбородком и одновременно сгибать и разгибать их, врач видит отставание в скорости больной руки от здоровой.
- симптом Томсона – пациента просят расположить кисть тыльной стороной вверх и сжать ее в кулак, но кисть будет достаточно быстро переходить в положение ладонной поверхности.
Атрофия мышц может достигнуть такой степени, что пациент не в состоянии взять в руку ручку или карандаш.
- Бурсит локтевого сустава
Воспаление синовиальной оболочки серьезно осложняет прогноз заболевания. Это осложнение часто требует оперативного вмешательства
Если вас беспокоят боли в области локтя, если вы чувствуете дискомфорт во время рукопожатия, а привычные движения становятся болезненными, обращайтесь в Европейский Центр ортопедии и терапии боли. Вам осмотрят высококвалифицированные специалисты, проведут необходимые обследования, поставят правильный диагноз и назначат оптимальное лечение.
Эпикондилит плеча является одним из распространенных и серьезных профессиональных заболеваний рабочей руки. Это заболевание нередко приводит к потере трудоспособности и необходимости в переквалификации. Вместе с тем эпикондилиту плеча уделяется незаслуженно мало внимания, рентгенологическая картина его недостаточно изучена. Между тем в связи с неполной еще механизацией и автоматизацией процессов производства и применением ручного труда в промышленности эпикондилит плеча встречается чаще других профессиональных заболеваний опорно-двигательного аппарата.
Эпикоидилитом заболевают лица физического труда — столяры, сельскохозяйственные рабочие, нагревальщики на рейдерах, шлифовщики, обрубщики, слесари, машинистки, парикмахеры, утюжильщицы, музыканты, теннисисты и др.
При эпикондилите наружном и внутреннем поражаются мягкие ткани в области надмыщелков плеча.
Клиническая картина эпикондилита, описанная В. П. Недохлебовым и особенно полно М. А. Элькиным, весьма характерна.
Рентгенологическое исследование при эпикондилитах занимает важное место. Рентгенологический метод помогает дифференцировать эпикондилит со сходными по клинической картине другими заболеваниями локтевого сустава, как-то: деформирующим остеоартрозом, невритом, миозитом и бурситом. Особое значение он, естественно, приобретает при решении профпатологических и спорных экспертных вопросов.
При рентгенологическом исследовании в одних случаях определяются костные изменения в виде ограниченной краевой резорбции кортикального слоя надмыщелка или наружного суставного края плеча. Иногда кортикальная каемка сохранена, а участок резорбции лежит в кости рядом. Размеры его не превышают 1—2 см, контуры нечеткие, и он постепенно переходит в нормальную структуру соседней ткани. При резорбции кортикального слоя контур его неровный, шероховатый.

Схематическое изображение многообразных изменений при эпикондилите плеча.
а — гомогенное уплотнение на широком основании; б — параоссальные обызвествления;
в — шиловидные уплотнения; г — краевая резорбция надмыщелка; д — плоские остеофиты.
В других случаях, наряду с указанными изменениями или без них, определяются многообразные параоссальные обызвествления. Они занимают типичное место рядом с надмыщелком плеча, охватывая его выпуклый контур. Обызвествление имеет форму свисающей капли или запятой, иногда одиночной, а иногда в виде 2—3 мелких скоплений. Тень обызвествления весьма интенсивна, гомогенна, контуры ее четкие.
Обычно из-за сложного профиля надмыщелка и близкого расположения к нему извести тень обызвествления накладывается на тень кости. Только специальными дополнительными проекциями удастся отделить контур надмыщелка от тени обызвествления. К сожалению, просвет между ними столь мал, что он ненадежно устанавливается просвечиванием.
Заболевает один наружный надмыщелок, реже можно видеть изменения во внутреннем, а иногда одновременно поражаются оба. В редких случаях наблюдается двустороннее одновременное или последовательное заболевание. При обследовании нами 233 больных эпикондилитом рентгенологические изменения были установлены у 53,6% обследованных (Н. С. Толстопятова).
Наиболее многочисленную группу — 52% составляли гомогенные бесструктурные, неинтеисивиые уплотнения, повторяющие по форме контуры надмыщелка, к которому они прилежат, размером 0,2—0,4x0,5-1,0 см. Эти уплотнения имеют обычно ровный четкий наружный контур, реже фестончатый.
Следующую группу — 14,4% образовали бесструктурные уплотнения шиловидной формы, основание которых неотделимо от надмыщелка, а вершина обращена дистально или проксимально по ходу сухожилия.
Наряду с бесструктурными параоссальными уплотнениями в ряде случаев (8%) наблюдалось развитие окостенений этих образований с усилением интенсивности их тени и появлением костной структуры. Они располагаются рядом с надмыщелком или сливаются с ним костной связью — широким или узким основанием. Иногда их местная структура переходит в костный рисунок надмыщелка. Для появления окостенения требуется обычно длительное время (2—6 лет).
Краевая резорбция надмыщелка иногда являлась или единственным проявлением эпикоидилита, или сочеталась с параоссальными уплотнениями.
Реже (4,8%) встречались лежащие отдельно от надмыщелка овальной или округлой формы гомогенные, бесструктурные уплотнения, размеры которых не превышают 0,2—0,4 см. Целесообразно привести одно наблюдение.
Штамповщица, 49 лет. Два месяца тому назад у нее заболел левый локоть.
Объективно: припухлость и локализованная болезненность внутреннего надмыщелка левого плеча.
На рентгенограмме левого локтевого сустава определяется характерная картина внутреннего и наружного эпикоидилита в виде параоссальных обызвествлений по соседству с палмыщелками. Больная продолжала выполнять работу штампопщицы, нагружая преимущественно здоровую правую руку. Через 10 месяцев вслед за левым локтем заболевает правый локоть. На рентгенограмме правого локтевого сустава явления те же, что и слева.
Больная оставила штамповку. Руки постепенно перестали болеть. Через 6 лет жалобы отсутствуют. Пальпация надмыщелков безболезненна. На рентгенограмме локтевых суставов по-прежнему определяются параоссальные окостенения надмыщелков плеча.

Рентгенограмма локтевых суставов. Наружный и внутренний эпикондилит с обеих сторон у 49-летней штамповщицы.
Рентгенологические изменения при эпикоидилитах зависят от профессионального стажа. Однако иногда и при небольшом стаже, в пределах 2—3 месяцев, уже определяются явные изменения, в то время как у лиц, с продолжительностью заболевания свыше 3 лет, рентгенологически может быть нормальная картина.
Все же чем больше времени проходит от начала заболевания, тем чаще обнаруживаются рентгенологические симптомы эпикондилита.
Рентгенологические изменения, следовательно, присоединяются к клиническим. Естественно, что отрицательные данные первого рентгенологического исследования не могут быть доводом против эпикондилита. При упорном клиническом течении повторное рентгенологическое исследование раньше или позже устанавливает характерные изменения.
Практически важно, что у части больных рентгенологические изменения обнаруживаются в относительно ранние сроки, спустя 2—6 месяцев от начала болезни.
Повторное рентгенологическое обследование больных, проведенное спустя 1 и 3 года, показывает, что морфологические изменения у половины больных прогрессируют, а у другой половины остаются без изменений. Это прогрессирование выражается как в увеличении размеров уплотнений и окостенения их, так и в появлении уплотнений, ранее неустановленных.
Таким образом, у рабочих с клинически выраженным эпикондилитом рентгенологические изменения обнаруживаются в 60%. При этом «несколько чаще встречается краевая резорбция и реже параоссальные обызвествления и остеофиты. При повторных исследованиях рентгенологически отрицательных случаев позднее можно наблюдать отложение известковых масс. Большей частью рентгенологические изменения при эпикондилите при повторных исследованиях через 5 и 8 лет, т. е. много времени спустя после клинического выздоровления, остаются без существенных перемен.
Проведенные исследования в нашем отделении (Д. С. Кузьмин, Н. С. Толстопятова) склоняют нас рассматривать эпикондилит как параоссалыюе обызвествление, которое может быть связано с суставной сумкой, связками сустава и сухожилиями мышц на месте бывших кровоизлияний в результате хронической микротравматизации. Исследования других авторов свидетельствуют о том, что эти обызвествления не связаны с расположенной здесь слизистой сумкой, а локализуются в клетчатке, окружающей сухожилия и связки.
- Вернуться в оглавление раздела "Профилактика заболеваний"

Эпикондилит локтевого сустава – воспалительное заболевание зоны, где происходит прикрепление сухожилий к кости. Практически всегда имеет дегенеративную природу: сначала происходит разрушение тканей, а уже потом начинает распространяться воспалительный процесс. Подразделяется по локализации процессов нарушения. По форме бывает внутренним и внешним. Чаще встречается второй вид.
Код болезни по МКБ-10:
- М 77.1 — латеральный.
- М 77.0 — медиальный.
Медиальный эпикондилит встречается у людей, играющих в гольф. Когда одни и те же движения повторяются, происходит воспаление в локтевой части. Пациентами также являются мастера, отдающие предпочтение ручным инструментам, спортсмены.
Латеральная, то есть наружная форма, подразумевает воспалительный процесс, затрагивающий мышечные волокна, которые крепятся к надмыщелку. Недуг встречается у пациентов 30-50 лет, спортсменов, лиц, профессия которых связана с монотонной работой.
Причины формирования эпикондилита
При заболеваниях в локтевом суставе всегда внимание уделяется профессии пациента. У превалирующего числа пациентов болезнь носит односторонний характер. Она затрагивает ведущую руку. В зависимости от болезненности можно предположить воспаление: мышечное, сухожильное, сухожильно-надкостничное. Среди причин бывает и обычное неуклюжее движение конечностью, резкое поднятие тяжелых предметов.
К провоцирующим факторам развития относится:
- основная работа;
- травмы;
- перегрузка сустава;
- нарушенный кровоток в области локтя.
Развивается патология и при запущенных стадиях остеохондроза шейного, грудного отдела. К группе риска кроме спортсменов, относятся работники сельскохозяйственной отрасли, строители, врачи, музыканты, парикмахеры, машинисты. Сами по себе эти профессии не приводят к разрушению тканей. Поэтому одним из факторов, стимулирующих развитие болезни, является перегрузка мышечных волокон.
У молодежи и детей эпикондилит локтевого сустава может развиться из-за дисплазии соединительной ткани или врожденной слабости связок.
Виды эпикондилита локтевого сустава
Кроме латерального и медиального вида, заболевание бывает острым и хроническим. Последний является более популярным. После окончания острой формы проблема чаще всего не уходит полностью. Постепенно болевые ощущения стихают, становятся ноющими. Мышцы теряют свою силу. Если не предпринять никаких действий, то дистрофия становится настолько сильной, что пациент утрачивает возможность писать или держать рукой какой-нибудь предмет.
Есть еще два вида:
Многие годы безуспешно боретесь с БОЛЯМИ в СУСТАВАХ? "Эффективное и доступное средство для восстановления здоровья и подвижности суставов поможет за 30 дней. Это натуральное средство делает то, на что раньше была способна только операция."
- Травматический. Появляется при произведении рукой множества монотонных операций.
- Посттравматический. Обычно связан с ранее полученными вывихами суставов и растяжений. Иногда является следствием безответственного подхода пациента в период реабилитации, когда происходит слишком быстрый переход к большим нагрузкам.

Симптомы эпикондилита
При эпикондилите локтевого сустава симптомы и лечение взаимосвязаны, зависят от формы недуга. Признаки инфекции и особенности течения:
| Наружный | Внутренний | |
| Область поражения | Короткий лучевой разгибатель | Сама плоская длинная мышца, расположенная латеральнее всех сгибателей. |
| Характер боли | Фокусируется в наружной части локтя при активном разгибании пальцев рук | Отдает при сгибании пальцев в процессе рукопожатия. |
| Когда появляется боль | При долгой тяжелой работе | Когда нагрузка монотонная |
| У кого чаще возникают симптомы? | У сильного пола | У женщин. |
В острой стадии неприятные ощущения практически не проходят. Они начинают распространяться на все предплечье. При попытке собрать пальцы в кулак появляется сильный дискомфорт. Держать предмет с легким весом становится невозможно.
В хронической форме болевые ощущения преобладают в ночное время, при смене погоды. Боль тупая, редко проходящая. В мышцах начинаются серьезные дегенеративные изменения.
Могут появиться и другие симптомы, к которым относится покраснение кожи, повышение температуры тела, спазмы сосудов. Иногда пациенты отмечают, что есть чувство онемения в пораженной конечности, ощущение покалывания.
Диагностика локтевого сустава
Прежде чем решить, как лечить эпикондилит, врач проводит диагностические мероприятия. Сначала осуществляется осмотр, исследуется анамнез. Ортопед узнает время, когда начался недуг, как нарастали симптомы. Благодаря этим сведениям доктор определяет наличие одной или нескольких патологий.
Проводится тест Томсона. Больная рука ставится вертикально на ровную поверхность так, чтобы в качестве опоры выступал локоть. Кулак отводится в противоположную сторону. Пациент должен вернуть его в начальное положение, преодолевая сопротивление врача. В результате этого боль локализуется в область локтевого сочленения.
Для получения полной картины целесообразно провести тест Велта. В этой ситуации нужно развернуть ладонь вверх при вытянутой руке. Сделать это при эпикондилите не удается из-за боли.
Иные диагностические манипуляции при этом заболевании не проводятся. В редких случаях для дифференцированного диагноза назначается рентген, чтобы исключить переломы. При подозрении на распространение воспаления берется анализ крови.
Лечение эпикондилита
Болезнь требует длительного воздействия. Назначается оно травматологом или ортопедом. Способы выбираются после исследования выраженности функциональных нарушений, длительности острой фазы и изменений со стороны мышц и сухожилий. Лечение локтевого эпикондилита должно решать несколько задач:
- избавить от боли,
- восстановить нормальное кровообращение,
- вернуть подвижность руки,
- восстановить процессы атрофии мышечных тканей.
Этот метод воздействия является самым результативным.
| Форма, вид | Цель | Название, действующее вещество |
| мази | Снятие болевого синдрома и воспаления | Нурофен |
| таблетки | Антибиотики при первичной форме заболевания | макролиды, пенициллины, цефалоспорины |
| Уколы в область поражения | Для купирования боли | Глюкокортикостероиды, местные анестетики. |
| компрессы | Помогают снять воспаление | Димексид, разведенный в пропорции 1:1 водой. |
Наибольший эффект достигается за счет инъекций нестероидных противовоспалительных препаратов. Лечение эпикондилита в локтевом суставе требует комплексного курсового лечения.
Если используются уколы с гормонами, то они делаются в место поражения. Чаще в одном шприце содержатся и местные анестетики. Такое воздействие проводится 1 раз в начале лечения. Если за неделю боль не проходит, его повторяют. Больше двух инъекций за курс делать нельзя, поскольку возможны атрофические процессы и некроз тканей.
Они возможны как при наружном эпикондилите, так и внутреннем. Высокой эффективностью обладает ультрафонофорез. Метод похож с ультразвуком, но является более результативным, поскольку обеспечивает поступление лекарств. Колебания затрагивают пораженную область, что приводит к более быстрому проведению в организм медикаментов.
- Динамические токи. Оптимизируют трофические процессы и улучшить кровообращение. Метод способствует заживлению ран, устраняет отечность.
- Магнитотерапия. Способ хорошо снимает боль. Низкочастотные импульсы влияют на поврежденную зону, в результате чего полностью купируются симптомы. Метод подходит для пожилых людей и граждан с ослабленным иммунитетом.
- Ударно-волновой метод. Волны уменьшают и выводят кристаллы соли, увеличивают скорость кровотока. Такой способ лечения эффективен и на стадии восстановления.

Давно забытое средство от боли в суставах! "Cамый эффективный способ лечения суставов и проблем с позвоночником" Читать далее >>>
Оздоровительная гимнастика может выполняться в условиях клиники или дома. В последнем случае используются фото, картинки, видео. С их помощью можно восстановить работоспособность руки. Упражнения начинаются в стадии ремиссии. Сначала проводятся мероприятия, которые направлены на растяжение больных мышц. Здоровой рукой нужно медленно сгибать кисть с пораженной стороны. Удерживать в таком состоянии кисть нужно не больше 10 секунд. Процедура повторяется 10 раз по три подхода.
Дополнительно при медиальном эпикондилите в локтевом суставе используются массажные техники. Они улучшают кровообращение, стимулируют собственные силы организма.
Такое заболевание локтя редко лечат хирургически. По показаниям могут назначить операцию Гомана. Она направлена на иссечение участка сухожилия. Для этого используется лазерная техника, которая позволяет уменьшить травму окружающих тканей, при необходимости убивает возбудителя воспаления.
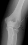
Женщина средних лет. В анамнезе, раньше, травма. Беспокоят боли в локте. Ваше мнение? ![]()
![]()
![]()
![]()




![]()
Отрыв коркового слоя боковой поверхности наружного надмыщелка плечевой кости.
![]()
Отрыв коркового слоя боковой поверхности наружного надмыщелка плечевой кости.
Травма. раньше. все то, что мы видим - последствия. как по мне. Не есть ли это признаки эпикондилита?
![]()
Светлая стрелочка, то, вполне мочжет быть откал фрагмента "кортикалочки", а, вот черные стрелочки, то мягких тканях. ЧТО?
И мал - мал остеопороз в области соответствующего мышелка и надмыщелка, на мой взгляд, имеет место быть.
![]()
![]()
Стрелочка указывает на т.н. "шпору" . что является характекрным для эпикондилита - оссификат у места прикрепления мышцы, насколько я понимаю.
![]()
Рентгенологические признаки наружного эпикондилита плеча бывают двух видов.
Во-первых, они проявляются в виде ограниченной краевой резорбции кортикального слоя надмыщелка или наружного суставного края плеча, причем контур кортикального слоя шероховатый, неровный.
Во-вторых, наряду с изменениями в кортикальном слое или без них, определяются разнообразные параоссальные обызвествления, занимающие типичное место рядом с надмыщелком плеча и охватывающие его выпуклый контур. Эти обызвествления имеют форму запятой, заостряющейся к периферии, или капли.
Параоссальные тени весьма интенсивны, гомогенны, контуры их четкие. Тень обызвествления обычно накладывается на контур кости, но довольно часто удается видеть, что контур надмыщелка находится на некотором расстоянии от тени параоссального обызвествления. Изредка в области надмыщелка образуется узура. На схематическом рис. представлены варианты рентгенологических симптомов наружного эпикондилита плеча.
При повторных рентгенологических исследованиях, проведенных с большими интервалами, нередко удается отметить, что морфологические признаки эпикондилита прогрессируют в размерах и интенсивности плотности, хотя клинические признаки эпикондилита стали менее выраженными или вовсе исчезли. Рентгенологические признаки эпикондилита плеча (в отличие от таковых при плече-лопаточном периартрите) отличаются стойкостью и остаются отчетливо выраженными даже в случаях полного клинического выздоровления. На основании наблюдений, проведенных у оперированных больных, считается, что параоссальные обызвествления при эпикондилите плеча локализуются в тканях, непосредственно прилегающих к надмыщелку плеча, — связках, сухожильных волокнах и мышцах— и образуются на месте бывших кровоизлияний, возникших в результате микротравматизации.
Рис.Схематическое изображение различных рентгенологических картин при эпикондилите плеча.
а — гомогенное уплотнение на широком основании; 6 — параоссальное обызвествление; в — шиповидные уплотнения; г — краевая резорбция надмыщелка; д — плоские остеофиты.
Рентгенологическое исследование наружного эпикондилита плеча имеет весьма существенное значение для диагностики и дифференциальной диагностики.
Содержание
- 1 Общие сведения
- 2 Рентгенологические признаки наружного эпикондилита
- 3 Примечания
- 4 См. также
Общие сведения
Впервые рентгенологические исследования при эпикондилите плеча выполнил Momburg (1910), который считал, что самым характерным признаком этого заболевания является периостит. [1] Bergman (1924) утверждал, что рентгенологическое исследование может выявить некоторые признаки эпикондилита плеча только в случаях, когда заболевание длится более полугода, а в случаях более ранних обычно видимых на рентгенограмме изменений не выявляется. Д. С. Кузьмин (1940) на основании рентгенологического исследования 55 больных эпикондилитом плеча приходит к выводу, что имеется прямая зависимость между частотой видимых на рентгенограмме изменений, профессиональным стажем больных и давностью заболевания. У 24 больных рентгенологических изменений не найдено, у 18 больных найдены костные изменения в виде очаговой резорбции корки надмыщелка и мыщелка плечевой кости, у 13 больных определялись уплотнения в мягких тканях вблизи надмыщелка плеча. Д. С. Кузьмин обращает внимание на то, что у каждого четвертого больного с эпикондилитом плеча параллельно с изменениями, присущими эпикондилиту, имелись изменения в самом локтевом суставе по типу деформирующего артроза, а также образование шпор локтевого отростка. Wiesner (1952) при рентгенологическом обследовании 116 больных эпикондилитом плеча только у 13 выявил изменения в виде периостальных наслоений. Н. С. Толстопятова (1961) при обследовании 233 больных наружным эпикондилитом плеча различной давности нашла у 125 из них рентгенологические изменения, причем отметила совершенно отчетливую зависимость частоты и выраженности этих изменений от давности заболевания; реже всего они встречались у больных, страдавших эпикондилитом плеча до 3 месяцев, чаще всего — у болевших более 3 лет.
Рентгенологическое исследование проведено Элькиным М.А. и соавторами у 507 наших больных, и на основании этих наблюдений представляется возможным оценить значение этого исследования для диагностики, в особенности ранней, наружного эпикондилита плеча. Прежде всего отмечается отчетливо выраженная прямая зависимость частоты положительных рентгенологических симптомов эпикондилита в зависимости от давности заболевания в первые месяцы заболевания положительные рентгенологические признаки наружного эпикондилита плеча выявляются только у 58 из 176 больных (32,9%) и, таким образом, существенного значения для ранней диагностики не имеют. А. В. Гринберг считает, что рентгенологические изменения при эпикондилитах плеча зависят от профессионального стажа. Подобной зависимости Элькин М.А. и соавторы не отметили. От стажа работы зависит частота заболеваемости в определенных профессиональных группах, но это уже совсем другое дело. [2]
Рентгенологические признаки наружного эпикондилита

Рентгенологические признаки наружного эпикондилита плеча бывают двух видов. Во-первых, они проявляются в виде ограниченной краевой резорбции кортикального слоя надмыщелка или наружного суставного края плеча, причем контур кортикального слоя шероховатый, неровный. Во-вторых, наряду с изменениями в кортикальном слое или без них, определяются разнообразные параоссальные обызвествления, занимающие типичное место рядом с надмыщелком плеча и охватывающие его выпуклый контур. Эти обызвествления имеют форму запятой, заостряющейся к периферии, или капли (рисунок выше).
![]()
Параоссальные тени весьма интенсивны, гомогенны, контуры их четкие. Тень обызвествления обычно накладывается на контур кости, но довольно часто удается видеть, что контур надмыщелка находится на некотором расстоянии от тени параоссального обызвествления. Изредка в области надмыщелка образуется узура. На схематическом рисунке представлены варианты рентгенологических симптомов наружного эпикондилита плеча.
При повторных рентгенологических исследованиях, проведенных с большими интервалами, нередко удается отметить, что морфологические признаки эпикондилита прогрессируют в размерах и интенсивности плотности, хотя клинические признаки эпикондилита стали менее выраженными или вовсе исчезли. Рентгенологические признаки эпикондилита плеча (в отличие от таковых при плече-лопаточном периартрите) отличаются стойкостью и остаются отчетливо выраженными даже в случаях полного клинического выздоровления. На основании наблюдений, проведенных у оперированных больных, мы считаем, что параоссальные обызвествления при эпикондилите плеча локализуются в тканях, непосредственно прилегающих к надмыщелку плеча, — связках, сухожильных волокнах и мышцах— и образуются на месте бывших кровоизлияний, возникших в результате микротравматизации.
В параоссальных отложениях при эпикондилите плеча отмечают метапластические образования костной ткани, что только подтверждает их связь с экстравазатом. П. В. Сиповский отмечает способность фокусов кровоизлияний активизировать местные тканевые процессы в сторону появления в них остеопластических потенций, причем наиболее благоприятные условия для оссификации экстравазатов создаются в предварительно поврежденной мышечной ткани. Рассматривая начальные явления наружного эпикондилита плеча как следствие множественных надрывов мышц и связок в зоне надмыщелка плеча, нетрудно объяснить и появление параоссальных образований, состоящих из солевых отложений и способных частично к оссификации.
Среди больных с отчетливыми рентгенологическими признаками наружного эпикондилита плеча у 11,3% обнаруживаются также рентгенологические признаки деформирующего артроза локтевого сустава, а у некоторых выявлеется картина расслаивающего остеохондрита. Подавляющая часть этих больных, и среди них все с расслаивающим остеохондритом, длительно подвергалась действию вибрации (обрубщики, электролизники алюминиевых заводов).
Читайте также:



